2. 北部战区总医院急诊医学科,沈阳 110016
2. Emergency Medicine Department, General Hospital of Northern Theater Command, Shenyang 110016, China
极端寒冷天气在世界一些地区越来越频繁出现[1]。一项严重意外低温的研究表明,全世界每年约有数千人死于寒冷天气导致的严重低温[2]。我国寒区面积占据了陆地总面积的43.5%[3]。广阔的寒区面积形成的低温环境不仅使人们的劳动能力显著降低,而且也会使部队的战斗力严重削弱。2021年5月22日在甘肃省白银市景泰县举行百公里越野赛中,因突发恶劣条件(大风、降温等),导致多名参赛选手因冷损伤出现伤亡[4]。多项研究证明低温可通过改变体温调节平衡[2]、破坏器官功能[5]以及诱发凝血障碍[6]造成机体伤亡。作为“死亡三联征”的因素之一,低温会出现血小板功能、凝血酶活性和止血时间的异常改变[7]。同时有关报道指出严重体温过低也可出现心律失常和中枢神经系统异常[8]。此外,MA等[9]还发现低温会改变肝脏相关酶的活性、诱发氧化应激、导致肝脏损伤。国内外低温相关文章对于建立一个整体性的低温急性全身性冷损伤模型鲜有研究,鉴于这一主要原因,同时考虑到小鼠体积小、易操作、降温快[10]、与人体相似的某些解剖结构[11]等特征,本研究将C57BL/6小鼠低温环境下肛温变化作为其核心体温变化,从小鼠的意识状态、行动能力、血常规、器官大体观察、器官HE染色进行相关研究,聚焦C57BL/6小鼠低温急性全身性冷损伤模型制备研究,为临床医生治疗低温患者提供治疗理论依据。
1 材料与方法 1.1 实验动物及其分组C57BL/6小鼠98只(来源:辽宁长生生物技术股份有限公司),雌雄各半,体质量22~27 g, 周龄10周。根据寒冷条件小鼠肛温变化将其随机(随机数字法)分成7组(n=14),即A组(38.5±1)℃、B组(35±1)℃、C组(30±1)℃、D组(25±1)℃、E组(20±1)℃、F组(15±1)℃、G组(10±1)℃,其中A组为空白对照组,其余各组为实验组。
1.2 主要仪器设备和实验试剂主要仪器设备:低温人工气候箱(宁波东南仪器有限公司),K型四通道热电偶温度计(东莞万创电子制品有限公司),全自动血液分析仪(深圳迈瑞生物医疗电子股份有限公司),石蜡全自动脱水机(德国莱卡仪器有限公司),石蜡组织切片机(德国莱卡仪器有限公司),光学电子显微镜(日本奥林巴斯光学工业株式会社);主要实验试剂:无水乙醇(德国VEET),苏木精染色液(国药基团化学试剂有限公司),4%甲醛中性固定液(北京索莱宝科技有限公司)。
1.3 C57BL/6小鼠低温急性全身性冷损伤模型制备空白对照组小鼠置于常规环境(20±5)℃,实验组小鼠放置-20℃的低温人工气候箱,K型四通道热电偶温度计间断测量小鼠肛温,直至实验组小鼠肛温降至各实验组所设置温度,电子秒表记录此时时间,翻正反射评估小鼠意识状态、行动能力障碍评分表评估小鼠行动能力、检测小鼠血常规,留取小鼠主要器官,观察器官大体改变以及各器官HE染色改变。实验前所有小鼠在SPF级动物房内进行2周适应性培养,给予充足的食物和水。整个实验过程中禁食水,所有操作经中国人民解放军北部战区总医院动物实验伦理委员会批准。
1.4 意识状态评估各组小鼠肛温降至所设置温度时,对小鼠进行翻正反射(翻正反射:将小鼠背卧,四足朝上,观察小鼠自身能否翻正过来),记录各组小鼠翻正反射恢复时间。
1.5 行动能力评估各组小鼠肛温降至所设置温度时,将小鼠放置桌面3 min,观察小鼠行动能力有无减弱,根据行动能力改变进行评分。
1.6 血常规检测取空白对照和实验组小鼠全血(摘眼球取血),对白细胞计数(WBC)、红细胞计数(RBC)、血红蛋白(HGB)、血小板计数(PLT)进行测定。
1.7 大体观察将各组小鼠处死,仰卧位固定在手术台,剃除胸腹部毛发,碘伏溶液消毒、铺巾,依次切开表皮、真皮,直至腹腔和胸腔器官充分暴露,观察肺脏、肝脏、脾脏、肾脏、心脏及大脑色泽及边缘。
1.8 HE染色小鼠处死后取肺脏、肝脏、脾脏、肾脏、心、脑组织于10%中性缓冲福尔马林固定液中,固定后标本脱水石蜡包埋,通过石蜡切片机制成5 μm石蜡切片,染色(脱蜡-苏木精染色-水洗-盐酸/酒精分化-水洗-伊红染色-水洗-脱水-封片)后显微镜下观察病理改变。
1.9 统计学方法使用SPSS 23.0对各组数据进行统计学分析,计量资料采用均数±标准差(x±s)表示,使用单因素方差分析(LSD-t),设置检验水准α=0.05,以P<0.05为差异有统计学意义。
