中华急诊医学杂志  2023, Vol. 32 Issue (1): 101-104   DOI: 10.3760/cma.j.issn.1671-0282.2023.01.017
儿童负压性肺水肿临床特征分析
屠楠1,2 , 林思琪1 , 姜源1 , 黄美霞1 , 程蓓蕾1 , 金国萍3 , 陈志敏1     
1. 浙江大学医学院附属儿童医院呼吸科、国家儿童健康与疾病临床医学研究中心,杭州 310052;
2. 绍兴文理学院附属医院儿科,绍兴 312000;
3. 浙江大学医学院附属儿童医院 内镜中心、国家儿童健康与疾病临床医学研究中心,杭州 310052

负压性肺水肿(negative pressure pulmonary edema, NPPE)又称为梗阻后肺水肿,是一种潜在危及生命的并发症,引起上呼吸道梗阻的各种原因都有可能导致NPPE。儿童NPPE并不常见,为了提高临床医师对儿童NPPE临床特征的认识,本研究对18例NPPE儿童进行回顾性分析。

1 资料与方法 1.1 一般资料

本研究采用回顾性分析方法,收集2017年1月至2021年2月在浙江大学医学院附属儿童医院内科住院的NPPE患儿为研究对象。纳入标准:符合NPPE诊断标准(1)有上呼吸道梗阻的病史; (2)上呼吸道梗阻后出现气促、呼吸困难等临床表现; (3)影像学(胸部CT或胸片)提示有肺水肿表现; (4)临床表现及影像学改变在数天内快速缓解。排除标准:(1)有先天性心脏病、神经肌肉疾病、遗传代谢疾病、肾脏疾病、肝脏疾病等基础疾病; (2)有溺水、颅脑创伤、吸入性肺炎、严重感染、休克、胸腔积液、药物中毒、除呼吸衰竭外的其他脏器功能衰竭; (3)近期有上呼吸道手术病史。本研究获得浙江大学医学院附属儿童医院伦理委员会审查批准(2021-IRB-163)。

1.2 研究方法

分析NPPE患儿的年龄、性别、诱因、临床表现、体征、影像学检查、支气管镜检查结果,治疗经过及预后。影像学检查包括胸片及胸部CT。部分患儿由于存在异物吸入气管或支气管可能,进行了支气管镜检查。

根据患儿年龄分为婴儿组(< 1岁组)与非婴儿组(≥1岁组),分析两组患儿疾病严重程度的差异。疾病严重程度以是否需要呼吸支持(吸氧或呼吸机支持)来评价。

根据治疗是否使用激素分为激素治疗组与非激素治疗组,分析两组患儿疾病严重程度及病情好转时间是否存在差异。病情好转时间是从患儿出现症状、体征到症状、体征消失且影像学改变明显好转的时间。

1.3 统计学方法

用SPSS 20.0统计软件对数据进行统计学分析。用Fisher精确检验比较婴儿组与非婴儿组需要呼吸支持的患儿数、激素治疗组与非激素治疗组需要呼吸支持的患儿数。非正态连续性资料采用中位数(四分位数)[M(Q1Q3)]表示,用Mann-Whitney U检验比较激素治疗组与非激素治疗组病情好转时间的差异。以P < 0.05为差异有统计学意义。

2 结果

本研究纳入的研究对象共18例,男14例,女4例; 年龄范围在1月10 d~10岁3月。诱因包括异物误吸、急性喉炎、呛奶、抽搐、卫生纸遮住口鼻、全麻拔管后。临床表现有气促、咳嗽、咯血、呼吸困难、口鼻出血。8例患儿肺部听诊有湿啰音,其中1例蚕豆误吸后支气管内存在蚕豆的患儿肺部听诊同时有干啰音。见表 1

