2. 浙江中医药大学附属第三医院, 杭州 310014
有机磷农药中毒是我国最常见的急性农药中毒之一,也是发展中国家最常见的死亡原因[1],特别是在南亚、东南亚和中国等发展中国家。据报道,全球每年约有11万人死于有机磷农药中毒[2-3]。有调查显示:在中国的江苏省,2007—2016年期间报告约30 789起农药中毒案件,其中大部分是有机磷[4]。有机磷中毒可导致多脏器受损,其中急性呼吸衰竭是最主要的死亡原因,但部分患者经过积极救治,症状明显改善后却突然死亡,推测与心肌损伤有关[5]。急性有机磷中毒极易造成心肌不同程度损害[6],最常见的临床表现为心律失常及不同程度的心肌损伤和心力衰竭,增加患者的病死率及不良预后[7]。目前临床常见治疗方法包括使用阿托品、解磷定,辅以洗胃、血液灌流等综合治疗[8-9],但病死率及预后效果依然不理想。有研究显示,脂肪乳与阿托品、解磷定的标准治疗的基础上联合应用,可以减轻有机磷中毒的症状,降低病死率,加快乙酰胆碱酶恢复,减轻心脏的损伤[10-12],但是具体作用机制尚未知晓。已有研究报道,在急性有机磷中毒过程中,脂肪乳通过脂多糖(lipopolysaccharide, LPS)/Toll样受体4(toll-like receptor, TLR4)通路发挥对肺的保护作用[13],但脂肪乳在心脏的保护中LPS/TLR4通路是否也发挥作用需要进一步探索。本研究通过构建有机磷中毒大鼠模型,探究脂肪对急性有机磷中毒对心脏的保护作用的机制。
1 材料与方法 1.1 化学材料本实验使用敌敌畏(DDVP,20200813001,中国荆州,安道麦股份有限公司),20%静脉注射脂肪乳(intravenous Lipid emulsion,ILE,中国苏州,费森尤斯卡比华瑞制药有限公司)、阿托品(1811161,中国上海,上海禾丰制药有限公司)、解磷定[19032701,中国开封,开封制药(集团)有限公司]、Toll4阻断剂(66229,MedChem Express,美国)、CD284(TLR4单克隆抗体,12-9041-80,eBioscience™,美国)。
1.2 动物饲养及模型建立SD大鼠50只[SCXK(沪):20170012005541,中国上海],体重250~280 g,饲养在浙江省人民医院动物实验室内,室内温度维持在温度20~25℃,相对湿度40%~70%,饮用水为灭菌二级超纯水,符合中华人民共和国国家标准《生活饮用水卫生标准》(GB5749-2006)的规定,在动物房适应2周后进行实验。
所有大鼠均腹腔注射有机磷农药(DDVP 7 mg/kg),染毒后,随机将大鼠分为5组(每组10只),根据不同的治疗分别命名为(1)对照组: 大鼠仅经尾静脉注射的生理盐水(5 mL/kg);(2)脂肪乳组:大鼠经尾静脉注射20%的ILE(5 mL /kg);(3)标准组:大鼠经肌肉注射阿托品(10 mg/kg)、解磷定(40 mg/kg);(4)脂肪乳治疗组:大鼠在标准组的基础上增加20% ILE(5 mL/kg);(5)阻断组:大鼠在脂肪乳治疗组的基础上增加经尾静脉注射TLR4抗体(0.5 mg/kg)。所有大鼠均腹腔内注射麻醉剂氯胺酮50 mg/kg(Ketalar®,土耳其)和肌松剂甲苯噻嗪5 mg/kg(拜耳,德国),染毒后的所有大鼠均存活24 h后脱颈处死。该方案由浙江省人民医院动物保护伦理委员会批准(HB2020011909002LG-A)。
1.3 标本的处理、病理学观察、炎症细胞因子的检测及流式细胞术大鼠染毒24 h后使眼眶下采血1 mL,用HI-TACHI7170全自动生化仪测定全血乙酰胆碱(acetylcholine, Ach)、乳酸脱氢酶(lactate dehydrogenase, LHD)、肌钙蛋白(troponin T, cTnT)的含量;腹腔注射5%水合氯醛(6 mL/kg)麻醉后,取出部分心脏,4%甲醛溶液中固定、修块、脱水、浸蜡、包埋、切片、用苏木精-伊红(H & E)染色, 镜下观察肌纤维、红细胞和炎症细胞数量评价心脏炎症反应;利用ELISA技术检测心脏的白介素(interleukin, IL)-6、肿瘤坏死因子-α(tumour necrosis factor-α, TNF-α)、核因子κB(nuclear factor kappa-B, NF-κB)炎症细胞因子的表达:制备心脏单细胞悬液,流式细胞术检测心脏悬液中LPS/TLR4表达。
1.4 统计学方法采用SPSS 22.0软件进行统计分析,符合正态分布的计量资料以均数±标准差(x±s)表示,单因素多水平组比较采用单因素方差分析,采用LSD-t法进一步进行组间两两比较。以P < 0.05为差异有统计学意义。
