坏死梭杆菌导致Lemierre综合征1例
A case of Lemierre syndrome caused by Fusobacterium necrophorum
作者:王长远,邢芫珍,刘利欣,王涛,王晶
发布日期:2022-11-10
王长远,邢芫珍,刘利欣,王涛,王晶. 坏死梭杆菌导致Lemierre综合征1例[J]. 中华急诊医学杂志, 2022,31 (11):1539-1540.

入本院前2周时CT.gif

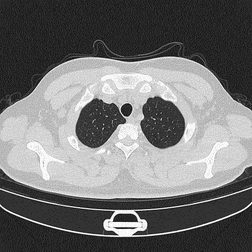
入本院时CT.gif

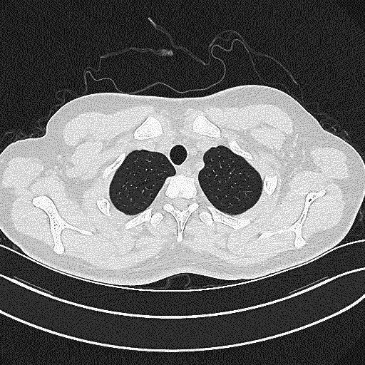
入本院第10天CT.gif

入本院第19天CT.gif

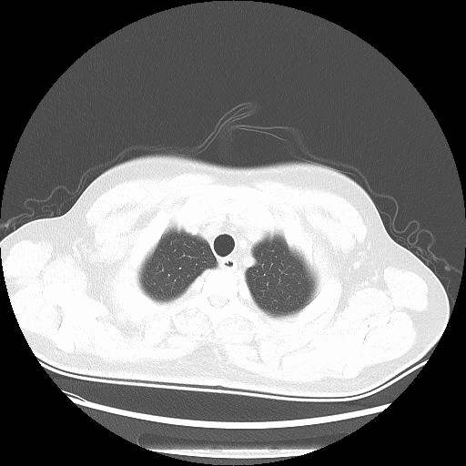
出院后2周CT.gif
DOI号:10.3760/cma.j.issn.1671-0282.2022.11.020
关键词:
Lemierre综合征
发热
胸部CT
抗感染