2. 湖南师范大学附属第一医院,长沙 410001;
3. 张家界市中医医院急诊医学科,张家界 427000
急性胰腺炎是由多种病因导致胰酶在胰腺内被激活后引起胰腺组织自身消化、水肿、出血甚至坏死的炎症反应。甲状旁腺功能亢进是指甲状旁腺分泌过多的甲状旁腺激素,导致钙磷等代谢紊乱,可危害全身多个系统。原发性甲旁亢所致的急性胰腺炎在临床上并不常见,国内外报道相对比较少。笔者在临床工作中发现1例原发性甲状旁腺功能亢进导致的重症急性胰腺炎合并多处病理性骨折,现报道如下。
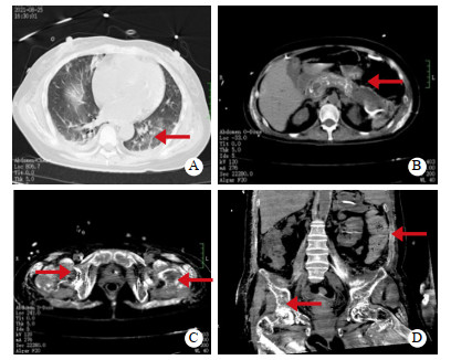
1 资料与方法患者女,44岁,因“上腹部疼痛19 d,意识模糊半个月”由外院转入。患者入院前19 d无明显诱因出现上腹部疼痛,曾在当地县人民医院就诊,诊断为“急性胰腺炎”,经对症支持治疗效果不佳,2021-08-07转往当地市人民医院ICU治疗,具体诊疗不详。2021-08-11患者出现意识模糊、谵妄。2021-08-24转入湖南省人民医院急诊科。入院时患者腹胀、高热,神志谵妄,躁动不安,呼吸急促。既往有泌尿系结石病史6年,曾行2次手术治疗(术式不详)。家族中无胰腺炎及其他特殊病史。入院查体:体温39.3℃,心率150次/min,呼吸35次/min,血压106/68 mmHg(1 mmHg=0.133 kPa)。神志模糊、谵妄,贫血貌,呼吸急促。双肺呼吸音粗,双下肺呼吸音稍减弱,未闻及明显干、湿性啰音。心率律齐,无杂音。腹稍膨隆,腹肌稍紧张,全腹部压痛,叩诊呈鼓音,肠鸣音减弱。左下肢呈外旋、右下肢呈内旋畸形,双髋关节外侧压痛明显。辅助检查:血常规示白细胞计数16.34×109/L↑,血红蛋白80 g/L↓;血生化:白蛋白27.5 g/L,血尿素氮48.27 mmol/L,血肌酐263.3 μmol/L,甘油三酯5.45 mmol/L,血钙3.02 mmol/L,血磷2.15 mmol/L,血钾5.67 mmol/L;血气分析:pH 7.36,PCO2 21 mmHg,PO2 108 mmHg,HCO3- 11.9 mmol/L,BEecf −13.5 mmol/L,Lac 3.3 mmol/L;降钙素原1.84 ng/mL。胸部+腹部CT示:(1)双肺炎症;(2)双肺散在结节,性质待定;(3)双侧胸膜增厚;(4)心包增厚钙化;(5)急性胰腺炎并胰周、左肾周坏死物积聚;(6)双肾多发结石;(7)胸腹部骨质广泛骨质疏松及软组织内广泛钙化灶;(8)双侧股骨近段骨折(疑似病理性)。见图 1。
|
| A:双肺炎症,双肺散在结节,双侧胸膜增厚,心包增厚钙化;B:急性胰腺炎并胰周、左肾周坏死物积聚,胰腺多发钙化灶;C:双侧股骨近段骨折(病理性);D:胸腹部骨质广泛骨质疏松 图 1 患者胸部+腹部CT影像 |
|
|
入院诊断:(1)重症急性胰腺炎①胰周脓肿形成、②盆腹腔积液、③急性肾功能不全、④双肺肺炎、⑤双侧胸腔积液(少量);(2)意识模糊查因①代谢性脑病、②疑似胰性脑病;(3)代谢性酸中毒;(4)电解质紊乱(高钾、高钙、高磷);(5)中度贫血;(6)高脂血症;(7)双侧股骨上段病理性骨折;(8)低蛋白血症;(9)双肾结石;(10)广泛骨质疏松。入院后予抗感染、抑酸、抑酶、镇痛镇静、导泻、补液、纠正水电解质失衡、输血、营养支持,唑来膦酸降血钙,并予持续床旁血滤清除炎症介质,床旁超声引导下胰周脓腔、胸腔及腹盆腔穿刺引流,双下肢皮肤牵引等对症支持治疗。
患者经治疗后意识恢复清楚,生命体征逐渐平稳,体温恢复正常,复查血钙、血钾、血磷正常,肾功能较前好转,内环境紊乱基本纠正,大小便正常。
