2. 郑州大学第一附属医院神经内科,郑州 450000
2. Department of Neurology, The First Affiliated Hospital of Zhengzhou University, Zhengzhou 450000, China
敌草快(diquat, DQ)属联吡啶类化合物,是一种中等毒性的除草剂[1]。其主要靶器官包括肾脏、肝脏、肺、胃肠道、心血管系统和中枢神经系统[2-3]。敌草快对中枢神经细胞具有毒性作用,出现中枢神经系统症状常提示预后不良[4]。中毒性脑病是指机体内外各种中毒因素作用于中枢神经系统,导致脑功能不同程度障碍而出现的一系列临床症状[5]。然而,DQ相关中毒性脑病早期容易漏诊,病死率极高,相关文献报道并不多见,中文文献报道仅见2篇[6-7],临床医师对此认识并不深刻。现报道本院收治的7例急性DQ相关中毒性脑病的诊疗过程(郑州大学第一附属医院伦理号:2020-KY-017),旨在为DQ相关中毒性脑病影像学特征的认识和早期治疗提供参考。
1 资料与方法 1.1 一般情况2021年4月至2022年4月本院收治农药中毒171例,其中敌草快中毒87例(50.88%),7例出现DQ相关中毒性脑病表现(见表 1)。其中男2例,女5例,年龄14~57岁,平均31岁,10~40 g口服量23.14 g,平均来院时间13.14 h。
| 病例 | 性别 | 年龄(岁) | 口服量(g) | 入院时间(h) | 首次出现神经系统症状 | 影像学结果 | 预后 | ||
| 时间(h) | 表现 | 时间(h) | 结局 | ||||||
| 病例1 | 男 | 21 | 20 | 5 | 46 | 全身强直性阵挛发作 | CT(3 d):丘脑、脑干密度减低。脑干梗死,脑弥漫性肿胀 | 96 | 死亡 |
| 病例2 | 女 | 26 | 10 | 15 | 96 | 昏迷 | CT(4 d): 双侧基底节区、丘脑、脑干密度弥漫性减低MRI(7 d): 胼胝体压部、双侧丘脑、基底节区、脑干异常信号 | — | 存活 |
| 病例3 | 男 | 33 | 12 | 28 | 28 | 烦躁、抽搐 | CT(2 d):左侧额叶小片状低密度,余未见明显异常 | 40 | 死亡 |
| 病例4 | 女 | 14 | 40 | 4 | 96 | 烦躁、抽搐 | CT(6 d): 脑干及双侧丘脑低密度灶 | — | 存活 |
| 病例5 | 女 | 48 | 40 | 24 | 5 | 昏迷 | CT(2 d): 双侧基底节区及丘脑低密度影,脑桥低密度影 | 48 | 死亡 |
| 病例6 | 女 | 57 | 20 | 12 | 10 | 昏迷 | CT(1 d): 右侧半卵圆中心及双侧丘脑、桥脑密度减低,脑水肿 | 48 | 死亡 |
| 病例7 | 女 | 18 | 20 | 4 | 432 | 烦躁、抽搐 | MRI(27 d): 双侧顶枕叶、双侧丘脑异常信号 | — | 存活 |
| 注:入院时间、首次出现神经系统症状时间、预后时间均为服药至相关事件发生的时间 | |||||||||
口服DQ后7例均出现烦躁、意识障碍,3例分别在服药后5 h、10 h、96 h出现昏迷,3例在28 h、96 h、432 h出现抽搐,1例在46 h出现全身强直性阵挛发作。
1.3 辅助检查7例患者的毒物筛查:床旁硫代硫酸钠实验尿检均呈绿色,血液中毒及毒物筛查:敌草快呈阳性,其他毒物检测结果呈阴性。首次出现神经系统症状当天的电解质、动脉血气、肝肾功能结果(见表 2),排除水电解质紊乱、循环障碍、肝肾功能障碍引起的中枢神经系统表现。7例均有CT结果,2例有MRI结果,7例影像学结果均表现为丘脑、脑干异常信号,2例出现弥漫性脑水肿。
| 病例 | 病例1 | 病例2 | 病例3 | 病例4 | 病例5 | 病例6 | 病例7 |
| 电解质 | |||||||
| Na+(mol/L) | 138 | 136 | 150 | 134 | 138 | 144 | 147 |
| Cl-(mol/L) | 94 | 104 | 97 | — | — | 104 | 114 |
