2 首都医科大学附属北京朝阳医院急诊科, 100020;
3 福建医科大学省立临床医学院 350001;
4 福建省立医院急诊内科,350001
2 Beijing Key Laboratory of Cardiopulmonary Cerebral Resuscitation, Emergency Department, Beijing Chao-Yang Hospital, Capital Medical University, Beijing 100020, China;
3 Shengli Clinical Medical College, Fujian Medical University, Fuzhou 350001, China;
4 Department of Emergency Medicine, Fujian Provincial Hospital, Fuzhou 350001, China
丁苯酞注射液对猪心肺复苏后脑神经元线粒体尽管心肺复苏(cardiopulmonary resuscitation, CPR)技术取得了诸多进展,但是心搏骤停(cardiac arrest, CA)患者的存活率仍然未见明显提高[1-3]。在美国,每年院外CA的患者数量是30万,其中25%小于65岁,而出院存活率中位数仅7.9%[4-5]。造成这一结果的主要原因是神经系统预后无法取得明显改善,即便患者能存活至出院也只有11%~48%的患者具有相对较好的神经系统预后[4]。CPR后全身组织都经历了缺血-再灌注损伤,而大脑是对缺氧最敏感的器官。如何最大程度地减轻CPR后脑损伤、改善患者的生存质量,长期以来都是临床亟待解决的首要问题。近年来,随着对线粒体研究的不断深入,发现其结构或功能异常在许多疾病,尤其是缺血-再灌注损伤中起关键作用[5]。有研究表明[6],CPR后亚低温治疗的脑保护作用就是通过改善线粒体功能实现的。
研究表明[7-8],丁苯酞具有多靶点抗脑缺血、血栓形成、血小板聚集,改善线粒体功能,改善脑缺血区微循环和血流量及脑功能代谢、清除自由基等作用,临床已经广泛用于治疗缺血性脑血管病、痴呆等神经系统疾病。CPR后缺血-再灌注损伤在某种程度上与急性缺血性脑血管病类似,目前尚无有关丁苯酞对CA后脑保护效果及其机制方面的相关研究。本研究利用猪CA模型观察丁苯酞对CPR后脑损伤的保护作用并从线粒体功能方面对其机制做出深入阐述。
1 材料与方法 1.1 实验动物准备健康雄性实验用五指山小型猪30只,12~14月龄,体质量(30±2)kg,购自北京注册实验动物中心,许可证号:SCXK 11-00-002。术前1 d禁食,可自由饮水。耳缘静脉注射丙泊酚2 mg/kg诱导麻醉后,仰卧固定于手术台上。以3%戊巴比妥钠8 mg/(kg·h)持续静脉推注维持麻醉。留置6.5 F气管插管,接呼吸机(Drager-Evata Ⅳ, 德国德尔格公司)辅助呼吸。吸入氧浓度21%,通气频率12次/min,潮气量12 mL/kg。备皮后连接监护仪(HP-M1165,美国惠普公司),连续监测心电、呼气末二氧化碳分压(ETPCO2)及潮气量(tidal volume, TV)。调整呼吸频率及TV,使ETPCO2保持在35~40 mmHg(1 mmHg=0.133 kPa)。将7 F鞘管置入左侧颈内静脉,放置双极临时起搏电极直至右心室用于诱导室颤。5 F动脉导管通过左侧股动脉置入至升主动脉,连接压力换能器测量主动脉收缩压(systolic aortic pressure, sAOP)及舒张压(diastolic aortic pressure, dAOP)。7 F漂浮导管通过左股静脉送入肺动脉,用以测量右房压(right atrium pressure, RAP)及心输出量(cardiac output, CO)并抽血。
1.2 心室颤动模型制作及实验过程手术结束后动物恢复45 min,将实验动物随机分为3组:假手术组(n=6),对照组(n=12)和丁苯酞注射液组(n=12)。除假手术组外,其余两组动物将起搏电极导线接至医用程控刺激仪(GY-600A,中国开封华南仪器有限公司),选择食道输出S1S2(300/200 ms)模式,8:1比例,步长-10 ms连续电刺激,直到出现室颤[9]。室颤的判断标准是动脉血压迅速下降,心电图显示室颤波形。室颤8 min后,进行标准CPR,即30:2按压/通气比例,频率100次/min,深度50 mm。Q-CPR技术监测CPR质量(HeartStart MRx监护/除颤仪,荷兰飞利浦公司)[10]。每30次按压后暂停10 s,使用人工气囊通气两次,TV 300 mL/次。CPR 2 min后,以双向波150 J除颤(HeartStart MRx监护/除颤仪,荷兰飞利浦公司),同时静脉给予肾上腺素(0.02 mg/kg)后再次进行2 min CPR。每2 min CPR后暂停10 s以观察心律。4次除颤后仍未恢复自主循环(restoration of spontaneous circulation, ROSC),则认为CPR失败,动物死亡。ROSC的标准是:血压恢复,AOP在50 mmHg以上或脉压>20 mmHg,并且持续时间超过1 min[11]。
