中华急诊医学杂志  2023, Vol. 32 Issue (10): 1407-1411   DOI: 10.3760/cma.j.issn.1671-0282.2023.10.020
新型冠状病毒感染合并抗GlyR1抗体阳性自身免疫性脑炎1例
陈天文1 , 裘可凡2 , 桑红菲1 , 陈琰1     
1. 浙江大学医学院附属杭州市第一人民医院,杭州 310003;
2. 浙江中医药大学第四临床医学院(杭州市第一人民医院),杭州 310053

自身免疫性脑炎(autoimmune encephalitis,AE)是一类与中枢神经系统抗体相关免疫反应介导的脑部炎性病。AE抗体按作用靶点不同分为神经元表面抗原阳性的抗体以及胞内或核抗原阳性的抗体[2]。目前临床中以抗N-甲基-D-门冬氨酸受体(NMDAR)脑炎占多数,关于抗GlyR1抗体阳性的AE相关报道较少,现将1例抗GlyR1抗体阳性合并新冠感染的AE病例报道如下。

1 资料与方法 1.1 一般资料

患者,男性,54岁,因“意识障碍伴精神行为异常2 d余”入院。患者2 d余前被家属发现睡于家中沙发上,呼之无反应,当时不伴有大小便失禁情况,紧急送至当地医院急诊就诊。到院后患者恢复自主睁眼,意识障碍呈波动性,并有发热、反应迟钝、记忆力下降等症状以及重复性言语、吐啐唾沫等异常行为,予以补液、物理降温等治疗症状无好转。为进一步诊治转送至本院急诊神经内科就诊。患者既往史、个人史、家族史无特殊。

入院体检:体温37.7℃,脉搏102次/min,呼吸21次/min,血压142/88 mmHg (1 mmHg=0.133 kPa),嗜睡,精神软,查体不合作,时间空间定向力障碍,对答不切题,巩膜充血,双侧瞳孔0.3 cm,对光反射灵敏,双侧鼻唇沟对称,伸舌居中,咽红,双侧肢体肌力5级,躯干及四肢肌张力增高,双侧病理征未引出,颈抵抗三指,双侧克氏征阴性。心肺听诊无殊,腹部查体无殊,双下肢无浮肿。

1.2 辅助检查

外院颅脑CT、颅脑MRI以及血气分析未见明显异常。本院进一步完善相关检查:急诊颅脑灌注成像CTP检查:未见异常灌注区。头颈血管联合CTA增强扫描:未见颅脑血管闭塞。附见:两侧上颌窦、筛窦及右侧额窦炎性改变,部分真菌性感染考虑。脑电图:轻度异常;未见明显特异波;睡眠期可见NREM Ⅰ、Ⅱ期存在;肺部CT:两下肺少许炎症及纤维增殖灶。上腹部,泌尿系,甲状腺超声检查结果无特殊。血检查项目:查血常规,肝肾功能,电解质,甲状腺功能,心肌酶,C反应蛋白均正常;血肝炎,梅毒,艾滋病病毒抗体,风湿免疫抗体均为阴性。腰椎穿刺颅内压150 mmH2O(1 mmH2O=0.098 kPa), 脑脊液无色透明状,脑脊液常规检查(CSF) 有核细胞计数1/μL;脑脊液生化:蛋白31.1 mg/dL(参考范围15~45 mg/dL),葡萄糖4.57 mmol/L,氯化物127 mmol/L;脑脊液细菌真菌培养未见异常;外送第三方检测机构(金域医学检测中心)自身免疫性脑炎抗体14项检测结果:血清抗甘氨酸受体1(GlyR1)抗体阳性(1:30);脑脊液抗GlyR1抗体阴性(荧光图片见图 2);余血和脑脊液抗NMDA、抗AMPA、抗GABAB等抗体均为阴性。