| Ca2+(mol/L) | 1.19 | 1.09 | 0.85 | 1.01 | 1.00 | 0.97 | 1.22 |
| 动脉血气 | |||||||
| pH | 7.469 | 7.421 | 7.568 | 7.47 | 7.3 | 6.951 | 7.155 |
| PO2(mmHg) | 145 | 116 | 113 | 114 | 74 | 218 | 75.5 |
| PCO2(mmHg) | 42 | 37.5 | 34.6 | 29 | 36 | 22.6 | 54.4 |
| 乳酸(mol/L) | 2.9 | 1.1 | 6.5 | 1.7 | 4.3 | 22 | 3.1 |
| 肾功能 | |||||||
| 肌酐(μmol/L) | 305 | 236 | 323 | 195 | 262 | 231 | 470 |
| 尿素(mol/L) | 17.5 | 18.1 | 19.9 | 8.3 | 8.9 | 8.6 | 23.3 |
| 肝功能 | |||||||
| 谷丙转氨酶(U/L) | 1222 | 123 | 690 | 142 | 523 | 812 | 22 |
| 谷草转氨酶(U/L) | 1190 | 48 | 538 | 30 | 651 | 803 | 26 |
| 总胆红素(μmol/L) | 6.7 | 18.3 | 9 | 8.4 | 7.4 | 10.9 | 11.4 |
入院后均给予洗胃、舒泰清导泻,血液灌流、床旁连续性静脉-静脉血液滤过,甲泼尼龙、血必净、谷胱甘肽,镇静镇痛药物应用等敌草快中毒常规诊治。其中4例死亡(40 h、48 h、48 h、96 h),3例存活,清醒时距口服DQ平均时间29.3 d(24 d、30 d、34 d),2例恢复正常生活学习,1例遗留精神行为异常,第105天复查头颅MRI桥脑及中脑异常信号,较前变化不大。
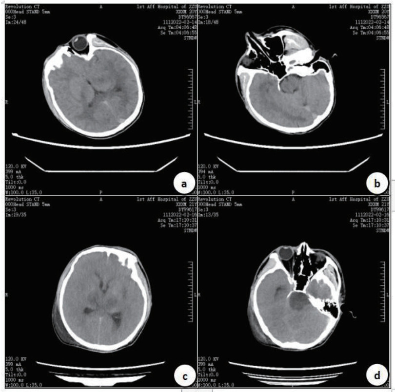
2 典型病例病例1:患者男,21岁,以“口服敌草快100 mL 5 h”代主诉入院,既往体健。体格检查:体温37.5℃,脉搏130次/min,呼吸30次/min,血压120/82 mmHg(1 mmHg=0.133 kPa),烦躁,对答不切题,定向障碍,查体不配合,心肺听诊未见明显异常,病理征阴性。实验室检查:血常规:白细胞(WBC)24.16×109/L、红细胞(RBC)5.06×1012/L、血小板(PLT)231×109/L,中性粒细胞百分比(N%) 91.6%。肝功能:谷草转氨酶(AST)43 U/L,谷丙转氨酶(ALT)25 U/L。肾功能:肌酐(Cr)105 μmol/L,肾小球滤过率63.965 mL/min/1.73 m2。动脉血气分析:pH 7.482,动脉血氧分压(PO2)89.4 mmHg,二氧化碳分压(PCO2)30.50 mmHg,实际碳酸氢根(HCO3-)22.80 mmol/L,乳酸1.6 mmol/L。入院查头颅CT未见明显异常(见图 1)。距服药时间36出现氧和不能维持,行气管插管接呼吸机辅助通气,46 h出现抽搐、全身强直性阵挛发作,查体见双侧瞳孔散大固定,牙关紧闭,全身肌张力增强、角弓反张,给予地西泮、苯巴比妥抗癫痫药物应用后癫痫样发作症状可被控制,但出现血压下降至60~80/30~40 mmHg,给予补液、升压药物应用。61 h后行头颅CT检查示:丘脑、脑干密度减低。脑干梗死,脑弥漫性肿胀。自动离院后死亡。
|
| 入院时头颅CT(a、b),入院61 h后头颅CT(c、d)示:脑实质灰白质分界不清,脑沟、脑裂变浅,部分脑池变窄,枕大池显示不清,丘脑、脑干密度减低,小脑扁桃体似向下移位,小脑幕及大脑镰密度稍增高,中线结构居中。 图 1 病例1的CT结果 Fig 1 CT results of Case 1 |
|
|
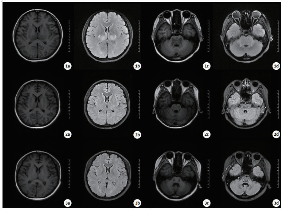
