消化道异物是指在消化道内不能被消化且未及时排出而滞留的物体,因异物的种类、停留部位及时间不同,临床表现不一。80%~90%消化道异物可自行排出,10%~20%的异物需内镜处理,仅1%的异物需要外科手术[1-2]。在消化道异物中,约85%上消化道异物为食管异物[3-5],结肠异物较上消化道异物少见,因整个结肠较长、生理弯曲较多、操作空间小,加之尖锐异物易导致穿孔、出血的发生,使得内镜下取物困难。若未发生出血或穿孔等并发症,则可通过内镜取出。本文报道1例内镜下成功取出迁移性尖锐异物,患者未发生穿孔、出血等并发症,并于术后1 d出院,现报道如下。
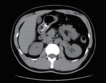
1 一般资料患者,男性,32岁,职员,因“误吞金属钉状物7 d”就诊。患者7 d前误吞入金属钉状物一根(大小约3 cm),患者无明显不适症状,未诊治。4 d前出现下腹隐痛,行急诊全腹CT检查,见图 1,行急诊胃镜检查未见明显异物。后复查腹部CT示异物进入小肠内(图 2),普外科会诊建议随访。2 d前复查腹部CT(图 3),继续保守治疗。1 d前患者为行异物取出入院,复查腹部CT可见异物至结肠内(图 4)。急诊予以聚乙二醇电解质散导泻清肠,行无痛肠镜下异物取出术。本文已通过本院伦理委员会审批,伦理审批号为:(2021)伦审研第(0252)号,并通过免除知情同意申请。完善术前检查,进行药物导泻清肠时,关注患者有无腹痛等现象,以免因服用药物清肠,肠蠕动加快,尖锐异物在消化道内随蠕动前行,尖端嵌插在肠壁中而停滞不前,并随着后方内容物的推进,加深尖锐异物刺入肠壁,最终导致穿孔及出血的发生。本例患者安置在独立单人间进行肠道准备,不定时进行腹部查体及观察排泄物的性状,早期发现穿孔、出血指征,以便尽早进行外科手术干预。与此同时,内镜中心医护人员联合外科、放射科、麻醉科医生制定诊疗方案,若发生此类情况,立即予急诊行腹部X线或CT检查,一旦确定出现穿孔或出血等情况,即刻行急诊手术治疗。
|
| 图 1 腹部CT示胃窦幽门部尖锐异物 |
|
|
|
| 图 2 腹部CT示小肠内条索状致密影,周边放射状明显,邻近肠系膜未见渗出和积气 |
|
|
|
| 图 3 腹部CT示升结肠起始部管腔内致密影,约3.2 cm, 周边放射状明显,邻近肠系膜未见渗出和积气 |
|
|
|
| 图 4 腹部CT示回盲部致密影,提示异物 |
|
|
与传统外科手术相比,内镜处理具有创伤小、并发症少、恢复快、费用低等特点[6]。原则上,若患者可耐受内镜操作且无并发症发生,均为内镜异物取出术的适应证。有研究指出,建立快速反应梯队、应急预案,可以改善患者结局[7]。本案例中患者无感染、出血、穿孔或异物导致局部脓肿等现象,为内镜异物取出适应证。但因尖锐异物滞留于结肠,导致内镜取物操作难度较高。操作过程中易出现穿孔、出血等现象,故内镜中心联合放射科医生、外科医生进行多学科会诊,针对患者情况,制定多学科协作诊治及应急方案。若患者术中出现出血、穿孔等现象,首先考虑内镜下止血等操作。内镜治疗无效情况下,启动应急预案,即立即联系外科医生及手术室,开通绿色通道,15 min内准备好手术间,手术室专科护士立即就位;于此同时,联系运送中心主管,运送工人5 min到达内镜中心,且开启手术专梯,协助内镜中心医生、护士及麻醉师,共同转运患者至手术室行手术治疗。
2.2 术前准备及术中配合根据无痛胃肠镜要求,对患者进行肠道准备及禁食禁饮宣教,护士加强患者心理支持,并做好仪器设备准备,如抢救车、除颤仪等。结肠镜前端置透明帽后循腔进镜,经直肠、乙状结肠、降结肠、横结肠时,见1个条形金属异物,长约3 cm(图 7),观察到一端已插入肠壁,首先选用异物钳将插入尖锐端金属轻轻拔出。为避免金属钻易脱落,强行取出异物容易造成肠道二次损伤,改用圈套器将尖锐端套住收紧后拉入透明帽内配合医生不断变换角度,调整方向,使异物方向和镜身尽量保持平行(图 8)缓慢通过各结肠弯曲部,顺利将异物取出(图 9)。整个内镜操作过程只用了15 min,无出血和穿孔等并发症发生。
|
| 图 7 通过横结肠,可见尖锐异物 |
|
|
|
| 图 8 圈套器将尖锐端套住收紧后拉入透明帽内,调整方向,使异物方向使镜身尽量保持平行,缓慢通过各结肠弯曲部 |
