中华急诊医学杂志  2020, Vol. 29 Issue (8): 1072-1077   DOI: 10.3760/cma.j.issn.1671-0282.2020.08.009
热休克蛋白22减轻转化生长因子β1诱导的成纤维细胞激活
谷玉雷1 , 裴辉1 , 徐东1 , 姜毓敏1 , 张娈娈1 , 高路2 , 肖莉丽2     
1 郑州大学第一附属医院EICU, 450052;
2 郑州大学第一附属医院心血管内科, 450052
摘要: 目的 探讨热休克蛋白22(Hsp22)对TGFβ1刺激的心脏成纤维细胞激活的影响,以及其可能的分子机制。方法 分离培养小鼠成体心脏成纤维细胞,采用TGFβ1刺激诱导成纤维细胞激活。采用不同浓度的Hsp22(1,2,4,8,10 μg/mL)孵育成纤维细胞24 h,观察其对心脏成纤维细胞活化、增殖和分泌的影响;采用CCK8试剂盒检测细胞增殖活性;采用RT-PCR检测促纤维化因子的转录水平;采用免疫荧光染色检测a-SMA蛋白的表达;采用免疫印迹检测可能的信号蛋白的改变。结果 CCK8结果显示,TGFβ1刺激后成纤维细胞增殖明显增加(P<0.05);TGFβ1刺激后成纤维细胞α-SMA表达增多(P<0.05),纤维化相关的基因转录明显增加(P<0.05)。1,2,4,8,10 μg/mL的Hsp22均能够显著抑制成纤维细胞的增殖(P<0.05)。8 μg/mL和10 μg/mL的Hsp22能够抑制α-SMA表达(P<0.05),减少纤维化相关的基因的转录水平(P<0.05)。免疫印迹结果显示TGFβ1刺激后WNT和β-catenin激活水平增加,GSK3β的磷酸化增高,β-catenin的核转位增多(P<0.05);10 μg/mL的Hsp22处理能够抑制WNT和β-catenin的激活水平,减少GSK3β的磷酸化表达,减少β-catenin的核转位(P<0.05),减少smad2和smad3的磷酸化水平(P<0.05)。结论 Hsp22可以通过抑制WNT/β-catenin信号通路阻断TGFβ1诱导的成纤维细胞活化、增殖和分泌。
关键词: 热休克蛋白22    成纤维细胞    心肌纤维化    WNT    β-catenin    信号通路    应激    转化生长因子    
Heat shock protein 22 reduces the activation of cardiac fibroblasts induced by transforming growth factor β1
Gu Yulei1 , Pei Hui1 , Xu Dong1 , Jiang Yumin1 , Zhang Luanluan1 , Gao Lu2 , Xiao Lili2     
1 Emergency Intensive Care Unit, The First Affiliated Hospital of Zhengzhou University, Zhengzhou 450052, China;
2 Departement of Cardiology, The First Affiliated Hospital of Zhengzhou University, Zhengzhou 450052, China
Abstract: Objective To explore the effect of Hsp22 on the activation of cardiac fibroblasts stimulated by TGFβ1 and its possible molecular mechanism. Methods Cardiac fibroblasts of adult mice were isolated and cultured, and stimulated with TGFβ1 to induce fibroblast activation. Fibroblasts were incubated with Hsp22 of different concentrations (1, 2, 4, 8, 10 μg/mL) for 24 h, and their activation, proliferation and secretion were observed. CCK8 kit was used to detect cell proliferation. RT-PCR was used to detect the transcription of fibrogenic factor. Immunofluorescence was used to detect the expression of α-SMA protein. Immunoblotting was used to detect the possible signal protein. Results CCK8 results showed that fibroblast increased significantly after TGFβ1 stimulation (P < 0.05). The expression of α-SMA in fibroblasts and the transcription of fibrosis-related genes increased significantly after TGFβ1 stimulation (P < 0.05). Different concentrations (1, 2, 4, 8, and 10 μg/mL) of Hsp22 all inhibited the proliferation of fibroblasts significantly ((P < 0.05). Eight μg/mL and 10 μg/mL Hsp22 inhibited the expression of α-SMA (P < 0.05). and reduced the transcription of fibrosis-related genes (P < 0.05). Immunoblotting results indicated that after induced by TGFβ1, the expression of WNT and β-catenin, the phosphorylation level of GSK3β, and the nuclear translocation of β-catenin increased (P < 0.05). Ten μg/mL Hsp22 inhibited the expression of WNT and β-catenin, and reduced the phosphorylation of GSK3β the nuclear translocation of β-catenin and the phosphorylation of smad2 and smad3(P < 0.05). Conclusions Hsp22 could block TGFβ1-induced fibroblast activation, proliferation and secretion via inhibiting the WNT/β-catenin signaling pathway.
Key words: Hsp22    Fibroblasts    Myocardial fibrosis    WNT    β-catenin    Signaling Pathway    Stress    Transforming growth factor    