病例2:患者女,26岁,以“口服敌草快50 mL 15 h”代主诉入院,急至当地医院给予洗胃、导泻,后出现头晕、头痛,双下肢麻木,伴不自主抽搐,体格检查:体温37.2℃,脉搏68次/min,呼吸22次/min,血压166/102 mmHg,入院查体未见明显异常。完成实验室检查,血常规WBC 25.12×109/L、RBC 3.26×1012/L、PLT 132×109/L,N% 96.6%;肝功能:AST 284 U/L,ALT 237 U/L;肾功能:Cr 224μmol/L,eGFR 25.327 mL/min/1.73 m2; 血气分析:pH 7.48,PO2 131 mmHg, PCO2 17.3 mmHg,HCO3- 21.00 mmol/L, Lac 1.4 mmol/L。给予导泻、护胃,血液透析、血液灌流,糖皮质激素等治疗同前。入院第2天出现神志模糊、烦躁,第3天出现言语错乱,第4天出现昏迷、GCS评分4分(E1V1M2), 查头颅CT: 双侧基底节区、丘脑、脑干密度弥漫性减低。第7天查头颅MRI(如图 2)。考虑中毒性脑病,给予甘露醇降颅压,依达拉奉、维生素B1、甲钴胺、醒脑静等营养神经、促醒药物应用。第34天患者清醒,出现精神行为异常,智力下降、狂躁、暴饮暴食,第60天复查MRI(如图 2): 桥脑及中脑可见对称性斑片状长T1长T2信号影。左侧额叶、右侧顶叶见少许点片状稍长T2信号影。双侧乳突区见斑片状高信号。第105天MRI: 较前变化不大。患者精神行为异常较前未见明显变化,MOCA评分:26分,MMSE(简易智能精神状态量表)评分:29分,均正常(现仍随访中)。
|
| 入院第7天的MRI显示,T1WI(1a和1c)、T2WI(1b和1d): 胼胝体压部、双侧丘脑、双侧基底节区、脑干异常信号。第60天、第105天MRI显示,T1WI(2a和2c、3a和3c)、T2WI(2b和2d、3b和3d): 左侧额叶、右侧顶叶见少许点片状稍长T2信号影,黑水像呈稍高信号。桥脑及中脑可见对称性斑片状长T1长T2信号影,黑水像中心呈高信号,边缘环绕低信号。 图 2 病例2的MRI结果 Fig 2 MRI results of Case 2 |
|
|
敌草快主要通过产生氧自由基的脂质过氧化作用影响细胞膜,导致细胞死亡和多器官衰竭[2-3]。急性DQ中毒后中枢神经系统并发症很少见,其神经毒性机制尚不明确。1983年,Mccarthy等[8]总结了11例急性DQ中毒病例,其中所有死亡患者(6/11,54.54%)均出现中枢神经系统并发症。然而,本研究发现并不是所有出现中枢神经系统并发症患者均死亡。
于是,笔者分别以“敌草快”、“中毒”为关键词在中国知网、万方数据,以“Diquat”、“Poisoning”为关键词在Pubmed检索建库至今的相关中英文文献。检索到中文文献212篇,英文140篇,排除研究数据不全的摘要、综述、系统评价、经验总结、理论探讨等文献,剔除其中341篇,最终对纳入研究的11篇中英文文献进行分析,其中中文文献2篇,英文文献9篇,共纳入患者15例(见表 3):其中男性10例,女性5例;平均年龄29.17岁(2~64岁),20~30岁占40.0%(6/15),平均服药剂量21.6 g(4~60 g)。1例出现烦躁、抽搐,1例出现谵妄,2例有全身强直性阵挛发作,6例出现昏迷。最早出现全身强直性阵挛发作时间为服药后12.5 h,最早出现谵妄时间为48 h,最早昏迷出现时间72 h,平均时间96 h(72~120 h)。平均死亡时间191.57 h(14~624 h)。8例有尸检结果,9例有影像学报告。仅2例存活,余死亡,病死率高达86.7%(13/15)。
| 病例 | 性别 | 年龄(岁) | 口服量(g) | 入院时间(h) | 首次出现神经系统症状 | 影像学结果 | 预后 | 尸检结果 | ||
| 时间(h) | 表现 | 时间(h) | 结局 | |||||||
| 1[2] | 男 | 20 | 18 | 0.66 | 48 | 谵妄 | MRI(18 d):脑桥中央髓鞘溶解 | — | 存活 | — |
| 2[2] | 男 | 20 | 20 | — | 72 | 烦躁、抽搐 | CT(12 d):脑干区域密度减低 | 432 | 死亡 | — |
