食管血肿,又称食管壁内血肿(intramural esophageal hematoma, IHE),是一种罕见的食管急危重病变。目前关于IHE文献报道及文献总结较少。本病例经治疗后好转出院,对临床诊治工作有一定指导意义,现报道如下。
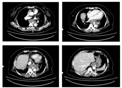
1 资料与方法患者,女性,67岁,因“上腹部不适近1个月,反复呕血2 d”来院。患者近1个月生活压力大,喜食辛辣及过热食物,进食后有上腹部不适感,休息0.5~1 h后缓解,未诊治。2 d前进食槟榔后即刻出现咽喉部至胸骨下端自上而下持续性、撕裂性疼痛感,5 min出现数十次喷射性呕血,鲜红色,每次呕血50 mL左右。就近医院就诊,随访血红蛋白由117 g/L下降至93 g/L。心脏标志物、凝血功能、肾功能电解质基本正常。胃镜示食管内见巨大青紫色曲张静脉,中下段为著,管腔狭窄,局部表面渗血;胃窦见一大小约2.0 cm×2.0 cm带蒂息肉。胸部增强CT示(图 1):(1)所见胸段食管壁弥漫性不均匀增强,下段食管为著,建议胃镜检查及病理活检;(2)双肺散在纤维灶,主动脉和冠状动脉硬化,双侧胸膜增厚,少量胸腔积液。胸主动脉CTA示:食管中下段占位。给予禁食、补液、止血及对症等治疗后,仍有胸骨后持续性疼痛,反复呕血未见明显好转,血红蛋白进行性下降,遂呼叫120转至本院。
|
| 胸段食管壁弥漫性不均匀增强,下段食管为著(白色箭头所指为管壁增厚的食管) 图 1 患者发病当天的外院胸部增强CT |
|
|
入抢救室生命体征:体温36.5 ℃,血压116/75mmHg(1 mmHg=0.133 kPa),心率104次/min,SpO2 96%(不吸氧)。神清,气稍急,双肺呼吸音粗,未及明显干湿啰音。腹软,左上腹有压之不适感,Murphy征阴性,麦氏点无压痛及反跳痛,双下肢不肿。完善相关检查,血红蛋白90 g/L,红细胞压积26.0%,平均红细胞体积97.0 fL,平均血红蛋白量33.6 pg,平均血红蛋白浓度346 g/L,血小板185×109/L, 白细胞计数18.39×109/L,中性粒细胞百分比77.9%。血氨、乳酸正常。D-二聚体1.59 mg/L,C反应蛋白90 mg/L;降钙素原、肝肾功能电解质、心脏标志物:均正常。心电图正常。门静脉CT检查未见异常;食管下段肿胀、管壁增厚,需结合内镜检查;肝及左肾囊肿,胆囊结石,升结肠憩室;两侧胸腔积液。胃镜示全食管巨大血肿,延续至贲门口(会厌部至贲门口见巨大血肿,表面可见纵行裂口,内见血块及坏死物,未见明显活动性出血;贲门口见血块,无明显曲张静脉)(图 2)。
|
| 图 2 患者治疗前胃镜示全食管巨大血肿,延续至贲门口 |
|
|
请多学科(外科、内科、介入科、内镜中心)会诊后,均建议内科保守治疗。给予病危通知,禁食、止血、补液、营养支持及对症治疗后,患者胸骨后持续性疼痛逐渐缓解,呕血明显减少至停止,随访血红蛋白逐渐上升。2周后来院随访血红蛋白118 g/L,随访胃镜:食管距门齿26 cm至贲门见瘢痕改变,余所见食管黏膜正常,齿状线清晰,高位倒转胃底贲门无异常;胃体黏膜稍充血,胃角光滑无溃疡;胃窦体交界处见一大小约1.2 cm息肉,胃窦部蠕动正常;幽门口圆,开闭好。十二指肠球部无溃疡无畸形,降部伸入未见异常(图 3)。
|
| 图 3 患者治疗2周后胃镜示食管疤痕改变,食管黏膜粗糙 |
|
|
该患者出院后1个月、2个月及1年随访,进食软食,均无不适主诉。
2 讨论第一例食管壁内血肿首次报道于1981年[1],该病罕见且危重,需急诊紧急处理及治疗。IHE危险因素包括女性、出凝血功能障碍、外伤(异物或刺激性食物摄入、食道内固定)[2]或自发性[3-4]。IHE三联征包括胸痛、吞咽困难和呕血,但是此三联征只出现在35%患者中,约80%患者表现为三种症状中的两种[5]。临床症状应与急性心肌梗死、心绞痛、主动脉夹层、肿瘤等鉴别。本例患者继发于进食槟榔后发病,与国内曾报道的一例患者有相似诱因[6],通过内科保守治疗后,病情均明显好转。
IHE最常见于食管远端三分之一处,因为横纹肌和毗邻结构如气管、心脏等解剖位置原因导致该处食管支撑不足。本病例中,摄入槟榔可能导致食管黏膜的直接创伤,撕开裂口后,继发性出现全食管段的撕裂。IHE可继发于手术相关的并发症,包括气管插管、内镜检查、食管活检、静脉曲张带结扎和硬化治疗。一部分食管壁内血肿为自发性,可发生在血小板减少症、血友病和使用抗栓药物治疗的患者中,也可发生于接受静脉曲张内镜下治疗的肝硬化患者,还可发生于外部创伤、持续性干呕、食道狭窄、食管异物和动静脉畸形患者。
