2. 安徽医科大学第二附属医院病理科,合肥 230601
2. Department of Pathology, the Second Affiliated Hospital of Anhui Medical University, Hefei 230601, China
急性胰腺炎是临床上常见的腹部急症,根据有无器官功能衰竭及局部或全身并发症,将AP分为轻症急性胰腺炎(MAP)、中度重症急性胰腺炎(MSAP)和重症急性胰腺炎(SAP)[1],多数患者为MAP和MSAP,病程呈自限性,预后较好,约有20%的患者可发展为SAP,病死率可高达30%[2]。在SAP早期,大量的炎症介质和有毒物质进入微循环,可导致全身炎症反应综合征(SIRS)及多脏器功能衰竭(MODS)。由于血管通透性增加而引起的毛细血管渗漏综合征(CLS)是SIRS到MODS的中间阶段。血管内皮细胞表明由多糖包被覆盖,其结构受损后可引起血管通透性增加,液体渗漏[3]。既往研究表明在HBP可破坏脓毒症患者微血管屏障,导致液体渗出[4]。然而,HBP是否通过破坏AP患者血管屏障从而影响AP发展目前尚无报道,因此,本研究拟通过有关AP的临床及动物水平初步揭示HBP对AP病情发展影响的潜在机制。
1 资料与方法 1.1 一般资料选取安徽医科大学第二附属医院2021年1月1日至12月31日收治的40例AP患者为研究对象,SAP20及NSAP各20例,其中男性20例,女性20例,年龄19~70岁,入院30 min内采集静脉血,经离心后-80℃冻存,用于后续检测,所有AP患者根据入院时增强CT计算MCTSI。另选取20例健康体检者作为对照,其中男性11例,女性9例,年龄18~70岁。本研究经安徽医科大学第二附属医院伦理委员会批准(YX2022-037),家属签署知情同意书。
1.2 入选及排除标准(1)入选标准:①明确诊断为AP[5]且首次发病;②发病至入院时间不超过24 h。
(2)排除标准:①急性胰腺炎合并妊娠;②合并严重感染或心、肺、肾等基础疾病者;③慢性胰腺炎急性发作者。
(3)非重症急性胰腺炎(NSAP)诊断标准:不伴有器官功能障碍及局部、全身并发症或伴有一过性(≤48 h)器官功能障碍和(或)局部并发症;SAP诊断标准:伴有持续性器官功能障碍,时间 > 48 h。
1.3 HBP及多糖包被代谢产物水平检测依据ELISA检测试剂盒(基因美生物科技有限公司,中国武汉)配套说明书检测人体血液标本及大鼠血液标本中HBP、syndecan-1和HA水平。
1.4 动物模型制备及分组6~8周的SD大鼠,体重(250±12)g,购自安徽医科大学实验动物中心。按随机数表法分为健康对照组(NC)组、AP组、LMWH组,每组8只。所有动物健康状态良好,实验前12 h禁食,自由饮水,采用腹腔注射L-精氨酸的方法构建AP模型[6],在LMWH组中,建立AP模型后,每2 h皮下注射200 U/kg低分子肝素,共4次,AP组给予相同量的生理盐水,NC组未给予任何干预。最后一次皮下注射后12 h对大鼠实施安乐死,血液标本用于ELISA检测,肺及胰腺组织用于病理评分及电镜观察。
1.5 胰腺组织病理学观察及评分将大鼠胰腺组织用10%的甲醛溶液固定后常规石蜡包埋切片,HE然后后在奥林巴斯BX43显微镜下拍摄照片,胰腺病理评分由副主任医师以上职称的病理科医师双盲进行,评分标准参照改良的Schmidt评分表[7],见表 1。
| 水肿 | 胰腺细胞坏死(坏死细胞数/高倍视野) | 炎症(小叶内或血管周围白细胞/高倍视野) | 出血(血管外与间隔内红细胞/高倍视野) |
| 1=小叶间隔局灶性扩张 | 1=1~4 | 1=1~10 | 1=1~50 |
| 2=同1+小叶间隔广泛扩张 | 2=5~10 | 2=11~20 | 2=51~100 |
| 3=同2+腺泡间隔扩张 | 3=10~16 | 3=21~30 | 3=101~150 |
| 4=同3+细胞间隔扩张 | 4= > 16 | 4= > 30个白细胞/高倍视野或小脓肿形成 | 4= > 150 |
取出大鼠肺组织,用滤纸吸干表面多余水分,记录肺组织样本湿重(W),然后在70℃的烤箱中烘烤24 h,直到重量恒定,随后记录肺组织样本干重(D),计算D/W的比值,用于后续统计分析。
