中华急诊医学杂志  2022, Vol. 31 Issue (11): 1539-1540   DOI: 10.3760/cma.j.issn.1671-0282.2022.11.020
坏死梭杆菌导致Lemierre综合征1例
王长远 , 邢芫珍 , 刘利欣 , 王涛 , 王晶     
首都医科大学宣武医院急诊科,北京 100053
1 资料与方法

患者男性,21岁,主因“间断发热、寒战伴头晕头痛2周”于2021年11月18日急诊收入院。患者诉2周前进食烧烤后出现发热,体温最高可达42℃, 伴畏寒、寒战、咽痛、头晕、头痛、乏力,就诊于本院耳鼻喉科后,查体见扁桃体有脓点,快测降钙素原(procalcitonin,PCT)为37.27 ng/mL,胸部CT检查未见异常,考虑诊断为“急性化脓性扁桃体炎”,先后给予左氧氟沙星、阿奇霉素抗感染及甲泼尼龙控制炎症后上述症状未见明显好转,为进一步治疗,收入急诊病房治疗,既往体健,入院时查体:体温41℃,脉搏98次/min,呼吸频率23次/min,血压120/60 mmHg(1 mmHg=0.133 kPa),患者神志清楚,急性病容,精神较差,颈部浅表淋巴结触及肿大,右侧较大约2.0 cm ×0.5 cm,左侧较大约1.3 cm×0.7 cm,质软,活动度好,界限清楚,有压痛,表面皮肤无红肿,无破溃,双肺呼吸音清,未闻及干湿性啰音,心脏听诊无杂音,腹软,无压痛及反跳痛,双下肢无水肿。血常规检查白细胞计数10.49×109/L, 中性粒细胞百分比94.6%,血红蛋白120 g/L, 血小板计数107×109/L,PCT 42.83 ng/mL,白介素6(interleukin, IL-6)980.30 pg/mL,C反应蛋白211 mg/L,G试验、GM试验阴性。胸部CT检查示右肺上叶可见一单发实变影,其内可见空洞(图 1)。根据病史、查体和辅助检查考虑诊断为肺脓肿,给予注射用哌拉西林钠他唑巴坦4.5 g Q8h治疗,入院第2天,患者仍有发热,体温最高38.7℃,给予对症处理,入院第3天患者体温峰值有所下降,体温维持在37~38℃,考虑抗炎有效,痰培养结果回报为纹带棒杆菌,草绿色链球菌(奈瑟菌属),考虑这2种细菌为皮肤或口腔的正常菌群,为条件致病菌,该细菌导致发热的可能性较小,继续给予哌拉西林钠他唑巴坦治疗。入院第5天血培养回报血液中找到坏死梭杆菌,考虑为血流感染。加用甲硝唑1 g每8 h一次抗感染治疗,复查血常规白细胞计数8.14×109/L, 中性粒细胞百分比81.5%,血红蛋白120 g/L, 血小板计数246×109/L,PCT 3.43 ng/mL,IL-6 13.04 pg/mL,C反应蛋白5 mg/L,炎性指标较前明显下降,考虑抗炎治疗有效,继续目前抗生素治疗。入院第10天患者体温仍有低热,体温36.5~37.5 ℃,复查胸部CT见双肺多发小结节,双肺多发空洞病变,考虑炎性可能(图 2)。颈静脉超声检查提示患者左侧颈内静脉血栓形成,给予依诺肝素0.4 mL每12 h一次抗凝治疗,根据血培养结果、胸部CT表现和颈静脉超声结果,考虑该患者诊断为坏死梭杆菌导致Lemierre综合征(Lemierre syndrome, LS)。用哌拉西林钠他唑巴坦联合甲硝唑治疗后仍有低热,化验检查PCT为0.30 ng/mL,IL-6为3.52 pg/mL,C反应蛋白为3 mg/L,胸部CT示肺部空洞较前增加,考虑感染未完全控制,改为调整抗生素为比阿培南0.6 g每12 h一次联合甲硝唑1g每8 h一次抗感染治疗,治疗1周后患者体温恢复正常,CT检查示双肺多发空洞消失,残留少量索条影(图 3),患者病情好转出院,出院带药给予口服甲硝唑联合阿莫西林抗感染治疗,利伐沙班抗凝治疗,随诊2周后复查胸部CT正常。

