中华急诊医学杂志  2023, Vol. 32 Issue (8): 1090-1095   DOI: 10.3760/cma.j.issn.1671-0282.2023.08.014
脂联素受体T-钙黏蛋白在急性心肌梗死中的表达及与急性炎症反应关联性研究
王娟娟 , 陈凤英     
内蒙古医科大学附属医院急诊科,呼和浩特 010059
摘要: 目的 研究脂联素受体T-钙黏蛋白在ISO诱导大鼠心肌梗死模型中的表达及与急性炎症反应的关联性。方法 将wistar雄性大鼠24只随机(随机数字法)分为心肌梗死模型组和对照组,每组12只,描记正常心电图后,心肌梗死模型组大鼠皮下注射异丙肾上腺素(ISO)150 mg·kg-1.d-1,连续2 d。对照组同法皮下注射等量的生理盐水, 连续2 d。在第2次皮下注射异丙肾上腺素24 h后描记心电图。待模型成功后处死大鼠,心脏组织HE染色,免疫组织化学检测心肌中T-钙黏蛋白(T-cadherin)的蛋白表达,ELISA检测血清脂联素(Adiponectin)、T-钙黏蛋白(T-cadherin)、超敏C-反应蛋白(hs-CRP)、肿瘤坏死因子-α(Tumor Necrosis Factor Alpha, TNF-α)蛋白的含量。结果 免疫组织化学结果显示,心肌梗死组心肌组织中T-钙黏蛋白的蛋白表达水平减少[(0.1567±0.0061) vs. (0.1228±0.0027)],差异有统计学意义(P < 0.05)。ELISA法结果显示,心肌梗死组血清脂联素(ng/mL)含量明显下降[(7.016±0.7236) vs. (1.883±0.2240)],两组比较差异有统计学意义(P < 0.01);心肌梗死组血清T-钙黏蛋白(ng/mL)[(6.075±0.8149) vs. (14.61±1.583)]、血清肿瘤坏死因子α(pg/mL)[(1860±95.96) vs. (3141±92.5)]、血清超敏C反应蛋白(ng/mL)[(20.93±1.079) vs. (30.49±1.742)]含量明显升高,两组比较差异有统计学意义(P < 0.01)。血清T-钙黏蛋白与血清脂联素呈负相关,血清T-钙黏蛋白与炎症因子(TNF-α、hs-CRP)呈正相关,血清脂联素与炎症因子(TNF-α、hs-CRP)呈负相关。结论 T-钙黏蛋白参与急性心肌梗死炎症反应,可能成为急性心肌损伤的重要分子标志物,对疾病预警起重要作用。
关键词: T-钙黏蛋白    脂联素    急性心肌梗死    超敏C反应蛋白    肿瘤坏死因子-α    
Expression of adiponectin receptor T-cadherin in acute myocardial infarction and its association with acute inflammatory reaction
Wang Juanjuan , Chen Fengying     
Department of Emergency Medicine, the Affiliated Hospital of Inner Mongolia Medical University, Huhhot 010059, China
Abstract: Objective To study the expression of adiponectin receptor T-cadherin in ISO-induced rat myocardial infarction model and its association with acute inflammatory reaction. Methods Twenty-four male Wistar rats were randomly divided into the myocardial infarction model group and the control group, with 12 rats in each group. After normal electrocardiogram recording, rats in the myocardial infarction model group were injected subcutaneously with isoproterenol (ISO) 150 mg·kg-1·d-1 for 2 consecutive days. The control group was subcutaneously injected with the same amount of normal saline for 2 consecutive days. Electrocardiogram was recorded 24 h after the second subcutaneous injection of ISO. After the success of the model, the rats were sacrificed, the heart tissue was stained with HE, and the protein expression of T-cadherin in the myocardium was detected by immunohistochemistry. The levels of adiponectin, T-cadherin, hypersensitive C-reactive protein (hS-CRP) and tumor necrosis factor alpha (TNF-α) in serum were detected by ELISA. Results Immunohistochemical results showed that the protein expression of T-cadherin decreased in the myocardial infarction model group [(0.1567±0.0061) vs. (0.1228±0.0027)], and the difference was statistically significant (P < 0.05). ELISA showed that serum adiponectin (ng/mL) content in the myocardial infarction model group was significantly decreased [(7.016±0.7236) vs. (1.883±0.2240)], and the difference between the two groups was statistically significant (P < 0.01). Serum T-cadherin (ng/mL) [(6.075±0.8149) vs. (14.610±1.583)], serum TNF-α (pg/mL) [(1860±95.96) vs. (3141±92.5)] and serum hs-CRP (ng/mL) [(20.93±1.079) vs. (30.49±1.742)] in the myocardial infarction model group were significantly increased, and the differences between the two groups were statistically significant (P < 0.01). Serum T-cadherin was negatively correlated with serum adiponectin, and serum T-cadherin was positively correlated with inflammatory factors (TNF-α and hs-CRP), while serum adiponectin was negatively correlated with inflammatory factors (TNF-α and hs-CRP). Conclusions T-cadherin is involved in the inflammatory response of acute myocardial infarction, which may be an important molecular marker of acute myocardial injury and play an important role in the disease early warning.
Key words: T-cadherin    Adiponectin    Acute Myocardial Infarction    Hypersensitive C-reactive protein    Tumor Necrosis Factor-Alpha    