IHE可以通过多种影像学手段进行诊断,包括钡餐造影、CT、磁共振成像、内镜或内镜超声(endoscopic ultrasonography, EUS)。吞钡可显示纵向食管腔内充盈缺损,并伴有食管腔“双管食管”或“黏膜条状征”[7]。CT是无创的,可以排除其他胸部疾病或周围结构的累及,应作为初步检查的选择。IHE可见对称或不对称食管壁增厚,壁内软组织密度沿食管壁延伸。血肿衰减的测量与形成时间及血液密度相对应[8],造影检查有助于显示狭窄的食管腔以及排除穿孔。出现呕血患者,内镜检查应争取早期完成[9]。IHE典型的内镜表现为阻塞食管腔的、可见蓝色的纵向肿块,食管黏膜易碎,伴或不伴撕裂口。EUS显示黏膜下层呈均匀低回声病变,有助于确诊。IHE诊断主要依靠胃镜检查,无禁忌时建议尽早行胃镜检查以明确病变部位、性质和范围。须注意胃镜检查时不能取活检,否则会加重出血。本例患者结合明确进食槟榔后的即刻胸痛、呕血临床表现,胃镜及CTA表现,IHE诊断明确。
因食管壁内血肿病变常见于黏膜层及黏膜下层,且食管黏膜修复迅速,故大多数采用保守治疗,如禁食、抑酸、保护食管胃黏膜、改善凝血功能、暂停使用抗凝和抗血小板药物、维持水电解质平衡和营养支持等。症状可在2~3周内完全消除,血肿形成溃疡或陈旧性裂痕,往往不留后遗症且很少复发,预后良好。误诊常给患者带来不必要的手术处理及治疗时间的延长。
查阅中外文献,相关报道较少,其中多以病例报道为主。国内已有13例食管内巨大血肿的报道。本研究对这些患者的基本信息、诱发原因、临床表现、住院时间、检查结果进行总结(附表 1)[6, 10-21]。这些患者大都好转出院,发病诱因如吞咽药片卡顿于食管、饮用烧酒、剧烈恶心呕吐、进食辛辣火锅、胃镜活检,临床表现最常见胸骨后持续性烧灼样隐痛、呕鲜红色血、吞咽困难,住院时间多在2周,内镜下表现比较典型(蓝紫色隆起病灶不同程度阻塞食管管腔)。
综上所述,IHE大多预后良好,以内科保守治疗为主,当内科保守治疗无效时可考虑外科手术或介入栓塞治疗。
利益冲突 所有作者声明无利益冲突
本文附件内容见中华急诊网(www.cem.org.cn)
| [1] | Girdwood AH, Silber W, Kottler RE, et al. Intramural rupture of the oesophagus[J]. S Afr Med J, 1981, 60(18): 695-698. |
| [2] | Sharma B, Lowe D, Antoine M, et al. Intramural esophageal hematoma secondary to food ingestion[J]. Cureus, 2019, 11(9): e5623. DOI:10.7759/cureus.5623 |
| [3] | Cheung J, Müller N, Weiss A. Spontaneous intramural esophageal hematoma: case report and review[J]. Can J Gastroenterol, 2006, 20(4): 285-286. DOI:10.1155/2006/764714 |
| [4] | Syed TA, Salem G, Fazili J. Spontaneous intramural esophageal hematoma[J]. Clin Gastroenterol Hepatol, 2018, 16(2): e19-e20. DOI:10.1016/j.cgh.2017.04.027 |
| [5] | Cullen SN, McIntyre AS. Dissecting intramural haematoma of the oesophagus[J]. Eur J Gastroenterol Hepatol, 2000, 12(10): 1151-1162. DOI:10.1097/00042737-200012100-00014 |
| [6] | 侯有奎, 黄燕, 于文英, 等. 食管巨大血肿2例报告[J]. 临床医药文献电子杂志, 2019, 6(86): 176, 192. DOI:10.16281/j.cnki.jocml.2019.86.144 |
