中华急诊医学杂志  2024, Vol. 33 Issue (3): 413-416   DOI: 10.3760/cma.j.issn.1671-0282.2024.03.030
发热伴血小板减少综合征合并侵袭性肺焦曲霉病1例及文献复习
张洋 , 胡娟娟 , 郑瑶 , 肖文艳 , 杨旻     
安徽医科大学第二附属医院重症医学二科,合肥 230601

发热伴血小板减少综合征(severe fever with thrombocytopenia syndrome,SFTS)是一种急性传染疾病,主要表现为发热、血小板减少、胃肠道表现和神经系统症状,严重者出现多器官功能损伤,起病急,病情重,病死率高。焦曲霉是曲霉菌属的一种,作为条件致病菌,极少引起人类感染,国内暂无相关病例报道。本文报道一例重症SFTS患者继发侵袭性肺焦曲霉感染。

1 病例资料

患者,男性,67岁,职业农民,系蜱虫叮咬半月余,发热伴乏力6天入院。患者2022年5月初于田间劳动时被蜱虫叮咬,未予重视,2022-05-13开始出现发热,体温最高39.9 ℃,伴畏寒寒战,乏力纳差,伴头痛、全身肌肉酸痛。遂就诊于当地医院,查白细胞2.52×109/L,血小板47×109/L,肌酐166 μmol/L,ALT 112.7 U/L,AST 256.5 U/L,予以抗病毒等对症治疗后未见明显好转,2022-05-19转至本院急诊,收治本院感染科,病程中患者纳差,尿量减少,大便正常,体重稍减轻。患者既往高血压病、2型糖尿病病史。

入院查体:神志清楚,精神差,皮肤黏膜未见淤点瘀斑,双肺未及啰音,心律齐,腹软,无压痛及反跳痛,下肢不肿,神经系统查体阴性。2022-05-19本院相关化验提示白细胞1.59×109/L,中性粒细胞绝对值1.21×109/L,血红蛋白147 g/L,血小板46×109/L,肌酐138 μmol/L,谷草转氨酶285 U/L,肌酸激酶1 595 U/L,总T淋巴细胞计数268/μL(正常范围723~27 375/μL),B淋巴细胞计数15/μL(正常范围80~616/μL),NK细胞计数25/μL(正常范围80~724/μL)。入住感染科后,结合患者病史及临床症状体征,初步诊断SFTS,予以利巴韦林抗病毒、免疫球蛋白20 g/d应用以及补液保护脏器功能等对症治疗。2022-05-22夜间患者出现意识不清,躁动不安,伴氧饱和度下降,转入ICU继续治疗。

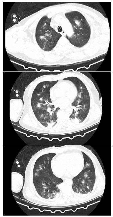
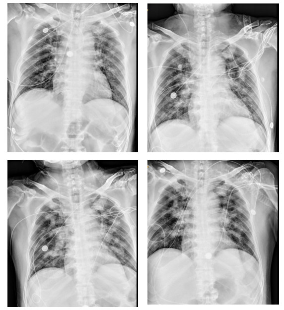
转入ICU后查体:神志模糊,躁动不安,偶有抽搐发作,呼吸急促,双肺可及湿罗音,立即予以气管插管接呼吸机辅助通气,镇痛镇静,头孢哌酮舒巴坦抗感染,继续予以利巴韦林抗病毒、免疫球蛋白应用以及保护脏器功能等对症治疗。2022-05-22患者布尼亚病毒核酸结果提示4.6×106 copies/mL,布尼亚抗体IgM阳性,相关化验提示:白细胞4.4×109/L,中性粒细胞绝对值3.03×109/L,血红蛋白141 g/L,血小板52×109/L,肌酐190 μmol/L,动脉血气pH 7.264,PO2 51.2 mmHg(1 mmHg=0.133 kPa),BE -8.3 mmol/L。床边胸片提示双肺炎症(见图 1),呼吸机支持参数较高,2022-05-23行床边气管镜检查(见图 2),气管内可见大量灰白色浓稠痰液,可见拉丝,予以充分抽吸并送检肺泡灌洗液,送检血G试验600 pg/mL,GM试验1.01 pg/mL,考虑重症肺炎,真菌感染可能,美国西弗吉尼亚大学医院深部真菌感染危险因素评分31分,予以调整抗感染方案为美罗培南联合伏立康唑抗感染治疗。2022-05-24患者肌酐持续升高,无尿伴代谢性酸中毒,予以行床边CRRT治疗。2022-05-27患者痰培养及肺泡灌洗液提示焦曲霉,进行CT检查,提示双肺异常密度(见图 3),予以调整抗感染治疗方案为头孢哌酮舒巴坦、伏立康唑、卡泊芬净抗感染治疗。经治疗后患者氧和指数稍好转,血小板计数较前升高(见图 4),2022-05-31患者家属因经济问题要求出院,1月后随访患者死亡。本研究通过医院伦理委员会批准(审批号:YX2022-041)。