心肌纤维化是各种心血管疾病发生发展的共同病理机制,其本质是心肌组织内胶原沉积增多,胶原降解增加,导致各种类型的胶原排序混乱及比例失衡的现象[1]。其病因包括:高血压、冠心病、心肌梗死、缺血性心脏病和心律失常等。多种机制参与了心肌纤维化的发生和发展机制,包括神经体液、压力负荷以及细胞间的相互作用[2-3]。随着心肌纤维化的发生发展,心室僵硬度增加,导致心脏舒张功能异常,最后引发心脏电传导异常,从而易引发猝死[4-5]。目前临床上主要是针对高血压、冠心病和缺血性心脏病的治疗,而对心脏纤维化无特效药,因此研究心脏纤维化的靶点和新干预措施,对心血管疾病的防治意义重大。

热休克蛋白22(Hsp22)是一种应激诱导蛋白,其响应于各种心肌应激条件,包括缺血、缺氧。研究表明,Hsp22通过调控线粒体氧化磷酸化保护哺乳动物心脏急性缺血-再灌注损伤[6-8]。Hsp22通过激活PI3K/AKT信号促进心脏生长和心肌细胞的存活[9]。Hsp22能够增加AMPKα激活,抑制mTOR磷酸化,发挥抑制心肌肥厚的作用[10]。上述研究均提示Hsp22的心脏保护作用,然而Hsp22是否能够减少转化生长因子β1(TGFβ1)诱导的成纤维细胞激活和增殖尚无报道。本研究建立TGFβ1诱导的成纤维细胞激活和增殖的模型,探讨Hsp22的抗心肌纤维化作用和机制。

1 材料与方法 1.1 材料

SPF级小鼠由湖北省实验动物研究中心提供,实验动物合格证号:SYXK(鄂)2015-0027。细胞培养相关试剂:链青霉素双抗、胰酶、血清和DMEM培养基来源于美国Hyclone公司。TGFβ1来源于美国ProteinTech公司。实验所用一抗:α-SMA、WNT、β-catenin、P-GSK3β、T-GSK3β、GAPDH、LaminB购买于英国Abcam公司。重组人Hsp22蛋白(ab119152)购买于英国Abcam公司。CCK8细胞增殖试剂盒购买于日本同仁公司。

1.2 细胞培养

将4~6周小鼠酒精消毒后剪出心脏,置于10 mL的DMEM-F12中,清洗1次,采用眼科剪将心脏剪成1~2 mm3的组织块,采用0.125%的胰酶和胶原酶消化15 min,弃掉第一次消化液,随后再次消化10 min,收集消化4次后的消化液,离心去上清液,将细胞用DMEM-F12重悬后过滤,采用差时贴壁法让成纤维细胞贴壁90 min,弃掉心肌细胞,取第2~4代的心脏成纤维细胞进行下一步实验。

1.3 细胞活性及细胞增殖检测

采用CCK8细胞增殖试剂盒评估细胞活力。

实验分组一:a.对照组(给予同等体积的PBS处理细胞48 h);b. 1 μg/mL Hsp22组(给予1 μg/mL Hsp22处理48 h);c. 2 μg/mL Hsp22组(给予2 μg/mL Hsp22处理48 h);d. 4 μg/mL Hsp22组(给予4 μg/mL Hsp22处理48 h);e. 8 μg/mL Hsp22组(给予8 μg/mL Hsp22处理48 h);f. 10 μg/mL Hsp22组(给予10 μg/mL Hsp22处理48 h);

