中华急诊医学杂志  2024, Vol. 33 Issue (2): 172-178   DOI: 10.3760/cma.j.issn.1671-0282.2024.02.006
脓毒症大鼠血小板受体CD62P的表达及替格瑞洛的心脏保护作用
郭沛雨1 , 郭飞2 , 黄海2 , 单亮1     
1. 青岛大学附属医院重症医学科, 青岛 266061;
2. 青岛大学医学部,青岛 266061
摘要: 目的 探讨脓毒症大鼠血小板受体CD62P表达情况以及替格瑞洛的抗炎作用及其对脓毒症大鼠心肌损伤的保护作用。方法 采用SD雄性大鼠32只,以随机数字表法将大鼠分为4组: 假手术组(sham)、脓毒症组(cecal ligation and puncture,CLP)、低剂量给药组(low dose, LD): 给药剂量为10 mg/kg、高剂量给药组(high dose, HD): 给药剂量为50 mg/kg,每组8只。假手术组大鼠仅进行开关腹并剥离盲肠处理,脓毒症组、低剂量给药组和高剂量给药组的大鼠采用CLP法构建脓毒症大鼠模型,给药组分别按照10 mg/kg及50 mg/kg用量进行替格瑞洛灌胃给药,假手术组及脓毒症组则按照1 mL/kg进行生理盐水灌胃处理。分别于手术前12 h及手术后12 h两次对大鼠进行灌胃给药。各组大鼠造模后24 h经腹主动脉取血并采集病理标本。应用流式细胞术检测各组大鼠血小板表面受体CD62P的表达情况;采用酶联免疫吸附试验(ELISA)法检测IL-6、TNF-α水平;检测心肌损伤标志物:CKMB、LDH水平;并检测转氨酶、肌酐、白细胞水平;对心肌组织进行HE染色观察病理形态;通过TUNEL法观察心肌细胞凋亡情况。结果 ① 流式结果可见与sham组相比,CLP组的CD62P表达水平明显增加(P < 0.01),两组给药组与CLP组相比CD62P的表达水平均明显降低,HD组更为显著(P < 0.01)。②ELISA结果显示与sham组相比CLP组的IL-6、TNF-α水平显著升高(P < 0.01),HD组较CLP组显著降低(P < 0.05),LD组IL-6水平下降不明显。CLP组的TNF-α水平与sham组相比明显升高(P < 0.01)。③CLP组和两组替格瑞洛干预组与sham组相比,CKMB和LDH的表达水平均有显著增加(P < 0.01),给药组与CLP组相比CKMB、LDH均有明显下降(P < 0.05),HD组下降更明显(P < 0.01)。;④与sham组相比,CLP组大鼠血WBC,ALT,CR值升高明显,而使用替格瑞洛进行干预后,大鼠的WBC、ALT、CR值下降明显(P < 0.05),且差异与剂量明显相关。⑤病理结果显示:sham组心肌细胞形态正常,CLP组心肌细胞损伤最重,LD组及HD组心肌细胞损伤较CLP组明显减轻。⑥Tunel染色显示与Sham组可见的少量阳性细胞比较,CLP组可见大量被染色的阳性细胞,LD组和HD组心肌细胞凋亡与CLP组相比明显减少。结论 脓毒症激活血小板,刺激CD62P的过度表达,进而诱导炎症反应的过度激活,引起心肌细胞的凋亡和损伤,导致脓毒性心肌损伤;替格瑞洛的心脏保护作用可能与抑制血小板活化后CD62P表达的减少有关,且CD62P的表达与替格瑞洛之间存在剂量依赖关系。
关键词: 脓毒症    CD62P    P选择素    替格瑞洛    心肌损伤    血小板    血小板受体    脓毒性心肌病    
Expression of platelet receptor CD62P in septic rats and the cardioprotective effect of ticagrelor
Guo Peiyu1 , Guo Fei2 , Huang Hai2 , Shan Liang1     
1. Department of Critical Care Medicine, Affiliated Hospital of Qingdao University, Qingdao 266061, China;
2. Department of Medicine, Qingdao University, Qingdao 266061, China
Abstract: Objective To investigate the expression of platelet receptor CD62P in septic rats and the anti-inflammatory effect of ticagrelor and its protective effect on myocardial injury in septic rats. Methods Thirty-two male SD rats were randomly(random number) divided into 4 groups: sham group, cecal ligation and puncture group(CLP), low dose group: the dose of 10 mg/kg, high dose group: the dose was 50 mg/kg, 8 rats in each group. The rats in the sham operation group were only treated with abdominal switch and cecum stripping, and the rats in the sepsis group, the low dose group and the high dose group were treated with CLP method to establish the sepsis model. The rats in the ticagrelor administration group were treated with ticagrelor at a dose of 10 mg/kg and 50mg/kg by gavage, respectively. The sham operation group and the sepsis group were treated with normal saline (1 mL/kg) by gavage. The rats were administrated twice by gavage 12 hours before and 12 hours after surgery. Blood samples were collected from the abdominal