图 1 患者2022-05-23、2022-05-24、2022-05-25、2022-05-29床边胸片

图 2 纤维支气管镜检查

图 3 2022-05-27胸部CT检查

A点为使用头孢哌酮舒巴坦,B点为使用美罗培南+伏立康唑,C点为使用伏立康唑+卡泊芬净+头孢哌酮舒巴坦 图 4 患者入ICU后抗生素使用及血小板计数和氧和指数的变化
2 讨论

SFTS由发热伴血小板减少综合征布尼亚病毒(severe fever with thrombocytopenia syndrome bunyavirus,SFTSV)感染引起的传染病,目前发病机制尚不清楚,推测可能是SFTSV阻止了宿主的免疫应答,抑制免疫功能,从而导致病毒的剧烈复制和多器官功能衰竭[1]

近些年,一些研究发现SFTS患者合并侵袭性肺曲霉病(invasive pulmonary aspergillosis,IPA)的比例较高,且与病死率相关[2]。IPA是由曲霉菌侵入肺组织而引起的深部真菌感染,病死率高,治疗难度较大,治疗成本高。IPA通常发生于免疫功能严重低下的人群,包括粒细胞缺乏、恶性肿瘤、器官移植、艾滋病、长期大量使用糖皮质激素等均为其易患因素。而在SFTS患者中,免疫系统均受到不同程度损伤,多项研究发现SFTS患者T淋巴细胞降低[1]、CD4+T淋巴细胞比例及计数减少[3]、NK细胞水平升高[4],免疫系统平衡的破坏,可能是其导致继发曲霉菌感染的因素之一。在一项76例重症SFTS的回顾性研究中,30例(39.5%)患者诊断为IPA,合并IPA患者病死率显著高于未合并IPA患者。此外所有重症SFTS患者均存在免疫损伤,合并IPA患者CD4+和CD8+淋巴细胞水平显著低于未合并IPA患者[5]。本例患者明确诊断为SFTS,入院后细胞免疫功能已提示其免疫功能严重低下,出现急性呼吸衰竭后转入ICU,影像学提示双肺感染,气管镜下表现,以及G和GM试验异常升高,深部真菌感染危险因素评分31分,提示IPA可能。在2016年美国感染病学会的曲霉菌感染诊治指南中推荐对于疑似IPA的患者,在进行诊断性评估的同时应尽早开始抗真菌治疗(强推荐;证据质量高),因此予以伏立康唑抗真菌治疗[6]

曲霉菌是一种常见的真菌,种类超过185种,大约20种被认为是人类机会性感染的病原,其中烟曲霉是曲霉菌感染的主要致病菌。焦曲霉是曲霉的一种,常见于室内环境和土壤中,也是免疫功能低下患者的机会致病菌,但焦曲霉引起人类感染的报道较少,目前国内无焦曲霉感染相关报道。