心肌梗死(Acute Myocardial In-faction,AMI)是因心肌缺血引起的心肌坏死,是致死和致残的主要心血管疾病[1-2]。心肌梗死后炎症反应是由于心肌细胞坏死,发生无菌性炎症反应,心肌损伤后,机体释放多种炎症因子并引起炎症反应,从而对心肌造成进一步损害[3]。炎症反应在心肌梗死的发展过程中占据重要地位,且与心肌梗死的预后紧密相关,炎症反应过度、持久激活可促进心脏扩大、心功能不全及心力衰竭。目前一致认为炎症是心肌梗死后心室重构的重要环节,是慢性心力衰竭发展的基本机制[4]。因此, 及时控制急性心肌梗死患者的血清炎症因子水平对于改善患者预后具有重要作用。

TNF-α是一种具有多种生物功能的促炎细胞因子,也是动脉硬化炎症反应中的一个关键性细胞因子。超敏C反应蛋白为目前公认的炎症因子,与冠心病血管内皮损伤存在着密切联系[5]

脂联素(Adiponectin,APN)是脂肪细胞分泌的一类具有生物活性的激素,脂联素有脂联素受体1(AdipoR1)、脂联素受体2(AdipoR2)、T-钙黏蛋白三种受体[6]。研究表明,脂联素有抗炎、抗动脉粥样硬化,增加胰岛素敏感性等功能,在代谢调节,促血管生成,抗炎,心脏保护和抗缺血中发挥重要作用[7]

钙黏蛋白(T-cadherin)是钙黏蛋白家族的成员之一,存在于细胞表面没有跨膜和细胞质内结构域,是一种独特的糖基磷脂酰肌醇(GPI)锚定的嗜同性黏附分子[8]。T-cadherin主要在脉管系统中表达[9]。目前T-钙黏蛋白还没有被充分研究,但迄今为止进行的研究已经探索了T-钙黏蛋白影响多种心脑血管代谢性疾病,包括血压[10]、血脂水平、动脉粥样硬化[11]、胰岛素抵抗、缺血性脑卒中、代谢综合征等。本研究旨在研究脂联素受体T-钙黏蛋白在ISO诱导大鼠心肌梗死模型中的表达及与急性炎症反应的关联性。

1 材料与方法 1.1 实验动物

24只雄性wistar大鼠(SPF级),购自内蒙古大学实验动物研究中心,许可证号:SCXK(蒙)2016-0001,体重为220~260 g,饲养温度为(22±2)℃。所有动物实验的操作均遵照内蒙古医科大学动物伦理要求。

1.2 药品与试剂

异丙肾上腺素购至美国Sigma公司,兔抗大鼠cadherin13多克隆抗体(GTX87281)购至Gene Tex,大鼠肿瘤坏死因子αELISA试剂盒、大鼠超敏C反应蛋白ELISA试剂盒、大鼠T-钙黏蛋白ELISA试剂盒、大鼠脂联素ELISA试剂盒均购至武汉新启迪生物技术有限公司。

1.3 异丙肾上腺素诱导急性心肌梗死

心肌梗死模型组大鼠皮下注射异丙肾上腺素(ISO)150 mg·kg-1·d-1,按0.2 mL/100 g体积,间隔24 h,连续2 d[12]。对照组同法皮下注射等量(0.2 mL/100 g)的生理盐水.连续2 d。在第2次皮下注射异丙肾上腺素24 h后监测心电图。