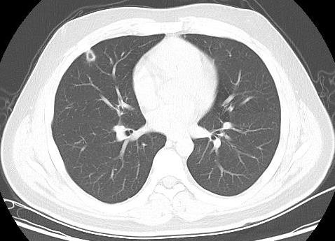
右肺上叶可见一单发实变影,其内可见空洞 图 1 入院时胸部CT

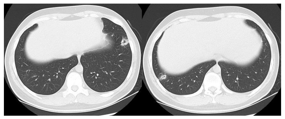
双肺空洞病变 图 2 入院第10天胸部CT

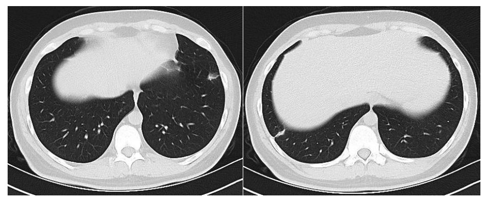
空洞病变消失,残留少量实变及索条影 图 3 入院第19天胸部CT
2 讨论

LS是一种罕见的但具有潜在死亡风险的感染性疾病,又被称为咽喉感染后的败血症[1]。LS典型表现为口咽感染、颈内静脉脓毒性血栓以及转移性化脓灶为特点,Lemierre在1936年首次总结该疾病的特征,因此这类疾病被命名为Lemierre综合征[2]。在抗生素被发明之前,LS发病率和致死率都较高,随着各种抗生素的不断发展,该病发病率明显下降,一项前瞻性研究估计了LS的年发病率为每百万人3.6例, 然而在年龄15~24岁之间患者中的发病率较高,达到每年每100万例中有14.4例发病[3]。通常为男性高发,男性与女性的比例为2∶1。而近年来,可能由于抗生素耐药性或抗生素处方模式的改变,咽喉痛患者应用抗生素受到限制,病例有所增加,因此该病被称为被遗忘又重现的疾病[4]

LS的致病菌主要为坏死梭杆菌,因此LS也被称为坏死梭杆菌病,其他致病菌包括核杆菌、类杆菌、链球菌和葡萄球菌等[5]。坏死梭杆菌为厌氧革兰阴性多形态杆菌,广泛存在于人类和动物的口腔、上呼吸道、胃肠道和泌尿生殖道的正常菌群。坏死梭杆菌可以产生白细胞毒素、内毒素、溶血素和血细胞凝集素等,白细胞毒素和溶血素与脓肿形成相关,血细胞血凝素可引起动静脉血栓形成,可导致转移性脓肿,弥漫性血管内凝血和血小板减少也与此有关[6]。患者起初为咽部感染,然后通过咽旁间隙侵袭至颈内静脉,形成颈内静脉血栓,脓毒性栓子随着血流播散至肺部,引起肺部脓肿和肺栓塞。本例患者刚发热时胸部CT正常,门诊给予喹诺酮类药物和大环内酯类药物治疗2周后,入院时胸部CT示患者右肺中叶单发实变影,其内可见空洞样变,后随病情发展,胸部CT示双肺多发肺空洞样变,符合LS的临床表现。LS最初表现为喉咙痛或颈部疼痛, 但可出现多种非特异性症状, 如全身僵硬、寒战、发热、颈部淋巴结肿大、眼眶疼痛、骨/关节疼痛、四肢无力、恶心、呕吐等胃肠道症状。最初感染1周后,可以在血液中找到细菌,然后在颈静脉内脓毒性血栓形成,可以肺内形成肺脓肿和脓胸,也可以累及关节[7]

LS诊断的关键在于临床医生对本病有足够的认识。在疾病的早期阶段,持续高热可能是唯一的线索。超声显示颈内静脉血栓,胸部CT见浸润、结节、渗出及败血性栓子引起的空洞或脓肿应考虑为LS,血培养发现坏死梭杆菌或其他致病菌可明确诊断。但血培养需要时间较长,可能会出现阴性结果,因此即使血培养阴性的患者,如果有口咽感染、颈内静脉脓毒性血栓以及肺部转移性脓肿也要考虑LS的可能[8]

