2. 浙江衢化医院急诊科,衢州 324004;
3. 浙江省衢州市中医医院急诊科,衢州 324000
2. Department of Emergency Medicine, Zhejiang Quhua Hospital, Quzhou 324000, China;
3. Department of Emergency Medicine, Quzhou Hospital of Chinese Medicine, Quzhou 324000, China
随着我国社会与经济的快速发展,安全生产相关的突发公共事件呈现增长趋势,且越来越受到公众的广泛关注,需要迅速高效地展开救治,尽最大努力减少伤亡,常使政府和医院承受巨大的压力。笔者所在地区有众多化工企业,容易发生各种危险化学品中毒事件,其中以有机氟气体中毒常见。有机氟气体是指有机氟单体、裂解气、残液气或热解气,广泛应用于农药、医药、材料、原子能、航空航天等各个领域,吸入中毒后引起以呼吸系统损害为主的全身性疾病[1]。体外膜氧合(ECMO)作为严重呼吸和循环衰竭救治的有效手段,近年来在国内的应用越来越广泛。已有ECMO用于严重气体中毒救治的个案报道[2-3],但还未见在突发群体中毒事件中的应用。2021年1月4日一起76人有机氟混合气体暴露事故中,13例中毒,本院对其中4例极危重患者使用ECMO治疗且全部存活,现将相关情况总结报道如下。
1 资料与方法 1.1 一般资料2021年1月4日,本院收治某氟化工企业急性重度有机氟混合气体中毒患者4例,均为男性;年龄43~64岁,(52±9)岁。当日上午8:40工作时吸入不明气体,出现不同程度的胸闷、咳嗽、咽喉不适等症状,并进行性加重,于14:20由120送至本院急诊科。所有患者以呼吸困难、胸闷、咳嗽为主要症状,两肺布满湿啰音,预检时指脉搏氧饱和度为66%~90%,1例合并烦躁、恶心呕吐。入急诊时的情况见表 1。3例行胸部CT检查,1例行床边胸片检查,两肺均呈不同程度弥漫性渗出性改变。急查血氟浓度0.134~0.204 mg/L,平均(0.161±0.030) mg/L;尿氟35.4~519.0 mg/L,平均(195.7±218.9)mg/L。根据流行病学史、临床表现、影像学和实验室检查结果,参照《职业性急性有机氟中毒诊断标准》(GBZ66-2002),均诊断为急性重度有机氟气体中毒[4]。本研究经过医院伦理委员会审议通过(伦理审查编号:2021LW10)。所有患者均签署知情同意书。
| 病例 | 年龄 (岁) |
体重 (kg) |
体温 (℃) |
心率 (次/mim) |
呼吸 (次/min) |
血压 (mmHg) |
氧饱 和度 |
氧疗 方式 |
PO2 (mmHg) |
PO2/ FiO2 |
PCO2 (mmHg) |
pH值 | Lac (mmol/l) |
WBC (×109) |
Hbg (g/L) |
HCT (%) |
| 1 | 49 | 70 | 37.3 | 147 | 30 | 134/94 | 66% | 机械通气 | 61.9 | 101 | 35.1 | 7.369 | 2.4 | 22.8 | 178 | 50.51 |
| 2 | 52 | 55 | 35.7 | 76 | 22 | 111/50 | 89% | 面罩5 L/min | 72.3 | 219 | 42.6 | 7.411 | 1.7 | 14.5 | 145 | 43.3 |
| 3 | 64 | 64 | 38.9 | 101 | 26 | 153/89 | 89% | 面罩5 L/min | 59.6 | 119 | 33.2 | 7.472 | 1.8 | 11.1 | 129 | 41.23 |
| 4 | 43 | 73 | 35.9 | 88 | 22 | 186/113 | 90% | 面罩5 L/min | 87.9 | 266 | 36.9 | 7.445 | 2.3 | 10.2 | 144 | 40.9 |
| 注:PO2为动脉血氧分压;FiO2为吸入氧体积分数;PCO2为动脉血二氧化碳分压;Lac为乳酸;WBC为白细胞计数;Hbg为血红蛋白;HCT为红细胞压积 | ||||||||||||||||
