2. 丽水市中心医院心血管内科,丽水 323000
鹦鹉热肺炎是由鹦鹉热衣原体(chlamydia psittaci,Cps)引起的社区获得性肺炎,其发病率约占社区获得性肺炎的1%[1],全年均可发病,但其发病高峰主要集中在12月至1月,鹦鹉热肺炎可发病于任何年龄阶段,多见于中青年人,而儿童少见[2]。
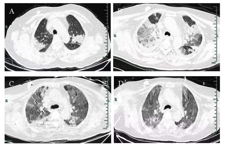
1 病例资料病例1为女性,40岁,因“发热伴咳嗽咳痰8 d,加重1 d”于2022-12-23入院。患者8 d前无明显诱因出现畏寒发热,体温未监测(最高体温不详),伴咳嗽咳痰,为白色粘痰,痰少不易咳出,无明显胸闷气闭,无胸痛咯血,无恶心呕吐,无腹痛腹泻及其他不适,期间未正规就诊,自行服用“安乃近”后体温可下降(具体不详)。1 d前患者自觉上述症状加重,伴有胸闷气闭等不适,由家属送至当地医院,完善动脉血气分析及胸部CT检查,诊断考虑为“急性呼吸衰竭、肺部感染”,予气管插管及对症支持治疗后,建议转上级医院进一步诊治,遂至本院就诊。急诊胸部CT:⑴两肺多发感染伴实变,双侧少量胸腔积液,纵隔多发稍大淋巴结。⑵心包少量积液。急诊拟“重症肺炎、急性呼吸衰竭”收住重症医学科。患者既往体健,否认吸烟、饮酒史,有新冠疫苗接种史。入科查体:体温38.5℃,呼吸24次/min,脉搏101次/min,血压123/61 mmHg(1 mmHg=0.133 kPa)。意识药物镇静,经口气管插管接呼吸机辅助通气(AC+PC模式,FiO2:100%,PEEP:10 cmH20),血氧饱和度93%。全身皮肤、巩膜无黄染,锁骨上下淋巴结未触及肿大,双下肺呼吸音低,闻及散在湿啰音,未闻及哮鸣音。心脏听诊无特殊,腹平软,肝脾肋下未触及,移动性浊音(-),肠鸣音3次/min,双下肢无水肿。进行实验室检查,动脉血气分析(呼吸机纯氧支持):pH 7.482,氧分压74.2 mmHg,二氧化碳分压38.6 mmHg,碳酸氢根28.6 mmol/L,剩余碱5.2 mmol/L,乳酸1.1 mmol/L。血常规:WBC 14.5×109/L,NEU% 95.1%,L% 2.6%;CRP 285.52 mg/L;PCT 1.75 ng/mL;肝功能:ALT 70 U/L,AST 225 U/L,ALB 22.5 g/L;CK 7114 U/L,LDH 904 U/L;肾功能正常;凝血功能:PT 14.6 s,INR 1.23 s,PT活动度67%,FIB 11.49 g/L,D-二聚体7.17 mg/L;甲流、乙流、禽流感病毒、腺病毒、呼吸道合胞病毒均为阴性,新型冠状病毒核酸检测阴性。进行辅助检查,急诊胸部CT提示:⑴两肺多发感染伴实变,双侧少量胸腔积液,纵隔多发稍大淋巴结;⑵心包少量积液(图 1A)。初步诊断:⑴重症肺炎;⑵急性呼吸衰竭;⑶肝功能不全;⑷双侧胸腔积液(少量);⑸低蛋白血症。治疗上予莫西沙星(0.4 g ivgtt qd)联合亚胺培南西司他丁(1.0 g ivgtt q8h)抗感染,同时予呼吸机支持、镇痛镇静、俯卧位通气、激素抗炎、低分子肝素抗凝、化痰解痉、保肝护胃、维持内环境稳定及对症支持治疗,定期行新型冠状病毒核酸检测。为进一步查明病因、明确诊断,经家属同意后于2022-12-24行支气管镜检查并采集支气管肺泡灌洗液(bronchoalveolar lavage fluid,BALF)送南京华大医学检验所行宏基因组二代测序(metagenomic next-generation sequencing,mNGS)。2022-12-26本院新型冠状病毒核酸检测阳性,2022-12-27 mNGS结果显示找到鹦鹉热支原体,序列数为72条,相对丰度7.24%。追问病史,患者为农民,家中常年饲养鸡、鸭等家禽,否认饲养及接触鹦鹉、鸽子等其他鸟类。结合患者病史、症状、胸部影像学及mNGS结果,考虑患者为新冠疫情开放期间在家感染鹦鹉热衣原体并导致重症肺炎,院内感染新型冠状病毒,因本院药房无多西环素,遂予阿奇霉素(0.5g ivgtt qd)联合莫西沙星(0.4g ivgtt qd)抗感染,停用亚胺培南西司他丁针,予对因治疗后患者血炎症指标及体温明显下降。2023-01-06复查胸部CT提示两肺多发感染伴实变,对比2022-12-23感染部分吸收,胸腔积液增多(图 1B),予胸腔穿刺闭式引流及调整抗感染治疗。