表 1 NPPE患儿的临床资料
编号 年龄 性别 诱因 临床表现 体征有无啰音 起病时影像学检查 支气管镜检查结果 是否接受呼吸支持、激素、利尿剂治疗 好转时间(d)
1 1月23 d 呛奶 咳嗽 无啰音 胸片 - - 2
2 2岁 花生误吸 咳嗽 无啰音 胸部CT 肺出血 - 2
3 5月3 d 葡萄误吸 气促 无啰音 胸部CT - 激素 3
4 2月18 d 葡萄误吸 咳嗽气促 湿啰音 胸部CT 未见异物 鼻导管吸氧,激素 3
5 1月10 d 葡萄误吸 咳嗽气促 湿啰音 胸部CT 未见异物 鼻导管吸氧,激素 2
6 1岁9月 喉炎喉梗阻 咳嗽气促 无啰音 胸片 - 呼吸机支持,激素 3
7 1岁7月 蚕豆误吸 咳嗽气促 干湿啰音 胸片 肺出血右主支气管有蚕豆 呼吸机支持,激素 3
8 6月10 d 葡萄误吸 咳嗽气促 湿啰音 胸部CT - 激素 2
9 1岁1月 抽搐 咳嗽气促 湿啰音 胸片 - 鼻导管吸氧 3
10 1岁 喉炎喉梗阻 咳嗽气促 湿啰音 胸片 - 呼吸机支持,激素 3
11 4岁 糖果误吸 咳嗽 无啰音 胸部CT 未见异物 - 1
12 3月 卫生纸遮住口鼻 口鼻出血 无啰音 胸部CT - 鼻导管吸氧 3
13 3月 呛奶 咳嗽 无啰音 胸片 - - 3
14 7月 李子误吸 咳嗽 无啰音 胸部CT 未见异物 - 3
15 9月 香蕉泥误吸 气促 无啰音 胸部CT - 鼻导管吸氧 3
16 8月 石榴误吸 咳嗽气促 无啰音 胸部CT 未见异物 鼻导管吸氧,激素 3
17 10岁3月 全麻术后 呼吸困难咯血 湿啰音 胸片 - 呼吸机支持,激素,利尿剂 3
18 2岁8月 抽搐 湿啰音 胸片 - 鼻导管吸氧 3

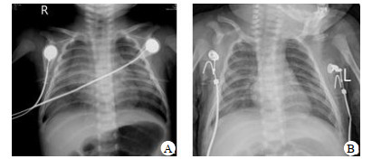
1例1月10 d患儿吸痰时有淡血性分泌物,7例患儿接受了支气管镜检查,2例发现有肺出血,其中1例发现支气管异物(蚕豆)。影像学检查包括胸片与胸部CT,见图 1图 2。NPPE的治疗包括呼吸支持、利尿剂、激素。所有患儿均在3 d内病情好转。

A为入院时胸片提示两肺渗出性病变,透亮度减低; B为2 d后复查胸片明显好转 图 1 1例1月10 d的NPPE患儿胸片

A为入院时胸部CT提示两肺磨玻璃样改变; B为7 d后复查胸部CT明显好转 图 2 1例5月3 d的NPPE患儿胸部CT

婴儿组与非婴儿组需要呼吸支持的患儿数差异无统计学意义(5/10 vs. 6/8,P=0.278)。激素治疗组和非激素治疗组需要呼吸支持的患儿数差异无统计学意义(7/9 vs. 4/9,P=0.335),病情好转时间差异无统计学意义[3.0(2.5, 3.0) d vs. 3.0(2.0, 3.0) d,P=0.666]。

3 讨论

NPPE是一种非心源性肺水肿,严重时会危及生命。从1973年儿童NPPE被报道后[1],不同原因诱发的儿童NPPE被相继报道[2-10]。NPPE的发生与吸气过程中产生较大的胸腔负压有关,较大的胸腔负压可增加静水压,导致间质和肺泡水肿[11-13]