实验分组二:a.对照组(给予同等体积的PBS处理细胞48 h);b. TGFβ1刺激组(给予TGFβ1 10 ng/mL处理48 h);c. 1 μg/mL Hsp22+TGFβ1组(同时给予1 μg/mL Hsp22和TGFβ1 10 ng/mL处理48 h);d. 2 μg/mL Hsp22+TGFβ1组(同时给予2 μg/mL Hsp22和TGFβ1 10 ng/mL处理48 h);e. 4 μg/mL Hsp22+TGFβ1组(同时给予4 μg/mL Hsp22和TGFβ1 10 ng/mL处理48 h);f. 8 μg/mL Hsp22+TGFβ1组(同时给予8 μg/mL Hsp22和TGFβ1 10 ng/mL处理48 h);g. 10 μg/mL Hsp22+TGFβ1组(同时给予10 μg/mL Hsp22和TGFβ1 10 ng/mL处理48 h);处理完成的细胞每孔加入10 μl稀释后的CCK8试剂,孵育2 h后在酶标仪下检测450 nm的吸光度。细胞增殖=每组细胞的吸光度×100%/对照组的吸光度。

1.4 免疫荧光染色

采用α-SMA染色评估成纤维细胞的激活。细胞处理完成后采用PBS清洗3次,用4%多聚甲醛固定10 min,采用0.1%Triton X-100通透5 min,清洗3次后采用1%羊血清封闭30 min,采用抗α-SMA单克隆抗体孵育1 h,清洗3次后为了评估心脏成纤维细胞分化为肌成纤维细胞的程度,采用Alexa FluorH 488羊抗鼠二抗孵育60 min,清洗3次后采用DAPI进行细胞核染色和封片。在显微镜下拍照,采用image-pro-plus软件进行荧光强弱分析。

1.5 RT-PCR法检测

细胞处理后采用TRIzol提取总RNA。采用PCR仪将2 μg RNA逆转录为cDNA。采用LightCycler 480 SYBRⓇ Green 1 Master Mix体系进行PCR扩增,采用双重标准化曲线法量化PCR结果,校准采用内参蛋白GAPDH。

1.6 Western blot法检测

细胞处理后,去除上清液,裂解液孵育后采用细胞刮刀收集裂解液,超声裂解后检测蛋白浓度,定量蛋白浓度为3 000 ng/μL。采用10%的SDS-PAGE胶进行蛋白电泳,采用一抗孵育过夜,孵育二抗1 h后,用Odisey(双色红外成像系统)进行扫膜分析,所有蛋白与内参蛋白比较。

1.7 统计学方法

计量资料以均数±标准差(Mean±SD)表示。采用SPSS 22.0软件进行分析。两组间比较采用独立样本t检验,多组间比较采用单因素方差分析,以P<0.05认为差异有统计学意义。

2 结果 2.1 Hsp22抑制TGFβ1诱导的成纤维细胞增殖

1,2,4,8,10 μg/mL Hsp22组细胞活性与对照组差异无统计学意义(P>0.05)。1,2,4,8,10 μg/mL Hsp22组与TGFβ1组比较,细胞增殖程度明显降低(P<0.05),但仍高于对照组(P<0.05)。8和10 μg/mL Hsp22抑制细胞增殖效果更好,因此取8和10 μg/mL Hsp22进行后续实验(图 1)。

图注:CCK8检测细胞活性,%表示各组与对照组的百分比;与对照组比较, aP<0.05;与TGFβ1组比较,bP<0.05 图 1 Hsp22对细胞增殖的影响 Fig 1 Effect of Hsp22 on cell proliferation
2.2 Hsp22抑制TGFβ1诱导的成纤维细胞活化

免疫荧光结果显示:TGFβ1刺激成纤维细胞48 h,成纤维细胞α-SMA表达的荧光亮度明显高于对照组(P<0.05);而TGFβ1+8 μg/mL Hsp22和TGFβ1+10 μg/mL Hsp22两组细胞α-SMA表达的荧光亮度明显低于TGFβ1组(P<0.05),但仍高于对照组(P<0.05)(图 2)。

图注:镜下可见α-SMA(红色)的表达,放大倍数400倍,绿色表示phalloidin(鬼笔环肽),蓝色表示细胞核。与对照组比较, aP<0.05);与TGFβ1组比较, bP<0.05 图 2 Hsp22对α-SMA表达的影响 Fig 2 Effect of Hsp22 on α-SMA expression
2.3 Hsp22抑制TGFβ1诱导的成纤维细胞分泌

