现在位置是:首 页 >> 
关键字:
重组腺相关病毒介导CD151基因治疗心肌梗死后侧支循环形成
rAAV -CD151 improves coronary collateralization in Swines with experimental myocardial infarction
作者:刘晓春,左后娟,刘正湘,刘涛,文莎,刘少文,汪道文,张欣
发布日期:2012-07-13

刘晓春,左后娟,刘正湘,刘涛,文莎,刘少文,汪道文,张欣. 重组腺相关病毒介导CD151基因治疗心肌梗死后侧支循环形成[J]. 中华急诊医学杂志, 2009,18 (3):266-269.


目前,越来越多的冠心病患者病情更加复杂,仅仅采用药物治疗、介入治疗等传统治疗方法难以奏效,寻找新的治疗方法治疗冠心病成为热点。其中,治疗性血管生成成为国内外众多学者的研究热点[1-2]。以往的多项研究证实四跨膜超家族蛋白(transmembrane-4 superfamily,TM4SF)成员CD151参与调节细胞的形态和极性、促进细胞黏附和迁移,并在体外血管形成中发挥着重要作用,其与血管新生的关系日益受到关注[3-4]。本研究在小型猪心肌梗死模型中转入携带正义CD151及反义CD151(anti-CD151)的重组腺相关病毒(recombinant adenoassociated virus,rAAV),观察CD151上调和下调后对缺血心肌血管生成和侧支循环的影响。

1材料与方法
1.1质粒和菌株
Pzeo-CD151质粒由美国田纳西大学分子科学部馈赠。pAAV-CD151和pAAV-anti-CD151重组真核表达质粒由本课题组前期构建,构建方法见文献[5]。对照组质粒pAAV-绿色荧光蛋白(green fluorescent protein,GFP)由美国北卡罗莱那州立大学基因治疗中心馈赠。

1.2病毒包装及滴度测定
按DNA 85 μg/150 mm平板的总量,按摩尔比1∶1∶1(质量比为1∶1∶2.3)的质粒pXX2,phelper,pAAV-GFP(pAAV-CD151或pAAV-anti-CD151)转染293细胞。72 h后收获细胞,在-80 ℃和37 ℃反复冻融3次后12 000 g×20 min 4 ℃离心,上清液即为重组腺相关病毒原液,纯化后备用。按此法包装rAAV-CD151,rAAV-anti-CD151和rAAV-GFP,斑点杂交法测定各病毒滴度。

1.3心肌梗死动物模型制备及病毒转染
中国实验用小型猪26头(清洁级,由华中农业大学种猪场提供),育龄约3个月,雌雄不限,体质量(24±2)kg。将小型猪完全随机分为4组:(1)正常对照组:健康小型猪,不进行任何手术处理;(2)rAAV-GFP组:采用开胸直接结扎冠状动脉左前降支(left anterior descending,LAD)方法制备小型猪急性心肌梗死模型。见左室前壁心肌呈无光泽青紫色,心电监护显示Ⅰ、aVL导联ST段持续抬高20 min为模型制备成功。同时,在结扎点以下,沿变紫的左心室前壁梗死边缘区心肌分10点注射rAAV-GFP (1×1011 pfu/点),每点间距约1 cm;(3)rAAV-CD151组:手术方法同上,结扎LAD,左室前壁分10点注射rAAV-CD151;(4) rAAV-anti-CD151组:手术方法同上,结扎LAD,左室前壁分10点注射rAAV-anti-CD151。关胸,监护至动物恢复自主呼吸,清醒后送回动物室精心饲养。