2 结果 2.1 大鼠有机磷中毒前的基础生理指标在有机磷中毒前,10只大鼠的各项基础生理指标测量结果(见表 1)。5组大鼠的体重、体温均差异无统计学意义(均P > 0.05)。见表 1。
| 组别 | 对照组 | 脂肪乳组 | 标准组 | 脂肪乳治疗组 | 阻断组 | F值 | P值 |
| 体重(g) | 265.50±9.45 | 263.40±5.42 | 260.70±6.50 | 264.20±8.12 | 264.20±8.12 | 0.7385 | 0.776 |
| 温度(℃) | 36.66±0.25 | 36.69±0.25 | 36.75±0.21 | 36.76±0.17 | 36.81±0.19 | 0.7758 | 0.571 |
有机磷中毒后的大鼠,对照组大鼠24 h后死亡5只,脂肪乳组死亡4只;标准治疗组死亡3只,脂肪乳治疗组死亡2只,阻断组死亡1只。给予不同处理4 h后的血清的生化显示,对照组Ach明显下降,心肌损伤标志物LDH、cTnT明显升高,脂肪乳组Ach亦下降;与对照组比较,标准治疗组Ach下降较少,LDH、cTnT升高较少,阻断组活性下降最少,心肌损伤标志物cTnT最低(均P < 0.05)。见表 2。
| 组别 | 对照组 | 脂肪乳组 | 标准组 | 脂肪乳治疗组 | 阻断组 | F值 | P值 |
| Ach(U/L) | 137.40±73.67 | 306.31±66.01a | 441.70±174.37 a | 536.40±229.38 ab | 721.90±6.48 abcd | 14.14 | < 0.001 |
| LDH(U/L) | 539.50±25.01 | 413.80±31.36a | 352.20±30.92 a | 315.40±22.29 abc | 275.20±11.03 abcd | 150.00 | < 0.001 |
| cTnT(µg/L) | 185.30±10.52 | 165.90±4.53a | 144.00±7.60 ab | 125.20±5.51 abc | 71.90±3.28 abcd | 411.90 | < 0.001 |
| 注:与对照组相比,aP < 0.05;与脂肪乳组相比,bP < 0.05;与标准组相比,cP < 0.05;与脂肪乳治疗组相比,dP < 0.05 | |||||||
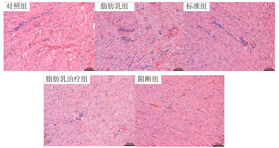
有机磷中毒的大鼠分别给予不同治疗后,心脏病理显示:对照组肌纤维排列紊乱,部分肌纤维断裂,组织间大量红细胞渗漏,炎细胞浸润及部分细胞水肿;脂肪乳组则见部分肌纤维断裂,炎细胞浸润,组织间充血;标准治疗组炎细胞减少,组织间充血缓解;脂肪乳剂治疗组炎细胞浸润明显缓解,组织间少量充血;阻断组肌纤维排列较整齐,见少量炎细胞浸润(图 1)。
|
| 图 1 大鼠在有机磷中毒24 h后心脏染色观察组织的病理情况(HE×100 µm) |
|
|
有机磷中毒后,对照组大鼠血清的炎症细胞因子IL-6、TNF-α、NF-κB明显升高。与对照组相比,脂肪乳组炎症细胞因子略下降,而标准组的大鼠炎症细胞下降较大,脂肪乳治疗组的下降明显,阻断组下降最多(图 2,均P < 0.05)。
|
| 与对照组比较,aP < 0.01;与脂肪乳组比较,bP < 0.01;与标准组比较,cP < 0.01;与脂肪乳治疗组比较,dP < 0.01 图 2 各组大鼠有机磷中毒后血清炎症细胞因子的分泌量 |
|
|
大鼠有机磷中毒后,通过流式细胞术分析显示:对照组心脏表达的LPS/TLR4明显低于明显高于脂肪乳组;与标准治疗组对比,脂肪乳治疗组LPS/TLR4的表达明降低,阻断组的表达量最低(均P < 0.05)。见图 3。
|
| 与对照组比较,aP < 0.001;与脂肪乳组比较,bP < 0.001;与标准组比较,cP < 0.001;与脂肪乳治疗组比较,dP < 0.001 图 3 各组大鼠心脏LPS/TLR4表达 |
|
|
当有机磷中毒发生时,其发病急、病情进展迅速、病情凶险,且导致多个脏器功能受损,在临床上最常见损伤脏器为肺及神经系统,而心脏的损害多被忽略,因此错过最佳治疗时期,导致患者的病死率高及预后欠佳[14]。研究显示有机磷农药可直接损害心肌,斑马鱼胚胎有机磷中毒后引起心脏毒性,不仅心房和心室结构异常,而且导致心搏减少[15],也有证据表明有机磷可以改变心脏和其他细胞的钙稳态[16]。同时有机磷中毒可出现胆碱能危象、心肌缺氧、电解质紊乱、体内代谢性酸中毒加剧心脏功能受损;体内的炎症细胞因子在短时间内呈高水平表达,其中主要包括IL-6,TNF-α等,其抑制心肌收缩性、左室重构、纤维化和瘢痕组织形成,导致心肌肥厚,进一步加剧心功能衰竭,甚至发生心源性猝死[17-19],因而寻找合适的药物保护心脏功能成为降低病死率的关键。