1.3 疾病诊断与治疗

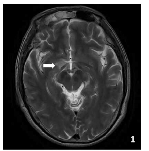
患者入院后体温偏高,查体见明显咽红、巩膜充血以及鼻塞流涕等上呼吸道症状,完善新型冠状病毒核酸检测呈阳性(Ct值:33.09),考虑合并新型冠状病毒感染,予以先诺特韦片0.75 g+利托那韦片0.1 g, 每12 h口服1次,连续服用5 d抗病毒治疗,抗病毒第4天起体温峰值下降,第6天起体温完全正常。住院早期患者胡言乱语、拔针、紧握床栏、躁动症状明显,并存在视幻觉,看见亲人在楼下并想要跳下去。邀请临床心理科会诊行精神检查:时间地点定向力不全,对答不切题,意志活动部分增强,躁动明显,自知力无。会诊考虑患者谵妄状态,予以奥氮平7.5 mg每晚睡前1次、丙戊酸钠缓释片500 mg每晚睡前1次对症治疗,并建议积极排查相关器质性疾病。住院期间复查头颅MRI检查(见图 1)提示右侧颞极异常信号灶。根据患者急性起病,以发热、意识障碍、精神异常为主要症状以及体格检查,检验检查结果,排除了中毒性脑病、肺性脑病、胰性脑病,糖尿病酮症酸中毒、甲亢危象等内科疾病,定位在中枢神经系统,根据神经系统疾病定性诊断的“Midnighs”原则:M(metablism, 代谢性)、I(inflammation,炎症)、D(degeneration,变性)、N(neoplasm,肿瘤)、I(infection,感染)、G(gland,腺体内分泌)、H(hereditary,遗传)、T(toxication,中毒/trauma,外伤)、S(stroke,卒中),考虑到患者中年起病,起病急,外貌体型发育无殊,无明显既往病史及家族史,起病前无明显外伤、有毒有害物质接触史,影像学检查不符合脑血管疾病或占位性病变,最终优先考虑炎症性及感染性相关病因。结合病史、症状及腰椎穿刺脑脊液等相关辅助检查结果,颅内急性感染性依据欠充分,考虑患者抗GlyR1抗体脑炎。与患方沟通病情,建议予激素及丙种球蛋白针使用,患方因家庭经济原因难以承担丙种球蛋白针费用,考虑到患者存在副鼻窦的慢性真菌感染,甲泼尼龙针未用到1 000 mg/d,予500 mg冲击治疗,同时辅以护胃、抗新冠病毒等治疗。连用4 d减甲泼尼龙针为240 mg 1次/d,2 d后减为60 mg 1次/d,2周后,改口服泼尼松片60 mg/d,此后每2周减5 mg(见图 3)。患者在使用激素3 d后体温正常,在使用激素8 d后精神行为异常症状明显改善,神志清楚,与人交流增多,对答大部分切题,睡眠昼夜节律恢复,病程中无痫样发作情况。随访至今,患者于家中休养并口服泼尼松片维持,日常生活实现自理。

T2轴位见右侧颞极异常高信号灶(箭头) 图 1 患者头部磁共振成像

图 2 抗GlyR1抗体检测A:血清抗GlyR1抗体阳性(1:30)B:脑脊液抗GlyR1抗体阴性

图 3 激素使用方案及调整
2 讨论

在此,笔者报告一例新型冠状病毒感染同时合并抗GlyR1抗体阳性的AE患者。患者以非特异性神经症状起病,MRI示右侧颞叶异常信号灶,抗神经细胞抗体检测提示抗GlyR1抗体阳性,临床诊断为抗GlyR1抗体阳性AE,其接受了早期抗病毒治疗、激素冲击及后续口服续贯治疗,目前随访症状稳定,少见发作。

