![]() | 现在位置是: | 首 页 | >> |
![]() | 关键字: |
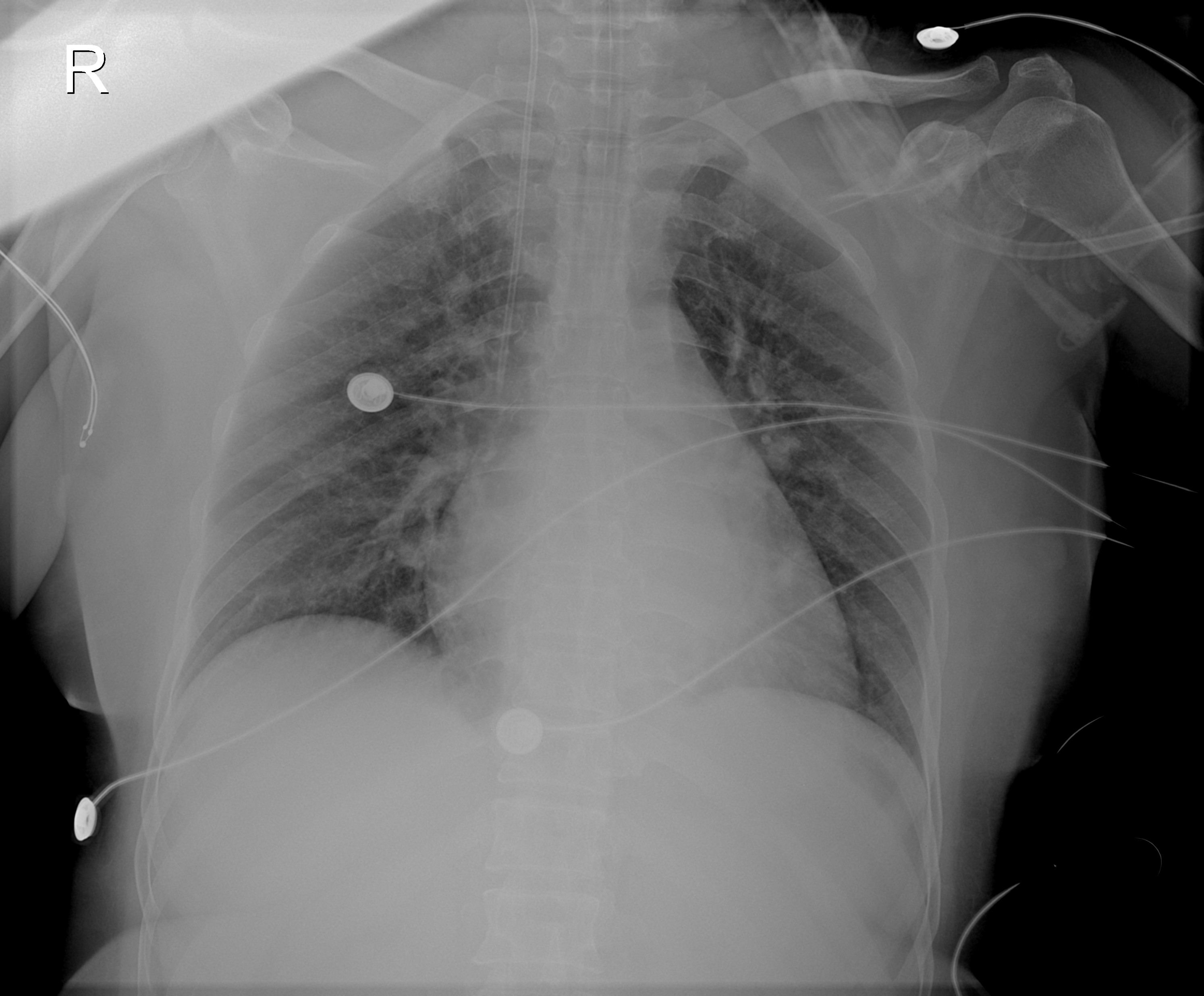
双肺散在小斑片状密度增高影、以双肺野中部显著
图1 患者入院时胸部X片(2021-06-12)
图2 患者入院24 h动脉血血气分析趋势图
附图1 患者入院24 h中心静脉血血气分析
肺野具有特征性改变,双肺纹理明显增粗并模糊、双肺透亮度减低,
肺门影增大模糊不清,有散在粟粒状、小斑点状阴影出现,
以内中带为主,有发展至外带并呈中下肺野广泛分布
附图2 患者入院后24h胸部CT(2021-06-13)
双上肺部分小叶间隔增厚,双肺可见纹理增粗,渗出及胸膜增厚基本吸收
附图3 患者入院后第9天胸部CT(2021-06-21)
双上中肺可见部分小叶间隔增厚较前减轻
附图4 患者入院3周后胸部CT(2021-07-05)