|
|
|
| 图 9 取出尖锐异物,长度约5 cm |
|
|
厌氧破伤风梭菌在缺氧环境中大量繁殖并产生痉挛毒素阻断中枢抑制性神经递质释放,引起全身肌肉阵发性强直痉挛,严重时可发生喉痉挛、窒息、呼吸衰竭等[8-10]。在一项大样本破伤风患者研究中发现,21.9%患者无明显的侵入伤口,因此推测破伤风梭菌科通过小的擦伤创面侵入机体[11]。本例中金属异物已经插入肠壁,且异物存在体内约一周时间,因此考虑到其存在感染风险,给予破伤风类毒素脱敏注射治疗。破伤风抗毒素脱敏注射很容易引起多种变态反应, 据临床报告, 其引起的过敏反应率为5%~30%[12]。本例中待患者苏醒后,告知脱敏注射的目的、风险等,行皮试进一步脱敏注射。若出现过敏反应,立即启动内镜中心过敏应急预案,立即停止脱敏注射,并告知医生给予抗过敏治疗,根据过敏的严重程度,给予不同的治疗措施。若出现严重的过敏性休克反应,则参照内镜中心过敏性休克应急预案进行。
术后患者转至复苏室进行复苏,待苏醒后,转至病房。指导其禁食禁饮6 h,适量温凉流质2 d、无渣半流质3 d、少渣饮食2周,并告知观察有无腹痛、大便颜色等。本例患者于术后1 d出院,每周进行电话随访,追踪随访1月,返院复查,行腹部CT检查,未发生出血、感染、脓肿等现象。
3 讨论结肠异物较上消化道异物、直肠异物少见,大多数为经口吞入异物,并随着肠蠕动进入至结肠。目前针对下消化道异物处理国内外暂无指南或专家共识,临床上基本按照上消化道异物处理策略开展。结肠异物的诊断主要依赖于腹部体格检查、病史采集、腹部CT/X线检查。其治疗主要根据患者的症状、异物的大小、性质及滞留位置决定[13]。吕颜智等[14]通过血清降钙素原对急性消化道出血部位进行预测,发现下消化道穿孔者血清降钙素原有较好的预测作用。可作为判断是否发生穿孔的指标之一。本例患者采用多学科联合协作,联合放射科、外科等制定诊疗和应急预案,选择最佳治疗方案,成功在内镜下取出迁移性结肠异物,无并发症的发生。护士在操作配合中需注意:(1)肠镜前端使用内镜专用透明帽,收住尖锐异物后要拉入透明帽内,与镜身保持平行(图 8),可防止异物尖端撕裂黏膜;(2)术中异物钳改用圈套器能更牢固收紧尖锐异物,防止退镜过程中因异物脱落或划伤黏膜造成二次损伤[15]。
| [1] | 张敏, 杜智军, 陈建勋, 等. 消化道尖锐异物的外科治疗[J]. 南通大学学报(医学版), 2020, 40(6): 588-589. DOI:10.16424/j.cnki.cn32-1807/r.2020.06.031 |
| [2] | Birk M, Bauerfeind P, Deprez PH, et al. Removal of foreign bodies in the upper gastrointestinal tract in adults: European Society of Gastrointestinal Endoscopy (ESGE) Clinical Guideline[J]. Endoscopy, 2016, 48(5): 489-496. DOI:10.1055/s-0042-100456 |
| [3] | 中国企业管理研究会公共卫生与医疗健康管理研究院浙江长三角健康科技研究院老年病急救技术研究部浙江省增龄与理化损伤性疾病诊治研究重点实验室浙江省医学会创伤医学分会. 成人食管异物急诊处置专家共识(2020版)[J]. 中华急诊医学杂志, 2021, 19(1): 25-30. DOI:10.3760/cma.j.issn.1671-0282.2021.01.007 |
| [4] | Geng C, Li X, Luo R, et al. Endoscopic management of foreign bodies in the upper gastrointestinal tract: a retrospective study of 1294 cases[J]. Scand J Gastroenterol, 2017, 52(11): 1286-1291. DOI:10.1080/00365521.2017.1350284 |