1.4 心电图和评估

大鼠麻醉后分别记录大鼠注药前、注药后同步六导(肢体导联)心电图,测量心率,观察Q波及ST段偏移的程度,评估模型是否成功,以Ⅱ导联ST段抬高大于0.2 mV或Q波形成为心肌梗死标准。

1.5 心脏组织形态学观察

心电图描记完毕验证模型成功后,大鼠腹腔注射10%水合氯醛0.3 mL/100 g麻醉大鼠,腹主动脉取血。采血后迅速开胸,取出心脏,肉眼观察心脏大体形态。将新鲜心脏组织置于4%多聚甲醛溶液中固定保存,用于心肌结缔组织染色HE染色、免疫组织化学研究。

1.6 心肌组织HE染色

心肌组织固定、脱水与透明,石蜡包埋、切片、脱蜡、HE染色。显微镜下观察心肌组织形态。

1.7 免疫组织化学测定T-钙黏蛋白表达

脱蜡复水、抗原修复、过氧化氢封闭内源性过氧化酶、免疫反应、化学染色、脱水封片、结果观察。以心肌细胞膜着色棕黄色为T-cadherin的阳性表达,使用Image Pro Plus 6.0图像分析软件分析累积吸光度值,每张片子随机选取6个高倍镜视野(×400),计算心肌细胞的平均积分吸光度值,可以反映心肌细胞T-cadherin的相对表达含量。平均积分吸光度(Average Optical Density)=累积积分吸光度/面积。

1.8 ELISA法测定大鼠Adiponectin、T-cadherin、TNF-α、hs-CRP的表达水平

Adiponectin、T-cadherin、TNF-α、hs-CRP测定使用大鼠ELISA试剂盒检测样品,检测严格按试剂盒说明书进行。

1.9 统计学方法

所有数据采用SPSS 20.0进行数据分析处理,结果以均数±标准差(x±s)表示;两独立样本的均数比较采用成组t检验,正态分布的数据相关性分析采用Pearson相关分析,非正态数据相关性分析采用Spearman秩相关分析。按α=0.05做为检验标准,以P < 0.05为差异有统计学意义。

2 结果 2.1 大鼠心电图比较

与对照组比较,心肌梗死组大鼠心电图病理性Q波形成,如图 1(A)(B)所示。

A:正常心电图;B:心梗心电图 图 1 大鼠心电图 Fig 1 Normal electrocardiogram of rat
2.2 大鼠心脏大体形态比较

肉眼观察心脏大体形态,心肌梗死组较对照组心脏体积明显增大,左心室室腔明显扩大,梗死区心肌透壁性坏死,颜色呈现苍白色,变薄, 如图 2(A)(B)所示。

A:对照组; B:心肌梗死组
模型组心脏可见心尖部明显发白区域,为梗死心肌处
图 2 大鼠心脏 Fig 2 Rat heart
2.3 两组心肌组织病理学改变

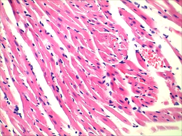
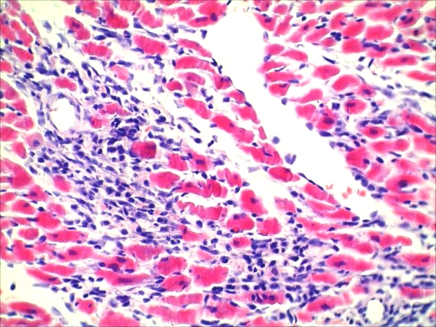
对照组心肌着色均匀,心肌细胞包膜完整、横纹排列整齐、细胞间隙均匀,肌纤维完整、走向一致,显示正常心肌细胞形态如图 3所示。心梗组心肌细胞包膜不完整,心肌纤维增粗、变长、排列紊乱、间隙增宽,细胞核数量减少,细胞核大而深染,可见炎症细胞浸润如图 4所示。

图 3 正常大鼠心肌HE染色(×400) Fig 3 Normal rat myocardium (HE staining, original magnification×400)

