2. 宁夏医科大学颅脑疾病重点实验室;
3. 宁夏医科大学总医院重症医学科,银川 750004
2. Ningxia Key Laboratory of Cerebrocranial Diseases, Yinchuan 750004, China;
3. Department of Critical Care Medicine, General Hospital of Ningxia Medical University, Yinchuan 750004, China
脓毒症(Sepsis)是感染引起宿主反应失控而导致的危及生命的脏器功能障碍的疾病,每年影响全球数百万人,其中六分之一到三分之一的患者死亡[1]。脓毒症时呼吸和心血管系统常出现急性器官功能障碍[2], 急性肺损伤(acute lung injury, ALI)是由肺部过度炎症反应引起的,是临床上危重病人常见的疾病[3]。肠道为应急的中心器官,也是多脏器功能障碍的始动器官[4-5],肠道菌群的改变是引起脓毒症以及脓毒症急性肺损伤的关键问题,而血液是传递菌群的最常见的途径,因此寻找到脓毒症肠道菌群的变化规律以及与血液、肺部菌群改变的共同点将会为临床干预毒症急性肺损伤提供合适的理论基础。
临床脓毒症患者自身基础疾病较为复杂,且有研究证明抗生素的使用亦会影响到肠道菌群的改变[6-8],因此本次研究排除了临床药物以及合并症的影响,避开了临床健康人群样本难以采集的问题,建立小鼠脓毒症急性肺损伤模型[9],利用高通量16S rRNA基因测序对脓毒症急性肺损伤组以及健康小鼠进行血液、肺组织及粪便的菌群检测,旨在初步探索脓毒症小鼠肠道菌群紊乱特点、探讨肠道菌群紊乱与肺组织菌群之间是否存在联系,观察小鼠粪便、血液及肺组织样本的菌属变化是否存在一致性,补充脓毒症“肠-肺”轴理论中肺部菌群的结构变化,为临床上改善脓毒症患者肠道微生态紊乱提供理论指导。
1 材料与方法 1.1 实验动物选用C57BL/6J雄性小鼠,置于宁夏医科大学动物中心洁净动物房内,温度为18~22℃,湿度为50%~60%,鼠笼、垫料、食物、饮水经高温高压灭菌处理。C57BL/6J小鼠购自宁夏医科大学实验动物中心。实验用小鼠均为雄性,体重25~30 g,8~12周龄。动物使用和处理遵照美国国立卫生署颁布的“实验动物保护和使用指南”,实验设计经宁夏医科大学动物保护委员会同意,动物实验伦理编号为IACUC-NYLAC-2021-085。
1.2 动物分组及造模将12只C57BL/6雄性健康小鼠按随机数字表分为假手术(Sham)组(n=6)以及CLP组(n =6)。CLP组小鼠通过盲肠结扎穿刺法进行脓毒症急性肺损伤造模。分为假手术组血液(SB)组、假手术肺组织(SP)组、假手术粪便(SF)组、脓毒症血液(CB)组、脓毒症肺组织(CP)组以及脓毒症粪便(CF)组,共6组。
对于CLP组,戊巴比妥(50 mg/kg i.p.)麻醉小鼠,于小鼠前腹壁行约1 cm中线切口,暴露盲肠。在回盲瓣下方放置结扎线,用22号针刺穿结扎的盲肠2次,挤出少量粪便后将盲肠结扎还纳于腹腔,逐层缝合腹部切口。术后皮下注射1 mL生理盐水进行液体复苏。Sham组小鼠接受相同的手术程序(即剖腹手术和复苏),盲肠既没有结扎也没有穿刺。CLP造模24 h后,将存活小鼠麻醉,收集血液、肺组织、粪便组织,实际收集样本共36只,进行高通量16S rRNA基因测序技术分析。肺组织样本行HE染色并行病理组织分析。
1.3 HE染色检测肺组织病理损伤新鲜组织用固定液固定24 h以上,逐级脱水后石蜡包埋,将修整好的蜡块置于石蜡切片机切片,厚4 μm,HE染色后,在显微镜下镜检,观察肺组织损伤。利用双盲法对肺损伤进行病理评分。评分依据肺组织病理学改变,包括肺泡壁厚度、肺组织破坏和炎症细胞浸润。每个指标按5分制评分:0=最小损伤,1=轻度损伤,2=中度损伤,3=重度损伤,4=最大损伤。肺损伤的严重程度根据三个标准之和。根据2010年美国胸科协会发布肺损伤评分表:
A.肺泡中的中性粒细胞数量:0为0分,1~5个为1分,大于5个为2分;B.肺间质中性粒细胞的数量:0为0分,1~5个为1分,大于5个为2分;C.透明膜:0为0分,1个为1分,大于1个为2分;D.充满蛋白质碎片的肺泡腔:0为0分,1个为1分,大于1个为2分;E.肺泡间隔增厚:低于2倍为1分,2倍到4倍为1分,大于4倍为2分。
得分=[(20×A)+(14×B)+(7×C)+(7×D)+(2×E)]/(视野×100)
