破伤风是由经皮肤或黏膜侵入人体的破伤风梭菌分泌的神经毒素引起的肌肉痉挛,轻微刺激即可诱发全身强直性发作,从而导致各种并发症,甚至引起死亡的一种特异性感染[1]。尽管破伤风发病率不高,但重症破伤风的病死率仍高达15%~40%[2-3]。本病例病程长达2个月,自主神经功能障碍持续时间20 d,镇静药物使用时间30 d,ICU时间50 d。该病例的救治经验为重症破伤风患者在控制抽搐,改善自律性,合理使用镇静镇痛药物方面提供参考。
1 资料与方法 1.1 一般资料患者男性,62岁,因左足底铁钉刺伤后一周,阵发性胸闷、胸痛3 h入院。2021年9月1日患者被铁钉刺伤左足部,未予处理。9月3日因“左足背红肿疼痛”就医,予青霉素消炎治疗后好转,当时未予破伤风抗毒素或破伤风免疫球蛋白干预治疗,后伤口愈合。9月7日因阵发性胸闷、胸痛就诊本院急诊科,拟“急性冠脉综合征”收入心内科。既往史:高血压病史,否认就此就诊及服药。否认糖尿病、冠心病病史。否认药物、食物过敏史;否认癫痫,动物咬伤等病史。体格检查:神志清楚,体温36.5 ℃,心率65次/min,呼吸20次/min,血压160/90 mmHg(1 mmHg=0.133 kPa),心肺腹查体阴性。
1.2 辅助检查头颅、肺部CT未见异常(图 1)。心脏、肾脏、腹部及血管超声未见明显异常。心电图正常,血常规及生化指标无异常。
|
| A为头颅CT;B为肺部CT;C为ICU治疗情况 图 1 患者辅助检查及治疗情况图像 |
|
|
入院次日(9月8日)患者出现言语含糊、牙关紧闭、张口困难,腰痛、大汗淋漓等不适,结合外伤病史及临床症状体征,考虑可疑破伤风转入ICU。入ICU查体:神志清楚,格拉斯哥昏迷评分(Glasgow coma scale, GCS)15分,咬肌紧张,张口受限达两指,颈项强直,四肢肌张力不高,肌力5级,病理征阴性。予单间安置暗处管理,留置深静脉导管、鼻空肠管,多点注射人破伤风免疫球蛋白,青霉素、甲硝唑抗感染及肠内营养治疗。
入院第3日(9月9日)凌晨频繁全身肢体短暂抽搐,呼吸暂停伴意识丧失,予气管插管,有创机械通气,咪达唑仑、舒芬太尼镇静镇痛,躁动镇静评分(Richmond Agitation-Sedation Scale, RASS)-2分。于上午行左足伤口切开清创。下午患者全身抽搐持续时间延长,人机对抗明显,为控制抽搐加用阿曲库铵,并右美托咪定强化镇静,RASS评分-4分。
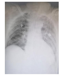
入院第4日(9月10日)抽搐症状进一步加重,呈持续性,伴严重大汗、过度通气,同时出现心率增快、血压增高及心率减慢、血压下降交替,心率最快200次/min,血压最高220/110 mmHg,心率最慢60次/min,血压最低59/40 mmHg,考虑出现破伤风自主神经功能障碍,加大镇静镇痛肌松药物剂量,RASS评分-4~-5分,临时去甲肾上腺素泵0.3~0.5 μg/(kg·min)、艾司洛尔1 mg/kg,硫酸镁负荷40 mg/kg。当日行24 h床旁脑电图提示全程低电位慢波活动,未见癫痫样放电。床旁胸片提示两肺纹理增多(图 2)。
|
| 图 2 入院第4日床旁胸片 |
|
|
入院第7日(9月13日)评估病情后气管切开,因抽搐控制不理想,生命体征不稳定,请外院专家会诊,足部伤口进一步扩创,其他药物剂量不变基础上加大右美托咪定剂量,RASS评分-5分,抗感染方案调整:亚胺培南1 g每12 h一次、万古霉0.5 g每12 h一次,同时35 kal/(kg·d)肠内营养支持。此后全身抽搐及自主神经功能障碍无明显改善,上述药物继续使用。
入院第16日(9月22日)患者抽搐较前好转,双上肢抽搐为主,偶有四肢短暂抽搐,心率血压波动仍大,出现肺部坠积性炎症(图 3),白细胞、超敏C反应蛋白及降钙素原均增高,细菌学培养肺炎克雷伯杆菌,根据药敏调整抗生素:特治星4.5 g每6 h一次、万古霉素1 g每12 h一次。同时联系麻醉科使用脑电双频指数(bispectral index, BIS)监测,指导镇静药物使用。
|