| [7] | Hsu CC, Changchien CS. Endoscopic and radiological features of intramural esophageal dissection[J]. Endoscopy, 2001, 33(4): 379-381. DOI:10.1055/s-2001-13696 |
| [8] | Katabathina VS, Restrepo CS, Martinez-Jimenez S, et al. Nonvascular, nontraumatic mediastinal emergencies in adults: a comprehensive review of imaging findings[J]. Radiographics, 2011, 31(4): 1141-1160. DOI:10.1148/rg.314105177 |
| [9] | Ouatu-Lascar R, Bharadhwaj G, Triadafilopoulos G. Endoscopic appearance of esophageal hematomas[J]. World J Gastroenterol, 2000, 6(2): 307-309. DOI:10.3748/wjg.v6.i2.307 |
| [10] | 章华. 吞服药丸所致的食管壁内血肿[J]. 新医学, 1988, 19(4): 179. |
| [11] | 陈玲玲, 游旭东, 魏金枝, 等. 自发性食管壁内及胃底血肿2例[J]. 中原医刊, 2003, 30(5): 65-66. DOI:10.3760/cma.j.issn.1674-4756.2003.05.077 |
| [12] | 贺巍, 范兴爱, 董肇鑫. 呕吐致食管壁内巨大血肿[J]. 临床误诊误治, 2007, 20(2): 11. DOI:10.3969/j.issn.1002-3429.2007.02.086 |
| [13] | 张科防, 梁彩梅, 淡娟, 等. 食管巨大血肿一例报告[J]. 青海医药杂志, 2011, 41(8): 61. |
| [14] | 程功文, 向海鸿, 黄纪木, 等. 食管壁间血肿一例诊疗体会并文献复习[J]. 中国胸心血管外科临床杂志, 2014, 21(5): 710-711. DOI:10.7507/1007-4848.20140205 |
| [15] | 蒯景华, 吴康康, 张爱军, 等. 食管壁内血肿1例报道[J]. 胃肠病学和肝病学杂志, 2016, 25(1): 65-66. DOI:10.3969/j.issn.1006-5709.2016.01.017 |
| [16] | 丁雪丽, 荆雪, 于亚男, 等. 食管黏膜下巨大血肿2例并文献复习[J]. 胃肠病学, 2017, 22(2): 126-128. DOI:10.3969/j.issn.1008-7125.2017.02.017 |
| [17] | 王天锡, 张俊, 崔莉红. 食管黏膜下巨大血肿伴破裂出血1例[J]. 中国中西医结合外科杂志, 2018, 24(3): 351-353. DOI:10.3969/j.issn.1007-6948.2018.03.026 |
| [18] | 魏青林, 陈琨, 徐双年, 等. 自发性食管巨大血肿1例并文献复习[J]. 局解手术学杂志, 2019, 28(8): 674-676. DOI:10.11659/jjssx.03E019063 |
| [19] | 李志军, 潘征, 冀小妍. 食管壁内血肿1例[J]. 医学影像学杂志, 2020, 30(8): 1352, 1542. |
| [20] | 孙燕滨, 袁学敏, 张晴晴, 等. 内镜下黏膜切开治疗食管巨大血肿1例[J]. 中国内镜杂志, 2020, 26(10): 86-88. DOI:10.12235/E20180767 |
| [21] | 张一辰, 杨瑞红, 孙琳. 食管壁间血肿伴低血容量休克1例分析[J]. 中国急救医学, 2020, 40(1): 70-71. DOI:10.3969/j.issn.1002-1949.2020.01.014 |
2022, Vol. 31



