2. 蚌埠医学院第一附属医院儿科,蚌埠 233004
盆腔脓肿是急诊外科的常见病,如不及时处理,可能会导致脓毒症危及生命。超声对盆腔脓肿的大小﹑部位﹑内部液体状态与周围组织的关系能够做出准确诊断,还可以对有安全路径的脓肿进行置管引流,能达到与手术切开引流相似的疗效,已成为临床的最常用的治疗手段。有时候由于盆腔脓肿位置深,经腹部路径穿刺引流比较困难,本中心成功在超声引导下经臀穿刺引流治疗盆腔深部脓肿1例,效果满意,现报道如下。
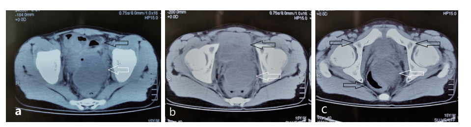
1 资料与方法 1.1 一般资料患者马某某,男,15岁,2019年9月10日以“阑尾切除术后伴腹痛发热6 d”入院。患者8 d前无明显诱因下出现右下腹痛,考虑“急性阑尾炎”,6 d前在当地医院行“阑尾切除术”,术后患者下腹部有持续性疼痛,伴有发热,最高39.3℃,查腹部CT显示:盆腔深部脓肿(图 1),给予抗感染治疗效果不佳,转至蚌埠医学院第一附属医院急诊外科。
|
| 图 1 下腹部CT显示:盆腔深部脓肿,被肠管,膀胱,骨盆遮挡 |
|
|
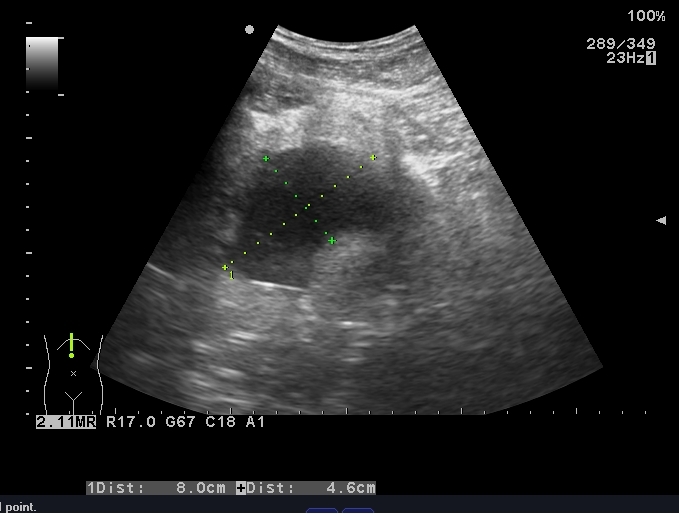
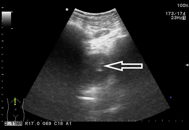
患者入院后完善相关检查,血常规:白细胞6.73×109/L,中性粒细胞4.87×109/L,血小板126×109/L;C-反应蛋白 > 90 mg/L;降钙素原7.6 ng/mL;凝血功能:PT 15 s。盆腔超声显示:骶前间隙可见一80 mm×46 mm的无回声区,内可见斑点样中强回声(图 2)。排除禁忌后,于入院当晚行超声引导下穿刺置管引流术,由于脓肿位置较深,经腹途径有肠管﹑膀胱和直肠的遮挡,所以本中心决定选择超声引导下经臀穿刺引流术。
|
| 图 2 盆腔超声显示:骶前间隙可见一80 mm×46 mm的无回声区,内可见斑点样中强回声 |
|
|
采用ALOKA Prosound α6数字彩色超声诊断设备,配备凸阵探头,频率设定为3.5 MHz;PTC穿刺针(日本八光株式会社);导丝(日本泰尔茂株式会社);一次性腹腔引流导管(郑州迪奥)。
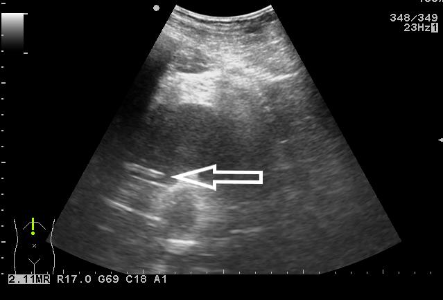
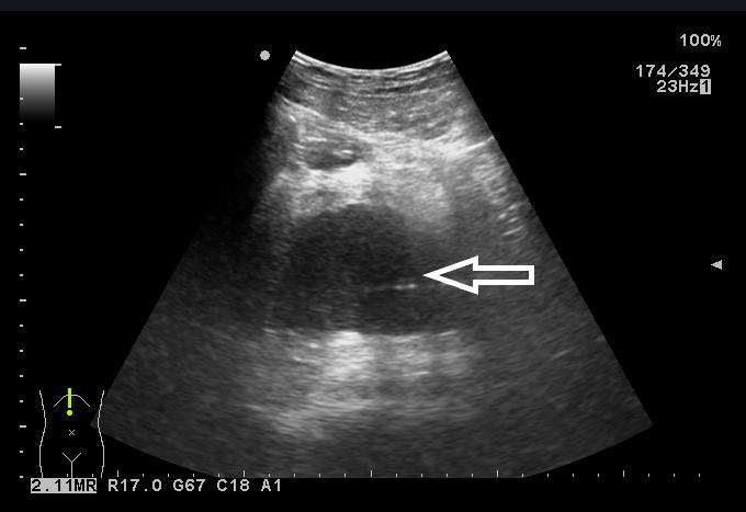
患者取俯卧位,充分暴露手术野,经臀超声扫查了解骶前脓肿情况,确定穿刺点,设计好穿刺路径。常规消毒铺巾,局麻,无菌保护套隔离探头。超声引导下PTC针穿刺直至脓腔边缘,迅速突破囊壁进入脓腔中心(图 3),退出针芯,外接注射器抽吸,见脓液流出(图 4)。将导丝通过针管插入脓腔,固定导丝,拔出针管,刀片沿导丝在臀部做2~3 mm小切口。插入扩张管扩张针道,经导丝将猪尾导管联合支撑管插入脓腔,超声确认穿刺到位(图 5)。拔出导丝,试抽有脓液流出,前推猪尾导管至其前端带侧孔段全部进入脓腔,拔出支撑管,可见液体流出。拉紧导管末端细线使导管尾端呈环状并固定,再次超声检查确定引流管在脓腔内(图 6),用缝线将引流管固定于皮肤上(图 7)。抽出约120 mL脓性液体,生理盐水反复冲洗脓腔,外接无菌引流袋。抽出的脓液取样送细菌培养,并做药物敏感实验。
|
| 图 3 超声引导下PTC针破壁进入脓腔 |
|
|
|
| 图 4 试抽出脓液 |
|
|
|
| 图 5 引流段联合支撑管成功置入脓腔 |
|
|
|
| 图 6 超声显示引流管弯曲在脓腔内 |
|
|
|
| 图 7 用缝线将引流管固定于皮肤上,抽出大量脓液 |
|
|
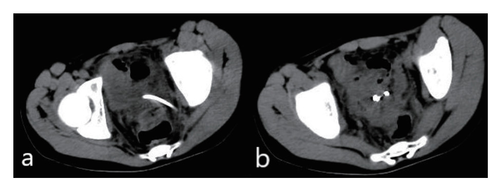
患者术后生命体征平稳,体温正常,引流管通畅,腹痛消失。术后3 d复查,血常规:白细胞6.73×109,中性粒细胞4.87×109;C-反应蛋白21 mg/L;降钙素原0.2 ng/mL;CT显示:盆腔可见引流管影,引流管周围未见明显积液(图 8)。脓液培养显示:大肠埃希菌。于术后4 d夹闭引流管,术后6 d拔除引流管,无明显并发症,顺利出院。术后6个月复查盆腔脓肿无复发。
|
| 图 8 术后腹腔CT显示:盆腔可见引流管影,引流管周围未见明显积液 |
|
|
盆腔脓肿是困扰急诊外科医生的严重感染性病变,近年来随着超声介入技术的迅速发展,经皮穿刺引流已成为盆腔脓肿的主要治疗方法[1]。但若是盆腔脓肿位置较低,由于周围肠管﹑膀胱和骨盆的遮挡,会选择经腔内超声(阴道或直肠)路径穿刺引流[2]。与传统的经腹超声相比,经阴道后穹隆穿刺引流具有进针路径短,安全性和治疗率高的特点,成为成年女性盆腔深部脓肿的首选[3]。经直肠穿刺引流不受周围腹腔脏器的影响,可直接刺入脓腔引流,成功率较高[4-5]。但是,腔内超声引流也有很多缺点: 第一,腔内引流只适用于针刺抽吸,不适合置管引流。一方面,腔内穿刺的引流管固定比较困难,容易脱落;另一方面,长时间的引流,患者存在强烈的不适感,护理起来也不方面[6-7]。第二,经腔内穿刺引流的部位过于隐私,很多患者会直接拒绝[7]。另外,经阴道后穹窿穿刺也不适用于男性和未成年人患者。所以,不适宜腔内穿刺的患者经臀路径穿刺是个不错的选择。
