中华急诊医学杂志  2022, Vol. 31 Issue (3): 395-397   DOI: 10.3760/cma.j.issn.1671-0282.2022.03.025
丁醚脲中毒致多器官功能障碍1例
向仕钊1,2 , 杜宇1,2 , 杨旭堃1,2 , 汤海波1,2 , 杨明洋1,2     
1. 四川大学华西公共卫生学院 (华西第四医院) 重症医学科,成都 610041;
2. 四川大学华西 - 协和陈志潜卫生健康研究院卫生应急管理研究中心, 成都 610041

多数杀虫剂中毒由有机磷酸酯和氨基甲酸酯类的杀虫剂所致,硫脲类较少见。丁醚脲是一种新型的低毒硫脲类杀螨、驱虫剂。具有内吸、触杀、胃毒和熏蒸作用。丁醚脲可与多数杀虫及杀菌剂混用,曾有案例报道因服用甲氨基阿维菌素和丁醚脲的混合液而中毒[1],可仅服丁醚脲中毒且短时间内又致机体多器官功能障碍案例未见报道。本院成功救治一例自服丁醚脲中毒致机体多器官功能障碍病例,现报道如下。本病例报道经四川大学华西公共卫生学院(华西第四医院)伦理委员会批准,且所有检验指标及影像学资料均获得患者及其直系亲属知情同意(伦理审批号: HXSY-EC-2022003)。

1 资料与方法

患者女,40岁,2021年6月1日13:00,与家人争吵后自服“丁醚脲”约100 mL(蜱艾星牌,有效成分50%,悬浮剂,净含量200 g,山东奥野生物科技有限公司,生产登记号:PD20152134)。服药20 min后,患者自感恶心、腹胀,意识尚清。不伴头晕、头痛、烧心、胸痛、呕吐、呕血、腹痛、腹泻、抽搐。患者紧张,遂将服药经过告知家人,家人于同日16:00将其送至当地卫生院救治。该院考虑患者为“丁醚脲中毒”,遂予洗胃、导泄、水化利尿促毒物排泄等处理。2021年6月2日16:00,患者病情加重,昏迷不醒,家属遂要求转当地上级医院,上级医院予患者行头部CT检查未见颅内病变,为求进一步治疗家属要求转本院。

