急性胰腺炎(acute pancreatitis,AP)是指由多种病因导致胰酶激活,并作用于胰腺组织后产生的局部炎症反应,可伴或不伴有其他器官功能改变。AP在全球的发病率为0.34%,并呈上升趋势[1-2]。《2012年亚特兰大修订版急性胰腺炎分类和定义》将AP的严重程度分为3种类型:轻症急性胰腺炎(mid acute pancreatitis, MAP)、中度重症急性胰腺炎(mid-severe acute pancreatitis, MSAP)和重症急性胰腺炎(severe acute pancreatitis, SAP)[3]。MAP的病死率非常低(<1%),而大约有10%~20%的AP患者会进展为重症,病死率可达20%~40%[4-5]。目前,在短时间内要明显改善患者预后,仍十分困难[6]。现有的影像评分系统包括改良版CT严重指数(modified CT severity index,MCTSI)、Balthazar分级、胰腺外炎症CT评分(Extrapancreatic inflammation on CT,EPIC)等[7-9],这些评分所纳入的标准不尽相同,如MCTSI需要判断胰腺坏死的范围,往往需要依赖增强CT才能明确,而SAP患者往往合并肾功能障碍,增强CT会增加患者肾脏的负担,且部分患者在SAP发病后4 d内可能不发生胰腺坏死,在此之前增强CT也不能可靠地确定坏死的存在[10]。Nomogram作为一个可视化的模型,能将统计预测模型简化为一个事件的概率估计值,可提供个性化的风险评估,操作便捷是它的显著优点[11]。本研究旨在建立一个预测SAP的Nomogram模型,在发病早期预测AP进展为重症的可能性,为临床治疗提供参考。
1 资料与方法 1.1 一般资料回顾性收集2016年1月至2022年7月在本院消化科住院治疗的AP患者CT资料及临床资料。纳入标准:(1)符合AP的诊断标准[12],需要以下三个特征中的两个:①临床表现为与AP一致的腹痛;②血清脂肪酶活性(或淀粉酶活性)高于正常上限3倍以上;③腹部影像学检查结果显示符合AP影像学改变。(2)年龄 > 18岁;(3)入院48 h内CT或临床资料完整。排除标准:(1)RCP术后并发AP;(2)妊娠或哺乳期AP;(3)合并肿瘤、其他严重肝肾功能障碍或不能有效控制的基础慢性疾病;(4)入院48 h内CT或临床资料不完整。器官功能衰竭判定标准如下:(1)呼吸衰竭:氧合指数(PaO2/FiO2)小于300;(2)肾功能衰竭:血清肌酐水平大于170 μmol/L或1.9 mg/dL;(3)心力衰竭:收缩压(SBP)<90 mmhg,且液体复苏无反应。本研究获得苏州大学附属第二医院伦理委员会审核批准,审批号:JD-HG-2022-18。
1.2 方法 1.2.1 基本资料记录患者年龄、性别、腹痛时间、其他疾病等情况。
1.2.2 实验室检查收集患者入院48 h内的实验室检查资料,如BUN、Cr、Ca2+、D-dimer、Hb、ALB、WBC、NEU等。
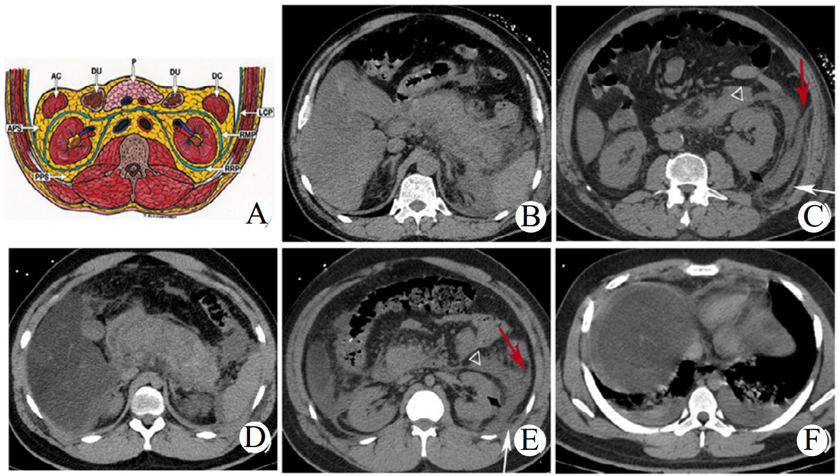
1.2.3 影像学分析所有患者均使用美国GE公司Bright-Speed16层螺旋CT机行轴位腹部平扫检查,主要扫描参数如下:管电压120 kVp,管电流为自动毫安秒,层厚、层间距均为5 mm,扫描速度75 r/min,视野500 mm×500 mm,矩阵512×512。使用东软影像诊断工作站软件(Version 5.5.19071)分析CT原始图像。平扫CT征象由2位经验丰富的影像医师在对其他资料未知的情况下进行独立判读完成,若存在争议,则经协商决定出一致结果。影像征象包括:胸腔积液、腹水、肾旁后间隙(posterior pararenal space,PPS)受累、肠系膜受累、肝/脾CT值减低、十二指肠憩室等。部分CT征象见图 1。1.2.4评分使用MCTSI、Balthazar分级和EPIC评分对所有患者进行评分并记录。(A)腹膜后间隙断层解剖示意图(引自参考文献17)。(B、C)54岁男性SAP患者,腹部CT示胰腺肿胀,边界不清,周围见絮状模糊影;左APS(白色三角形)、左RRP(黑色菱形)、左LCP(红色箭头)见炎性渗出物累及,左PPS(白色箭头)内见条片状模糊影。(D、E、F)27岁男性SAP患者,腹部CT示胰腺肿胀、密度不均,周围见大量渗出,累及左APS(白色三角形)、左RRP(黑色菱形)、左LCP(红色箭头)、左PPS(白色箭头);肝脏密度明显减低,附见两侧胸腔积液、两肺部分不张。缩略词:APS:肾旁前间隙;RMP:肠系膜后平面;RRP:肾后平面;LCP:侧锥筋膜平面;PPS:肾旁后间隙。见图 1。
|
| 图 1 腹膜后间隙断层解剖图及SAP典型CT征象示意图 Fig 1 Schematic diagram of sectional anatomy of retroperitoneal space and typical CT signs of SAP |
