特鲁索综合征(Trousseau' s syndrome, TS)是恶性肿瘤在发病过程中因不同程度凝血和纤维蛋白溶解机制异常而并发的自发性反复发作性游走性动静脉血栓栓塞事件,由1865年法国医生Trousseau首次报道。TS一旦形成预后不良,临床可以表现为深静脉血栓形成、肺栓塞、非细菌性血栓性心内膜炎、弥散性血管内凝血、动脉血栓形成和急性脑梗死等,关于该病的介绍多为个案报道。本文对2010年1月至2022年10月郑州大学第一附属医院收治的9例以急性脑梗死为首发表现的TS临床资料进行回顾性分析,以提高临床医师对该病的认识。
1 资料与方法 1.1 研究对象TS尚无明确的诊断标准,有研究提出TS评分系统:①D-二聚体水平≥10.0 mg/L为2分; ②多个血管分布区域的梗死为2分; ③活动性肿瘤为1分; ④血小板 < 150×109/L为1分; ⑤女性为1分; 若TS评分≥3分,则需考虑为TS。通过病案检索查到2010年1月至2022年10月郑州大学第一附属医院共收治15例以急性脑梗死为首发表现最终出院诊断为TS的恶性肿瘤患者,去除6例资料严重缺失者,余9例,该9例患者均根据TOAST分型考虑不明原因脑卒中,且无心律失常、房室间隔缺损、重度心脏瓣膜病变、风湿性疾病,收集其临床资料并进行回顾性分析。本研究中患者或家属均已签署知情同意书,且通过郑州大学第一附属医院科研与临床试验伦理委员会审查(审批号:2023-KY-0121-002)。
1.2 方法收集所有患者的的临床资料,包括性别、年龄、临床表现、既往史、实验室检查、影像学检查、病理检查、治疗方法及短期预后。
1.3 统计学方法采用SPSS 21.0软件对数据进行统计分析,正态分布的计量资料以均数±标准差(x±s)表示,非正态分布的计量资料以中位数(四分位数)[M(Q1, Q3)]表示。以P < 0.05为差异有统计学意义。
2 结果 2.1 一般情况本研究纳入的9例患者中男5例、女4例,发病年龄(55.1±15.4)岁; 有吸烟史4例,饮酒史3例; 高血压病病史3例,糖尿病病史2例,冠心病病史1例。
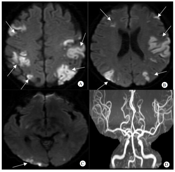
2.2 临床表现、实验室及影像学检查9例患者的症状表现:肢体无力6例、言语不利6例、意识障碍5例、癫痫2例、头晕1例。TS评分4(4, 5); 纤维蛋白降解产物水平12.8(4.9, 70.2)μg/mL(正常参考值0~5),D-二聚体水平(5.4±4.8)mg/L(正常参考值0~0.55),血脂均正常,肿瘤类型均为实体肿瘤,其中胃癌3例,肺癌2例,卵巢癌3例,宫颈癌1例; 病理类型腺癌7例,鳞癌2例; 肿瘤转移部位有淋巴结4例、腹膜4例、肺3例、肝2例、骨2例、肾上腺1例、皮肤1例。发生1次脑梗死者4例,2次脑梗死者3例,3次脑梗死者2例。脑梗死部位分布于双侧前和双侧后循环者6例,分布于单侧前和双侧后循环者2例,分布于双侧前和单侧后循环者1例。其中病例1头颅影像见图 1。6例患者出现了外周静脉血栓形成,其中1例患者四肢深静脉均有血栓形成且同时存在肺栓塞、肾梗死及脾梗死,余5例患者为双下肢深静脉血栓形成,见表 1、表 2。
|
| A、B、C:DWI(磁共振扩散加权成像) 示双侧额顶叶、左侧颞岛叶、右侧基底节区、右侧颞叶、双侧枕叶、右侧小脑半球多发片状高信号病灶;D:脑MRA(磁共振血管成像)无明显异常 图 1 病例1头颅DWI及MRA结果 |
|
|
| 病例 | 性别 | 年龄(岁) | 肿瘤部位 | 病理类型 | 转移部位 | 脑梗死范围 | 脑梗死次数 | 其他栓塞部位 | 针对肿瘤治疗方案 | 抗凝情况 | 生存时间 | TS评分(分) |
| 1 | 女 | 39 | 卵巢 | 腺癌 | 皮肤、腹膜、肺、淋巴结 | 左侧额叶、顶叶、枕叶、丘脑、小脑右侧额叶、顶叶、颞叶、丘脑、枕叶、小脑胼胝体 | 3 | 肺、脾、肾、四肢静脉 | 化疗 | 抗凝 | 4个月 | 4 |
| 2 | 女 | 24 | 宫颈 | 鳞癌 | 骨 | 左侧颞叶、基底节区、丘脑右侧丘脑桥脑 | 1 | 下肢静脉 | 化疗 | 抗凝 | 2个月 | 5 |
| 3 | 男 | 65 | 胃 | 腺癌 | 淋巴结 | 左侧额叶、枕叶右侧小脑 | 1 | 下肢静脉 | 化疗 | 抗凝 | 6个月 | 5 |
| 4 | 男 | 52 | 胃 | 腺癌 | 淋巴结、肾上腺、肺、肝 | 左侧额叶、顶叶、颞叶、小脑右侧额叶、顶叶、枕叶、小脑 | 1 | 下肢静脉 | 化疗 | 抗凝 | 4个月 | 4 |
| 5 | 女 | 67 | 卵巢 | 腺癌 | 腹膜 | 左侧额叶、顶叶、枕叶、小脑右侧额叶、顶叶、颞叶、基底节区、枕叶、小脑胼胝体 | 2 | 无 | 未化疗 | 抗凝 | 6 d | 5 |
| 6 | 男 | 69 | 肺 | 鳞癌 | 骨 | 左侧额叶、顶叶、颞叶、枕叶、小脑右侧额叶、顶叶、颞叶、枕叶、小脑桥脑 | 3 | 无 | 化疗 | 未抗凝 | 2个月 | 4 |