NPPE根据病因不同有两种分型,Ⅰ型发生在上气道梗阻后,包括喉痉挛、会厌炎、喉炎、窒息或呼吸道异物、气管内插管堵塞、喉部肿瘤、甲状腺肿、传染性单核细胞增多症、术后声带麻痹、溺水等; Ⅱ型发生在慢性气道部分性梗阻解除后,如上气道肿瘤切除术后、扁桃体切除术后、腺样体切除术后、后鼻孔狭窄矫正术后[14]

本研究纳入了18例未接受上呼吸道手术的NPPE患儿,诱因包括异物误吸、急性喉炎、呛奶、抽搐、卫生纸遮住口鼻、全麻拔管后喉痉挛,这些诱因引起了短暂的上呼吸道梗阻,均为Ⅰ型NPPE。异物误吸可能引起窒息,也可出现异物进入气管或支气管。支气管异物患儿在异物吸入后可出现Ⅰ型NPPE[14],少数患儿在去除支气管异物后出现Ⅱ型NPPE[15-16]。本研究纳入的18例患儿中有10例存在异物误吸,年龄在1月10 d~4岁,这个年龄患儿易发生误吸,误吸后可能出现NPPE。4例葡萄误吸患儿年龄在1月10 d~6月10 d,均由于家长拿葡萄让患儿吸吮,患儿吸入葡萄导致窒息,家长通过拍背等方式及时将葡萄弄出以解除上呼吸道梗阻,不久患儿出现了NPPE。异物误吸患儿中仅有1例患儿在支气管镜检查中发现支气管内有异物,其余9例患儿虽有异物误吸,但异物未进入气管及支气管。支气管内有异物的患儿在转来本院时听诊有干湿啰音,气管镜进入气管后发现气道内有淡血性分泌物,说明去除异物前已发生NPPE,即Ⅰ型NPPE。本研究中有2例患儿在抽搐后出现NPPE,可能由于抽搐发作后喉痉挛[17]或抽搐发作时舌后移导致上呼吸道阻塞[18]。1例3月龄患儿在家长离开约10 min后被发现有卫生纸遮住口鼻,当时患儿有口鼻出血,该患儿NPPE的诱因是窒息,婴幼儿窒息后可能出现口鼻出血[19-20]。1例10岁3月的患儿在全麻下进行非上呼吸道手术,术后拔管后出现NPPE,考虑与全麻拔管后喉痉挛有关; 拔管期间不刺激患者、在患者完全清醒后拔管有助于减少喉痉挛的发生[10]

NPPE患儿可能出现呼吸困难、进行性紫绀、焦虑、呼吸做功增加,口腔中或气管导管吸出粉红色泡沫分泌物,肺部听诊时出现湿啰音[21]。本研究纳入的18例患儿中1例婴儿有口鼻出血,1例婴儿在吸痰时发现有淡血性分泌物,1例儿童有咯血,2例没有咯血临床表现的幼儿在气管镜下发现有肺出血,这可能与较高的胸腔负压有关。

NPPE患儿影像学显示肺水肿,表现为双肺磨玻璃样改变或双肺内中带分布的不规则模糊阴影[3-4],NPPE患者也可能出现中央为主的实变影[22]。NPPE影像学没有特异性,需要结合病史与其他原因引起的肺水肿鉴别,在积极治疗后,NPPE影像学多在数天内明显好转。Tsai等[23]发现全麻后发生NPPE患者与未发生NPPE患者相比男性更多,似乎也更年轻,这可能与年轻男性能产生更大的胸腔负压有关[24]。本研究比较了婴儿组与非婴儿组NPPE患儿疾病严重程度的差异,发现两组患儿需要呼吸支持的患儿数差异无统计学意义,提示是否为婴儿并未影响NPPE的严重程度。