入急诊后每个危重患者安排专门的医护小组负责抢救,常规给予面罩吸氧,建立静脉通路,静脉滴注甲基强的松龙240 mg/次、2次/d, 乌司他丁30万U/次、3次/d[5]。1例立即予气管插管、机械通气,其他3例患者在收住ICU后进行;4例患者的气管插管发生在中毒后6~16 h、(13.0±4.8)h;呼吸机治疗持续7~66 d,(23.0±28.7) d。
4例患者气管插管后气道内均有大量淡黄色的肺水,机械通气后氧合、血流动力学状况仍然持续恶化,予血管活性药物和ECMO支持,其中VV-ECMO(1例8 h后转VA- ECMO)和VA-ECMO各2例;1例在中毒后第5天将VA-ECMO转为VV-ECMO,次日左下肢截肢后发生心脏骤停、紧急转换为VA-ECMO。1例VA-ECMO上机后血流量最低至0.8 L/min,前2 h低于1.5 L/min。4例患者在中毒后8~20 h使用ECMO,(15.5±5.3)h;ECMO治疗持续6~14 d,(8.8±3.6)d后均成功撤机。4例患者均在ECMO支持下、血流动力学趋于稳定后行俯卧位通气,在ECMO治疗后(52.75±37.44)h开始,每例实施(3.8±1.0)次,每次持续(14.5±4.3)h。
4例患者均因无尿和内环境紊乱行血液净化治疗,在中毒后14~21 h使用连续肾脏替代治疗(CRRT),每天(17.3±3.0)h;持续时间6~61 d,(21.0±26.7)d。患者主要救治措施的时间见表 2,ECMO上机前的情况详见表 3。
| 病例 | 就诊时间 (h) |
气管插管 时间(h) |
ECMO上机 (h) |
CRRT 上机(h) |
机械通气 持续时间(d) |
ECMO 持续时间(d) |
CRTT 持续时间(d) |
ICU住院 时间(d) |
总住院 时间(d) |
| 1 | 6 | 6 | 8 | 14 | 66 | 14 | 61 | 125 | 156 |
| 2 | 6 | 14 | 16 | 16 | 10 | 8 | 8 | 18 | 36 |
| 3 | 6 | 16 | 18 | 18 | 7 | 6 | 6 | 11 | 24 |
| 4 | 6 | 16 | 20 | 21 | 9 | 7 | 9 | 14 | 32 |
| 注:ECMO为体外膜肺氧合;CRRT为连续性肾脏替代治疗 | |||||||||
| 病例 | APACHE Ⅱ 评分 |
PO2/FiO2 | 机械通气 时间(h) |
PC/PEEP (cmH2O) |
pH值 | 乳酸 | 去甲肾上腺素 [μg/(kg·min)] |
肾上腺素 [μg/(kg ·min)] |
| 1 | 26 | 45 | 2 | 20/15 | 7.26 | 1.7 | 2.86 | 0.24 |
| 2 | 21 | 101 | 4 | 20/15 | 7.07 | 1.5 | 0.66 | 0.04 |
| 3 | 24 | 71 | 3 | 20/15 | 7.20 | 2.3 | 0.54 | 0 |
| 4 | 22 | 67 | 3 | 20/15 | 7.02 | 2.4 | 0.90 | 0.18 |
| 注 :APACHE Ⅱ为急性生理学和慢性健康评分 ;PO2 为动脉血氧分压 ;FiO2 为吸入氧体积分数 ;PC 为压力控制 ;PEEP 为呼气末正压 | ||||||||
2例患者并发上消化道出血,其中1例为大出血,经应用质子泵抑制剂和输血治疗后稳定。2例患者并发深静脉血栓,1例ECMO置管侧颈内静脉血栓,1例左下肢肌间静脉血栓,均经抗凝治疗后消失。1例ECMO股动脉置管后发生下肢缺血坏死,第6天行髋关节离断截肢;1例拔除ECMO股动脉置管后发生假性动脉瘤,局部加压包扎3周后愈合。ECMO运行期间未发生院内感染,撤机后1例发生了肺部感染、血流感染,均得到有效控制。
