患者男性,52岁。因“持续性胸痛4 h”于2021年12月8日入院。患者当天晚上8点起出现持续性剧烈胸痛,位于胸骨后,范围巴掌大小,伴有肩背部酸胀、胸闷、大汗淋漓,无恶心呕吐,无咳嗽咳痰,无腹痛腹泻,无畏寒发热。至当地医院就诊,查心电图(图 1)示“Ⅱ、Ⅲ、aVF导联ST段抬高”,心肌坏死标志物阴性,未行心超及CT检查,予“阿司匹林300 mg、氯吡格雷600 mg、阿托伐他汀钙40 mg口服,肝素钠4 000单位静脉注射”等治疗后拟诊心肌梗死转本院进一步治疗。患者有“高血压”病史,自服“复方利血平氨苯蝶啶片”,平素未规律监测血压。否认有冠心病、糖尿病、高脂血症、风湿免疫系统疾病,无手术及外伤史。吸烟0.5包/d×30余年;偶饮酒。入院查体:神志清,双肺呼吸音清,未闻及干湿啰音,血压:131/84 mmHg(右侧),128/80 mmHg(左侧),心率61次/min,心脏听诊未闻及病理性杂音及心包摩擦音,指氧饱和度94%,腹部查体未及异常,双下肢无浮肿。入院后复查检验:血气分析:酸碱性:7.405;动脉血气氧分压:78.4 mmHg; 乳酸:4.1 mmol/L; D-二聚体:0.33 μg/mL; 肌酸激酶:139 U/L; 肌酸激酶同工酶:34 U/L;高敏肌钙蛋白T:0.059 ng/mL; Pro-B-型钠尿肽:320.9 pg/mL;3 h后肌酸激酶:278 U/L; 肌酸激酶同工酶活性:37 U/L; 高敏肌钙蛋白T:0.249 ng/mL;急诊心脏超声:升主动脉夹层动脉瘤可能,建议CTA,左室壁增厚。心包中等量积液。EF:62%。主动脉CTA:主动脉瓣区条状低密度影,考虑瓣膜可能。主动脉弓及降主动脉不规则低密度影,后再次扫描造影剂较均匀,考虑涡流。主动脉弓旁渗出,心包积液(图 2、3)。诊治经过:急诊予乌拉地尔微泵维持降压,12月9日复查心脏超声:升主动脉靠近右冠瓣内可见长约25 mm剥脱内膜回声,将管腔分为真假两腔。主动脉瓣似为三叶,回声增粗。余瓣膜形态活动未见明显异常,考虑主动脉夹层。急诊手术发现右冠窦部一约2.5 cm内膜撕裂,右冠脉开口受累及,心包积血200 mL。经“体外循环下主动脉根部替换+冠状动脉搭桥”手术后转入ICU治疗6 d后转普通病房,术后随访至今恢复良好。本例报道经温州医科大学附属东阳市人民医院伦理委员会批准,且所有临床检测指标及有创操作均获得家属同意或直系亲属的授权(伦理审批号:东人医2022-YX-180)。
|
| 图 1 首诊心电图:Ⅱ、Ⅲ、aVF导联ST段抬高 |
|
|
|
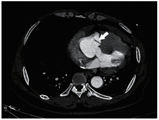
| 图 2 主动脉CTA横断面见主动脉撕裂瓣膜(箭头所示) |
|
|
|
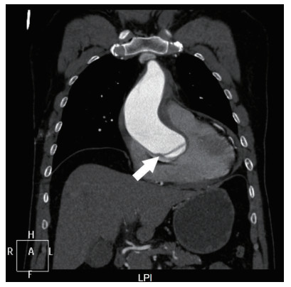
| 图 3 主动脉CTA冠状面上撕裂瓣膜表现(箭头所示) |
|
|
急性冠脉综合征及主动脉夹层均为最危重的胸痛急症,据统计[1]胸痛患者约占急诊总量的4.7%,其中急性冠脉综合征(acute coronary syndrome,ACS)患者占27.4%,主动脉夹层占0.1%,以上两种疾病的临床表现可能类似,尤其当主动脉夹层累及冠脉时可以出现典型的心电图表现。当胸痛患者首次医疗接触,完成心电图提示ST段抬高,大多数情况下急诊医师会初步怀疑急性心肌梗死并启动胸痛中心流程[2],然而ST段抬高并非仅见于心肌梗死,据赵大国等[3]统计分析,例如正常ST段抬高、早期复极化、左室肥厚、室壁瘤等一系列疾病也可以出现,但疾病类型不同ST段的形状、演变、累及导联等亦有不同。而主动脉夹层引起的ST段抬高多因夹层累及冠脉导致心肌缺血,常见累及右冠状动脉[4-5]。研究同时表明在下壁导联ST段抬高的主动脉夹层患者中就诊血压正常(或高)的比例也远高于单纯下壁心梗患者。在工作中通常运用D-二聚体检测来初步识别主动脉夹层患者[6],并且有研究表明D-二聚体水平与血管撕裂范围成正相关[7],然而部分研究表明[8-10]约有2%~20%主动脉夹层患者D-二聚体检测为阴性。