1.4 16S rRNA基因序列分析技术方法16S rRNA基因序列分析技术方法:(1)收集小鼠血液/肺组织/新鲜粪便标本置于标本盒内,−80℃保存;收集小鼠新鲜肺组织样本, 取20 mg/mL蛋白酶溶液20 μL,以及PBS溶液300 μL加入肺组织,60℃过夜。(2)样品总DNA的提取与质检: 血液/肺组织/粪便均质-收集菌体-菌体洗涤-菌体保存-细胞裂解-DNA抽提-DNA沉淀收集。(3)PCR扩增及产物纯化:优势细菌16S rRNA基因V3、V4可变区的PCR扩增。(4)文库制备与库检:采用标准的Illumina MiseqPE 300文库构建及测序流程。(5)测序及分析:Miseq上机测序,测序结果提交至Silva和RDP数据库进行比对分析,决定其亲缘关系最近的菌属,进一步进行菌群多样性分析。
1.5 多样性分析α多样性分析是通过分析每个样本内的菌群数量和分布状态,通过数字化指数来反映菌群丰度及多样性。计算群落丰富程度指数(Chao指数、Ace指数)和群落多样性指数(Shannon指数、Simpson指数)。Chao指数和Ace指数越大,说明物种数量越多;Shannon指数越大,说明群落多样性越大;Simpson指数越大,说明群落多样性越小。
β多样性分析是对不同组间(或不同样本)样本的微生物群落构成进行比较分析,根据操作分类单位(operational taxonomic unit,OTU)聚类信息计算样本间的距离,通过图示上的距离系数来显示不同组间(或不同样本)之间结构差异性, 根据丰度加权与不加权的方式构建样本Unifrac距离矩阵,采用主坐标分析(principal coordinate analysis,PCoA)进行特征降维,P < 0.05则表明检验可信度较高。常用的三种指标分别为bray curtis、weighted unifrac和unweighted unifrac。
1.6 优势物种分析优势物种分析可以用颜色变化来反映二维矩阵或表格中的数据信息,它可以直观地将数据值的大小以定义的颜色深浅表示出来。常需要将数据根据物种或样品间丰度进行相似性聚类,将聚类后数据表示在Heatmap图上,可将高丰度和低丰度的物种分块聚集,通过颜色梯度及相似程度来反映多个样品在菌群各分类水平上群落组成的相似性和差异性。
1.7 统计学方法使用SPSS 25.0软件对数据进行统计分析。α和β多样性分析采用vegan包分析,组间秩和检验采用stats包分析,菌群分布图谱采用ggplot2包分析,热图采用heatmap包或pheatmap包绘制。连续性变量均先进行正态性检验及方差齐性检验,由于菌群丰度指数及多样性指数均为非正态分布,遂采用中位数(四分位数)[M(Q1, Q3)]表示;非参数Mann-Whitney U检验(R 3.6.0包统计)用于检验两组之间的显著差异。使用非参数Kruskal-Wallis检验对多组进行比较,以P < 0.05为差异有统计学意义。
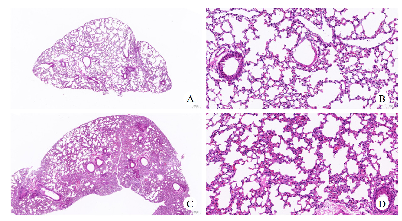
2 结果 2.1 HE染色检测肺组织损伤HE染色结果显示,CLP组小鼠肺组织可见较大面积肺泡壁增厚,肺泡壁可见大量中性粒细胞浸润,大面积肺泡结构不清晰,肺泡腔狭窄,支气管可见上皮脱落,腔内可见嗜酸性絮状物,见图 1。与Sham组相比,CLP组小鼠肺组织病理评分显著增高(P < 0.01),见图 2。
|
| A、B为Sham肺组织HE染色,C、D为CLP组肺组织HE染色,肺泡壁可见中性粒细胞浸润;可见大面积肺泡结构不清晰,肺泡腔狭窄;少量支气管可见上皮脱落,腔内可见嗜酸性絮状物 图 1 各组小鼠肺组织病理学变化 Fig 1 Lung tissue pathology change of mice in each group |
|
|
|
| Sham组与CLP组相比较,aP < 0.01 图 2 小鼠肺组织病理损伤评分 Fig 2 Pathological damage score of lung tissue in mice |
|
|
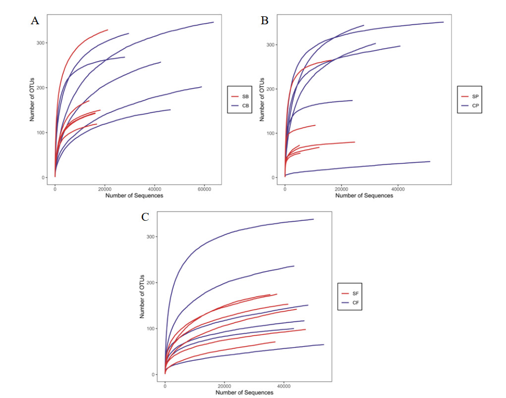
菌群稀释曲线:一般在微生物组研究中用于评估测序量或样本量的饱和情况。稀释曲线通过从每个样本中随机抽取一定数量的序列,可以预测在一系列给定的测序深度下,所可能包含的物种总数及其中每个物种的相对丰度,也可用来说明样本的测序数据量是否合理。当样本量逐渐增加到一定量后曲线趋向平坦,说明测序数据量合理,更多的数据量只会产生少量新的OTU。因此,稀释性曲线可得出样本有足够的数据量,可基本达到样本的测序深度见图 3A、3B、3C。
|
| A图为SB-CB组稀释性曲线;B图为SP-CP组稀释性曲线;C图为SF-CF组稀释性曲线。OTU为操作分类单元 图 3 菌群稀释性曲线 Fig 3 Microflora dilution curve |