丁苯酞组动物CPR成功后立即给予丁苯酞注射液2.5 mg/kg静脉注射,对照组给予相同剂量生理盐水。如果存在低血压或室性心律失常,可以使用多巴胺或胺碘酮。动物接受纯氧机械通气并监护4 h后,除保留一组静脉通路外,拔除气管插管及其他动静脉置管,放置于笼中观察至24 h。假手术组动物除不进行致颤与CPR外,实验流程与其他两组相同。
所有存活动物24 h后按文献方法进行神经功能缺损评分(neurological deficit scores, NDS)[12]。0分表示正常,400分表示脑死亡。评分后静脉注射过量麻醉剂及氯化钾处死,随后解剖留取相应器官病理标本。
1.3 血流动力学参数监测监测基础状态和CPR后1, 2, 3, 4 hr的心率(heart rate, HR),AOP,RAP及CO。CO采用肺热稀释法通过中心静脉导管将4℃盐水注入右心房测定[9]。按以下公式计算平均动脉压(mean artery pressure, MAP)及冠脉灌注压(coronary perfusion pressure, CPP):
|
采用差速离心法提取脑线粒体[13],以Clark氧电极(Clark-type oxygen electrode)检测体外分离的线粒体氧耗(即线粒体呼吸功能),包括线粒体3态(R3)和4态(R4)呼吸耗氧量、呼吸控制率(respiratory control rate, RCR)、磷/氧比(ADP/O)[14]。其原理是直接测定水溶液中溶解氧的含量,把数据传到计算机进行分析处理,自动计算出呼吸速率。R3为线粒体中加入ADP和底物时的快速氧化期,当ADP耗竭后为R4。RCR指R3与R4之比,是评价线粒体完整性和氧化磷酸化耦联程度的敏感指标。ADP/O为当2个电子由底物经呼吸链传递给氧时被磷酸化为ATP的ADP分子数,反映线粒体氧化磷酸化的效率(氧化释放的能量转化为ATP的效率),ADP/O降低代表氧化磷酸化能量生成脱耦联。氧耗率用nmol O2/(mg线粒体蛋白·min)表达。RCR = R3/R4;ADP/O = ADP量/R3。
1.5 线粒体通透性转换孔(mitochondrial permeability transition pore, MPTP)的检测按Kristal方法检测MPTP的变化[15]。MPTP开放引起线粒体肿胀,肿胀的线粒体光散射降低。线粒体(0.5 mg/mL)悬浮在装有2 mL介质(125 mmol/L KCl, 2 mmol/L K2HPO4, 1 mmol/L MgCl2, 1 μmol/L EGTA, 20 mmol/L Tris, pH 7.2, 37℃, 5 mmol/L苹果酸, 5 mmol/L谷氨酸)的比色杯里。经过1 min平衡后,加入10 μmol/L Ca2+触发MPTP开放。用多功能酶标仪(540 nm, 37℃,Infinite F200/M200,Tecan公司,瑞士)测量光散射,每隔30 s重复测定一次。吸光度降低表示线粒体肿胀、MPTP开放。
1.6 组织学标本检测及评分切取1~2 g左侧大脑中央前回皮质脑组织,置于10%中性甲醛溶液中,经石蜡包埋固定、脱蜡、切片、苏木精-伊红(HE)染色,光镜下观察其病理学改变。在光镜下(×200)对受损神经元进行计数,受损神经元的病理组织学变化包括胞浆红染、胞浆空泡化、Nissl体减少和核固缩等[16]。每个切片中选取3个区域(相隔15μm)进行受损神经元百分比计数,取平均值。采用TUNEL法常规处理各组左侧大脑额叶皮质石蜡标本,实验步骤按照TUNEL试剂盒进行(罗氏诊断产品有限公司,德国)。在光学显微镜下观察,凋亡细胞核染成棕黄色,可见核形态呈碎点。在每组5个200倍视野下统计凋亡细胞数和总细胞数。凋亡指数(apoptosis index, AI):AI(%)=凋亡细胞数/总细胞数×100%。
切取约l mm厚右侧大脑皮质的中央前回脑组织立即固定于3%戊二醛溶液。在电镜下每个切片选4个以上不同的区域,采用Fredriksson的方法对线粒体超微结构进行观察并评分[17]。评分标准包括:2分表示正常,1分表示轻度受损,0分表示严重受损。主要评估线粒体基质、嵴、基质密度、结构及连接情况。
1.7 统计学方法采用SPSS 10.0软件进行统计学分析,计量资料均符合正态分布,以均数±标准差(Mean±SD)表示。血流动力学参数等在实验过程中不同时间点多次测量的计量资料采用重复测量方差分析,其余在实验结束后单次测量的计量资料采用方差分析,组间比较采用LSD-t检验。计数资料采用χ2检验,以P<0.05为差异有统计学意义。