1.4冠状动脉造影检查
术后3 d及术后8周各组小型猪分别进行冠状动脉造影检查。采用日本东芝DFP-2000A双向导管减影血管造影机,造影剂选用离子型泛影葡胺(西安京西双鹤药业有限公司)。常规消毒铺巾,小型猪静脉麻醉,仰卧位四肢固定于自制V型架上。切开皮肤,逐层分离暴露股动脉约2 cm。穿刺股动脉,推注76%泛影葡胺,冠状动脉X线片以15帧/s拍摄。选用左前斜位造影,观察并记录左前降支的侧支循环情况。
1.5样本取材及病理学检查
术后8周完成各项检查后经静脉快速推入过量10% KCl处死动物,立即分离心脏,冰PBS缓冲液洗净血液,留取原左室前壁梗死边缘区病毒注射处的心肌组织。部分心肌组织用于免疫印迹检测,液氮冻存;部分用于病理学检测,用4%多聚甲醛固定12 h,梯度乙醇脱水,石蜡包埋、切片,HE染色常规病理学光镜检查。

1.6Western blot免疫印迹检测心肌组织CD151蛋白表达
取按上述方法留取的各组小型猪心肌组织样本约100 mg,加入组织蛋白裂解液中,匀浆;12 000 g×30 min 4 ℃离心,转移上清液至新离心管。Brandford法测蛋白浓度后,分别取含等量4组心肌蛋白,加蛋白加样缓冲液,95 ℃加热变性;SDS-PAGE凝胶电泳分离;25 V电压,4 ℃转PVDF膜过夜;37 ℃,5%脱脂奶粉封闭2 h,TBS-T洗膜4次;CD151抗体(美国Santa Cruz生物技术公司)(1∶800)4 ℃,振摇过夜,TBS-T洗膜4次;HRP耦联兔抗羊IgG(美国Pierce公司)(1∶5000)37 ℃孵育2 h,TBS-T洗膜4次;Westernblot ECL(美国Pierce公司)化学发光显色,X线曝光显影;GENE SNAP TOOL软件分析各组CD151表达条带相对吸光度值。

1.7氯化三苯基四氮唑(triphenyl-tetrazolium chloride,TTC)染色
术后8周完成全部检查,随机在手术组小型猪各选择3头实验猪,经静脉快速推入过量10 %KCl处死动物,取出心脏。将左心室心肌横切成6~7 mm厚的薄片,放入用pH 7.4磷酸盐缓冲液新鲜配成的2% TTC(陕西昕泰生物有限公司)溶液中,37 ℃恒温水浴30 min后取出。利用图像分析仪(Image Tool 3.0)将染色差异性区域的显像像素转化为具体数据,计算出梗死心肌面积占左心室心肌面积百分比,以%表示。

1.8统计学方法
所有数据以均数±标准差(±s)表示。采用SPSS 11.0软件进行数据处理。组间比较采用单因素方差分析,以P<0.05为差异具有统计学意义。

2结果
2.1实验情况总述
26头实验小型猪22头完成全部实验观察,其中正常对照组4头、rAAV-GFP组6头、rAAV-CD151组6头、rAAV-anti-CD151组6头。余2头死于冠状动脉结扎手术后2 h,死因为手术中肺损伤导致血气胸;1头死于冠状动脉造影时失血过多;1头死于麻醉程度过深。

2.2小型猪心肌梗死模型的制作结果
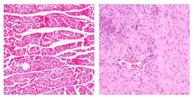
术中结扎左前降支的手术组(rAAV-GFP组、rAAV-CD151组、rAAV-anti-CD151组)小型猪心电图均呈急性心梗变化,术后3 d冠脉造影可见手术组LAD约近中1/3处闭塞,闭塞远端血管不显影。术后8 周分离小型猪心脏,除正常对照组以外,手术组心脏肉眼均可见灰白色的梗死灶。病理切片HE染色可见正常心肌细胞排列有序,梗死心肌为大量结构紊乱纤维组织取代。见图1。


A-正常心肌;B-梗死心肌
图1心肌组织病理切片(HE×200)
Fig 1Pathological slice of myocardium(HE×200)