|
|
对三种样本进行α多样性分析,结果显示,在血液及粪便样本中,假手术组与脓毒症组的α多样性差异无统计学意义;在肺组织样本中,Ace指数、Chao指数、Simpson指数均差异有统计学意义(P < 0.05),见表 1。
| 指标 | SB组 | CB组 | P值 |
| Ace指数 | 160.712(158.943, 179.586) | 297.374(263.246, 337.420) | 0.065 |
| Chao指数 | 164.714(161.357, 180.584) | 293.440(257.354, 331.375) | 0.065 |
| Shannon指数 | 2.410(2.366, 2.472) | 1.705(1.421, 2.748) | 0.240 |
| Simpson指数 | 0.200(0.194, 0.203) | 0.327(0.219, 0.511) | 0.240 |
| OTU数目 | 147.000(143.250, 165.750) | 262.500(215.750, 307.750) | 0.065 |
| 指标 | SP组 | CP组 | P值 |
| Ace指数 | 111.206(87.090, 136.276) | 343.096(326.242, 363.387) | 0.004 |
| Chao指数 | 103.300(92.500, 119.221) | 354.350(225.500, 371.331) | 0.041 |
| Shannon指数 | 2.812(2.681, 3.645) | 2.509(2.262, 2.867) | 0.132 |
| Simpson指数 | 0.113(0.056, 0.128) | 0.268(0.204, 0.339) | 0.026 |
| OTU数目 | 76.500(69.250, 108.500) | 300.000(204.750, 333.750) | 0.093 |
| 指标 | SF组 | CF组 | P值 |
| Ace指数 | 214.406(198.894, 225.179) | 208.011(153.005, 271.668) | 1.000 |
| Chao指数 | 187.018(151.229, 190.816) | 188.273(127.261, 254.831) | 0.818 |
| Shannon指数 | 2.015(1.518, 2.093) | 1.977(1.643, 2.264) | 0.394 |
| Simpson指数 | 0.299(0.195, 0.408) | 0.287(0.236, 0.331) | 0.699 |
| OTU数目 | 147.500(109.000, 168.750) | 134.000(104.250, 214.750) | 0.937 |
| 注:SB、SP、SF组分别为假手术的血液、肺组织以及粪便样本,CB、CP、CF组分别为脓毒症组的血液、肺组织以及粪便样本;ACE指数、物种数量和Chao指数为物种丰富度指标,Shannon指数为菌群丰富度指标,Simpson指数为菌群均匀度指标 | |||
运用三种指标对样本进行了分析(见表 2),结果显示,在粪便、血液以及肺组织中,Sham组与CLP组的组间差异较大,且结果均有统计学差异;根据以上结果,绘制了PCoA图见图 4A、4B、4C。从图中可以观察,不管是在粪便、血液还是肺组织,Sham组与CLP组小鼠样本间区分良好,菌群结构都发生了变化且有很大的差异,结果均有统计学意义。
| 指标 | SB-CB | SP-CP | SF-CF | |||||
| R值 | P值 | R值 | P值 | R值 | P值 | |||
| Bray-curtis | 0.769 | 0.002 | 0.469 | 0.003 | 0.786 | 0.002 | ||
| Unweighted | 0.543 | 0.010 | 0.419 | 0.011 | 0.172 | 0.028 | ||
| Weighted | 0.730 | 0.002 | 0.469 | 0.006 | 0.913 | 0.002 | ||
| 注:SB-CB代表假手术组与脓毒症组小鼠血液样本的比较;SP-CP代表假手术组与脓毒症组肺组织样本的比较;SF-CF代表假手术组与脓毒症组粪便样本间的比较;Anosim相似性检验来验证组间差异,Anosim检验的R值范围为-1~1,R值越接近1,表明组间差异越大,P < 0.05则表明检验可信度较高。常用的三种指标分别为bray curtis、weighted unifrac和unweighted unifrac | ||||||||