图 4 心肌梗死大鼠心肌HE染色(×400) Fig 4 Acute myocardial infarction rat myocardium (HE staining, original magnification×400)
2.4 免疫组织化学结果

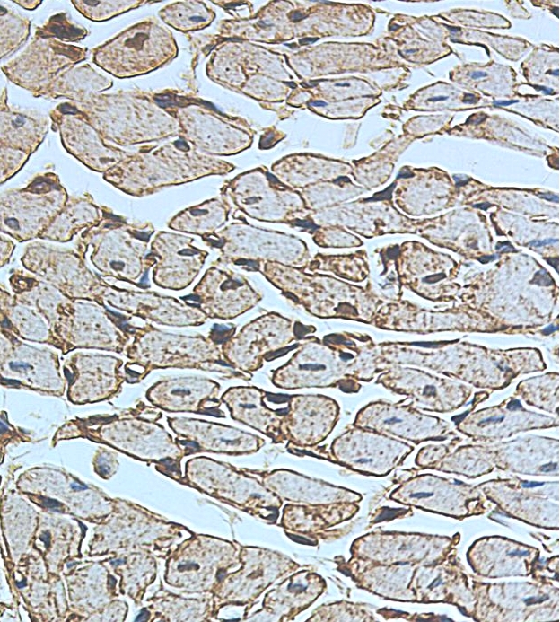
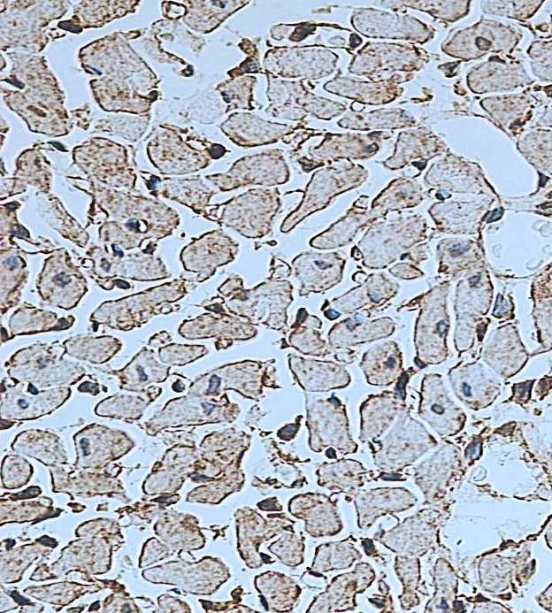
免疫组织化学结果显示,与对照组相比,心肌梗死组心肌组织中T-钙黏蛋白(T-cadherin)的蛋白表达水平减少(如图 56所示),T-cadherin主要定位于心肌细胞膜,动脉内皮细胞,血管平滑肌细胞。两组比较差异具差异有统计学意义[(0.1567±0.0061), n=12 vs. (0.1228±0.0027), n=12 P < 0.05],见表 1

图 5 正常大鼠心肌中T-cad表达(×400) Fig 5 Expression of T-cad in myocardium of normal rats (original magnification × 400)

图 6 心肌梗死大鼠心肌中T-cad表达(×400) Fig 6 Expression of T-cad in myocardium of rats with myocardial infarction (original magnification × 400)

表 1 两组大鼠心肌细胞T-cadherin表达水平比较(x±s) Table 1 Comparison of T-cadherin expression in rat cardiomyocytes between the two groups(x±s)
组别 动物数(n Adiponectin
对照组 12 0.1567 ± 0.0061
心梗组 12 0.1228 ± 0.0027a
注:a与对照组同期相比较P<0.05
2.5 ELISA结果 2.5.1 两组大鼠血清脂联素水平比较

心肌梗死组血清脂联素(adiponectin)(ng/mL)含量明显低于对照组,两组比较差异有统计学意义[(1.883 ± 0.2240), n=12 vs. (7.016 ± 0.7236), n=12, P < 0.01]。

2.5.2 两组大鼠血清T-钙黏蛋白水平比较

心肌梗死组血清T-钙黏蛋白(T-cadherin)(ng/mL)含量明显高于对照组(如图9所示),两组比较差异有统计学意义[(14.61 ± 1.583), n=12 vs. (6.075 ± 0.8149), n=12, P < 0.01],见表 3