根据2022年提出的AE诊断:(1)急性或亚急性起病(< 3个月),具备以下1个或多个神经与精神症状或者临床综合征,如近事记忆减退、癫痫发作、精神行为异常。(2)一项或多项辅助检查异常,包括脑脊液异常、MRI T2加权FLAIR像的异常信号或者正电子发射体层摄影边缘系统高代谢改变。(3)抗神经细胞抗体阳性。(4)合理排除其他病因。确诊AE需符合以上1~4条。结合上述标准,本例患者抗GlyR1抗体阳性AE诊断明确。

甘氨酸受体(GlyRs)是一种甘氨酸门控的氯离子通道受体。其中,GlyR1受体是特征最明确的甘氨酸受体,也是主要的抗原靶点[3],广泛表达于脊髓的腹角和背角,脑干的运动核、听觉核、前庭核,上丘,小脑颗粒细胞层,视网膜,嗅球以及海马。此外,在基底神经节的各个区域也发现了GlyRs,其中纹状体和苍白球浓度较低,黑质中浓度较高。其通过溶酶体途径激活补体并引起受体内化,阻断受体功能,甘氨酸能神经传递减少以及脑干和脊髓抑制丧失,导致脊髓运动神经元过度兴奋、骨骼肌紧张度增加,表现为情绪激动、全身肌肉痉挛、肌肉僵硬、抽搐发作,严重时发生癫痫、呼吸衰竭,甚至死亡[4-5]

抗GlyR1抗体阳性的AE较为罕见,最早于2008年在一例伴强直及肌阵挛的进行性脑脊髓炎(PERM)病例中被报道。其表现形式多样,包括认知障碍、行为异常、肌阵挛、共济失调和眼球运动异常等,少数患者可表现为其他症状,如自主神经功能功能障碍、中枢性低通气、共济失调等,这些症状的严重程度和持续时间因个体差异而不同,许多患者的自主神经和呼吸系统受累可能是导致不明原因死亡的原因。本例患者临床表现为波动性意识障碍、精神行为异常、时间空间定向力障碍及窦性心动过速。心率增快与体温,身体活动不匹配。且经激素治疗后,在其他症状好转同时,心率恢复正常,考虑与脑炎累及自主神经系统有关。Reniers报道了1例累及脑干的抗GlyR1抗体阳性的AE患者,因累及呼吸中枢导致呼吸衰竭,最终死亡。这也提示着在抗GlyR1抗体阳性的AE患者日常诊治过程中,突发病情加重应考虑呼吸衰竭,及时采取有效措施可以减少突然死亡的风险。

相关研究表明,抗GlyR抗体与脊髓和脑干疾病以及僵人综合征(SPS)频谱表型密切相关[3]。SPS是一种罕见的神经系统疾病,其特征是进行性肌肉强直和痛性痉挛。其严重程度从孤立的僵硬肢体症状到伴有强直和肌阵挛的进行性脑脊髓炎,再到统称为僵人综合征谱系疾病(SPSD)的其他神经系统表现,与其相关的自身抗体除抗GlyR抗体之外,还包括谷氨酸脱羧酶(GAD65)、二肽基肽酶样蛋白6和卟啉。Swayne等[6]对报道的187例抗GlyR抗体阳性的AE病例进行了回顾分析,有47.6%的患者出现了进行性脑脊髓炎(PERM),其余患者均患有不同程度的认知功能障碍及运动障碍。由于GlyRs是人类视网膜的主要抑制性神经递质,视觉信号传导失调可能导致视幻觉,因此本例患者入院后出现的视幻觉症状可能为抗GlyR1抗体参与的自身免疫的早期征象之一。该患者躯干肌张力及四肢肌张力增高症状经过免疫治疗后迅速缓解,一定程度上提示良好的预后。以本报告中患者为例,意识改变、精神行为异常通常是AE患者早期临床表现之一,国内针对抗NMDAR脑炎43例[7]患者的统计分析显示约39.7%患者因首发精神症状就诊于精神科,另有5.8%患者起病迅速就诊于急诊科,这种情况在国外发生率高达60%以上[8-10]。部分AE患者易合并包括畸胎瘤在内的肿瘤疾病而越来越受到神经内科、精神科以及外科医生的关注[11]。区别于功能性精神障碍,抗GlyR1抗体阳性AE患者通常表现为器质性精神障碍,根据受累脑功能区而相应地表现出不同程度的感觉、运动障碍和自主神经紊乱,早期具有特点的肌张力障碍及视觉症状应引起临床工作者的足够重视。