2 结果 2.1 复苏结果评价假手术组所有动物顺利完成实验流程,均存活。对照组及丁苯酞组各有一只动物未能复苏成功。两组CPR时间分别为(4.8±1.1)min及(4.8±1.2)min,差异无统计学意义(F=0.012, P=0.798)。ROSC后24 h,假手术组NDS为0,提示无脑损伤。对照组与丁苯酞组分别为244±38与187±44,两组相比差异有统计学意义(F=9.353, P=0.007),提示丁苯酞注射液可以改善神经系统预后。
2.2 血流动力学指标各组血流动力学指标在基础状态下差异无统计学意义(P>0.05)。假手术组所有指标在整个实验过程中保持平稳。经历CA的两组动物在复苏后HR显著升高,MAP、CPP和CO显著下降,与假手术组相比,差异有统计学意义(P<0.01)。对照组与丁苯酞组相比,各项血流动力学指标差异无统计学意义(P>0.05)。见表 1。
| 指标 | 基础状态 | 1 h | 2 h | 3 h | 4 h |
| 心率(HR,次/min) | |||||
| 假手术组 | 112±12 | 112±17 | 113±14 | 112±16 | 112±15 |
| 对照组 | 109±11 | 136±23a | 133±18a | 133±17a | 137±17a |
| 丁苯酞组 | 110±14 | 136±19a | 135±15a | 134±16a | 135±13a |
| 平均动脉压(MAP, mmHg) | |||||
| 假手术组 | 97±6 | 98±8 | 96±8 | 96±10 | 97±10 |
| 对照组 | 96±5 | 74±16b | 76±17b | 75±16b | 73±15a |
| 丁苯酞组 | 95±7 | 76±15b | 76±17b | 77±15b | 76±15a |
| 冠脉灌注压(CPP) | |||||
| 假手术组 | 91±9 | 93±11 | 91±10 | 92±11 | 90±12 |
| 对照组 | 90±8 | 65±17b | 67±17b | 67±15b | 66±16b |
| 丁苯酞组 | 89±9 | 64±14b | 70±18b | 66±15b | 70±18b |
| 心输出量(CO,L/min) | |||||
| 假手术组 | 3.2±0.3 | 3.5±0.5 | 3.3±0.3 | 3.4±0.4 | 3.2±0.5 |
| 对照组 | 3.2±0.5 | 2.1±0.8b | 2.2±0.7b | 2.4±0.7a | 2.1±0.7b |
| 丁苯酞组 | 3.2±0.4 | 2.2±0.6b | 2.1±0.6b | 2.5±0.8a | 2.0±0.5b |
| 注:与假手术组相比,aP<0.05,bP<0.01 | |||||
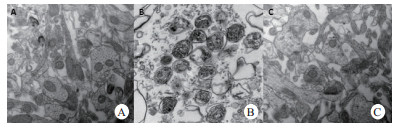
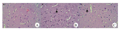
CPR后动物脑损伤明显,无论在光镜下受损神经元数,还是在电镜下线粒体超微结构受损评分均较假手术组差异有统计学意义(P<0.01,表 2)。经过丁苯酞治疗后,HE染色显示,丁苯酞组动物的大脑额叶皮质中央前回受损的神经元数与对照组相比显著降低(P<0.01,图 1);电镜下,丁苯酞组动物线粒体超微结构受损程度评分显著高于对照组(P<0.01,图 2)。与假手术组比较,对照组动物大脑额叶皮质神经细胞AI显著增加(P<0.05);对于经过丁苯酞治疗后,AI较对照组显著降低(P<0.05,图 3)
| 组别 | 受损神经元百分比(%) | 线粒体超微结构评分 | AI(%) |
| 假手术组 | 2.3±0.6 | 1.9±0.1 | 2.2±0.7 |
| 对照组 | 45.2±4.4b | 1.0±0.2b | 21.9±3.6b |
| 丁苯酞组 | 29.6±4.7bd | 1.5±0.3ac | 15.2±4.5bd |
| 注:AI,凋亡指数。与假手术组相比,aP<0.05,bP<0.01;与对照组相比,cP<0.05,dP<0.01 | |||
|
| 大脑额叶皮质中央前回受损神经元变化包括胞浆红染、Nissl体减少和核固缩(箭头所示)。假手术组(A)神经元基本正常,丁苯酞组(C)受损的神经元数显著低于对照组(B) 图 1 大脑额叶皮质中央前回组织病理学变化(HE×200) Fig 1 Histopathological changes in the central anterior gyrus of the cerebral frontal cortex(HE×200) |
|
|
|
| A假手术组:线粒体形态正常,表现为线粒体嵴结构完好,基质密度均匀。B对照组:线粒体严重受损,表现为线粒体嵴断裂,基质明显肿胀,电子密度明显降低。C丁苯酞组:线粒体轻度受损,表现为线粒体嵴基本正常,基质轻微肿胀,密度不均匀 图 2 大脑额叶皮质中央前回神经细胞线粒体的电镜下超微结构变化(×30 000) Fig 2 Ultrastructural changes of mitochondria in the central anterior gyrus of the cerebral frontal cortex under electron microscopy(×30 000) |