NPPE患儿的治疗主要是在快速缓解呼吸道梗阻后给予必要的呼吸支持治疗[11],其他治疗包括利尿剂及激素。由于血管压力升高,在容量及肾功能允许下应用利尿剂可能会加速肺水肿的缓解[11]。本研究中1例手术后NPPE患儿接受了利尿剂治疗。激素的使用存在争议[14],本研究探索了激素对NPPE病情好转时间的影响,发现激素治疗组和非激素治疗组需要呼吸支持的患儿数和病情好转时间均差异无统计学意义,提示激素治疗对NPPE病情好转时间无显著影响。NPPE预后较好,轻症患儿可自行好转,严重患儿在解除梗阻后经及时的呼吸支持治疗可较快缓解。患者肺水肿消退快与没有持续存在的静水压及肺泡液体清除率正常有关[11]

由于临床医师对NPPE的认识存在不足,很多NPPE患儿并未得到NPPE的诊断。既往儿童NPPE文章多为病例报道及文献复习,本文对儿童NPPE临床特征进行回顾性分析,有助于提高临床医生对NPPE的认识,提高诊断能力。本研究纳入的病例不包括进行了上呼吸道手术的患者,大部分病例是在呼吸内科就诊的患者,病例数量较少,存在一定的偏倚,今后需要更大样本的研究。

有上气道梗阻病史的患儿出现气促、咳嗽、咯血、呼吸困难等症状,需要警惕NPPE,结合肺部体征及影像学检查可明确诊断,儿童NPPE的治疗主要是及时解除呼吸道梗阻及给予必要的呼吸支持治疗,及时治疗预后好。

利益冲突   所有作者声明无利益冲突

作者贡献声明   屠楠、姜源:论文撰写; 屠楠、林思琪、黄美霞、程蓓蕾:数据收集与整理; 姜源、林思琪、金国萍:数据分析; 陈志敏:论文修改与指导; 姜源、金国萍、陈志敏:经费支持

