2. 首都医科大学附属北京安贞医院 急诊危重症抢救中心,北京 100029
急性肺血栓栓塞(acute pulmonary embolism, APE)和急性心肌梗死(acute myocardial infarction, AMI)均属于导致高病死率的急症[1],两种疾病很少同时发生。然而,当两种疾病同时存在,会极大增加患者病死率[2]。APE导致的低氧血症,可能成为诱发存在冠脉固定狭窄的冠心病患者出现AMI的原因。虽然2018年心肌梗死通用全球定义将肺栓塞导致的氧供需失衡作为2型心肌梗死(type Ⅱ myocardial infarction, T2MI)的病因之一[3],但此种病例罕见报道。本文报道一例及时识别并成功抢救的APE导致的T2MI病例,并回顾相关文献总结经验,加深临床医生对此类患者的诊疗认识。
1 资料与方法患者,男性,74岁,因“冠脉介入术后即刻胸闷伴呼吸困难”,于2020年12月29日入急诊监护室。入监护室前经桡动脉行冠脉造影示右冠(right coronary artery, RCA)慢性闭塞病变,左前降支(left anterior descending artery, LAD)近中段狭窄80%,左回旋支(left circumflex artery, LCX)支架内狭窄80%。开通RCA闭塞病变,植入2枚支架(图 1 A~D),手术过程顺利。术后即刻突发胸闷胸痛,呼吸困难,送至监护室,心电图提示前壁V1~V5导联ST段抬高0.4 mV(图 2)。血压105/60 mmHg(1 mmHg=0.133 kPa),心率80次/min,呼吸频率30次/min,氧饱和度88%(空气氧)。考虑急性前壁心肌梗死,立即行急诊冠脉造影,经桡动脉,示LAD中段狭窄80%,但较之前造影未见进展,TIMI Ⅲ级血流;LCX支架处狭窄80%,血流TIMI Ⅲ级;RCA支架通畅,膨胀良好,血流TIMI Ⅲ级(图 1 E~G)。在LAD近中段植入两枚支架,并于LCX支架狭窄处行球囊扩张(图 1 H、I),术中ACT为230~270 s。
|
| A~D为第一次冠脉造影和治疗:A~C为患者入监护室前第一次行冠脉造影LAD和LCX重度狭窄,RCA闭塞;D为RCA治疗植入支架后血流通畅;E~G为再次胸痛后造影:E~F为患者胸痛后再次急诊冠脉造影LAD及LCX血流通畅,未见血栓,狭窄较前无变化;G为复查RCA造影示支架通畅;H~I为二次治疗后影像:H为LAD支架植入后解除狭窄;I为LCX球囊扩张后解除狭窄 图 1 患者冠脉造影 |
|
|
|
| 图 2 患者胸痛发作时心电图可见V1~V5导联ST段抬高 |
|
|
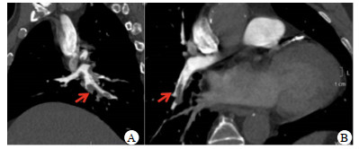
术后胸痛症状缓解,但喘憋,呼吸困难不能缓解。术后查体:脉搏90~100次/min,血压110~120/70 mmHg,呼吸频率30次/min,经皮指氧饱和度为80%。右肺呼吸音稍弱,未闻及干湿啰音,心界不大,心率90~100次/min,律齐,各瓣膜区未闻及杂音。腹软,无压痛,反跳痛,肝脾肋下未触及,肠鸣音5次/min。术后复查心电图:前壁导联ST段回落。心脏超声示:心脏各腔大小形态正常,射血分数(ejection fraction, EF)45%,后间隔中上段、下壁中上段及左室后壁心肌运动减低。右室游离壁运动减低,三尖瓣环收缩期位移10 mm,瓣膜未见功能异常。实验室检查:凝血项D-二聚体7 700 ng/mL(参考值0~243 ng/mL),N末端B型利钠肽原(NT-proBNP)2 248 ng/L(参考值0~125 ng/L),高敏肌钙蛋白T(hs-cTnT)0.027 μg/L(参考值< 0.017 μg/L)。血气分析提示:pH 7.40,二氧化碳分压35.7 mmHg,氧分压75 mmHg。立即完善肺动脉血管成像示:右肺动脉主干远端可见充盈缺损,右下肺动脉可见充盈缺损,左上肺动脉近端可见充盈缺损(图 3)。双下肢静脉、双侧髂静脉和下腔静脉血管超声均未见明显充盈缺损,血管通畅。双上肢动静脉和双侧锁骨下动静脉超声均未见充盈缺损,血管通畅。
|
| A纵切面可见右下肺动脉血栓,B横切面可见左肺动脉血栓;右肺动脉主干远端可见充盈缺损,右下肺动脉可见充盈缺损,左上肺动脉近端可见充盈缺损 图 3 患者肺动脉造影 |
|
|
