中华急诊医学杂志  2022, Vol. 31 Issue (9): 1283-1285   DOI: 10.3760/cma.j.issn.1671-0282.2022.09.024
高通量基因测序确诊钩端螺旋体病合并赫氏反应1例
李蓓蓓 , 林建赟     
瑞安市人民医院(温州医科大学附属三院)急诊科,瑞安 325200

钩端螺旋体病(leptospirosis)简称钩体病,是由致病性钩端螺旋体引起的一种急性全身性感染性疾病,属于人兽共患的自然疫源性传染病。传染源主要是鼠类、犬、猪、牛和羊等动物,人通过接触被污染的水、土壤被感染[1]。典型表现为三症状(发热、肌肉酸痛、乏力)以及三体征(结膜充血、腓肠肌酸痛、淋巴结肿大)。我国钩体病发病以南方为主,近10年大部分病例属于散发病例[2],导致部分医务人员特别是年轻医生对钩体病认识不足,易漏诊、误诊。本文对本院通过高通量测序确诊并救治成功的1例钩端螺旋体病进行报道,以提醒广大临床医师在接诊时注意鉴别,同时在诊断方法上提供新的思路。

1 资料与方法

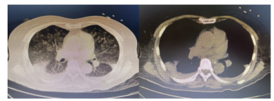
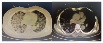
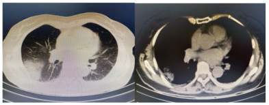
患者,女,64岁,居住农村,既往有糖耐量异常5年,未正规治疗,4年前诊断为“原发性甲状腺功能亢进”,经治疗已好转。无高风险、中风险地区旅居史,无境外旅居史,无新冠病毒肺炎确诊或疑似患者接触史。2020年7月31日患者无明显诱因下在家中出现发热,体温最高39.4 ℃,伴畏寒、全身乏力,无胸闷、胸痛,无咳嗽、咳痰,无腹痛、腹泻,无黑矇、晕厥,遂在家中自服“退热药”后体温降至正常,但体温仍有反复。8月2日早晨患者再次出现发热,伴畏寒、寒战,遂至本院发热门诊就诊,予查C-反应蛋白156 mg/L,降钙素原0.64 ng/L,考虑感染性发热,遂予“哌拉西林他唑巴坦钠4.5 g每12 h一次”静滴抗感染治疗,后患者突发呼吸费力,伴咳嗽、咯血,为鲜红色血液,量较多,遂于8月2日14:18送达本院急诊抢救室。来时患者呼吸急促,有咳嗽伴咳血性痰,双侧小腿持续性钝痛,查体:血压188/86 mmHg(1 mmHg=0.133 kPa),心率168次/min,呼吸36次/min,血氧饱和度50%,体温38.6 ℃。神志清,精神软,急性面容,双侧结膜略充血,全身皮肤黏膜未见明显充血、淤血,未触及淋巴结肿大。口唇微绀,两肺呼吸音粗,可闻及明显湿性啰音,心律齐,无明显病理性杂音;腹平软,无压痛反跳痛,四肢肌力Ⅴ级,两侧病理征未引出。予心电监护、特级护理、面罩吸氧、建立静脉通道,送检血常规、生化、血气、心肌酶、凝血酶原时间系列、痰培养等常规检查,同时予送检血标本行高通量测序,完善胸部CT检查(图 1)。辅助检查结果如下:8月2日胸腹部CT示两肺感染,腹部未见明显异常。血常规:白细胞计数7.9×109/L,中性粒细胞百分比89%,血红蛋白121 g/L,血小板计数104×109/L,C-反应蛋白156.82 mg/L。血生化:丙氨酸氨基转移酶51 U/L,天门冬氨酸氨基转移酶63 U/L,白蛋白34.5 g/L,总胆红素17.4 mmol/L,肌酐74 mol/L。心肌酶谱:心肌肌钙蛋白I 0.014 ng/mL,肌红蛋白322 ng/mL,肌酸激酶同工酶3.2 ng/mL。血气分析:pH 7.435,二氧化碳分压29 mmHg,氧分压53.5 mmHg,K+ 2.6 mmol/L,Na+ 132 mmol/L,血乳酸3.1 mmol/L。新型冠状病毒抗体、核酸阴性。接诊医师初步诊断为“咯血待查:疑似肺部感染,呼吸衰竭”,治疗上予亚胺培南0.5 g静滴经验性抗感染、甲泼尼龙80 mg静滴抗炎,同时予化痰、平喘等对症、支持。17:00患者出现呼吸费力加重,10 L/min面罩吸氧下血氧饱和度仍为70%,故予紧急气管插管、机械通气,随后转入ICU,联系感染科医师会诊,结合患者病史及CT影像学表现的广泛、片状密度增高影特点,考虑钩端螺旋体病可能性大,不排除“赫氏反应”,故继续予亚胺培南0.5 g静滴每6 h一次抗感染、甲泼尼龙80 mg静滴每12 h一次抗炎、白蛋白营养支持等治疗。8月3日更改甲泼尼龙80 mg静滴每天一次。8月4日高通基因测序回报:检测出问号钩端螺旋体DNA,符合入院时推断,明确病原体后予修正诊断为肺出血型钩体病伴赫氏反应。8月5日停亚胺培南,改青霉素160万单位静滴每8 h一次。8月8日患者病情稳定,拔除气管导管,予甲泼尼龙减量为40 mg静滴1次/d,8月9日复查胸部CT提示两肺斑片状、片状密度增高影较前有所吸收(图 2),停用甲泼尼龙。8月10日转入呼吸科。8月17日复查胸部CT提示两肺斑片状、片状、条索状密度增高影,较前明显吸收(图 3)。8月20日患者好转出院。9月18日随访,复查CT提示两肺散在条索状密度增高影,基本恢复正常(图 4)。

