百草枯(paraquat, PQ)属于有机杂环类触杀型、高效除草剂[1-2]。由于PQ中毒后致死率极高[3-4],我国已经禁售20%PQ水溶剂,但依然有PQ中毒事件发生。肺脏具有主动摄取PQ的能力,因此成为PQ损伤的最主要靶器官,肺损伤的程度直接决定患者的预后。目前研究认为PQ中毒的主要分子机制是过度的氧化还原反应对细胞造成的氧化应激损伤。对于肺脏而言,早期在大量活性氧族(reactive oxygen species, ROS)作用下,出现肺水肿、肺出血及肺不张等急性肺损伤(acute lung injury, ALI)症状,后续可进展为肺间质纤维化,二者所致呼吸衰竭是致死的主要原因[5-7]。虽然基于氧化应激和炎症级联反应的发病机制,临床和基础研究近年来均取得了一定的进展[8-9],但临床治疗效果有限,并未真正改善PQ中毒患者的存活率。考虑到PQ中毒肺损伤机制的复杂性,研究者认为对PQ中毒肺损伤的分子机制进行深入研究,探索其潜在的机制及靶点具有重要的临床应用价值。
近年来随着对蛋白组学的认识,越来越多的研究表明对生物、组织和细胞中蛋白质表达水平、修饰和蛋白质-蛋白质相互作用的分析,可以为探究疾病的分子机制、发现新的诊断标志物和新的治疗靶点提供重要的生物学信息[10]。与传统的单个蛋白质研究的生化技术相比,定量蛋白质组学就是把一个基因组表达的全部蛋白质或一个复杂的混合体系中所有的蛋白质进行精确的定量和鉴定。定量蛋白质组学技术使得研究生物体的整个蛋白质组这一事件成为可能,并将蛋白组学的发展推向了新的高度。串联质谱标记技术(tandem mass tag, TMT),是近年来由美国Thermo Fisher公司研发的多肽体外标记定量技术。这种技术采用多个稳定同位素标签,特异性标记多肽的氨基基团进行串联质谱分析,可以同时最多检测16个样品。因其通量高、准确度高、对低丰度蛋白鉴定效率高等特点,目前TMT和高精度液相色谱-串联质谱(LC-MS/MS)已成为蛋白质定性和定量研究的主要工具并被广泛使用[11-13]。
截至目前,PQ中毒肺损伤中蛋白质组学方面的研究甚少[14-16],且缺乏系统性研究。因此本实验利用TMT和LC-MS/MS技术探究PQ中毒所致的小鼠肺损伤中不同时间点的蛋白质表达规律,为阐明PQ中毒肺损伤的分子机制提供理论依据。
1 材料与方法 1.1 材料C57BL/6雄性小鼠[辽宁长生生物技术股份有限公司,生产许可:SCXK(辽)2015-0001;使用许可:SYXK(辽)2018-0008],PQ(sigma,货号:36541),TMT标记试剂盒(Thermo Fisher公司,货号:90066)。
1.2 方法 1.2.1 PQ小鼠染毒模型建立6至8周龄的C57BL/6雄鼠(50只),体重为18~22 g,自由摄取符合标准的食物和水,生活在清洁级环境,12 h昼/12 h夜交替,维持室温在(23±0.5)℃,湿度50%±5%。实验组小鼠一次性经腹腔注射PQ 40 mg/kg(PQ溶解于无菌生理盐水,1 mg/mL),对照组以同样方式给予相同体积的无菌生理盐水。在染毒后2 d、7 d和14 d,每个时间取9只小鼠经戊巴比妥麻醉(60 mg/kg)后[17],充分暴露腹腔,沿胸骨柄两侧剪断肋骨,暴露心肺组织,离断腹主动脉同时温盐水恒定压力从右心室灌注,通过肺循环,直至肺脏变白。分离肺脏组织,取左侧肺组织进行后续蛋白组学分析,右肺上叶4%多聚甲醛脱水后,石蜡包埋,右肺下叶-80 ℃保存。所有动物实验均获得中国医科大学伦理机构委员会批准(AF-SOP-07-1, 1-01)。
1.2.2 苏木精-伊红(hematoxylin-eosin,HE)染色经石蜡包埋后的肺组织切成5 μm厚的切片,进行HE染色并光镜下观察肺脏的病理改变。
1.2.3 质谱实验方法对小鼠肺脏蛋白质进行提取和肽段酶解、TMT标记(每组设置3个生物学重复样本)、LC-MS/MS数据采集、采用软件Mascot 2.2和Proteome Discoverer 1.4进行蛋白质鉴定及定量分析。详细的TMT和LC-MS/MS检测方法见文献[18]。
1.2.4 生物信息学分析方法亚细胞定位分析:采用CELLO (http://cello.life.nctu.edu.tw/)的方法进行亚细胞定位预测,该方法采用多重支持向量机(multi-class SVM)的机器学习的方法对公共数据库亚细胞定位信息已知的蛋白质序列数据建模,用于预测待检索蛋白亚细胞定位信息。GO功能注释:利用Blast2GO对目标蛋白质集合进行GO注释,过程大致可以归纳为序列比对(Blast)、GO条目提取(Mapping)、GO注释(Annotation)和InterProScan补充注释(Annotation Augmentation)等四个步骤。KEGG通路注释:利用KAAS(KEGG Automatic Annotation Server)软件,对目标蛋白质集合进行KEGG通路注释。
