百草枯可溶胶剂中毒并随访1例
A case of severe paraquat sol poisoning was rescued and followed up for 3 years
作者:冯恩民,刘丽君,谭植华,刘光增,程友林,魏栋,李琳,王海玲
发布日期:2023-03-04
冯恩民,刘丽君,谭植华,刘光增,程友林,魏栋,李琳,王海玲. 百草枯可溶胶剂中毒并随访1例[J]. 中华急诊医学杂志, 2023,32 (3):411-412.

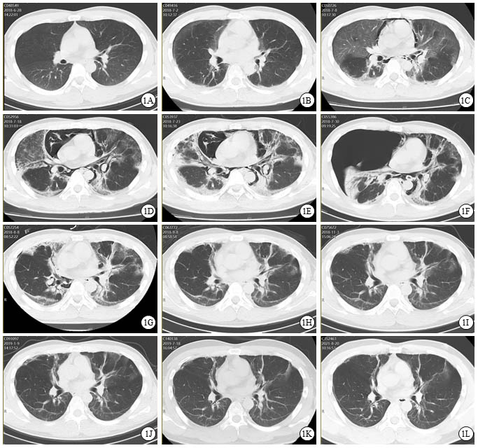
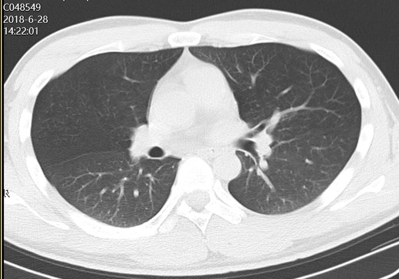
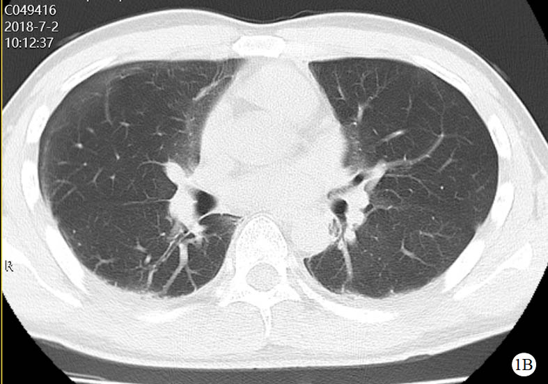
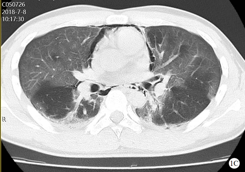
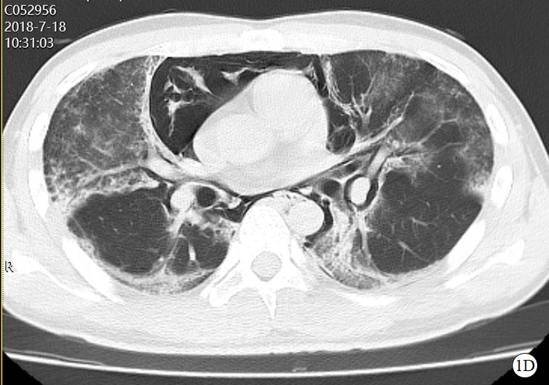
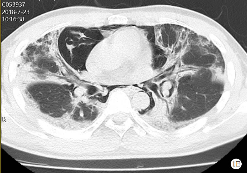
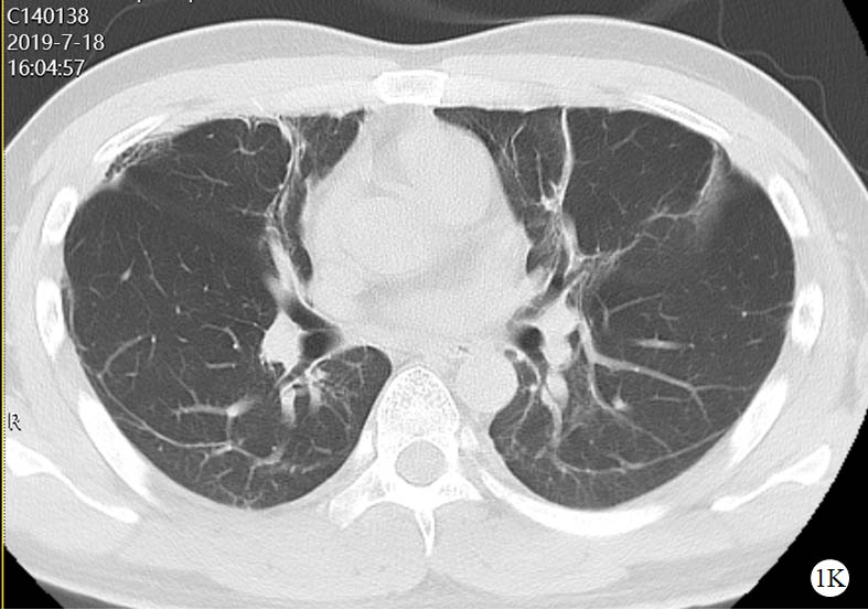
图 1 患者口服百草枯后胸部CT影像学变化

2018-06-28 CT图

2018-07-02 CT图

2018-07-08 CT图

2018-07-18 CT图

2018-07-23 CT图

2018-07-30 CT图

2018-08-08 CT图

2018-09-08 CT图

2018-11-03 CT图

2019-01-09 CT图

2019-07-18 CT图

2021-08-20 CT图
DOI号:10.3760/cma.j.issn.1671-0282.2023.03.025
基金项目:山东省潍坊市卫生健康委员会科研项目(WFWSJK-2021-093)
关键词:
百草枯可溶胶剂
中毒
水化疗法
血液净化
胸部CT
引证文献(引用了本文的文献)
1)
苏艺伟. 结缔组织生长因子介导的PI3K/Akt和RhoA/ROCK信号通路在百草枯中毒致肺泡上皮细胞间充质化的作用[J]. 职业卫生与应急救援,2024,42,3:295-301