中华急诊医学杂志  2022, Vol. 31 Issue (5): 691-694   DOI: 10.3760/cma.j.issn.1671-0282.2022.05.022
ECMO合并左心减压治疗儿童心功能衰竭5例临床经验分析
宗卿 , 叶莉芬 , 杨丽君 , 林茹     
浙江大学医学院附属儿童医院 国家儿童健康与疾病临床医学研究中心 体外循环和体外生命支持科,杭州 310000

体外膜肺氧合(extracorporeal membrane oxygenation, ECMO)技术已成为急性心功能衰竭患儿的临床首选治疗手段之一[1],其适用的儿科病种包括暴发性心肌炎[2]和复杂先天性心脏病术后体外循环脱机困难等引起的严重心功能衰竭等[3]。常用的插管方式包括颈部插管和正中插管[4]。静脉-动脉体外膜氧合(veno-arterial ECMO, VA-ECMO)能有效恢复患儿全身循环灌注,但对左心室(left ventricle, LV)的潜在影响不容忽视[5]。主动脉插管持续泵血增加主动脉根部压力和左室后负荷,进一步加重左室缺血和室性心律失常[6]。左心室血栓可导致脑梗等致死性并发症[7]。左心减压能快速有效降低左心负荷,为心脏功能恢复争取更多的时间[8]。近年来,ECMO支持下,左心减压对于严重左室功能不全的患儿的重要性已得到广泛认可[9]。截止2020年9月,浙江大学医学院附属儿童医院心脏中心共完成94例患儿V-A ECMO心脏支持,儿童80例(85.1%),新生儿14例(14.9%),撤机率59.6%。2010—2019年V-A ECMO支持下左心减压共完成5例,4例死亡、1例存活,现将相关临床资料和经验分析汇总如下。

1 资料与方法

病例1,男,9岁,32.0 kg,诊断:⑴暴发性心肌炎;⑵阿斯综合征;⑶心搏骤停。入院后频发室颤和心搏骤停,心肺复苏(cardiopulmonary resuscitation, CPR)两次,每次持续约2 min,血管活性药物评分(vasoactive-inotropic score, VIS) > 40分,血压难以维持。急诊PICU床边行ECMO支持。右颈总动脉置入16 Fr爱德华动脉插管,右颈内静脉置入20 Fr爱德华静脉插管。膜肺型号米道斯7000,泵速2 875~4 005 r/min,流量1.65~3.23 L/min,膜前静脉血氧饱和度40%~73%。上机后仍多次发生持续性心搏骤停,对利多卡因、胺碘酮、电复律多次无效。ECMO支持后48 h,经皮血氧饱和度80%,心电图示室性心律,心超示左室射血分数(ejection fraction, EF)20%,行胸骨正中切口,右上肺静脉近左房处置入18 Fr左心引流管。放置左心引流管后,泵速3 315~3 475 r/min,流量2.81~3.24 L/min,膜前静脉血氧饱和度40%~54%。床边心超监测左室壁运动幅度弱,EF从20%逐渐降低至7%。ECMO支持240 h后,心功能难以恢复,放弃治疗后死亡。

病例2,女,2岁8月,10.2 kg,诊断:⑴暴发性心肌炎;⑵心功能衰竭。入院时VIS评分40分,血压70/55 mmHg(1 mmHg=0.133 kPa),pH 7.298,BE -5.4,乳酸(lactic acid, LAC)2.7 mmol/L。心超提示:左室增大(3.4 cm),左心收缩功能减低(EF 29%)。入科后立刻镇静插管,半小时内建立V-A ECMO。颈总动脉置入12 Fr美敦力插管,颈内静脉置入14 Fr美敦力插管。膜肺型号米道斯2400,泵速2 815~3 188 r/min,流量0.47~0.92 L/min,膜前静脉血氧饱和度56%~90%。ECMO上机后20 h。床边心超提示:左室增大(4.1 cm),EF 20%,左室内血液涡流,主动脉瓣开合欠佳。立即于左心耳置入14 Fr引流管。左心减压后,患儿病情逐渐平稳,ECMO运行第5天,患儿左心功能逐渐恢复,撤除左心减压管。撤除左心减压管过程中,ECMO系统肝素维持在28~34 μg/(kg·h),活性凝血时间(activated coagulation time, ACT)维持在142~190 s之间,术后伤口敷料干洁,未见渗血。撤除减压管后约12 h,患儿血气结果提示红细胞压积(hematocrit, HCT)进行性下降,考虑存在内出血可能,立即行床边超声检查,提示左侧胸腔积液(6.0 cm)。立即停用肝素,并输注纤维蛋白原,红细胞1 U等对症处理后,出血症状好转。36 h后开胸清创,吸出陈旧性血液约600 mL。ECMO运行第8天,逐渐降低活性药条件,患儿各项生命支持稳定,成功撤除ECMO。患儿清醒后,无意识障碍,左上肢肌力3级,左下肢肌力2级,完善头颅磁共振检查示:右侧基底节及侧脑室旁低密度灶。对症治疗后,患儿康复医院进一步就诊。

