心包积气(pneumopericardium)是临床上罕见疾病,最常见的病因为钝性或穿透性胸部创伤,亦可继发于正压机械通气、良性或恶性肿瘤破裂及医源性相关的瘘道,可造成急性心包填塞,病死率高达57%[1-4]。现将本院心内科收治1例心包积气患者诊治过程报道如下。
1 资料与方法患者男性,70岁,因“胸闷3 d,加重伴呼吸困难1 d”于2019年9月13日入外院。患者3 d前无明显诱因出现胸闷,伴全身乏力,夜间睡眠差(可平卧),初未予重视,1 d前胸闷加重,伴呼吸困难、运动耐量明显下降、大汗淋漓、皮肤湿冷,至外院就诊,查心电图(图 1):交界性逸搏,肢体导联低电压,Ⅰ、Ⅱ、Ⅲ、aVF、V4、V5、V6导联ST段抬高0.15 mV~0.4 mV,aVR、aVL、V1导联ST段压低0.05 mV~0.2 mV,aVL、V1导联T波倒置;心肌酶:CKMB 27.1 U/L,NT-proBNP 3 298 pg/mL。外院考虑不排除急性心肌梗死导致的心源性休克,经口气管插管接呼吸机辅助通气后为进一步诊治转入本院。患者家属否认患者有外科手术、外伤、气胸及哮喘发作史,起病以来无畏寒、高热,大、小便正常,既往1年余前因“反复咳嗽伴咳血丝痰”在外院诊断为右肺门鳞癌,合并高血压病、2型糖尿病,经依托泊苷+顺铂化疗,具体剂量不详。2019-09-07复查胸部CT提示右肺病灶较前缩小。体格检查:体温35ºC,血压86/43 mmHg,心率53次/min,呼吸15次/min(经口气管插管呼吸机辅助呼吸),神志昏迷,双侧颈静脉怒张,气管居中,桶状胸,胸廓对称,双肺呼吸动度对称,叩诊呈清音,听诊呼吸音清,双肺未闻及干湿性啰音,心前区无隆起,叩诊心界消失,心音低弱遥远,桡动脉、股动脉搏动可触及。入院后复查心电图(图 2):心房颤动,肢体导联及胸导联低电压,各导联ST-T改变较前相似,未见明显动态演变。血常规:白细胞1.27×109/L,中性粒细胞1.15×109/L,血红蛋白98 g/L,降钙素原43.01 ng/mL,超敏肌钙蛋白Ⅰ 0.048 ng/mL。急诊冠脉造影(图 3):左前降支近段轻度狭窄,中段心肌桥,收缩期重度狭窄,左回旋支远段中度狭窄,右冠中段重度狭窄,TIMI血流均为3级。患者超敏肌钙蛋白I未见明显升高,冠脉血流通畅,排除急性心肌梗死引起的ST段抬高。心脏彩超:气体干扰较大,仅能从剑突下观察,心包腔内未见积液。胸片(图 4):纵隔内可见条状透亮带,心影周围可见一弧形透亮带,考虑心包积气、纵隔气肿。入院诊断为“①心包积气、②纵隔气肿、③右肺鳞癌”,经剑突下途径行心包穿刺置管术+闭式引流术,术后液封瓶内见气体逸出,患者血压较前逐渐上升。完善胸部CT(图 5):右侧肺门增大,右主支气管与上叶支气管壁交界处见小缺损,考虑支气管破裂,心包、纵隔、胸腔及腹腔积气。纤维支气管镜(图 6)检查:可见右主支气管距隆突约1 cm处见破损,破损处周围组织呈白色,不排除癌组织浸润可能。病因考虑为右肺门鳞癌浸润右主支气管,穿孔后经纵隔与心包腔形成瘘道,引起心包积气。经过上述治疗后患者血流动力学稳定。
|
| 图 1 外院心电图(2019-09-15 21:09)示交界性逸搏,肢体导联低电压,多导联ST-T改变 |
|
|
|
| 图 2 入院心电图(2019-09-16 0:06)示心房颤动,肢体导联及胸导联低电压,未见明显ST-T动态演变 |
|
|
|
| 图 3 冠脉造影提示冠脉轻至重度狭窄,心影周围可见弧形透亮带 |
|
|
|
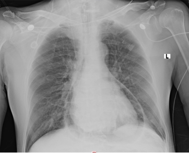
| 图 4 胸部正位片提示纵隔积气,心包积气 |
|
|
|
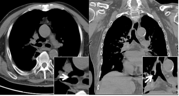
| 图 5 胸部CT(纵隔窗)白色箭头所指处为右主支气管与上叶支气管壁交界处见小缺损,考虑为右支气管破裂 |
|
|
|
| 图 6 患者纤维支气管镜(A.左上方黑色箭头所指处为支气管破口,右上方为右肺上叶支气管入口,下方为右肺下叶支气管入口;B.破口近距离图,黑色箭头所指处为破口,周围覆盖白色组织;C.左侧黑色箭头所指处为支气管外瘘道黏膜,右侧为支气管) |
|
|
Bricheteau首先提出心包积气即心包内有气体集聚,较气胸和纵隔气肿少见[5]。心包积气常见病因包括胸部创伤、心胸外科手术后、机械通气(尤其是儿童)、感染和心包穿刺术等[6]。心包积气临床表现的严重程度取决于心包腔内气体产生的速度和量,主要临床症状包括呼吸困难、胸闷、胸痛或放射至肩部、背部、上腹部的疼痛;体格检查时患者可能会出现心动过速、外周动脉搏动减弱、呼吸急促、低血压或颈静脉压力升高的迹象;听诊时可能会出现心音遥远或杂音;影像学上表现为心脏轮廓部分或完全被半透明的边缘包围,心包可见为一条薄线(晕征)[7-8]。
该例患者主要临床症状为胸闷伴有呼吸困难,体格检查时患者存在血流动力学不稳定及意识障碍,结合心电图、心肌酶结果,考虑急性心肌梗死导致心源性休克的可能,行急诊冠脉造影发现患者冠脉血流通畅,排除急性心肌梗死,同时在冠脉造影过程中发现患者心影周围存在弧形透亮带,转入ICU后行胸片检查证实心包积气的诊断。心包积气产生的原因主要为医源性操作(如心包穿刺术、胸腔穿刺术、射频消融术及埋入式起搏器植入术等)、心包炎、心包与邻近含气器官之间的瘘管形成以及外伤,其中正压通气亦是原因之一[9-12]。正压通气可迅速增加心包积气容积及加快其增长速度,从而加重心包填塞。该患者入外院后行经口气管插管接有创呼吸机辅助呼吸,本院胸部CT与支气管镜检查可见右主支气管破口,破损处周围组织呈白色,不排除癌组织浸润可能,考虑为右肺门鳞癌浸润右主支气管,穿孔后经瘘道与纵隔及心包腔相连,引起心包积气。