|
| A为SB-CB组PCoA图;B为SP-CP组PCoA图;C为SF-CF组PCoA图 图 4 SB-CB组、SP-CP组、SF-CF组PcoA图 Fig 4 Principal co-ordinates analysis among the SB-CB, SP-CP, and SF-CF groups |
|
|
在Sham组与CLP组的血液、肺组织、粪便组织的Heatmap图中,Sham组组内的菌群结构在三种不同样本中均表现相似,而在CLP组中,三种样本组内的菌群结构均发生不同改变,均一性较Sham组差。与Sham组相比,CB组、CP组以及CF组中肠埃希菌(Escherichia-Shigella)丰度均升高(见附图 1A、1B、1C),CLP组的有着部分正常菌属的含量下降及消失,例如海迪茨氏菌(Dietzia);异常菌属出现的情况,例如肠埃希菌(Escherichia-Shigella),且两组的菌群组成区分明显。提示CLP术后,小鼠血液、肺组织、粪便组织菌群结构发生改变。
2.6 假手术组与脓毒症组整体比较结果显示(见附图 2A),Sham组(SB组、SP组以及SF组)组内与CLP组(CB组、CP组以及CF组)组内的菌群趋于一致,在整体的PCOA图中也同样证实了这一点(见附图 2B),可见Sham组中的SB组、SP组、SF组菌群趋于分散,但CLP组的各组较为集中,提示脓毒症改变了肠道、血液以及粪便原本的菌群结构。在门水平(见附图 2C),对比于Sham组,CLP组的变形菌(Proteobacteria)门丰度逐渐增加,厚壁菌(Firmicutes)门及放线菌(Actinobacteriota)门丰度减少;在属水平(见附图 2D)Acinetobacter)和杜氏杆菌属(Dubosiella)为主,而CLP组主要以大肠埃希菌(Escherichia-Shigella)和未分类的肠杆菌属(Enterobacteriaceae-unclassified)为主。无论在门水平还是属水平,对比于粪便菌群,血液与肺组织菌群构成更为相似。
3 讨论脓毒症患者肠道菌群存在显著的差异,这在既往的研究[10-11]中已经被证实,脓毒症患者的肠道菌群通常表现为多样性减少,有时表现为单一菌群的过度生长及潜在致病性菌属的丰度增多。在课题组的前期研究[12]中,发现脓毒症患者紊乱地肠道菌群同肠屏障功能障碍具有相关性,且患者感染的致病菌与肠道致病菌属的扩张具有潜在一致性。脓毒症患者发生了肠道菌群紊乱[13],表现为多样性下降、菌群结构的改变、专性厌氧菌减少而兼性厌氧菌增多、有益共生菌减少而机会致病菌增多,且致病菌属可成为主要菌属。其次还发现[14]患者肺泡灌洗液中存在一定的肺-肠菌群相关性,在排除来源于环境和上呼吸道微吸入导致的肺部感染外,仍有一部分感染源可能来自下消化道。
虽然临床治疗中的脓毒症患者菌群的多样性改变能反映患者真实治疗过程中肠道菌群的变化情况,但由于临床患者基础疾病以及合并症的复杂性,以及临床药物治疗措施的干预,不能将脓毒症作为单一的变量来进行研究,一批学者选择动物模型来排除临床上的这些因素后[15-17],均发现CLP造模后啮齿类动物存在肠道菌群的紊乱,且菌群多样性下降,大肠杆菌-志贺菌属逐渐成为优势菌群。肺部是脓毒症发生后最先累及的器官,随着研究的深入,肠道能影响脓毒症急性肺损伤这一结论逐渐得到证实[18-19],脓毒症致肠道菌群失调能直接或间接影响肺黏膜免疫和肺部免疫细胞的功能,进而加重肺损伤的进程,但由于临床患者的基础情况较为复杂,且健康人群的样本难以采集,脓毒症中肠道菌群与肺部菌群之间的关系暂未得到证实。
本研究对Sham组以及CLP组小鼠的血液、肺组织、粪便三个部位的菌群进行了16S rRNA测序,结果显示,CLP组与Sham组的血液和粪便样本α多样性不具有统计学意义,这与先前众多学者的研究结果显示一致。但肺组织样本的Ace指数、Shannon指数以及Simpson指数均具有统计学意义,提示发生脓毒症后,肺组织的菌群发生了改变,肺组织的菌群丰度增加,细菌群落的多样性增加。在β多样性方面,CLP组与Sham组的三种样本的菌群构成都有很大的差异,且差异均具有统计学意义,在脓毒症发生后,肠道菌群、肺部菌群以及血液中的菌群在结构组成上都发生了较大的改变。