| 3[2] | 男 | 31 | 10 | — | 72 | 昏迷 | MRI(4 d):脑桥中央髓鞘溶解 | — | 存活 | — |
| 4[5] | 女 | 24 | 60 | 4 | 17 | 烦躁、抽搐 | — | 18 | 死亡 | — |
| 5[6] | 女 | 32 | 8 | 1 | 43.5 | 全身强直阵挛发作 | — | 65.5 | 死亡 | — |
| 6[7] | 男 | 64 | — | — | — | 嗜睡、昏迷 | CT(5 d):左脑桥、中脑梗死 | 432 | 死亡 | 脑桥和左内囊区域异常,大脑切面可见出血区域与多个梗死融合区 |
| 7[8] | 男 | 21 | 20 | 5 | 120 | 昏迷 | CT(5 d):脑桥低密度MRI(11 d):急性脑桥脱髓鞘 | 360 | 死亡 | — |
| 8[9] | 男 | 2 | — | 6 | 45 | 全身强直阵挛发作 | CT:脑干和中央灰质密度降低, 弥漫性脑水肿, 小脑扁桃体疝 | 72 | 死亡 | — |
| 9[10] | 女 | 16 | 10 | — | 昏迷 | — | 18 | 死亡 | 桥脑血管周围出血,毛细血管壁坏死 | |
| 10[10] | 女 | 60 | 4 | — | — | 昏迷 | — | 120 | 死亡 | 脑桥背侧有一大片出血性坏死区 |
| 11[11] | 男 | 2.5 | — | 3 | 96 | 嗜睡、昏迷 | CT(6 d):脑干中密度减低,皮质沟和脑室消失 | 143 | 死亡 | 局限于脑桥的异常,脑桥斑驳且呈紫色。小面积出血与多个小面积融合梗死区域 |
| 12[12] | 女 | 57 | — | — | 96 | 昏迷 | CT:基底节和脑干的对称性衰减,与脑干肿胀一致 | 168 | 死亡 | 双侧脑干出血和坏死 |
| 13[13] | 男 | 37 | 60 | 1 | — | — | EEG(14 d):两个颞区癫痫波持续发作 | 624 | 死亡 | 弥漫性脑水肿,基底节区血管周围出血灶 |
| 14[14] | 男 | 28 | — | — | 19 | 全身强直阵挛发作 | — | 24 | 死亡 | 弥漫性脑水肿 |
| 15[15] | 男 | 23 | 6 | 1 | 12.5 | 全身强直阵挛发作 | — | 14 | 死亡 | DQ在大脑的分布组织浓度为2.11 ppm |
| 注:入院时间、首次出现神经系统症状时间、预后时间均为服药至相关事件发生的时间 | ||||||||||
在DQ中毒患者中,并发中毒性脑病患者的服毒量明显高于无中毒性脑病患者[17],但在我们共收集到的22例患者中,神经功能预后和估计服毒量未见明显平行关系,考虑患者服药后呕吐量、洗胃时间及程度导致药物进入体内的剂量差别较大,研究的不足之处在于未能进行毒物定量检测及毒物浓度的追踪;而院前洗胃时机与灌洗量对体内残留药物浓度的影响很大[18],可能是导致本研究患者预后与服毒量无相关性的原因。首次出现昏迷、全身强直性阵挛等中毒性脑病症状的时间和严重程度与口服剂量可能存在一定相关性,而出现神经系统症状的时间早晚不一,可能与DQ在血液、中枢神经达到峰值时间不同相关[19],DQ在脑脊液中何时达到峰值、如何透过血脑屏障,本团队仍在努力探索中。首次出现神经系统症状时间>48 h患者出院存活率远高于≤48 h者,而性别、年龄、估计口服量、首次出现神经系统症状的表现类型与出院存活率之间未发现相关性。7例存活病例出现神经系统症状的时间均较晚,本院3例存活患者清醒时间在服药后30 d左右;而出现神经系统症状时间越早,提示预后不良的可能性越大。