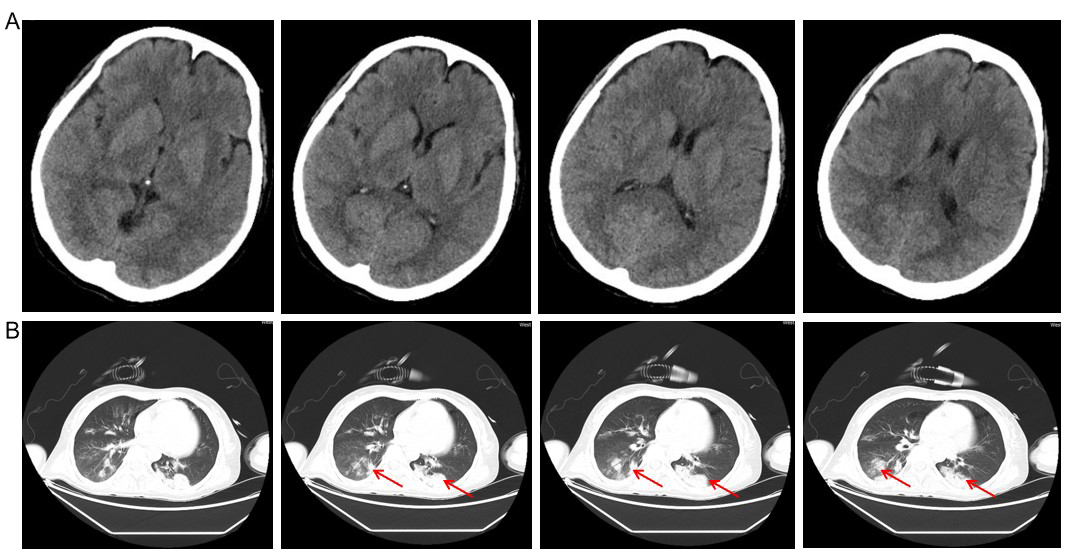
转入本院后即刻给予患者行急诊生化检查。血常规: 白细胞计数13.60×109/L、中性粒细胞% 86.0%、血红蛋白99.0 g/L、血小板计数141.0×109/L。肝肾功能: 白蛋白39.5 g/L、谷丙转氨酶177 U/L、谷草转氨酶207 U/L、总胆红素60.4 μmol/L、直接胆红素20.0 μmol/L、间接胆红素51.1 μmol/L、血氨83 umol/L、尿素6.12 mmol/L、肌酐57.2 μmol/L、尿酸566.3 μmol/L。电解质: 钾4.00 mmol/L、钠140.2 mmol/L、氯108.6 mmol/L、钙2.16 mmol/L、磷0.73 mmol/L、镁1.06 mmol/L。凝血功能:PT 20.3 s、INR 1.83、APTT 27.6 s、FIB 1.47 g/L。因患者病情危重,经与患者家人沟通后转入重症监护室治疗。患者既往有“剖宫产”手术史6年,胆囊结石及皮肤湿疹病史2年。否认肝炎、心脏病、酗酒及精神心理疾病病史。入院查体:体温36.7℃、呼吸频率15次/min、心率74次/min、NBP 121/67 mmHg(1 mmHg=0.133 kPa)、SPO298%(FiO240%)。格拉斯哥评分E1M3V1,皮肤巩膜无黄染,浅表淋巴结未触及,未见肝掌及蜘蛛痣。口腔未闻及异常气味,口腔黏膜无灼伤,口角无偏斜。双侧瞳孔等圆等大约2 mm,对光反射迟钝。颈软,气管居中,三凹征阴性。胸廓无畸形,双肺可闻及湿啰音。心率74次/min,律齐,各瓣膜区未闻及异常。腹彭隆,下腹部可见陈旧性手术疤痕。肝脾未及,肠鸣音减弱。四肢肌张力正常,肌力检查不配合,病理征及脑膜刺激征阴性。完善头胸CT(图 1)及实验室检查(图 23)。诊断: ①急性杀虫剂中毒(丁醚脲); ②中毒性肝衰竭; ③肝性脑病; ④吸入性肺炎。予导泄、利尿、抑酸护胃、保肝、血液灌流(HA230, 每次2 h)、抗感染、降血氨等综合治疗。2021年6月3日09:00患者深昏迷、无尿、外周指脉氧约80%(面罩吸氧)。动脉血气分析pH 7.27、PCO2 32 mmHg、BE -12.2 mmol/L、HCO3-14.7 mmol/L、Lac 7.6 mmol/L。谷丙转氨酶14 213 U/L、谷草转氨酶 >15 000 U/L、总胆红素79.9 μmol/L、直接胆红素66.1 μmol/L、间接胆红素25.3 μmol/L、尿素8.14 mmol/L、肌酐167.3 μmol/L、血氨473 umo/L、LDH>20 000 U、cTnI 0.52 ng/mL。予气管插管有创辅助通气[7.5号气管导管,经口可视喉镜气管插管,插管深度为距离门齿23 cm;ASV通气模式,FiO2100%、PEEP 5 cmH2O(1 cmH2O=0.098 kPa)]、床旁血液灌流(健帆血液灌流机,HA230,吸附剂树脂,初始引血速度100 mL/min,目标血流速度180 mL/min,治疗时间2~3 h)联合CVVHDF(Fresenius,治疗剂量25 mL/kg•h,目标血流速度180 mL/min,置换液流速1 000 mL/h,前稀释,低分子抗凝,负荷剂量60~80 IU/kg,维持剂量4~6 IU/Kg,治疗时间12~24 h)等治疗。第6天脱机拔管,一般情况好转(图 23),第8天康复出院。出院后1周、1月及半年随访患者健康状况良好,完全恢复日常生活。

