中华急诊医学杂志  2020, Vol. 29 Issue (8): 1116-1117   DOI: 10.3760/cma.j.issn.1671-0282.2020.08.020
胰腺断裂保守治疗一例
张裕方1,2 , 李永刚3 , 张兆云2 , 谢鹏飞2 , 廖文2 , 刘亚2 , 谭浪2 , 杜威2     
1 浙江大学医学院附属第二医院急诊医学科,杭州 310009;
2 新疆生产建设兵团第一师阿拉尔医院,阿拉尔 843300;
3 新疆生产建设兵团第一师医院,阿克苏 843000
1 资料与方法

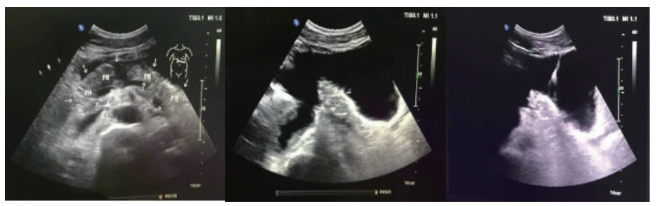
患者男,26岁,维吾尔族,以“高处坠落致腹部疼痛2 d”为主诉入院。患者于2019-03-26凌晨1时左右饮酒后不慎从2 M高处楼梯上摔下,伤及头部、腹部及腰背部,左侧面颊部见少量出血,当时神志状态不明,是否存在腹部及腰背部疼痛,无人知晓。至清晨8时左右,被家属发现俯卧于楼梯口,患者昏睡,周围未见呕吐物,楼梯上可见少量血迹,面颊部擦伤已结痂,呼唤能醒,自诉腹部及腰背部疼痛不适,无头痛、头晕,无恶心、呕吐,遂被立即送往当地县人民医院,CT检查后考虑“胰腺断裂”,给予输液治疗(具体不详),患者意识逐渐转清,可简单对答。为进一步治疗,于2019-03-26晚21:45转入阿克苏农一师医院。入院查体:体温37.1℃,呼吸20次/min,心率90次/min血压120/79 mmHg,腹部平坦,腹皮肤表面未见明显挫伤痕迹,未见胃型,未见肠型,未见蠕动波,无腹壁静脉曲张,未见手术瘢痕,全腹压痛,腹肌紧张,上腹部明显,反跳痛全腹存在,未触及液波震颤,未及腹部包块,肠鸣音减弱,1~2次/min。双肾区有叩痛,右侧明显。骨盆挤压试验(-)。急诊检查生命体征尚稳定,拟诊“腹部闭合性损伤:胰腺断裂?右肾动脉损伤、右肾坏死?”收入ICU。入院诊断:闭合性腹部损伤,胰腺断裂Ⅳ级(主胰管断裂)、弥漫性腹膜炎、右肾动脉损伤、右肾梗死。入院实验室检查:WBC:11.5×109/ L, N:92.1%, Hb 10.5 g,PCT:4.32 ng/mL。入院影像学检查:胸部+腹部增强CT(2019年3月2号晚21:45):右肺下叶炎症,右侧胸腔少量积液,双侧局部胸膜肥厚,胰腺断裂伴周围低密度病灶,考虑假性囊肿形成,右肾动脉损伤,右肾无灌注,腹腔、盆腔积液(考虑血性),腹腔内局部脂肪间隙浑浊,考虑腹膜炎,提示:腹腔内部分肠管明显扩张并积气。此报告为危急值报告!治疗经过:入住ICU,先期放置胃管行胃肠减压,4 d后起经鼻空肠营养,逐渐加量至全量;主要药物泮托拉唑抑酸护胃,生长抑素抑制胰酶分泌,头孢他定+甲硝唑抗感染;本案例入院时创伤发生已过24 h,右肾不显影提示肾动脉梗死造成右肾梗死,介入再通已过时间窗,故放弃介入,不做进一步处理;入院当天腹部增强CT提示胰腺断裂Ⅳ级,胰管完全离断,胰头与胰体尾明显分离,腹腔积液以左中上腹、左下腹居多,腹膜刺激征遍及全腹,按传统观点手术指征明确。但血流动力学稳定,读CT片并完成MRCP后,排除空腔脏器破裂,明确积液集中于上腹部和左下腹,大胆尝试在创伤ICU支持下行非手术治疗。2019-03-29患者行B超检查,示腹腔积液,积液相对集中于左中上腹和左下腹(图 1)。B超定位引导下行左上腹和左下腹穿刺引流(图 2),引出液体性状淡血性,引流效果明显,患者病情较前好转,但血象仍较高,予头孢他啶和甲硝唑抗感染。入院4 d后腹胀缓解即行经鼻空肠营养,以后视腹胀情况逐日加量,5 d后出ICU,因经济问题普通病房住院10 d,带管出院。出院1个月后来院行ERCP术置管困难,放弃置管内引流,继续腹腔引流管回家,未做任何处理。3个月后腹腔引流管自行脱落,6个月后来院复查CT(图 3),胰腺外形基本恢复正常,腹腔无积液,饮食正常,自诉家中腹腔引流管脱落后无任何不适。