经臀盆腔穿刺路径可以避免腹腔脏器和骨盆的干扰,CT引导下的治疗是一种安全有效的方法[8-9]。但是,CT具有辐射大、不能实时成像、治疗程序复杂﹑花费时间长、需要影像科医生配合等缺点。Walser等[7]首先提出超声引导下经臀穿刺路径治疗盆腔深部脓肿。Lorentzen等[10]也曾使用这种方法为盆腔深部脓肿患者进行引流,取得满意的疗效。但是,这种方法都是借助超声医学科医生完成,本中心是急诊科医生独立完成此项操作,可以为同行借鉴。
首先要取得患者的配合,操作过程中不能乱动。操作者在穿刺之前应精确掌握盆底的解剖结构,并设计好穿刺路径。路径应该尽量选择坐骨大孔下部,靠近尾骨,经骶棘韧带刺入,避免坐骨神经和臀肌血管的损伤。如果经梨状肌穿过,容易发生疼痛和出血[8, 11-12]。因彩色多普勒超声可提示血管管径及走行,可以最大限度的减少出血的发生。
若腔脓较小﹑孤立且液化完全,可用PTC针一次性将液体抽吸干净,脓腔再用生理盐水或甲硝唑冲洗至澄清。对于脓腔较大﹑不规则﹑液化不完全或反复穿刺抽吸后未能治愈者,置管引流可大大缩短治疗时间。一般选择8~12 F的猪尾巴管, 引流段顶端的猪尾巴锁可以帮助固定,防止管道滑脱[6]。
经臀置管引流有套管针法和Seldinger法两种。套管针法实现了一步置管,操作过程比较简单,但是要求操作置管必须精确。相对于套管针法,Seldinger法更安全,可重复多次穿刺,在临床上使用也更广泛,尤其适用于穿刺路径比较困难的病例[12]。本例穿刺就是使用的Seldinger法。
留置引流管期间,需要每天用生理盐水或者甲硝唑冲洗脓腔。脓液黏稠不易抽吸时,可注入糜蛋白酶,24 h候后再抽吸会得以改善,仍不通畅可考虑更换引流管。患者影像学检查脓肿消失,无明显引流液,体温和白细胞计数恢复正常,临床症状明显改善或消失即可拔管[6-7]。
目前,超声引导下经臀穿刺引流很少见,笔者针对盆腔深部脓肿进行超声引导下经臀穿刺引流,效果满意。超声引导下经臀穿刺引流治疗盆腔深部脓肿无辐射,操作简单,耗时短,疗效确切,是盆腔深部脓肿的另一种微创治疗方法。
需要说明的是,由于超声检查具有简便﹑快速﹑可重复等特点,可以实时检查﹑评估,近年来越来越受到急诊医师的重视,俨然已成为急诊医生的“第三只眼”[13-17]。可是,超声辅助下的介入治疗一般仅限于辅助血管穿刺﹑大量胸腹腔积液引流等简单的操作[18-20]。
利益冲突 所有作者声明无利益冲突
作者贡献声明 李磊、夏群:论文撰写;姜海、邱兆磊:对文章的知识性内容作批评性审阅;王振杰:论文修改及支持性贡献
| [1] | Akıncı D, Ergun O, Topel Ç, et al. Pelvic abscess drainage: outcome with factors affecting the clinical success[J]. Diagn Interv Radiol, 2018, 24(3): 146-152. DOI:10.5152/dir.2018.16500 |
| [2] | Ballard DH, Gates MC, Hamidian Jahromi A, et al. Transrectal and transvaginal catheter drainages and aspirations for management of pelvic fluid collections: technique, technical success rates, and outcomes in 150 patients[J]. Abdom Radiol (NY), 2019, 44(7): 2582-2593. DOI:10.1007/s00261-019-01974-9 |
| [3] | Graesslin O, Verdon R, Raimond E, et al. Prise en charge des abcès tubo-ovariens (ATO) et des formes compliquées d'infections génitales hautes. RPC infections génitales hautes CNGOF et SPILF[J]. Gyn\u00e9cologie Obst\u00e9trique Fertilit\u00e9 & S\u00e9nologie, 2019, 47(5): 431-441. DOI:10.1016/j.gofs.2019.03.011 |