表 2 两组大鼠血清脂联素水平比较(ng/mL,x±s) Table 2 Comparison of serum adiponectin levels between the two groups(ng/mL, x±s)
组别 动物数(n Adiponectin
对照组 12 7.016 ± 0.7236
心梗组 12 1.883 ± 0.2240a
注:Adiponectin:脂联素;与对照组同期相比较,aP<0.01

表 3 两组大鼠血清T-钙黏蛋白水平比较(ng/mL,x±s) Table 3 Comparison of serum T-cadherin levels between the two groups(ng/mL, x±s)
组别 动物数(n T-cadherin
对照组 12 6.075 ± 0.8149
心梗组 12 14.61 ± 1.583a
注:T-cadherin:T-钙黏蛋白;与对照组同期相比较,aP<0.01
2.5.3 两组大鼠血清炎症因子水平比较

心肌梗死组血清肿瘤坏死因子α(TNF-α)(pg/mL)含量明显高于对照组,两组比较差异有统计学意义[(3141 ± 92.5), n=12 vs. (1860 ± 95.96), n=12 P < 0.01]。心肌梗死组血清超敏C反应蛋白(hs-CRP)(ng/mL)含量明显高于对照组,两组比较差异有统计学意义[(30.49 ± 1.742), n=12 vs. (20.93 ± 1.079), n=12 P < 0.01],见表 4

表 4 两组大鼠血清炎症因子水平比较(x±s) Table 4 The ratio of serum inflammatory factors in the two groups of rats(x±s)
组别 动物数 TNF-α(pg/mL) hs-CRP((ng/mL)
对照组 12 1860 ± 95.96 20.93 ± 1.079
心梗组 12 3141 ± 92.5a 30.49 ± 1.742a
注:TNF-α:肿瘤坏死因子α;hs-CRP:超敏C反应蛋白;与对照组同期相比较,aP<0.01
2.6 血清T-cadherin、血清Adiponectin、血清TNF-α、血清hs-CRP相关性分析

血清T-钙黏蛋白与血清脂联素呈负相关,血清T-钙黏蛋白与炎症因子(TNF-α、hs-CRP)呈正相关,血清脂联素与炎症因子(TNF-α、hs-CRP)呈负相关。见表 5~7

表 5 大鼠血清T-cadherin与血清脂联素的相关性 Table 5 The correlation between serum T-cadherin and adiponectin in rats
指标 Adiponectin
r -0.948
P 0.0001
注:T-cadherin:血清T-钙黏蛋白,Adiponectin:血清脂联素

表 6 大鼠血清T-cadherin与血清炎症因子的相关性 Table 6 The correlation between serum T-cadherin and inflammatory factors in rats
指标 TNF-α hs-CRP
r 0.853 0.811
P 0.007 0.008
注:T-cadherin:血清T-钙黏蛋白,TNF-α:血清肿瘤坏死因子-α,hs-CRP:血清超敏C反应蛋白

表 7 大鼠血清Adiponectin与血清炎性因子的相关性 Table 7 The correlation between serum adiponectin and inflammatory factors in rats
指标 TNF-α hs-CRP
r -0.889 -0.921
P 0.001 0.0004
注:Adiponectin:血清脂联素,TNF-α:血清肿瘤坏死因子-α,hs-CRP:血清超敏C反应蛋白
3 讨论

T-钙黏蛋白作为新型脂联素受体可与脂联素六聚体及高相对分子质量多聚体结合,从而介导脂联素的心血管保护作用[13-14]。T-钙黏蛋白与多种疾病如炎症、代谢综合征、糖尿病、动脉粥样硬化等关系紧密。Iioka等[15]研究发现,STEMI患者血清可溶性T-cad浓度发生显着变化,入院时高T-cad和低APN浓度与心肌梗死面积相关。本实验免疫组织化学结果显示,心肌梗死组心肌组织中T-cadherin的蛋白表达水平减少。ELISA结果表明,与对照组相比,心肌梗死组血清T-cadherin(ng/mL)含量明显升高。T-钙黏蛋白的研究表明,它可能有助于作为心血管疾病早期阶段的诊断标记物,可能为急性心肌损伤的重要分子标志物[16],急性心肌梗死是典型的无菌性炎症,炎症和炎症通路参与动脉粥样硬化疾病和急性冠状动脉综合征(ACS),hs-CRP作为动脉粥样硬化斑块形成,增殖和破裂的参与者,可在ACS事件后升高并可持续数月,并且是心力衰竭和病死率增加的重要风险标志物[17]。心肌梗死后TNF-α释放增加, 在心肌梗死后心室重构发挥关键作用。心肌梗死后,持续TNF-α活化,可引起心脏扩大,心肌收缩力下降、细胞外基质改建。本实验ELISA结果表明,炎性因子在急性心肌梗死早期表达含量升高,心肌梗死组血清肿瘤坏死因子α、血清超敏C反应蛋白的含量水平明显高于对照组。炎症反应在心肌梗死的发展过程中占据重要地位,且与心肌梗死的预后紧密相关,炎症反应过度、持久激活可促进心脏扩大、心功能不全及心力衰竭。