2 结果 2.1 实验小鼠肛温降至所设置体温所需时间各实验组小鼠降至所设置核心体温时所需时间如表 1所示,随着设置核心体温越低,所需时间越长。
| 组别 | B组 | C组 | D组 | E组 | F组 | G组 |
| 肛温降至设置所需时间(min) | 30.67±1.15 | 56.67±1.15 | 67.33±0.58 | 77.00±1.00 | 83.67±0.58 | 86.67±0.58 |
与A组和其余实验组相比,E组翻正反射恢复时间明显出现延长(P < 0.05),F组翻正反射恢复时间消失,G组翻正反射恢复时间消失且小鼠全部死亡。如表 2所示。
| 组别 | A组 | B组 | C组 | D组 | E组 | F组 | G组 |
| 翻正反射恢复时间(s) | 0.14±0.03 | 0.15±0.03 | 0.15±0.02 | 0.15±0.02 | 0.62±0.07b | 消失b | 消失b |
| 注:b与A组相比有统计学意义(P < 0.05) | |||||||
与A组和其余实验组相比,E组小鼠基本上是后肢活动受限,F组四肢肢体活动明显受限,G组小鼠死亡。通过表 3行动能力评估标准得到表 4各组小鼠行动能力评分。
| 得分 | 描述 |
| 0 | 无损伤 |
| 1 | 轻度损伤、共济失调或运动减少、脚趾/指关节行走 |
| 2 | 中度损伤、严重共济失调、肢体活动受限 |
| 3 | 严重损伤、肢体无运动、肢体不承重 |
| 注:a每只老鼠的最终得分是通过将每只肢体的分数相加来计算 | |
| 组别 | A组 | B组 | C组 | D组 | E组 | F组 | G组 |
| 行动能力障碍评分 | 0 | 0 | 0 | 0 | 2(两后肢轻度损伤) | 8(四肢活动受限) | 12(死亡) |
B、C、D组与A组血常规指标值相比无统计学意义(P > 0.05)且这四组血常规指标值基本一致,因G组小鼠出现死亡,因此将E、F组与A组进行对比研究。与A组血常规指标相比,E组WBC差异有统计学意义(P < 0.05), RBC、HGB、PLT差异未有统计学意义(P > 0.05); 与A组、E组相比,F组WBC、RBC、HGB、PLT均差异有统计学意义(P < 0.05)。如表 5所示。
| 项目 | WBC(×109/L) | RBC(×1012/L) | HGB(g/L) | PLT(×109/L) |
| A组 | 11.90±1.49 | 10.07±0.05 | 153.00±1.15 | 897.67±111.19 |
| E组 | 3.97±0.67b | 9.53±0.42 | 147.33±3.06 | 764.67±39.55 |
| F组 | 1.60±0.70bc | 8.48±0.37bc | 130.33±7.02bc | 576.33±27.50bc |
| 注:b表示与A组相比有统计学意义(P < 0.05); c表示与E组相比有统计学意义(P < 0.05) | ||||
A组小鼠肺脏、肝脏、脾脏、肾脏、心脏及大脑表现为正常组织器官色泽和边缘;因B、C、D三组小鼠器官与A组器官色泽以及边缘基本一致,图 1中不再展示;E组小鼠肺脏、肝脏、脾表面部分颜色加深、变暗,肾脏、心脏、大脑与A组相比未见明显差异。F组小鼠肺脏、肝脏、脾脏、肾脏及心脏颜色加深、变暗、部分边缘不整。如图 1所示。
|
| 图 1 A组、E组、F组器官大体观察 Fig 1 General observation of organs in group A, E and F |
|
|
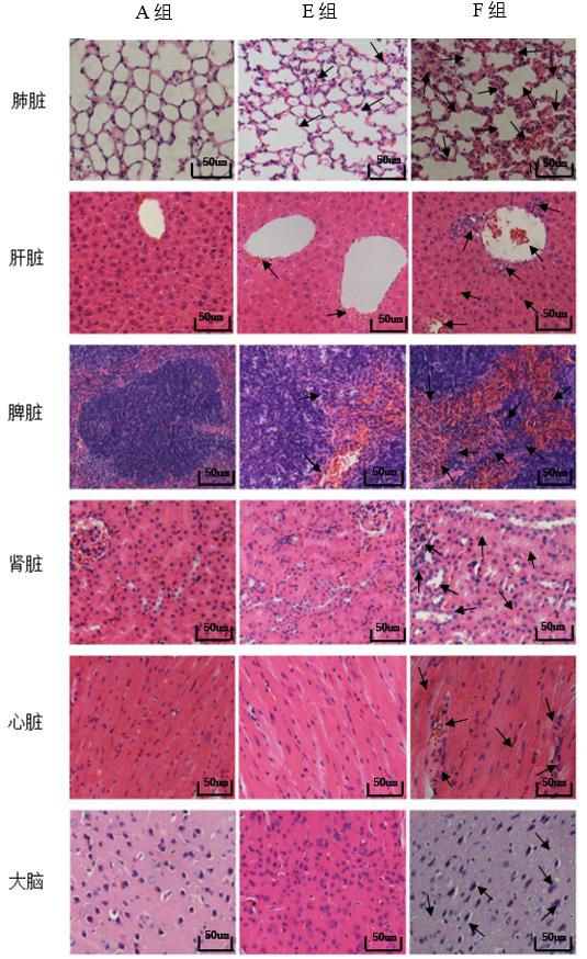
A组器官染色显微镜下表现为正常的组织结构;因B、C、D三组小鼠器官HE染色细胞结构与A组基本一致,故图 2中不再展示;E组小鼠器官病理染色部分肺泡结构不整以及少量炎症细胞浸润,肝脏中央静脉轻度充血,脾脏红髓与白髓部分见界限不清,余器官未见有明显差异;F组小鼠肺泡结构完整性完全破坏,肺泡大小不规则、肺泡间隔中出现许多红细胞、大量的炎症细胞浸润、间质性肺水肿;肝脏可见广泛出血点、肝小叶中央静脉明显充血、中央静脉周围炎症细胞广泛浸润;脾脏红髓和白髓结构混乱、边界模糊、红髓数量增加;肾小管扩张、肿胀、空泡、炎症细胞的间质浸润;心肌细胞排列紊乱、心肌纤维破坏、部分可见白细胞浸润;大脑可见神经细胞排列紊乱、细胞水肿。如图 2所示。
|
