2. 浙江大学医学院附属第二医院重症医学科,杭州 310009
患者男,67岁,因“乏力发热伴咳嗽咳痰、胸闷气促10 d”于2022年05月16日入院。患者10 d前打扫鸭舍后出现乏力伴全身酸痛、发热,体温最高40.0℃,寒战伴大汗,随后出现咳嗽咳痰,较剧烈,黄色大量黏痰,伴胸闷气促。自行服用退热、止咳药物,无好转且症状逐渐加重,7 d后至当地医院住院就诊,神志尚清,但血压降低,考虑为“重症肺炎,脓毒性休克”,予亚胺培南/西司他丁钠(泰能)针1 g/8h抗感染、抗休克等治疗。3 d后发热、咳嗽及胸闷等症状未见好转,遂至本院急诊科就诊,予面罩吸氧、止咳化痰、泰能抗感染治疗,呼吸科会诊认为不除外非典型病原体感染,建议并加用“多西环素胶囊”。既往“冠状动脉粥样硬化性心脏病”病史15年余(具体诊断经过不详)。吸烟50余年,约每日40支,未戒,饮酒50余年,每次杨梅酒250 mL,未戒。1弟因“心脏扩大,心力衰竭”已故,父亲及其余3兄弟均有类似“心脏扩大”疾病史,健在。患者入院第2天,拟“重症肺炎,呼吸衰竭,脓毒性休克?”收入重症医学科进一步治疗。
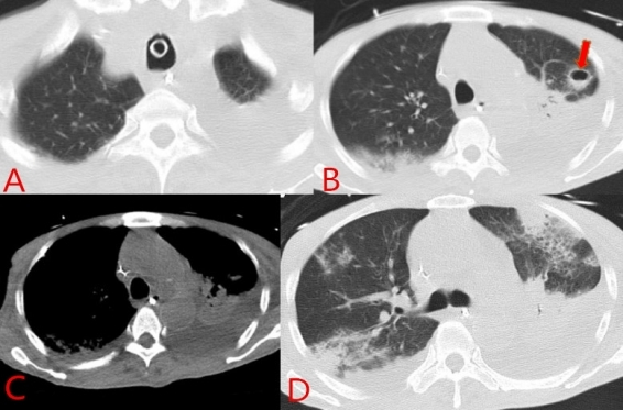
入科查体:体温39.2℃,心率107次/min,脉搏107次/min,血压98/67 mmHg,呼吸25次/min,血氧饱和度84%(未吸氧)。急性病容,精神软,双肺呼吸音粗,左肺呼吸音低,右肺可闻及湿啰音;心率不齐,心音不等,偶可闻及早搏。入院化验检查(2022-05-16):(1) 血气分析:酸碱度7.53,氧分压60.5 mmHg、二氧化碳分压33.6 mmHg、乳酸1.50 mmol/L;(2) 心肌酶和b型钠尿肽前体(Pro-BNP):Pro-BNP 12 653 pg/mL、乳酸脱氢酶785 U/L、肌钙蛋白-T 0.046 ng/mL、肌酸激酶101 U/L、肌酸激酶同工酶3 U/L;(3) 炎症指标:白介素-6 285.00 pg/mL、降钙素原1.55 ng/mL、肝素结合蛋白111.27 ng/mL、C-反应蛋白308.2 mg/L;(4) 肝肾功能:谷草转氨酶275 U/L、谷丙转氨酶124 U/L、δ-胆红素114.4 μmol/L、白蛋白31.2 g/L,肌酐67μmol/L;(5)血常规:白细胞计数10.5×109/L、血红蛋白120 g/L、中性粒细胞百分比95.7%;(6) 凝血功能:D-二聚体5610 μg/L、活化部分凝血活酶时间40.1 s、凝血酶原时间13.9 s。入科后进一步完善相关辅助检查。心电图示:窦性心律,左心室高电压,频发室性早搏,ST段、T波改变;床边心超示:全心增大,左心功能不全,主动脉瓣少-中等量反流,二尖瓣、三尖瓣少-中等量反流,少量心包积液,左心射血分数30%左右;胸部CT:两肺散在渗出,左肺大片实变,两侧少量胸腔积液(图 1)。
|
| 图 1 入院第1天胸部CT:A两肺渗出;B箭头所指大片实变 |
|
|
根据上述病史以及检查,患者入科诊断为:(1)重症肺炎,Ⅰ型呼吸衰竭,脓毒症,脓毒性休克;(2)冠状动脉粥样硬化性心脏病,心功能不全(Ⅳ级),全心增大,频发室性早搏;(3)肝功能不全。患者入院后予多西环素(100 mg/12 h)联合泰能(0.5 g/8h)抗感染,同时予化痰、营养支持等治疗。入院第2天,血气分析提示低氧血症进一步加重,予气管插管,机械通气。同时行支气管镜检查发现:左侧主支气管、上叶、下叶、背段支气管中大量泡沫样黏稠黄性痰,右侧相对较轻;并给与吸除,同时取左肺下叶行肺泡灌洗,肺泡灌洗液(BALF)送常规、培养、以及病原学微生物二代测序(mNGS)检查。患者出现血压低,予小剂量去甲肾上腺素维持;同时行俯卧位改善肺通气和氧合。入科第2天,BALF mNGS结果提示鹦鹉热衣原体、白念珠菌、土曲霉等(表 1)可能。据此,考虑患者为鹦鹉热衣原体合并土曲真菌重症肺炎,并加用替加环素(50 mg/12 h)和伏立康唑(200 mg/12 h)抗感染。