A: 头部CT提示未见异常;B: 胸部CT,箭头所示双肺感染 图 1 头胸部CT平扫情况

患者血Lac、WBC、PT、APTT、D2D及cTnI均在起病后第3~4天达高峰,而PLT则降低最明显 图 2 住院期间部分检验结果变化趋势

患者肝功能指标ALT、AST、NH3、TBiL、BDiL、IDiL异常均在起病第3~4天达高峰 图 3 部分肝功能指标变化趋势
2 讨论

常用的杀虫、除草剂包括有机磷类、氨基甲酸酯类、拟除虫菊醋类、甲脒类等,其中以有机磷类最常见,临床中毒案例中也以有机磷类中毒占比最多。临床上因此类农药中毒致机体多个靶器官受损案例时有报道,徐保平等[2]曾报道一例服用氨基甲酸酯类杀虫剂丁硫克百威致横纹肌溶解合并急性呼吸衰竭案例。丁醚脲是硫脲类杀螨、驱虫剂,无特殊气味,对人、畜为中等毒性,较少有昆虫对此杀虫剂耐药[3],使得生活中得以广泛使用。该药通常经呼吸道吸入、消化道食入中毒,中毒症状不典型,无特效解毒剂。

本例患者中毒特点是病程进展迅速,中毒1 d后即出现意识障碍,与郑武洪等[1]报道病例虽相似却又有所不同,不同处在于后者案例含有甲氨基阿维菌素,患者意识障碍为甲氨基阿维菌素的中枢神经系统损害作用所致[4]。本案例虽早期也出现意识障碍,可头部CT检查却无异常发现(图 1A),患者短时间内出现意识障碍其具体原因不清,可能与靶器官肝脏受损血氨升高致肝性脑病相关,也可能为丁醚脲潜在的中枢神经系统损害相关所致。目前,丁醚脲是否具有中枢神经系统损害作用尚无相关研究。本案例中毒2~4 d后即出现心脏、肝脏、肾脏、凝血功能、造血功能等多个器官功能障碍(图 1~3),其中尤以肝功能损害为重(图 3)。研究发现,甲氨基阿维菌素和丁醚脲混合中毒可在病程早期出现休克、多器官功能障碍、代谢性酸中毒等,肝酶可在中毒后第3天升高达高峰[1],此案例与之类似。但罗醒政等[5]研究发现,肝酶异却多在中毒后第4~5天达峰,其原因可能与丁醚脲独特的肝脏损害机制有关[6],有待进一步对其具体肝毒性分子机制进行深入研究。本例患者病程早期即出现高乳酸血症(图 2A),一方面,可能与丁醚脲具有抑制有氧代谢作用相关[7],致使三羧酸循环代谢通路异常,乳酸堆积。另一方面,可能为丁醚脲的肝毒性作用,肝功能受损后乳酸清除障碍。机体严重感染会导致造血抑制,进而引起血小板减少[8],血小板减少的程度可间接反应炎症反应的危重程度[9]。本病例患者在起病第3~4天炎症反应达高峰(图 2B),可能与患者昏迷误吸致吸入性肺炎肺部感染加重有关(图 1B)。受炎症反应影响,血小板也在此时间段内降到最低。此外,也可能为丁醚脲中毒本可导致血小板减少[10]。病程后期血小板逐步回升(图 2C),一方面,患者肺部感染得到了控制。另一方面,血液灌流及血液净化及时清除了毒性成分及炎性因子。除了肝功能、有氧代谢及造血功能受损以外,心肌及凝血功能也有受损(图 2DEF),并且表现出与上述靶器官受损类似的特点。部分原因为此阶段炎症瀑布反应所致,也可能是丁醚脲对心肌及凝血功能的损害作用导致,其具体机制不清,有待进一步研究。

丁醚脲中毒病例国内外未曾检索到有报道,中毒机理不清,临床诊治可参考资料有限。观察本案例发现,患者早期以消化道症状恶心、腹胀为主要表现,病程进展极快。诊断主要靠明确的毒物接触史,同时结合相关检验及影像学资料。治疗上除遵循常规毒物中毒救治方法如洗胃、导泻、补液促排泄外,可尽早予患者行血液灌流及血液净化治疗[11]。目前,国内有HA130、HA230及HA330三种树脂血流灌流器[12]。HA230适用于各种相对分子质量在200~10000的药物、毒物中毒,尤其适用于救治亲脂疏水性和与蛋白结合率较高的毒物中毒。丁醚脲相对分子质量为384.58,故本例患者血液灌流器选用了HA230。本病例在病程早期即出现严重肝、肾、内环境等靶器官损害,肝功能损害以肝酶、血氨及胆红素升高为主。肾功能损害表现为尿量逐步减少,血肌酐上升。内环境异常表现为早期血乳酸水平升高,最高达10.3 mmol/L,病程中患者循环未曾受影响,高水平的血乳酸其原因可能为肝功能异常所致。连续性静脉-静脉血液透析滤过(CVVHDF)为“对流+弥散”尤其适合对中小分子的清除,故本案例在血液灌流基础上同步给予了血液净化治疗,也取得了满意疗效(图 23)。但是,常规治疗基础上给予“HA230+CVVHDF”治疗究竟能多大程度提高此类病例救治成功率,有待后续对此类病例大样本的深入研究。