|
|
采用SPSS 25.0与MedCalc 15.10.0软件进行统计学分析。正态分布的计量资料采用均数±标准差(x±s)表示,比较采用成组t检验;不符合正态分布的计量资料以中位数(第一四分位数,第三四分位数)[M(Q1,Q3)]表示,比较采用Mann-Whitney U检验。计数资料采用例数(百分比)[n(%)]表示,比较采用χ2检验。将组间差异具有统计学意义的指标纳入到二元Logistic回归方程进行多因素分析,得到预测SAP发生的独立危险因素,然后应用R语言4.1.3版本中的rms程序包建立预测SAP的Nomogram模型。运用ROC曲线、校准曲线及决策曲线(decision curve analysis, DCA)分别评价模型的预测效能、准确性及临床实用性。采用Bootstrap法将样本重复自抽样1000次对模型进行内部验证,并计算一致性指数(C-index)评估模型的区分度。以P<0.05为差异有统计学意义。
2 结果 2.1 影像学征象与临床资料比较361例AP患者中,男性221例(61.2%),女性140例(38.8%)。根据《2012年亚特兰大修订版急性胰腺炎分类和定义》的分类标准,将患者分为SAP组64例(17.7%),NSAP组297例(82.3%)。组间比较显示,两组患者在胸腔积液、肺不张、腹水、侧锥筋膜受累、PPS受累、胃肠道受累、肠系膜受累、BUN、Cr、Ca2+、D-dimer、ALB、WBC、NEU、ALP等方面的差异有统计学意义(P<0.05)。两组具体资料见表 1。
| 指标 | SAP组(n=64) | NSAP组(n=297) | 统计值 | P值 |
| 性别a | 3.721 | 0.054 | ||
| 男 | 46(71.88) | 175(58.92) | ||
| 女 | 18(28.12) | 122(41.08) | ||
| 年龄(岁)b | 52(36.50, 68.75) | 51(36, 65) | -0.56 | 0.573 |
| 高血压a | 28(43.75) | 95(31.99) | 3.244 | 0.072 |
| 糖尿病a | 23(35.94) | 74(24.92) | 3.255 | 0.071 |
| 高脂血症a | 25(39.06) | 79(26.60) | 3.988 | 0.046 |
| 胸腔积液a | 37(57.81) | 34(11.45) | 71.641 | <0.001 |
| 肺不张a | 45(70.31) | 82(27.61) | 42.106 | <0.001 |
| 腹水a | 36(56.25) | 57(19.19) | 37.809 | <0.001 |
| 胆囊炎a | 29(45.31) | 115(38.72) | 0.954 | 0.329 |
| 胆结石a | 23(35.94) | 140(47.14) | 2.667 | 0.102 |
| 十二指肠憩室a | 4(6.25) | 28(9.43) | 0.658 | 0.417 |
| 肝/脾CT值<1a | 18(28.13) | 81(27.27) | 0.019 | 0.890 |
| 肠系膜受累a | 50(78.13) | 105(35.35) | 39.315 | <0.001 |
| 胃肠道受累a | 23(35.94) | 71(23.91) | 3.958 | 0.047 |
| 肾旁前间隙受累a | 60(93.75) | 272(91.58) | 0.335 | 0.563 |
| 肾后平面受累a | 53(82.81) | 214(72.05) | 3.165 | 0.075 |
| 侧锥筋膜平面受累a | 56(87.50) | 207(69.70) | 8.438 | 0.004 |
| PPS受累a | 28(43.75) | 30(10.10) | 44.210 | <0.001 |
| Hb(g/L)c | 151.03±30.738 | 146.01±22.171 | 1.240 | 0.219 |
| WBC(109/L)b | 14.10(10.50,18.45) | 12.50(9.90,16.00) | -2.072 | <0.001 |
| NEU(%)b | 89.65(84.88,92.00) | 84.30(78.15,89.80) | -4.225 | <0.001 |
| HCT(%)b | 42.90(37.50,49.80) | 43.30(39.60,47.05) | -0.199 | 0.842 |
| PLT(109/L)b | 202.00(155.00,244.00) | 208.00(166.50,258.00) | -0.941 | 0.347 |
