中华急诊医学杂志  2021, Vol. 30 Issue (5): 637-638   DOI: 10.3760/cma.j.issn.1671-0282.2021.05.024
经皮扩张气管切开术致气管膜部损伤伴假腔形成一例
赖志珍 , 胡马洪 , 王晋鹏 , 黎一蓉 , 刘梅 , 孟建标     
浙江省立同德医院重症医学科,杭州 310012

经皮扩张气管切开术(percutaneous dilatational tracheostomy,PDT)由于可在床旁进行操作、创伤小、耗时短等众多优势,在ICU的应用越来越广泛。气管膜部损伤是PDT的并发症之一,严重者可引起气管食管瘘,气管膜部损伤伴假腔形成是罕见的并发症,国内外鲜见报道。浙江省立同德医院发生1例PDT术致气管膜部损伤伴假腔形成,现报道如下。

1 资料与方法

患者,女性,71岁,因“反复胸闷气促10年,加重半个月”于2020年3月27日入院。诊断:肺部感染、呼吸衰竭、冠状动脉粥样硬化性心脏病、心房颤动、心功能Ⅳ级、高血压病、2型糖尿病。气管插管机械通气10 d后经家属签署知情同意书行PDT术。

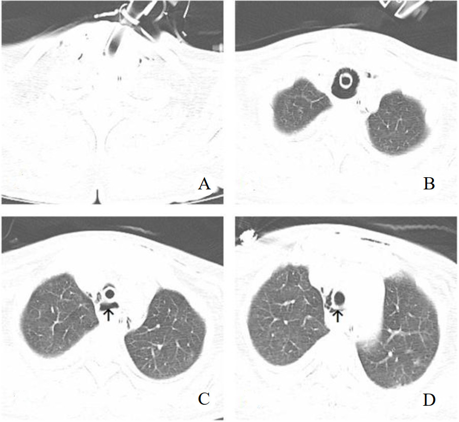
采用Griggs[1]操作技术,器械(型号PW16-S-80-C)由上海全安医疗器械有限公司提供。Seldinger穿刺成功后放入导丝,专用扩张钳扩张皮下组织和气管前壁,置入气管切开套管。放置套管后拔除导丝,导丝出现弯曲,气管切开套管未见气体溢出,考虑气管切开套管异位,再次尝试2次,未能成功置入气管切开套管。后经纤维支气管镜通过气管插管口入镜实时观察,先经切口处放入导丝,在导丝引导下置入气管切开套管,纤维支气管镜证实气管切开套管在位并吸除气道内痰液和血液。术后第2天复查胸部CT提示:纵隔和颈部少许积气,气管切开套管开口层面正后方可见气腔(图 1)。第3天患者出现肺顺应性下降,潮气量降低,吸痰管难以进入,气道内吸出少量血性痰。考虑出现紧急气道情况,立即行床边纤维支气管镜检查,经气管切开套管入镜,见软骨环,膜部有血凝块,经过气管切开套管下约1~2 cm后纤维支气管无法伸入远端,考虑血凝块伴多发纤维素样组织形成,血凝块无法吸出,试用活检钳捣碎血凝块亦未能吸出。患者肺顺应性差,高参数机械通气[压力控制通气(PCV)模式,吸入氧体积分数100%,PEEP 12 cmH2O(1 cmH2O=0.098 kPa),高于PEEP压力控制20 cmH2O,吸呼比1∶2,呼吸频率14次/min] 经皮氧饱和度约94%。当时因为极度担心血块完全阻塞气道,所以在负压状态拔除气管切开套管重新置入后通气明显改善,纤维支气管镜证实气管切开套管在位,未见血凝块。为明确原因,笔者予可视喉镜联合纤维支气管镜引导下经鼻气管插管成功,同时拔除气管切开套管,在纤维支气管镜(经鼻气管插管入镜)监视下逐渐地外拔气管插管,可见气道约6点钟方向气管膜部假腔形成,撕裂起始部位约在气管切开套管管口附近。后再次经鼻入镜,经过声门后气管插管气囊放气,经气管插管旁路入镜观察膜部假腔情况。笔者推测患者气管切开套管角度改变(往正后方方向),此时大部分气管切开管口对准假腔,护士吸痰管进入假腔,反复多次吸痰导致组织损伤伴出血,血凝块形成,负压状态下拔出气管切开套管时把血凝块带出,再次置入时幸运地置入气管真腔。为建立确切有效的人工气道,考虑重新留置气管切开套管有再次置入假腔可能,且常规气管切开套管难以通过真假腔分隔处,予逐渐外拔气管插管尖端水平位至气切口上方,在纤维支气管镜引导下经皮肤切口置入加长型气管切开套管,经纤维支气管镜证实气管切开套管尖端通过假腔分隔处,患者肺顺应性明显改善,吸痰管吸痰通畅。纤维支气管镜检查见图 2

A:颈部少许皮下气肿;B:气管切开套管气囊部位未见明显异常;C:气管切开套管开口层面可见少许纵隔气肿,正后方可见气腔;D:气切套管下约1 cm层面,见气腔缩小;箭头示气腔 图 1 患者经皮扩张气管切开术后胸部CT