从门水平上来看,与Sham组相比,CLP组中变形菌门的丰度明显增加,厚壁菌门丰度逐渐降低。在主要肠道菌群门类中,变形菌门丰度最易受环境因素影响[20],其丰度变化往往影响宿主的健康状况。变形菌门丰度升高是肠道菌群失调的一个共同特征[21], 与健康个体相比,肠道菌群失调患者的结肠菌群检测中总能检测到变形菌门丰度显著升高的现象。而厚壁菌门,是短链脂肪酸(short chain fatty acids, SCFAs)的主要生产者,SCFAs可以调控调节性T细胞中的基因表达[22-23],并改变巨噬细胞的杀微生物能力,且能够通过LAMTOR2依赖性信号通路促进肺炎克雷伯菌的巨噬细胞清除[24]。因此,研究变形菌门及厚壁菌门丰度变化深层变化机制,有可能通过靶向肠道微生物群来干预肺部疾病,对脓毒症菌群失调的诊治存在一定的意义。从属水平上来看,CLP组大肠埃希志贺菌属和未分类的大肠杆菌菌属丰度最高,这与先前研究[15, 17]结果一致,肠源性脓毒症中最常见的细菌为大肠杆菌。近年来,革兰阴性菌在脓毒症患者中的检出率逐渐增高,且其多重耐药状况日趋严重,给脓毒症及感染性休克的治疗带来巨大的挑战[25],且大肠埃希菌为新生儿败血症最主要的菌属之一[26-27],因此,减少大肠杆菌的在肠道的富集可能对于临床脓毒症患者的菌群失调有一定指导意义。
此次研究阐述了肺组织、血液以及肠道粪便的菌群关系,根据菌群的群落分布发现肺组织与血液样本的菌群结构在脓毒症发生前后均具有相似性,两部位间的肠道菌群的组成结构以及分布存在高度的吻合,而肠道菌群则体现出较大的差异,这可能与肠道微生物的富集有关。进行脓毒症造模后,不论是肠道还是肺部还是血液的微生物中,均存在相同的菌群聚集,例如大肠埃希志贺菌属,这提示脓毒症的肠道菌群紊乱与血液和肺部菌群的紊乱存在一定的关联,为“肠—肺—轴”理论提供了进一步的依据。但由于本次实验样本数量较少,统计结果存在一定的局限性,由于科学技术的受限,无法精准地定位菌群转移的途径,今后可着重研究菌群可能的迁徙路径,扩大样本量,进一步地寻找脓毒症急性肺损伤“肠—肺”轴的理论依据。
综上所述,本研究使用CLP模型分析小鼠血液、肺组织以及粪便三个部位的菌群微生态多样性以及结构改变,排除了临床药物以及合并症的影响,以及肺组织样本的难以采集的问题,补充了动物模型中脓毒症“肠—肺”轴理论中肺部菌群的结构变化。结果提示,脓毒症小鼠急性肺损伤血液、肺组织、以及肠道的菌群分布存在部分重合,CLP组均以大肠埃希志贺菌属和未分类大肠杆菌为主。
利益冲突 所有作者声明无利益冲突
作者贡献声明 杨舸:实验操作、研究设计、论文撰写;王晓红、马玉杰、刘勤富:实验操作、数据收集及整理、统计学分析;张瑞、杨晓军:研究设计、论文修改
本文附录请登录中华急诊网(www.cem.org.cn)浏览(Html格式全文)
| [1] | Evans L, Rhodes A, Alhazzani W, et al. Surviving Sepsis campaign: international guidelines for management of Sepsis and septic shock 2021[J]. Intensive Care Med, 2021, 47(11): 1181-1247. DOI:10.1007/s00134-021-06506-y |
| [2] | Cecconi M, Evans L, Levy M, et al. Sepsis and septic shock[J]. Lancet, 2018, 392(10141): 75-87. DOI:10.1016/s0140-6736(18)30696-2 |
| [3] | Reiss LK, Schuppert A, Uhlig S. Inflammatory processes during acute respiratory distress syndrome: a complex system[J]. Curr Opin Crit Care, 2018, 24(1): 1-9. DOI:10.1097/mcc.0000000000000472 |
| [4] | Lelubre C, Vincent JL. Mechanisms and treatment of organ failure in Sepsis[J]. Nat Rev Nephrol, 2018, 14(7): 417-427. DOI:10.1038/s41581-018-0005-7 |
| [5] | Niu MW, Chen P. Crosstalk between gut microbiota and Sepsis[J]. Burns Trauma, 2021, 9(10.1093): burnst. DOI:10.1093/burnst/tkab036 |