已有文章证实,脂肪乳在有机磷中毒过程中对心脏具有保护作用[20]。在本研究中,当大鼠有机磷中毒后,Ach明显下降,心肌损伤标志物cTnT、LDH及炎症细胞因子IL-6、TNF-α、NF-κB明显升高,心脏的病理提示心肌纤维排列紊乱,肌纤维断裂,组织间大量红细胞渗漏,炎细胞浸润及部分细胞水肿,心脏结构及功能受损严重,当给予阿托品及解磷定标准治疗后,Ach上升、cTnT、LDH及炎症细胞因子略下降,心肌组织内可见炎细胞浸润,组织间充血。但当增加脂肪乳治疗后,心肌损害作用明显减少,病理情况明显改善,炎症细胞因子明显下降,证实脂肪乳对心脏具有保护作用,但具体作用机制尚不清楚。
TLR4是TLRs家族的一员,研究证实TLR4是LPS的关键识别模式受体,在炎症反应和代谢综合征中起着至关重要的作用[21-23]。当TLR4与LPS结合可诱发炎症信号,从而促进炎症免疫[24-25],LPS/TLR4信号通路的激活导致细胞内炎症细胞因子的大量产生,这些炎症细胞因子对外界刺激的反应和组织损伤过程中起着至关重要的作用[26-27]。由于有机磷杀农药具有亲脂性的,同样脂肪乳也具有亲脂性,都可而抑制巨噬细胞的激活。脂肪乳中的磷脂和高密度脂蛋白在体内和体外与有机磷农药竞争性与LPS/TLR4结合,中和细胞因子反应,减少炎症因子的分泌。在对健康志愿者进行的研究表明,内毒素刺激后,增加脂肪乳治疗后,IL-6和TNF-α的表达明显下降[28]。在本研究中,通过流式细胞术显示,各组大鼠心脏的LPS/TLR4的表达量与炎症因子IL-6、TNF-α、NF-κB水平一致,证实LPS/TLR4参与脂肪乳对心脏的保护作用。为进一步证实LPS/TLR4在其中的作用,在有机磷中毒的脂肪乳治疗组增加TLR4阻断剂,24 h后显示:心脏的病理明显改善,血清的炎症细胞因子IL-6、TNF-α、NF-κB表达明显下降,乙酰胆碱明显升高,心肌损伤标志物明显减少。本实验证明,脂肪乳可以减轻急性有机磷中毒所致心脏损伤;并且通过LPS/TLR4信号通路在治疗急性有机磷中毒所致心脏损伤的过程中发挥了重要作用。
综上所述,当发生有机磷中毒后,应尽早在标准治疗的基础上增加脂肪乳,可明显改善心脏的功能,降低病死率及改善预后,并且通过LPS/TLR4通路发挥保护作用。但本研究样本量较少,检测的数据有限,且为动物实验,缺乏临床研究,拟下一步进行在临床的观察,并大量收集样本。
利益冲突 所有作者声明无利益冲突
作者贡献声明 王利分:实验操作、数据收集及整理;胡海燕:实验操作、统计学分析、论文撰写;李刚:研究设计、论文修改
| [1] | Chowdhary S, Bhattacharyya R, Banerjee D. Acute organophosphorus poisoning[J]. Clin Chim Acta, 2014, 431: 66-76. DOI:10.1016/j.cca.2014.01.024 |
| [2] | Liu S, Page A, Yin P, et al. Spatiotemporal variation and social determinants of suicide in China, 2006-2012: findings from a nationally representative mortality surveillance system[J]. Psychol Med, 2015, 45(15): 3259-3268. DOI:10.1017/S0033291715001269 |
| [3] | Aman S, Paul S, Chowdhury FR. Management of Organophosphorus Poisoning: Standard Treatment and Beyond[J]. Crit Care Clin, 2021, 37(3): 673-686. DOI:10.1016/j.ccc.2021.03.011 |
| [4] | Wang N, Jiang QT, Han L, et al. Epidemiological characteristics of pesticide poisoning in Jiangsu Province, China, from 2007 to 2016[J]. Sci Rep, 2019, 9: 8604. DOI:10.1038/s41598-019-44986-7 |