结合患者症状、肺动脉血管造影和凝血指标,诊断急性肺动脉血栓栓塞症;患者血流动力学稳定,但是存在右心功能不全,且NT-proBNP和hs-cTnT升高,危险分层为中高危[4]。同时患者心电图、心脏超声以及心肌酶变化,诊断急性前壁心肌梗死,结合患者术中造影所示LAD血流通畅TIMI 3级,未见血栓或急性闭塞,急性前壁心肌缺血原因考虑为在原有LAD重度狭窄基础上,APE引起的氧供需失衡,符合T2MI诊断[3]。给予吸氧,雾化,适当补液,阿司匹林和氯吡格雷双抗联合皮下低分子肝素抗栓治疗。3 d后复查D-二聚体下降趋势,喘憋缓解,抗栓调整为阿司匹林、氯吡格雷和利伐沙班治疗。7 d后完善心肌核磁再次明确心脏前壁急性缺血梗死:左心室前壁心肌梗死(新鲜梗死灶),左室基底段-心尖段下壁、部分下间隔壁及部分下侧壁陈旧心肌梗死,左心功能不全。7 d后患者抗栓调整为利伐沙班联合波立维。14 d后患者各项凝血指标、NT-proBNP、心肌酶正常范围,症状完全改善出院。随访中,患者情况稳定。
2 讨论急性冠脉综合征患者有一定比例可合并肺栓塞,因为两者有共同的危险因素[5-6]。但是,APE和AMI两种高病死率的急症,同时出现在一个患者的情况极其少见。而一旦出现,由于呼吸、循环两大重要系统同时受到急性严重损伤,急剧增加了死亡风险,需引起重视。本文病例很好地提供了学习这两种急症共存时的诊疗思路。
以“pulmonary embolism”“myocardial infarction”“case report”为检索词检索PubMed数据库,时限为建库至2022年1月,检索病例资料完整的病例报道共11篇(附表 1)[1, 7-16]。诊断依据:AMI满足心电图动态ST段改变,心肌酶动态改变,冠脉造影明确血栓或心脏核素核磁提示新发梗死。肺动脉血栓均有肺动脉造影所示肺动脉血栓性充盈缺损,合并急性D-二聚体升高或心脏超声提示右心形态和功能急性受损改变。其年龄区间为29~81岁,分布广泛,其中男性比例为36.3%。患者初发症状多合并存在胸痛和呼吸困难,36.4%合并一过性晕厥,其中3例(27.3%)有阿斯综合征发作,经心肺复苏抢救。记录的病例中3例未叙述转归,2例(18.2%)死亡。
通过文献回顾发现,两种疾病同时存在时分下述情况:(1)患有免疫性疾病或易栓症等基础疾病,导致的易栓状态,恰巧同时累及肺动脉及冠脉系统。文献回顾中共有2例,分别为抗磷脂综合征、易栓症(蛋白C缺乏)。此类病例特点为多处血栓同时形成,急性心梗的冠脉特点为急性血栓闭塞,而非固定性粥样斑块狭窄。治疗上冠脉病变采用血栓抽吸,再给予抗栓,同时治疗基础疾病。此类患者基础疾病未能判断时会形成顽固的复发血栓,病死率极高。(2)由于先天血管发育异常或药物因素导致的血管痉挛和血栓形成,文献中共有2例,一例是Lericher综合征、先天血管发育异常,另一例是服用抗抑郁药物后导致冠脉血管痉挛以及肺部血栓同时发生。(3)存在卵圆孔未闭,可以出现血栓的反向运动,也就是静脉系统血栓为基础发生病因,经房间隔至动脉系统,引起冠脉血栓形成或脑血管血栓,文献中近一半(5例)同时存在急性肺栓塞和心梗的患者发现了卵圆孔未闭。由于原发血栓为静脉系统的血栓脱落,其冠脉造影常为重度血栓负荷的急性血栓闭塞,而不伴有粥样硬化斑块。治疗上冠脉血栓抽吸,恢复3级血流,而肺动脉血栓的处理根据危险分层并权衡出血和血栓风险,可以选择介入取栓、溶栓或抗凝。此类患者是否行卵圆孔封堵,仍存在盲区,指南中卵圆孔未闭的封堵指征尚未纳入此类患者[12]。文献回顾中1例在急性期后对卵圆孔未闭做了封堵,随访结果良好。(4)急性肺栓塞作为初始病因,患者冠脉有固定狭窄时,引起了氧供需失衡,而导致有基础狭窄的冠脉供血区出现急性心肌坏死,也就是APE导致的T2MI。文献中有两例为此类情况,本文病例也为此类。此类患者特点,不同于冠脉急性血栓或斑块破裂等导致的急性冠脉闭塞,此类患者冠脉造影仅表现为冠脉粥样斑块性固定狭窄,TIMI血流Ⅲ级。但是心电图表现为相应导联的ST段抬高,心肌酶动态升高,心脏核磁或核素证实存在相应供血范围的心肌坏死,符合2018年心肌梗死全球通用定义所示的T2MI[3]。综合分析文献中两例和本文的一例患者特点,均为高龄(80岁、85岁、74岁),高龄是存在粥样硬化性狭窄的相关因素之一。在治疗上,由于冠脉固定性狭窄,不同于上述病例治疗时行冠脉血栓抽吸,3例患者均是支架植入治疗。肺栓塞治疗上,根据危险程度分层,选择抗栓方案。此类患者预后较差,3例患者中1例患者死亡。