长期的抗菌治疗是LS治疗的关键,治疗周期平均为42 d[9]。治疗有效的抗菌药物包括碳青霉烯类药物、β内酰胺类复合酶抑制剂、青霉素、甲硝唑和克林霉素等,不推荐使用大环内酯、喹诺酮类、四环素类抗生素,因为坏死梭杆菌对这些药物有较强的耐药性。本例患者门诊应用喹诺酮和大环内酯类药物2周后效果欠佳,后更换为哌拉西林钠他唑巴坦及甲硝唑治疗,患者症状明显好转。使用抗凝剂治疗LS仍然存在争议,目前没有大规模的随机对照试验以评估患者使用抗凝剂的安全性和有效性,如果抗生素治疗大约2~3 d后效果不佳通常考虑使用抗凝剂, 抗凝6~12周[10-11]

综上所述,LS是以口咽感染、颈内静脉脓毒性血栓和转移性化脓灶为特征的全身性化脓感染性疾病,可以累及全身多个脏器,容易漏诊和误诊。临床医生要对本病有足够的认识,早期足量应用覆盖厌氧菌的抗生素,以改善预后。

利益冲突  所有作者声明无利益冲突

参考文献
[1] 何慕芝, 蔡闯, 钟南山. Lemierre综合征[J]. 国际呼吸杂志, 2009, 29(11): 688-691. DOI:10.3760/cma.j.issn.1673-436X.2009.011.013
[2] Hwang SY, Shin SJ, Yoon HE. Lemierre's syndrome caused by Klebsiella pneumoniae: a case report[J]. World J Nephrol, 2021, 10(5): 101-108. DOI:10.5527/wjn.v10.i5.101
[3] Hagelskjaer Kristensen L, Prag J. Lemierre's syndrome and other disseminated Fusobacterium necrophorum infections in Denmark: a prospective epidemiological and clinical survey[J]. Eur J Clin Microbiol Infect Dis, 2008, 27(9): 779-789. DOI:10.1007/s10096-008-0496-4
[4] Panchani D, Nair D. Not always as simple as a UTI: an atypical case of Lemierre's syndrome, the forgotten disease[J]. Clin Med (Lond), 2021, 21(6): e664-e666. DOI:10.7861/clinmed.2021-0579
[5] Lee WS, Jean SS, Chen FL, et al. Lemierre's syndrome: a forgotten and re-emerging infection[J]. J Microbiol Immunol Infect, 2020, 53(4): 513-517. DOI:10.1016/j.jmii.2020.03.027
[6] 张悦悦, 王田乔, 邢小康, 等. 坏死梭杆菌致Lemierre综合征一例[J]. 中华结核和呼吸杂志, 2021, 44(12): 1106-1109. DOI:10.3760/cma.j.cn112147-20210408-00236
[7] Karkos PD, Asrani S, Karkos CD, et al. Lemierre's syndrome: a systematic review[J]. Laryngoscope, 2009, 119(8): 1552-1559. DOI:10.1002/lary.20542
[8] 王蒙蒙, 孙洪扬, 刘娱, 等. 金黄色葡萄球菌致Lemierre综合征1例报告[J]. 临床儿科杂志, 2016, 34(9): 683-685. DOI:10.3969/j.issn.1000-3606.2016.09.012
[9] 武小杰, 谢俊刚. Lemierre综合征1例并文献复习[J]. 内科急危重症杂志, 2021, 27(5): 428-430. DOI:10.11768/nkjwzzzz20210518
[10] Valerio L, Pleming W, Pecci A, et al. Management of lemierre syndrome[J]. Minerva Med, 2021, 112(6): 726-739. DOI:10.23736/S0026-4806.21.07497-8
[11] Adedeji A, Chukwura O, Obafemi T, et al. Anticoagulation strategies in the management of lemierre syndrome: a systematic review of the literature[J]. Ann Pharmacother, 2021, 55(5): 658-665. DOI:10.1177/1060028020957620