| 图 2 A组、E组、F组HE染色病理学观察(放大倍数20×,标尺50 μm, 箭头所指见上述叙述内容) Fig 2 Pathological observation of HE staining in group A, E and F(The magnification is 20X, the scale is 50 μm, and the arrow refers to the above description) |
|
|
目前国内外通过肛温变化研究低温急性全身性冷损伤模型鲜有报道[7, 12-13]。本实验通过小鼠意识状态、行动能力、血常规、器官大体及器官HE染色指标检测,小鼠低温急性全身性冷损伤模型制备成功。
本研究中随着实验组小鼠设置核心体温越低,则所需时间越长。(35±1)℃组、(30±1)℃组、(25±1)℃组三组小鼠意识状态、行动能力以及各器官大体状态、血常规、各器官HE染色与(38.5±1)℃基本一致,未出现急性全身性冷损伤,因此(38.5±1)℃组与上述三组的血常规、器官大体观察、器官HE染色比较未展示。研究发现,可将大鼠背卧,四足朝上,观察大鼠自身能否翻正过来(即翻正反射)以及所需时间来评估大鼠的意识状态[14]。本实验小鼠意识状态评估中,(20±1)℃组翻正反射恢复时间开始出现延长,(15±1)℃组翻正反射消失,(10±1)℃组翻正反射消失且小鼠全部死亡。相关文章报道[15],行动能力障碍评分可评估小鼠的行动能力,本实验采用这种方法进行评分发现(20±1)℃组行动能力障碍评分开始出现升高,至(10±1)℃组为最高分。本实验血常规指标(白细胞、红细胞、血红蛋白、血小板)与(38.5±1)℃组相比,(20±1)℃组各指标虽开始下降,但只有白细胞具有统计学意义(P < 0.05);与(38.5±1)℃组、(20±1)℃组相比,(15±1)℃组血常规各指标明显下降,均具有统计学意义(P < 0.05);徐莹等[16]将大鼠每天暴露于-10℃的人工气候箱6 h, 连续一周后发现大鼠白细胞降低、血红蛋白及血小板基本正常;而Escalda等[17]发现健康公狗核心体温在24℃维持3 h后红细胞、血红蛋白升高,白细胞、血小板计数下降。以上研究结果与本实验结果不同的原因可能是低温环境及肛温不同。与(38.5±1)℃组相比,(20±1)℃组大体观察肺脏、肝脏、脾脏颜色开始出现轻度改变,HE染色肺脏开始出现部分肺泡形态不规整,肝脏中央静脉轻度充血,脾脏可有红髓与白髓界限不清;(15±1)℃组大体观察肺脏、肝脏、脾脏、肾脏及心脏颜色加深、变暗,HE染色的肺泡结构几乎完全破坏,肺泡大小不规则、肺泡间隔中有大量红细胞、大量的炎症细胞浸润、间质性肺水肿;肝脏广泛出血点、肝小叶中央静脉明显充血、中央静脉周围炎症细胞广泛浸润;脾红髓和白髓结构混乱、边界模糊、红髓数量增加;肾小管扩张、肿胀、空泡、炎症细胞的间质浸润;心肌细胞排列紊乱、心肌纤维破坏、部分可见白细胞浸润;脑细胞排列紊乱,可见细胞水肿。Bjertnæs等[18]指出意外体温过低(患者核心体温降至35℃以下)可破坏的肝脏、心脏、肾脏的功能;相关研究表明小鼠肝脏损伤时HE染色可出现肝窦细胞增多,粒细胞浸润[19]。研究发现急性肺损伤的HE染色可出现弥漫性肺泡损伤、肺泡充血,电镜下可见肺泡Ⅱ型层状结构模糊不清[20];徐莹等[16]将大鼠每天暴露于-10℃的人工气候箱6 h, 连续一周后观察肺脏HE染色可见水肿、出血、炎症细胞浸润。Horioka等[7]发现C57BL/6小鼠直肠温度降至15℃时脾脏出现异常,脾脏内血小板活化异常。有研究发现C57BL/6小鼠暴露4℃环境时,小鼠大脑组织会受到损害[21]。以上结果与本实验结论相一致,根据以上小鼠结果,笔者将临床急性冷损伤进展过程进行了分级:当冷损伤小鼠的意识状态、行为能力、血常规一个指标、伴或不伴器官大体观察与器官HE染色轻微改变定义为轻度急性全身性冷损伤;当冷损伤小鼠意识状态、行为能力、血常规多个指标、多个器官的大体观察与器官HE染色明显变化时定义为中至重度急性全身性冷损伤;冷损伤小鼠死亡时定义为极重度急性全身性冷损伤,通过上述指标改变对临床急性冷损伤进展过程分级,进而达到精准治疗的目的。
利益冲突 所有作者声明无利益冲突
作者贡献声明 田孝野、刘颖:直接参与、实验操作、论文撰写;王卓君、陈哲远、程凤、韩晓:采集数据、收集数据及整理;丛培芳、史秀云:技术、材料支持;马瑞珩、金红旭:获取研究经费、研究设计、论文修改、对文章的知识性内容批评性审阅
| [1] | Wang XX, Jiang DB, Lang XM. Future extreme climate changes linked to global warming intensity[J]. Sci Bull, 2017, 62(24): 1673-1680. DOI:10.1016/j.scib.2017.11.004 |