aorta 24 hours after modeling and then pathological specimens were collected. The expression of platelet surface receptor CD62P was detected by flow cytometry. The levels of interleukin-6 (IL-6) and tumor necrosis factor-α (TNF-α) were detected by enzyme-linked immunosorbent assay (ELISA). The levels of myocardial injury markers including CKMB and LDH were detected. The levels of transaminase, creatinine and white blood cell were detected. HE staining was used to observe the pathological morphology of myocardial tissue. Cardiomyocyte apoptosis was observed by TUNEL assay. Results ① Compared with sham group, the expression of CD62P in CLP group significantly increased (P < 0.01). Compared with the CLP group, the expression levels of CD62P in the two treatment groups significantly decreased, and the HD group was more significant (P < 0.01).②ELISA results showed that compared with sham group, the level of IL-6 in CLP group was significantly increased (P < 0.05). Compared with the CLP group, the HD group significantly decreased (P < 0.05). There was no significant decrease in IL-6 level in the LD group. The level of TNF-α in CLP group was significantly higher than that in sham group (P < 0.01). ③ Compared with sham group, the expression levels of CKMB and LDH in CLP group and two ticagrelor intervention groups significantly increased (P < 0.01). Compared with the CLP group, CKMB and LDH in the treatment group significantly decreased (P < 0.05), and the HD group decreased more significantly (P < 0.01). ④ Compared with sham group, WBC, ALT, CR values in CLP group significantly increased, while after the intervention with ticagrelor, WBC, ALT, CR values in rats significantly decreased (P < 0.05), and the difference significantly related to the dose. ⑤ The pathological results showed that the morphology of myocardial cells in sham group was normal. The CLP group most myocardial cell injury. LD and HD group the CLP group obviously reduce myocardial cell injury.⑥ Tunel staining showed that compared with a small number of positive cells in Sham group, a large number of positive cells were stained in CLP group. The apoptosis of myocardial cells in LD and HD groups significantly reduced compared with CLP group. Conclusions Sepsis activates platelets and stimulates the overexpression of CD62P, which induces excessive activation of inflammatory response, induces apoptosis and damage of cardiomyocytes, and leads to septic myocardial injury. The cardioprotective effect of ticagrelor may be related to the inhibition of the reduction of CD62p expression after platelet activation, and the expression level of CD62p has a dose-dependent relationship with ticagrelor.
Key words: Sepsis    CD62P    P selection    Ticagrelor    Myocardial injury    Blood platelets    Platelet receptor    Sepsis-induced cardiomyopathy    