1.7 透视电镜下血管内皮细胞多糖包被病理学观察首先将肺、胰组织用2.5%戊二醛溶液(pH7.0)固定12 h以上,在磷酸盐缓冲液(PBS)中洗涤3次,然后在1%锇酸中固定1~2 h。取出标本在梯度浓度的乙醇(30%,50%,70%,80%,95%和100%)中脱水后转移到环氧丙烷和环氧树脂的混合物(1∶1)中1~2 h,然后转移到纯环氧树脂中2~3 h。最后在纯环氧树脂包埋下入45℃烤箱12 h,72℃烤箱24 h。取出包埋块后切片(片厚70 nm,切片模型:Leica UC-7)。电子染色(铅染色)后用日本电子透射电镜观察拍照。
1.8 统计学方法部分计量资料不符合正态分布,因此计量资料以中位数(四分位距)[M(INQ)]表示,两组间比较采用Wilcoxon检验,多组间比较采用Kruskal Wallis检验方法,多重比较时采用Bonferroni法。计数资料采用百分比(%)表示,组间比较采用χ2检验。连续性变量之间的相关性分析采用Spearman相关性分析,受试者工作特征曲线(ROC)用于评估预测效能。SPSS 26.0统计软件用于分析数据,Graphpad prism 9软件用于图表的绘制,以P < 0.05为差异有统计学意义。
2 结果 2.1 临床研究结果经统计分析发现三组研究对象在性别、年龄及体重指数(BMI)方面差异无统计学意义。在HBP、Syndecan-1及HA水平方面总体分布差异有统计学意义,H值分别为18.09、22.70和15.03,均P < 0.05。其中,SAP组与HC组及NSAP组差异有统计学意义,而HC组和NSAP组之间差异无统计学意义。将AP患者与健康对照组相比,两组对象在HBP水平方面同样差异有统计学意义(z=3.16, P=0.002),在MCTSI方面,SAP组同样高于NSAP组,差异有统计学意义(z=5.26, P < 0.05)。见表 2。
| 指标 | HC组 | NSAP组 | SAP组 | AP组 | Wilcoxon test | Kruskal Wallis/χ2 test | ||
| Z/P值 | H/χ2 | P值 | ||||||
| 男性(例数, %) | 11(55%) | 9(45%) | 11(55%) | 0.534 | 0.85 | |||
| 年龄(岁) | 43.5(22.75) | 44.0(23.25) | 43.0(30.50) | 0.47 | 0.79 | |||
| BMI(kg/m2) | 23.33(2.10) | 23.60(2.12) | 24.08(2.82) | 1.42 | 0.49 | |||
| HBP(pg/mL) | 1213.90(247.29) | 1322.36(224.74) | 1645.81(1450.32)ab | 1386.97(427.27)b | 3.16 0.002 | 18.09 | 0.002 | |
| Syndecan-1(ng/mL) | 19.08(3.54) | 21.75(3.40) | 27.81(11.83)ab | 22.70 | 0.001 | |||
| HA(ng/mL) | 29.88(26.97) | 39.50(14.95) | 52.27(44.75)ab | |||||
| MCTSI | 2(1.5) | 6(2) | 5.26 < 0.001 | |||||
| 注:BMI:Body mass index; 与NSAP比较,aP < 0.05; 与HC组比较,b P < 0.05 | ||||||||
AP患者中血清HBP水平与Syndecan-1、HA和MCTSI均成显著正相关(均P < 0.05),其r值分别为0.859,0.847,0.45,见图 1(A、B、C)。说明升高的HBP水平与AP的严重程度有关,其机制可能与血管内皮细胞多糖包被结构受到破坏,血管通透性升高后的液体渗漏有关。
|
| A: HBP与Syndecan-1相关性分析结果;B: HBP与HA相关性分析结果;C: HBP与MCTSI相关性分析结果;D: HBP及MCTSI预测AP严重程度的ROC曲线 图 1 相关性分析结果及ROC曲线 Fig 1 The results of correlation analysis and ROC curve |