尽管氧和较前稍改善,炎症指标有下降趋势,但床边胸片无明显改善,为加强对鹦鹉热衣原体肺炎的治疗,加用莫西沙星(0.4 g/d),另外,治疗期间多次行纤支镜下吸痰廓清以及间断俯卧位通气。入院第8天复查胸部CT:两肺散在渗出,左肺大片实变,两侧少量胸腔积液,较前稍好转。为评估治疗后病原学变化,2022-05-23再次行肺泡灌洗(左肺舌段),BALF二代测序提示大量鲍曼不动杆菌、肺炎克雷伯杆菌,鹦鹉热衣原体明显减少,而曲真菌消失(表 1)。考虑患者呼吸氧合较前改善,胸部CT较前好转,鹦鹉热序列已减少至12,故予停莫西沙星(0.4 g/d)。同时,痰培养提示碳青霉烯耐药肺炎克雷伯菌(CR-KP)停头头孢哌酮钠/舒巴坦钠,改头孢他啶/阿维巴坦钠(2.5 g/8h),继续伏立康唑和多西环素抗感染(图 2)。
| 次数 | 细菌 | 真菌 | 支原体/衣原体/立克次体 | |||
| 种 | 序列数 | 种 | 序列数 | 种 | 序列数 | |
| 第1次 (2022-05-17) |
乳明串珠菌 | 27 | 白色念珠菌 | 183 | 鹦鹉热衣原体 | 53458 |
| 肺炎克雷伯菌 | 3 | 土真菌 | 50 | |||
| 第2次 (2022-05-23) |
鲍曼不动杆菌 | 141580 | 白色念珠菌 | 515 | 鹦鹉热衣原体 | 12 |
| 肺炎克雷伯菌 | 22727 | |||||
|
| 图中未标注用法均为静滴 图 2 抗生素调整过程 |
|
|
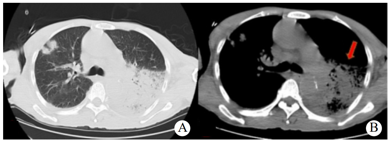
考虑短期内无拔管指征,患者入院第12天予气管切开,继续机械通气支持。经上述治疗,患者氧和进一步改善,痰液明显减少,炎症指标下降趋势,体温基本正常,心功能基本稳定,故于入院第16天开始行脱机锻炼。入院第18天复查胸部CT,提示两肺渗出及两侧胸腔积液均进展,左上肺新发病灶(图 3),予胸腔穿刺置管引流,胸水提示渗出液,培养阴性。尽管肺部影像学没有明显好转,但临床症状和炎症指标明显好转,入院第20天停用头孢他啶/阿维巴坦钠(使用1周),改为头孢哌酮钠/舒巴坦钠(2 g, /8h)。患者于入院第20天(2022-06-04)脱机成功,观察4 d后,病情平稳而转入呼吸科普通病房继续治疗。入普通病房后,在康复治疗师指导下,已能下地短暂站立。患者于入院第38天(2022-06-22),转入康复医院继续康复以及功能锻炼等治疗。
|
| 图 3 入院第18天(2022-06-02)胸部CT:A:两肺渗出均进展;B:箭头所指为左上肺新发病灶;C:两侧胸腔积液较前进展;D:两肺多发渗出、实变 |
|
|
本例患者的一般临床资料回顾性收集分析符合医学伦理学标准,经浙江大学医学院附属第二医院人体伦理委员会审批[编号:(2022)伦审研第(0573)号]。
2 讨论鹦鹉热衣原体主要在鸟类之间传播,特定条件下可由动物传染给人,传染来源主要为排菌禽鸟及其分泌排泄物,通过呼吸道和接触传播。人类感染鹦鹉热最主要累及呼吸系统,表现为严重肺炎、急性呼吸窘迫综合征等。鹦鹉热衣原体感染能够早期诊断并及时治疗,预后一般良好[1]。曲真菌占空气中真菌的12%,主要以枯死的植物、动物的排泄物以及动物尸体为营养源。曲真菌肺炎早期诊断并及时治疗,大多患者能够痊愈,但部分患者会出现呼吸衰竭或加重,进展为脓毒性休克、多脏器功能衰竭而死亡。而该患者同时感染鹦鹉热衣原体和土曲霉目前国内外未见相关报道。基于细胞内活性、药效学和广泛的临床经验,鹦鹉热的首选抗生素是多西环素,治疗持续时间推荐一般为14 d,也有推荐使用10~21 d;喹诺酮类药物对鹦鹉热具有体外活性,重症患者可联用四环素类和喹诺酮类[2-4]。对于土真菌的抗感染选择伏立康唑[2, 5]。故依据上述研究及指南,笔者选择多西环素抗鹦鹉热衣原体感染,为加强其疗效联用莫西沙星。同时根据中国成人社区获得性肺炎诊断和治疗指南选用伏立康唑抗土真菌感染[2]。