脓毒症是指由于感染引起的机体反应失调,进而导致的严重的器官功能障碍[1]。脓毒症因其极高的发病率和病死率成为目前十分重要的热点问题。脓毒症患者的器官功能障碍具有重要的预后预测价值[2]。脓毒性心肌病(sepsis-induced cardiomyopathy, SIC)以其不良结局和病死率增加为特征,是脓毒症患者预后不良的重要指标[3]。近年来,越来越多的证据表明,过度的炎症反应在脓毒性心肌病的发病机制中起着至关重要的作用[4]。研究[5-6]表明,脓毒症的严重程度与血小板的活化密切相关。血小板活化后,P-选择素(CD62P)在血小板表面表达,它在血小板介导的炎症过程中起着关键作用[7]。既往有研究[8-9]表明,替格瑞洛可以通过减少CD62P的表达抑制血小板活化,进而减少脓毒症时炎性细胞因子水平,减轻肾脏及肺损伤。本研究将采用盲肠结扎穿刺构建脓毒症大鼠模型,探讨脓毒症大鼠血小板受体CD62P表达情况以及替格瑞洛的抗炎作用及其对脓毒症大鼠心肌损伤的保护作用。

1 材料及方法 1.1 主要试剂及仪器

替格瑞洛购自阿斯利康制药有限公司;白介素-6(IL-6)、肿瘤坏死因子-α(TNF-α)酶联免疫试剂盒购自美国Boster公司;FITC anti-rat CD62p购自美国Biolegend公司;多色分析型流式细胞CytoFLEX S购自美国Beckman Coulter公司。

1.2 动物与分组

采用SPF级SD雄性大鼠32只,6~8周龄,体质量为220~320 g。实验动物来源为:青岛大学医学院实验动物和动物实验中心,动物合格证编号:SCXK(鲁)2020 0009;青岛大学附属医院动物伦理委员会备案号:QYFY WZLL 27583。以随机数字表法将大鼠分为4组: 假手术组(sham)、脓毒症组(cecal ligation and puncture,CLP)、低剂量给药组(low dose, LD): 给药剂量为10 mg/kg、高剂量给药组(high dose, HD): 给药剂量为50 mg/kg,每组8只。

1.3 实验动物造模及给药

大鼠术前12 h禁食不禁水,假手术组大鼠仅做开关腹剥离盲肠处理,其余3组采用盲肠结扎穿刺术(CLP)构建脓毒症模型。将大鼠固定于动物手术台上,腹部备皮、消毒、铺巾,在剑突下沿腹正中线剪开皮肤,找到盲肠及其肠系膜,使用3-0号线在约50%处结扎盲肠,18 G针头在盲肠做两处穿孔,轻轻挤压出肠内容物,将盲肠复位后关腹。术后以20 mL/kg生理盐水皮下注射进行液体复苏。给药组分别将替格瑞洛片按照10 mg/kg及50 mg/kg与纯净水0.1 mL/kg配成悬浊液进行灌胃给药,假手术组及脓毒症组则按照0.1 mL/kg进行生理盐水灌胃。分别于手术前12 h及手术后12 h两次灌胃给药。造模后观察大鼠,造模后大鼠口鼻及眼睛分泌物明显增多,竖毛,蜷缩,精神萎靡,认定脓毒症大鼠造模成功。

1.4 标本采集

各组造模后24 h病死率分别为:sham组0;CLP组50%;LD组50%;HD组37.5%,为保证数据充实性,重复多次实验,随机选取各组存活大鼠各8只进行标本采集。造模后24 h经腹主动脉取血。全血放入抗凝管放置2 h后3 000转离心15 min,分装后-20℃保存待进行生化检测;1 500 g离心15 min,分装后-20℃保存待进行ELISA检测;采集心脏病理标本并应用多聚甲醛保存。

1.5 检测指标及方法 1.5.1 流式细胞术检测血小板活化

全血放入柠檬酸钠抗凝管后在常温下以150 g离心10 min,取出上清液制备富血小板血浆(PRP),加入1%多聚甲醛固定20 min,将PRP用磷酸盐缓冲盐水(PBS)以1:20的比例稀释,每管底部加入100 μL PRP,加入CD62P抗体,室温避光孵育20~30 min,用磷酸盐缓冲盐水(PBS)重悬,2 h内上机检测。

1.5.2 血清样本检测

使用ELISA法按照试剂盒说明书检测IL-6、TNF-α水平。应用全自动生化仪检测CKMB、LDH、ALT、CR、WBC。

1.5.3 大鼠心肌组织HE染色

将大鼠心脏标本应用PBS溶液冲洗心腔内血液,用多聚甲醛固定,进行脱水、石蜡包埋、切片、烤片、水化、染色,封固并晾干后置于荧光显微镜下进行观察。

1.5.4 心肌细胞TUNEL染色

应用TUNEL染色细胞凋亡试剂盒对各组大鼠心肌细胞进行细胞凋亡的检测。

1.6 统计学方法

应用graphpad prism 8.0.2软件分析原始数据并绘制图表,所有数据进行正态分布检验,符合正态分布的计量资料以均数±标准差(x±s)表示,并进行方差齐性分析。多组间比较采用单因素方差分析法,非参数分布数据采用Kruskal - Wallis进行分析。以P<0.05为差异有统计学意义。