| [6] | Singh SB, Young K, Silver LL. What is an "ideal" antibiotic? Discovery challenges and path forward[J]. Biochem Pharmacol, 2017, 133: 63-73. DOI:10.1016/j.bcp.2017.01.003 |
| [7] | Jacobs MC, Lankelma JM, Wolff NS, et al. Effect of antibiotic gut microbiota disruption on LPS-induced acute lung inflammation[J]. PLoS One, 2020, 15(11): e0241748. DOI:10.1371/journal.pone.0241748 |
| [8] | Hildebrand F, Gossmann TI, Frioux C, et al. Dispersal strategies shape persistence and evolution of human gut bacteria[J]. Cell Host Microbe, 2021, 29(7): 1167-1176.e9. DOI:10.1016/j.chom.2021.05.008 |
| [9] | Rittirsch D, Huber-Lang MS, Flierl MA, et al. Immunodesign of experimental Sepsis by cecal ligation and puncture[J]. Nat Protoc, 2009, 4(1): 31-36. DOI:10.1038/nprot.2008.214 |
| [10] | Ojima M, Motooka D, Shimizu K, et al. Metagenomic analysis reveals dynamic changes of whole gut microbiota in the acute phase of intensive care unit patients[J]. Dig Dis Sci, 2016, 61(6): 1628-1634. DOI:10.1007/s10620-015-4011-3 |
| [11] | Liu Z, Li N, Fang H, et al. Enteric dysbiosis is associated with Sepsis in patients[J]. FASEB J, 2019, 33(11): 12299-12310. DOI:10.1096/fj.201900398rr |
| [12] | 杨小娟, 杨晓军, 刘丹, 等. 脓毒症患者肠道菌群与肠屏障功能紊乱的相关性研究[J]. 中华急诊医学杂志, 2022, 31(2): 210-216. DOI:10.3760/cma.j.issn.1671-0282.2022.02.013 |
| [13] | 刘丹, 王晓红, 张小彬, 等. 脓毒症患者肠道菌群紊乱的临床研究[J]. 中华急诊医学杂志, 2019, 28(6): 736-742. DOI:10.3760/cma.j.issn.1671-0282.2019.06.015 |
| [14] | 雷萌萌, 张小亚, 杨小娟, 等. 基于16S rRNA测序技术分析呼吸机相关性肺炎患者粪便与肺泡灌洗液菌群的相关性[J]. 中华危重病急救医学, 2021(2): 169-173. DOI:10.3760/cma.j.cn121430-20201010-00662 |
| [15] | 赵赫, 匡重伸, 李芳, 等. 脓毒症模型小鼠的肠道菌群组成与变化[J]. 中华危重病急救医学, 2021, 33(1): 10-16. DOI:10.3760/cma.j.cn121430-20200814-00579 |
| [16] | Gai X, Wang H, Li Y, et al. Fecal microbiota transplantation protects the intestinal mucosal barrier by reconstructing the gut microbiota in a murine model of Sepsis[J]. Front Cell Infect Microbiol, 2021, 11: 736204. DOI:10.3389/fcimb.2021.736204 |
