中华急诊医学杂志  2023, Vol. 32 Issue (7): 988-990   DOI: 10.3760/cma.j.issn.1671-0282.2023.07.026
以心律失常为首发的抗GABA B受体抗体阳性自身免疫性脑炎1例
金豆1 , 刘宏2     
1. 西安医学院第一附属医院急诊科,西安 710077;
2. 浙江大学医学院第二附属医院急诊科,杭州 310009

随着越来越多的神经自身抗体被发现,以前被认为是“病毒性/特发性脑炎”或“精神性疾病”的病例已被确定为自身免疫性病因[1]。自身免疫性脑炎是一类由自身免疫机制介导的中枢神经系统炎症疾病,其中抗GABA B(γ-aminobutyricacid acid B)受体抗体阳性脑炎,属于自免脑中边缘性脑炎的一种,其以难治性癫痫、认知功能下降和精神行为障碍等为常见临床表现,约50%的此类人群可合并小细胞肺癌,临床不多见。而以心律失常为首发的抗GABA B受体阳性的自身免疫性脑炎患者,国内外目前鲜有报道,现报道一例由浙江大学第二附属医院急诊科收治的自身免疫性脑炎患者。

1 资料与方法 1.1 病史

患者男,66岁,以“晕厥8 d”于2021-10-18收住本院EICU。8 d前(2021-10-10)患者突发晕厥,无发热,无恶心、呕吐,无咳嗽、咳痰,无腹痛、腹泻,无二便失禁,被路人送入当地医院急诊后再次出现晕厥(颈动脉搏动不能触及、双眼向左侧凝视、口角左歪、牙关紧闭),抢救后收住当地医院心内科,住院期间(2021-10-14)患者再发晕厥1次,同时有心率减慢(30次/min)、血压下降,心电遥测显示窦性停搏、交界性逸搏,遂予以阿托品对症治疗,临时起搏器植入治疗,同时行冠脉造影检查(左前降支中段心肌桥,收缩期狭窄70%,舒张期恢复,余无异常),术后患者仍反复出现心律失常、抽搐。追问病史,家属诉患者发病前曾有过幻觉表现如看到花草、动物等,故请神经内科会诊后予以腰穿检查(白细胞33×106/L,潘式实验阳性)提示脑炎不能排除,予以对症治疗[丙戊酸钠、阿昔洛韦、头孢曲松钠(具体不详)]后于2021-10-16以①脑炎:疑似自身免疫性或病毒性; ②心律失常、窦性停搏、临时起搏器植入术后转入浙大二院心血管内科,治疗方案为左乙拉西坦0.5 g q12 h抗癫痫、阿昔洛韦0.5 g q8 h抗病毒等对症处理,期间患者出现指脉氧下降至88%,血气分析提示Ⅱ型呼吸衰竭,后予气管插管于2021-10-18转入EICU。既往体健,长期吸烟。

1.2 查体及辅助检查

T:37.4℃,P:80次/min,R:15次/min,Bp:124/61 mmHg(1 mmHg=0.133 kPa)。GCS:2+T+4,镇静镇痛状态(RASS:−2分),呼吸机辅助通气,模式VCV,VT:460 mL,PEEP:4 mmHg,FiO2:30%,双瞳孔等大等圆,直径约2.5 cm,光反射迟钝,心率80次/min,律不齐,可闻及频发早搏,双肺呼吸音粗,未闻及杂音。颈强直(约2指),双侧巴氏征阴性。辅助检查:脑脊液示潘氏试验阳性,有核细胞70×106/L,中性粒细胞25%,隐血试验阳性,葡萄糖4.76 mmol/L,蛋白含量34.6 mg/dL; 甲状腺激素全套未见异常; 自身免疫性脑炎谱:抗GABA B受体抗体IgG 1∶3.2(附图 1); 血清副瘤性神经综合征谱:阴性(附图 2); 脑脊液Q-mNGS结果见附图 3

图 1 患者脑电图报告

图 2 动态心电图(部分截取)

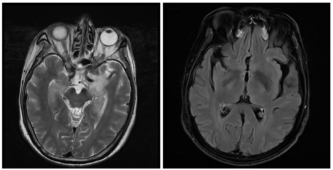
A为平扫MRI,B为增强MRI 图 3 头颅磁共振影像

脑电图提示:慢活动弥漫分布(见图 1); 动态心电图:窦性心律,心室起搏心律,房性早搏190次,成对房早9次,短串房速1次,室性早搏21 707次,成对室早41次,短串室速67次,可见二、三联律发生,部分时间提示室性并行心律(见图 2); 颅脑、胸部CT未见明显异常。

