中华急诊医学杂志  2023, Vol. 32 Issue (1): 115-117   DOI: 10.3760/cma.j.issn.1671-0282.2023.01.022
血浆置换治疗中度重症型高甘油三酯血症性急性胰腺炎1例
宏欣 , 刘仲 , 邬媛 , 邱晓娟 , 裴红红 , 潘龙飞     
西安交通大学第二附属医院急诊EICU,西安 710021

高甘油三酯血症性急性胰腺炎(hypertriglyceridemia-induced acute pancreatitis, HTG-AP)因“诱因隐匿、淀粉酶升高不明显、发病年轻化、合并症多、病情进展快、易重症化”给临床救治带来困难。快速降低甘油三酯水平是逆转病情进展和治疗的关键。本文报道病因隐匿的急性胰腺炎(acute pancreatitis, AP)治疗成功案例1例,旨在对HTG-AP早期识别和病因治疗提供临床经验。

1 资料与方法

患者,男,22岁,学生。主诉:腹痛伴呕吐4 d,烦躁2 d。入院前4 d,患者饱食后出现中上腹持续性、剧烈疼痛,放射至左腰背部,伴恶心、腹胀,呕吐胃内容物,呕吐后腹胀、腹痛无缓解,无发热、胸闷、胸痛,有排气无排便,按“急性胃肠炎”“急性胰腺炎”接受抑酸、护胃、抗炎等门诊治疗后无改善。入院前2 d,患者出现烦躁、少尿、心慌、肢端发凉,遂于夜间转入本院。患者的既往史、家族史、个人史、过敏史、接种史均无特殊。

入院查体:体温36.6 ℃,脉搏130次/min,呼吸频率24次/min,血压96/53 mmHg(1 mmHg=0.133 kPa);烦躁,体重指数32.8 kg/m2,半卧位;口唇及皮肤干燥,肢端皮温低,下肢皮肤“花斑”样;心率130次/min,律齐;双肺呼吸音粗,双下肺闻及细小湿啰音;腹膨隆,腹式呼吸减弱,腹软,上腹压痛阳性,肠鸣音减弱3次/min;余查体阴性。

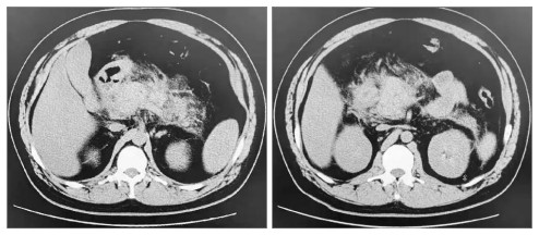
病情演变:患者病情进展快,入院时已有消化、循环、神经等多系统症状。诊疗重点:鉴别急腹症、心肺系统急症的不典型表现。入院后予以心电监护、胃肠减压、液体复苏,紧急完善相关实验室检查。血常规:白细胞14.14×109/L,中性细胞87.20%,中性粒细胞12.33×109/L。尿常规:隐血1+,蛋白2+,糖4+,酮体3+。血气分析:pH 7.15,PCO2 34 mmHg,PO2 75 mmHg,乳酸2.7 mmol/L,HCO3- 27.2 mmol/L;血糖18.7 mmol/L;Ca2+ 1.18 mmol/L,K+ 2.4 mmol/L。降钙素原1.1 ng/mL。肌钙蛋白I、肌酸激酶同工酶、N末端脑钠肽前体、肝肾功能检查均阴性。血尿淀粉酶轻度升高。凝血功能:纤维蛋白原739 mg/dL,D二聚体13 500 ng/mL,乳糜血。甘油三酯(triglyceride, TG)17.98 mmol/L。心电图:窦性心动过速,电轴左偏,心率130次/min。心脏、腹部超声:(1)心内结构大致正常,室壁运动正常;(2)胸腔少量积液;(3)胰腺体积大,回声不均,肝周积液。胸部、腹部CT(图 1):(1)两肺下叶炎症;(2)胸腔少量积液;(3)脂肪肝;(4)急性胰腺炎。

左图为胰尾渗出、肿胀;右图为胰头肿大,胰腺棉絮样渗出,肝区积液 图 1 患者入院时上腹部CT

依据患者腹痛、急性胰腺炎影像、乳糜血、TG > 11.30mmol/L、排除占位和结石等其他病因并参考Balthazar CT分级,疾病诊断:HTG-AP(中度重型)、糖尿病酮症酸中毒、肺部感染、低钾血症。因存在有效循环血容量不足、胰性脑病等表现,病情重,遂收住EICU。

入院后予以液体复苏、抑制腺体分泌、镇痛镇静等治疗,重点针对病因制定诊疗方案。因TG为17.98 mmol/L > 5.65 mmol/L(目标值),给予低分子肝素(5 000 U每12 h一次皮下注射)与胰岛素持续泵入,以求快速降低TG水平。但24 h后复查TG为14.55 mmol/L,仍高于11.3 mmol/L,且TG水平降幅未超过入院时的50%,遂启动血液净化治疗。血液净化采取血浆置换后序贯连续性肾脏替代治疗(continuous renal replacement therapy, CRRT):血浆置换量2 000 mL(吸附柱型号plasma Flux P2 dry,分浆速16.67 mL/min),置换2 h;CRRT模式为连续静脉-静脉血液滤过(枸橼酸抗凝),持续24 h。经治疗,患者腹痛显著缓解,复查TG为6.7 mmol/L。因患者胃肠功能恢复良好,可耐受经口进食,遂改为非诺贝特0.1 g 3次/d口服以继续控制TG水平。