RT-PCR结果显示:TGFβ1刺激成纤维细胞48 h,成纤维细胞I型胶原、Ⅲ型胶原、纤维连接蛋白和结缔组织生长因子表达的转录水平明显高于对照组(P<0.05);而TGFβ1+8 μg/mL Hsp22和TGFβ1+10 μg/mL Hsp22两组细胞中上述促纤维化因子的转录水平均低于TGFβ1组(P<0.05),但是仍高于对照组(P<0.05)(图 3)。免疫印迹结果显示:成纤维细胞I型胶原、Ⅲ型胶原蛋白表达量在TGFβ1刺激后升高,而TGFβ1+8 μg/mL Hsp22减少I型胶原表达,并未减少Ⅲ型胶原蛋白表达;TGFβ1+10 μg/mL Hsp22减少I型胶原、Ⅲ型胶原蛋白表达(P<0.05)(图 4表 1)。

图注:与对照组比较aP<0.05;与TGFβ1组比较bP<0.05 图 3 Hsp22对促纤维化因子转录水平的影响 Fig 3 Effect of Hsp22 on transcription level of fibrotic factor

图 4 Hsp22对胶原蛋白表达的影响 Fig 4 Effect of Hsp22 on collagen protein expression

表 1 胶原蛋白的相对表达水平 Table 1 The relative expression levels of collagen proteins
组别 ColagenⅠ
/GAPDH
CollagenⅢ
/GAPDH
对照组(n=6) 0.43±0.04 0.21±0.03
TGFβ1组(n=6) 2.31±0.05a 0.89±0.05a
TGFβ1+8 μg/mL Hsp2组(n=6) 1.22±0.04ab 0.90±0.07a
TGFβ1+10 μg/mL Hsp2组(n=6) 0.34±0.07ab 0.46±0.07ab
 注:与对照组比较, aP<0.05;与TGFβ1组比较,bP<0.05
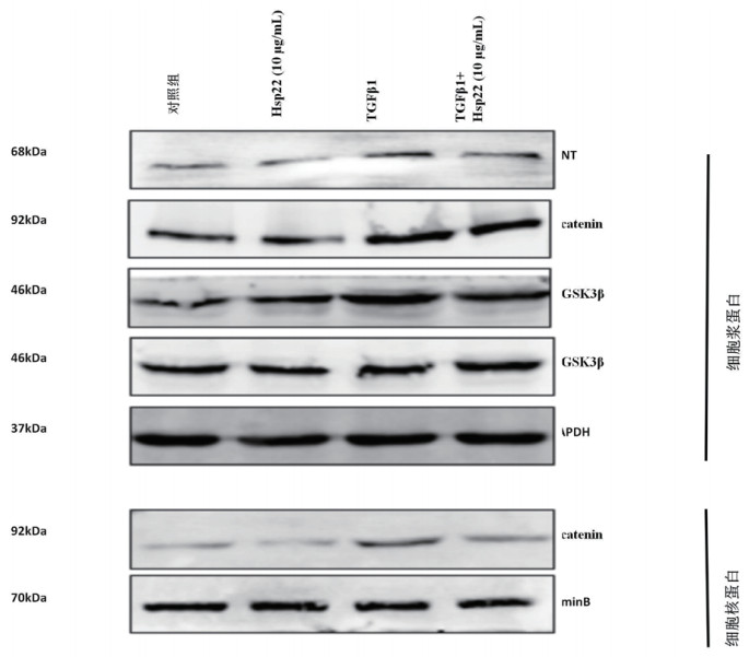
2.4 Hsp22抑制WNT/β-catenin信号通路

免疫印迹结果显示:TGFβ1刺激成纤维细胞48 h,成纤维细胞WNT和β-catenin的表达水平明显高于对照组,GSK3β的磷酸化水平高于对照组(P<0.05);β-catenin的核内表达明显高于对照组。而TGFβ1+10 μg/mL Hsp22细胞中WNT和β-catenin的表达水平低于TGFβ1组(P<0.05),仍高于对照组;TGFβ1+10 μg/mL Hsp22细胞中GSK3β的磷酸化水平低于TGFβ1组(P<0.05),仍高于对照组(P<0.05);β-catenin的核内表达明显低于TGFβ1组(P<0.05),仍高于对照组(P<0.05)(图 5表 2)。

