2 安徽医科大学第二附属医院心肺复苏与危重病研究室, 合肥 230032
肺炎支原体(mycoplasma pneumoniae, MP)感染主要临床表现为咳嗽、发热、乏力[1], 通常是一种良性、自限性疾病, 但少数患者病情危重甚至死亡, 特别是合并有溶血性贫血、心肌炎、脑膜炎等。据文献报道, 肺炎支原体肺炎(mycoplasma pneumoniae pneumonia, MPP)合并横纹肌溶解(rhabdomyolysis, RM)成人病例罕见, 多见于婴儿患者[2]。由于发病率低, 目前主要见病例报道, 缺乏相应的治疗经验, 目前尚无系统性研究及分析, 本文对安徽医科大学第二附属医院成功救治的1例病例及文献报道的6例患者资料进行归纳总结分析, 以加深临床医生对该病的认识。
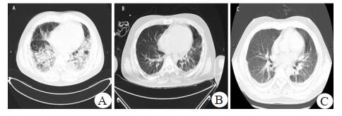
1 资料与方法患者, 男, 29岁, 因发热伴咳嗽、胸闷气喘4 d, 肌肉酸胀1 d于2018年2月入院。入院前4 d受凉后出现咳嗽、咳白痰, 伴有胸闷、活动后气喘, 伴有发热, 最高体温40.6℃, 未予以诊治, 就诊本院当天, 胸闷气喘较前明显加重, 入抢救室后, 查血气PaO2 42 mmHg(1 mmHg=0.133 kPa), SpO2 86%(面罩吸氧10 L/min), 入ICU进一步治疗。查体:T 38.3℃, P 146次/min, RR 40次/min, BP 143/68 mmHg, 神清, 急性面容, 浅表淋巴结未扪及肿大, 口唇发绀明显, 颈软胸廓无畸形, 双肺呼吸音减低, 双肺可闻及散在湿性啰音, 当天尿液呈棕色, 其余指标阴性。部分急查血结果汇报:白细胞(WBC)4.4×109/L, 中性比(Neut)84.3%, 降钙素原(PCT)32.46 ng/mL, C反应蛋白141 mg/L, 肌酐209 μmol/L, 肌红蛋白(MYO)3 890 ng/mL和肌酸激酶(CK)29 699 U/L。入院后肺部CT示:两肺大片状高密度影, 部分实变(图 1A)。追溯病史:患者4年前有吸食冰毒病史, 有幻听幻视症状, 后戒毒, 2016年于外院诊断精神病, 长期服用精神类药物(利培酮1片3 mg/d、氯硝西泮1片2 mg/d、苯海索1片0.5 mg/d控制病情, 已停药1年)。入科后先予以无创呼吸机辅助呼吸(IPAP 14 cmH2O, EPAP 5 cmH2O, FiO2 100%, 1 cmH2O=0.098 kPa), 头孢哌酮舒巴坦联合莫西沙星、奥司他韦抗感染; 但患者高热不退, 复查WBC、Neut、PCT等炎症指标较前明显上升, 且患者频繁咳嗽, 烦躁明显, 难以耐受无创呼吸机, 氧合指数78 mmHg。入科第2天, 予以气管插管接呼吸机辅助呼吸(AC模式f 20次/min, VT 400 mL, FiO2 100%, PEEP 14.0 cmH2O), 联合肌松、镇静、镇痛, 肺复张后氧合状态较前好转, 并联用甲泼尼龙40 mg/d静脉滴注, 用后体温渐降至正常。
|
| 图 1 患者入院期间的胸部CT(A:患者入院时胸部CT; B:住院第16天的胸部CT; C:患者入院56 d的胸部CT) |
|
|
入科后患者呈现无尿状态, 尿液呈棕色, 予以补液水化、碱化尿液, 肾功能未见好转, CR升至617 μmol/L, CK高达36 681 U/L, 入科第3天开始间断行连续性肾脏替代治疗(CRRT)。完善甲型、乙型和丙型肝炎、甲流感病毒、TORCH、EB病毒、CMV病毒、HIV、抗核抗体、ANA、ANCA16项, 痰、血培养均为阴性。血清IgM呈阳性, 支原体效价为1:160, T细胞亚群示CD4+T 60/µL, CD4+/CD8+ T为0.52, 比例倒置。停用奥司他韦, 予以头孢哌酮舒巴坦联合莫西沙星、米诺环素抗感染, 甲泼尼龙抗炎, 同时输注白蛋白、肠内营养、调节肠道菌群、增强免疫等对症。后患者出现凝血功能障碍, 结合入科第6天肺泡灌洗液检出洋葱伯克霍尔德菌, 遂停用头孢哌酮舒巴坦改为哌拉西林他唑巴坦。患者体温基本正常、炎症指标趋于好转, 肺功能较入院时明显改善, 第9天氧合指数可达386.75 mmHg。考虑避免继发性肺部感染, 于第10天行气管切开接呼吸机辅助通气。住院11 d复查支原体抗体滴度与入院第4天比较下降为之前的1/4。故诊断重症MPP、急性呼吸窘迫综合征(ARDS)、RM、急性肾损伤(AKI)明确。