| BUN(mmol/L)b | 8.40(5.55,13.40) | 4.70(3.60,6.20) | -7.149 | <0.001 |
| Cr(μmol/L)b | 98.00(66.25,157.75) | 66.00(53.50,77.00) | -6.092 | <0.001 |
| D-dimer(g/ml)b | 3.62(1.75,9.11) | 1.48(0.79,2.84) | -5.965 | <0.001 |
| Ca2+(mmol/L)b | 1.81(1.48,1.98) | 2.05(1.97,2.17) | -7.237 | <0.001 |
| ALB(g/L)b | 30.95(27.93,34.18) | 36.30(33.45,39.70) | -7.139 | <0.001 |
| ALT(U/L)b | 52.50(26.00,193.00) | 71.00(27.00,244.50) | -0.811 | 0.417 |
| AST(U/L)b | 62.50(33.25,231.50) | 50.00(22.50,197.00) | -1.671 | 0.095 |
| ALP(U/L)b | 79.00(60.00,124.00) | 98.00(71.00,152.00) | -2.600 | 0.009 |
| GGT(U/L)b | 73.00(28.50,273.50) | 132.00(45.50,333.50) | -1.726 | 0.084 |
| 注:Hb为血红蛋白;WBC为白细胞;NEU为中性粒细胞;HCT为红细胞压积;PLT为血小板;BUN为血尿素氮;Cr为血肌酐;D-dimer为D二聚体;ALB为血清白蛋白;ALT为谷丙转氨酶;AST为谷草转氨酶;ALP为碱性磷酸酶;GGT为谷氨酰转肽酶;a数值表示为[例(%)],b数值表示为M(Q1,Q3),c数值表示为x±s | ||||
纳入组间比较差异有统计学意义的变量,进行多因素Logistic回归分析,结果显示,胸腔积液、PPS受累、Cr及Ca2+为SAP的独立危险因素(P<0.05)。两组具体资料见表 2。
| 指标 | 偏回归系数 | 标准误 | Wald值 | OR值(95%CI) | P值 |
| 胸腔积液 | 1.995 | 0.402 | 24.626 | 7.353(3.344~16.170) | <0.001 |
| PPS受累 | 1.147 | 0.445 | 6.57 | 3.149(1.314~7.527) | <0.001 |
| Cr | 0.027 | 0.005 | 26.137 | 1.027(1.017~1.038) | <0.001 |
| Ca2+ | -3.273 | 0.753 | 18.922 | 0.038(0.009~0.166) | <0.001 |
| 常量 | 1.634 | 1.579 | 1.070 | 5.122 | 0.301 |
根据多因素Logistic回归分析结果,将上述四个独立危险因素引入R软件,建立预测SAP的Nomogram模型,见图 2。该模型的AUC为0.905(95%CI: 0.869~0.933),明显高于MCTSI[AUC: 0.818(95%CI: 0.775~0.857)]、Balthazar分级[AUC: 0.836(95%CI: 0.794~0.873)]、EPIC评分[AUC: 0.818(95%CI: 0.774~0.856)],表明该模型的预测效能更好,见图 3,具体比较资料见表 3。内部验证结果显示,该模型预测SAP的C-index为0.90,区分度良好。校准曲线显示,该模型对SAP的预测概率较好拟合实际概率,校准度高,见图 4。DCA曲线显示,该模型的曲线大部分远离两条极端曲线,可选域概率范围较大,表明该模型的临床实用性较强,且更优于三种评分系统,见图 5。
|
| 图 2 本研究构建的预测SAP的Nomogram模型 Fig 2 A Nomogram model for predicting SAP was constructed in this study |
|
|
|
| 图 3 A.四个独立危险因素单独预测SAP的ROC曲线;B.本研究构建的Nomogram模型与MCTSI、Balthazar分级、EPIC评分的ROC曲线比较 Fig 3 A. ROC curve of SAP predicted by four independent risk factors; ROC curve comparison between Nomogram model and MCTSI, Balthazar grades and EPIC scoring system |
