2. 南京医科大学第一附属医院质量管理处,南京 210029;
3. 南京市第二医院医务处,南京 210037;
4. 南京医科大学中毒研究所,南京 211166;
5. 南京医科大学第一附属医院院长办公室,南京 210029
格列齐特缓释片是一种磺酰脲类降血糖药,常用于2型糖尿病患者[1]。该药物最常见的不良反应为低血糖,偶有消化不良、恶心、呕吐等。罕见不良反应包括皮肤和皮下组织反应、血液和淋巴系统疾病、肝-胆疾病、视力障碍等。其中,血液学改变极为罕见,一般停药后可恢复正常。本文以个案形式报告1例新型冠状病毒感染患者服用该药物后出现白细胞减少、粒细胞减少和皮疹的不良反应,停药后逐渐缓解。
1 资料与方法患者女性,71岁,2021-07-23至07-25在扬州“四季园棋牌室”打麻将。07-26在隔离酒店核酸检测阳性后至扬州市第三人民医院治疗,07-30由负压救护车转到南京市公共卫生中心住院。患者未接种新冠疫苗;患2型糖尿病20年,服二甲双胍0.5 g每日3次(tid),平素血糖情况不详。入院诊断为“新型冠状病毒感染、2型糖尿病”,先后入住在普通病房、ICU、重症过渡病房(high dependency unit, HDU),现予中药、依诺肝素钠、胸腺法新、二甲双胍、瑞格列奈、格列齐特、俯卧位通气等治疗。中药方剂是《新型冠状病毒肺炎诊疗方案(试行第八版修订版)》[2]中的宣肺败毒方,由麻黄、苦杏仁、生石膏、薏苡仁、苍术、藿香、青蒿、虎杖、马鞭草、芦根、葶苈子、化橘红、甘草组成。08-25血常规示:白细胞2.01×109/L,中性粒细胞0.42×109/L,淋巴细胞1.18×109/L,血红蛋白108 g/L,血小板137×109/L。加用地榆升白片0.3 g tid。评估新冠病情平稳,于08-26转至普通病房进一步治疗。患者近3 d全身瘙痒明显。入住普通病房时查体:体温36.5 ℃,脉搏65次/min,呼吸频率20次/min,血压130/75 mmHg(1 mmHg=0.133 kPa),SpO2 97%(吸空气),胸腹部、后背、臀部、双下肢散在分布红色皮疹,压之褪色。新增诊断:白细胞减少症、粒细胞减少症、过敏性皮疹。立即予单间病房隔离,同时急查外周血涂片未见异常,追查有无感染加重、及药物因素,予以相应处理。
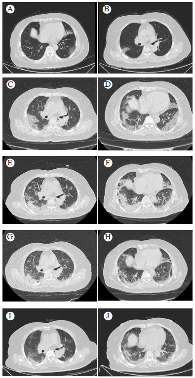
患者近1个月的治疗情况如下。07-30入住普通病房。查新型冠状病毒IgM抗体3.22 S/CO,新型冠状病毒IgG抗体29.01 S/CO。鼻拭子新冠核酸ORF1ab基因CT值23.00,N基因CT值19.00(内参CT值26.00)。血常规:白细胞3.95×109/L,中性粒细胞3.29×109/L,淋巴细胞0.94×109/L,血红蛋白136 g/L,血小板84×109/L;C-反应蛋白 < 10.0 mg/L,超敏C-反应蛋白8.42 mg/L。降钙素原(发光法)0.072 ng/mL,白介素6(发光法)32.68 pg/mL。生化检查示:丙氨酸转氨酶13.3 U/L,谷草转氨酶19.4 U/L,尿素5.40 mmol/L,肌酐59.1 µmol/L,乳酸脱氢酶297 IU/L,钾2.40 mmol/L,血糖5.18 mmol/L。胸部CT示:右肺上叶后段、左肺上叶前段、舌段及两肺下叶背段见片状磨玻璃影(图 1A、1B)。入院诊断:新型冠状病毒感染(普通型)、2型糖尿病、低钾血症。予吸氧、中药、俯卧位通气 > 12 h、依诺肝素钠注射液4 000AXaIU每日1次(qd)皮下注射、胸腺法新1.6 mg qd皮下注射治疗,及二甲双胍、急支糖浆、惠菲宁糖浆等对症治疗。08-02体温38.3 ℃、08-03体温39 ℃,各予散利痛1片口服。08-03 SpO2 85%(吸空气),肺部CT示两肺炎性病变较前进展(图 1C、1D),予经鼻高流量氧疗、新冠中和抗体BR-Ⅱ 198 1 000 mg静脉滴注。
|
| A:入院时中间支气管平面;B:入院时心室平面;C:住院第5天中间支气管平面;D:住院第5天心室平面;E:住院第11天中间支气管平面;F:住院第11天心室平面;G:住院第14天中间支气管平面;H:住院第14天心室平面;I:住院第22天中间支气管平面;J:住院第22天心室平面 图 1 患者胸部CT影像 |
|
|
08-04转入ICU。患者血糖持续波动在17.4~20.1 mmol/L,08-04加用瑞格列奈片(诺和龙)1 mg tid,08-08加用格列齐特缓释片(泰瑞欣)1片qd,血糖逐步控制在10 mmol/L。08-09胸部CT仍呈进展性改变(图 1E、1F)。08-12胸部CT好转(图 1G、1H)转到HDU,08-14改双腔鼻导管吸氧(3 L/min),仰卧位、俯卧位、吸氧活动后的SpO2分别为98%、99%、98%;08-18停止吸氧,仰卧位、俯卧位、活动后的SpO2分别为98%、98%、95%。08-20胸部CT提示病灶吸收,见图 1I、1J。