APE和AMI在症状上均可以表现为胸痛、呼吸困难、晕厥、血流动力学不稳定。生化检验上均可以表现为心肌酶升高,NT-proBNP升高。甚至在心电图上也可以表现出类似的ST-T变化[17]。两者同时发生时,其诊断非常困难,文献中11例仅有4例为同时诊断,7例患者在初始诊疗中都漏诊了另一个疾病,其中5例以及本文的1例均先诊断了AMI,因为心电图更容易快捷的获得,急诊介入治疗后,发现呼吸困难症状不能改善,继而注意到氧饱和度,后续回报的D-二聚体,心脏超声等信息才考虑APE。临床上,由于急性心肌梗开通罪犯血管的时间限制,通常不等检验值回报,但是可以注意观察患者血氧、呼吸频率等呼吸相关指标。此外,心脏超声会提示右心功能异常,包括右心增大、右室游离壁运动减弱、三尖瓣位移减少、三尖瓣返流、肺动脉高压和下腔静脉增宽等关键信息提示APE的可能[18]。
根据文献总结分析,确定两者共存后,在诊疗上,需要有针对性的排查是否存在易栓因素或疾病,或引起两种疾病共发的药物因素,和患者是否存在卵圆孔未闭。文献资料可见青年及中年患者合并存在时,多伴有基础疾病为诱因。而高龄患者可能存在APE引起的T2MI。治疗上,注意针对基础病因治疗。除了稳定血流动力学的急性抢救和基本治疗措施外,两种疾病共存时,抗栓策略选择非常关键。AMI介入治疗中抗血小板治疗,而肺动脉血栓需要抗凝治疗。目前尚无专题指导急性肺栓塞合并心肌梗死患者的抗栓指南推荐,可以参考2020 AHA/ACC房颤或静脉血栓合并冠心病患者抗栓治疗专家共识[19]。首先对患者行出血和缺血风险评估,动态调整抗栓策略。本文患者冠脉介入后,给予了阿司匹林100 mg 1次/d+氯吡格雷75 mg 1次/d,同时给予低分子肝素抗凝或者直接使用口服利伐沙班15 mg 2次/d,7 d后更改为氯吡格雷75 mg+利伐沙班15 mg 2次/d,3周后调整为氯吡格雷75 mg+利伐沙班20 mg 1次/d,6个月时调整为氯吡格雷75 mg+利伐沙班15 mg 1次/d。全程动态评估出血和血栓风险,以及监测出血和凝血指标后的动态调整。
综上,虽然APE和AMI两种疾病同时出现的发生率极低,但两种疾病在患者存在易栓塞倾向疾病,卵圆孔未闭,或APE诱发固定冠脉狭窄基础上时可同时发生,造成较高的病死率。因此及时识别两种疾病共存的可能性,对后续治疗和减少病死率至关重要,应引起临床医生的高度重视。
利益冲突 所有作者声明无利益冲突
本文附件内容见中华急诊网(www.cem.org.cn)
| [1] | Akgedik R, Günaydın ZY, Botan Yıldırım B, et al. What should be done in the event of simultaneous massive pulmonary embolism and myocardial infarction with ST elevation?[J]. Turk Kardiyol Dern Ars, 2015, 43(8): 734-738. DOI:10.5543/tkda.2015.43490 |
| [2] | Bajaj N, Bozarth AL, Guillot J, et al. Clinical features in patients with pulmonary embolism at a community hospital: analysis of 4 years of data[J]. J Thromb Thrombolysis, 2014, 37(3): 287-292. DOI:10.1007/s11239-013-0942-8 |
| [3] | Thygesen K, Alpert JS, Jaffe AS, et al. Fourth universal definition of myocardial infarction (2018)[J]. J Am Coll Cardiol, 2018, 72(18): 2231-2264. DOI:10.1016/j.jacc.2018.08.1038 |
| [4] | 中华医学会呼吸病学分会肺栓塞与肺血管病学组, 中国医师协会呼吸医师分会肺栓塞与肺血管病工作委员会, 全国肺栓塞与肺血管病防治协作组. 肺血栓栓塞症诊治与预防指南[J]. 中华医学杂志, 2018, 98(14): 1060-1087. DOI:10.3760/cma.j.issn.0376-2491.2018.14.007 |