2023-01-16再次行肺泡灌洗送检mNGS,结果提示鲍曼不动杆菌、肺炎克雷伯菌、洋葱伯克霍尔德菌、大肠埃希菌、鹦鹉热衣原体感染,序列数分别为69 120、19 228、775、200、7条,结合患者病情及鹦鹉热衣原体序列经治疗后较前明显减少,予停用阿奇霉素。2023-01-18复查胸部CT提示两肺多发感染伴实变,对比2022-12-23感染部分吸收,两肺上叶空洞形成(图 1C)。考虑患者短期内无拔管指征,于2023-01-12行暂时性气管切开,逐步开始呼吸肌功能锻炼。患者炎症指标逐步下降,自主呼吸趋于平稳,于2023-01-18顺利脱机,期间复查患者胸部影像学表现提示感染逐步吸收,病情平稳后于2023-01-28转到呼吸内科普通病房继续治疗。转入普通病房后,在家属的陪伴下,患者逐渐恢复饮食并拔除胃空肠营养管,最终于2023-02-14顺利出院。2023-05-09门诊复查胸部CT提示两肺见散在絮状、条索状及片状密度增高影,两肺上叶薄壁肺空洞(图 1D)。
|
| A:双下肺大面积实变;B:感染较前吸收,右侧胸腔积液增多;C:感染较前吸收,右上肺可见空洞形成;D:右上肺薄壁空洞 图 1 病例1胸部CT检查结果 |
|
|
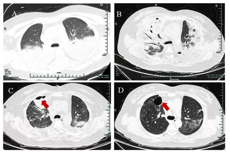
病例2为女性,55岁,因“咳嗽咳痰1月余,胸闷气急2 d”于2023-02-13入院。患者1月余前(具体日期不详)在家中无明显诱因出现咳嗽咳痰,不剧,稍感乏力,无畏寒发热,无胸闷气闭,无恶心呕吐。2023-01-08至2023-02-06曾在本院住院治疗,并诊断⑴肺部感染;⑵新型冠状病毒感染中型;⑶肺部阴影;⑷非霍奇金淋巴瘤(弥漫大B细胞淋巴瘤(GCB型)IIA期);⑸自体造血干细胞移植状态,入院后予奈玛特韦/利托那韦片抗病毒治疗及对症支持治疗、维持内环境稳定后好转出院。3 d前患者走路后出现胸闷气急,休息可缓解,为求治疗来本院就诊,复查胸部CT提示两肺多发感染,双侧胸膜肥厚,对比2023-02-02两肺感染灶增多(图 2A),门诊拟“肺部重症感染”收住呼吸内科。既往确诊非霍奇金淋巴瘤[弥漫大B细胞淋巴瘤(GCB型)ⅡA期]9月余,曾感染新型冠状病毒,有新冠疫苗接种史。患者于2023-02-19因血氧饱和度下降,予气管插管后转入重症医学科进一步监护治疗。入科查体:体温37.5℃,呼吸22次/min,心率122次/min,血压153/126 mmHg。意识药物镇静,气管插管接呼吸机辅助通气(AC+PC模式,FiO2:45%,PEEP:12 cmH2O),全身皮肤、巩膜无黄染,锁骨上下淋巴结未触及肿大,双肺可闻及少许湿啰音,心腹查体无特殊。入院实验室检查:动脉血气分析(呼吸机纯氧支持)pH 7.502,氧分压100 mmHg,二氧化碳分压27.9 mmHg,碳酸氢根21.7 mmol/L,剩余碱-0.5 mmol/L,乳酸2.8 mmol/L。血常规:WBC 2.8×109/L,NEU% 73.6%;CRP 60.73 mg/L;肝功能:ALT 55 U/L,AST 39 U/L,ALB 31.5 g/L;CK 20 U/L,LDH 341 U/L;肾功能、凝血功能大致正常;肺炎衣原体抗体IgM 0.03 COI,IgG 26.40 AU/mL,呼吸道抗体均为阴性,新型冠状病毒核酸检测阳性。辅助检查:2023-02-19胸部CT提示两肺多发感染(部分肺组织实变),双侧胸腔少量积液,对比2023-02-10两肺病变及胸腔积液增多(图 2B)。入科诊断:⑴重症肺炎;⑵基础疾病危重型合并新型冠状病毒感染;⑶急性呼吸衰竭;⑷非霍奇金淋巴瘤[弥漫大B细胞淋巴瘤(GCB型)IIA期];⑸自体造血干细胞移植状态;⑹继发性血小板减少;⑺白细胞减少;⑻胸腔积液。治疗上予亚胺培南西司他丁钠(1.0g ivgtt q8h)联合莫西沙星(0.4g ivgtt qd)、复方甲恶唑片(0.96 g营养管滴入q12h)抗感染,同时予呼吸机支持、镇痛镇静、俯卧位通气、抗病毒、激素抗炎、低分子肝素抗凝、化痰解痉、保肝护胃、维持内环境稳定及对症支持治疗。2023-02-20行气管镜检查并留取BALF送检mNGS。2023-02-22 mNGS结果提示找到白色念珠菌、鹦鹉热衣原体、新型冠状病毒(2019-nCoV),序列数分别2 127、9、24 755条,追问病史,患者为农民,常年住在乡下,家中饲养家禽,否认饲养鹦鹉、鸽子等鸟类。