然而第12天开始患者反复出现高热, 最高超过39℃, 热前无明显寒战, 血常规、PCT等炎症指标进行性上升, 影像学提示病灶较前明显吸收(图 1B), 动脉血气提示氧合指数尚可, 治疗上增加伏立康唑预防性抗真菌联合替考拉宁兼顾治疗球菌。多次送检痰样本培养检出洋葱伯克霍尔德菌, 据药敏试验结果, 尚可以覆盖病原菌。患者体温、炎症指标水平后下降, 气管切开8 d后顺利脱机拔管序贯高流量吸氧。ICU治疗后期患者痰多次培养检出多重耐药菌肺炎克雷伯杆菌, 调整方案为头孢哌酮舒巴坦联合磷霉素钠、替加环素抗感染, 辅以对症治疗。复查胸部影像学较前改善(图 1C)。T细胞亚群CD4+/CD8+从0.52上升到1.03。患者入科后间断行CRRT治疗, 肾功能于入院28 d恢复。并在入院37 d转回普通病房治疗。患者ICU期间治疗经过、相关肾功能情况如图 2、图 3。普通病房治疗1个月后出院。随访中, 患者的情况稳定。
|
| 图 2 患者入住ICU期间的治疗及体温、白细胞变化 |
|
|
|
| 图 3 患者ICU住院期间肾功能及尿量变化 |
|
|
以“肺炎支原体, 肺炎, 横纹肌溶解, 成人”为检索词检索CNKI、Wang Fang Data和VIP数据库, 未检测到相关病例报道; 同时以mycoplasma pneumoniae、pneumonia、rhabdomyolysis、adult、case report为检索词检索PubMed数据库, 时限为建库至2019年8月, 检索病例资料完整的病例报道共6篇, 见表 1。
| 病例 | 性别 | 年龄 | 临床表现 | 肺部影像学 | 肺外表现 | CK(U/L) | 治疗 | 预后 | 文献 |
| 1 | 男 | 47 | 发热, 呼吸困难, 咳嗽 | 肺不张、实变 | RM+皮疹 | 25 422 | 水化+多西环素 | 好转 | [3] |
| 2 | 女 | 25 | 发热, 咳嗽, 肌无力 | 实变 | RM | 51 226 | 大环内酯类+甲泼尼龙 | 好转 | [4] |
| 3 | 男 | 37 | 发热, 气促, 咳嗽, 全身肌肉疼痛 高热, 干咳, 呼吸困难 |
间质浸润 | RM+AKI | 14 220 | 水化+阿奇霉素 | 好转 | [2] |
| 4 | 男 | 25 | 高热, 呼吸困难 | 间质性肺炎、胸腔积液 | RM+AKI+GBS | 77 700 | 机械通气+阿奇霉素+腹膜透析+糖皮质激素 | 好转 | [5] |
| 5 | 男 | 55 | 胸痛, 腹痛, 肌肉疼痛, 肌无力 | 间质浸润 | RM+AKI+Steves-Johnson综合征+胰腺炎+贫血+关节炎 | 792 | 机械通气+多西环素+喹诺酮类+糖皮质激素+肺移植 | 死亡 | [6] |
| 6 | 女 | 28 | 发热、咳嗽、胸闷、气喘 | / | RM+神经系统 | > 4 000 | 甲泼尼龙 | 好转 | [7] |
| 注:RM为横纹肌溶解; AKI为急性肾损伤; GBS为吉兰-巴雷综合征 | |||||||||
分析成人支原体肺炎合并横纹肌溶解患者共7例, 男5例(71.4%), 女2例(28.6%), 年龄25~47岁, (35±12)岁, 主要临床表现为发热及咳嗽、肌肉疼痛, 影像学多表现为双肺浸润, 部分呈实变, 双侧病变多于单侧, 少数病例可合并胸腔积液, 发病到出现CK升高的时间为(8±5)d, 1例为3 d, 5例为4~14 d, 剩余1例具体时间不详。7例中有3例合并呼吸衰竭, 接受了机械通气, 其中1例接受肺移植, 2例发生皮损, 2例继发神经系统并发症; 7例均合并有横纹肌溶解, 其中4例合并有AKI, 2例血液净化, 1例接受机械通气和血液净化。治疗上主要是大环内酯类或四环素类或喹诺酮类药物抗感染和(或)联合糖皮质激素, 1例单用多西环素, 1例单用阿奇霉素, 4例患者接受抗感染联合糖皮质激素治疗, 其中2例患者使用阿奇霉素; 1例接受多西环素联合环丙沙星、左氧氟沙星; 1例使用莫西沙星联合其他抗生素抗感染治疗, 剩余1例单用激素; 针对5例患者使用的激素, 1例初始剂量为1 mg/(kg·d), 1例是40 mg/d, 另外1例剂量是80 mg/d, 有两例具体用量不详。7例中6例痊愈, 1例因突发性肺内出血死亡。