| [5] | Zhang SH, Cui Y, Gong XR, et al. Endoscopic management of foreign bodies in the upper gastrointestinal tract in South China: a retrospective study of 561 cases[J]. Dig Dis Sci, 2010, 55(5): 1305-1312. DOI:10.1007/s10620-009-0900-7 |
| [6] | 中国上消化道异物内镜处理专家共识意见(2015, 上海). 中华消化内镜杂志, 2016, 33(1): 19-28. DOI: 103760/cma.j.issn.1007-5232.2016.01.003. |
| [7] | 徐莉, 潘胜东, 夏萍, 等. 大型公立综合医院实施快速反应小组的效果评价[J]. 中华急诊医学杂志, 2021, 30(11): 1390-1393. DOI:10.3760/cma.j.issn.1671-0282.2021.11.023 |
| [8] | Rossetto O, Scorzeto M, Megighian A, et al. Tetanus neurotoxin[J]. Toxicon, 2013, 66: 59-63. DOI:10.1016/j.toxicon.2012.12.027 |
| [9] | 陈羽婷, 马慧敏, 熊号峰, 等. 48例成人破伤风患者的临床特点及救治分析[J]. 北京医学, 2018, 40(7): 683-686. DOI:10.15932/j.0253-9713.2018.07.022 |
| [10] | 张炜. 成人破伤风急诊预防及诊疗专家共识[J]. 临床急诊杂志, 2018, 19(12): 801-811. DOI:10.13201/j.issn.1009-5918.2018.12.001 |
| [11] | Thwaites CL, Yen LM, Nga NT, et al. Impact of improved vaccination programme and intensive care facilities on incidence and outcome of tetanus in southern Vietnam, 1993-2002[J]. Trans R Soc Trop Med Hyg, 2004, 98(11): 671-677. DOI:10.1016/j.trstmh.2004.01.008 |
| [12] | Golikhatir I, Montazer SH, Bagheri N, et al. Diagnostic accuracy of quick stick for identifying traumatic patients in need of tetanus prophylaxis; a cross-sectional study[J]. Emerg, 2017, 5(1): e66. |
| [13] | Ross E, McKenna P, Anderson JH. Foreign bodies in sigmoid colon diverticulosis[J]. Clin J Gastroenterol, 2017, 10(6): 491-497. DOI:10.1007/s12328-017-0786-4 |
| [14] | 吕颜智, 周业江. 血清降钙素原对急性消化道穿孔部位的预测价值[J]. 中华急诊医学杂志, 2021, 30(11): 1353-1357. DOI:10.3760/cma.j.issn.1671-0282.2021.11.013 |
| [15] | 贾国法, 单红, 张迪, 等. 结肠镜下取出升结肠滞留十年的尖锐异物一例[J]. 中华消化内镜杂志, 2018, 35(5): 371-372. DOI:10.3760/cam.j.issn.1007-5232.2018.05.020 |
2022, Vol. 31