| 7 | 男 | 52 | 肺 | 腺癌 | 肝、淋巴结 | 左侧额叶、顶叶右侧额叶、顶叶胼胝体、桥脑 | 2 | 无 | 化疗 | 抗凝 | 3个月 | 4 |
| 8 | 男 | 69 | 胃 | 腺癌 | 腹膜 | 左侧额叶、顶叶、岛叶、枕叶右侧额叶、颞叶、顶叶、基底节区、枕叶、小脑 | 1 | 下肢静脉 | 化疗 | 抗凝 | 7个月 | 5 |
| 9 | 女 | 59 | 卵巢 | 腺癌 | 肺、腹膜 | 左侧额叶、顶叶、颞叶、小脑右侧额叶、顶叶、枕叶 | 2 | 下肢静脉 | 未化疗 | 抗凝 | 4 d | 4 |
| 指标 | 结果 | 参考值 |
| FDP(μg/mL)a | 12.8(4.9,70.2) | 0~5 |
| DDI(mg/L)b | 5.4±4.8 | 0~0.55 |
| T-CHO(mmol/L)a | 4.1(3.0,4.3) | < 5.2 |
| LDL(mmol/L)b | 2.3±0.5 | < 3.61 |
| CA125(U/mL)a | 55.8(26.5,176.3) | 0~35 |
| CA15-3(U/mL)a | 21.0(13.9,64.5) | 0~35 |
| CA19-9(U/mL)a | 124.0(24.8,4377) | 0~35 |
| CA72-4(U/mL)a | 25.1(3.7,132.1) | 0~6.9 |
| AFP(ng/mL)b | 3.7±2.0 | 0~20 |
| CEA(ng/mL)a | 9.3(2.4,17.5) | 0~5 |
| NSE(ng/mL)a | 15.2(11.4,18.0) | 0~13 |
| CYFRA 21-1(ng/mL)b | 4.8±2.5 | 0~3.3 |
| 注:a为M(Q1, Q3),b为x±s; FDP为纤维蛋白降解产物,DDI为D-二聚体,T-CHO为总胆固醇,LDL为低密度脂蛋白,CA125为肿瘤相关抗原125,CA15-3为肿瘤相关抗原15-3,CA19-9为肿瘤相关抗原19-9,CA72-4为肿瘤相关抗原72-4,AFP为甲胎蛋白,CEA为癌胚抗原,NSE为神经元特异性烯醇化酶,CYFRA21-1为非小细胞肺癌抗原21-1 | ||
8例患者给予低分子肝素抗凝治疗,治疗中出现脑出血转化1例,1例患者因并发消化道出血未予抗凝,所有患者均未溶栓或机械取栓。7例患者给予化疗,2例未抗肿瘤治疗并于就诊7 d内死亡,其中1例死于呼吸衰竭,另1例死于感染性休克,余7例患者生存期为(4.0±1.9)个月,见表 1。
3 讨论血栓栓塞是肿瘤的常见并发症,也是除外肿瘤进展导致患者死亡的另一重要原因[1],可能先于肿瘤本身的症状出现, 是诊断肿瘤的首个临床证据[2]。肺癌、食管癌、肝癌、胃癌、结肠癌和乳腺癌等均可引起TS[3],也有见于原发性弥漫性大B细胞淋巴瘤的报道[4],该类患者预后较差。以急性脑梗死为首发表现的TS较少被报道,且其与肿瘤的关系易被临床医生忽视。总结以上9例患者的临床资料特点如下:(1)所有患者在诊断肿瘤前均以脑梗死症状为首发症状; (2)所有患者均存在3个或3个以上血管分布区域的梗死,区域多者易反复脑梗死,脑血管、血脂无阳性发现; (3)肿瘤均为实性肿瘤,肿瘤标志物呈现不同程度的升高,出现脑梗死时均已出现转移,转移部位以淋巴结、腹膜为多见,病理类型以腺癌为多见; (4)多数患者存在凝血功能异常,表现为纤维蛋白原降解产物水平升高(n=7)、D-二聚体水平升高(n=8); 外周深静脉血栓形成(n=6); (5)预后较差,生存期较短。
TS病因复杂,主要分为以下3类:(1)患者相关因素:如高龄、制动、既往血栓形成史、肥胖、急性感染和心脏病等共病; (2)治疗相关因素:化疗药如铂类、激素、他莫昔芬、生长因子和抗血管生成剂、应用中心静脉导管等; (3)肿瘤本身因素:如原发部位、分期、压迫或侵犯大血管、组织因子的表达、炎性细胞因子和癌症促凝剂的表达等[5]。本研究中9例患者均为中青年,发病前未接受其他治疗,但所有患者出现脑梗死时均为肿瘤晚期,显著高于既往的研究(69%)[6],因此笔者推测肿瘤本身因素更易导致TS。Kneihsl等[7]也发现,恶性肿瘤患者发生脑梗死的风险比未合并肿瘤患者显著增高(21.9% vs. 6.2%)。由于肿瘤患者处于高凝状态,微血栓易于形成并随血液循环栓塞颅内动脉小分支,最终导致TS患者脑梗死灶数目多、累计范围广,在影像学上表现为“三流域征”, 即病变部位累及单侧或双侧(双侧多见)前、后循环, 包括3个或3个以上血管分布区域[8-9], 病变多呈无强化、非环形、聚集成团或单一部位的DWI高信号, 以小梗死灶为主,大面积梗死少见,本组研究中所有患者的影像学均符合上述特点。本研究还发现TS的肿瘤病理类型以腺癌多见,可能是腺癌分泌的黏蛋白可与P-选择素和L-选择素相互作用,从而通过多种途径活化血小板并诱导微血栓形成[10], 此外腺癌黏蛋白的唾液酸部分可独立于凝血酶直接激活凝血因子X来诱导血栓形成[5]。