病例3,女,5岁11月,20.0 kg,诊断:⑴暴发性心肌炎;⑵心律失常,室性心动过速。上机时VIS评分50分,心率150次/min,室性心律为主,血压难以测出。pH 7.25,LAC 6.7 mmol/L,PO2 20 mmHg。床边心超提示全心增大,左室壁活动整体减低(EF 28%)。心电图示室性心律。半小时内建立V-A ECMO。颈总动脉置入16 Fr美敦力插管,颈内静脉置入17 Fr美敦力插管。膜肺型号米道斯2400,泵速3 325~3 555 r/min,流量0.89~1.37 L/min,膜前静脉血氧饱和度55%~75%。ECMO系统肝素从8 μg/(kg·h)逐步调至24 μg/(kg·h),ACT维持在160~180 s。ECMO上机后24 h,动态监测床边心超提示:左室进行性增大(3.8 cm至4.4 cm),EF维持30%左右,主动脉瓣开合欠佳。评估后于左心房置入17 Fr引流管。此时停用ECMO系统肝素24 h,ACT维持在150~170 s之间。确定患儿伤口无渗血,胸引液无明显增多,血气中HCT稳定后,再次5 μg/(kg·h)起步使用ECMO肝素,逐步加量,保持ACT在160~180 s之间。左心减压后,患儿心律逐渐恢复至窦性,心音渐强,VIS评分逐步下调至28分。ECMO支持80 h,左心减压56 h后,患儿出现双侧瞳孔不等大,对光反射迟钝。紧急头颅CT示:右侧顶枕叶可见不规则片状高密度影及低密度灶,血肿(部分已吸收)破入脑室,中线明显左偏。家属放弃治疗,撤除ECMO后患儿死亡。

病例4,女,39 d,3.5 kg。诊断:室间隔缺损(ventricle septal defect, VSD)、房间隔缺损(atrial septal defect, ASD)、动脉导管未闭(patent ductus arteriosus, PDA)和左上腔静脉残存。体外循环下行ASD和VSD修补术,PDA结扎术。总转流421 min,主动脉阻断201 min,术中腔静脉回流极差,加入大量晶体液和1 U红细胞,勉强维持转流。第一次开放后心脏未能自主复跳,鼻温33 ℃,K+ 5.8 mmol/L。拆掉补片重新手术,开放后微弱跳动40~70次左右,没有脉压,血气LAC最高11.4 mmol/L,K+4.1 mmol/L,IVS评分20分,心脏收缩乏力,不能脱离体外循环,直接转为ECMO。主动脉置入8 Fr爱德华动脉插管,右房置入18 Fr爱德华静脉插管。膜肺型号米道斯2400,泵速2 965 r/min,流量0.26~0.39 L/min,膜前静脉血氧饱和度68%~83%。转运到CCU后,ECMO流量极度不稳定,无法维持流量。4 h后患儿气道内大量鲜血涌出,心脏几乎无自主搏动,立即右肺静脉近左房处放置10 Fr左心引流。输注白蛋白、纤维蛋白原、红细胞等液体后,ECMO流量勉强维持在0.3 L/min,仍无自主心跳。24 h后左心引流管内血栓形成,重新更换左心引流管,并给肝素3 μg/(kg·h),ACT维持在220~235 s之间。6 h后左心引流管再次血栓形成。复查心超示:右心房小,左心扩大,大部分血流至左心房,左心室。少部分血液流向体循环,心腔内未见血栓,心脏抖动,没有血液搏出。考虑自主心搏难以恢复,ECMO支持51 h,家属放弃治疗后死亡。尸检结果示左上腔静脉结扎,动脉导管未闭。