| [2] | Paal P, Pasquier M, Darocha T, et al. Accidental hypothermia: 2021 update[J]. Int J Environ Res Public Health, 2022, 19(1): 501. DOI:10.3390/ijerph19010501 |
| [3] | 韩爱青, 贺春禄. 李宗省: 行走在高寒山区用心守护生态环境[J]. 高科技与产业化, 2020(2): 64-67. |
| [4] | 戴晶, 金红旭. 冷损伤的预防与诊治—《2020年中国寒冷损伤预防与诊疗专家共识》解读[J]. 中华急诊医学杂志, 2021, 30(8): 924-928. DOI:10.3760/cma.j.issn.1671-0282.2021.08.003 |
| [5] | Danzl DF, Pozos RS. Accidental hypothermia[J]. N Engl J Med, 1994, 331(26): 1756-1760. DOI:10.1056/nejm199412293312607 |
| [6] | Wallner B, Schenk B, Hermann M, et al. Hypothermia-associated coagulopathy: a comparison of viscoelastic monitoring, platelet function, and real time live confocal microscopy at low blood temperatures, an in vitro experimental study[J]. Front Physiol, 2020, 11: 843. DOI:10.3389/fphys.2020.00843 |
| [7] | Horioka K, Tanaka H, Isozaki S, et al. Hypothermia-induced activation of the splenic platelet pool as a risk factor for thrombotic disease in a mouse model[J]. J Thromb Haemost, 2019, 17(10): 1762-1771. DOI:10.1111/jth.14555 |
| [8] | Hou Y, Qiao YY, Xiong M, et al. Hypothermia-rewarming: a double-edged sword?[J]. Med Hypotheses, 2019, 133: 109387. DOI:10.1016/j.mehy.2019.109387 |
| [9] | Ma L, Li CX, Lian S, et al. Procyanidin B2 alleviates liver injury caused by cold stimulation through Sonic hedgehog signalling and autophagy[J]. J Cell Mol Med, 2021, 25(16): 8015-8027. DOI:10.1111/jcmm.16733 |
| [10] | Takauji S, Tanaka H, Hayakawa M, et al. Soluble thrombomodulin ameliorates aberrant hemostasis after rewarming in a rat accidental hypothermia model[J]. Biochem Biophys Res Commun, 2022, 587: 1-8. DOI:10.1016/j.bbrc.2021.11.086 |
| [11] | Madrahimov N, Boyle EC, Gueler F, et al. Novel mouse model of cardiopulmonary bypass[J]. Eur J Cardiothorac Surg, 2018, 53(1): 186-193. DOI:10.1093/ejcts/ezx237 |
