患者男,18岁,主因“右上腹痛3 d,加重伴发热寒战1 d”。病程中体温最高38.2℃,当地医院全腹CT怀疑胆管囊性扩张症。既往史:肺结核病史2个月,口服利福平及自配中药1个月。查体:右上腹压痛,无反跳痛、肌紧张,未触及明显包块。实验室检查:血尿常规、肾功、血培养、感染标志物、肿瘤标志物均未见明显异常,C反应蛋白(CRP)46.67 mg/L,降钙素原(PCT)1.130 ng/mL,肝功:门冬氨酸氨基转移酶(AST)236.7 U/L,丙氨酸氨基转移酶(ALT)217.2 U/L,γ-谷氨酰转肽酶(γ-GT)351.4 U/L,胆碱酯酶(CHE)2 064 U/L,直接胆红素轻度升高。辅助检查:MRCP(急诊)示门静脉周围、腹膜后异常信号影(图 1),彩超显示肝内未见明显占位或脓性包块,未见胆管扩张。全腹增强CT:考虑肝内淋巴管囊肿(图 2)。PET-CT:考虑良性病变淋巴管囊肿(图 2)。结合患者病史及辅助检查,临床诊断:肝囊性淋巴管瘤。病灶淋巴管无规则盘曲穿行于右半肝(增强CT),拟手术治疗,术中可能肝脏局部切除的组织略大,家属拒绝手术,故行保守治疗。静点保肝药物肌苷注射液600 mg、异甘草酸镁注射液200 mg、谷胱甘肽2.4 g,均1次/d,口服双环醇片50 mg,3次/d。头孢类药物试敏均阳性,改用莫西沙星输液时患者腹痛症状突然加重,且血管刺激反应明显,再次改用美罗培南输液时又出现严重的输液反应,而患者夜间仍发热、寒战,体温波动在37.5~37.9℃,最后抗生素改用阿奇霉素0.5 g,1次/d、奥硝唑0.5 g,2次/d缓慢静点5 d后炎症指标明显下降,CRP 5.21 mg/L,PCT 0.75 ng/mL,夜间偶有低热、无寒战,无腹痛。停阿奇霉素、奥硝唑,继续保肝治疗。入院第14天,已无发热,CRP 1.68 mg/L,PCT 0.25 ng/mL,肝功各项指标明显回落,AST 129.4 U/L,ALT 104.9 U/L,病情明显好转出院。2个月后电话随访,3 d前病情复发,在当地医院住院治疗。
|
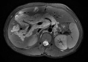
| 门静脉周围不规则长T2异常信号,沿肝内胆管、门静脉延伸 图 1 MRCP |
|
|
|
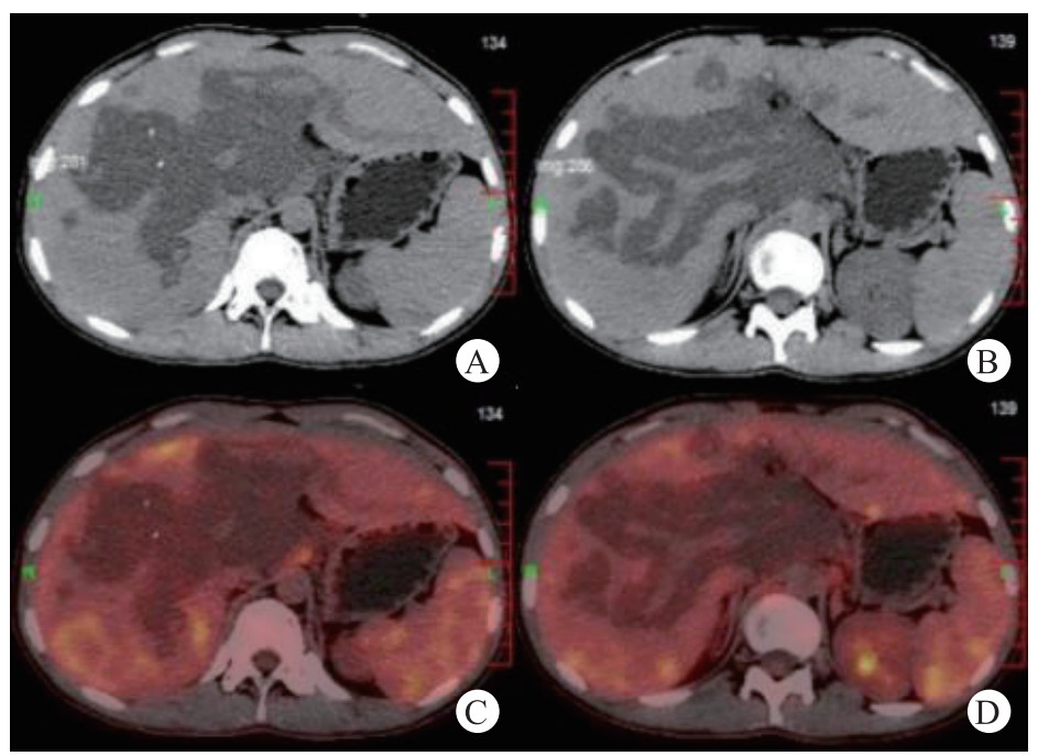
| 增强CT:图A、B,肝门区、胰头周围、肝内门静脉旁弥漫不规则斑片状、条片状低密度影,局部延伸至下腔静脉旁。PET-CT: 图C、D,肝内门静脉分支及主干旁、肝门区、胰头上方见多发囊性低密度影,放射性摄取低 图 2 全腹增强CT对比PET-CT |