|
|
|
| 与假手术组(A)比较,对照组(B)动物神经元凋亡数量显著增加;丁苯酞组(C)神经元凋亡数量较对照组减少 图 3 大脑额叶皮质中央前回TUNEL染色 Fig 3 TUNEL stain of the central anterior gyrus of the cerebral frontal cortex |
|
|
与假手术组比较,对照组猪大脑额叶皮质神经细胞线粒体R3和R4耗氧量、R3/R4和ADP/O均显著降低(P<0.01)。经过丁苯酞治疗后,除了R4耗氧量外,R3耗氧量、R3/R4和ADP/O均显著改善(P<0.01,图 4)。
|
| 图 4 线粒体氧耗检测结果 Fig 4 Results of mitochondrial oxygen consumption |
|
|
由Ca2+触发后(箭头所示,图 5),MPTP开放。与假手术组比较,对照组线粒体吸光度明显降低,提示线粒体明显肿胀。对于经过丁苯酞治疗后,线粒体明显肿胀得到改善。
|
| 与假手术组比较,对照组线粒体吸光度明显降低。MPTP,线粒体通透性转换孔 图 5 MPTP检测 Fig 5 Test of the mitochondrial permeability transition pore |
|
|
脑缺血造成神经细胞损害的机制包括氧自由基损伤、钙超载、线粒体膜电位的改变、MPTP异常开放、线粒体结构损伤等。线粒体是细胞能量代谢的重要场所,也是缺血早期易累及的细胞器之一,是细胞凋亡的重要执行者[18],因而探讨如何在脑缺血时维持线粒体的功能具有重要的临床意义。丁苯酞是芹菜籽提取物左旋芹菜甲素的人工合成消旋体,是我国自主研发的新药,主要活性成分为人工合成的消旋体d1-3-正丁基苯酞[19]。由于其脂溶性强,可直接通过血脑屏障产生药效。大量基础研究提示,丁苯酞可阻断缺血性卒中所致脑损伤的多个病理环节,其主要功能为保护线粒体。
本实验在猪CA模型上发现,经过丁苯酞治疗后,光镜下的受损神经元数量明显减少,大脑皮质的组织病理学损害明显减轻。电镜下线粒体损伤评分、线粒体呼吸功能、膜电位和MPTP的损害均减轻,大脑皮质神经细胞凋亡减少。在宏观上虽然没有表现出血流动力学参数的改善,但仍然表现出神经系统预后的明显改善,这提示丁苯酞并非通过增加脑组织灌注来改善神经系统功能,而是与微观水平的线粒体功能有关。
线粒体产生ATP是一个高度复杂并且受调控的过程。线粒体有两层膜,外膜对大分子有通透性,内膜对大多数溶质不通透。电子传递链上蛋白复合物(复合物Ⅰ、Ⅱ、Ⅲ和Ⅳ)和ATP合成酶(复合物Ⅴ)就在线粒体内膜上。三羧酸循环产生尼克酰胺腺嘌呤二核苷酸(NADH)和黄素腺嘌呤二核苷酸(FAD)作为还原当量提供电子和质子。在氧化磷酸化中,电子流在复合物Ⅰ-Ⅳ之间传递时提供的能量,驱动线粒体内膜内侧的H+迁移到膜外侧,形成质子梯度,表现为线粒体膜电位(-150~-180 mV)。正是这个质子梯度产生的动力,使H+通过锚在线粒体内膜上的F0F1-ATP酶复合物(复合物Ⅴ)跨过内膜回到基质内,同时使ADP磷酸化转变为ATP。这个偶联称为“化学渗透假说”[20]。
本研究中,CPR后对照组中猪大脑皮质神经细胞的线粒体R3,R4耗氧量、R3/R4和ADP/O均显著降低,这些结果提示线粒体呼吸链严重受损,出现线粒体呼吸氧化磷酸化障碍。其原因可能是CA时血流中断,无法向大脑提供氧和代谢底物。大脑是最不能耐受缺氧的器官,由于氧供降得太快,有氧代谢急剧降低,主要适应机制还来不及反应,虽然无氧代谢增加,但仍不能产生足够的ATP。ROSC后再灌注再次引起细胞损伤,主要是由于氧化应激和钙超载等,引起氧化磷酸化障碍。结果ATP减少,甚至耗竭,最后导致线粒体功能和结构发生变化,以至于影响细胞、器官的功能。但是,经过丁苯酞治疗后,线粒体呼吸氧化磷酸化障碍较对照组显著改善。主要原因可能是丁苯酞明显减轻了线粒体氧化应激,从而减轻了线粒体呼吸链复合物及线粒体呼吸功能的损害。氧化应激是在活性氧(reactive oxygen species, ROS)的产生超过清除时发生的,线粒体是ROS产生的主要场所。细胞内超过90%的ROS是由电子传递链电子漏形成的[21]。在CA后,线粒体氧化磷酸化减慢,导致ATP产生减少,多余的电子进入Q-循环,生产过多的ROS,直接损害膜脂、膜蛋白、DNA等大分子,引起线粒体功能障碍[22]。线粒体电子传递链复合物是产生ROS的部位,同时本身也容易受ROS损害。据报道,线粒体产生ROS的速度与氧化磷酸化呈反比,也就说当线粒体呼吸链复合物(呼吸酶)活性被抑制时,ROS产生就会增加[23]。因此推测:丁苯酞对线粒体呼吸链氧化磷酸化的保护可能是通过抑制ROS过量产生进行的。