MP是非典型肺炎的常见致病菌, MPP约占社区获得性肺炎病例的12%。其潜伏期一般是1~3周, 临床表现不尽相同, 从无症状或轻微的自限性上呼吸道症状到影像学上确诊需要住院治疗的肺炎, 甚至重症肺炎。此外少数患者伴有肺外表现, 如皮肤病、溶血性贫血、脊髓炎等。临床上诊断主要通过血清特异性抗体诊断, 支原体IgM阳性可作为近期感染或急性感染的依据; 肺炎支原体特异性抗体滴度呈4倍或4倍以上增高或减低时可确诊, 这是目前国际上公认的标准; 此外应用PCR方法检测MP-DNA有助于临床早期诊断; 直接检测标本中肺炎支原体抗原, 亦可用于早期的快速诊断[1]。
成人中RM常见报道的原因是创伤、药物和感染[8]。精神分裂症患者使用抗精神病药、抗胆碱能药和催眠药等药物相对较常见。然而, 鲜有报道过量服用抗精神病药物诱导RM [9]。RM的发病机制可能与骨骼肌的直接破坏有关, 导致细胞内物质释放入血, 如肌酸磷酸激酶(CK)、肌红蛋白(MYO), 对肾单位产生细胞毒性作用。CK水平至少是正常水平上限的5倍或 > 1 000 U/L可诊断RM。血清MYO可作为继发AKI的早期预测指标[8]。
MPP继发RM少见, 继发多脏器功能障碍更为少见。文献复习发现在MPP患者中, RM患者以男性多见。早在1979年, Rothstein等[7]报道MPP成人患者合并RM。一般入院时CK水平低于2 000~15 000 U/L时, RM相关性AKI的风险通常较低, 但Daxböck等[6]报道1例MPP继发RM患者, 入院时CK水平仅792 U/L, 但仍合并有AKI, 说明CK水平尚不能预测患者是否继发AKI。有文献报道了重症MPP的发病机制, 提出3种可能的假设[10]:⑴患者儿童期间肺炎反复感染而在肺内产生的高免疫反应; ⑵在初次感染时丧失从肺内根除MPP的能力, 导致肺内MPP感染持续时间较长, 从而可能引起高免疫反应; ⑶过度活跃的先天免疫反应。本文报道的MPP合并ARDS、RM的男性患者, 其病情进展迅速, 合并有多脏器功能障碍, 病程长达2个月之久, 可能与MP的粘附, 细胞侵袭, 细胞毒性, 免疫应答和细胞因子的产生有关[11]。结合本例患者, 有长期吸毒史, 冰毒通过改变免疫细胞来抑制适应性免疫, 尤其是CD4+/CD8+T细胞, 这使得吸毒者更容易受到病原体的攻击[12-13]。免疫缺陷患者如不进行治疗, 可能会出现严重的MP感染病程延长[14]。另外追溯病史, 患者妻儿在接受了适当的抗生素治疗后, 很快恢复。其临床状态的差异可以解释。
目前针对免疫功能受损的MPP患者尚缺乏经验, 与普通MPP患者相比, 治疗难度加大。治疗上主要是大环内酯类或四环素类或喹诺酮类药物抗支原体感染。及时有效的抗感染可以减轻机体的炎症反应。近年来, 我国大环内酯类药物耐药现象普遍[15], 对于疑似支原体感染患者可以使用喹诺酮类药物[16]。文献报道的6例MPP患者和本文报道的患者中, 1例单用多西环素, 1例单用阿奇霉素, 4例患者接受抗感染联合糖皮质激素治疗, 其中2例患者使用阿奇霉素; 1例接受多西环素联合环丙沙星、左氧氟沙星; 1例使用莫西沙星联合其他抗生素抗感染治疗, 剩余1例单用激素。有研究显示, 成人MPP患者早期应用糖皮质激素可以改善症状, 缩短疗程, 主要是因为支原体感染后诱导机体产生大量细胞因子, 造成组织的直接损伤; 此外感染诱导发生的宿主反应可能导致自身免疫损伤并通过免疫介导的交叉反应引起皮肤、脑、肾组织等组织的损伤, 这或许可能是成人重症MPP及各种肺外并发症的主要原因[17]。针对5例患者使用的激素, 1例初始剂量为1 mg/(kg·d), 1例是40 mg/d, 另外1例剂量是80 mg/d, 有两例具体用量不详。7例中6例痊愈, 1例因突发性肺内出血死亡。本例患者确诊MPP后接受莫西沙星联合8 d的糖皮质激素治疗, 在诊疗过程中兼顾细菌和病毒感染, 氧合指数显著增加, 呼吸功能得到改善, 并应用乌司他丁联合胸腺素α1改善患者的免疫功能[18], 患者入院10 d时CD4+/CD8+从0.52上升到1.03。
关于RM的治疗, 早期主要是大量积极补液, 碱化尿液、利尿等; 对于继发AKI患者可尽早行CRRT治疗, 在病情严重程度相同的情况下可明显改善患者预后[19]。本例患者除呈现出肌无力、棕色尿外, 迅速从少尿进入到无尿状态(图 3), 提示诊断RM。患者入院时CK为29 699 U/L, MYO高于3 890 ng/mL, 且这种高水平在治疗期间持续了几周, 临床上相对比较少见。经过积极的液体管理、碱化尿液和利尿治疗未能改善患者的肾功能, 间断性28 d CRRT治疗, 患者肾功能由少尿期进入多尿期。患者病情的严重程度、疾病的复杂性, 可能与以下因素有关, 首先冰毒(甲安菲他明, METH)的长期服用可抑制机体免疫, 增加了感染的风险; 其戒停后可引发焦虑、精神病、幻觉等戒断症状[12-13], 报道显示抗精神病药物治疗很少会诱发RM[9], 另外急性MP感染可致免疫应答紊乱, 可继发多种肺外表现如RM[11], 因此METH和急性MP感染共同促进了疾病发展。使用乌司他丁和胸腺素α1进行免疫治疗可以改善免疫功能。