TS一旦发生,预后极差,早期快速正确识恶性肿瘤相关脑梗死至关重要,若患者出现①D-二聚体水平显著升高; ②梗死灶遍布3个及以上血管供血区域; ③TOAST分型考虑不明原因脑卒中,应考虑TS可能。该病需与以下疾病进行鉴别:①心源性脑栓塞:患者多有心律失常、心力衰竭、心脏瓣膜病、卵圆孔未闭等心脏病病史,活动中急骤发病,神经功能缺损常较严重,出现大脑皮质受损症状(如失语或者视野缺损),发作时即达到症状最高峰。②脑转移瘤:患者有肿瘤病史,病灶多为位于皮髓质交界区的实性肿块,常为类圆形,MR增强扫描常呈均一的、斑点状、实性的或环形强化。③分水岭脑梗死:为相邻血管供血区交界处或分水岭区局部缺血导致的脑梗死,多因血流动力学原因所致。④大动脉粥样硬化型脑梗死:患者有动脉粥样硬化卒中危险因素(如高龄、高血压、高血脂、糖尿病、吸烟等),排除心源性栓塞所致脑梗死,影像学证实为与脑梗死神经功能缺损相对应的脑动脉粥样硬化所致狭窄或闭塞所致。
在治疗方面TS不同于普通脑梗死,低分子肝素是首选治疗方案[11],它不仅可通过抗凝血酶、激活肝素辅助因子Ⅱ和蛋白C系统、促进组织因子途径抑制物的释放、中和各种炎症因子和趋化因子等机制阻断凝血过程, 还可通过拮抗P-选择素和L-选择素的生理作用从而抑制血小板活化, 这是其较传统口服抗凝药华法林的主要优势[12]。最新的指南[13]建议新型口服抗凝剂也可用于肿瘤患者的抗凝治疗中,但出血风险更高,故抗凝药物的应用应遵循个体化的原则。抗血小板治疗是无效的,P2RY12-抑制剂如氯吡格雷可减少胰腺癌中与肿瘤相关的血栓形成和肿瘤生长进而减少栓塞性事件发生[14],抗凝治疗同时应积极治疗原发肿瘤,包括手术、化疗和放疗。本研究中8例患者给予抗凝治疗,7例患者给予化疗,但TS的预后较差,2例患者就诊7 d内即死亡,余生存期平均也只有4个月。
本研究的不足之处在于本研究为单中心研究,样本量较少,未来需要进行更多多中心、大样本的临床研究以及动物实验来进一步明确脑梗死与肿瘤之间的关系。
综上所述,脑梗死可能是某些恶性肿瘤的首发表现,该类疾病预后较差,临床上对于D-二聚体显著升高、影像学表现为不明原因的、多血管受累的脑梗死患者, 要警惕TS可能,及时筛查恶性肿瘤,早期予低分子肝素抗凝,并针对原发肿瘤治疗,以期改善预后。
利益冲突 所有作者声明无利益冲突
作者贡献声明 时学秀、刘韶华:研究设计、论文撰写; 王岩、赵颖颖、贠文晶:数据收集及整理、统计学分析; 孙同文、王海旭:论文修改
| [1] | Khorana AA, Francis CW, Culakova E, et al. Thromboembolism is a leading cause of death in cancer patients receiving outpatient chemotherapy[J]. J Thromb Haemost, 2007, 5(3): 632-634. DOI:10.1111/j.1538-7836.2007.02374.x |
| [2] | Chen W, He Y, Su Y. Multifocal cerebral infarction as the first manifestation of occult malignancy: Case series of trousseau's syndrome and literature review[J]. Brain Circ, 2018, 4(2): 65-72. DOI:10.4103/bc.bc_1_18 |
| [3] | Aarnio K, Joensuu H, Haapaniemi E, et al. Cancer in young adults with ischemic stroke[J]. Stroke, 2015, 46(6): 1601-1606. DOI:10.1161/STROKEAHA.115.008694 |
| [4] | Uchida T, Amagasaki K, Hosono A, et al. Primary diffuse large B-cell lymphoma of the cranial vault with Trousseau syndrome: a case report[J]. J Med Case Rep, 2021, 15(1): 431. DOI:10.1186/s13256-021-02979-z |
| [5] | Ikushima S, Ono R, Fukuda K, et al. Trousseau's syndrome: cancer-associated thrombosis[J]. Jpn J Clin Oncol, 2016, 46(3): 204-208. DOI:10.1093/jjco/hyv165 |