|
|
受试者工作特征曲线分析结果表明HBP可预估AP的严重程度,其P值为0.002,ROC曲线下面积(AUC)为0.79,其预测效能与MCTSI一致(P=0.001, AUC=0.795),见图 1D。
2.4 大鼠血清中HBP、Syndecan-1和HA水平及肺组织干湿比测定动物实验结果表明,三组大鼠血清中HBP、Syndecan-1及HA水平方面总体分布差异有统计学意义,H值分别为19.54、18.77和19.57,均P < 0.05。经多重比较发现三组研究对象两两之间均差异有统计学意义;肺组织干湿比结果显示AP组大鼠DWR值明显低于NC组,经LMWH干预后肺组织渗出减少,DWR显著升高,见图 2,表明LMWH可逆转HBP诱导的毛细血管渗漏,改善血管通透性,减轻胰腺损伤。
|
| 大鼠动物模型中HBP、Syndecan-1、HA及DWR在多组间比较结果,其中与NSAP比较,aP < 0.05,与NC组比较, bP < 0.05 图 2 动物模型中HBP、Syndecan-1、HA及DWR检测结果 Fig 2 The results of HBP、Syndecan-1、HA and DWR in animal models |
|
|
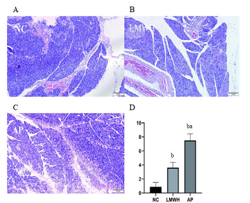
大鼠胰腺组织经HE染色后发现NC组胰腺组织无明显变化,病理评分较低[1(0.75)],而AP组胰腺组织HE染色后见大量炎性细胞浸润,胰腺腺泡细胞肿胀,叶间隙增宽,并可见少许灶性坏死,胰腺病理评分[7.5(1)]显著增高,差异有统计学意义;经LMWH干预后,胰腺病理损伤明显缓解,病理评分[3.5(1)]显著降低,见图 3。
|
| A: NC组胰腺组织无明显变化,病理评分较低; B: AP组胰腺组织见大量炎性细胞浸润,并可见少许灶性坏死,胰腺病理评分显著增高; C: LMWH干预后,胰腺病理损伤明显缓解,病理评分显著降低 图 3 三组大鼠胰腺HE染色结果 Fig 3 HE staining results of pancreas in three groups of rats |
|
|
NC组大鼠肺及胰腺组织在透视电镜下观察发现多糖包被结构致密、分布均匀,而AP组大鼠多糖包被结构被严重破坏,几乎完全中断、消失;经LMWH干预后多糖包被结构损伤明显减轻,仍可看到连续性结构,见图 4。
|
| NC组(A, D)大鼠肺及胰腺组织在透视电镜下可见多糖包被结构致密、分布均匀,AP组(B, E)大鼠多糖包被结构几乎完全中断;经LMWH干预后(C, F)多糖包被结构损伤明显减轻,连续性较好(红线标记处为多糖包被结构) 图 4 大鼠肺及胰腺组织透视电镜结果 Fig 4 Fluoroscopic electron microscopic results of lung and pancreas in rats |
|
|
急性胰腺炎是消化系统常见的腹部急症,胆系结石、血脂异常及酗酒是我国诱发AP的主要因素[8-9]。在AP,尤其是SAP早期,大量炎性介质和细胞因子释放入血,诱发全身炎症反应,同时激活中性粒细胞分泌氧自由基,致使毛细血管通透性增加,血浆持续渗入腹腔、腹膜后等第三间隙,导致患者血容量持续降低甚至休克,最终诱发MODS的出现。肝素结合蛋白又名天青杀素,储存于中性粒细胞的噬天青颗粒中,具有杀菌、抗炎、改善细胞通透性等作用[10]。HBP是目前研究较多的感染相关的生物标志物,然而,HBP促进AP的进展具体机制尚未见报道[11]。本研究发现血清中HBP水平在AP患者中明显升高,显著高于健康对照组,相关性分析发现HBP与MCTSI呈明显正相关,结合ROC分析结果,笔者推测升高的HBP可加重AP患者病情,促进AP病情进展,监测血清中HBP水平可早期评估AP严重程度,临床研究结果与国内学者一致[12-13]。进一步分组研究发现HC组与NSAP组血清HBP水平差异无统计学意义,究其原因,笔者认为与全身性炎症可能是刺激血浆中HBP水平升高的必要条件有关。