国外焦曲霉感染报道亦较少,本文回顾了国外24例焦曲霉感染病例[7-21],侵袭部位常见为肺、皮肤、眼、脑,其中以肺部最为常见。免疫功能低下是焦曲霉易患因素,在移植患者以及长期接受免疫抑制治疗患者中多见,最常见于造血干细胞移植患者,17例患者继发于器官移植后,2例继发于白血病化疗后骨髓抑制,2例患者继发于长期应用糖皮质激素治疗后。此外3例眼部焦曲霉感染发生于白内障术后,发生于同一医院,感染患者均无免疫功能损害因素。见表 1

表 1 焦曲霉感染病例回顾
病例 继发因素 侵袭部位 治疗方案 结局 参考文献
1 造血干细胞移植 肺、皮肤、心脏、甲状腺 伊曲康唑→两性霉素B脂质体 死亡 [7]
2 造血干细胞移植 两性霉素 死亡 [8]
3 造血干细胞移植 皮肤 两性霉素 死亡 [9]
4 白血病化疗后 两性霉素→伏立康唑+手术 死亡 [10]
5 造血干细胞移植 肺、脑、皮肤 两性霉素→两性霉B脂质体+卡泊芬净 死亡 [11]
6 造血干细胞移植 肺、脑、眼、皮肤 两性霉素+伏立康唑 死亡 [11]
7 造血干细胞移植 两性霉B脂质体+卡泊芬净 死亡 [12]
8 造血干细胞移植 两性霉B脂质体+卡泊芬净 死亡 [12]
9 白血病化疗后 两性霉B脂质体→伏立康唑+卡泊芬净 治愈 [12]
10 造血干细胞移植 伏立康唑+卡泊芬净 治愈 [12]
11 造血干细胞移植 肺、皮肤 伏立康唑+卡泊芬净→两性霉B脂质体 死亡 [12]
12 造血干细胞移植 伏立康唑+卡泊芬净 治愈 [12]
13 肝移植 皮肤 特比萘芬+两性霉素 死亡 [13]
14 心脏移植 脑、肺 伏立康唑+卡泊芬净+两性霉B脂质体 死亡 [14]
15 白内障手术 摘除患眼 治愈 [15]
16 白内障手术 两性霉B脂质体→两性霉B+伊曲康唑→摘除患眼 治愈 [15]
17 造血干细胞移植 不详 死亡 [15]
18 白内障手术 两性霉B脂质体→两性霉B脂质体+伊曲康唑→摘除患眼 治愈 [15]
19 肺移植 皮肤 两性霉B脂质体+卡泊芬净+特比萘芬 治愈 [16]
20 肾移植 皮肤 伊曲康唑→特比萘芬+伏立康唑 治愈 [17]
21 肺移植 伏立康唑 治愈 [18]
22 心脏移植 皮肤(软组织及肌肉) 卡泊芬净+特比萘芬+两性霉B脂质体+手术清创 治愈 [19]
23 右额颞星形细胞瘤(长期应用地塞米松) 皮肤 伊曲康唑→两性霉素B 死亡 [20]
24 慢性阻塞性肺疾病(长期应用泼尼松) 皮肤 伊曲康唑 死亡 [21]

焦曲霉感染病死率高,文献报道中有14例患者最终死亡,病死率58.3%。焦曲霉侵及肺部病死率更高,13例肺部焦曲霉感染患者仅4例患者存活。2016年的曲霉菌感染诊治指南中推荐伏立康唑作为IPA的首选治疗(强推荐;证据质量高),替代治疗包括两性霉素B脂质体、艾沙康唑(强推荐;证据质量中等)。棘白菌素也是有效的补救治疗药物,但不建议单药使用,对于确诊为IPA的患者,可考虑伏立康唑和棘白菌素类药物联合使用(弱推荐;证据质量中等)[6]。焦曲霉感染的治疗目前尚无统一标准及意见,体外实验发现其对三唑类抗真菌药物不敏感,两性霉素B是其体外活性最强的药物,因此有研究推荐使用两性霉素B[22],但目前报道病例较少,因此仍存在争议。在报道的病例中较多的病例使用了两性霉素B或两性霉素B脂质体,但效果均欠佳,而在所有治愈的4例肺部焦曲霉感染患者3例最终选择了卡泊芬净联合伏立康唑这一方案。本例患者在确诊为焦曲霉感染后,在考虑了影像学及临床表现仍较为危重的情况下,将伏立康唑调整至伏立康唑联合卡泊芬净抗真菌治疗。患者虽最终死亡,但经伏立康唑以及调整至伏立康唑联合卡泊芬净这一系列治疗后,患者氧合指数有所改善。