值得注意的是,本例患者在入院当时新型冠状病毒核酸检测阳性。新型冠状病毒感染与自身免疫性脑炎的发生是否具有相关性值得探讨。临床研究表明,细菌、病毒等病原体感染可以引发自身免疫。既往报道病毒感染后的自身免疫性脑炎主要见于HSV-1感染后的多例NMDAR脑炎中。针对此类患者,Karagianni等[12]报道了1例西尼罗河病毒(WNV)感染后引发的抗GlyR受体抗体阳性的AE,经过激素及免疫球蛋白的使用后,患者症状缓解。另一文献报道[13],有1例患者感染布鲁氏菌后出现PERM,在使用抗B细胞单克隆抗体利妥昔单抗治疗后,其脑脊液中的抗体滴度降低。关于病毒感染与AE的发生,两者是否存在联系,已有若干机制被提出。假说之一提出由于血脑屏障及相关组织破坏后将自身抗原释放至引流淋巴结,影响了免疫调节介导的相关反应,此外,WNV蛋白的干扰与核因子(NF)-κB通路改变了此种反应,导致异常自身免疫。另有学者认为,由于微生物与自身抗原表位之间序列或结构的相似性,基于分子模拟机制演变为自身免疫反应。后者出现在HSV-SPS病例中,其中WNV和GAD65之间检测到同源性[14]。目前针对新型冠状病毒的研究仍在进行中,两者之间的相关性亟待进一步探索。

抗GlyR1抗体阳性的AE治疗包括免疫治疗、对癫痫发作和精神症状的对症治疗、康复治疗,以及相关抗肿瘤治疗。早期接受免疫治疗可以优化临床预后,减少并发症的发生。免疫抑制剂如甲强龙和环孢素可以有效控制免疫反应的过度活跃,减轻炎症反应和神经元损伤。免疫调节剂如利妥昔单抗和环磷酰胺可以调节免疫系统的功能,阻止自身抗体的产生。此外,对于严重病例,静脉免疫球蛋白的使用也可以考虑。相较于其他类型的AE,抗GlyR1抗体阳性的AE患者的综合治疗更应重视与精神科、康复科、肿瘤科等多科室的密切协作,以获得早期症状的控制和相关并发症的预防。随着数天免疫冲击及激素续贯使用,本例患者意识水平明显好转,空间时间定向力逐渐恢复,辅以床边康复治疗下躯干肌张力明显降低。1月时随访,患者可独立行走,精神行为异常已纠正,反应迟钝部分改善。AE预后可采用NEOS评分(总分5分),分值越低,预后越好。该患者NEOS评分为1分,理论上预后良好。但后续恢复情况,是否合并肿瘤以及是否进展为进行性脑脊髓炎(PERM)仍需密切随访观察。

综上,临床上抗GlyR1抗体阳性的自身免疫性脑炎比较罕见,其症状不典型。针对此类患者,应该提高对病毒感染后AE的认识,早期运用抗病毒药,必要时加用相应免疫调节剂,及时完善影像学检查及相关抗神经元抗体筛查。此外,由于检测自身抗体存在需要一定时间,根据临床症状,在排除其他病因后,应尽早使用免疫治疗,改善患者长期预后。