2 结果患者出院后每周复诊,1个月后每月复诊,3个月后每3个月复诊。除最危重的1号病例需用拐杖辅助行走外,其他患者均顺利回归社会,完全具备生活自理能力和低-中强度劳动能力。中毒后患者胸部CT或X线摄片呈两肺广泛性渗出,24 h内渗出至实变。中毒后3~5 d胸部X线摄片提示渗出开始吸收,2~4周胸部CT渗出完全吸收,其中2例患者残留少量条索纤维化病变,肺功能均恢复正常。中毒后4个月复查胸部CT病灶完全吸收。
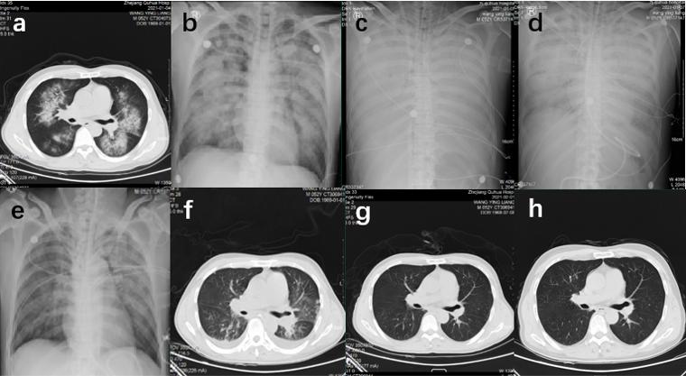
以2号病例(见图 1)为例,患者中毒后6 h胸部CT呈双肺广泛渗出、磨玻璃样变;13 h胸部X线摄片呈双肺广泛实变,典型的“大白肺”;1 d后仍为双肺实变;3 d后双肺实变开始减轻;7 d后肺部渗出明显减少,部分磨玻璃样变;12 d后CT提示双肺呈少量磨玻璃样变;中毒29 d胸部CT仅余胸膜下少量条索纤维化病变;中毒后127 d复查CT条索纤维化病变也完全吸收。
|
| A:中毒后入院时胸部CT;B:中毒后行ECMO前胸部X线摄片;C:中毒后2 d胸部X线摄片; D:中毒后4 d胸部X线摄片; E:中毒后8 d胸部X线摄片; F:中毒后13 d胸部CT; G:中毒后29 d胸部CT;H:中毒后127 d胸部CT 图 1 病例2中毒后胸部影像学的动态变化 Fig 1 Dynamic changes of chest imaging after poisoning in case 2 |
|
|
有机氟气体无色无味,中毒常隐匿,不易察觉。大多数有机氟气体尤其是八氟异丁烯对肺有很强的毒性,且尚无特效解毒剂[2, 6];而氟烷烃类及氟烯烃类有机氟气体,则对心血管系统损害作用明显[7]。目前临床上缺乏对有机氟气体中毒组分的定性和定量检测手段。本院对有机氟气体中毒救治有20年的临床经验和一定的研究[1, 5, 8-12],尤其针对群体中毒的救治形成较成熟的预案和经验。本次群体中毒患者就诊时,笔者根据患者的主要作业地点、临床表现,结合血氟、尿氟检测和胸部放射学检查,迅速判定毒物以有机氟气体为主。后经中国疾病预防控制中心职业病与中毒控制所专家现场流调溯源,证实毒物为含氟有机混合气体。
前2例患者气管插管后即见大量肺水引出并迅速增加,高水平机械通气下氧合功能仍难以维持或伴有严重酸中毒,根据病变性质和发展趋势,及时地给予VV-ECMO支持[13-14]。1号病例血流动力学仍持续恶化,转为VA-ECMO支持;3号和4号病例据病情和前2例的经验,直接选择VA-ECMO支持[15]。患者肺泡内大量液体渗出,补液后肺泡渗出明显增加,VA-ECMO却难以达有效流量、循环极其不稳定。严密动态监测中心静脉压、心脏和下腔静脉超声、乳酸等参数指导补液和调整ECMO目标流量,同时降低体温,以满足低ECMO流量的氧供-氧耗平衡[16]。选择活化部分凝血酶原时间、凝血酶时间、活化凝血时间及联合血栓弹力图来优化肝素抗凝方案[17],减少血栓形成和出血风险。3例VA-ECMO股动脉插管均为17 Fr,远端没有放置灌注管,其中1例发生左下肢缺血坏死而截肢如选择15 Fr插管、及时放置远端灌注管或可避免截肢[18]。4例均予单间保护性隔离、每班配备固定医护、氯己啶全身擦浴和管路消毒等感染防控措施[19-20],ECMO运行期间无一例发生感染。
医院接诊患者后第一时间启动突发化学气体中毒应急预案,指挥得力、救治有序。整个救治过程中做到了“四个集中”[21],即集中患者、集中专家、集中资源、集中救治。在等待调配ECMO设备的过程中,预先留置中心静脉、股动脉导管鞘,大大提高了ECMO上机的速度。此外,医院常态化开展的群体气体中毒急救演练、ECMO演练,为本次群体中毒4名危重患者的救治成功奠定坚实的基础。
利益冲突 所有作者声明无利益冲突
作者贡献声明 吴锋:参与研究的设计、实施研究、采集数据、分析数据、制作图表、起草文章、文章修改等;杨秋林、张小文、徐郁颖:参与采集数据、制作图表;刘小军、吴彬彬:参与采集数据,工作支持;柳月珍:参与研究的设计、实施研究,分析数据,文章撰写、修改、审阅,及后期文章处理
| [1] | 柳月珍, 陈寿权, 李章平. 急性有机氟吸入中毒患者血尿氟浓度变化及临床应用价值[J]. 中华急诊医学杂志, 2010, 19(10): 1078-1081. DOI:10.3760/cma.j.issn.1671-0282.2010.10.021 |