据此,考虑患者为新型冠状病毒合并鹦鹉热衣原体感染所致重症肺炎,同时有白色念珠菌感染,予停用美罗培南、复方磺胺甲恶唑片,改为阿奇霉素(0.5 g ivgtt qd)联合莫西沙星(0.4g ivgtt qd)抗感染,卡泊芬净(50 mg ivgtt qd)(首剂70 mg)抗真菌治疗。2023-02-23复查胸部CT提示两肺多发感染,双侧胸膜增厚,对比2023-02-19两肺病变及胸腔积液部分吸收(图 2C)。患者经对症支持治疗后呼吸氧合改善,于2023-03-06顺利拔除气管插管。2023-03-09复查胸部CT提示两肺多发感染,部分实变,双侧胸膜增厚,对比2023-03-03两肺感染局部稍吸收(图 2D)。2023-03-10转呼吸内科普通病房进一步抗感染治疗。因患者既往有血液系统疾病,长期处于免疫功能低下状态,且合并新型冠状病毒、鹦鹉热衣原体及白色念珠菌感染,住院期间反复出现发热,三系进行性下降,2023-03-15再次出现病情恶化,经加强抗感染及对症支持治疗后效果不佳,最终于2023-03-19死亡。
|
| A:双肺多发感染;B:双肺感染较前增加;C:肺部感染较前吸收;D:肺部感染较前吸收 图 2 病例2胸部CT检查结果 |
|
|
鹦鹉热又称鸟病,是由鹦鹉热衣原体导致的自然疫源性人畜共患传染病。人类是否感染鹦鹉热取决于多种因素,如暴露强度、微生物因素和传播途径。高风险人群包括在家禽加工厂工作的人员、宠物店员工、兽医和饲养被感染宠物鸟的鸟主人[3]。传播途径包括接触被感染鸟类的排泄物、呼吸道分泌物或直接与之接触,现有报道中较少出现人传人现象[4]。患病的鸟类大多无症状,人类感染则可有不同表现,少数患者可无症状,多数患者以肺炎相关表现为主,同时可伴有肌痛乏力等症状,部分患者可进展为重症肺炎甚至死亡。据报道,在未经治疗的病例中,死亡率可高达40%,而合并感染的死亡率可能更高[3]。
研究发现[5-7],鹦鹉热衣原体感染实验室检查多表现出CRP明显升高,PCT及中性粒细胞可升高,但WBC计数多正常或轻度升高,部分患者还伴有肝肾功能不全。而新型冠状病毒感染实验室检查多表现为CRP和ESR升高,PCT正常,WBC计数正常或降低,重症患者多伴有D-二聚体升高,血淋巴细胞进行性减少,部分患者还可出现肝酶、肌酶和肌红蛋白增高。病例1患者实验室检查结果基本符合既往相关文献报道,除此之外,此还伴有少量胸腔积液及心包积液,肝酶及肌酸激酶也大于正常值上限3倍,同时说明患者还伴有、肝功能、心功能受损,经治疗后肝酶、肌酶指标下降至正常,心包积液吸收,这与既往相关研究报道相符[8]。但病例2患者因合并有血液系统疾病,因此实验室指标检测特异度并不如病例1明显,考虑系血液系统疾病导致机体免疫功能下降,炎症反应不强烈所致。另外,鹦鹉热衣原体肺炎和新型冠状病毒肺炎在影像学征象上还存在较大重叠,重症患者均可出现肺实质受累,影像学可表现出“白肺”“空气支气管征”等非特异度征象,累及胸膜时还可伴有少量胸腔积液,而胸腔积液往往预示患者病情更重,需要呼吸机支持概率更高[9]。文中2例患者在病程中均出现了发热、咳嗽咳痰,胸闷气闭等肺部感染表现,胸部CT均提示双肺实变及胸腔积液,且都予以有创呼吸机支持,符合重症肺炎诊断标准[10]。
新型冠状病毒合并感染较常见,已经报道可合并肺炎支原体、呼吸道合胞病毒、腺病毒、土霉菌等感染[11-12],但合并鹦鹉热衣原体感染尚未见报道。国内一篇关于新型冠状病毒感染的肺炎影像学诊断指南中曾报道,新型冠状病毒感染所致的肺部病变可合并组织坏死并形成空洞,但在其他文献及指南中尚未见相关报道[13-15]。病例1患者在复查胸部CT过程中发现双肺出现空洞征象,笔者初始以为是合并真菌感染所致,并给予经验性抗真菌治疗,但复查痰培养、真菌三联及mNGS检查后予以排除,因患者此时还合并有肺炎克雷伯菌感染,有研究发现肺炎克雷伯菌可导致肝脓肿,而此类肺炎克雷伯菌还可经血流导致肺脓肿、眼内炎、脑膜炎等肝外感染表现,但目前我国并不多见[16],且该患者在整个病程中并未出现肝脓肿及血流感染相关表现,因此肺炎克雷伯菌感染所致肺部空洞暂予以排除,但是否为鹦鹉热衣原体感染,或者新型冠状病毒感染,亦或是二者合并感染所致目前尚不明确,这也成为该患者目前最重要的争议点,因鹦鹉热衣原体合并新型冠状病毒感染本就罕见,再出现肺部空洞体征让此病例更为特殊。病例1患者确实在经历双重感染后出现肺部空洞,尽管复查胸部影像学特征后见感染征象逐步好转,但仍遗留有并发症。