治疗上,少量心包积气是自限性疾病,不需要任何特定的治疗,主要针对病因保守治疗,高浓度的氧疗对空气的吸收是有用的。有症状心包积气同时伴有血流动力学不稳定的情况下,最有效的办法是心包穿刺置管闭式引流术。经治疗后该患者血流动力学稳定,复查心电图ST段下移,胸闷伴呼吸困难症状明显改善,但由于患者主要病因是右肺门鳞癌侵犯右主支气管造成支气管破裂,针对破口治疗方案有限,告知患者家属后拒绝继续治疗,要求出院。
利益冲突 所有作者均声明不存在利益冲突
| [1] | Bhindi R, Rees DM. Pneumopericardium masquerading as an acute myocardial infarction[J]. Int J Cardiol, 2007, 114(3): e83-e84. DOI:10.1016/j.ijcard.2006.05.070 |
| [2] | O'Connor JV, Scalea TM. Tension pneumopericardium after blunt thoracic trauma[J]. Ann Thorac Surg, 2010, 90(5): 1713. DOI:10.1016/j.athoracsur.2010.01.086 |
| [3] | Müller AM, Betz MJ, Kromeier J, et al. Images in cardiovascular medicine. Acute pneumopericardium due to intestine-pericardial fistula[J]. Circulation, 2006, 114: e7-9. |
| [4] | Haan JM, Scalea TM. Tension pneumopericardium: a case report and a review of the literature[J]. Am Surg, 2006, 72(4): 330-331. |
| [5] | Aditya Lamba, Rahul Dutta, Rajesh K Chand. Pneumopericardium after minimally invasive atrial septal defect closure[J]. Ann Card Anaesth, 2018, 21: 99-100. |
| [6] | Lee YJ, Jin SW, Jang SH, et al. A case of spontaneous pneumomediastinum and pneumopericardium in a young adult[J]. Korean J Intern Med, 2001, 16(3): 205-209. DOI:10.3904/kjim.2001.16.3.205 |
| [7] | Higgins CB, Broderick TW, Edwards DK, et al. The hemodynamic significance of massive pneumopericardium in preterm infants with respiratory distress syndrome[J]. Radiology, 1979, 133(2): 363-368. DOI:10.1148/133.2.363 |
| [8] | Westermann GW, Suwelack B. Spontaneous pneumopericardium due to exertion[J]. South Med J, 2003, 96(1): 50-52. DOI:10.1097/01.smj.0000047762.92538.ec |
| [9] | Capizzi PJ, Martin M, Bannon MP. Tension pneumopericardium following blunt injury[J]. J Trauma, 1995, 39(4): 775-780. DOI:10.1097/00005373-199510000-00033 |
| [10] | Hymes WA, Itani KM, Wall MJ, et al. Delayed tension pneumopericardium after thoracotomy for penetrating chest trauma[J]. Ann Thorac Surg, 1994, 57(6): 1658-1660. DOI:10.1016/0003-4975(94)90149-x |
| [11] | Westaby S. Penumopericardium and tension pneumopericardium after closed-chest injury[J]. Thorax, 1977, 32(1): 91-97. DOI:10.1136/thx.32.1.91 |
| [12] | Lee J, Kang BS, Kim C, et al. Tension pneumopericardium after pericardiocentesis[J]. J Korean Med Sci, 2016, 31(3): 470-472. DOI:10.3346/jkms.2016.31.3.470 |
2021, Vol. 30