图 1 8月2日入院时胸部CT呈弥漫性密度增高影

图 2 8月9日胸部CT示两肺斑片状、片状密度增高影较前有所吸收

图 3 8月17日胸部CT示两肺斑片状、片状、条索状密度增高影,较前明显吸收

图 4 9月18日患者随访时胸部CT示两肺散在条索状密度增高影,基本恢复正常
2 讨论

钩端螺旋体,可分为问号钩体和双曲钩体两大类,其中问号钩体具有致病性。民间称之为“打谷黄”或“稻瘟病”。夏秋季节为流行高峰期,潜伏期一般为7~14 d。钩体病在浙江省流行较为广泛,20世纪曾有4次较大流行,2000年以来全省年发病率已降至0.2/10万以下,除2007年曾在金华磐安县出现一起暴发疫情外,其他年份钩体病病例数均不超过20例,且主要集中于浙中和浙南山区[2]

回顾该病例特点:患者生活在浙江省南部山区,曾有下田干农活,发病时正值8月,与钩体病的流行地区及季节相符;主诉为反复发热、双下肢肌肉酸痛、乏力,符合钩体病的典型表现。在分型上,患者反复咯血、两肺湿啰音明显,胸部CT表现为广泛、片状密度增高影,符合肺出血型钩体病的特点。该类型以肺部弥漫性肺泡出血为主要表现,起病急,进展快,病情凶险,患者可出现致命的咯血,病死率可高达50%以上[3]。问号钩体引起出血的机制尚未完全明确。近年有研究提示可能与溶血素[4]、血小板活化因子乙酰水解酶[5]、肿瘤坏死因子-α等有关。出血型钩体病的病理基础包括:钩体毒素引起微循环障碍,大量红细胞渗入肺泡,导致毛细血管充血、溢血,肺呈弥漫性出血,肺泡氧弥散出现障碍,引发急性呼吸窘迫综合征。这也解释了本病例中患者转至急诊科后已出现急性呼吸窘迫综合征及赫氏反应,需予行气管插管、机械通气方可维持生命体征。

