首 页
新闻中心
期刊中心
急诊学科
学术会议
专家名录
资源导航
急救自救
关于我们
现在位置是:
首 页
>>
关键字:
----行业快讯
----学术动态
----学会通知
----文章推荐
----专家课堂
--------教学视频
--------影像教室
--------马里兰医学院急诊必知
------------气道管理
------------心脏病
------------危重病
------------皮肤病
------------内分泌病
------------耳鼻喉病
------------胃肠病
------------老年病
------------血液和肿瘤病
------------感染性疾病
------------国际区域性疾病
------------医疗法规
------------医学教育
------------神经疾病
------------妇产科疾病
------------眼科疾病
------------骨科急诊
------------儿科急诊
------------药物与治疗
------------急诊操作
------------精神病
------------呼吸系统急诊
------------药物中毒
------------外伤
------------泌尿系急诊
------------血管系统急诊
------------典型病例
------------灾难医学
--------每日一题
------------创伤篇
------------中毒篇
------------危重病篇
------------气道管理篇
------------心血管篇
------------灾难医学
----复苏
--------学科动态
--------推荐文章
----创伤
--------学科动态
--------推荐文章
----中毒
--------学科动态
--------推荐文章
----危重病
--------学科动态
--------推荐文章
----院前急救
--------学科动态
--------推荐文章
----儿科急诊
--------学科动态
--------推荐文章
----灾难医学
--------学科动态
--------推荐文章
----急诊质控
--------学科动态
--------推荐文章
----急诊护理
--------学科动态
--------推荐文章
----急诊流行病学
--------学科动态
--------推荐文章
----公共卫生
--------学科动态
--------推荐文章
----医学会议
----培训信息
----急诊质控
----急诊流行病学
----急诊杂志编委会
----学会组织
----药物手册
--------毒物库
----医学名词
--------英汉词典
----医学图库
----自救互救
----灾难自救
----中毒自救
----咬螫伤急救
----急症急救
----医学电子书
----讲座课件
----标准与指南
----教学课件
用户登录
用户名:
密 码:
新用户注册>>
取回密码>>
在线期刊
当前期刊
下期预览
过刊搜索
全年目录
按内容分类浏览
全文下载排行
文章被引情况
编辑推荐
指南共识
罕见病例文章
期刊中心
2023年第32卷第11期
血浆置换成功治疗急性重症狼疮肺炎合并弥散性肺泡出血1例
Acute severe lupus pneumonia complicated with diffuse alveolar hemorrhage treated by plasma exchange successfully:a case report
作者:惠光辉,徐保平,喻怀斌,彭怀文,许新新
发布日期:2023-11-04
惠光辉,徐保平,喻怀斌,彭怀文,许新新. 血浆置换成功治疗急性重症狼疮肺炎合并弥散性肺泡出血1例[J]. 中华急诊医学杂志, 2023,32 (11):1560-1563.
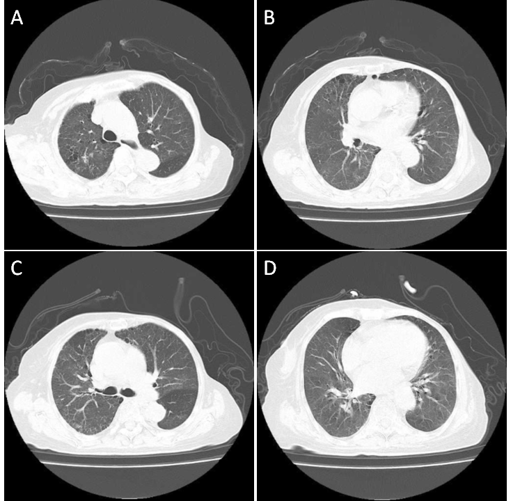
附图
1A
和
1B
(
2022-04-14
)胸部
CT
平扫示
双肺炎症基本吸收,无明显病灶,纵隔基本居中;
附图
1C
和
1D
(
2022-05-11
)胸部
CT
平扫示
双肺散在炎症,较
2022-04-14
进一步改善
DOI号:10.3760/cma.j.issn.1671-0282.2023.11.027
基金项目:安徽中医药大学临床科研项目(2021LAYB005, 2021LAQN010)
关键词:
狼疮性肺炎
弥散性肺泡出血
血浆置换
系统性红斑狼疮
Rhtml全文
下载pdf全文(981)
导出Endnote格式
加入收藏
点赞
上一篇:甲氧氯普胺致死嗜铬细胞瘤1例
所在期
2023-11期
下一篇:急诊科体外心肺复苏术快速反应医护团队的建立和实施效果