|
|
| 指标 | AUC | 95%CI | 约登指数 | 敏感度(%) | 特异度(%) | PPV(%) | NPV(%) |
| 胸腔积液 | 0.732 | 0.863~0.777 | 0.464 | 57.81 | 88.55 | 52.1 | 90.7 |
| PPS受累 | 0.668 | 0.617~0.717 | 0.337 | 43.75 | 89.90 | 48.3 | 88.1 |
| Cr | 0.743 | 0.694~0.787 | 0.457 | 53.13 | 92.59 | 60.7 | 90.2 |
| Ca2+ | 0.788 | 0.742~0.829 | 0.504 | 75.00 | 75.42 | 39.7 | 93.3 |
| Nomogram模型 | 0.905 | 0.869~0.933 | 0.681 | 81.25 | 86.87 | 57.1 | 95.6 |
| MCTSI | 0.818 | 0.775~0.857 | 0.541 | 62.50 | 91.58 | 61.5 | 91.9 |
| Balthazar分级 | 0.836 | 0.794~0.873 | 0.600 | 81.25 | 78.79 | 45.2 | 95.1 |
| EPIC评分 | 0.818 | 0.774~0.856 | 0.564 | 71.87 | 84.51 | 50.0 | 93.3 |
|
| 图 4 预测SAP的Nomogram模型的校准曲线 Fig 4 Calibration curve of the Nomogram model for predicting SAP |
|
|
|
| 图 5 预测SAP的Nomogram模型、MCTSI、Balthazar分级、EPIC评分的决策曲线(DCA) Fig 5 Decision Curve (DCA) for predicting SAP by Nomogram model, MCTSI, Balthazar grades and EPIC scoring system |
|
|
本研究从诸多影像学征象、临床指标中筛选出胸腔积液、PPS受累、Cr与血Ca2+四个指标建立了预测SAP的Nomogram模型并验证,并显示出较好的预测能力、准确性及临床实用性,为临床早期预判AP患者可能发展为SAP提供了一个直观可视、具有较大潜在应用价值的指导工具。
胸腔积液是AP患者疾病严重程度的指标,也是预测器官功能衰竭的特定指标[13]。SAP患者常伴有低蛋白血症,血浆胶体渗透压降低而导致胸腔积液[14]。胸腔积液可以反映呼吸功能,大量的胸腔积液压迫肺组织,可使肺活量减少,从而导致低氧血症。还有学者认为,胸腔积液还与AP患者发生肾功能不全有关,胸腔积液可以引起胸内压升高,一定程度上可导致心输出量减少和肾动脉灌注减少,而肾动脉血供减少是导致急性肾损伤的关键因素[15-16]。
在肾后间隙与后腹壁之间存在一个潜在的肾旁后间隙[17]。AP的炎性渗出一般不易累及此处,当胰周渗出、积液明显增多时,肾旁前间隙的炎症可蔓延至肾后筋膜平面及侧锥下间隙,并逐步向后累及至PPS,CT表现为PPS内条索影、絮状影或斑片状积液影。本研究显示,PPS受累判断SAP的敏感度为43.75%,特异度为89.90%,说明在疾病早期炎症即累及PPS,后期进展为SAP的可能性较大。有研究表明,PPS受累的CT形态分级评分和纵向范围分级评分与AP的严重程度呈正相关,相关系数r值分别为0.57、0.54[18]。
Cr是反应肾功能的指标,SAP患者全身炎症反应和体内分解代谢的加快导致血Cr显著增加。同时,全身毛细血管扩张,有效循环血容量减少,激活交感神经系统,导致肾动脉收缩,肾小球滤过率降低,Cr清除率降低[6]。Cr水平过高亦可并发急性肾损伤,通常在AP早期发生,致死率极高,需要密切关注[19]。此前,已有学者将Cr作为预测SAP的指标来构建模型,如Wang等[20]构建的CSSS模型,其模型AUC值为0.838(95%CI:0.833~0.843)。本研究样本中Cr呈非正态分布,SAP组中Cr的中位数98μmol/L,远高于NSAP组的66 μmol/L,可见SAP患者的肾功能普遍受损,可提示病情的严重程度。
钙稳态的破坏会导致严重的胰腺损伤,导致消化酶过早激活,空泡化和细胞坏死[21]。胰腺及其周围脂肪组织被溢出的胰液中的脂肪酶溶解,从而变成游离脂肪酸和甘油,游离脂肪酸与钙离子结合,形成脂肪酸钙皂,血液中钙含量降低[22]。有研究认为,甲状旁腺激素的减少是AP患者持续低钙血症的主要诱导因素[23]。在本研究中,血清Ca2+被认为可以作为预测SAP的独立危险因素,这与Tan等[24]的报道一致。