| 图 3 入院第16日肺部CT |
|
|
入院第22日(9月28日)患者抽搐控制,心率血压趋于平稳,依据BIS值结合RASS评分,停用肌松药物,逐步下调镇静镇痛药物剂量,维持BIS 60~85,RASS -2~-3分,尝试每日唤醒(图 4)。
|
| A为镇静镇痛肌松药物使用情况;B为镇静药物与BIS值相关性;C为镇静程度表(BIS与RASS相关性) 图 4 镇静镇痛肌松药物使用情况及镇静程度评估表 |
|
|
入院第32日(10月9日)镇静镇痛药物全部停用,患者意识清楚,肢体活动双上肢肌力3级,下肢肌力1级。因镇静肌松药物下身体长时间保持同一体位,肌肉萎缩,主动及被动活动受限,联系康复科予床旁康复治疗。结合炎症指标及影像学结果调整抗感染方案:头孢哌酮舒巴坦钠3.0 g每8 h一次。
入院第42日(10月18日)经SBT后脱离呼吸机。入院第50日(10月27日)转回专科病房。入院第65日(11月11日)康复出院。
1.4 治疗结果及转归患者转出ICU时可正常交流,自主进食,双上肢肌力4-级,下肢肌力3-级,未有抽搐发作及自主神经功能障碍表现。转回专科病房后拔除气切导管,双上肢肌力4+级,下肢肌力4-级,可床边活动。出院1个月随访,患者生活完全自理,可从事日常家务劳动,无后遗症。
2 讨论破伤风的诊断主要依靠外伤史及临床表现[4],典型临床表现包括“苦笑”面容、颈项强直、角弓反张、板状腹、全身骨骼肌强直性收缩和间歇性痉挛,可伴有周期性呼吸暂停和(或)上气道梗阻症状[5]。重症破伤风除上述临床表现外,自主神经功能障碍是其主要特征。破伤风治疗上包括伤口处理、中和游离毒素、抗感染、控制抽搐、纠正自主神经功能障碍、气道管理及营养支持等,其中控制抽搐及自主神经功能障碍是治疗的中心环节,是治疗成功与否的关键。本病例在与脑血管意外、癫痫、狂犬病等疾病鉴别后明确诊断,属重症破伤风,以持续时间较长的难以控制的全身抽搐和自主神经功能障为主要表现[6]。检索PubMed、中国知网,破伤风的诊疗文献大多是对痉挛发作控制的相关研究,药物选择上仍以苯二氮
破伤风在临床治疗上按发病后时间,一般分为3个阶段(每周1个阶段)。第1周即第一阶段,需强镇静治疗期;第二阶段为低镇静治疗期;第三阶段为撤镇静治疗期。本病例病程长,抽搐难以控制,自主神经功能障碍表现持久,强镇静治疗维持约2周之久,整个镇静镇痛肌松治疗时间持续1个月。如何在长时间较大剂量镇静镇痛肌松药物使用下,找到客观、方便、精确、实时的镇静镇痛评估方法,精准调整药物剂量,既避免因镇静程度不足导致的症状不能控制,又避免因镇静程度过深而延长机械通气时间引起肺部感染和呼吸衰竭[8],同时保护脏器功能,是治疗上的难点及挑战,尚未找到相关参考。本治疗中引入BIS监测,其范围0~100,数值越大,表明患者越趋于清醒[9];依据BIS数值的变化,对镇静深度进行量化,同时结合RASS评分,从深镇静阶段BIS值40~60,RASS评分-4~-5分,通过调整镇静镇痛药物使用,逐步使BIS维持在60~85,RASS评分-2分左右,患者从深镇静阶段平稳过渡至浅镇静阶段,直至最后停用镇静镇痛药物,BIS值85以上,完成撤镇静的治疗。该手段避免了主观评估工具缺乏客观指标、不易分辨大脑皮层及脊髓反应、依赖评估者施予刺激而无法控制刺激等级,以及因评估时声、光、接触等刺激而诱发抽搐等缺点,较好地反应镇静深度及脑耗氧状态,确保患者处于最适宜的镇静程度,有效指导镇静药物使用,而相关脏器未发生功能损害,改善患者预后,提高其生存质量。
本例患者的救治虽属个案,但在重症破伤风治疗方面,尤其BIS监测下镇静镇痛肌松药物使用上为临床提供经验参考,而是否应在病程更早阶段引入BIS有待进一步讨论及证实。
利益冲突 所有作者声明无利益冲突
| [1] | Derbie A, Amdu A, Alamneh A, et al. Clinical profile of tetanus patients attended at Felege Hiwot Referral Hospital, Northwest Ethiopia: a retrospective cross sectional study[J]. SpringerPlus, 2016, 5(1): 1-5. DOI:10.1186/s40064-016-2592-8 |