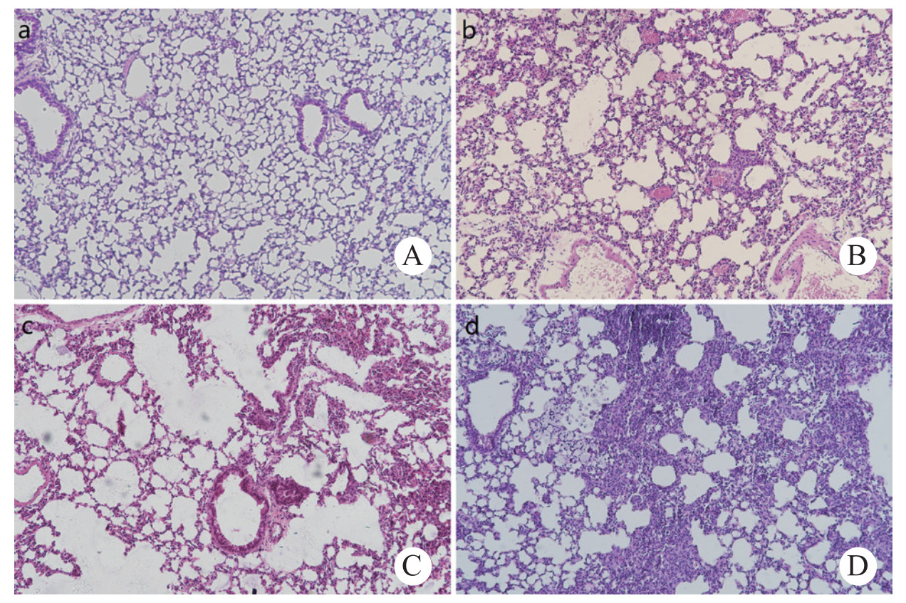
2 结果 2.1 PQ中毒小鼠肺脏病理改变实验组小鼠在一次性腹腔注射百草枯40 mg/kg后,共有8只发生未干预性死亡,分别在2 d(3只)、4 d(2只)和7 d(3只),小鼠的死亡情况提示染毒7 d以内即急性肺损伤期是死亡的高发期。肺脏HE染色结果显示,与对照组相比,PQ-2 d组可见肺泡结构破坏,肺泡腔内出血且伴有大量炎性细胞浸润;PQ-7 d组肺泡结构破坏进一步加重,局部肺泡间隔增厚,有弥漫性出血且肺泡内大量炎性细胞浸润;PQ-14 d组肺泡失去正常结构,部分融合,继而被间质细胞取代,仍可见明显的炎性细胞浸润(图 1)。
|
| A: Control组, B: PQ-2 d组, C: PQ-7 d组, D: PQ-14 d组 图 1 PQ中毒小鼠肺组织(HE×100) Fig 1 Hematoxylin-eosin staining of lung tissues from mice model (original magnification ×100) |
|
|
与对照组小鼠肺脏蛋白表达比较,蛋白差异表达的火山图见图 2,PQ-2d组中91个蛋白的表达差异有统计学意义,其中69个蛋白表达升高[表达差异倍数(Fold change, FC) > 1.2且P < 0.05,下同],22个蛋白表达降低(FC < 0.83且P < 0.05,下同);PQ-7 d组中有160个蛋白的差异表达有统计学意义,其中103个蛋白表达升高,57个蛋白表达降低;PQ-14 d组中有78个蛋白的差异表达有统计学意义,其中45个蛋白表达升高,33个蛋白表达降低(图 3)。这些结果提示:PQ中毒所致肺损伤过程中差异蛋白以升高为主,且在染毒7 d时,差异表达的蛋白数量最多。
|
| A: PQ-2d vs Control组,B: PQ-7d vs Control组,C: PQ-14d vs Control组 图 2 差异蛋白表达火山图 Fig 2 Volcano plot of the differentially-expressed proteins |
|
|
|
| 图 3 差异蛋白数量统计图 Fig 3 Histogram of the quantity of differentially-expressed proteins |
|
|
与对照组相比,PQ-2 d组中差异蛋白位于细胞外最多,其次是细胞核及细胞质内,部分分布在细胞膜及线粒体上,溶酶体上最少;PQ-7 d组中差异蛋白仍然是分布于细胞外最多,其次是细胞质内,再次是细胞核,部分差异蛋白位于细胞膜、线粒体和内质网上,在溶酶体内最少;PQ-14 d组中差异蛋白位于细胞核内最多,细胞外次之,第三是细胞质内,部分蛋白质位于溶酶体和线粒体上,细胞膜上差异蛋白最少(图 4)。这些结果表明PQ中毒不同时间点差异蛋白的亚细胞定位发生了变化,差异表达蛋白从最初2 d时由细胞外逐渐向胞质内及核内转移。
|
| A: PQ-2 d vs Control组,B: PQ-7 d vs Control组,C: PQ-14 d vs Control组 图 4 差异蛋白亚细胞定位分布图 Fig 4 Differentially-expressed protein distribution in subcellular organelles. |
|
|
对于不同时间点PQ中毒小鼠肺脏差异蛋白进行GO分析,主要涉及生物学过程(biological process, BP)、分子功能(molecular function, MF)以及细胞组分(cellular component, CC)三类,根据差异蛋白的表达变化显著性,挑选了BP、MF和CC表达变化最显著的前20位蛋白进行了分析,见图 5。从GO分析结果中可以看出,PQ中毒后2 d、7 d在BP分类中以体液免疫(humoral immune response)和凝血(blood coagulation)相关的反应为主,MF和CC结果表明差异蛋白主要位于细胞外。而在14 d时,BP分类中差异蛋白主要涉及中性粒细胞聚集(neutrophil aggregation)等趋化和调控反应(cellular response to xenobiotic stimulus),MF和CC分类表明差异蛋白位于核小体、DNA包装复合物等细胞内结构上。这些结果提示在PQ诱导的肺损伤早期主要以体液免疫反应和凝血相关反应为主,并且随着时间的推移,差异蛋白向细胞内转移,这与亚细胞定位的结果相一致。