患者治疗新冠感染期间,红细胞、血小板计数均在正常范围内。08-08使用格列齐特缓释片后,白细胞、中性粒细胞呈下降趋势,服药后第2、7、11、13天,白细胞数值分别为4.41×109/L、4.90×109/L、2.26×109/L、2.35×109/L,中性粒细胞数值分别为3.17×109/L、2.52×109/L、0.74×109/L、0.66×109/L,绝对数值变化趋势及药物使用情况,如图 2所示。
|
| 图 2 患者治疗新型冠状病毒感染期间药物使用情况及血常规数值变化 |
|
|
考虑格列齐特缓释片引起的过敏反应、白细胞和粒细胞减少症,立即停用格列齐特缓释片,给予重组人粒细胞刺激因子注射液250 μg皮下注射、氯雷他定10 mg qd抗过敏治疗。停药后第1天,白细胞和粒细胞数值明显升高,分别为13.72×109/L和10.28×109/L,未再出现新的皮疹,全身瘙痒缓解。08-25、08-27,患者间隔大于24 h、连续2次鼻拭子新冠病毒核酸阴性,于08-28出院至扬州市第三人民医院继续康复,予中药、二甲双胍、瑞格列奈治疗。格列齐特缓释片停药后第16天、出院后第14天电话随访,患者全身皮疹完全消退;扬州市第三人民医院血常规示,白细胞4.48×109/L,粒细胞1.69×109/L,血红蛋白104 g/L,血小板167×109/L。
2 讨论该患者确诊为新冠感染,病情由普通型进展为重型、危重型,后逐渐好转,先后在普通病房、ICU、HDU和普通病房治疗。因此,需要仔细追查患者的病史和用药情况,以排除其他可能的影响因素。服用格列齐特缓释片的第11天,白细胞2.26×109/L,中性粒细胞0.74×109/L,淋巴细胞1.15×109/L,血红蛋白1×109 g/L,血小板160×109/L,血细胞以中性粒细胞减少尤为突出。同时,患者出现皮疹、皮肤瘙痒,而格列齐特缓释片亦有该不良反应,故考虑为服用格列齐特缓释片的第15天出现的“迟发性过敏反应”。停药后第16天、出院后第14天,上述不良反应均缓解。因此,按照WHO乌普萨拉监测中心药品-事件因果关系评价方法[3],白细胞减少、粒细胞减少和皮疹的发生,与服用格列齐特缓释片有时间相关性、属于已知不良反应、停药后好转,因此很有可能为格列齐特缓释片引起的药物不良反应。
搜索万方、中国知网数据库,截至2021年9月,仅发现两篇文献4个病例报道过血液系统的不良反应。3例在服用格列齐特缓释片后的5~13 d内[4],因畏寒、发热、咽痛等原因到医院就诊,查血常规发现血细胞减少,其中1例更是出现了全血细胞减少。1例在服用格列齐特缓释片后的60 d内,因“头晕伴活动后心慌、气短半个月”收入院,骨髓检查示粒红系增生减低,巨核细胞减少,浆细胞少见[5]。血涂片呈大细胞性贫血。而本报告中的患者亦是在新冠病程中后期病情平稳,胸部影像学呈吸收趋势、患者无任何症状时,动态复查血常规才发现的粒细胞减少。如果不及时发现,很有可能继发新的感染,或贫血、出血事件等。
除了疾病相关皮疹,皮疹还可能是新冠病毒感染患者的药物过敏反应之一。新冠病毒治疗中发生药物超敏反应的诊断和管理建议[6]指出,新冠病毒感染期间使用多种药物治疗时,在疾病的不同阶段可出现急性荨麻疹、斑丘疹性皮疹、水痘样疹等皮损,甚至可能导致罕见而严重的药物过敏反应。它的诊断主要依赖于临床表现、发病时间、用药史和实验室检查,管理包括立即停用可疑药物、对症支持治疗、避免使用交叉反应药物、记录过敏史和进行药物脱敏等。已有报道,新冠病毒感染期间使用羟氯喹[7]、头孢菌素[8-9]可诱发急性全身性发疹性脓疱病,其中头孢曲松诱发的病例经斑贴试验证实[10]。
本病例报告表明,多种药物治疗新冠病毒感染患者时,可能出现格列齐特缓释片引起的白细胞、粒细胞减少和皮疹等严重不良反应。虽然此类反应罕见,但由于格列齐特缓释片是常用的降血糖药物,仍需高度警惕。同时,新冠病毒感染的患者免疫力低下,合并用药时更容易发生药物过敏反应。因此,在使用格列齐特缓释片时,应定期检查血液学指标和皮肤情况,一旦发现异常,应及时停药并处理,以防止加重病情或诱发并发症。
利益冲突 所有作者声明无利益冲突