MPTP位于线粒体内外膜间,是一种由蛋白质组成的复合体。该复合体由胞质的己糖激酶、外周型苯二氮卓类受体(peripheral type benzodia zepine receptor, PBR)、电压依赖性阴离子通道、线粒体膜间间隙蛋白——肌酸激酶、内膜的腺苷转位因子(adenine nucleotide translocator, ANT)及基质的亲环蛋白D组成。MPTP的生理功能是参与调节线粒体基质中的pH值、电荷,维持线粒体内环境的稳定,保持氧化还原通路顺畅。根据细胞环境的不同,MPTP可能有3种状态:(1)完全关闭,线粒体膜电位完整;(2)可逆地低水平开放,允许相对分子质量小于300的物质通过,线粒体膜电位可逆性地降低,其功能是转导电信号和Ca2+信号;(3)不可逆地高水平开放,使相对分子质量小于1500D的物质可通过线粒体内膜,导致线粒体膜电位不可逆地耗散。当MPTP内膜两侧离子梯度消失时,线粒体膜电位崩溃,呼吸链和氧化磷酸化失偶联,ATP合成停止,线粒体基质外流。因此,MPTP开放可能是决定心肺复苏后脑缺血-再灌注损伤中受损的神经细胞的命运,即存活或死亡(凋亡或坏死)的一个关键因素[24]。
在本试验中发现对照组猪大脑皮质神经细胞线粒体较空白对照组明显肿胀,提示MPTP开放。其原因可能是ROSC后大脑缺血-再灌注损伤中钙超载、ROS大量产生,以及ATP显著减少等导致的结果。经过丁苯酞治疗后,线粒体肿胀显著改善,提示丁苯酞可能影响MPTP的结构,从而抑制其开放。这可能是丁苯酞保护大脑缺血-再灌注损伤的另一个至关重要的作用机制。
丁苯酞可通过多种机制改善脑缺血损伤,其中可能以线粒体保护机制为主,维持了线粒体结构的完整性和减轻了线粒体功能的丧失。线粒体功能受到保护,线粒体呼吸链上的电子得到顺利传递,必然导致线粒体内ROS生成减少[7]。既往研究也表明丁苯酞可显著提高缺氧损伤中降低了的线粒体呼吸链复合物Ⅱ和Ⅳ的活性[8]。丁苯酞还可以提高线粒体中SOD和GSH-Px的活性,增加对ROS的清除。
| [1] | Neumar RW, Nolan JP, Adrie C, et al. Post-cardiac arrest syndrome: epidemiology, pathophysiology, treatment, and prognostication. A consensus statement from the International Liaison Committee on Resuscitation (American Heart Association, Australian and New Zealand Council on Resuscitation, European Resuscitation Council, Heart and Stroke Foundation of Canada, InterAmerican Heart Foundation, Resuscitation Council of Asia, and the Resuscitation Council of Southern Africa); the American Heart Association Emergency Cardiovascular Care Committee; the Council on Cardiovascular Surgery and Anesthesia; the Council on Cardiopulmonary, Perioperative, and Critical Care; the Council on Clinical Cardiology; and the Stroke Council[J]. Circulation, 2008, 118(23): 2452-2483. DOI:10.1016/j.resuscitation.2008.09.017 |
| [2] | Herlitz J, Rundqvist S, Bang A, et al. Is there a difference between women and men in characteristics and outcome after in hospital cardiac arrest?[J]. Resuscitation, 2001, 49(1): 15-23. DOI:10.1016/S0300-9572(00)00342-7 |
| [3] | Rea TD, Eisenberg MS, Becker LJ, et al. Temporal trends in sudden cardiac arrest: a 25-year emergency medical services perspective[J]. Circulation, 2003, 107(22): 2780-2785. DOI:10.1161/01.CIR.0000070950.17208.2A |