| [12] | Schanche T, Filseth OM, Østerud B, et al. Enhanced blood clotting after rewarming from experimental hypothermia in an intact Porcine model[J]. Front Physiol, 2022, 13: 901908. DOI:10.3389/fphys.2022.901908 |
| [13] | Horioka K, Tanaka H, Isozaki S, et al. Rewarming from accidental hypothermia enhances whole blood clotting properties in a murine model[J]. Thromb Res, 2020, 195: 114-119. DOI:10.1016/j.thromres.2020.07.022 |
| [14] | 钟琳阳, 江健, 方龙君, 等. 丘脑深部电刺激对脑外伤昏迷大鼠意识状态及前额叶皮质Orexins受体OX1R表达的影响[J]. 南昌大学学报: 医学版, 2020, 60(4): 1-5. DOI:10.13764/j.cnki.ncdm.2020.04.001 |
| [15] | Hixon AM, Clarke P, Tyler KL. Evaluating treatment efficacy in a mouse model of Enterovirus D68-associated paralytic myelitis[J]. J Infect Dis, 2017, 216(10): 1245-1253. DOI:10.1093/infdis/jix468 |
| [16] | 徐莹, 任雪, 姜曈, 等. 冻-放射复合伤中大鼠肺损伤情况及其机制研究[J]. 临床军医杂志, 2021, 49(9): 953-958. DOI:10.16680/j.1671-3826.2021.09.02 |
| [17] | Escalda A, Marques M, Silva-Carvalho L, et al. Hypothermia-induced haemostatic and biochemical phenomena. an experimental model[J]. Platelets, 1993, 4(1): 17-22. DOI:10.3109/09537109309013191 |
| [18] | Bjertnæs LJ, Næsheim TO, Reierth E, et al. Physiological changes in subjects exposed to accidental hypothermia: an update[J]. Front Med, 2022, 9: 824395. DOI:10.3389/fmed.2022.824395 |
| [19] | Shen MJ, Sun LC, Liu XY, et al. Trichostatin A improves the inflammatory response and liver injury in septic mice through the FoxO3a/autophagy signaling pathway[J]. World J Emerg Med, 2022, 13(3): 182-188. DOI:10.5847/wjem.j.1920-8642.2022.056 |
| [20] | 郑君刚, 杨余, 许晶晶, 等. S1PR3特异性激动肽GPS-725.017对小鼠急性肺损伤的作用研究[J]. 中华急诊医学杂志, 2022, 31(11): 1470-1475. DOI:10.3760/cma.j.issn.1671-0282.2022.11.006 |
| [21] | Xu B, Lang LM, Lian S, et al. Oxidation stress-mediated MAPK signaling pathway activation induces neuronal loss in the CA1 and CA3 regions of the Hippocampus of mice following chronic cold exposure[J]. Brain Sci, 2019, 9(10): 273. DOI:10.3390/brainsci9100273 |
2023, Vol. 32