本研究观察到DQ相关中毒性脑病的临床表现包括:烦躁、抽搐,嗜睡、谵妄,全身强直性阵挛发作、昏迷等。有研究报道,急性中毒性脑病多以对称性基底核团受累为主,但可累及脑皮质及脑白质[20]。急性乙醇中毒者病变仅累及双侧脑实质而白质区、基底核团不受累[20];有机溶剂中毒者发病部位主要为大脑半球白质、苍白球[21]。而DQ中毒者脑损伤主要累及脑桥、中脑以及基底节和丘脑等其他脑区,且有报道DQ中毒出现典型的脑桥中央髓鞘溶解影像学表现[2, 10]。这种特定的脑区损害可能与DQ诱导产生氧化应激/亚硝化应激有关,而皮质、纹状体和海马等脆弱的大脑区域由于其在中枢神经系统中的特殊解剖结构和功能,容易受到氧化/亚硝化损伤[22]。这种特征性的影像学表现提示DQ中毒患者预后不佳的可能性大。另一学说表明[23],与百草枯相比,DQ氧化还原电位更高,DQ在氧化还原循环中产生活性氧的效率是百草枯的1 040倍,在产生过氧化物方面的效率大约是百草枯的10倍,对人中脑神经细胞的毒性更大。此外,DQ氧化还原代谢消耗大量O2可能是DQ神经毒性的另一个促成因素。
在病例1中,笔者观察到患者在服药36 h后出现头痛、呕吐加剧,随后出现全身性强直性阵挛发作,双侧瞳孔均散大,对光反应消失。头颅CT检查提示小脑扁桃体疝形成,考虑脑水肿形成脑疝压迫延髓,发生呼吸、循环衰竭。这可能是因为DQ中毒后引起的血管源性水肿和细胞毒性水肿同时存在,导致严重脑水肿,甚至脑疝形成[5]。然而并不是所有出现DQ相关中毒性脑病患者均出现脑水肿表现,可能与人群中脑血流异质性较大和免疫系统炎症反应不同有关,具体机制尚不清楚。文献复习中,笔者发现DQ相关中毒性脑病尸检结果多表现出弥漫性脑水肿、基底节区血管周围出血灶[15],大脑切面多以局限于脑桥的异常为主[13]。这与本研究观察到的临床表现和影像学结果相一致。
而病例2未出现癫痫样症状发作,出现昏迷的时间也较晚,影像学检查未见明显脑水肿表现。这种差异性的表现考虑与特定的神经传导通路相关,具体损伤的机制仍在探索中。此外,我们观察到存活的3例患者均为年轻女性,平均年龄19.3岁(26岁、14岁、18岁),DQ导致的神经毒性表现是否与年龄和性别有关,因本研究观察到的病例数较少、暂不能得出有效结论。但有动物实验[24]表明,雌性大鼠比雄性大鼠更容易耐受DQ所致的氧化应激反应。Djukic等[22]用非选择性一氧化氮合酶抑制剂(NG-nitro-L-arginine methylester,L-NAME)预处理可降低DQ的神经毒性作用,并减少应激/亚硝化对DQ诱导的神经毒性的反应。考虑到动物实验中DQ所致脑区损害的差异较大、与人体神经系统损伤有所不同,可能与脑组织血管供应相关,L-NAME在人体内是否存在相同的保护机制仍有待探究。
目前,对DQ相关中毒性脑病尚无有效的治疗方案。早发现、早诊断,及时应用脱水、营养神经药物是关键。而我们观察到的病例数较少、具体发病机制也尚不清楚,未能提出具体的诊疗方案,仍需积累相关经验,为进一步的研究探索提供参考。
利益冲突 所有作者均声明不存在利益冲突
作者贡献声明 王君君、仝帅:研究设计、起草文章、文章修改;张唐娟、刘明科、赵璐:研究设计,文章修改、审阅;杨耀辉、贾新雅:采集数据、制作图表、文章修改;贾新雅、兰超:文章审阅修改、工作支持理
| [1] | 龙娟, 陈隆望, 卢中秋. 急性除草剂中毒的重要临床进展[J]. 中国实用内科杂志, 2021, 41(3) 194-197, 208. DOI:10.19538/j.nk2021030105 |
| [2] | Yu GC, Jian TZ, Cui SQ, et al. Acute diquat poisoning resulting in toxic encephalopathy: a report of three cases[J]. Clin Toxicol (Phila), 2022, 60(5): 647-650. DOI:10.1080/15563650.2021.2013495 |
| [3] | 张华忠, 孙昊, 陈旭锋, 等. 敌草快中毒致急性肾损伤肾活检2例报道[J]. 中华急诊医学杂志, 2022, 31(8): 1121-1123. DOI:10.3760/cma.j.issn.1671-0282.2022.08.018 |
| [4] | 急性敌草快中毒诊断与治疗专家共识组. 急性敌草快中毒诊断与治疗专家共识[J]. 中华急诊医学杂志, 2020, 29(10): 1282-1289. DOI:10.3760/cma.j.issn.1671-0282.2020.10.002 |