综上所述, 成人MPP少见, 继发RM更为罕见。早期进行有效的抗生素治疗, 过程中应注意合并细菌或病毒感染, 实时兼顾治疗, 合并肺外并发症的重症支原体肺炎可以联合应用小剂量糖皮质激素治疗, 疗效明显。
利益冲突 所有作者均声明不存在利益冲突
| [1] | 中华医学会呼吸病学分会感染学组. 成人肺炎支原体肺炎诊治专家共识[J]. 中华结核呼吸杂志和呼吸杂志, 2010, 33(9): 643-645. DOI:10.3760/cma.j.issn.1001-0939.2010.09.002 |
| [2] | Khan FY, Sayed H. Rhabdomyolysis associated with mycoplasma pneumoniae pneumonia[J]. Hong Kong Med J, 2012, 18(3): 247-249. |
| [3] | Gosselt A, Olijhoek J, Wierema T. Severe asymptomatic rhabdomyolysis complicating a Mycoplasma pneumonia[J]. BMJ Case Rep, 2017: bcr-2016-217752. DOI: 10.1136/bcr-2016-217752. |
| [4] | Sertogullarindan B, Ozbay MB, Ertem FU, et al. Rhabdomyolysis associated with Mycoplasma pneumoniae infection[J]. Pol Arch Intern Med, 2013, 123(1/2): 66-67. DOI:10.20452/pamw.1597 |
| [5] | Gupta R, Gupta A, Goyal V, et al. Mycoplasma pneumonia associated with rhabdomyolysis and the Guillain-Barresyndrome[J]. Indian J Chest Dis Allied Sci, 2005, 47(4): 305-308. |
| [6] | Daxböck F, Brunner G, Popper H, et al. A case of lung transplantation following Mycoplasma pneumoniae infection[J]. Eur J Clin Microbiol Infect Dis, 2002, 21(4): 318-322. DOI:10.1007/s10096-002-0698-0 |
| [7] | Rothstein TL. Cranial neuropathy, myeloradiculopathy, and myositis[J]. Arch Neurol, 1979, 36(8): 476. DOI:10.1001/archneur.1979.00500440046007 |
| [8] | Chavez LO, Leon M, Einav S, et al. Beyond muscle destruction: a systematic review of rhabdomyolysis for clinical practice[J]. Crit Care, 2016, 20: 135. DOI:10.1186/s13054-016-1314-5 |
| [9] | Hsu YC, Yeh YW. Multidrug overdose-induced myoclonus complicated by rhabdomyolysis: possible role and mechanism of muscle toxicity of risperidone[J]. J Clin Pharm Ther, 2014, 39(6): 698-700. DOI:10.1111/jcpt.12205 |