本病例报道也存在一些不足:首先,由于基于单一病例,其结论的普遍性和可推广性受到限制;其次,由于患者最终死亡,这限制了笔者对治疗效果和长期预后的全面评估;最后,由于缺乏相关资料,笔者团队没有详细描述焦曲霉的培养后形态学及其微生物特点。

综上所述,侵袭性焦曲霉肺病发病率较低,多见于免疫功能低下患者,尤其是器官移植术后患者,病死率较高,目前治疗上尚无统一标准,卡泊芬净联合伏立康唑可能有效。

利益冲突   所有作者声明无利益冲突

作者贡献声明  张洋:论文撰写、数据收集;胡娟娟:数据收集;郑瑶:数据审核;肖文艳:数据收集及整理;杨旻:论文修改

参考文献
[1] Sun LP, Hu YJ, Niyonsaba A, et al. Detection and evaluation of immunofunction of patients with severe fever with thrombocytopenia syndrome[J]. Clin Exp Med, 2014, 14(4): 389-395. DOI:10.1007/s10238-013-0259-0
[2] Xu Y, Shao MR, Liu N, et al. Invasive pulmonary aspergillosis is a frequent complication in patients with severe fever with thrombocytopenia syndrome: a retrospective study[J]. Int J Infect Dis, 2021, 105: 646-652. DOI:10.1016/j.ijid.2021.02.088
[3] 姚燕珍, 鲍舟君, 李世波. 舟山海岛严重发热伴血小板减少综合征淋巴细胞亚群及CD25表达特征动态分析[J]. 中华微生物学和免疫学杂志, 2014, 34(5): 359-363. DOI:10.3760/cma.j.issn.0254-5101.2014.05.007
[4] 韩亚萍, 周东辉, 翁亚丽, 等. 发热伴血小板减少综合征患者外周血淋巴细胞亚群变化特点[C]. 中华医学会全国新发和再发传染病2012年学术研讨会论文汇编, 郑州, 2012.
[5] Hu L, Kong Q, Yue C, et al. Early-warning immune predictors for invasive pulmonary aspergillosis in severe patients with severe fever with thrombocytopenia syndrome[J]. Front Immunol, 2021, 12: 576640. DOI:10.3389/fimmu.2021.576640
[6] Patterson TF, Thompson GR, Denning DW, et al. Practice guidelines for the diagnosis and management of aspergillosis: 2016 update by the Infectious Diseases Society of America[J]. Clin Infect Dis, 2016, 63(4): e1-e60. DOI:10.1093/cid/ciw326
[7] Iwen PC, Rupp ME, Bishop MR, et al. Disseminated aspergillosis caused by Aspergillus ustus in a patient following allogeneic peripheral stem cell transplantation[J]. J Clin Microbiol, 1998, 36(12): 3713-3717. DOI:10.1128/JCM.36.12.3713-3717.1998
[8] Verweij PE, van den Bergh MF, Rath PM, et al. Invasive aspergillosis caused by Aspergillus ustus: case report and review[J]. J Clin Microbiol, 1999, 37(5): 1606-1609. DOI:10.1128/JCM.37.5.1606-1609.1999
[9] Nakai K, Kanda Y, Mineishi S, et al. Primary cutaneous aspergillosis caused by Aspergillus ustus following reduced-intensity stem cell transplantation[J]. Ann Hematol, 2002, 81(10): 593-596. DOI:10.1007/s00277-002-0511-2
[10] Azzola A, Passweg JR, Habicht JM, et al. Use of lung resection and voriconazole for successful treatment of invasive pulmonary Aspergillus ustus infection[J]. J Clin Microbiol, 2004, 42(10): 4805-4808. DOI:10.1128/JCM.42.10.4805-4808.2004
[11] Pavie J, Lacroix C, Hermoso DG, et al. Breakthrough disseminated Aspergillus ustus infection in allogeneic hematopoietic stem cell transplant recipients receiving voriconazole or caspofungin prophylaxis[J]. J Clin Microbiol, 2005, 43(9): 4902-4904. DOI:10.1128/JCM.43.9.4902-4904.2005