2 结果 2.1 流式细胞仪检测血小板活化情况

与sham组相比,CLP组的CD62P表达水平明显增加(P < 0.01),两组给药组与CLP组相比CD62P的表达水平均明显降低(P < 0.01),HD组与LD组相比下降更为显著(P < 0.01), 差异有统计学意义(图 1B)。

A:应用流式细胞仪检测各组CD62P的代表性图像。B:将CD62P表达情况用平均荧光强度进行定量分析。sham为假手术组:CLP为脓毒症组;LD为低剂量给药组;HD为高剂量给药组。aP < 0.05,bP < 0.01,cP < 0.01,dP < 0.01 图 1 流式细胞仪检测血小板活化情况 Fig 1 Platelet activation measured by flow cytometry
2.2 大鼠炎症因子的表达差异

酶联免疫吸附试验(ELISA)法检测各组大鼠的白细胞介素-6(IL-6)、肿瘤坏死因子-α(TNF-α)水平。与假手术组相比,CLP组的IL-6及TNF-α水平显著升高,两组给药组的IL-6及TNF-α水平较脓毒症组显著降低(图 2)。不同的替格瑞洛浓度干预下,IL-6的下降与替格瑞洛的用药剂量相关(图 2A)。

A:各组大鼠(IL-6)水平;B:各组大鼠(TNF-α)水平;IL-6为白细胞介素-6;TNF-α为肿瘤坏死因子-α; aP < 0.05,bP < 0.01,cP < 0.01,dP < 0.01 图 2 炎症因子IL-6、TNF-α表达情况 Fig 2 Expression of inflammatory factors IL-6 and TNF-α
2.3 大鼠心肌损伤标志物的变化

CLP组与假手术组相比,其肌酸激酶同工酶(CKMB)及乳酸脱氢酶(LDH)的表达水平均有显著增加(P < 0.01),两组替格瑞洛给药组与脓毒症组相比CKMB、LDH浓度均有明显下降,且高剂量给药组下降更明显(P < 0.01),低剂量给药组与高剂量给药组的CKMB、LDH水平差异有统计学意义(P < 0.05)(图 3)。

A:各组大鼠CKMB水平;B:各组大鼠LDH水平注:CKMB为肌酸激酶同工酶;LDH为乳酸脱氢酶; aP < 0.05,bP < 0.01,cP < 0.01,dP < 0.01 图 3 示心肌损伤标志物CKMB、LDH水平 Fig 3 the myocardial injury markers CKMB, LDH level
2.4 大鼠各脏器功能改变

与假手术组相比,术后24 h脓毒症组大鼠血白细胞(WBC),谷丙转氨酶(ALT),肌酐(CR)值升高明显,而使用替格瑞洛进行干预后,大鼠的WBC、ALT、CR值下降明显,且相比于脓毒症组差异有统计学意义(P < 0.05),且差异与剂量明显相关,高剂量给药组下降更为显著(图 4)。

A:各组大鼠CR水平;B:各组大鼠ALT水平;C:各组大鼠WBC水平;CR为血肌酐;ALT为谷丙转氨酶;WBC为白细胞;aP < 0.05,bP < 0.01,cP < 0.001,dP < 0.0001 图 4 各组大鼠CR、ALT、WBC变化 Fig 4 Changes in CR, ALT, and WBC of rats in each group
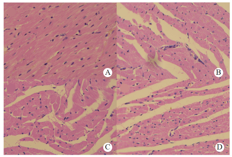
2.5 大鼠心脏组织病理学变化

应用显微镜观察各组大鼠心肌组织,sham组心肌细胞形态正常,CLP组的心肌纤维失去正常的形态,心肌纤维出现断裂,间质出现水肿,结构疏松,有纤维空泡形成,伴有炎症细胞的浸润。相比于脓毒症组,HD组大鼠的心肌细胞病理损伤明显减轻,纤维结构相对正常,但仍有部分水肿。LD组与HD组相比,大鼠心肌细胞形态和细胞核的改变并不显著(图 5)。