病例5,男,5个月6 d,7.8 kg。诊断:⑴房间隔和室间隔修补术后2 d;⑵呛奶窒息;⑶心肺复苏后。患儿房间隔缺损和室间隔缺损修补术后2 d,病情平稳已转至普通病房,夜间发生呛奶,心搏骤停,CPR 2 h后恢复室性心律。7 h后CCU床边急诊上ECMO。主动脉置入12 Fr拉菲尔动脉插管,右房内置入16 Fr爱德华静脉插管。膜肺型号米道斯2400,泵速2 820~4 125 r/min,流量0.34~0.68 L/min,膜前静脉血氧饱和度52%~72%。ECMO支持后,左心膨胀,心脏无有效搏动,立即放置10 Fr左心引流管。左心减压后,心功能改善不明显,仍持续室颤,无有效心搏出。因创面持续渗血,未走肝素,三次开胸探查止血均未能找到出血点。多次输注血浆、纤维蛋白原和血小板等凝血物质,创面出血仍不能控制,且ECMO支持24 h后,出现血性腹腔渗透液和血尿。考虑患儿CPR时间过长,继发引起弥散性血管内凝血(disseminated intravascular coagulation, DIC),全身纤溶亢进,出血难以止住,且有效心搏难以恢复,ECMO支持36 h,放弃治疗后死亡。5例患儿信息见表 1图 1

表 1 5例患儿ECMO和左心减压相关临床资料
指标 病例1 病例2 病例3 病例4 病例5
性别
年龄 9岁 2岁8月 5岁11月 39 d 5月6 d
体重(kg) 32.0 10.1 20.0 3.5 7.8
诊断 ⑴暴发性心肌炎;⑵阿斯综合征 暴发性心肌炎 ⑴暴发性心肌炎;⑵室性心动过速 ⑴VSD;⑵ASD;⑶PDA ⑴VSD+ASD术后;⑵呛奶窒息;⑶心肺复苏术后
ECMO插管(Fr) 颈总动脉16颈内静脉20 颈总动脉12颈内静脉14 颈总动脉16颈内静脉17 主动脉8右房18 主动脉12右房16
左心减压指征 低心排;室性心律;SpO2 80%;EF 20% 左心进行性增大;EF 20% 左心进行性增大;EF 30%;室性心律 心脏停搏 心脏停搏
左心减压时机 ECMO支持后48 h ECMO支持后20 h ECMO支持后24 h ECMO支持后4 h ECMO同时
左心减压时长(h) 192 143.5 66 49 36
左心减压管大小(Fr) 18 14 17 10 10
左心减压置管位置 左心耳 左心耳 左心耳 右肺静脉近左房处 左心耳
ECMO时长(h) 240 165.5 90 51 36
转归 死亡 出院 死亡 死亡 死亡
并发症或死亡原因 心功能不能恢复 脑梗死;左侧肢体偏瘫 脑疝 心功能不能恢复 全身DIC
注:VSD为室间隔缺损,ASD为房间隔缺损,PDA为动脉导管未闭,ECMO为体外膜肺氧合,DIC为弥散性血管内凝血

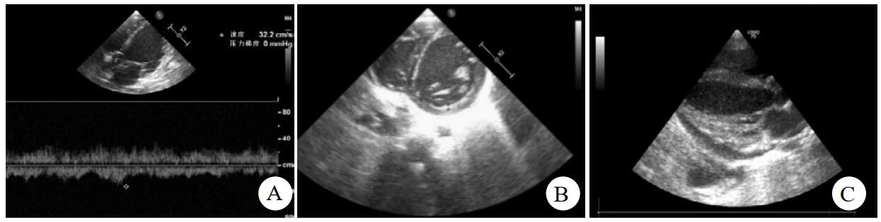
A:病例2左心增大,主动脉瓣流速32.2 cm/s;B:病例2左心增大,室间隔右移;C:病例3左心增大,心包积液 图 1 病例2、病例3心脏超声影像
2 讨论 2.1 左心减压有效性分析