[12] Panackal AA, Imhof A, Hanley EW, et al. Aspergillus ustus infections among transplant recipients[J]. Emerg Infect Dis, 2006, 12(3): 403-408. DOI:10.3201/eid1203.050670
[13] Stiller MJ, Teperman L, Rosenthal SA, et al. Primary cutaneous infection by Aspergillus ustus in a 62-year-old liver transplant recipient[J]. J Am Acad Dermatol, 1994, 31(2 Pt 2): 344-347. DOI:10.1016/s0190-9622(94)70169-5
[14] Florescu DF, Iwen PC, Hill LA, et al. Cerebral aspergillosis caused by Aspergillus ustus following orthotopic heart transplantation: case report and review of the literature[J]. Clin Transplant, 2009, 23(1): 116-120. DOI:10.1111/j.1399-0012.2008.00895.x
[15] Saracli MA, Mutlu FM, Yildiran ST, et al. Clustering of invasive Aspergillus ustus eye infections in a tertiary care hospital: a molecular epidemiologic study of an uncommon species[J]. Med Mycol, 2007, 45(4): 377-384. DOI:10.1080/13693780701313803
[16] Vagefi PA, Cosimi AB, Ginns LC, et al. Cutaneous Aspergillus ustus in a lung transplant recipient: emergence of a new opportunistic fungal pathogen[J]. J Heart Lung Transplant, 2008, 27(1): 131-134. DOI:10.1016/j.healun.2007.09.020
[17] Krishnan-Natesan S, Chandrasekar PH, Manavathu EK, et al. Successful treatment of primary cutaneous Aspergillus ustus infection with surgical debridement and a combination of voriconazole and terbinafine[J]. Diagn Microbiol Infect Dis, 2008, 62(4): 443-446. DOI:10.1016/j.diagmicrobio.2008.08.003
[18] Cabada MM, Nishi SP, Lea AS, et al. Concomitant pulmonary infection with Nocardia transvalensis and Aspergillus ustus in lung transplantation[J]. J Heart Lung Transplant, 2010, 29(8): 900-903. DOI:10.1016/j.healun.2010.04.016
[19] Olorunnipa O, Zhang AY, Curtin CM. Invasive aspergillosis of the hand caused by Aspergillus ustus: a case report[J]. Hand, 2010, 5(1): 102-105. DOI:10.1007/s11552-009-9211-x
[20] Gené J, Azón-Masoliver A, Guarro J, et al. Cutaneous infection caused by Aspergillus ustus, an emerging opportunistic fungus in immunosuppressed patients[J]. J Clin Microbiol, 2001, 39(3): 1134-1136. DOI:10.1128/JCM.39.3.1134-1136.2001
[21] Ricci RM, Evans JS, Meffert JJ, et al. Primary cutaneous Aspergillus ustus infection: second reported case[J]. J Am Acad Dermatol, 1998, 38(5 Pt 2): 797-798. DOI:10.1016/s0190-9622(98)70460-8
[22] Glampedakis E, Erard V, Lamoth F. Clinical relevance and characteristics of Aspergillus calidoustus and other Aspergillus species of section Usti[J]. J Fungi, 2020, 6(2): 84. DOI:10.3390/jof6020084