A-B:气管切开套管处,显示气管部分阻塞,可见血凝块;C:试用活检钳未能将血块捣碎;D:退镜后发现气管膜部撕裂损伤伴假腔形成;E:气管插管状态下可见膜部缺损;F:分隔处位于导管开口处,后壁为假腔;G:气管插管退至声门下可见假腔全貌;H:气管插管旁入镜见假腔全貌;I:更换加长型气管切开套管可见导管尖端位于分隔处,向远端送至2 cm后通过分隔处,完全进入真腔;星号示假腔 图 2 患者床边纤维支气管镜检查结果
2 讨论

由于PDT手术存在一定的术野盲区,操作者必须认识其相关并发症。其短期并发症主要包括大出血、套管置入困难、套管移位、气管环气管壁损伤、套管气囊破裂、皮下气肿、气胸、纵隔积气、肺不张、感染等;远期并发症主要包括拔管后气道梗阻、气道软化伴狭窄、气管内肉芽组织增生、气管食管瘘、气管皮肤瘘等[2],其致命性的并发症约0.17%[3]。Trottier等[4]指出,为避免PDT对气管膜部的损伤,在操作过程中务必保持导丝顺畅和置入导管顺利。Ovári等[5]报道了3例气管插管过程中致气管膜部损伤的病例,提示PDT过程中放置气管切开套管亦有损伤气管膜部可能。陈犹白等[6]通过动物实验比较4种建立外科气道的并发症的情况发现,在经Griggs法行PDT术组中,术后纤维支气管镜发现该组5只小型猪有1只出现中度的气管内壁损伤,分析可能与造口过程中的器械插入过深有关。Dost等[7]报道PDT手术发生的气管食管瘘严重并发症,需引起操作者重视。本例损伤可能原因分析:①患者损伤部位于气管切开导管远端附近,经导丝扩张时扩张钳置入过深致气管膜部损伤,但未穿透浆膜层,出现气管膜部假腔形成;②放置气管切开套管时直接致气管膜部损伤。笔者建议如有条件尽量在纤维支气管经引导直视下操作,让穿刺针和气管膜部保持一定距离,防止穿刺针损伤气管膜部引发损伤或穿孔的风险,确保穿刺针和套管在气管内,指导扩张钳扩张深度和幅度,避免气管前壁扩张不够、过度扩张和扩张钳过深导致气管后壁损伤的发生,以提高手术的安全性[8]。近年来,随着重症超声在ICU的普及,在PDT术中实时超声引导能明显减少PDT相关并发症的发生[9-10]

利益冲突   所有作者声明不存在利益冲突

参考文献
[1] Griggs WM, Worthley LI, Gilligan JE, et al. A simple percutaneous tracheostomy technique[J]. Surg Gynecol Obstet, 1990, 170(6): 543-545.
[2] Carrer S, Basilico S, Rossi S, et al. Outcomes of percutaneous tracheostomy[J]. Minerva Anestesiol, 2009, 75(11): 607-615.
[3] Simon M, Metschke M, Braune SA, et al. Death after percutaneous dilatational tracheostomy: a systematic review and analysis of risk factors[J]. Crit Care, 2013, 17(5): R258. DOI:10.1186/cc13085
[4] Trottier SJ, Hazard PB, Sakabu SA, et al. Posterior tracheal wall perforation during percutaneous dilational tracheostomy: an investigation into its mechanism and prevention[J]. Chest, 1999, 115(5): 1383-1389. DOI:10.1378/chest.115.5.1383
[5] Ovári A, Just T, Dommerich S, et al. Conservative management of post-intubation tracheal tears-report of three cases[J]. J Thorac Dis, 2014, 6(6): E85-E91. DOI:10.3978/j.issn.2072-1439.2014.03.30
[6] 陈犹白, 张海钟, 陈聪慧, 等. 四种外科气道技术的对比研究[J]. 中华急诊医学杂志, 2016, 25(4): 450-454. DOI:10.3760/cma.j.issn.1671-0282.2016.04.011
[7] Dost P, Thürauf N, Armbruster W, et al. Perforation of the posterior tracheal wall during percutaneous dilatational tracheotomy[J]. ORL J Otorhinolaryngol Relat Spec, 2000, 62(3): 167-169. DOI:10.1159/000027740
[8] 赖志珍, 孟建标, 胡马洪, 等. 纤维支气管镜引导和常规经皮扩张气管切开对患者手术并发症的比较[J]. 中华急诊医学杂志, 2016, 25(5): 675-677. DOI:10.3760/cma.j.issn.1671-0282.2016.05.027
[9] Rajajee V, Williamson CA, West BT. Impact of real-time ultrasound guidance on complications of percutaneous dilatational tracheostomy: a propensity score analysis[J]. Crit Care, 2015, 19: 198. DOI:10.1186/s13054-015-0924-7
[10] Gobatto ALN, Besen BAMP, Cestari M, et al. Ultrasound-guided percutaneous dilational tracheostomy: a systematic review of randomized controlled trials and meta-analysis[J]. J Intensive Care Med, 2020, 35(5): 445-452. DOI:10.1177/0885066618755334