图 5 Hsp22对WNT/β-catenin信号通路蛋白表达的影响 Fig 5 Effect of Hsp22 on WNT/β-catenin signaling

表 2 WNT/β-catenin信号通路蛋白的相对表达水平 Table 2 The relative expression levels of WNT/β-catenin signaling proteins
组别 WNT /GAPDH β-catenin
/GAPDH
P-GSK3β
/T-GSK3β
β-catenin
/LaminB
对照组(n=6) 0.08±0.01 0.45±0.02 0.54±0.02 0.07±0.01
10 μg/mL Hsp22组(n=6) 0.09±0.01 0.43±0.01 0.99±0.07 0.08±0.01
TGFβ1组(n=6) 0.27±0.02a 0.89±0.03a 3.42±0.03a 0.28±0.03a
TGFβ1+10 μg/mL Hsp2组(n=6) 0.14±0.02ab 0.62±0.02ab 1.47±0.02ab 0.17±0.02ab
 注:与对照组比较, aP<0.05;与TGFβ1组比较,bP<0.05

采用10 μg/mL Hsp22单独刺激细胞,发现10 μg/mL Hsp22组细胞中WNT和β-catenin的表达水平与对照组差异无统计学意义(P>0.05),GSK3β的磷酸化水平与对照组差异无统计学意义(P>0.05),β-catenin的核内表达也与对照组差异无统计学意义(P>0.05)(图 5表 2)。

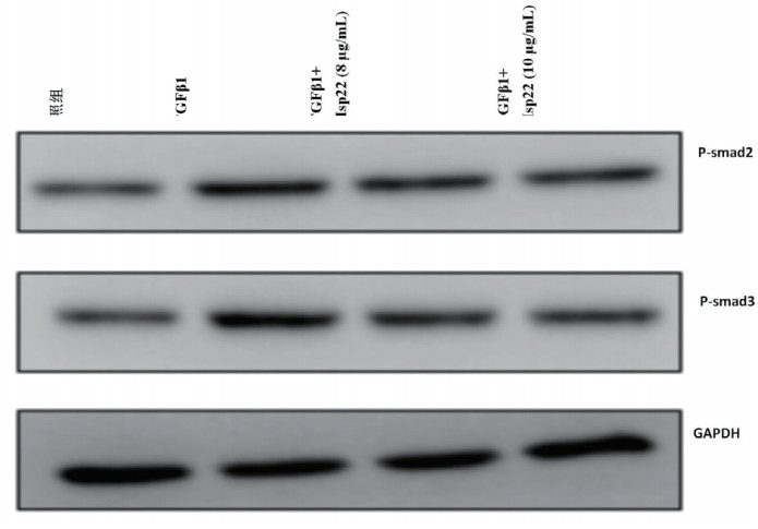
检测经典的TGFβ-smad信号通路,免疫印迹发现smad2和smad3的磷酸化水平在TGFβ1组明显升高,而TGFβ1+8 μg/mL Hsp22组smad2和smad3的磷酸化水平与TGFβ1组差异无统计学意义(P>0.05);TGFβ1+10 μg/mL Hsp22组smad2和smad3的磷酸化水平低于TGFβ1组(P<0.05)(图 6表 3)。

图 6 Hsp22对smad信号通路蛋白表达的影响 Fig 6 Effect of Hsp22 on smad signaling

表 3 胶原蛋白的相对表达水平 Table 3 The relative expression levels of collagen proteins
组别 P-smad2
/GAPDH
P-smad3
/GAPDH
对照组(n=6) 0.33±0.04 0.32±0.04
TGFβ1组(n=6) 1.32±0.05a 1.24±0.05a
TGFβ1+8 μg/mL Hsp2组(n=6) 1.18±0.04a 1.07±0.05a
TGFβ1+10 μg/mL Hsp2组(n=6) 0.98±0.04ab 0.87±0.06ab
 注:与对照组比较, aP<0.05;与TGFβ1组比较,bP<0.05
3 讨论