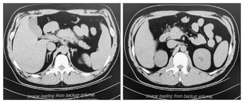
图 2图 3示:行血浆置换及CRRT治疗后,患者TG水平明显下降,腹痛也随之改善。患者于EICU共治疗4 d后一般情况显著改善,遂转入普通病区治疗。于入院第8日复查腹部CT可见胰周渗出较前吸收(见图 4),次日出院。出院后继续口服非诺贝特,3个月后随访查腹部CT可见患者胰腺体积、形态基本恢复,胰周渗出基本吸收,见图 5

图 2 主要治疗经过

图 3 甘油三酯变化趋势

左图为胰尾;右图为胰头 图 4 入院第8日上腹部CT

左图为胰尾;右图为胰头 图 5 出院3个月后上腹部CT
2 讨论

高脂血症所致AP与血清TG水平显著升高密切相关[1-2],又被称为HTG-AP。高脂血症已成为AP的第二大病因[3-4],其引起的HTG-AP发病率逐年升高,对患者、家庭、社会所造成的近期与远期危害巨大。除AP的一般临床表现外,HTG-AP还具有诱因隐匿、发病年轻化、血淀粉酶升高不显著、假性低钠血症、合并症多、易重症化、复发率高等特点[5-6]。以上特征无疑增加了临床诊疗的难度,致使该病在早期易被误诊或漏诊,在住院期间易加重,而在出院后易复发。

高甘油三酯血症既是HTG-AP的病因,又是导致HTG-AP病情难以控制甚至加重的诱因,因此将血清TG水平快速降低至5.65 mmol/L以下是治疗HTG-AP的关键。根据《高甘油三酯血症性急性胰腺炎诊治急诊专家共识》[5],具体的病因治疗措施有两类:(1)无创措施,包括使用常规口服降脂药物、肝素与低分子肝素、胰岛素等;(2)有创治疗措施,即血液净化,多推荐采用血浆置换。如果在患者入院后24~48 h仅通过无创治疗措施仍无法使TG水平降至11.3 mmol/L以内,或降幅低于入院时的50%,则应考虑启动血液净化治疗[5-10]。该例中度重症型HTG-AP经常规治疗后TG水平控制不佳,而采用血浆置换后,TG水平得到快速下降,进而促进了病情的逆转。因此,HTG-AP的诊治难点和重点为对该病病因分型的早期识别以及有效的病因治疗。

利益冲突   所有作者声明无利益冲突。

参考文献
[1] Yadav D, Pitchumoni CS. Issues in hyperlipidemic pancreatitis[J]. J Clin Gastroenterol, 2003, 36(1): 54-62. DOI:10.1097/00004836-200301000-00016
[2] Yin GJ, Cang XF, Yu G, et al. Different clinical presentations of hyperlipidemic acute pancreatitis: a retrospective study[J]. Pancreas, 2015, 44(7): 1105-1110. DOI:10.1097/MPA.0000000000000403
[3] Carr RA, Rejowski BJ, Cote GA, et al. Systematic review of hypertriglyceridemia-induced acute pancreatitis: a more virulent etiology?[J]. Pancreatology, 2016, 16(4): 469-476. DOI:10.1016/j.pan.2016.02.011
[4] 张娜, 张海燕, 郭晓红, 等. 中国近十年急性胰腺炎病因变化特点的Meta分析[J]. 中华消化病与影像杂志(电子版), 2016, 6(2): 71-75. DOI:10.3877/cma.j.issn.2095-2015.2016.02.006
[5] 高甘油三酯血症性急性胰腺炎诊治急诊共识专家组. 高甘油三酯血症性急性胰腺炎诊治急诊专家共识[J]. 中华急诊医学杂志, 2021, 30(8): 937-947. DOI:10.3760/cma.j.issn.1671-0282.2021.08.005
[6] 潘龙飞, 裴红红, 宏欣, 等. 高甘油三酯血症性急性胰腺炎的诊治[J]. 实用医学杂志, 2021, 37(20): 2569-2574. DOI:10.3969/j.issn.1006-5725.2021.20.001
[7] Scherer J, Singh VP, Pitchumoni CS, et al. Issues in hypertriglyceridemic pancreatitis: an update[J]. J Clin Gastroenterol, 2014, 48(3): 195-203. DOI:10.1097/01.mcg.0000436438.60145.5a
[8] Valdivielso P, Ramírez-Bueno A, Ewald N. Current knowledge of hypertriglyceridemic pancreatitis[J]. Eur J Intern Med, 2014, 25(8): 689-694. DOI:10.1016/j.ejim.2014.08.008
[9] 李孔玲, 罗和生. 急性胰腺炎病程中的血脂变化规律[J]. 中华胰腺病杂志, 2016, 16(2): 98-102. DOI:10.3760/cma.j.issn.1674-1935.2016.02.006
[10] 韩叶叶. 高脂血症急性胰腺炎血液净化治疗的探究[D]. 大连: 大连医科大学, 2018.