| [4] | Thakral A, Sundareyan R, Kumar S, et al. Ultrasound guided transrectal catheter drainage of pelvic collections[J]. Trop Gastroenterol, 2015, 36(1): 64-67. DOI:10.7869/tg.254 |
| [5] | Meylemans DVG, Oostenbrug LE, Bakker CM, et al. Endoscopic ultrasound guided versus surgical transrectal drainage of pelvic abscesses[J]. Acta Chir Belg, 2018, 118(3): 181-187. DOI:10.1080/00015458.2017.1411549 |
| [6] | Harisinghani MG, Gervais DA, Hahn PF, et al. CT-guided transgluteal drainage of deep pelvic abscesses: indications, technique, procedure-related complications, and clinical outcome[J]. Radiographics, 2002, 22(6): 1353-1367. DOI:10.1148/rg.226025039 |
| [7] | Walser E, Raza S, Hernandez A, et al. Sonographically guided transgluteal drainage of pelvic abscesses[J]. AJR Am J Roentgenol, 2003, 181(2): 498-500. DOI:10.2214/ajr.181.2.1810498 |
| [8] | Robert B, Chivot C, Rebibo L, et al. Percutaneous transgluteal drainage of pelvic abscesses in interventional radiology: A safe alternative to surgery[J]. J Visc Surg, 2016, 153(1): 3-7. DOI:10.1016/j.jviscsurg.2015.10.006 |
| [9] | Soyer P, Boudiaf M, Alves A, et al. Drainage percutané par voie postérieure transglutéale des abcès pelviens sous contrôle tomodensitométrique: analyse de 21 cas[CT-Guided transgluteal approach for percutaneous drainage of pelvic abscesses: results in 21 patients][J]. Ann Chir, 2005, 130(3): 162-168. DOI:10.1016/j.anchir.2004.12.010 |
| [10] | Lorentzen T, Nolsøe C, Skjoldbye B. Ultrasound-guided drainage of deep pelvic abscesses: experience with 33 cases[J]. Ultrasound Med Biol, 2011, 37(5): 723-728. DOI:10.1016/j.ultrasmedbio.2011.02.004 |
| [11] | Harisinghani MG, Gervais DA, Hahn PF, et al. CT-guided transgluteal drainage of deep pelvic abscesses: indications, technique, procedure-related complications, and clinical outcome[J]. Radiographics, 2002, 22(6): 1353-1367. DOI:10.1148/rg.226025039 |