目前,对于HBP促进AP进展的可能机制尚未见报道,Fisher等[14]研究发现,HBP介导的毛细血管渗漏与脓毒症所致的急性肾损伤有关,HBP参与了其病理生理过程。基于以上研究结合HBP的生物学作用,笔者推测HBP是否同样通过增加血管通透性,加重液体渗漏促进AP进展。由于血管内皮细胞表明被多糖包被覆盖,而黏结合蛋白多糖-1和透明质酸是多糖包被的代谢产物,可间接反应多糖包被损伤情况,因此首先在临床研究中检测了血清中syndecan-1及HA的水平,结果显示AP组患者中syndecan-1及HA水平显著升高,相关性分析发现HBP与syndecan-1及HA均成明显正相关。
为了进一步探讨HBP促进AP进展的潜在机制及可能的治疗方法,本研究应用腹腔注射L-精氨酸的方法,构建AP大鼠动物模型,通过计算大鼠肺组织干湿比的方法,评估肺部毛细血管渗漏情况,同时测定多糖包被代谢产物的水平,结果显示AP组大鼠HBP、Syndecan-1及HA水平明显升高,而DWR值明显低于NC组。同时笔者将大鼠胰腺组织经HE染色后发现AP组组织中大量炎性细胞浸润,胰腺腺泡细胞肿胀,叶间隙增宽,并可见少许灶性坏死,胰腺病理评分[7.5(1)]显著增高,差异明显。由于肝素在血液中可以和HBP进行特异性结合,因此本研究在大鼠AP模型中经腹腔注射LMWH,而经LMWH干预后发现不仅DWR值显著升高,同时HBP、Syndecan-1及HA水平显著降低,且胰腺病理损伤明显缓解,病理评分[3.5(1)]显著下降,表明LMWH可逆转HBP诱导的毛细血管渗漏,改善血管通透性,缓解肺水肿的同时减轻胰腺损伤。
为了更为直观的观察HBP介导的毛细血管损伤情况,本研究将肺及胰腺组织经电子染色后在透视电镜下观察,见NC组大鼠肺及胰腺组织多糖包被结构致密、分布均匀,而AP组大鼠多糖包被结构被严重破坏,几乎完全中断、消失;经LMWH干预后多糖包被结构损伤明显减轻,仍可看到原有结构的连续性。由于LMWH可以抵抗机体高凝状态,改善胰腺微循环及灌注,防止组织进一步的缺血坏死[15],因此常用于治疗SAP患者。然而,本研究结果表明,LMWH同样可以抑制HBP介导的通透性增加,减少血管渗漏,缓解SAP患者的病情,这为LWMH治疗SAP提供了更充分的理论依据。
综上所述,AP患者,尤其是SAP患者,早期血管通透性增加、液体大量渗出可能与炎症刺激中性粒细胞释放大量HBP有关,高水平的HBP造成血管内皮细胞表面多糖包被结构严重破坏,液体进入第三间隙,患者出现休克甚至MODS,致使AP病情加重。然而,本研究仅揭示了HBP介导的血管通透性增加从而影响AP发展的初步机制,更为详细有关机制仍需深入研究。
利益冲突 所有作者声明无利益冲突
作者贡献声明 尹纯林:研究设计、统计学分析及论文撰写;王弦、孙远松:实验操作;王琪、高明:数据收集及整理;李贺:论文指导、审阅及修改
| [1] | Banks PA, Bollen TL, Dervenis C, et al. Classification of acute pancreatitis: 2012: revision of the Atlanta classification and definitions by international consensus[J]. Gut, 2013, 62(1): 102-111. DOI:10.1136/gutjnl-2012-302779 |
| [2] | Ammer-Herrmenau C, Asendorf T, Beyer G, et al. Study protocol P-MAPS: microbiome as predictor of severity in acute pancreatitis-a prospective multicentre translational study[J]. BMC Gastroenterol, 2021, 21(1): 304. DOI:10.1186/s12876-021-01885-4 |
| [3] | 宋明明, 刘璐, 戚欣欣, 等. 肝素结合蛋白增加烧伤早期血管通透性的机制研究[J]. 中华危重病急救医学, 2020, 32(3): 330-335. DOI:10.3760/cma.j.cn121430-20200123-00248 |