| [5] | Mi YH, Yan SF, Lu YH, et al. Venous thromboembolism has the same risk factors as atherosclerosis: a PRISMA-compliant systemic review and meta-analysis[J]. Medicine (Baltimore), 2016, 95(32): e4495. DOI:10.1097/MD.0000000000004495 |
| [6] | 米玉红, 祁璇, 闫树凤, 等. 院外规范化治疗对急性肺栓塞患者复发的影响[J]. 中华急诊医学杂志, 2018, 27(8): 893-900. DOI:10.3760/cma.j.issn.1671-0282.2018.08.015 |
| [7] | Wozakowska-Kaplon B, Bzymek RM, Gutkowski W. Acute coronary syndrome following massive pulmonary embolism in a 81-year-old woman with thrombophilia[J]. Kardiol Pol, 2008, 66(5): 543-547. |
| [8] | Ramineni R, Daniel GK. Association of a patent foramen ovale with myocardial infarction and pulmonary emboli in a peripartum woman[J]. Am J Med Sci, 2010, 340(4): 326-328. DOI:10.1097/MAJ.0b013e3181e732b2 |
| [9] | Vavlukis M, Kotlar I, Chaparoska E, et al. Antiphospholipid syndrome - A case report of pulmonary thromboembolism, followed with acute myocardial infarction in patient with systemic sclerosis[J]. Open Access Maced J Med Sci, 2015, 3(4): 705-709. DOI:10.3889/oamjms.2015.114 |
| [10] | Smith JG, Koul S, Roijer A, et al. Acute right ventricular failure caused by concomitant coronary and pulmonary embolism: successful treatment with endovascular coronary and pulmonary thrombectomy[J]. Eur Heart J Acute Cardiovasc Care, 2013, 2(2): 131-136. DOI:10.1177/2048872613486336 |
| [11] | Zhang SY, Yang J, Jin XF, et al. Myocardial infarction, symptomatic third degree atrioventricular block and pulmonary embolism caused by thalidomide: a case report[J]. BMC Cardiovasc Disord, 2015, 15: 173. DOI:10.1186/s12872-015-0164-4 |
| [12] | Wasek WC, Samul W, Ryczek R, et al. Unique case of ST-segment-elevation myocardial infarction related to paradoxical embolization and simultaneous pulmonary embolization: clinical considerations on indications for patent foramen ovale closure in no-guidelines land[J]. Circulation, 2015, 131(13): 1214-1223. DOI:10.1161/CIRCULATIONAHA.114.009846 |