|
| A: PQ-2 d vs Control组;B: PQ-7 d vs Control组;C: PQ-14 d vs Control组 图 5 显著差异蛋白GO功能注释图 Fig 5 Gene ontology function annotation of differentially-expressed proteins |
|
|
与对照组相比,PQ-2 d组91个差异蛋白一共匹配到115条KEGG通路,其中14条通路在PQ处理下所受的影响显著且有统计学意义(图 6A),其中补体和凝血级联(富集到9个差异蛋白,前五个分别为:补体C3、纤溶酶原、补体C4b、凝血因子Ⅲ、蛋白C受体)通路中差异表达的蛋白数量最多。PQ-7 d组的160个显著差异蛋白一共匹配到164条KEGG通路,其中23条通路在PQ处理下所受的影响显著且有统计学意义(图 6B),其中补体和凝血级联(富集到14个差异蛋白,前五个分别为:丝氨酸蛋白酶抑制剂A1b、补体C8b、纤溶酶原、补体成分因子i、补体C1qb)通路中差异表达的蛋白数量最多。PQ-14 d组中78个显著差异蛋白一共匹配到97条KEGG通路,其中13条通路在PQ处理下所受的影响显著且有统计学意义(图 6C),其中Metabolism of xenobiotics by cytochrome P450(富集到5个差异蛋白, 分别为:cytochrome P450 2f2、glutathione S-transferase a3、aldehyde dehydrogenase 3a1、glutathione S-transferase a2 (Yc2)、glutathione S-transferase m6)通路中差异表达的蛋白数量最多。这些结果表明补体和凝血途径(Complement and coagulation cascades)在PQ中毒肺损伤早期(2 d、7 d)起重要作用,而到中后期(14 d)差异蛋白主要在代谢途径中发挥重要作用。
|
| A: PQ-2 d vs Control组;B: PQ-7 d vs Control组;C: PQ-14 d vs Control组 图 6 显著差异蛋白的KEGG通路图 Fig 6 Kyoto Encyclopedia of Genes and Genomes analysis of differentially-expressed proteins |
|
|
本研究首次应用TMT和LC-MS/MS技术对PQ中毒小鼠不同时期的肺脏蛋白表达情况进行了系统性分析,本研究结果从分子水平揭示了PQ中毒小鼠肺损伤不同时期蛋白表达谱的变化规律、亚细胞定位变化、差异蛋白参与的生物学过程以及参与通路的分布情况。
在本研究中,亚细胞定位分析发现PQ中毒小鼠肺脏差异表达蛋白在2 d、7 d时主要定位在细胞外,而14 d时则以细胞核内变化为主(图 4)。已有研究表明,PQ进入肺泡上皮细胞后,作为氧化应激反应中的电子媒介,主要攻击细胞的线粒体膜,使细胞释放炎性介质同时,产生凋亡或坏死[7, 19-20]。损伤的上皮细胞启动损伤相关分子模式(damage-associated molecular pattern,DAMP),进一步与间质内的中性粒细胞、巨噬细胞或淋巴细胞等进行反应,通过细胞间的相互作用,再次激发或放大炎症级联反应[21]。本实验结果显示在PQ中毒早期(2 d、7 d),肺脏差异表达蛋白主要分布在细胞外,而且MF以信号受体结合、受体配体活性为主(图 5),这些结果从侧面印证了这一假设,即PQ导致的过度炎症反应很大程度是由损伤的肺泡细胞引发的内源性二次损伤造成。
对差异表达蛋白进一步的GO分析表明,在PQ中毒早期参与肺部损伤的生物学过程(BP)主要以体液免疫反应和凝血相关反应为主(图 5)。基于现有的理论认为:PQ暴露后产生的ROS导致各种细胞膜结构的破坏,诱导细胞凋亡或坏死[20]。受损细胞释放的DAMP诱导肺脏固有免疫细胞(中性粒细胞、巨噬细胞等)活化并大量聚集在受损部位,其释放的炎性介质和趋化因子继续招募肺内和循环中的炎性细胞进一步侵入。本研究结果显示染毒小鼠在2 d和7 d时,肺脏差异表达蛋白参与的BP均以体液免疫的过度激活为主,提示PQ中毒肺损伤过程中存在先天免疫的过度激活状态。因此研究者提出以下观点:PQ中毒肺损伤的致病机制本质上是由受损细胞通过DAMP触发和自身免疫反应过度激活诱发的无菌性炎症级联反应。临床观察到的激素以及环磷酰胺等免疫抑制剂的治疗效果,也部分解释了这一理论的可能性。