| [5] | Reddy BS, Skaria TG, Polepalli S, et al. Factors associated with outcomes in organophosphate and carbamate poisoning: a retrospective study[J]. Toxicol Res, 2020, 36(3): 257-266. DOI:10.1007/s43188-019-00029-x |
| [6] | 王飞. 长托宁对急性有机磷农药中毒患者血气分析、心肌酶谱及炎症因子的影响[J]. 中国急救复苏与灾害医学杂志, 2017, 12(10): 1007-1010. DOI:10.3969/j.issn.1673-6966.2017.10.032 |
| [7] | 汤罗嘉, 姚晨玲, 黄培志. 急性有机磷中毒的心脏损害[J]. 中华急诊医学杂志, 2009, 18(9): 996-999. DOI:10.3760/cma.j.issn.1671-0282.2009.09.027 |
| [8] | 崔晓磊, 高恒波, 田英平. 急性有机磷农药中毒的诊断及鉴别诊断: 《急性有机磷农药中毒诊治临床专家共识(2016)》解读[J]. 河北医科大学学报, 2019, 40(8) 869-871, 876. DOI:10.3969/j.issn.1007-3205.2019.08.001 |
| [9] | 唐春艳, 张凤英. 96例有机磷中毒的急救措施及护理对策[J]. 中国卫生标准管理, 2016, 7(1): 197-198. DOI:10.3969/j.issn.1674-9316.2016.01.147 |
| [10] | 李刚, 其其格, 孙健波, 等. 脂肪乳对急性有机磷中毒大鼠肺损伤的疗效分析[J]. 中华急诊医学杂志, 2012, 21(9): 976-980. DOI:10.3760/cma.j.issn.1671-0282.2012.09.014 |
| [11] | 许江涛, 蔡昭和. 静脉输注脂肪乳配合常规治疗对重度急性有机磷中毒所致心肌损伤的效果观察[J]. 临床合理用药杂志, 2017, 10(35): 78-79. DOI:10.15887/j.cnki.13-1389/r.2017.35.049 |
| [12] | 桑珍珍, 郭晋平, 李勇. 脂肪乳对重度急性有机磷中毒所致心肌损伤的疗效分析[J]. 中国急救医学, 2015, 35(10): 916-919. DOI:10.3969/j.issn.1002-1949.2015.10.012 |
| [13] | 李刚, 韩楠楠, 张可, 等. 脂肪乳通过LPS/TLR4通路对急性有机磷中毒肺损伤的治疗作用研究[J]. 重庆医学, 2022, 51(9): 1448-1452. DOI:10.3969/j.issn.1671-8348.2022.09.002 |
| [14] | 李鹏涛, 路易玲, 文启. 杂合式血液净化在急性重度有机磷中毒合并心肌损伤患者中的效果评价[J]. 四川生理科学杂志, 2022, 44(2): 196-199. |
| [15] | Gaur H, Bhargava A. Glyphosate induces toxicity and modulates calcium and NO signaling in zebrafish embryos[J]. Biochem Biophys Res Commun, 2019, 513(4): 1070-1075. DOI:10.1016/j.bbrc.2019.04.074 |
| [16] | Chan YC, Chang SC, Hsuan SL, et al. Cardiovascular effects of herbicides and formulated adjuvants on isolated rat aorta and heart[J]. Toxicol In Vitro, 2007, 21(4): 595-603. DOI:10.1016/j.tiv.2006.12.007 |
| [17] | 刘晓婷, 王磊, 陈静, 等. 早期检测hs-cTnI和sST2对急性重度有机磷农药中毒继发心脏损害的预测价值[J]. 中华劳动卫生职业病杂志, 2020, 38(4): 241-245. DOI:10.3760/cma.j.cn121094-20190529-00215 |
| [18] | 高爱华, 任静, 冯静. 血液灌流联合血液滤过在重度急性有机磷中毒救治及改善患者心肌损伤中的效果分析[J]. 陕西医学杂志, 2019, 48(3): 334-337. DOI:10.3969/j.issn.1000-7377.2019.03.013 |