| [5] | 张寿林. 急性中毒性脑病的诊断及处理原则[J]. 工业卫生与职业病, 1992, 18(1): 61-63. DOI:10.13692/j.cnki.gywsyzyb.1992.01.035 |
| [6] | 陈育全, 陈开举, 吕玥, 等. 大剂量敌草快中毒致抽搐死亡1例[J]. 中华劳动卫生职业病杂志, 2022, 40(1): 75-77. DOI:10.3760/cma.j.cn121094-20201119-00636 |
| [7] | 蔡湘龙, 滕飞, 于鑫, 等. 以癫痫样发作为突出表现的急性敌草快中毒四例并文献复习[J]. 中华劳动卫生职业病杂志, 2021, 39(5): 359-362. DOI:10.3760/cma.j.cn121094-20200224-00078 |
| [8] | McCarthy LG, Speth CP. Diquat intoxication[J]. Ann Emerg Med, 1983, 12(6): 394-396. DOI:10.1016/S0196-0644(83)80474-0 |
| [9] | Jović-Stosić J, Babić G, Todorović V. Fatal diquat intoxication[J]. Vojnosanit Pregl, 2009, 66(6): 477-481. DOI:10.2298/vsp0906477j |
| [10] | Xing JH, Chu Z, Han DF, et al. Lethal diquat poisoning manifesting as central pontine myelinolysis and acute kidney injury: a case report and literature review[J]. J Int Med Res, 2020, 48(7): 300060520943824. DOI:10.1177/0300060520943824 |
| [11] | Ness-Cochinwala M, Proaño JS, Bernstein JN, et al. A case of a lethal diquat ingestion in a toddler[J]. J Emerg Med, 2022, 62(2): e16-e19. DOI:10.1016/j.jemermed.2021.10.007 |
| [12] | Vanholder R, Colardyn F, De Reuck J, et al. Diquat intoxication: report of two cases and review of the literature[J]. Am J Med, 1981, 70(6): 1267-1271. DOI:10.1016/0002-9343(81)90836-6 |
| [13] | Powell D, Pond SM, Allen TB, et al. Hemoperfusion in a child who ingested diquat and died from pontine infarction and hemorrhage[J]. J Toxicol Clin Toxicol, 1983, 20(5): 405-420. DOI:10.3109/15563658308990609 |
| [14] | Ruha AM, Wallace K, Tanen DA, et al. Dilute diquat death[J]. Am J Emerg Med, 2001, 19(6): 527-528. DOI:10.1053/ajem.2001.25781 |
| [15] | Hantson P, Wallemacq P, Mahieu P. A case of fatal diquat poisoning: toxicokinetic data and autopsy findings[J]. J Toxicol Clin Toxicol, 2000, 38(2): 149-152. DOI:10.1081/clt-100100930 |