A:sham组;B:CLP组;C:LD组;D:HD组 图 5 各组大鼠心肌细胞HE染色切片(×400) Fig 5 Rat myocardial cells under a microscope HE staining slice(×400)
2.6 大鼠心肌细胞凋亡情况

应用TUNEL染色法观察大鼠心肌细胞凋亡情况。结果显示与假手术组相比,CLP组大鼠心肌细胞凋亡显著增多,应用替格瑞洛干预后心肌细胞凋亡情况明显减少(图 6)。

A: Sham组;B: CLP组;C: LD组;D: HD组; 图中可见TUNEL染色(红色)(白色箭头所指)和DAPI核反染色(蓝色)检测凋亡核,CLP组大鼠心肌组织中可见大量TUNEL阳性凋亡细胞,与sham组相比明显增多,而LD与HD组的心肌细胞凋亡较CLP组明显减少。放大倍数为40X 图 6 TUNEL染色后大鼠心肌细胞凋亡情况 Fig 6 Cardiomyocyte apoptosis in rats by TUNEL staining
2.7 相关性分析

将大鼠的IL-6与CKMB的水平以及CD62P表达情况与IL-6、CKMB水平做相关性分析。结果可见IL-6与CKMB水平显著相关,CD62P的表达与IL-6和CKMB均显著相关,这表明炎症反应的严重程度与心肌损伤情况显著相关,CD62P的表达情况与炎症反应的严重程度以及心肌损伤程度显著相关(图 7)。

A:炎症因子IL-6及心肌损伤标志物CKMB的相关性分析;B:CD62P的表达情况与炎症因子IL-6的相关性分析;C:CD62P与心肌损伤标志物CKMB的相关性分析。将各组数据分别进行正态性检验,CD62P为非正态分布,IL-6和CKMB为正态性分布,IL-6和CKMB行Spearman相关性分析如图A;CD62P与IL-6和CKMB进行Pearson相关性分析如图B、C 图 7 CD62P的表达与炎症和炎症与心肌损伤的相关性 Fig 7 Correlation of CD62P expression and inflammation, and inflammation and myocardial injury
3 讨论

脓毒症是一种复杂的综合征,脓毒性心肌损伤的产生涉及多种发病机制,其中,过度的炎症反应导致免疫调节失控是其主要机制之一[10]。有研究表明,脓毒症期间,机体释放大量促炎细胞因子,如IL-6、TNF-α、IL-1β等,它们在引起心肌功能障碍的过程中扮演着重要角色[11]。在本研究中,为了确定炎症因子与脓毒症相关心肌损伤的关系,检测了CLP组血清IL - 6和TNF-α水平以及心肌损伤标志物CKMB和LDH水平,结果显示CLP组IL-6、TNF-α、CKMB和LDH水平均升高,且IL-6与CKMB水平的升高呈正相关,这与既往的研究结果是一致的。这表明炎症反应的失衡参与介导了脓毒症性心肌功能障碍的产生,这种机制可能与CD62P浓度的升高有关。

血小板是机体凝血过程的重要参与者,近年来越来越多的研究证明了血小板深度参与了机体的炎症反应及免疫过程[12]。血小板在炎症及免疫反应中可表达多种分子,如Toll样受体、CD40、CD154、P选择素、E选择素等,通过产生细胞因子直接或间接与中性粒细胞、单核细胞以及其他细胞相互作用,进而参与机体炎症及免疫反应[13]。有研究表明,脓毒症可诱导血小板的活化,血小板减少是提示脓毒症患者不良预后的独立危险因素[14]。活化的血小板在其表面膜上表达多种黏附分子,其中,P选择素(CD62P)与中性粒细胞上的P选择素糖蛋白配体-1(PSGL-1)结合,介导了血小板与白细胞的结合及聚集,增强了白细胞的滚动和黏附作用,与细菌或内皮相互作用,引起血栓炎症,进一步放大机体炎症级联反应,加重组织损伤[15]。此外,活化的血小板通过CD62P的表达介导了中性粒细胞细胞外陷阱(NETs)的形成和释放[16]。NETs是一种复杂的网状结构,具有捕获及清除病原体的作用,然而NETs的过度形成会引起失控的炎症反应及组织损伤,导致脓毒症患者的不良结局[17]。由此可见,血小板-中性粒细胞聚集形成是CD62P依赖的,且CD62P的表达与脓毒症严重程度之间呈正相关,CD62P的表达在机体的炎症反应中起重要作用。