| [4] | Uchimido R, Schmidt EP, Shapiro NI. The glycocalyx: a novel diagnostic and therapeutic target in sepsis[J]. Crit Care, 2019, 23(1): 16. DOI:10.1186/s13054-018-2292-6 |
| [5] | 李非, 曹锋. 中国急性胰腺炎诊治指南(2021)[J]. 中国实用外科杂志, 2021, 41(7): 739-746. DOI:10.19538/j.cjps.issn1005-2208.2021.07.03 |
| [6] | 刘大晟, 吴先林, 李接兴, 等. 三种不同造模方法建立大鼠急性胰腺炎模型的对比[J]. 中国老年学杂志, 2016, 36(10): 2315-2318. DOI:10.3969/j.issn.1005-9202.2016.10.003 |
| [7] | 吴建新, 袁耀宗, 徐家裕, 等. 大鼠急性坏死型胰腺炎病理特征评定方法的研究[J]. 中国实验动物学报, 2002, 10(4): 210-213. DOI:10.3969/j.issn.1005-4847.2002.04.005 |
| [8] | 郑智, 曲元旭, 丁乙轩, 等. 急性胰腺炎发病机制的研究进展[J]. 中华肝胆外科杂志, 2021, 27(2): 152-155. DOI:10.3760/cma.j.cn113884-20200411-00192 |
| [9] | 黄晓东, 蔺际龑, 杜鹏辉, 等. 高脂血症性急性胰腺炎T淋巴细胞亚群和细胞因子的变化及意义[J]. 中华急诊医学杂志, 2022, 31(1): 92-97. DOI:10.3760/cma.j.issn.1671-0282.2022.01.017 |
| [10] | 任玮, 吴淼, 魏捷, 等. 血浆肝素结合蛋白在脓毒性休克中的研究及应用进展[J]. 中华检验医学杂志, 2017, 40(7): 548-551. DOI:10.3760/cma.j.issn.1009-9158.2017.07.016 |
| [11] | 郭磊, 张铮, 沈华, 等. 肝素结合蛋白对呼吸道病毒感染的诊断及预后评估价值[J]. 中华急诊医学杂志, 2021, 30(12): 1465-1469. DOI:10.3760/cma.j.issn.1671-0282.2021.12.010 |
| [12] | 张福龙, 邱兆磊, 王振杰, 等. 肝素结合蛋白联合C反应蛋白在重症急性胰腺炎早期病情评估中的临床意义[J]. 中华全科医学, 2021, 19(3) 368-370, 374. DOI:10.16766/j.cnki.issn.1674-4152.001812 |
| [13] | 解松龄, 甘磊磊, 王高生, 等. 动态监测HBP、PCT与IL-18对评估急性胰腺炎严重程度的临床价值[J]. 中华肝胆外科杂志, 2021, 27(10): 767-770. DOI:10.3760/cma.j.cn113884-20201201-00609 |
| [14] | Fisher J, Russell JA, Bentzer P, et al. Heparin-binding protein (HBP): a causative marker and potential target for heparin treatment of human sepsis-induced acute kidney injury[J]. Shock, 2017, 48(3): 313-320. DOI:10.1097/SHK.0000000000000862 |
| [15] | Wang H, Xu Y, Yang MJ, et al. Systematic review and meta-analysis of the safety and effectiveness of low molecular heparin for severe acute pancreatitis[J]. Ann Palliat Med, 2021, 10(11): 11695-11704. DOI:10.21037/apm-21-3058 |
2023, Vol. 32