| [10] | Izumikawa K. Clinical features of severe or fatal Mycoplasma pneumoniae pneumonia[J]. Front Microbiol, 2016, 7: 800. DOI:10.3389/fmicb.2016.00800 |
| [11] | Park SJ, Pai KS, Kim AR, et al. Fulminant and fatal multiple organ failure in a 12-year-old boy With Mycoplasma pneumoniae Infection[J]. Allergy Asthma Immunol Res, 2012, 4(1): 55. DOI:10.4168/aair.2012.4.1.55 |
| [12] | Salamanca SA, Sorrentino EE, Nosanchuk JD, et al. Impact of methamphetamine on infection and immunity[J]. Front Neurosci, 2015, 8: 445. DOI:10.3389/fnins.2014.00445 |
| [13] | Prakash MD, Tangalakis K, Antonipillai J, et al. Methamphetamine: Effects on the brain, gut and immune system[J]. Pharmacol Res, 2017, 120: 60-67. DOI:10.1016/j.phrs.2017.03.009 |
| [14] | Foy HM, Oehs H, Davis SD, et al. Mycoplasma pneumoniae infections in patients with immunodeficiency syndromes: report of four cases[J]. J Infect Dis, 1973, 127(4): 388-393. DOI:10.1093/infdis/127.4.388 |
| [15] | 杨梅, 钱素云. 喹诺酮类药物在儿童重症感染中的应用分析[J]. 中华急诊医学杂志, 2018, 27(11): 1271-1275. DOI:10.3760/cma.j.issn.1671-0282.2018.11.017 |
| [16] | 刘艳春. 莫西沙星治疗成人支原体肺炎的临床效果分析[J]. 中国实用医药, 2016, 7: 128-129. DOI:10.14163/j.cnki.11-5547/r.2016.07.094 |
| [17] | Waites KB, Balish MF, Atkinson TP. New insights into the pathogenesis and detection of Mycoplasma pneumoniae infections[J]. Futur Microbiol, 2008, 3(6): 635-648. DOI:10.2217/17460913.3.6.635 |
| [18] | Liu DD, Yu ZY, Yin JT, et al. Effect of ulinastatin combined with thymosin alpha1 on Sepsis: a systematic review and meta-analysis of Chinese and Indian patients[J]. J Crit Care, 2017, 39: 259-266. DOI:10.1016/j.jcrc.2016.12.013 |
| [19] | Fernandez WG, Hung O, Bruno GR, et al. Factors predictive of acute renal failure and need for hemodialysis among ED patients with rhabdomyolysis[J]. Am J Emerg Med, 2005, 23(1): 1-7. DOI:10.1016/j.ajem.2004.09.025 |
2020, Vol. 29