治疗上,对于肺出血型钩体病,我国早期多应用青霉素、肾上腺皮质激素以及必要时联合使用机械通气,随着临床研究的进展,有报道使用抗胆碱药如山莨菪碱能够有效提高患者抢救成功率、改善预后[6]。当机械通气无法维持氧合时,可考虑使用体外膜肺氧合,已有成功案例报道。对于已并发多脏器功能衰竭者,连续性血液净化可有效清除内毒素、炎症介质、代谢产物以及大量的肌红蛋白。若对该病认识不足,常因误诊导致患者死亡,吴梅书[7]报道曾有一例肺出血钩体病患者因大咯血经抢救无效死亡。本例患者在发热门诊首诊时予哌拉西林他唑巴坦钠针剂静滴后出现症状加重,伴随呼吸困难、咯血,当时家属一度认为是医生“用药有误”导致病情加重。随后患者转至本院急诊科,所幸笔者与当时值班医生结合患者起病特点及胸部CT表现,考虑该患者为钩体病,输注抗菌药后出现症状加重极有可能是大量钩体被杀灭后释放毒素所致,即为赫氏反应,立即予对症治疗,同时向家属做好解释工作,并第一时间予送检血标本行高通量基因测序,此后基因检测报告证实了病原体为问号钩端螺旋体。

该病例救治成功的关键点在于早期诊断的明确。检测钩端螺旋体病原菌株的金标准是传统的血清学方法,然而其操作繁琐、实验技术复杂,常规开展受限;二代高通量基因测序技术(mNGS)有通量高、准确度高等优点,广泛应用于肿瘤诊断即个性化治疗、致病基因检测、遗传病诊断、无创产前基因检测、胚胎植入前遗传学筛查与诊断等[8-10],尤其在病原微生物检测方面其作用日益凸显。有报道其在鹦鹉热衣原体肺炎[11]、肝脓肿病原学诊断上的应用价值[12],本例钩端螺旋体病合并赫氏反应能得以明确诊断即得益于该技术。该技术可应用于监测医疗环境中病毒的爆发[13-16]。该技术对疫苗和新疗法的开发、病毒进化的研究等也具有重要作用。在Parize等[17]关于免疫抑制患者感染的双盲多中心前瞻性研究中,高通量基因测序与临床微生物方法相比,检测出病原体数量是后者的3倍左右(36% vs. 11%),其在死菌、使用抗生素的细菌、罕见、不典型及未知病原体、复杂混合感染中优势明显,还可同时检测出病原体类型、毒力及耐药基因,目前二代测序已发展成为基因测序市场的主流测序平台,三代测序平台也开始逐渐走向成熟。

综上所述,在新冠病毒疫情流行的时代背景下,在排查新冠病毒的同时需考虑排查其他少见的传染性疾病以免漏诊。对于来自山区或农村的发热患者,若出现双下肢肌肉酸痛、乏力,在使用青霉素类抗生素后出现咯血、呼吸困难等症状加重的,需高度警惕钩端螺旋体病,并及时处理赫氏反应,对家属做好解释工作避免纠纷。在病原体的明确诊断上,除了传统的检测手段,有条件的医院可考虑使用高通量基因测序方法,其具有灵敏、快速的特点,不仅为临床提供可靠的诊治依据,还为微生物培养结果提供参考,为临床医生在精准化诊治上提供更好的保障。