左心减压是否及时有效的主要评估标准包括:左心减压时机是否把握准确和左心减压后左心负荷是否有效卸载。

目前关于左心减压时机尚无明确统一标准。目前临床左心减压时机的参考标准主要包括:⑴严重肺水肿包括气管内大量粉色泡沫痰或X线严重肺水肿表现;⑵中心静脉压进行性升高;⑶肺动脉或毛细血管楔压升高;⑷心超下见左室增大、血液瘀滞或形成涡流、心室内血栓、EF降低、主动脉瓣开合欠佳或不开放;⑸心导管检查示左室充盈,造影剂在肺动脉或左室停滞;⑹顽固性恶性心律失常[10]。另外有多中心研究表明,V-A ECMO支持的儿科患儿中,早期左房减压能减少ECMO相关并发症发生率。左房减压超过18 h,与更长时间的体外膜氧合支持和机械通气相关,与存活率无明显相关[11]。上述5例病例中,病例1 ECMO上机后因心停电除颤两次,48 h后行左心减压。除暴发性心肌炎疾病本身对心脏造成打击外,反复电除颤,是否给心肌细胞造成致命打击,与其后心内电生理传导紊乱,泵功能丧失的恶果直接相关,仍值得探讨。另外左心减压不够及时,左心室膨胀心内膜长时间缺血是导致左心不可逆的损伤的重要因素之一。病例2和病例3均在ECMO支持24 h之内完成左心减压,减压后左心卸载良好,为心功能恢复赢得时间。病例4虽然在ECMO支持4 h内左心减压,但术中错将左上腔静脉当成动脉导管结扎,导致体外循环过程中和ECMO支持后,腔静脉几乎无血液回流,体外过程难以维持,ECMO几乎无流量。PDA未结扎导致大量体循环血倒灌入左心,左心室膨胀心内膜长时间缺血是导致左心不可逆的损伤的重要因素之一。且左心减压管选择过于细小,发生两次堵管,亦是抢救失败的因素之一。病例5 ECMO支持后立即左心减压,但ECMO前发生奶窒息已7 h,CPR 2 h,已发生全身DIC,本身已无ECMO支持指征,左心减压也难以逆转死亡结局。

2.2 左心减压管理细节

左心减压的临床管理细节包括:左心减压管的大小选择、左心减压置管位置和方式选择以及左心减压中的抗凝管理等。

参照患儿体重和相关文献,此类患儿左心减压管一般选择与静脉插管同型号或小一号管道,胸锁乳突肌旁2~3 cm横切口,在左房耳置入左心减压管,能获得较理想的左心减压效果[12]。可根据静脉氧饱和度、床边心超动态监测EF值、左心大小、主动脉瓣开合情况、二尖瓣返流情况等来评估左心减压效果。患儿出现心律逐渐恢复正常、心音增强、VIS评分下降等临床表现,均是左心减压有效的辅助参考指标。病例4因既往经验不足,选用左心减压管过于细小,且右上肺静脉置管引流不畅,减压效果差,为后期堵管埋下隐患。

左心减压是一项全身肝素化下的有创操作。抗凝管理是临床工作的重中之重。左心减压过程是否停用肝素,停用肝素后何时再使用肝素,如何评估是否存在内出血,出现大出血并发症后如何及时有效处理等均是抗凝管理中的重难点。上述5例病例中,4例死亡、1例存活;其中2例(病例1和病例4)因心功能无法恢复导致死亡,1例(病例5)因全身DIC死亡,1例(病例3)因脑疝放弃治疗后死亡,唯一1例存活病例(病例2)亦因脑梗导致左侧肢体偏瘫。病例2左心减压管拔管过程中未停肝素,虽然ACT维持在142~190 s之间,术后伤口敷料干洁,但仍出现左侧胸腔大量出血伴颅内出血。病例3在总结病例2经验基础上,在左心减压置管过程中停用肝素24 h,但仍在左心减压后56 h出现脑梗死和脑疝。病例4体外循环术后转ECMO辅助,因考虑创面出血,未能及时给予肝素抗凝,又及时补充入大量凝血物质,如纤维蛋白原、血小板等,加之左心减压管选择过于细小和右肺静脉置管引流不畅,直接导致两次管道内血栓堵塞。此类患儿因经历过体外肝素化过程,后续ECMO支持治疗中,输凝血物质必须慎重,仔细分析原因后做到有的放矢。

2.3 左心减压与脑梗死

左心减压能够有效缓解左心功能衰竭,为心脏功能恢复赢得时机[13]。但左心减压作为全身肝素化下的有创操作,出血和血栓并发症发生风险概率高[14],尤其并发脑梗和颅内出血后,预后极差[15],应该严格把握好指征,禁止临床滥用。上述5例病例中,2例出现脑梗,其中1例还并发脑疝。综合分析原因可能有如下三点:⑴左心功能衰竭,左心内形成血液涡流,导致左心系统血栓形成;⑵左心减压后,为避免插管部位出血,全身抗凝降级,增加血栓形成风险;⑶左心减压管因插管位置特殊,插管过程中应防止进气。一旦发生左心系统进气,脑梗发生可能性大。

综上所述,在ECMO治疗儿童心功能衰竭病例中,左心减压能够有效缓解左心功能衰竭,为心脏功能恢复赢得时机。但左心减压出血风险不容忽视,应严格把握应用指征,禁止临床滥用,注重细节管理是提高患儿存活率的关键之一。