心肌纤维化是多种心血管疾病的共同病理生理过程,心肌纤维化分为反应性心肌纤维化和修复性心肌纤维化。在急性心肌梗死后,大量成纤维细胞激活增殖分泌,胶原增生以维持心脏结构的完整性,在此基础上是心肌成纤维细胞为了维持心脏的正常生理功能发生的急性反应[3-4]。然而在心肌梗死后期,缺血性心脏病和高血压性心脏病的病理发展过程中,心肌纤维化通常为反应性纤维化。这种反应性纤维化通常是由于过多的胶原降解,纤维合成增加,导致细胞外基质的降解/合成失衡,大量胶原纤维的紊乱排列和聚集,导致心室僵硬度的增加,心肌细胞之间的电传导异常,心肌细胞排列异常,最终导致异常的心室重构,最终发展为心力衰竭[11-12]。心肌成纤维细胞的激活在此过程中发挥着主导作用,在多种机械应力、炎症因子、局部的肾素-血管紧张素-醛固酮及儿茶酚胺的作用下,成纤维细胞激活、增殖、大量分泌胶原蛋白,导致心肌纤维化[5, 13]。近年来,如何特异性抑制肌成纤维细胞转分化成为研究热点。在多种因素刺激下成纤维细胞激活转化成肌成纤维细胞,表达α-SMA,使其更具有收缩特性。本研究发现,Hsp22可以抑制心脏成纤维细胞的激活(图 2,表现为α-SMA表达减少),减少其增殖(图 1)和分泌功能(图 3)。Hsp22有望成为治疗心肌纤维化的新药物。

多种信号通路参与了心肌成纤维细胞的激活,包括:TGFβ/smad信号、MAPK信号、WNT/β-catenin信号以及Notch信号等[14]。其中WNT/β-catenin信号也是最为经典的纤维化信号。早期在乳腺癌细胞中发现了WNT基因,随后多种研究发现其在肿瘤发生、胚胎发育、细胞分化以及纤维化中发挥着重要作用[14]。WNT/β-catenin是最为典型的WNT信号通路[15]。赵琦峰等[16]研究发现,WNT/β-catenin信号通路在急性心梗后心肌组织的愈合中起关键性作用。在生理状态下,磷酸化的β-catenin在细胞浆中与GSK3β/APC复合体结合,导致其被E3泛素连接酶识别而降解。当多种刺激激活WNT信号分子时,Axin/GSK3β/APC复合物降解,胞浆内的β-catenin去磷酸化免受E3泛素连接酶的降解,从而转入细胞核与TGF结合,启动心肌纤维化相关的基因转录,包括α-SMA、胶原蛋白Ⅰ、胶原蛋白Ⅲ和结缔组织生长因子[15]。WNT激活时,可通过WISP-1分子促进纤维化的发展。在成纤维细胞的活化过程中,β-catenin可调控机械力导致的成纤维细胞的激活和分化[17, 18]。TGFβ-smad信号通路是一类经典的促进纤维化通路。本研究发现TGFβ1刺激后WNT/β-catenin信号通路明显激活,β-catenin的核表达显著增多;而Hsp22能够减少WNT/β-catenin的激活,减少β-catenin的核表达。高剂量Hsp22也能够减少smad2和smad3的活化,从而在心肌纤维化中发挥保护作用。

综上所述,Hsp22通过抑制WNT/β-catenin以及经典的smad信号通路的激活发挥抗成纤维细胞激活、增殖和分泌的作用。Hsp22对成纤维细胞的抑制作用可能成为纤维化相关疾病,尤其是心肌纤维化的治疗新药物。