本例患者有以下特点和经验:(1)尽管鹦鹉热衣原体和土曲霉同时感染,并发展为重症肺炎和感染性休克,但取得较好的治疗效果,这与恰当的初始治疗和快速诊断相关;根据患者有明确的禽类以及动物排泄物接触史,就直接考虑不典型病原体感染可能而在急诊室就经验性给与多西环素胶囊治疗[6];同时患者一入院即行肺泡灌洗mNGS检测,最大程度地缩短诊断时间,为早期治疗提供依据[7-9]。另外,治疗过程中复查mNGS检测,为治疗方案的调整提供方向;由此可见,mNGS检测不仅为早期恰当治疗提供依据,而且为治疗过程中的方案调整与优化提供支持,这对常规检验如不大适合培养的病原体感染尤为重要;(3) 本例患者虽影像学提示进展,但复测mNGS,鹦鹉热衣原体、土真菌序列显著减少甚至消失,同时氧和改善、炎症指标下降,据此笔者仍下调抗生素,并评估患者转普通病房。如果单纯以影像学来指导,可能会导致抗生素不降阶梯以及ICU住院时间延长,导致更多相关并发症发生而影响预后。该患者临床改善与影像学不匹配,即鹦鹉热衣原体和土曲霉导致的肺炎影像学提示进展与而临床出现好转,提示影像学与预后的关系尚不明确。的确有相关报道治疗中即使用抗真菌早期有效,但病灶呈现增大进展[10]。这可能跟治疗导致全身改善进而症状好转,但局部也可能改善,但是改善没有全身明显,进而出现临床改善与影像学不匹配这一现象,具体机制有待于进一步研究。关于鉴别病原学定值还是感染,对于呼吸道感染特别重要。定值一般是指局部培养出病原微生物,但患者没有表现出感染的症状,一般不需要抗感染治疗。而感染是病原微生物侵入宿主体内并引起病理变化,局部培养出病原微生物同时有感染的症状,需要抗感染治疗方可痊愈。通过看患者有无感染的危险因素,并结合患者临床表现、影像学、实验室报告等分析[2]。患者肺部影像学可见两肺渗出和大片实变,为典型的鹦鹉热感染征象,同时根据BALF培养结果,尽管初次BALF土真菌序列为50,但对于曲霉真菌感染而言,支气管肺泡灌洗培养出曲霉很有意义[11],故本病例最终诊断为鹦鹉热合并土真菌感染。当然定值和致病之间关系密切,即使认定视为定值也应该提高警惕。
本项目不足之处:①本文为单样本病例观察研究,且为回顾性分析,有些数据可能不全;②尽管该病例治疗是有效的,但何种方式为最优治疗方案仍有待进一步探索;③另外,对于本例样本,笔者行二代宏基因测序(mNGS)来辅助病原学的检测,但是其费用相对较贵,难以进行动态评估疗效。期待mNGS检测价格下降,更好普及用于病原体的动态变化和疗效评估。
总之,本病例首次报道鹦鹉热衣原体和土曲霉两种病原体感染重症肺炎,快速早期诊断、及时靶向干预以及积极对症支持,患者预后良好。
利益冲突 所有作者声明无利益冲突
| [1] | Chen XC, Cao K, Wei Y, et al. Metagenomic next-generation sequencing in the diagnosis of severe pneumonias caused by Chlamydia psittaci[J]. Infection, 2020, 48(4): 535-542. DOI:10.1007/s15010-020-01429-0 |
| [2] | 中华医学会呼吸病学分会. 中国成人社区获得性肺炎诊断和治疗指南(2016年版)[S]. 中华结核和呼吸杂志, 2016, 39(4): 253-279. doi: 10.3760/cma.j.issn.1001-0939.2016.04.005 |
| [3] | Stewardson AJ, Grayson ML. Psittacosis[J]. Infect Dis Clin N Am, 2010, 24(1): 7-25. DOI:10.1016/j.idc.2009.10.003 |
| [4] | Beeckman DA, Vanrompay DG. Zoonotic Chlamydophila psittaci infections from a clinical perspective[J]. Clin Microbiol Infect, 2009, 15(1): 11-17. DOI:10.1111/j.1469-0691.2008.02669.x |