替格瑞洛通过拮抗血小板P2Y12受体发挥其抗血小板作用,P2Y12受体拮抗剂可降低血小板CD62P的表达、血小板-白细胞复合物的形成和α颗粒内容物的释放。对于急性冠脉综合征的患者,血小板P2Y12受体拮抗剂可降低C反应蛋白及TNF-α水平,这可能与P2Y12介导的血小板-白细胞相互作用的减少有关[18]。Jain等[19]的临床研究表明P2Y12受体拮抗剂的应用可降低脓毒症患者的病死率。此外另有研究表明替格瑞洛可能通过腺苷抑制血小板聚集并发挥抗炎作用[20]。上述研究表明替格瑞洛可能参与机体抗炎作用,但其具体的潜在机制尚不清楚。本研究显示,与假手术组相比,脓毒症组大鼠CD62P的表达水平显著增加,应用替格瑞洛进行干预后,两组给药组与脓毒症组相比CD62P的表达水平均显著下降,且高剂量组的CD62P表达水平下降更为明显,这表明脓毒症激活血小板,引起CD62P表达程度的增加,提示CD62P与脓毒症存在一定程度的相关性。应用替格瑞洛进行干预后,CD62P、IL-6、CKMB和LDH均降低,心肌组织HE染色可见纤维结构相对正常。替格瑞洛引起的CD62P的降低与CKMB、LDH和IL-6的降低显著相关,这表明替格瑞洛可能通过抑制CD62P的分泌和CD62P介导的炎症反应来减轻脓毒性心肌损伤的严重程度,且CD62P表达的抑制与替格瑞洛之间存在剂量依赖关系。

CD62P介导中性粒细胞在心肌组织的积聚,是脓毒性心肌病的始动因素[13]。既往有研究表明,白细胞参与机体炎症免疫反应风暴,诱导心肌细胞凋亡,抑制心肌细胞凋亡可以保护心脏免受脓毒性心肌病的损伤[21]。本研究表明,CLP组大鼠心肌细胞凋亡相比于假手术组显著增加,这与之前的发现一致。与CLP组相比,替格瑞洛干预组的心肌细胞凋亡明显减少,提示替格瑞洛抑制CD62P分泌可减轻心肌细胞凋亡。

本研究证明脓毒症导致血小板过度激活,引起CD62P表达水平升高和心肌细胞凋亡数量增多,CD62P的异常表达诱导炎症因子的释放和心肌细胞损伤,这表明CD62P介导的炎症和心肌细胞凋亡可能是脓毒性心肌病的关键病理生理机制。替格瑞洛通过抑制CD62P介导的炎症反应,减轻全身和心脏局部炎症反应,减少心肌细胞凋亡,发挥一定的心脏保护作用。