| [16] | Schmidt DM, Neale J, Olson KR. Clinical course of a fatal ingestion of diquat[J]. J Toxicol Clin Toxicol, 1999, 37(7): 881-884. DOI:10.1081/clt-100102471 |
| [17] | 钟丽嫦, 张婷婷, 范远玉, 等. 敌草快致中毒性脑病的护理体会[J]. 中国工业医学杂志, 2022, 35(1): 90-91. DOI:10.13631/j.cnki.zggyyx.2022.01.032 |
| [18] | Jiang YF, Kang J, Huang PP, et al. Evaluation of gastric lavage efficiency and utility using a rapid quantitative method in a swine paraquat poisoning model[J]. World J Emerg Med, 2020, 11(3): 174-181. DOI:10.5847/wjem.j.1920-8642.2020.03.008 |
| [19] | Park J, Kim SC, Jeon Y, et al. Serial blood concentration of polyethoxylated tallow amine and clinical presentations in acute herbicide poisoning[J]. World J Emerg Med, 2022, 13(4): 305-308. DOI:10.5847/wjem.j.1920-8642.2022.061 |
| [20] | 党业天. 急性中毒性脑病的CT诊断[J]. 中外医学研究, 2012, 10(4): 56-57. DOI:10.14033/j.cnki.cfmr.2012.04.028 |
| [21] | 李松涛. 有机溶剂中毒性脑病的磁共振成像诊断[J]. 实用医学影像杂志, 2014, 15(6): 454-455. DOI:10.16106/j.cnki.cn14-1281/r.2014.06.034 |
| [22] | Djukic M, Jovanovic MD, Ninkovic M, et al. Intrastriatal pre-treatment with L-NAME protects rats from diquat neurotoxcity[J]. Ann Agric Environ Med, 2012, 19(4): 666-672. |
| [23] | Nisar R, Hanson PS, He L, et al. Erratum to: Diquat causes caspase-independent cell death in SH-SY5Y cells by production of ROS independently of mitochondria[J]. Arch Toxicol, 2015, 89(10): 1827. DOI:10.1007/s00204-015-1542-5 |
| [24] | Rogers LK, Gupta S, Welty SE, et al. Nuclear and nucleolar glutathione reductase, peroxidase, and transferase activities in livers of male and female Fischer-344 rats[J]. Toxicol Sci, 2002, 69(1): 279-285. DOI:10.1093/toxsci/69.1.279 |
2022, Vol. 31