利益冲突  所有作者均声明不存在利益冲突

参考文献
[1] Yue YY, Meng K, Pu YJ, et al. Transforming growth factor beta (TGF-β) mediates cardiac fibrosis and induces diabetic cardiomyopathy[J]. Diabetes Res Clin Pract, 2017, 133: 124-130. DOI:10.1016/j.diabres.2017.08.018
[2] ]ChenZ, LiX, ChenJ, 等. SMAD axis functions as a key mediator for cardiac fibrosis[J]. Heart Lung Circ, 2018, 27(3): e28. DOI:10.1016/j.hlc.2017.09.010
[3] Travers JG, Kamal FA, Robbins J, et al. Cardiac fibrosis[J]. Circ Res, 2016, 118(6): 1021-1040. DOI:10.1161/circresaha.115.306565
[4] Talman V, Ruskoaho H. Cardiac fibrosis in myocardial infarction: from repair and remodeling to regeneration[J]. Cell Tissue Res, 2016, 365(3): 563-581. DOI:10.1007/s00441-016-2431-9
[5] Kurose H, Mangmool S. Myofibroblasts and inflammatory cells as players of cardiac fibrosis[J]. Arch Pharm Res, 2016, 39(8): 1100-1113. DOI:10.1007/s12272-016-0809-6
[6] Laure L, Long R, Lizano P, et al. Cardiac H11 kinase/Hsp22 stimulates oxidative phosphorylation and modulates mitochondrial reactive oxygen species production: Involvement of a nitric oxide-dependent mechanism[J]. Free Radic Biol Med, 2012, 52(11/12): 2168-2176. DOI:10.1016/j.freeradbiomed.2012.03.001
[7] Rashed E, Lizano P, Dai HC, et al. Heat shock protein 22 (Hsp22) regulates oxidative phosphorylation upon its mitochondrial translocation with the inducible nitric oxide synthase in mammalian heart[J]. PLoS One, 2015, 10(3): e0119537. DOI:10.1371/journal.pone.0119537
[8] Chen L, Lizano P, Zhao X, et al. Preemptive conditioning of the swine heart by H11 kinase/Hsp22 provides cardiac protection through inducible nitric oxide synthase[J]. Am J Physiol - Heart Circ Physiol, 2011, 300(4): H1303-H1310. DOI:10.1152/ajpheart.00979.2010
[9] Sui XZ, Li D, Qiu HY, et al. Activation of the bone morphogenetic protein receptor by H11Kinase/Hsp22 promotes cardiac cell growth and survival[J]. Circ Res, 2009, 104(7): 887-895. DOI:10.1161/circresaha.108.192328
[10] 肖莉丽, 谷玉雷, 高路, 等. 热休克蛋白22减轻苯肾上腺素诱导的心肌细胞肥大反应[J]. 中华急诊医学杂志, 2019, 28(3): 344-349. DOI:10.3760/cma.j.issn.1671-0282.2019.03.013
[11] Ma ZG, Yuan YP, Wu HM, et al. Cardiac fibrosis: new insights into the pathogenesis[J]. Int J Biol Sci, 2018, 14(12): 1645-1657. DOI:10.7150/ijbs.28103
[12] Hulshoff MS, Rath SK, Xu XB, et al. Causal connections from chronic kidney disease to cardiac fibrosis[J]. Semin Nephrol, 2018, 38(6): 629-636. DOI:10.1016/j.semnephrol.2018.08.007
[13] Perrucci GL, Rurali E, Pompilio G. Cardiac fibrosis in regenerative medicine: destroy to rebuild[J]. J Thorac Dis, 2018, 10(S20): S2376-S2389. DOI:10.21037/jtd.2018.03.82
[14] Tao H, Yang JJ, Shi KH, et al. Wnt signaling pathway in cardiac fibrosis: New insights and directions[J]. Metabolism, 2016, 65(2): 30-40. DOI:10.1016/j.metabol.2015.10.013
[15] Liu Y, Gao L, Zhao XY, et al. Saikosaponin A protects from pressure overload-induced cardiac fibrosis via inhibiting fibroblast activation or endothelial cell EndMT[J]. Int J Biol Sci, 2018, 14(13): 1923-1934. DOI:10.7150/ijbs.27022
[16] 赵琦峰, 杜杰, 吴国伟, 等. 大鼠急性心肌梗死后心肌组织中Wnt-1和β-catenin的mRNA表达[J]. 中华急诊医学杂志, 2011, 20(05): 489-493. DOI:10.3760/cma.j.issn.1671-0282.2011.05.011
[17] Seo HH, Lee S, Lee CY, et al. Multipoint targeting of TGF-β/Wnt transactivation circuit with microRNA 384-5p for cardiac fibrosis[J]. Cell Death Differ, 2019, 26(6): 1107-1123. DOI:10.1038/s41418-018-0187-3
[18] Qian LJ, Hong J, Zhang YM, et al. Downregulation of S100A4 alleviates cardiac fibrosis via wnt/β -catenin pathway in mice[J]. Cell Physiol Biochem, 2018, 46(6): 2551-2560. DOI:10.1159/000489683