根据相关文献和临床经验,鹦鹉热首选抗生素为多西环素,次选为阿奇霉素,治疗持续时间推荐为最少10 d,因喹诺酮类药物对鹦鹉热具有体外活性,故重症患者可联用大环内酯类和喹诺酮类[10]。而新型冠状病毒感染常规推荐予抗病毒、激素抗炎、低分子肝素抗凝(存在禁忌证则排除),甚至免疫制剂及人免疫球蛋白等治疗,抗菌药物则为非必须治疗,同时辅以俯卧位通气改善氧合[17-18]。根据相关指南和共识推荐,2例患者最终予阿奇霉素联合莫西沙星抗感染治疗,同时予抗病毒、激素抗炎、低分子肝素抗凝、俯卧位通气等对症支持治疗。尽管2例均为鹦鹉热衣原体合并新型冠状病毒感染并发展为重症肺炎患者,且抗感染治疗基本相同,但2例患者感染鹦鹉热衣原体及新型冠状病毒的序列数并不相同,这也预示着二者的病情严重程度并非一致,导致最终结局也不同。这说明人类感染鹦鹉热衣原体大多可发病,但是严重程度还取决于既往身体状况以及是否合并有其他病原体感染,当患者基础较差且合并其他病原菌感染时,预后明显变差。
随着mNGS应用于临床,鹦鹉热衣原体感染病例报道进一步增多,本文2例患者均采用mNGS诊断为鹦鹉热衣原体感染,且病例1通过mNGS评估治疗效果。说明mNGS不仅可以提供早期诊断依据,还能为后续治疗效果及治疗方案提供参考意见
综上所述,鹦鹉热衣原体合并新型冠状病毒感染在实验室检查及影像学征象上存在较大重叠,导致临床诊断困难,早期及时行mNGS检测可帮助临床医师快速诊断,精准治疗,最终使患者获得较好的临床结局。但对于基础较差且合并其他病原体感染的此类患者,往往预后不佳。
利益冲突 所有作者声明无利益冲突
| [1] | Hogerwerf L, Gier BD, Baan B, et al. Chlamydia psittaci (psittacosis) as a cause of community-acquired pneumonia: a systematic review and meta-analysis[J]. Epidemiol Infect, 2017, 145(15): 3096-3105. DOI:10.1017/S0950268817002060 |
| [2] | Crosse BA. Psittacosis: a clinical review[J]. J Infect, 1990, 21(3): 251-259. DOI:10.1016/0163-4453(90)93909-c |
| [3] | Ravichandran K, Anbazhagan S, Karthik K, et al. A comprehensive review on avian chlamydiosis: a neglected zoonotic disease[J]. Trop Anim Health Prod, 2021, 53(4): 414. DOI:10.1007/s11250-021-02859-0 |
| [4] | Ling Y, Chen H, Chen X, et al. Epidemiology of Chlamydia psittaci infection in racing pigeons and pigeon fanciers in Beijing, China[J]. Zoonoses Public Health, 2015, 62(5): 401-406. DOI:10.1111/zph.12161 |
| [5] | Wu J, Pan JP, Han CY, et al. Clinical and CT diagnosis of 50 cases of Chlamydia psittaci pneumonia[J]. Quant Imaging Med Surg, 2023, 13(4): 2053-2064. DOI:10.21037/qims-22-809 |
| [6] | Wang DW, Hu B, Hu C, et al. Clinical characteristics of 138 hospitalized patients with 2019 novel coronavirus-infected pneumonia in Wuhan, China[J]. JAMA, 2020, 323(11): 1061-1069. DOI:10.1001/jama.2020.1585 |
| [7] | 汪洋, 鲁厚清, 邵仁德, 等. 鹦鹉热衣原体感染肺炎患者的临床特征分析[J]. 中华危重病急救医学, 2020, 32(11): 1388-1390. DOI:10.3760/cma.j.cn121430-20200408-00259 |