2.3各组小型猪心肌组织CD151蛋白表达
Western blot免疫印迹检测CD151蛋白表达,CD151与参照β-肌动蛋白表达条带相对吸光度值依次为(1.33±0.19),(1.11±0.10),(2.38±0.12)和(0.73±0.21)。rAAV-CD151组心肌组织CD151蛋白表达较正常对照组和rAAV-GFP组明显增加(P<0.05),而rAAV-anti-CD151组心肌CD151蛋白表达较其它组均明显降低(P<0.05),正常对照组和rAAV-GFP组蛋白表达差异无统计学意义(P>0.05)。见图2。


蛋白表达条带依次为正常对照组、rAAV-GFP组、
rAAV-CD151组和rAAV-anti-CD151组
图2CD151蛋白表达Western blot分析
Fig 2Western blot analysis of the expression of CD151 protein

2.4CD151基因转染对侧支循环形成的影响
术后8 周各组小型猪冠脉造影检查显示,正常对照组小型猪血管分布清晰可见,冠状动脉LAD可显影,三组手术组LAD约近中1/3处闭塞,闭塞远端血管不显影。rAAV-GFP组有少量的侧支循环建立,rAAV-CD151组侧支循环形成丰富,0~3级均有,形成密度增高的侧支循环网,侧枝循环明显多于rAAV-GFP组。而rAAV-anti-CD151组有极少的侧支血管形成或无侧支循环建立。见图3。


A-正常对照组;B-rAAV-GFP组;C-rAAV-CD151组;D-rAAV-anti-CD151组
图3四组小型猪冠状动脉造影检查
Fig 3Coronary angiography of swines in four groups

2.5TTC心脏大体标本染色
正常对照组没有进行手术处理,故未进行TTC染色。三组手术组心脏TTC大体染色后观察均可见梗死区为苍白色(未着色),非梗死区染成砖红色。根据染色差异性区域的显像像素转化的具体数据,计算出梗死心肌面积占左心室心肌面积的百分比。rAAV-CD151组心肌梗死面积百分比明显小于rAAV-GFP组[(12.82±2.26) % vs. (23.14±2.83) %,P<0.05],差异有统计学意义;而rAAV-anti-CD151组梗死面积百分比为(32.52±3.47)%,明显大于rAAV-GFP组和rAAV-CD151组,差异有统计学意义(P<0.05)。

3讨论
在探讨治疗缺血性疾病的研究中,基因治疗因其成本相对较低、疗效持续时间较长等优点成为研究者的一大选择。质粒和病毒均可以作为血管生成基因治疗的载体,但是,裸质粒载体虽具有无感染性、免疫原性等优点,但携带的目的基因表达效率不高,且表达持续时间短。腺病毒、逆转录病毒及脂质体等载体能获得较高的表达效率,但这些载体存在免疫原性及病毒播散等潜在危险。经基因工程技术改造后的重组腺相关病毒,具有无致病性、抗原性小、表达时间长等优点,有望成为基因治疗的最佳载体之一[6]。
CD151高表达于上皮细胞、内皮细胞、血小板、巨核细胞和一些未成熟造血干细胞。免疫沉淀证实CD151在结构上能与多种整合素特异性结合形成复合体(如CD151-α6β1/α3β1等),其通过跨膜转接器的作用将来自细胞外基质的促血管生成信号向细胞内转导[7]。体外研究发现CD151表达阴性的NIH3T3细胞转染CD151后,细胞的定向迁移能力和在Matrigel上条索结构形成能力增强[3]。运用CD151转染内皮细胞后,内皮细胞的增殖、迁移和体外血管生成能力均明显增强[8]。这些研究结果均提示CD151具有促血管生成的作用。
近年来笔者所在课题组开展了多项有关CD151促血管生成的研究,前期工作已证实重组腺相关病毒载体携带CD151基因能够在大鼠后肢缺血肢体有效的表达CD151蛋白,且能增加缺血后肢微血管密度并促进缺血后肢侧支循环形成[9];运用CD151基因转染心肌梗死大鼠,能明显增加缺血心肌的毛细血管密度并改善心肌梗死大鼠的心功能[10]。
本实验中笔者成功制备了小型猪急性心肌梗死模型,将克隆好的人CD151基因分别呈正向和反向重组到腺相关病毒载体中构建rAAV-CD151和rAAV-anti-CD151,并进行在体转染。研究结果显示,rAAV-CD151直接注射到局部心肌,能明显增加局部心肌组织CD151蛋白的表达,rAAV-CD151组侧枝循环明显多于其它组,CD151基因转染显著促进了闭塞动脉的侧支循环的建立;而rAAV-anti-CD151直接注射到局部心肌,明显抑制了局部心肌的CD151蛋白表达,该组的侧支循环明显减少,anti-CD151基因转染对侧支循环的建立有抑制作用。此外,笔者还运用TTC大体染色法评价了心肌梗死面积,结果表明rAAV-CD151转染可使心肌梗死面积明显缩小,而rAAV-anti-CD151转染则增加了心肌梗死面积。
本研究结果进一步证实CD151在体具有促血管生成的作用,且通过冠脉造影检查评价了其促血管生成的有效性,即能明显促进侧枝循环的建立并减少心肌梗死面积。该实验为CD151作为治疗性血管生成的基因治疗靶点提供了初步实验依据。