利益冲突  所有作者声明无利益冲突

参考文献
[1] Jung SY, Shin HJ, Jung JW, et al. Extracorporeal life support can be a first-line treatment in children with acute fulminant myocarditis[J]. Interact Cardiovasc Thorac Surg, 2016, 23(2): 247-252. DOI:10.1093/icvts/ivw114
[2] Ning BT, Zhang CM, Lin R, et al. Local experience with extracorporeal membrane oxygenation in children with acute fulminant myocarditis[J]. PLoS One, 2013, 8(12): e82258. DOI:10.1371/journal.pone.0082258
[3] Deshpande SR, Willett RC, Ramakrishnan K, et al. Circulatory support for prolonged electro-mechanical standstill in fulminant pediatric myocarditis[J]. Int J Artif Organs, 2021, 44(6): 446-450. DOI:10.1177/0391398820972708
[4] Gleeson EI, Cunningham ME, Burgman C, et al. A multidisciplinary approach to VA ECMO cannulation in children[J]. J Pediatr Surg, 2020, 55(7): 1405-1408. DOI:10.1016/j.jpedsurg.2020.03.001
[5] 叶莉芬, 张晨美, 范勇, 等. 体外膜肺氧合救治儿童重度急性呼吸窘迫综合征的适应证和时机[J]. 中华急诊医学杂志, 2019, 28(7): 889-892. DOI:10.3760/cma.j.issn.1671-0282.2019.07.017
[6] Meani P, Gelsomino S, Natour E, et al. Modalities and effects of left ventricle unloading on extracorporeal life support: A review of the current literature[J]. Eur J Heart Fail, 2017, 19(Suppl 2): 84-91. DOI:10.1002/ejhf.850
[7] Bernhardt AM, Hillebrand M, Yildirim Y, et al. Percutaneous left atrial unloading to prevent pulmonary oedema and to facilitate ventricular recovery under extracorporeal membrane oxygenation therapy[J]. Interact Cardiovasc Thorac Surg, 2018, 26(1): 4-7. DOI:10.1093/icvts/ivx266
[8] Coleman RD, Chartan CA, Qureshi AM, et al. Left atrial decompression on venoarterial extracorporeal membrane oxygenation: Getting to the heart of the matter[J]. Pediatr Crit Care Med, 2019, 20(8): 780-781. DOI:10.1097/PCC.0000000000001956
[9] Choudhury TA, Ofori-Amanfo G, Choi J, et al. Left heart decompression on veno-arterial extracorporeal membrane oxygenation in children with dilated cardiomyopathy and myocarditis: An extracorporeal life support organization registry review[J]. Pediatr Crit Care Med, 2021, 22(12): 1026-1032. DOI:10.1097/PCC.0000000000002775
[10] Xie A, Forrest P, Loforte A. Left ventricular decompression in veno-arterial extracorporeal membrane oxygenation[J]. Ann Cardiothorac Surg, 2019, 8(1): 9-18. DOI:10.21037/acs.2018.11.07
[11] Zampi JD, Alghanem F, Yu S, et al. Relationship between time to left atrial decompression and outcomes in patients receiving venoarterial extracorporeal membrane oxygenation support: A multicenter pediatric interventional cardiology early-career society study[J]. Pediatr Crit Care Med, 2019, 20(8): 728-736. DOI:10.1097/PCC.0000000000001936
[12] Mistry MS, Trucco SM, Maul T, et al. Predictors of poor outcomes in pediatric venoarterial extracorporeal membrane oxygenation[J]. World J Pediatr Congenit Heart Surg, 2018, 9(3): 297-304. DOI:10.1177/2150135118762391
[13] 张忠满, 陈旭锋, 张劲松, 等. 急性暴发性心肌炎患者体外膜肺氧合治疗后左心收缩功能观察研究[J]. 中华急诊医学杂志, 2020, 29(2): 213-216. DOI:10.3760/cma.j.issn.1671-0282.2020.02.0025
[14] Alghanem F, Balasubramanian S, Zampi JD. Impact of left atrial decompression on patient outcomes during pediatric venoarterial extracorporeal membrane oxygenation: A case-control study[J]. Pediatr Cardiol, 2019, 40(6): 1266-1274. DOI:10.1007/s00246-019-02147-7
[15] Omar HR, Mirsaeidi M, Mangar D, et al. Duration of ECMO is an independent predictor of intracranial hemorrhage occurring during ECMO support[J]. ASAIO J, 2016, 62(5): 634-636. DOI:10.1097/MAT.0000000000000368