| [6] | Navi BB, Singer S, Merkler AE, et al. Recurrent thromboembolic events after ischemic stroke in patients with cancer[J]. Neurology, 2014, 83(1): 26-33. DOI:10.1212/WNL.0000000000000539 |
| [7] | Kneihsl M, Enzinger C, Wunsch G, et al. Poor short-term outcome in patients with ischaemic stroke and active cancer[J]. J Neurol, 2016, 263(1): 150-156. DOI:10.1007/s00415-015-7954-6 |
| [8] | Nouh AM, Staff, Finelli PF. Three Territory Sign: An MRI marker of malignancy-related ischemic stroke (Trousseau syndrome)[J]. Neurol Clin Pract, 2019, 9(2): 124-128. DOI:10.1212/CPJ.0000000000000603 |
| [9] | Finelli PF, Nouh A. Three-Territory DWI Acute Infarcts: Diagnostic Value in Cancer-Associated Hypercoagulation Stroke (Trousseau Syndrome)[J]. AJNR Am J Neuroradiol, 2016, 37(11): 2033-2036. DOI:10.3174/ajnr.A4846 |
| [10] | Umemura T, Yamamoto J, Akiba D, et al. Bilateral cerebral embolism as a characteristic feature of patients with Trousseau syndrome[J]. J Clin Neurosci, 2017, 42: 155-159. DOI:10.1016/j.jocn.2017.04.014 |
| [11] | Farge D, Frere C, Connors JM, et al. 2019 international clinical practice guidelines for the treatment and prophylaxis of venous thromboembolism in patients with cancer[J]. Lancet Oncology, 2019, 20(10): e566-e581. DOI:10.1016/S1470-2045(19)30336-5 |
| [12] | Wang YH, Qiu H, He XL, et al. Prevention of venous thromboembolism after resection of primary liver cancer with low molecular weight heparin and its association with P-selectin, lysosomal granule glycoprotein, platelet activating factor and plasma D-dimer[J]. Eur Rev Med Pharmacol Sci, 2018, 22(14): 4657-4662. DOI:10.26355/eurrev_201807_15525 |
| [13] | Key NS, Khorana AA, Kuderer NM, et al. Venous Thromboembolism Prophylaxis and Treatment in Patients With Cancer: ASCO Clinical Practice Guideline Update[J]. J Clin Oncol, 2020, 38(5): 496-520. DOI:10.1200/JCO.19.01461 |
| [14] | Palacios-Acedo AL, Mezouar S, Mege D, et al. P2RY12-Inhibitors Reduce Cancer-Associated Thrombosis and Tumor Growth in Pancreatic Cancers[J]. Front Oncol, 2021, 11: 704945. DOI:10.3389/fonc.2021.704945 |
2023, Vol. 32