参考文献
[1] Capitanio MA, Kirkpatrick JA. Obstructions of the upper airway in children as reflected on the chest radiograph[J]. Radiology, 1973, 107(1): 159-161. DOI:10.1148/107.1.159
[2] Toukan Y, Gur M, Bentur L. Negative pressure pulmonary edema following choking on a cookie[J]. Pediatr Pulmonol, 2016, 51(7): E25-E27. DOI:10.1002/ppul.23385
[3] 陈杰华, 王姝, 马红玲, 等. 负压性肺水肿四例临床分析[J]. 中华儿科杂志, 2014, 52(2): 122-127. DOI:10.3760/cma.j.issn.0578-1310.2014.02.010
[4] 孙静敏, 金丹群, 许愿愿, 等. 上气道梗阻并发负压性肺水肿三例临床分析[J]. 中华儿科杂志, 2014, 52(7): 531-534. DOI:10.3760/cma.j.issn.0578-1310.2014.07.012
[5] Chen IC, Chen KH, Tseng CM, et al. Croup-induced postobstructive pulmonary edema[J]. Kaohsiung J Med Sci, 2010, 26(10): 567-570. DOI:10.1016/S1607-551X(10)70088-7
[6] Silva PS, Monteiro Neto H, Andrade MM, et al. Negative-pressure pulmonary edema: a rare complication of upper airway obstruction in children[J]. Pediatr Emerg Care, 2005, 21(11): 751-754. DOI:10.1097/01.pec.0000186430.92388.a6
[7] Toukan Y, Gur M, Keshet D, et al. Negative pressure pulmonary edema in a child following laryngospasm triggered by a laryngeal mask[J]. Isr Med Assoc J, 2019, 21(1): 56-57.
[8] Li Q, Zhou L. Imaging characteristics and mechanism of negative pressure pulmonary edema in children: three case reports[J]. Cardiol Young, 2022, 32(7): 1158-1161. DOI:10.1017/S1047951121004443
[9] Barman P, Basu S, Thakur I, et al. Negative pressure flash pulmonary edema in a child with hereditary angioedema[J]. Pediatr Allergy Immunol, 2022, 33(7): e13825. DOI:10.1111/pai.13825
[10] Lee JH, Lee JH, Lee MH, et al. Postoperative negative pressure pulmonary edema following repetitive laryngospasm even after reversal of neuromuscular blockade by sugammadex: a case report[J]. Korean J Anesthesiol, 2017, 70(1): 95-99. DOI:10.4097/kjae.2017.70.1.95
[11] Bhattacharya M, Kallet RH, Ware LB, et al. Negative-pressure pulmonary edema[J]. Chest, 2016, 150(4): 927-933. DOI:10.1016/j.chest.2016.03.043
[12] Lemyze M, Mallat J. Understanding negative pressure pulmonary edema[J]. Intensive Care Med, 2014, 40(8): 1140-1143. DOI:10.1007/s00134-014-3307-7
[13] Fremont RD, Kallet RH, Matthay MA, et al. Postobstructive pulmonary edema: a case for hydrostatic mechanisms[J]. Chest, 2007, 131(6): 1742-1746. DOI:10.1378/chest.06-2934
[14] Udeshi A, Cantie SM, Pierre E. Postobstructive pulmonary edema[J]. J Crit Care, 2010, 25(3): 508. e1-5. DOI:10.1016/j.jcrc.2009.12.014
[15] Masuda A, Asano F, Tsuzuku A, et al. Postobstructive pulmonary edema that developed immediately after the removal of an endobronchial foreign body[J]. Intern Med, 2015, 54(5): 497-502. DOI:10.2169/internalmedicine.54.3027
[16] Li Q, Zhou L. A rare case of type Ⅱ negative pressure pulmonary edema following extraction of inhaled peanuts in a 21-month-old boy[J]. J Int Med Res, 2021, 49(9): 3000605211047779. DOI:10.1177/03000605211047779
[17] Tavee J, Morris H 3rd. Severe postictal laryngospasm as a potential mechanism for sudden unexpected death in epilepsy: a near-miss in an EMU[J]. Epilepsia, 2008, 49(12): 2113-2117. DOI:10.1111/j.1528-1167.2008.01781.x
[18] Contou D, Voiriot G, Djibré M, et al. Clinical features of patients with diffuse alveolar hemorrhage due to negative-pressure pulmonary edema[J]. Lung, 2017, 195(4): 477-487. DOI:10.1007/s00408-017-0011-8
[19] Hey E. Sudden oronasal bleeding in a young child[J]. Acta Paediatr, 2008, 97(10): 1327-1330. DOI:10.1111/j.1651-2227.2008.00945.x
[20] Rees P, Kemp A, Carter B, et al. A systematic review of the probability of asphyxia in children aged < 2 years with unexplained epistaxis[J]. J Pediatr, 2016, 168: 178-184. e10. DOI:10.1016/j.jpeds.2015.09.043
[21] Thiagarajan RR, Laussen PC. Negative pressure pulmonary edema in children: pathogenesis and clinical management[J]. Paediatr Anaesth, 2007, 17(4): 307-310. DOI:10.1111/j.1460-9592.2007.02197.x
[22] Holzgreve A, Fabritius MP, Conter P. CT findings in negative pressure pulmonary edema[J]. Diagnostics (Basel), 2020, 10(10): 749. DOI:10.3390/diagnostics10100749
[23] Tsai PH, Wang JH, Huang SC, et al. Characterizing post-extubation negative pressure pulmonary edema in the operating room-a retrospective matched case-control study[J]. Perioper Med (Lond), 2018, 7: 28. DOI:10.1186/s13741-018-0107-6
[24] Krodel DJ, Bittner EA, Abdulnour R, et al. Case scenario: acute postoperative negative pressure pulmonary edema[J]. Anesthesiology, 2010, 113(1): 200-207. DOI:10.1097/ALN.0b013e3181e32e68