| [5] | Echeverria-Esnal D, Martín-Ontiyuelo C, Navarrete-Rouco ME, et al. Pharmacological management of antifungal agents in pulmonary aspergillosis: an updated review[J]. Expert Rev Anti Infect Ther, 2022, 20(2): 179-197. DOI:10.1080/14787210.2021.1962292 |
| [6] | DE Boeck C, Dehollogne C, Dumont A, et al. Managing a cluster outbreak of psittacosis in Belgium linked to a pet shop visit in The Netherlands[J]. Epidemiol Infect, 2016, 144(8): 1710-1716. DOI:10.1017/S0950268815003106 |
| [7] | McGovern OL, Kobayashi M, Shaw KA, et al. Use of real-time PCR for Chlamydia psittaci detection in human specimens during an outbreak of psittacosis - Georgia and Virginia, 2018[J]. MMWR Morb Mortal Wkly Rep, 2021, 70(14): 505-509. DOI:10.15585/mmwr.mm7014a1 |
| [8] | Lu XM, Zhu JP, Chen Y, et al. Epidemiological characteristics of Chlamydia psittaci pneumonia diagnosed by metagenomic next-generation sequencing[J]. Chin J Clin Res, 2022, 35(1): 1-5. DOI:10.13429/j.cnki.cjcr.2022.01.040 |
| [9] | Li N, Li SJ, Tan WM, et al. Metagenomic next-generation sequencing in the family outbreak of psittacosis: the first reported family outbreak of psittacosis in China under COVID-19[J]. Emerg Microbes Infect, 2021, 10(1): 1418-1428. DOI:10.1080/22221751.2021.1948358 |
| [10] | He HY, Ding L, Li F, et al. Clinical features of invasive bronchial-pulmonary aspergillosis in critically ill patients with chronic obstructive respiratory diseases: a prospective study[J]. Crit Care, 2011, 15(1): R5. DOI:10.1186/cc9402 |
| [11] | Patterson TF, Thompson GR 3rd, Denning DW, et al. Practice guidelines for the diagnosis and management of aspergillosis: 2016 update by the infectious diseases society of America[J]. Clin Infect Dis, 2016, 63(4): e1-e60. DOI:10.1093/cid/ciw326 |
2023, Vol. 32