| [2] | Nóbrega MV, Reis RC, Aguiar IC, et al. Patients with severe accidental tetanus admitted to an intensive care unit in Northeastern Brazil: clinical-epidemiological profile and risk factors for mortality[J]. Braz J Infect Dis, 2016, 20(5): 457-461. DOI:10.1016/j.bjid.2016.06.007 |
| [3] | Tosun S, Batirel A, Oluk AI, et al. Tetanus in adults: results of the multicenter ID-IRI study[J]. Eur J Clin Microbiol Infect Dis, 2017, 36(8): 1455-1462. DOI:10.1007/s10096-017-2954-3 |
| [4] | Sharma DS, Shah MB. A rare case of localized tetanus[J]. Indian J Crit Care Med, 2018, 22(9): 678-679. DOI:10.4103/ijccm.IJCCM_182_18 |
| [5] | Brook I. Current concepts in the management of Clostridium tetani infection[J]. Expert Rev Anti Infect Ther, 2008, 6(3): 327-336. DOI:10.1586/14787210.6.3.327 |
| [6] | 中国医师协会急诊医师分会, 中国人民解放军急救医学专业委员会, 北京急诊医学学会, 等. 成人破伤风急诊预防及诊疗专家共识[J]. 中华急诊医学杂志, 2018, 27(12): 1323-1332. DOI:10.3760/cma.j.issn.1671-0282.2018.12.003 |
| [7] | Heever TVD, Spruyt MGL. The treatment of autonomic dysfunction in tetanus[J]. Southern African Journal of Critical Care, 2017, 33(1): 28-31. DOI:10.7196/SAJCC.2017.v33i1.274 |
| [8] | Houari N, Benjira R, Laamarti H, et al. Severe tetanus in intensive care unit: about 20 cases[J]. Journal of Medical and Surgical Research, 2018, 5(3): 483-489. |
| [9] | Shetty RM, Bellini A, Wijayatilake DS, et al. BIS monitoring versus clinical assessment for sedation in mechanically ventilated adults in the intensive care unit and its impact on clinical outcomes and resource utilization[J]. Cochrane Database Syst Rev, 2018, 2: CD011240. DOI:10.1002/14651858.CD011240.pub2 |
2023, Vol. 32