最后对差异表达蛋白进行KEGG分析,发现补体和凝血途径在PQ中毒肺损伤早期起重要作用,而到中后期差异蛋白主要在代谢途径中发挥重要作用(图 6)。补体系统是固有免疫系统的重要组成部分,补体系统的激活不足或是过度激活与炎症和免疫疾病的发生发展密切相关[22]。其中,C3c、C3a、C5a和C5b-9作为补体激活的标志,在ALI/ARDS的治疗中已经作为评价治疗手段有效性和预后的标志物[23-24]。另外有研究发现在PQ中毒急性肺损伤患者、灵长类动物及小鼠模型中,抑制C3a和C5a可以明显减轻补体激活异常和细胞因子风暴介导的ALI和全身炎症反应[23-24]。凝血系统和补体系统之间关系密切,研究表明当发生ARDS时,损伤部位聚集的血小板激活凝血级联反应,诱导微血栓形成[25]。血小板及其激活产物凝血酶集聚到损伤部位,招募中性粒细胞,形成的中性粒细胞胞外陷阱(neutrophil extracellular traps,NETs)进一步促进凝血因子的激活和内源性凝血级联反应。而NETs的形成可能是由补体C5a激活的,这一过程同时受到天然免疫反应和凝血反应的调节[25]。新近研究表明在重症COVID-19患者体内补体系统被过度激活,补体抑制策略在减少血栓性炎症和急性肺损伤中的作用已被证实[26-27]。
综上所述,本研究通过TMT和LC-MS/MS技术对PQ中毒小鼠不同时期肺脏蛋白表达和变化情况进行了系统性分析,通过对差异表达蛋白的亚细胞定位、BP和KEGG分析,揭示了PQ中毒小鼠肺脏不同时间点蛋白水平的分子机制,发现体液免疫、补体和凝血途径过度激活在PQ诱导的肺损伤的早期发挥关键性作用,针对此方面的进一步的研究有望为急性PQ中毒所致肺损伤提供新的治疗策略和靶点。
利益冲突 所有作者均声明不存在利益冲突
| [1] | Kim YS, Jung H, Gil HW, et al. Proteomic analysis of changes in protein expression in serum from animals exposed to paraquat[J]. Int J Mol Med, 2012, 30(6): 1521-1527. DOI:10.3892/ijmm.2012.1143 |
| [2] | Serra A, Domingos F, Prata MM. Paraquat intoxication[J]. Acta Med Port, 2003, 16(1): 25-32. |
| [3] | Bertolote JM, Fleischmann A, Eddleston M, et al. Deaths from pesticide poisoning: a global response[J]. Br J Psychiatry, 2006, 189: 201-203. DOI:10.1192/bjp.bp.105.020834 |
| [4] | Dinis-Oliveira RJ, De Jesús Valle MJ, Bastos ML, et al. Kinetics of paraquat in the isolated rat lung: Influence of sodium depletion[J]. Xenobiotica, 2006, 36(8): 724-737. DOI:10.1080/00498250600790331 |
| [5] | Chen CM, Lua AC. Lung toxicity of paraquat in the rat[J]. J Toxicol Environ Health A, 2000, 60(7): 477-487. DOI:10.1080/00984100050079548 |
| [6] | Suntres ZE. Role of antioxidants in paraquat toxicity[J]. Toxicology, 2002, 180(1): 65-77. DOI:10.1016/s0300-483x(02)00382-7 |