| [4] | Cobb LA, Fahrenbruch CE, Olsufka M, et al. Changing incidence of out-of-hospital ventricular fibrillation, 1980-2000[J]. JAMA, 2002, 288(23): 3008-3013. DOI:10.1001/jama.288.23.3008 |
| [5] | Chan PH. Mitochondrial dysfunction and oxidative stress as determinants of cell death/survival in stroke[J]. Ann N Y Acad Sci, 2005, 1042: 203-209. DOI:10.1196/annals.1338.022 |
| [6] | Gong P, Li CS, Hua R, et al. Mild hypothermia attenuates mitochondrial oxidative stress by protecting respiratory enzymes and upregulating MnSOD in a pig model of cardiac arrest[J]. PLoS ONE, 2012, 7(4): e35313. DOI:10.1371/journal.pone.0035313 |
| [7] | 解龙昌, 张波, 高庆春, 等. 丁苯酞可减轻缺氧缺糖条件下血管内皮细胞的线粒体损伤[J]. 中国病理生理杂志, 2014, 30(2): 339-346. DOI:10.3969/j.issn.1000-4718.2014.02.026 |
| [8] | 董高翔, 冯亦璞. 丁基苯酞对局部脑缺血-再灌注大鼠线粒体ATPase、抗氧化酶活性和脂质过氧化的影响[J]. 中国医学科学院学报, 2002, 24(1): 93-97. DOI:10.3321/j.issn:0513-4870.2000.10.017 |
| [9] | Hamer AW, Karagueuzian HS, Sugi K, et al. Factors related to the induction of ventricular fibrillation in the normal canine heart by programmed electrical stimulation[J]. J Am Coll Cardiol, 1984, 3(3): 751-759. DOI:10.1016/S0735-1097(84)80251-X |
| [10] | Wu J, Li C, Liu Z, et al. A comparison of 2 types of chest compressions in a porcine model of cardiac arrest[J]. Am J Emerg Med, 2009, 27(7): 823-829. DOI:10.1016/j.ajem.2008.07.001 |
| [11] | Yannopoulos D, Matsuura T, McKnite S, et al. No assisted ventilation cardiopulmonary resuscitation and 24-hour neurological outcomes in a porcine model of cardiac arrest[J]. Crit Care Med, 2010, 38(1): 254-260. DOI:10.1097/ccm.0b013e3181b42f6c |
| [12] | Enna B, Wenzel V, Schocke M, et al. Excellent coronary perfusion pressure during cardiopulmonary resuscitation is not good enough to ensure long-term survival with good neurologic outcome: a porcine case report[J]. Resuscitation, 2000, 47(1): 41-49. DOI:10.1016/S0300-9572(00)00200-8 |
| [13] | Kudin AP, Bimpong-Buta NY, Vielhaber S, et al. Characterization of superoxide-producing sites in isolated brain mitochondria[J]. J Biol Chem, 2004, 279(6): 4127-4135. DOI:10.1074/jbc.M310341200 |