脂联素的六聚体和高分质量多聚体与T-钙黏蛋白结合可以激活NF-κB信号通路[18-19],该信号通路在炎症、肥胖、血管疾病中起关键作用。Teng等[20]研究发现,CDH13基因型与炎症标志物水平相关。CDH13基因多态性与炎症、代谢综合征、糖尿病、动脉粥样硬化显著相关。本实验通过ELISA检测血清中adiponectin、T-cadherin、TNF-α、hs-CRP蛋白含量,心肌梗死组血清脂联素(ng/mL)含量明显下降;心肌梗死组血清T-钙黏蛋白(ng/mL)、血清肿瘤坏死因子α(pg/mL)、血清超敏C反应蛋白(ng/mL)含量明显升高。血清脂联素与血清T-钙黏蛋白呈负相关,血清T-钙黏蛋白与炎症因子(TNF-α、hs-CRP)呈正相关,血清脂联素与炎症因子(TNF-α、hs-CRP)呈负相关。既往研究表明脂联素具有良好的抗炎作用,本实验与既往实验研究一致。本实验表明T-钙黏蛋白可能参与急性心肌梗死炎症反应,但具体机制不明。为T-钙黏蛋白与急性冠脉综合征、炎症之间关联提供了进一步证据。

综上所述,心肌梗死模型组心室肌中T-钙黏蛋白(T-cadherin)蛋白表达水平减少,但血清中T-钙黏蛋白含量明显升高,血清脂联素在心肌梗死早期表达含量下降,血清脂联素与血清T-钙黏蛋白呈负相关,血清T-钙黏蛋白与炎症因子(TNF-α、hs-CRP)呈正相关,血清脂联素与炎症因子(TNF-α、hs-CRP)呈负相关。本实验研究表明,T-钙黏蛋白参与急性心肌梗死炎症反应,可能成为急性心肌损伤的重要分子标志物,对疾病预警起重要作用,对早期识别心肌梗死在今后临床中应用其到借鉴作用,本实验为T-钙黏蛋白与急性冠脉综合征、炎症之间关联提供了进一步证据。

利益冲突  所有作者声明无利益冲突

作者贡献声明  王娟娟:实验操作、数据收集及整理、统计学分析、论文撰写;贾红杰:统计学分析;陈凤英:实验设计,行政支持和指导,统计学分析,论文修改;王福彦:统计学分析