| [7] | Dinis-oliveira RJ, Duarte JA, Sanchez-navarro A, et al. Paraquat poisonings: mechanisms of lung toxicity, clinical features, and treatment[J]. Crit Rev Toxicol, 2008, 38(1): 13-71. DOI:10.1080/10408440701669959 |
| [8] | 百草枯中毒诊断与治疗"泰山共识"专家组. 百草枯中毒诊断与治疗"泰山共识"(2014)[J]. 中国工业医学杂志, 2014, 27(2): 117-119. DOI:10.13631/j.cnki.zggyyx.2014.02.016 |
| [9] | 张文武. 急性百草枯中毒的国内诊治进展[J]. 中华危重病急救医学, 2015, 27(4): 242-243. DOI:10.3760/cma.j.issn.2095-4352.2015.04.002 |
| [10] | Quevillon E, Silventoinen V, Pillai S, et al. InterProScan: protein domains identifier[J]. Nucleic Acids Res, 2005, 33(Web Server issue): W116-120. DOI:10.1093/nar/gki442 |
| [11] | Thompson A, Schafer J, Kuhn K, et al. Tandem mass tags: a novel quantification strategy for comparative analysis of complex protein mixtures by MS/MS[J]. Anal Chem, 2003, 75(8): 1895-1904. DOI:10.1021/ac0262560 |
| [12] | Su C, Jiang Y, Yang Y, et al. Responses of duckweed (Lemna minor L.) to aluminum stress: Physiological and proteomics analyses[J]. Ecotoxicol Environ Saf, 2019, 170: 127-140. DOI:10.1016/j.ecoenv.2018.11.113 |
| [13] | Xie J, Yan X, Xu G, et al. ITRAQ-based proteomics reveals the potential mechanism of fluoride-induced myocardial contraction function damage[J]. Ecotoxicol Environ Saf, 2020, 197: 110605. DOI:10.1016/j.ecoenv.2020.110605 |
| [14] | Cho IK, Jeong M, You AS, et al. Pulmonary proteome and protein networks in response to the herbicide paraquat in rats[J]. J Proteomics Bioinform, 2015, 8(5): 67-79. DOI:10.4172/jpb.1000354 |
| [15] | Dostal V, Wood SD, Thomas CT, et al. Proteomic signatures of acute oxidative stress response to paraquat in the mouse heart[J]. Sci Rep, 2020, 10(1): 18440. DOI:10.1038/s41598-020-75505-8 |
| [16] | Sun Z, Yang Z, Wang M, et al. Paraquat induces pulmonary fibrosis through Wnt/β-catenin signaling pathway and myofibroblast differentiation[J]. Toxicol lett, 2020, 333: 170-183. DOI:10.1016/j.toxlet.2020.08.004 |
| [17] | 张迪, 刘倩倩, 彭瑾瑾, 等. 肌腱蛋白C在百草枯中毒肺损伤中的作用[J]. 中国医科大学学报, 2020, 49(8): 711-715. DOI:10.12007/j.issn.0258-4646.2020.08.008 |