| [8] | Zhang H, Zhan DT, Chen DD, et al. Next-generation sequencing diagnosis of severe pneumonia from fulminant psittacosis with multiple organ failure: a case report and literature review[J]. Ann Transl Med, 2020, 8(6): 401. DOI:10.21037/atm.2020.03.17 |
| [9] | 胥杰, 盛海燕, 鲁辛辛, 等. 鹦鹉热衣原体肺炎合并胸腔积液三例并文献复习[J]. 中国医学科学院学报, 2022, 44(5): 923-928. DOI:10.3881/j.issn.1000-503X.14760 |
| [10] | 中华医学会呼吸病学分会. 中国成人社区获得性肺炎诊断和治疗指南(2016年版)[J]. 中华结核和呼吸杂志, 2016, 39(4): 253-279. DOI:10.3760/cma.j.issn.1001-0939.2016.04.005 |
| [11] | 顾若楠, 曹斓馨, 宣南霞, 等. 鹦鹉热衣原体合并土曲霉真菌重症肺炎的救治[J]. 中华急诊医学杂志, 2023, 32(4): 518-520. DOI:10.3760/cma.j.issn.1671-0282.2023.04.013 |
| [12] | Kim D, Quinn J, Pinsky B, et al. Rates of co-infection between SARS-CoV-2 and other respiratory pathogens[J]. JAMA, 2020, 323(20): 2085-2086. DOI:10.1001/jama.2020.6266 |
| [13] | 中华医学会放射学分会传染病学组, 中国医师协会放射医师分会感染影像专委会, 中国研究型医院学会感染与炎症放射学分会, 等. 新型冠状病毒感染的肺炎影像学诊断指南(2020第一版)[J]. 医学新知, 2020, 30(1): 22-34. DOI:10.12173/j.issn.1004-5511.2020.01.07 |
| [14] | Li XY, Xiao T, Hu PZ, et al. Clinical, radiological and pathological characteristics of moderate to fulminant psittacosis pneumonia[J]. PLoS One, 2022, 17(7): e0270896. DOI:10.1371/journal.pone.0270896 |
| [15] | Ojha V, Mani A, Pandey NN, et al. CT in coronavirus disease 2019 (COVID-19): a systematic review of chest CT findings in 4410 adult patients[J]. Eur Radiol, 2020, 30(11): 6129-6138. DOI:10.1007/s00330-020-06975-7 |
| [16] | 张红梅, 胡明冬, 李沿沿, 等. 侵袭性肺炎克雷伯菌肝脓肿综合征6例临床分析[J]. 中华肺部疾病杂志(电子版), 2021, 14(4): 522-524. DOI:10.3877/cma.j.issn.1674-6902.2021.04.034 |
| [17] | 张福杰, 王卓, 王全红, 等. 新型冠状病毒感染者抗病毒治疗专家共识[J]. 中华临床感染病杂志, 2023, 16(1): 10-20. DOI:10.3760/cma.j.issn.1674-2397.2023.01.002 |
| [18] | 赵敏, 秦恩强, 张大伟, 等. 新型冠状病毒肺炎临床防治方案专家共识[J]. 解放军医学杂志, 2020, 45(11): 1109-1116. DOI:10.11855/j.issn.0577-7402.2020.11.01 |
2024, Vol. 33