| [2] | 叶纪录, 濮雪华. ECMO救治有机氟中毒病例报道[J]. 中华急诊医学杂志, 2019, 28(10): 1326-1328. DOI:10.3760/cma.j.issn.1671-0282.2019.10.0230 |
| [3] | Cole JB, Olives TD, Ulici A, et al. Extracorporeal membrane oxygenation for poisonings reported to US poison centers from 2000 to 2018: an analysis of the national poison data system[J]. Crit Care Med, 2020, 48(8): 1111-1119. DOI:10.1097/CCM.0000000000004401 |
| [4] | 职业性急性有机氟中毒诊断标准: GBZ 66—2002[S]. 中华人民共和国卫生部, 2002: 1-6. |
| [5] | 柳月珍, 何爱文, 陈寿权, 等. 乌司他丁联合甲基强的松龙治疗急性吸入性有机氟中毒疗效观察[J]. 中华急诊医学杂志, 2014, 23(5): 512-515. DOI:10.3760/cma.j.issn.1671-0282.2014.05.009 |
| [6] | Meng G, Zhao J, Wang HM, et al. Cell injuries of the blood-air barrier in acute lung injury caused by perfluoroisobutylene exposure[J]. J Occup Health, 2010, 52(1): 48-57. DOI:10.1539/joh.l9047 |
| [7] | 曹隽, 范晓理, 黄伟, 等. 工业有机氟气体中毒致心肌损伤三例分析[J]. 中华急诊医学杂志, 2017, 26(5): 586-588. DOI:10.3760/cma.j.issn.1671-0282.2017.05.020 |
| [8] | 柳月珍, 郑敏, 杨丽梅, 等. IFN-γ、IL-4、TGF-β在全氟异丁烯吸入性肺损伤中的变化研究[J]. 中华急诊医学杂志, 2018, 27(4): 405-408. DOI:10.3760/cma.j.issn.1671-0282.2018.04.014 |
| [9] | 张东泉, 赵建, 胡祖良, 等. 兔全氟异丁烯急性吸入暴露的肺影像学变化[J]. 中国工业医学杂志, 2015, 28(4): 277-278, 321. DOI:10.13631/j.cnki.zggyyx.2015.04.015 |
| [10] | 郑敏, 柳月珍, 邹春平, 等. 基质金属蛋白酶-2和基质金属蛋白酶-9在全氟异丁烯吸入性肺损伤中的作用[J]. 中国工业医学杂志, 2017, 30(10): 323-327. DOI:10.13631/j.Cnki.Zggyyx.2017.05.001 |
| [11] | 徐进, 赵建, 邵志华, 等. 兔全氟异丁烯中毒后血液学参数的变化[J]. 军事医学科学院院刊, 2007(3): 256-258, 278. |
| [12] | 翁金龙, 余清卿. 一起有机氟中毒事故调查[J]. 浙江预防医学, 2003, 15(4): 45-46. DOI:10.3969/j.issn.1007-0931.2003.04.033 |
| [13] | Tonna JE, Abrams D, Brodie D, et al. Management of adult patients supported with venovenous extracorporeal membrane oxygenation (VV ECMO): guideline from the extracorporeal life support organization (ELSO)[J]. ASAIO J, 2021, 67(6): 601-610. DOI:10.1097/MAT.0000000000001432 |