| [13] | Woo JS, Chung H, Kim WS, et al. Embolic myocardial infarction in a patient with massive pulmonary thromboembolism[J]. Korean Circ J, 2017, 47(3): 420-421. DOI:10.4070/kcj.2016.0260 |
| [14] | Motazedian P, May MRL, Glover C, et al. A woman in her 80s with anterior ST-elevation myocardial infarction and shock[J]. Chest, 2017, 151(1): e5-e8. DOI:10.1016/j.chest.2016.05.040 |
| [15] | Barros-Gomes S, El Sabbagh A, Eleid MF, et al. Concomitant acute stroke, pulmonary and myocardial infarction due to in-transient thrombus across a patent foramen ovale[J]. Echo Res Pract, 2018, 5(4): I9-I10. DOI:10.1530/ERP-18-0044 |
| [16] | An XQ, Fu R, Zhao ZH, et al. Leriche syndrome in a patient with acute pulmonary embolism and acute myocardial infarction: a case report and review of literature[J]. BMC Cardiovasc Disord, 2020, 20(1): 26. DOI:10.1186/s12872-019-01288-0 |
| [17] | Villablanca PA, Vlismas PP, Aleksandrovich T, et al. Case report and systematic review of pulmonary embolism mimicking ST-elevation myocardial infarction[J]. Vascular, 2019, 27(1): 90-97. DOI:10.1177/1708538118791917 |
| [18] | Konstantinides SV, Meyer G, Becattini C, et al. 2019 ESC Guidelines for the diagnosis and management of acute pulmonary embolism developed in collaboration with the European Respiratory Society (ERS)[J]. Eur Heart J, 2020, 41(4): 543-603. DOI:10.1093/eurheartj/ehz405 |
| [19] | Kumbhani DJ, Cannon CP, Beavers CJ, et al. 2020 ACC expert consensus decision pathway for anticoagulant and antiplatelet therapy in patients with atrial fibrillation or venous thromboembolism undergoing percutaneous coronary intervention or with atherosclerotic cardiovascular disease: a report of the American College of Cardiology Solution Set Oversight Committee[J]. J Am Coll Cardiol, 2021, 77(5): 629-658. DOI:10.1016/j.jacc.2020.09.011 |
2022, Vol. 31