综上所述,丁醚脲中毒短时间内可致多个靶器官损害,尤以肝脏功能受损为重。无特效解毒剂,常规治疗基础上尽早予患者行血液灌流及血液净化治疗,可提高救治成功率。

利益冲突  所有作者声明无利益冲突

参考文献
[1] 郑武洪, 李世峰, 高灵, 等. 甲氨基阿维菌素和丁醚脲混合中毒一例[J]. 中华急诊医学杂志, 2019, 28(12): 1575-1576. DOI:10.3760/cma.j.issn.1671-0282.2019.12.027
[2] 徐保平, 朱森, 王晓涛, 等. 丁硫克百威中毒致横纹肌溶解和急性呼吸衰竭一例并文献复习[J]. 中华急诊医学杂志, 2021, 30(11): 1381-1383. DOI:10.3760/cma.j.issn.1671-0282.2021.11.020
[3] Wang J, Zheng XB, Yuan JJ, et al. Insecticide resistance monitoring of the diamondback moth (Lepidoptera: Plutellidae) populations in China[J]. J Econ Entomol, 2021, 114(3): 1282-1290. DOI:10.1093/jee/toab027
[4] 卢延旭, 倪仁斌, 孟碟, 等. 甲氨基阿维菌素苯甲酸盐的中毒机制分析[J]. 中国刑警学院学报, 2013(4): 53-55. DOI:10.14060/j.cnki.zgxjxyxb.2013.04.002
[5] 罗醒政, 区淑华. 阿维丁醚脲中毒致急性化学性肝损伤一例[J]. 临床内科杂志, 2013, 30(4): 281. DOI:10.3969/j.issn.1001-9057.2013.04.023
[6] Yang CC. Acute human toxicity of macrocyclic lactones[J]. Curr Pharm Biotechnol, 2012, 13(6): 999-1003. DOI:10.2174/138920112800399059
[7] Ruder F, Kayser H. The thiourea insecticide diafenthiuron inhibits mitochondrial ATPase in vitro and in vivo by its carbodiimide product[J]. Biochem Soc Trans, 1994, 22(1): 241-244. DOI:10.1042/bst0220241
[8] Ghimire S, Ravi S, Budhathoki R, et al. Current understanding and future implications of sepsis-induced thrombocytopenia[J]. Eur J Haematol, 2021, 106(3): 301-305. DOI:10.1111/ejh.13549
[9] del Sole F, Farcomeni A, Loffredo L, et al. Features of severe COVID-19: A systematic review and meta-analysis[J]. Eur J Clin Invest, 2020, 50(10): e13378. DOI:10.1111/eci.13378
[10] Riaz-Ul-Haq M, Javeed R, Iram S, et al. Effect of Diafenthiuron exposure under short and long term experimental conditions on hematology, serum biochemical profile and elemental composition of a non-target organism, Labeo rohita[J]. Environ Toxicol Pharmacol, 2018, 62: 40-45. DOI:10.1016/j.etap.2018.06.006
[11] Tandukar S, Palevsky PM. Continuous renal replacement therapy: who, when, why, and how[J]. Chest, 2019, 155(3): 626-638. DOI:10.1016/j.chest.2018.09.004
[12] Ankawi G, Fan W, Pomarè Montin D, et al. A new series of sorbent devices for multiple clinical purposes: Current evidence and future directions[J]. Blood Purif, 2019, 47(1/3): 94-100. DOI:10.1159/000493523