| [18] | Xu XF, Dai HP, Li YM, et al. Mass spectrometry-based proteomics in acute respiratory distress syndrome: a powerful modality for pulmonary precision medicine[J]. Chin Med J (Engl), 2016, 129(19): 2357-2364. DOI:10.4103/0366-6999.190669 |
| [19] | 张炜, 孙海晨, 邵旦兵, 等. 急性百草枯中毒的临床分型与预后分析[J]. 中华急诊医学杂志, 2010, 19(4): 357-360. DOI:10.3760/cma.j.issn.1671-0282.2010.04.006 |
| [20] | Cui S, Nian Q, Chen G, et al. Ghrelin ameliorates A549 cell apoptosis caused by paraquat via p38-MAPK regulated mitochondrial apoptotic pathway[J]. Toxicology, 2019, 426: 152267. DOI:10.1016/j.tox.2019.152267 |
| [21] | Wu Q, Xu Q, Jian X, et al. A new sight for paraquat poisoning from immunology[J]. Immunopharmacol Immunotoxicol, 2018, 40(4): 269-272. DOI:10.1080/08923973.2018.1490319 |
| [22] | Ward PA. The dark side of C5a in sepsis[J]. Nat Rev Immunol, 2004, 4(2): 133-142. DOI:10.1038/nri1269 |
| [23] | Sun S, Wang H, Zhao G, et al. Complement inhibition alleviates paraquat-induced acute lung injury[J]. Am J Respir Cell Mol Biol, 2011, 45(4): 834-842. DOI:10.1165/rcmb.2010-0444OC |
| [24] | Sun S, Jiang Y, Wang R, et al. Treatment of paraquat-induced lung injury with an anti-c5a antibody: potential clinical application[J]. Crit Care Med, 2018, 46(5): 419-425. DOI:10.1097/CCM.0000000000002950 |
| [25] | Frantzeskaki F, Armaganidis A, Orfanos SE. Immunothrombosis in acute respiratory distress syndrome: cross talks between inflammation and coagulation[J]. Respiration, 2017, 93(3): 212-225. DOI:10.1159/000453002 |
| [26] | Campbell CM, Kahwash R. Will complement inhibition be the new target in treating COVID-19-related systemic thrombosis?[J]. Circulation, 2020, 141(22): 1739-1741. DOI:10.1161/CIRCULATIONAHA.120.047419 |
| [27] | Risitano AM, Mastellos DC, Huber-Lang M, et al. Complement as a target in COVID-19?[J]. Nat Rev Immunol, 2020, 20(6): 343-344. DOI:10.1038/s41577-020-0320-7 |
2021, Vol. 30