利益冲突  所有作者声明无利益冲突。

作者贡献声明  陈天文:病例采集、论文撰写;裘可凡、桑红菲:病史随访、文献研究;陈琰:研究设计、论文修改

参考文献
[1] 中华医学会神经病学分会神经感染性疾病与脑脊液细胞学学组. 中国自身免疫性脑炎诊治专家共识(2022年版)[J]. 中华神经科杂志, 2022, 55(9): 931-949. DOI:10.3760/cma.j.cn113694-20220219-00118
[2] 吴燕, 王孟可, 苏志强. 抗体阳性自身免疫性脑炎的临床特征与预后的研究进展[J]. 中风与神经疾病杂志, 2022, 39(8): 763-766. DOI:10.19845/j.cnki.zfysjjbzz.2022.0192
[3] Iizuka T, Leite MI, Lang B, et al. Glycine receptor antibodies are detected in progressive encephalomyelitis with rigidity and myoclonus (PERM) but not in saccadic oscillations[J]. J Neurol, 2012, 259(8): 1566-1573. DOI:10.1007/s00415-011-6377-2
[4] 张婧, 任丽红, 胡文广. 伴强直及肌阵挛的进行性脑脊髓炎研究进展[J]. 四川医学, 2022, 43(8): 836-840. DOI:10.16252/j.cnki.issn1004-0501-2022.08.019
[5] Martinez-Hernandez E, Ariño H, McKeon A, et al. Clinical and immunologic investigations in patients with stiff-person spectrum disorder[J]. JAMA Neurol, 2016, 73(6): 714-720. DOI:10.1001/jamaneurol.2016.0133
[6] Swayne A, Tjoa L, Broadley S, et al. Antiglycine receptor antibody related disease: a case series and literature review[J]. Eur J Neurol, 2018, 25(10): 1290-1298. DOI:10.1111/ene.13721
[7] 高艳霞, 敬仰, 李毅, 等. 误诊为精神障碍的抗N-甲基-D-天冬氨酸受体脑炎43例分析[J]. 中华急诊医学杂志, 2021, 30(2): 208-212. DOI:10.3760/cma.j.issn.1671-0282.2021.02.013
[8] Maramattom BV, Jacob A. N-methyl D-aspartate receptor encephalitis: a new addition to the spectrum of autoimmune encephalitis[J]. Ann Indian Acad Neurol, 2011, 14(3): 153-157. DOI:10.4103/0972-2327.85872
[9] Kayser MS, Titulaer MJ, Gresa-Arribas N, et al. Frequency and characteristics of isolated psychiatric episodes in anti-N-methyl-d-aspartate receptor encephalitis[J]. JAMA Neurol, 2013, 70(9): 1133-1139. DOI:10.1001/jamaneurol.2013.3216
[10] Giri YR, Parrill A, Damodar S, et al. Anti-N-methyl-D-aspartate receptor encephalitis in adults: asystematic review and analysis[J]. Neuropsychiatr, 2023. DOI:10.1007/s40211-023-00478-9
[11] 李旭娟, 王林林, 徐平平, 等. 以急性精神障碍首发的卵巢畸胎瘤相关抗N-甲基-D-天冬氨酸受体脑炎一例诊治分析[J]. 中华急诊医学杂志, 2021, 30(7): 884-886. DOI:10.3760/cma.j.issn.1671-0282.2021.07.019
[12] Karagianni P, Alexopoulos H, Sourdi A, et al. West Nile Virus infection triggering autoimmune encephalitis: Pathophysiological and therapeutic implications[J]. Clin Immunol, 2019, 207: 97-99. DOI:10.1016/j.clim.2019.07.007
[13] Reniers W, Ernon L, Bekelaar K. A fatal case of glycine receptor antibody-mediated autoimmune encephalitis[J]. Acta Neurol Belg, 2021, 121(1): 269-270. DOI:10.1007/s13760-020-01590-1
[14] Hassin-Baer S, Kirson ED, Shulman L, et al. Stiff-person syndrome following West Nile fever[J]. Arch Neurol, 2004, 61(6): 938-941. DOI:10.1001/archneur.61.6.938