| [17] | 李弘毅, 翟瑞卿, 梁火燕, 等. 基于16S rDNA测序分析脓毒症大鼠早期肠道微生态的变化[J]. 中华危重病急救医学, 2022, 34(1): 28-34. DOI:10.3760/cma.j.cn121430-20201215-00754 |
| [18] | Jin S, Ding X, Yang C, et al. Mechanical ventilation exacerbates poly(I:C) induced acute lung injury: central role for caspase-11 and gut-lung axis[J]. Front Immunol, 2021, 12: 693874. DOI:10.3389/fimmu.2021.693874 |
| [19] | Tang J, Xu L, Zeng Y, et al. Effect of gut microbiota on LPS-induced acute lung injury by regulating the TLR4/NF-kB signaling pathway[J]. Int Immunopharmacol, 2021, 91: 107272. DOI:10.1016/j.intimp.2020.107272 |
| [20] | Bradley PH, Pollard KS. Proteobacteria explain significant functional variability in the human gut microbiome[J]. Microbiome, 2017, 5(1): 36. DOI:10.1186/s40168-017-0244-z |
| [21] | Shin NR, Whon TW, Bae JW. Proteobacteria: microbial signature of dysbiosis in gut microbiota[J]. Trends Biotechnol, 2015, 33(9): 496-503. DOI:10.1016/j.tibtech.2015.06.011 |
| [22] | Schulthess J, Pandey S, Capitani M, et al. The short chain fatty acid butyrate imprints an antimicrobial program in macrophages[J]. Immunity, 2019, 50(2): 432-445.e7. DOI:10.1016/j.immuni.2018.12.018 |
| [23] | Arpaia N, Campbell C, Fan X, et al. Metabolites produced by commensal bacteria promote peripheral regulatory T-cell generation[J]. Nature, 2013, 504(7480): 451-455. DOI:10.1038/nature12726 |
| [24] | Wu T, Li H, Su C, et al. Microbiota-derived short-chain fatty acids promote lamtor2-mediated immune responses in macrophages[J]. mSystems, 2020, 5(6): e00587-20. DOI:10.1128/mSystems.00587-20 |
| [25] | 刘昌伟, 胡立芬, 汪燕燕, 等. 多黏菌素B治疗耐碳青霉烯革兰阴性菌脓毒症的疗效和肾毒性[J]. 上海医药, 2022, 43(13) 26-28, 50. DOI:10.3969/j.issn.1006-1533.2022.13.008 |
| [26] | 李兆娜, 寇晨, 王淑荣, 等. 新生儿早发型和晚发型大肠埃希菌败血症临床指标及抗菌药物敏感性比较[J]. 儿科药学杂志, 2022, 28(10): 34-37. DOI:10.13407/j.cnki.jpp.1672-108X.2022.10.010 |
| [27] | Ershad M, Mostafa A, Dela Cruz M, et al. Neonatal sepsis[J]. Curr Emerg Hosp Med Rep, 2019, 7(3): 83-90. DOI:10.1007/s40138-019-00188-z |
2023, Vol. 32