|
|
囊性淋巴管瘤又称淋巴管囊肿,属于淋巴系统先天性良性错构瘤[1]。该病多发生于颈部, 仅5%发生于腹腔,常见于小肠[2]。解剖学看肝脏淋巴回流很少发生梗阻,故肝囊性淋巴管瘤发病的概率极小。
肝囊性淋巴管瘤解剖位置较深,临床表现、查体无特殊,早期易漏诊、误诊。近年报道该病具有高复发率和侵袭周边脏器的能力[3],一经确诊应及早手术;对于疾病重度恶化严重影响生活者,肝移植也可作为治疗方案。本例患者青年男性,反复发热,肝内淋巴管盘曲右半肝,行保肝、抗炎、退热、补液保守治疗,症状好转后家属拒绝活检及手术,后期随访发现患者病情复发,考虑不除外淋巴管囊肿感染所致。这些均提示对于该病符合手术指征的患者应尽早手术,常规的抗感染治疗不能从根本上解决问题;对于合并复杂性感染患者,应在保守治疗后积极评估患者手术指征及是否侵犯周边脏器,亦应尽早手术。
CT对评估淋巴管瘤体是否破裂以及评估与重要器官、大血管的走行具有重要价值。本病例肝囊性淋巴管瘤在CT上表现为呈多房状,界限清晰的多发低密度囊性病灶,囊内密度均匀;增强后囊壁轻度细线样强化,门脉期、延迟期强化明显。MRI示均匀T1WI低信号和T2WI明显高信号,囊性肿物沿组织间隙呈“爬行性生长”,强化后肝内可见纤维分隔样结构。鉴别诊断主要是肝海绵状血管瘤,肝囊肿,肝包虫病,肝转移瘤,先天性肝内胆管扩张症等疾病。
由于目前病例有限,加之缺乏长期随访资料,对肝囊性淋巴管瘤还需要进一步大样本量长期的观察研究。
利益冲突 所有作者声明无利益冲突
| [1] | 吴孟超, 吴在德. 黄家驷外科学[M]. 7版. 北京: 人民卫生出版社, 2008: 773-774. |
| [2] | Nazarewski L, Patkowski W, Pacho R, et al. Gall-bladder and hepatoduodenal ligament lymphangioma - case report and literature review[J]. Pol Przegl Chir, 2013, 85(1): 39-43. DOI:10.2478/pjs-2013-0007 |
| [3] | Liu Q, Sui CJ, Li BS, et al. Solitary hepatic lymphangioma: a one-case report[J]. SpringerPlus, 2014, 3: 314. DOI:10.1186/2193-1801-3-314 |
2023, Vol. 32