分析患者胰腺炎起病原因,常见胆源性、脂源性及酒精性等因素证据不足,结合患者电解质、血气分析等结果,考虑高钙血症所导致。而临床上高钙血症最常见原因为肿瘤、甲状旁腺功能亢进。患者有全身多处严重骨质疏松、病理性骨折、泌尿系结石,完善甲状旁腺激素测定2 734 pg/mL, 考虑甲旁亢诊断成立。但是患者还合并贫血、肾功能损害等表现,因此须进一步明确是否合并多发性骨髓瘤。而多项肿瘤标志物、风湿免疫、多项激素检查、血清游离轻链等检查均未见异常,血液及尿液免疫球蛋白电泳未见M蛋白;行骨髓穿刺检查,骨髓细胞学检查提示骨髓增生减低,部分粒细胞可见中毒颗粒,巨核细胞少见,血小板分布少;淋巴造血组织病理检查未见幼稚细胞,淋巴细胞及浆细胞增多,未见明显异型细胞,局部可见纤维化,结合病史,不排除甲状旁腺瘤继发骨髓改变。根据各项结果基本可排除多发性骨髓瘤。
患者甲状旁腺功能亢进诊断明确,但仍需进一步鉴别原发性、继发性、三发性或假性甲甲状旁腺功能亢进,并排除多发性内分泌肿瘤综合征。于是进一步完善了头部磁共振、甲状腺及甲状旁腺超声以及甲状旁腺SPECT显像检查。头部磁共振检查未见异常;超声提示:甲状腺左侧叶下极下方低回声结节,考虑甲状旁腺来源;静脉注射99mTc-MIBI后SPET/CT融合显像:甲状腺左叶下极区域摄取MIBI局限性增高,见图 2。结合临床考虑,甲状旁腺瘤可能性大。
|
| 图 2 99mTc-MIBI检查提示甲状旁腺瘤可能性大 |
|
|
结合辅助检查结果考虑为原发性甲状旁腺功能亢进,于2021-09-13行左下极甲状旁腺瘤切除术。术后病理检查结果证实为原发性甲状旁腺瘤。
术后检测患者甲状旁腺激素正常,血钙、血磷恢复正常。但患者病情再次出现变化,进一步继发右侧第6~8肋骨骨折,考虑因卧床时间长及肋骨骨折导致肺部感染加重,继发呼吸衰竭、肾功能衰竭及肝功能不全,予以行CT引导下胰周脓肿穿刺引流、床旁双重血浆分子吸附(dual plasma molecular adsorption system,DPMAS)、床旁血滤、抗感染、护肝等对症支持治疗,患者病情有所好转,但家属最终放弃进一步治疗出院。
2 讨论原发性甲状旁腺功能亢进症(primary hyperparathyroidism, PHPT)是指多种原因引起甲状旁腺激素(parathyroid hormone, PTH)合成或分泌过多所致钙磷代谢紊乱的一组临床综合症,其临床表现多样化且无特异性,可以骨痛、骨折、结石等症状为首发表现[1]。临床上将其分为原发性、继发性、三发性及假性四种类型。原发性PHPT以甲状旁腺瘤为主,可占约80%~90%,其次为甲状旁腺增生以及腺癌[2]。PHPT的诊断主要包括定性及定位两个方面。定性诊断主要通过测定PTH以及血钙、血磷、尿钙、尿磷来明确,而病理组织检查是最准确的方法。定位诊断则主要通过彩超、CT、磁共振来实现,其中99mTc-MIBI对原发性甲旁亢的定位检出率是最高的。治疗可使用降钙等药物治疗,但疗效欠佳,手术是原发性PHPT最有效的治疗方法[3-4]。目前认为PHPT所致高钙血症与急性胰腺炎的发生有因果关系[5-6]:(1)原发性PHPT所致高钙血症,促使胰酶提前活化,激活胰蛋白酶原,使胰蛋白酶和组织蛋白酶B释放,胰蛋白酶的释放会在腺泡细胞内外引起自身消化,组织蛋白酶B的释放会导致坏死性凋亡;(2)钙质沉积导致胰管阻塞,而钙离子又能刺激胰腺大量分泌;(3)高甲状旁腺素对胰腺的毒性作用;(4)胰腺炎易感基因突变导致PHPT患者容易发生急性胰腺炎。
PHPT合并胰腺炎的患者,由于胰腺炎时低血钙掩盖了PHPT的高血钙,从而常容易忽略了PHPT的诊断。目前临床上PHPT合并胰腺炎的病例报道逐渐增多,不同国家和地区PHPT患者胰腺炎的发病率并不相同。Misgar等[7]研究发现,有约6.2%的PHPT患者合并胰腺炎,至少发作两次胰腺炎的患者超过一半,并认为胰腺炎可以是PHPT的唯一表现。但在美国梅奥诊所报道的一千多例PHPT患者中,胰腺炎的发病率则只有1.5%[8]。我国目前为止暂无相关的大规模调查研究,报道的PHPT患者多以骨质病变为主。这可能与临床医生对疾病的认识程度不够、PHPT缺乏特异性临床表现等有关。