影像评分系统的MCTSI,需要判断胰腺是否发生坏死,而判断胰腺坏死很大程度上需要依赖增强CT,从而制约了评分的时效性。有一些学者已经建立了一些预测SAP的模型,如CART模型[25]等,但这些评分系统纳入的指标不尽相同,有些指标在早期不易快速获取,实际工作中临床医生也很难在短时间内利用这些因素完成评分。近些年,胰腺外坏死体积[26]被提出作为预测SAP的影像指标,其预测SAP的AUC值为0.94,敏感度为95%,特异性为83%,但因其计算体积相对繁琐,在临床工作中较难开展,未来仍需要在人工智能和影像图像后处理技术上做出突破。也有一些学者已经将影像征象和临床指标结合起来,如CTA预测模型[27],但也是将其他评分系统融合起来,且模型操作起来繁琐。本研究结合平扫CT征象和实验室指标建立的Nomogram模型,可在影像科展现出极大的优势,影像科医生判读CT图像后,在检验工作站获取检验值,即可完成模型评分,并为临床提供参考,这使得影像科医生在疾病诊治中有了更大的参与度。随着医疗行业的发展,在许多基层医院也具有了CT检查的能力,这使得该模型在基层医院也能适用,可为更多的患者提供帮助。
利益冲突 所有作者声明无利益冲突
作者贡献声明 陈桥梁:研究设计、采集数据、分析/解释数据、论文撰写、论文修改;徐丹丹:采集数据、分析/解释数据;杨俊杰:数据收集及整理、统计学分析;杨维森:统计学分析;顾燕:统计学分析;王业青:分析/解释数据、获取研究经费;范国华:分析/解释数据;殷国建:研究设计、分析/解释数据;徐亮:研究设计、分析/解释数据、对文章的知识性内容作批评性审阅
| [1] | Petrov MS, Yadav D. Global epidemiology and holistic prevention of pancreatitis[J]. Nat Rev Gastroenterol Hepatol, 2019, 16(3): 175-184. DOI:10.1038/s41575-018-0087-5 |
| [2] | Han SB, Chen D, Chen QY, et al. One-step laparoscopic pancreatic necrosectomy verse surgical step-up approach for infected pancreatic necrosis: a case-control study[J]. World J Emerg Med, 2022, 13(4): 274-282. DOI:10.5847/wjem.j.1920-8642.2022.058 |
| [3] | Banks PA, Bollen TL, Dervenis C, et al. Classification of acute pancreatitis: 2012: revision of the Atlanta classification and definitions by international consensus[J]. Gut, 2013, 62(1): 102-111. DOI:10.1136/gutjnl-2012-302779 |
| [4] | Al Mofleh IA. Severe acute pancreatitis: pathogenetic aspects and prognostic factors[J]. World J Gastroenterol, 2008, 14(5): 675-684. DOI:10.3748/wjg.14.675 |
| [5] | 侯文杰, 王美堂. 急性胰腺炎的细胞发病机制研究进展[J]. 临床急诊杂志, 2023, 24(5) 266-271, 276. DOI:10.13201/j.issn.1009-5918.2023.05.009 |
| [6] | 毛恩强. 急性胰腺炎急救综合处置的展望[J]. 中华急诊医学杂志, 2022, 31(9): 1161-1163. DOI:10.3760/cma.j.issn.1671-0282.2022.09.001 |
| [7] | Mortele KJ, Wiesner W, Intriere L, et al. A modified CT severity index for evaluating acute pancreatitis: improved correlation with patient outcome[J]. AJR Am J Roentgenol, 2004, 183(5): 1261-1265. DOI:10.2214/ajr.183.5.1831261 |
| [8] | Balthazar EJ, Robinson DL, Megibow AJ, et al. Acute pancreatitis: value of CT in establishing prognosis[J]. Radiology, 1990, 174(2): 331-336. DOI:10.1148/radiology.174.2.2296641 |