| [12] | Zhao N, Li Q, Cui J, et al. CT-guided special approaches of drainage for intraabdominal and pelvic abscesses: one single center's experience and review of literature[J]. Medicine, 2018, 97(42): e12905. DOI:10.1097/MD.0000000000012905 |
| [13] | 马金兰, 杨光飞, 杨红晓, 等. 脓毒症患者膈肌功能障碍的床旁超声评估的应用价值研究[J]. 中华急诊医学杂志, 2022, 31(5): 650-657. DOI:10.3760/cma.j.issn.1671-0282.2022.05.015 |
| [14] | Chebl RB, Souki NE, Geha M, et al. Two-point compression ultrasonography: enough to rule out lower extremity deep venous thrombosis?[J]. World J Emerg Med, 2021, 12(4): 268-273. DOI:10.5847/wjem.j.1920-8642.2021.04.003 |
| [15] | Kameda T, Kimura A. Basic point-of-care ultrasound framework based on the airway, breathing, and circulation approach for the initial management of shock and dyspnea[J]. Acute Med Surg, 2020, 7(1): e481. DOI:10.1002/ams2.481 |
| [16] | Xu SX, Wu CS, Liu SY, et al. High-flow nasal cannula oxygen therapy and noninvasive ventilation for preventing extubation failure during weaning from mechanical ventilation assessed by lung ultrasound score: a single-center randomized study[J]. World J Emerg Med, 2021, 12(4): 274-280. DOI:10.5847/wjem.j.1920-8642.2021.04.004 |
| [17] | 郑清江, 陈林丽, 赖嘉伟, 等. 胃肠超声联合AGI评估肠内营养对危重患者肠功能恢复的价值[J]. 中华急诊医学杂志, 2021, 30(4): 496-499. DOI:10.3760/cma.j.issn.1671-0282.2021.04.022 |
| [18] | Yıldırım İ, Tütüncü AÇ, BademLer S, et al. Does the real-time ultrasound guidance provide safer venipuncture in implantable venous port implantation?[J]. J Vasc Access, 2018, 19(3): 297-302. DOI:10.1177/1129729817752606 |
| [19] | Vetrugno L, Guadagnin GM, Barbariol F, et al. Assessment of pleural effusion and small pleural drain insertion by resident doctors in an intensive care unit: an observational study[J]. Clin Med Insights Circ Respir Pulm Med, 2019, 13: 1179548419871527. DOI:10.1177/1179548419871527 |
| [20] | Stolz L, Situ-Lacasse E, Acuña J, et al. What is the ideal approach for emergent pericardiocentesis using point-of-care ultrasound guidance?[J]. World J Emerg Med, 2021, 12(3): 169-173. DOI:10.5847/wjem.j.1920-8642.2021.03.001 |
2022, Vol. 31