PHPT的诊断还需要注意有无合并多发性骨髓瘤(multiple myeloma, MM)以及多发性内分泌肿瘤综合征(multiple endocrine neoplasia, MEN)。MM是一种恶性浆细胞病,其肿瘤细胞起源于骨髓中的浆细胞,主要症状包括骨质破坏、高钙血症、贫血、肾功能衰竭等,与PHPT症状非常类似,常引起混淆[9]。MM引起AP的主要机制为MM引起的浆细胞恶性肿瘤,以浸润生长和压迫等方法对骨组织进行破坏,引起各类破骨物质释放,导致高钙血症,通过胰腺内部钙超载机制引起胰腺炎发作[10-11]。可通过骨髓穿刺检查、免疫蛋白电泳、血清游离轻链检查及荧光原位杂交技术检查等进行明确。多发性内分泌肿瘤综合征(multiple endocrine neoplasia,MEN)是由于常染色体显性基因紊乱,在同一个患者身上同时或先后出现两个或两个以上的内分泌腺体肿瘤或增生而产生的一种临床综合征。按照常染色体显性基因突变的情况分为以下几型:MEN-Ⅰ型、MEN-Ⅱ型(又分为MEN-ⅡA、MEN-ⅡB和家族性甲状髓样癌3个亚型)、MEN-Ⅲ型[12]。其主要受累腺体为甲状腺、甲状旁腺、胰腺以及垂体。原发性PHPT是MEN-1型最常见和最早期的表现,如在3个最常见的内分泌器官肿瘤(甲状旁腺、胰肠内分泌腺和垂体)中患有2个即可诊断为MEN-1型。诊断过程中需要行针对性的多部位多种影像学检查,重点观察MEN常累及的腺体[13]。该例患者头部核磁共振未见异常,胸腹部CT未见占位性病变,因此可排除MEN。
根据此例患者的骨髓组织细胞学和病理学检查结果,结合相关病史,不排除甲状旁腺瘤继发相应骨髓改变。但查阅多方资料后,暂未找到PHPT患者骨髓形态学特异性改变的相关资料,也未发现PHPT直接引起骨髓改变的相关机制,今后可考虑扩大文献的查阅范围,或进一步开展相关基础研究。
该例患者由原发性甲状旁腺功能亢进所致高钙血症诱发重症急性胰腺炎,同时合并双侧股骨上段骨折和右侧多发肋骨骨折。治疗过程中本救治团队在积极予以生命支持治疗的同时积极寻找时机清除原发病灶,为患者手术切除了甲状旁腺瘤病灶,使PTH、血钙恢复正常。后期在CT引导下对胰腺周围脓肿进行穿刺引流,清除胰周脓肿,进一步减轻了炎症刺激。对该例患者病情的转归起到了积极的作用。
由PHPT引起的重症急性胰腺炎相对较少见,我国目前相关研究及报道并不多,因此,当遇到非常见因素所导致的急性胰腺炎患者时,应注意观察血钙、甲状旁腺激素等其他指标,避免漏诊及误诊。
利益冲突 所有作者声明无利益冲突
| [1] | Bilezikian JP, Bandeira L, Khan A, et al. Hyperparathyroidism[J]. Lancet, 2018, 391(10116): 168-178. DOI:10.1016/S0140-6736(17)31430-7 |
| [2] | Meier C, Hochuli M, Schneider D. Primärer hyperparathyreoidismus[J]. Praxis (Bern 1994), 2013, 102(23): 1399-1404. DOI:10.1024/1661-8157/a001508 |
| [3] | 中华医学会骨质疏松和骨矿盐疾病分会, 中华医学会内分泌分会代谢性骨病学组. 原发性甲状旁腺功能亢进症诊疗指南[J]. 中华骨质疏松和骨矿盐疾病杂志, 2014, 7(3): 187-198. DOI:10.3969/j.issn.1674-2591.2014.03.002 |