| [9] | de Waele JJ, Delrue L, Hoste EA, et al. Extrapancreatic inflammation on abdominal computed tomography as an early predictor of disease severity in acute pancreatitis: evaluation of a new scoring system[J]. Pancreas, 2007, 34(2): 185-190. DOI:10.1097/mpa.0b013e31802d4136 |
| [10] | Banks PA, Freeman ML, Practice Parameters Committee of the American College of Gastroenterology. Practice guidelines in acute pancreatitis[J]. Am J Gastroenterol, 2006, 101(10): 2379-2400. DOI:10.1111/j.1572-0241.2006.00856.x |
| [11] | Zhu XG, Jiang JM, Li YX, et al. Development and validation of a nomogram for predicting survival in patients with acute pancreatitis[J]. World J Emerg Med, 2023, 14(1): 44-48. DOI:10.5847/wjem.j.1920-8642.2023.022 |
| [12] | Tenner S, Baillie J, DeWitt J, et al. American College of Gastroenterology guideline: management of acute pancreatitis[J]. Am J Gastroenterol, 2013, 108(9): 1400-1415. DOI:10.1038/ajg.2013.218 |
| [13] | Peng R, Zhang L, Zhang ZM, et al. Chest computed tomography semi-quantitative pleural effusion and pulmonary consolidation are early predictors of acute pancreatitis severity[J]. Quant Imaging Med Surg, 2020, 10(2): 451-463. DOI:10.21037/qims.2019.12.14.[PubMed |
| [14] | Xue P, Huang ZW, Li YH, et al. Clinical study on severe acute pancreatitis associated with hypoalbuminemia in early stage[J]. J Chin Integr Med, 2005, 3(6): 443-445. DOI:10.3736/jcim20050606 |
| [15] | Zeng QX, Jiang KL, Wu ZH, et al. Pleural effusion is associated with severe renal dysfunction in patients with acute pancreatitis[J]. Med Sci Monit, 2021, 27: e928118. DOI:10.12659/MSM.928118 |
| [16] | Nassar TI, Qunibi WY. AKI associated with acute pancreatitis[J]. Clin J Am Soc Nephrol, 2019, 14(7): 1106-1115. DOI:10.2215/CJN.13191118 |
| [17] | Chingkoe CM, Jahed A, Loreto MP, et al. Retroperitoneal fasciitis: spectrum of CT findings in the abdomen and pelvis[J]. Radiographics, 2015, 35(4): 1095-1107. DOI:10.1148/rg.2015140071 |