1.3 治疗及转归

入院后予以丙种球蛋白25 g qd(连用5 d)、甲强龙500 mg qd起降阶梯治疗(每3 d减半量); 同时辅以左乙拉西坦片0.5 mg q12 h鼻饲、苯巴比妥钠注射液0.1 g q8 h肌肉注射抗癫痫及其他营养对症处理。后患者病情逐渐稳定转入神经内科专科住院。经抗自免脑治疗后患者心律失常逐渐好转,予以摘除临时起搏器,并进一步行颅脑MRI及增强MRI检查,颅脑MRI(2021-11-10)提示:两侧额顶叶、左侧颞叶皮层下和两侧半卵圆中心见多发斑点状T1WI低、T2WI高信号,T2 Flair高信号,脑室脑沟脑池未见明显异常,中线结构居中。颅脑增强MRI提示:两侧颞叶、岛叶、额叶多发片状T2WI高信号影,T2 Flair高信号,DWI呈稍高信号,以额叶为主,两侧额顶颞叶、脑室周围、半卵圆区、基底节区多发点片状长T2高信号,黑水像高信号,脑室脑沟脑池未见异常,中线居中。两侧颞叶、岛叶及额叶多发病灶,考虑脑炎:两侧额叶颞叶、脑室周围、半卵圆区、基底节区多发缺血灶(图 3),癫痫治疗方案基本同上。1月后患者转入绍兴市上虞区人民医院行康复治疗,后患者逐渐恢复生活自理能力。半年后(2022-04)随访,患者于浙大一附院诊断为小细胞肺癌(晚期),目前行中药、化疗治疗。

2 讨论

自身免疫性脑炎并不多见,发病率为10万分之一[2],作为其少见类型的抗GABA B受体抗体相关性脑炎,其发病率更低,约占自免脑的5%[3],中老年好发,男性多于女性[4]。因该疾病与癫痫、认知障碍、住院时间长以及患者、家庭和社会成本增加有关,故而近年来得到重视。

患者以晕厥(即一过性广泛脑供血不足所致短暂的意识丧失状态)入院,常见的导致晕厥的4个病因即血管舒缩障碍、血管成分异常、心源性晕厥、脑源性晕厥,后两种病因常合并有器质性病变。本例患者既往体健,此次住院期间频发心律失常(窦性停搏、交界性逸搏),经冠脉造影、心脏超声、心损指标等检查未见明显器质性异常,药物控制、临时起搏器植入等治疗并未明显改善患者症状,虽仍反复出现心律失常、抽搐,但可暂排除因心脏器质性病变如病窦综合征、急性冠脉综合征等所致的心源性晕厥。而后,结合辅助检查,脑脊液提示脑脊液清亮、有核细胞为主,自身免疫性脑炎谱提示抗GABA B受体抗体IgG 1∶3.2;血清副瘤性神经综合征谱阴性; 脑脊液Q-mNGS结果阴性,加之起病急、进展快,有严重且难治的癫痫发作、近事记忆力下降及精神行为异常等自免脑的典型临床表现[5],可排除其他类型脑炎,抗GABA B受体抗体阳性自免脑诊断明确。

患者诊断自免脑、心律失常均明确,在未用抗心律失常药物的前提下,经自免脑规范治疗[4]即应用丙种球蛋白、糖皮质激素及抗癫痫等治疗后,笔者发现患者心律失常逐渐消失,癫痫明显好转,这二者有何相关性呢?经查阅文献得知,患者心律失常发生可能与脑心交互密切相关。1947年,Byer等[6]首次报道心肌损伤和心律失常的发生可由脑血管疾病导致。脑损伤发生后,心肌损伤、缺血、心律失常、心功能不全等情况可通过脑心交互继发出现。从神经-体液调节机制而言,一方面,抗GABA B类型自免脑属于边缘性脑炎,而支配心脏活动的高级神经中枢位于大脑边缘系统的下丘脑、脑干以及岛叶[7]。该患者后期颅脑磁共振表明,其损伤区域覆盖了颞叶、岛叶、额叶,岛叶损伤可抑制心脏副交感神经节律,促进交感神经节律,造成心肌损伤、心律失常等心脏问题[8]; 另一方面,机体在脑岛叶损伤后可进入应激状态,兴奋神经内分泌功能网,致肾上腺素、去甲肾上腺素、儿茶酚胺等激素水平明显升高,从而使心肌细胞因高收缩状态而出现坏死、肥大、纤维化,出现不沿血供区域分布的可逆性室壁运动异常,导致心律失常[9-10]。从炎症机制而言,脑损伤激活了促炎细胞因子(如白介素-6)、P-选择素、整合素、血管细胞粘附蛋白等的释放,损伤血脑屏障,外周免疫细胞即可进入脑微循环进而进入体循环,诱发全身性炎症反应,出现继发性心脏损伤[11]。同时血浆内皮素水平的增加也可导致心肌细胞的直接损害,因为高浓度内皮素可抑制心肌细胞的乳酸转运、能量代谢,还可强烈收缩血管、增加心肌后负荷,导致心律失常等系列心肌损伤[13]。虽然心律失常在抗GABA B受体抗体阳性自免脑中未见报道,但在其他类型自免脑病例中常见合并有心律失常[13],以疾病诊断一元论为原则,结合治疗方案,证实患者本次症状均因抗GABA B受体抗体阳性自免脑导致。

