现在位置是:首 页 >> 
关键字:
门静脉气体栓塞1例
Hepatic portal venous gas: a case report
作者:毛晋,杨思雨,魏凯,王超
发布日期:2024-03-08

毛晋,杨思雨,魏凯,王超. 门静脉气体栓塞1例[J]. 中华急诊医学杂志, 2024,33 (3):408-409.


王瑞林_正位片.jpg
王瑞林_cT层.jpg

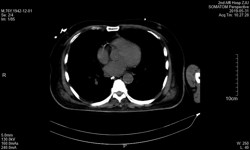
患者横断面CT动图.gif

附图1  患者横断面CT图


患者冠状面CT动图.gif

附图2  患者冠状面CT图


DOI号:10.3760/cma.j.issn.1671-0282.2024.03.028

伦理审批号:浙江大学医学院附属第二医院人体研究伦理委员会[(2023)伦审研第(0537)号]

关键词: 门静脉 气体栓塞 体层摄影术 X线计算机