图 1 患者入院48 h后胰腺彩色超声影像:肠间有积液

图 2 患者左中上腹部和左下腹穿刺引流

图 3 患者随访复查CT对比
2 讨论

胰腺损伤占腹部损伤的1%~6%,在开放性腹部损伤时胰腺损伤占2%,在闭合性损伤中占5%;[1]胰腺损伤的早期诊断不依赖于临床表现和实验室检查,因为胰腺损伤早期的腹部体征无特异性[1],淀粉酶亦受各种因素的干扰也不具有特异性,腹部增强CT是诊断胰腺损伤的可靠影像学检查,但由于CT对胰腺损伤早期诊断的不敏感性,所以动态的CT复查显得十分重要,MRCP作为对CT的补充,可以明确胰管是否断裂;ERCP既可造影检查,也可以做主胰管支架植入治疗,由于技术要求高,需要有条件的医院才可以实行,目前还难以推广。参照美国外科协会提出的损伤量表(OIS)中胰腺损伤分级标准,本案例定为Ⅳ级胰腺损伤。胰腺由于解剖位置较深,腹部损伤时伤及胰腺的概率不大,尤其孤立性胰腺损伤的概率更低,发生率不足1%[2],在创伤发生时多由于急诊CT筛查或术中探查而被发现。所以胰腺损伤常被延迟诊断和手术漏诊。由于目前尚无胰腺损伤的权威性国际国内指南和专家共识[3],导致各家医院对胰腺损伤的处理缺乏规范性,加之各家医院创伤处理能力的差异和普外科针对复杂胰腺手术的能力的不同,救治成功率参差不齐,综合起来,病死率乃没有控制在可以接受的程度,高达5%~30%[4]。近年来,非手术治疗成功的案例时有报道[5],其中不乏胰腺损伤Ⅲ~Ⅳ级的病例,这得益于药学的发展、B超CT引导下穿刺技术以及内镜技术的进步[6],更重要的是急危重医学的成熟和完善给严重胰腺创伤救治开辟了新的思路。在创伤ICU支持下的损伤控制理念被很好地应用于严重胰腺损伤,B超CT引导下穿刺被包裹的胰液外引流、B超或腔镜下胰腺周围引流、ERCP造影后主胰管支架植入后内引流、重症医学科肠内营养的支持和脏器功能的精准维护等多学科合作、多模式的治疗“组合拳”使非手术治疗各种分级的胰腺损伤成为可能。本例正是这种胰腺损伤救治新理念的大胆尝试,由于指征把握得当,虽为Ⅳ级胰腺断裂,腹膜刺激征明显,但B超穿刺引流效果显著,全身炎症可控,非手术治疗得以最后成功。

针对胰腺损伤早期,在采取非手术治疗方案决策前不仅要明确胰腺损伤的程度,也要明确腹腔内是否存在其他实质性脏器破裂,以及排除是否存在空腔脏器的破裂。血流动力学稳定的腹内实质性脏器破裂,包括胰腺Ⅳ级以下的损伤,只要腹膜刺激征不明显,可以采取保守观察治疗,但如果在严密的观察过程中出现血流动力学不稳定,或腹膜刺激征加重,必须中止观察,紧急手术;血流动力学不稳定的腹内实质性脏器破裂和空腔脏器破裂,是绝对手术指征,在手术完成腹腔内止血、处理好破裂的空腔脏器后,即使术前明确有胰腺损伤,也不要盲目打开后腹膜,而应该根据术前CT、MRCP的影像学结果进行胰腺损伤分级而做出相应处理。

低级别的胰腺损伤Ⅰ级、Ⅱ级不做特殊处理,高级别胰腺损伤Ⅲ级、Ⅳ级可以胰腺周围放置引流,术中或术后短期内主胰腺管支架植入,高级别的胰腺损伤Ⅴ级因伴有十二指肠损伤,手术时应采取损伤控制理念,简化手术方式,以十二指肠破口旁、胰腺周围充分引流为原则,常规放置双套管,便于术后冲洗引流,同时术中放置空肠营养管,以备持久战。尽量避免胰十二指肠切除,因为耗时长手术风险增加,且术后常发生胰肠吻合口瘘,有报道创伤时急诊行胰十二指肠切除术,胰肠吻合口瘘高达60%,因此急诊行胰十二指肠切除术实在得不偿失。

对严重创伤腹内大出血,濒临死亡的患者,来不及CT检查,急诊剖腹探查也应以快速腹内止血为第一目的,可以采取纱布填塞(如肝脏),快速结扎止血,腹腔开放,术后再做CT评估的策略,分期手术。切不可做长时间的探查,特别是在依据不充分的情况下,打开后腹膜,刻意去探查后腹膜的胰腺和十二指肠等器官。

利益冲突  所有作者均声明不存在利益冲突

参考文献
[1] Siboni S, Kwon E, Benjamin E, et al. Isolated blunt pancreatic trauma[J]. J Trauma Acute Care Surg, 2016, 81(5): 855-859. DOI:10.1097/ta.0000000000001224
[2] Addison P, Iurcotta T, Amodu LI, et al. Outcomes following operative vs. non-operative management of blunt traumatic pancreatic injuries: a retrospective multi-institutional study[J]. Burn Trauma, 2016, 4: 39. DOI:10.1186/s41038-016-0065-5
[3] 王永乐, 丁成威, 孙世龙, 等. 胰腺损伤再剖腹手术的危险因素分析[J]. 中国创伤杂志, 2018, 38(7): 740-744. DOI:10.3760/cma.j.issn.1001-8050.2018.08.012
[4] Ho VP, Patel NJ, Bokhari F, et al. Management of adult pancre atic injuries: A practice management guideline from the Eastern Association for the Surgery of Trauma[J][J]. J Trauma Acute Care Surg, 2017, 82(1): 185-199. DOI:10.1097/TA.0000000000001300
[5] Raza M, Abbas Y, Devi V, et al. Non operative management of abdominal trauma – a 10 years review[J]. World J Emerg Surg, 2013, 8: 14. DOI:10.1186/1749-7922-8-14
[6] 张俊晶, 孟兴凯, 伊锁恒, 等. 闭合性胰腺损伤诊疗现状[J]. 中华急诊医学杂志, 2011, 20(2): 217-219. DOI:10.3760/cma.j.issn.1671-0282.2011.02.031