利益冲突  所有作者声明无利益冲突

作者贡献声明  郭沛雨:研究设计、实验操作、论文撰写;郭飞:数据整理;黄海:实验操作;单亮:研究设计、论文修改

参考文献
[1] Cecconi M, Evans L, Levy M, et al. Sepsis and septic shock[J]. Lancet, 2018, 392(10141): 75-87. DOI:10.1016/S0140-6736(18)30696-2
[2] 王超, 苏强, 张淑文, 等. 重症脓毒症合并多器官功能障碍综合征的临床特征[J]. 中华急诊医学杂志, 2006, 15(4): 300-303. DOI:10.3760/j.issn:1671-0282.2006.04.003
[3] Hollenberg SM, Singer M. Pathophysiology of sepsis-induced cardiomyopathy[J]. Nat Rev Cardiol, 2021, 18(6): 424-434. DOI:10.1038/s41569-020-00492-2
[4] Sato R, Nasu M. A review of sepsis-induced cardiomyopathy[J]. J Intensive Care, 2015, 3: 48. DOI:10.1186/s40560-015-0112-5
[5] Greco E, Lupia E, Bosco O, et al. Platelets and multi-organ failure in sepsis[J]. Int J Mol Sci, 2017, 18(10): 2200. DOI:10.3390/ijms18102200
[6] 王红, 张淑文, 任爱民, 等. 重度脓毒症凝血功能紊乱与病情严重度及预后的关系[J]. 中华急诊医学杂志, 2005, 14(10): 804-806.
[7] Singer M, Deutschman CS, Seymour CW, et al. The third international consensus definitions for Sepsis and septic shock (Sepsis-3)[J]. JAMA, 2016, 315(8): 801-810. DOI:10.1001/jama.2016.0287
[8] Li XH, Li YS, Shen K, et al. The protective effect of ticagrelor on renal function in a mouse model of sepsis-induced acute kidney injury[J]. Platelets, 2019, 30(2): 199-205. DOI:10.1080/09537104.2017.1392499
[9] Sexton TR, Zhang GY, MacAulay TE, et al. Ticagrelor reduces thrombo inflammatory markersin patients with pneumonia[J]. JACC Basic Transl Sci, 2018, 3(4): 435-449. DOI:10.1016/j.jacbts.2018.05.005
[10] Romero-Bermejo FJ, Ruiz-Bailen M, Gil-Cebrian J, et al. Sepsis-induced cardiomyopathy[J]. Curr Cardiol Rev, 2011, 7(3): 163-183. DOI:10.2174/157340311798220494
[11] Ruan WB, Ji XY, Qin YT, et al. Harmine alleviated sepsis-induced cardiac dysfunction by modulating macrophage polarization via the STAT/MAPK/NF-κB pathway[J]. Front Cell Dev Biol, 2021, 9: 792257. DOI:10.3389/fcell.2021.792257
[12] Vardon-Bounes F, Ruiz S, Gratacap MP, et al. Platelets are critical key players in Sepsis[J]. Int J Mol Sci, 2019, 20(14): 3494. DOI:10.3390/ijms20143494
[13] Thomas MR, Storey RF. The role of platelets in inflammation[J]. Thromb Haemost, 2015, 114(3): 449-458. DOI:10.1160/TH14-12-1067
[14] Ghimire S, Ravi S, Budhathoki R, et al. Current understanding and future implications of sepsis-induced thrombocytopenia[J]. Eur J Haematol, 2021, 106(3): 301-305. DOI:10.1111/ejh.13549
[15] Wang XL, Deng HF, Tan CY, et al. The role of PSGL-1 in pathogenesis of systemic inflammatory response and coagulopathy in endotoxemic mice[J]. Thromb Res, 2019, 182: 56-63. DOI:10.1016/j.thromres.2019.08.019
[16] Etulain J, Martinod K, Wong SL, et al. P-selectin promotes neutrophil extracellular trap formation in mice[J]. Blood, 2015, 126(2): 242-246. DOI:10.1182/blood-2015-01-624023
[17] Denning NL, Aziz M, Gurien SD, et al. DAMPs and NETs in sepsis[J]. Front Immunol, 2019, 10: 2536. DOI:10.3389/fimmu.2019.02536
[18] Thomas MR, Storey RF. Effect of P2Y12 inhibitors on inflammation and immunity[J]. Thromb Haemost, 2015, 114(3): 490-497. DOI:10.1160/th14-12-1068
[19] Jain N, Phadnis MA, Martin BC, et al. Potent antiplatelet therapy may reduce death from sepsis in patients on chronic dialysis[J]. Am J Cardiol, 2022, 162: 209-211. DOI:10.1016/j.amjcard.2021.10.001
[20] Cattaneo M, Schulz R, Nylander S. Adenosine-mediated effects of ticagrelor: evidence and potential clinical relevance[J]. J Am Coll Cardiol, 2014, 63(23): 2503-2509. DOI:10.1016/j.jacc.2014.03.031
[21] Li N, Zhou H, Wu HM, et al. STING-IRF3 contributes to lipopolysaccharide-induced cardiac dysfunction, inflammation, apoptosis and pyroptosis by activating NLRP3[J]. Redox Biol, 2019, 24: 101215. DOI:10.1016/j.redox.2019.101215