本案例中首诊医院仅通过心电图异常结果便给予抗血小板、抗凝治疗并非合理甚至可能加速患者死亡,尤其在既往无冠心病高危因素、冠心病史且年龄较轻的患者中及时完善超声检查可以减少误诊机率。而本例患者主动脉CTA影像中未清晰显示出主动脉瓣结构导致放射科医师误将撕裂内膜判读为瓣膜影,且瓣膜撕裂范围局限于右冠窦内,D-二聚体无升高表现。以上多重因素导致患者病情延误诊治。
利益冲突 所有作者声明无利益冲突
| [1] | 中华医学会, 中华医学会杂志社, 中华医学会全科医学分会, 等. 胸痛基层诊疗指南(2019年)[J]. 中华全科医师杂志, 2019, 18(10): 913-919. DOI:10.3760/cma.j.issn.1671-7368.2019.10.004 |
| [2] | 中华医学会急诊医学分会, 中国医疗保健国际交流促进会胸痛分会. 急性胸痛急诊诊疗专家共识[J]. 中华急诊医学杂志, 2019, 28(4): 413-420. DOI:10.3760/cma.j.issn.1671-0282.2019.04.002 |
| [3] | 赵大国, 陆振涛. 非急性心肌梗死情况下ST段抬高183例分析[J]. 中国医师进修杂志, 2006(12) 39-40, 52. DOI:10.3760/cma.j.issn.1673-4904.2006.12.018 |
| [4] | 弓文清, 刘艳, 周玲, 等. A型主动脉夹层累及冠状动脉超声表现及预后[J]. 中国医学影像技术, 2021, 37(4): 527-530. DOI:10.13929/j.issn.1003-3289.2021.04.012 |
| [5] | 余剑波, 杜昌, 黄文凤, 等. 下壁导联ST段抬高急性主动脉夹层临床分析[J]. 中华急诊医学杂志, 2016, 25(7): 883-886. DOI:10.3760/cma.j.issn.1671-0282.2016.07.008 |
| [6] | "D-二聚体检测"急诊临床应用专家共识组. "D-二聚体检测"急诊临床应用专家共识[J]. 中华急诊医学杂志, 2013, 22(8): 827-836. DOI:10.3760/cma.j.issn.1671-0282.2013.08.003 |
| [7] | 薛渊, 肖子亚, 顾国嵘, 等. D-二聚体对急性主动脉夹层诊断及预后判断价值[J]. 中华急诊医学杂志, 2017, 26(8): 935-938. DOI:10.3760/cma.j.issn.1671-0282.2017.08.021 |
| [8] | Yang GF, Peng W, Zhou Y, et al. Characteristics and prognosis of acute type A aortic dissection with negative D-dimer result[J]. Am J Emerg Med, 2020, 38(9): 1820-1824. DOI:10.1016/j.ajem.2020.05.055 |
| [9] | Nitta K, Imamura H, Kashima Y, et al. Impact of a negative D-dimer result on the initial assessment of acute aortic dissection[J]. Int J Cardiol, 2018, 258: 232-236. DOI:10.1016/j.ijcard.2018.01.104 |
| [10] | 顾荣荣, 陈震, 罗钢. D-二聚体阴性的急性主动脉夹层的临床特点和影响因素分析[J]. 中国心血管杂志, 2021, 26(1): 46-48. DOI:10.3969/j.issn.1007-5410.2021.01.011 |
2022, Vol. 31