利益冲突  所有作者声明无利益冲突

参考文献
[1] Esfandiari B, Pourshafie MR, Gouya MM, et al. An epidemiological comparative study on diagnosis of rodent leptospirosis in Mazandaran Province, northern Iran[J]. Epidemiol Health, 2015, 37: e2015012. DOI:10.4178/epih/e2015012
[2] 施旭光, 姜理平, 孙继民, 等. 浙江省钩端螺旋体病10年监测结果分析[J]. 浙江预防医学, 2016, 28(6) 550-552, 556. DOI:10.19485/j.cnki.issn1007-0931.2016.06.003
[3] 王欢, 林旭瑷, 周永列, 等. 问号钩端螺旋体tlyA基因原核表达及其表达产物溶血和致炎作用[J]. 中华微生物学和免疫学杂志, 2015, 35(5): 341-347. DOI:10.3760/cma.j.issn.0254-5101.2015.05.004
[4] Wang H, Wu YF, Ojcius DM, et al. Leptospiral hemolysins induce proinflammatory cytokines through Toll-like receptor 2-and 4-mediated JNK and NF-κB signaling pathways[J]. PLoS One, 2012, 7(8): e42266. DOI:10.1371/journal.pone.0042266
[5] 唐梅荣, 赵金方, 董世雷, 等. 钩端螺旋体LA2144基因产物血小板活化因子乙酰水解酶活性的研究[J]. 中华微生物学和免疫学杂志, 2015, 35(8): 561-567. DOI:10.3760/cma.j.issn.0254-5101.2015.08.001
[6] 李品山. 用山莨菪碱抢救肺弥漫性出血型钩端螺旋体病的27例分析[J]. 中外医疗, 2017, 36(12) 142-143, 146. DOI:10.16662/j.cnki.1674-0742.2017.12.142
[7] 吴梅书. 钩端螺旋体病356例临床分析[J]. 深圳中西医结合杂志, 2015, 25(16): 110-111. DOI:10.16458/j.cnki.1007-0893.2015.16.057
[8] Xue Y, Zhao GD, Qiao LW, et al. Sequencing shorter cfDNA fragments decreases the false negative rate of non-invasive prenatal testing[J]. Front Genet, 2020, 11: 280. DOI:10.3389/fgene.2020.00280
[9] Jennings LJ, Arcila ME, Corless C, et al. Guidelines for validation of next-generation sequencing-based oncology panels: a joint consensus recommendation of the Association for Molecular Pathology and College of American Pathologists[J]. J Mol Diagn, 2017, 19(3): 341-365. DOI:10.1016/j.jmoldx.2017.01.011
[10] 张宁媛, 黄国宁, 范立青, 等. 胚胎植入前遗传学诊断与筛查实验室技术指南[J]. 生殖医学杂志, 2018, 27(9): 819-827. DOI:10.3969/j.issn.1004-3845.2018.09.001
[11] 王念慈, 刘颖, 李晨辉, 等. 宏基因测序技术在2例鹦鹉热衣原体肺炎早期诊治中的作用[J]. 中华急诊医学杂志, 2022, 31(5): 695-696. DOI:10.3760/cma.j.issn.1671-0282.2022.05.023
[12] 孙思, 徐斐翔, 韩奕, 等. 宏基因二代测序技术对肝脓肿病原学诊断的价值[J]. 中华急诊医学杂志, 2021, 30(10): 1229-1234. DOI:10.3760/cma.j.issn.1671-0282.2021.10.013
[13] Garvey MI, Bradley CW, Holden KL, et al. Use of genome sequencing to identify hepatitis C virus transmission in a renal healthcare setting[J]. J Hosp Infect, 2017, 96(2): 157-162. DOI:10.1016/j.jhin.2017.01.002
[14] Houlihan CF, Frampton D, Ferns RB, et al. Use of whole-genome sequencing in the investigation of a nosocomial influenza virus outbreak[J]. J Infect Dis, 2018, 218(9): 1485-1489. DOI:10.1093/infdis/jiy335
[15] Vaughan G, Forbi JC, Xia GL, et al. Full-length genome characterization and genetic relatedness analysis of hepatitis A virus outbreak strains associated with acute liver failure among children[J]. J Med Virol, 2014, 86(2): 202-208. DOI:10.1002/jmv.23843
[16] Lu RJ, Zhao X, Li J, et al. Genomic characterisation and epidemiology of 2019 novel coronavirus: implications for virus origins and receptor binding[J]. Lancet, 2020, 395(10224): 565-574. DOI:10.1016/S0140-6736(20)30251-8
[17] Parize P, Muth E, Richaud C, et al. Untargeted next-generation sequencing-based first-line diagnosis of infection in immunocompromised adults: a multicentre, blinded, prospective study[J]. Clin Microbiol Infect, 2017, 23(8): 574.e1-574.e6. DOI:10.1016/j.cmi.2017.02.006