| [14] | Kristian T, Hopkins IB, McKenna MC, et al. Isolation of mitochondria with high respiratory control from primary cultures of neurons and astrocytes using nitrogen cavitation[J]. J Neurosci Methods, 2006, 152(1-2): 136-143. DOI:10.1016/j.jneumeth.2005.08.018 |
| [15] | Kristal BS, Park BK, Yu BP. 4-Hydroxyhexenal is a potent inducer of the mitochondrial permeability transition[J]. J Biol Chem, 1996, 271(11): 6033-6038. DOI:10.1074/jbc.271.11.6033 |
| [16] | Helfaer MA, Ichord RN, Martin LJ, et al. Treatment with the competitive NMDA antagonist GPI 3000 does not improve outcome after cardiac arrest in dogs[J]. Stroke, 1998, 29(4): 824-829. DOI:10.1097/00003246-199801001-00109 |
| [17] | Fredriksson K, Hammarqvist F, Strigard K, et al. Derangements in mitochondrial metabolism in intercostal and leg muscle of critically ill patients with sepsis-induced multiple organ failure[J]. Am J Physiol Endocrinol Metab, 2006, 291(5): E1044-1050. DOI:10.1152/ajpendo.00218.2006 |
| [18] | Chuang YC, Lin TK, Yang DI, et al. Peroxisome proliferator-activated receptor-gamma dependent pathway reduces the phosphorylation of dynamin-related protein 1 and ameliorates hippocampal injury induced by global ischemia in rate[J]. Biomed Sci, 2016, 23(1): 44-46. DOI:10.1186/s12929-016-0262-3 |
| [19] | 李育英, 陈英道, 张岐平, 等.丁苯酞联合依达拉奉治疗急性脑梗死60例临床研究[J].解放军医药杂志, 2017, 29(2): 86-90. DOI: CNKI:SUN:HBGF.0.2017-02-021. |
| [20] | Babcock GT, Wikstrom M. Oxygen activation and the conservation of energy in cell respiration[J]. Nature, 1992, 356(6367): 301-309. DOI:10.1038/356301a0 |
| [21] | Balaban RS, Nemoto S, Finkel T. Mitochondria, oxidants, and aging[J]. Cell, 2005, 120(4): 483-495. DOI:10.1016/j.cell.2005.02.001 |
| [22] | Szabo C. Multiple pathways of peroxynitrite cytotoxicity[J]. Toxicol Lett, 2003, 140-141: 105-112. DOI:10.1016/S0378-4274(02)00507-6 |
| [23] | Cadenas E, Davies KJ. Mitochondrial free radical generation, oxidative stress, and aging[J]. Free Radic Biol Med, 2000, 29(3-4): 222-230. DOI:10.1016/S0891-5849(00)00317-8 |
| [24] | Mukherjee R, Criddle DN, Gukovskaya A, et al. Mitochondrial injury in pancreatitis[J]. Cell Calcium, 2008, 44(1): 14-23. DOI:10.1016/j.ceca.2007.11.013 |
2019, Vol. 28