| [4] | 魏莹, 于明安, 王淑荣, 等. 原发性甲状旁腺功能亢进热消融治疗专家共识(2021版)[J]. 中日友好医院学报, 2021, 35(5): 259-264. DOI:10.3969/j.issn.1001-0025.2021.05.001 |
| [5] | 安思芹, 张琦, 刘静. 甲状旁腺功能亢进症合并急性胰腺炎1例报告及文献复习[J]. 兰州大学学报(医学版), 2021, 47(4): 110-113. DOI:10.13885/j.issn.1000-2812.2021.04.020 |
| [6] | Bai HX, Giefer M, Patel M, et al. The association of primary hyperparathyroidism with pancreatitis[J]. J Clin Gastroenterol, 2012, 46(8): 656-661. DOI:10.1097/MCG.0b013e31825c446c |
| [7] | Misgar RA, Bhat MH, Rather TA, et al. Primary hyperparathyroidism and pancreatitis[J]. J Endocrinol Invest, 2020, 43(10): 1493-1498. DOI:10.1007/s40618-020-01233-5 |
| [8] | Bess MA, Edis AJ, van Heerden JA. Hyperparathyroidism and pancreatitis: Chance or a causal association?[J]. JAMA, 1980, 243(3): 246-247. |
| [9] | Eslick R, Talaulikar D. Multiple myeloma: from diagnosis to treatment[J]. Aust Fam Physician, 2013, 42(10): 684-688. |
| [10] | Jo IH, Paik CN. Acute pancreatitis with hypercalcemia as initial manifestation of multiple myeloma[J]. Korean J Gastroenterol, 2020, 75(4): 220-224. DOI:10.4166/kjg.2020.75.4.220 |
| [11] | Mishra SB, et al. Multiple myeloma presenting as acute pancreatitis[J]. Am J Emerg Med, 2017, 35(9): 1385.e1-1385.e2. DOI:10.1016/j.ajem.2017.06.009 |
| [12] | Thakker RV, Newey PJ, Walls GV, et al. Clinical practice guidelines for multiple endocrine neoplasia type 1 (MEN1)[J]. J Clin Endocrinol Metab, 2012, 97(9): 2990-3011. DOI:10.1210/jc.2012-1230 |
| [13] | 李慧, 彭洋, 孙炎平, 等. 多发性内分泌肿瘤综合征影像诊断并实例分析[J]. 临床放射学杂志, 2019, 38(10): 1982-1987. DOI:10.13437/j.cnki.jcr.2019.10.044 |
2023, Vol. 32