参考文献
[1] 晏开力,瞿志敏.治疗性血管生成[J].国外医学心血管疾病分册, 2005,32(2):95-98.
[2] 李丹阳, 赵葵, 陈鹏. 碱性成纤维细胞因子、腺苷对兔急性心肌梗死后血管再生的影响[J]. 中华急诊医学杂志, 2004,13(1):27-29.
[3] Zhang XA, Kazarov AR, Yang X, et al. Function of the tetraspanin CD151-alpha6beta1 integrin complex during cellular morphogenesis [J]. Mol Biol Cell, 2002, 13(1):1-11.
[4] Lammerding J, Kazarov AR, Huang H, et al. Tetraspanin CD151 regulatesα6β1 integrin adhesion strengthening [J]. Proc Natl Acas Sci USA, 2003,100 (13) : 7616-7621.
[5] Lan R, Liu Z, Song Y, et al. Effects of rAAV-CD151 and rAAV-antiCD151 on the migration of human tongue squamous carcinoma cell line Tca8113 [J]. J Huazhong Univ Sci Technolog Med Sci, 2004, 24(6):556-559.
[6] Mueller C, Flotte TR. Clinical gene therapy using recombinant adeno-associated virus vectors [J].Gene Ther, 2008,15(11):858-863.
[7] Berditchevski F, Odintsova E, Sawada S, et al. Expression of the palmitoylation-deficient CD151 weakens the association of alpha 3 beta 1 integrin with the tetraspanin-enriched microdomains and affects integrin-dependent signaling[J]. J Biol Chem, 2002,277(40):36991-37000.
[8] Zheng ZZ, Liu ZX. Activation of the phosphatidylinositol 3-kinase/protein kinase Akt pathway mediates CD151-induced endothelial cell proliferation and cell migration [J]. Int J Biochem Cell Biol,2007,39(2):340-348.
[9] Lan RF, Liu ZX, Liu XC, et al. CD151 promotes neovascularization and improves blood perfusion in a rat hind-limb ischemia model [J]. J Endovasc Ther, 2005,12(4):469-478.
[10] Zheng ZZ, Liu ZX. CD151 gene delivery activates PI3K/Akt pathway and promotes neovascularization after myocardial infarction in rats[J]. Mol Med, 2006, 12(9):214-220.
(收稿日期:2008-09-27)
(本文编辑:张斯龙)


DOI号:10.3760/cma.j.issn.1671-0282.2009.03.012

基金项目:国家自然科学基金资助项目(30570728;30670856)

关键词: 心肌梗死 基因疗法 CD151 侧枝循环