| [19] | 李岩, 陈建玲. 血液灌流对急性重度有机磷农药中毒患者血清酶学的影响及临床意义[J]. 中国急救医学, 2017, 37(S1): 80-81. DOI:10.3969/j.issn.1002-1949.2017.z1.058 |
| [20] | 李国强, 邱泽武. 警惕有机磷中毒致死性合并症[J]. 中华急诊医学杂志, 2021, 30(11): 1285-1289. DOI:10.3760/cma.j.issn.1671-0282.2021.11.001 |
| [21] | Płóciennikowska A, Hromada-Judycka A, Borzęcka K, et al. Co-operation of TLR4 and raft proteins in LPS-induced pro-inflammatory signaling[J]. Cell Mol Life Sci, 2015, 72(3): 557-581. DOI:10.1007/s00018-014-1762-5 |
| [22] | Yuan YL, Gong X, Zhang L, et al. Chlorogenic acid ameliorated concanavalin A-induced hepatitis by suppression of Toll-like receptor 4 signaling in mice[J]. Int Immunopharmacol, 2017, 44: 97-104. DOI:10.1016/j.intimp.2017.01.017 |
| [23] | Zhang J, Tan YQ, Wei MH, et al. TLR4-induced B7-H1 on keratinocytes negatively regulates CD4+ T cells and CD8+ T cells responses in oral lichen planus[J]. Exp Dermatol, 2017, 26(5): 409-415. DOI:10.1111/exd.13244 |
| [24] | Takeuchi O, Akira S. Pattern recognition receptors and inflammation[J]. Cell, 2010, 140: 805-820. DOI:10.1016/j.cell.2010.01.022 |
| [25] | Shapira S, Harb OS, Caamano J, et al. The NF-kappaB signaling pathway: immune evasion and immunoregulation during toxoplasmosis[J]. Int J Parasitol, 2004, 34(3): 393-400. DOI:10.1016/j.ijpara.2003.12.005 |
| [26] | Vaure C, Liu Y. A comparative review of toll-like receptor 4 expression and functionality in different animal species[J]. Front Immunol, 2014, 5: 316. DOI:10.3389/fimmu.2014.00316 |
| [27] | Murakami K, Kamimura D, Hasebe R, et al. Rhodobacter azotoformans LPS (RAP99-LPS) is a TLR4 agonist that inhibits lung metastasis and enhances TLR3-mediated chemokine expression[J]. Front Immunol, 2021, 12: 675909. DOI:10.3389/fimmu.2021.675909 |
| [28] | Bonaterra GA, Driscoll D, Schwarzbach H, et al. Krill oil-In-water emulsion protects against lipopolysaccharide-induced proinflammatory activation of macrophages in vitro[J]. Mar Drugs, 2017, 15(3): E74. DOI:10.3390/md15030074 |
2024, Vol. 33