| [18] | 严志汉, 闵鹏秋, 宋彬, 等. 急性胰腺炎累及肾旁后间隙与其临床严重程度及CT严重指数的相关性研究[J]. 中华放射学杂志, 2005, 39(4): 375-378. DOI:10.3760/j.issn:1005-1201.2005.04.010 |
| [19] | 章兵, 冯庆玲, 周剑, 等. 院前早期液体复苏后平均动脉压差值对急性胰腺炎相关性急性肾损伤发生率的影响[J]. 中华急诊医学杂志, 2023, 32(3): 388-394. DOI:10.3760/cma.j.issn.1671-0282.2023.03.019 |
| [20] | Wang L, Zeng YB, Chen JY, et al. A simple new scoring system for predicting the mortality of severe acute pancreatitis: a retrospective clinical study[J]. Medicine, 2020, 99(23): e20646. DOI:10.1097/MD.0000000000020646 |
| [21] | Criddle DN. Reactive oxygen species, Ca(2+) stores and acute pancreatitis; a step closer to therapy?[J]. Cell Calcium, 2016, 60(3): 180-189. DOI:10.1016/j.ceca.2016.04.007 |
| [22] | Ye JF, Zhao YX, Ju J, et al. Building and verifying a severity prediction model of acute pancreatitis (AP) based on BISAP, MEWS and routine test indexes[J]. Clin Res Hepatol Gastroenterol, 2017, 41(5): 585-591. DOI:10.1016/j.clinre.2016.11.013 |
| [23] | Condon J, Ives D, Knight M, et al. The aetiology of hypocalcaemia in acute pancreatitis[J]. Br J Surg, 1975, 62(2): 115-8. DOI:10.1002/bjs.1800620209 |
| [24] | Tan JW, Zhang XQ, Geng CM, et al. Development of the National Early Warning Score-Calcium Model for Predicting Adverse Outcomes in Patients With Acute Pancreatitis[J]. J Emerg Nurs, 2020, 46(2): 171-179. DOI:10.1016/j.jen.2019.11.003 |
| [25] | Yang ZY, Dong LM, Zhang YS, et al. Prediction of severe acute pancreatitis using a decision tree model based on the revised Atlanta classification of acute pancreatitis[J]. PLoS One, 2015, 10(11): e0143486. DOI:10.1371/journal.pone.0143486 |
| [26] | Meyrignac O, Lagarde S, Bournet B, et al. Acute pancreatitis: extrapancreatic necrosis volume as early predictor of severity[J]. Radiology, 2015, 276(1): 119-128. DOI:10.1148/radiol.15141494 |
| [27] | Choi HW, Park HJ, Choi SY, et al. Early prediction of the severity of acute pancreatitis using radiologic and clinical scoring systems with classification tree analysis[J]. AJR Am J Roentgenol, 2018, 211(5): 1035-1043. DOI:10.2214/AJR.18.19545 |
2023, Vol. 32