抗GABA B脑炎本不多见,合并心律失常的抗GABA B脑炎患者国内外目前更是未见报道,本报道旨在提醒大家认识此类型脑炎,做到早诊断,早治疗,对于合并心律失常的患者更应及早重视,如进行重症监护和必要的通气支持,甚或需安装心脏起搏器以防止恶性心律失常及心脏骤停的发生。同时,也鼓励大家不断学习,对以少见症状为首发的疾病可做到见微知著,以丰富临床诊疗思路。

利益冲突  所有作者声明无利益冲突

本文附录请登录中华急诊网(www.cem.org.cn)浏览

参考文献
[1] Gable MS, Sheriff H, Dalmau J, et al. The frequency of autoimmune N-methyl-D-aspartate receptor encephalitis surpasses that of individual viral etiologies in young individuals enrolled in the California Encephalitis Project[J]. Clin Infect Dis, 2012, 54(7): 899-904. DOI:10.1093/cid/cir1038
[2] Li AQ, Gong X, Guo KD, et al. Direct economic burden of patients with autoimmune encephalitis in Western China[J]. Neurol Neuroimmunol Neuroinflamm, 2020, 7(6): e891. DOI:10.1212/NXI.0000000000000891
[3] 卢节平, 肖芳, 宋笑凯, 等. 抗GABA B型受体脑炎的临床特点分析[J]. 临床神经病学杂志, 2021, 34(5): 373-376. DOI:10.3969/j.issn.1004-1648.2021.05.013
[4] 中华医学会神经病学分会. 中国自身免疫性脑炎诊治专家共识[J]. 中华神经科杂志, 2017, 50(2): 91-98. DOI:10.3760/cma.j.issn.1006-7876.2017.02.004
[5] McKay JH, Dimberg EL, Lopez Chiriboga AS. A systematic review of Gamma-aminobutyric Acid Receptor Type B autoimmunity[J]. Neurol Neurochir Pol, 2019, 53(1): 1-7. DOI:10.5603/PJNNS.a2018.0005
[6] Byer E, Ashman R, Toth LA. Electrocardiograms with large, upright T waves and long Q-T intervals[J]. Am Heart J, 1947, 33(6): 796-806. DOI:10.1016/0002-8703(47)90025-2
[7] Nagai M, Hoshide S, Kario K. The insular cortex and cardiovascular system: a new insight into the brain-heart axis[J]. J Am Soc Hypertens, 2010, 4(4): 174-182. DOI:10.1016/j.jash.2010.05.001
[8] 姬婷, 李天, 蒋帅, 等. 脑心综合征的损伤机制及治疗[J]. 生理科学进展, 2019, 50(6): 443-446. DOI:10.3969/j.issn.0559-7765.2019.06.010
[9] Battaglini D, Robba C, Lopes da Silva A, et al. Brain-heart interaction after acute ischemic stroke[J]. Crit Care, 2020, 24(1): 163. DOI:10.1186/s13054-020-02885-8
[10] Mazzeo AT, Micalizzi A, Mascia L, et al. Brain-heart crosstalk: the many faces of stress-related cardiomyopathy syndromes in anaesthesia and intensive care[J]. Br J Anaesth, 2014, 112(5): 803-815. DOI:10.1093/bja/aeu046
[11] 曲畅, 吴云红, 穆靖洲, 等. 核转录因子-κB在缺氧导致的炎症中的作用[J]. 生理科学进展, 2018, 49(1): 39-43. DOI:10.3969/j.issn.0559-7765.2018.01.007
[12] Chen ZL, Venkat P, Seyfried D, et al. Brain-heart interaction: cardiac complications after stroke[J]. Circ Res, 2017, 121(4): 451-468. DOI:10.1161/CIRCRESAHA.117.311170
[13] 吴兰香, 田胜, 郑合情, 等. 成年人抗接触蛋白相关蛋白2抗体自身免疫性脑炎的临床特征研究[J]. 中国全科医学, 2021, 24(30): 3870-3877. DOI:10.12114/j.issn.1007-9572.2021.02.023