| [1] | UpToDate临床顾问. 格列齐特缓释片[EB/OL]. (2018-12-24)[2022-07-11]. https://www.uptodate.cn/contents/packageinsert/4c1f01b4-8c10-41dd-af2c-ea7e8ef2d0a6?search=%E6%A0%BC%E5%88%97%E9%BD%90%E7%89%B9%E7%BC%93%E9%87%8A%E7%89%87. |
| [2] | 中华人民共和国国家卫生健康委员会. 新型冠状病毒肺炎诊疗方案(试行第八版修订版)[J]. 中华临床感染病杂志, 2021, 14(2): 81-88. DOI:10.3760/cma.j.issn.1674-2397.2021.02.001 |
| [3] | World Health Organization Uppsala Monitoring Centre. The use of the WHO-UMC system for standardized case causality assessment[EB/OL]. (2018-04-06)[2022-07-11]. http://www.who-umc.org/Graphics/24734.pdf. |
| [4] | 李晓行, 林丽萍, 黄德斌, 等. 格列齐特致血细胞减少3例[J]. 中南药学, 2009, 7(12): 957-958. |
| [5] | 李连杰. 格列齐特致全血细胞减少1例[J]. 中国实用医药, 2009, 4(5): 172. DOI:10.3969/j.issn.1673-7555.2009.05.136 |
| [6] | Gelincik A, Brockow K, ?elik GE, et al. Diagnosis and management of the drug hypersensitivity reactions in Coronavirus disease 19: an EAACI Position Paper[J]. Allergy, 2020, 75(11): 2775-2793. DOI:10.1111/all.14439 |
| [7] | Robustelli Test E, Vezzoli P, Carugno A, et al. Acute generalized exanthematous pustulosis with erythema multiforme-like lesions induced by Hydroxychloroquine in a woman with coronavirus disease 2019 (COVID-19)[J]. J Eur Acad Dermatol Venereol, 2020, 34(9): e457-e459. DOI:10.1111/jdv.16613 |
| [8] | Haraszti S, Sendil S, Jensen N. Delayed presentation of acute generalized exanthematous pustulosis following treatment with cefepime in a patient with COVID-19 without the use of hydroxychloroquine[J]. Am J Case Rep, 2020, 21: e926901. DOI:10.12659/AJCR.926901 |
| [9] | Torres-Navarro I, Abril-Pérez C, Roca-Ginés J, et al. A case of cefditoren-induced acute generalized exanthematous pustulosis during COVID-19 pandemics. Severe cutaneous adverse reactions are an issue[J]. J Eur Acad Dermatol Venereol, 2020, 34(10): e537-e539. DOI:10.1111/jdv.16664 |
| [10] | Stingeni L, Francisci D, Bianchi L, et al. Severe adverse drug reaction in SARS-CoV-2 infection: AGEP induced by ceftriaxone and confirmed by patch test[J]. Contact Dermatitis, 2021, 85(3): 366-368. DOI:10.1111/cod.13857 |
2023, Vol. 32