| [14] | Lewis J, Zarate M, Tran S, et al. The recommendation and use of extracorporeal membrane oxygenation (ECMO) in cases reported to the California poison control system[J]. J Med Toxicol, 2019, 15(3): 169-177. DOI:10.1007/s13181-019-00704-3 |
| [15] | 中国医师协会体外生命支持专业委员会. 成人体外膜氧合循环辅助专家共识[J]. 中华医学杂志, 2018, 98(12): 886-894. DOI:10.3760/cma.j.issn.0376-2491.2018.12.003 |
| [16] | Amarelli C, Musumeci F, Loforte A, et al. Flow Optimization, Management, and Prevention of LV Distention during VA-ECMO[M]//Advances in Extra-corporeal Perfusion Therapies, chapter[J]. IntechOpen, 13(183-211). DOI: 10.5772/intechopen.80265. |
| [17] | ELSO Anticoagulation Guideline 2014. The Extracorporeal Life Support Organization (ELSO), Ann Arbor, MI, USA. Available online: https://www.elso.org/Portals/0/Files/elsoanticoagulationguideline8-2014-table-contents.pdf. |
| [18] | Takayama H, Landes E, Truby L, et al. Feasibility of smaller arterial cannulas in venoarterial extracorporeal membrane oxygenation[J]. J Thorac Cardiovasc Surg, 2015, 149(5): 1428-1433. DOI:10.1016/j.jtcvs.2015.01.042 |
| [19] | Biffi S, di Bella S, Scaravilli V, et al. Infections during extracorporeal membrane oxygenation: epidemiology, risk factors, pathogenesis and prevention[J]. Int J Antimicrob Agents, 2017, 50(1): 9-16. DOI:10.1016/j.ijantimicag.2017.02.025 |
| [20] | Yeo HJ, Kim D, Ha M, et al. Chlorhexidine bathing of the exposed circuits in extracorporeal membrane oxygenation: an uncontrolled before-and-after study[J]. Crit Care, 2020, 24(1): 595. DOI:10.1186/s13054-020-03310-w |
| [21] | 张茂, 韩春茂. 重视重大突发公共事件创烧伤的应急救治[J]. 中华急诊医学杂志, 2020, 29(8): 1011-1013. DOI:10.3760/cma.j.issn.1671-0282.2020.08.001 |
2022, Vol. 31