参考文献
[1] Zhang Q, Wang L, Wang SQ, et al. Signaling pathways and targeted therapy for myocardial infarction[J]. Signal Transduct Target Ther, 2022, 7(1): 78. DOI:10.1038/s41392-022-00925-z
[2] 孟庆义. 2022年急诊医学研究进展[J]. 中华急诊医学杂志, 2023, 32(2): 150-161. DOI:10.3760/cma.j.issn.1671-0282.2023.02.005
[3] Kamińska J, Koper OM, Siedlecka-Czykier E, et al. The utility of inflammation and platelet biomarkers in patients with acute coronary syndromes[J]. Saudi J Biol Sci, 2018, 25(7): 1263-1271. DOI:10.1016/j.sjbs.2016.10.015
[4] Besse S, Nadaud S, Balse E, et al. Early protective role of inflammation in cardiac remodeling and heart failure: focus on TNFα and resident macrophages[J]. Cells, 2022, 11(7): 1249. DOI:10.3390/cells11071249
[5] Medina-Leyte DJ, Zepeda-García O, Domínguez-Pérez M, et al. Endothelial dysfunction, inflammation and coronary artery disease: potential biomarkers and promising therapeutical approaches[J]. Int J Mol Sci, 2021, 22(8): 3850. DOI:10.3390/ijms22083850
[6] Choi HM, Doss HM, Kim KS. Multifaceted physiological roles of adiponectin in inflammation and diseases[J]. Int J Mol Sci, 2020, 21(4): 1219. DOI:10.3390/ijms21041219
[7] Yanai H, Yoshida H. Beneficial effects of adiponectin on glucose and lipid metabolism and atherosclerotic progression: mechanisms and perspectives[J]. Int J Mol Sci, 2019, 20(5): 1190. DOI:10.3390/ijms20051190
[8] Tsugawa-Shimizu Y, Fujishima Y, Kita S, et al. Increased vascular permeability and severe renal tubular damage after ischemia-reperfusion injury in mice lacking adiponectin or T-cadherin[J]. Am J Physiol Endocrinol Metab, 2021, 320(2): E179-E190. DOI:10.1152/ajpendo.00393.2020
[9] Guerrero J, Dasen B, Frismantiene A, et al. T-cadherin expressing cells in the stromal vascular fraction of human adipose tissue: role in osteogenesis and angiogenesis[J]. Stem Cells Transl Med, 2022, 11(2): 213-229. DOI:10.1093/stcltm/szab021
[10] Org E, Eyheramendy S, Juhanson P, et al. Genome-wide scan identifies CDH13 as a novel susceptibility locus contributing to blood pressure determination in two European populations[J]. Hum Mol Genet, 2009, 18(12): 2288-2296. DOI:10.1093/hmg/ddp135
[11] Dong CH, Beecham A, Wang LY, et al. Genetic loci for blood lipid levels identified by linkage and association analyses in Caribbean Hispanics[J]. J Lipid Res, 2011, 52(7): 1411-1419. DOI:10.1194/jlr.P013672
[12] Moradi-Arzeloo M, Farshid AA, Tamaddonfard E, et al. Effects of histidine and vitamin C on isoproterenol-induced acute myocardial infarction in rats[J]. Vet Res Forum, 2016, 7(1): 47-54.
[13] Fujishima Y, Maeda N, Matsuda K, et al. Adiponectin association with T-cadherin protects against neointima proliferation and atherosclerosis[J]. FASEB J, 2017, 31(4): 1571-1583. DOI:10.1096/fj.201601064R
[14] Parker-Duffen JL, Walsh K. Cardiometabolic effects of adiponectin[J]. Best Pract Res Clin Endocrinol Metab, 2014, 28(1): 81-91. DOI:10.1016/j.beem.2013.09.001
[15] Iioka M, Fukuda S, Maeda N, et al. Time-series change of serum soluble T-cadherin concentrations and its association with creatine kinase-MB levels in ST-segment elevation myocardial infarction[J]. J Atheroscler Thromb, 2022, 29(12): 1823-1834. DOI:10.5551/jat.63305
[16] 王娟娟, 陈凤英. 新型脂联素受体T-钙黏蛋白与心血管疾病研究进展[J]. 中华急诊医学杂志, 2019, 28(5): 659-662. DOI:10.3760/cma.j.issn.1671-0282.2019.05.030
[17] Świątkiewicz I, Magielski P, Kubica J. C-reactive protein as a risk marker for post-infarct heart failure over a multi-year period[J]. Int J Mol Sci, 2021, 22(6): 3169. DOI:10.3390/ijms22063169
[18] Tsao TS, Murrey HE, Hug C, et al. Oligomerization state-dependent activation of NF-kappa B signaling pathway by adipocyte complement-related protein of 30 kDa (Acrp30)[J]. J Biol Chem, 2002, 277(33): 29359-29362. DOI:10.1074/jbc.C200312200
[19] Ouchi N, Kihara S, Arita Y, et al. Adiponectin, an adipocyte-derived plasma protein, inhibits endothelial NF-kappa B signaling through a cAMP-dependent pathway[J]. Circulation, 2000, 102(11): 1296-1301. DOI:10.1161/01.cir.102.11.1296
[20] Teng MS, Wu S, Hsu LA, et al. Differential associations between CDH13 genotypes, adiponectin levels, and circulating levels of cellular adhesive molecules[J]. Mediators Inflamm, 2015, 2015: 635751. DOI:10.1155/2015/635751