中华急诊医学杂志  2019, Vol. 28 Issue (7): 849-850   DOI: 10.3760/cma.j.issn.1671-0282.2019.07.009
皮下植入心脏复律除颤器患者房颤导致误放电一例
甘义荣 , 谢定雄 , 王延震 , 寇宗科 , 张云龙 , 魏玲 , 梁天香 , 冒锐     
兰州市第一人民医院心血管病研究所 730050

植入式心脏复律除颤器(implantable cardioverter defibrillator, ICD)治疗中误放电事件是比较常见的,主要原因是室上速、噪音、过感知、感知不良、皮下气体及设备故障等,其中异常放电的发生率约12%~29%[1]。兰州市第一人民医院植入的第一台皮下ICD(subcutaneous ICD, S-ICD)因误感知房颤而导致放电。S-ICD程控仪记录到了两次200~280次/min快心室率事件,放电治疗后心率恢复到窦律。评估分析发现很多P波被标记为R波,患者放电的真实原因是发生房颤、房扑,f或F波被识别为R波计数。随着S-ICD的逐渐普及,此类问题需引起专业人士的重视。

1 资料与方法

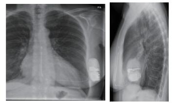
患者女性,56岁,因长QT综合征植入S-ICD 1.5年。既往因“心脏瓣膜病”于2016年4月19日行二尖瓣、三尖瓣位机械瓣膜置换术,术后常规抗凝,维持INR值为2~3。术后6个月由于长QT综合征导致的反复室颤,考虑到经静脉植入ICD卡瓣等问题,选择植入S-ICD,常规S-ICD ECG筛选通过后,于2016年11月29日植入一台S-ICD(图 1)。术后继续华法林抗凝治疗,患者在2018年5月28日07:41睡觉的过程中接受到了两次电击,遂来医院就诊,复查电解质未见异常; 心电图无室性心动过速和室早事件; 患者电击前无明显不适症状,放电后亦无栓塞表现。联系ICD厂家工程师,于当日20:42使用S-ICD程控仪对患者植入的S-ICD进行问询,测试电池、阻抗都在正常范围内(阻抗55 Ω, 直接测量所得)。设备记录到了两次事件(图 2),分析两次放电事件的EGM,S-ICD感知向量为出院前自动优化的Primary向量(增益为1),这个向量所记录到R波幅值较低(图 3)。当发生短阵的房颤事件,f波都被误感知为R波,因为频率较快,标记为“T”(快室性心律失常事件),满足18/24诊断标准后开始充电,充电后确认快心室率事件仍然存在后放电,放电终止了房颤。

图 1 患者植入S-ICD后胸片

图 2 波R幅值偏小,F、f波感知为R波,发生放电事件

图 3 选择为Primary,增益为1时的仪器记录

分析放电的原因:在当前的感知向量设置情况下,R:P比值较低,幅值差别较小,当发生房颤时机器无法区分f、F波和R波,导致误感知多重计数。为此让患者在平躺和坐姿进行了再次的S-ICD感知向量的自动优化,优化后仍然选择Primar向量,但增益为2。

2 讨论

Effortless S-ICD注册研究收集了472例S-ICD植入患者的数据,并且报道了比较低的误放电发生率(7%),主要是因为不恰当的心脏信号感知(5.3%)和室上速(1.3%)。S-ICD患者误放电发生率(7%)与经静脉ICD在各个研究实验中的误放电发生率4%~29%差不多。但是经静脉ICD误放电的主要原因是室上速,而S-ICD误放电的主要原因是T波过感知[2]

经静脉的ICD引入很多鉴别诊断功能(形态学、突发性、间期稳定性、房室逻辑关系)来避免误放电,但还有一定的误放电率。S-ICD也有一些对于误放电的管理选项而不是用侵入式的手段,可以重新程控感知向量,可以在三个不同的感知向量中选择,也可以调整感知向量的增益,选择增益1或增益2。

在随访这个患者的过程中,发现患者发生了房颤、房扑,所有的f、F波都被误感知为R波,所以机器误以为患者发生了室性心律失常,从而发生了放电,终止了房颤。S-ICD有Primary(从“+”到机壳),Secondry(从“-”极到机壳),Alternate(从“-”极到“+”极)三个向量[3],筛选感知的向量条件为:比较三个感知向量R:T的比值选择比值较高的,测试发现Secondry向量和Alternate向量的R:T比值更低,所以选择了Primary向量作为感知向量,当增益选择1时R波较低,很难区别P波和R波(图 4),当增益为2时,R波幅值大,容易区分,所以放电后再次筛选仍然选择了Primary向量作为感知向量,但改变增益为2作为最终增益(图 5)。

图 4 优化前R波幅值偏低时的仪器记录

图 5 优化后R波幅值增大时的仪器记录

S-ICD给很多心源性猝死的患者带来了更多的生存机会和益处,但植入后需要更好的管理,程控最适合的感知向量,才能给患者带来最佳的治疗效果。此例患者资料提示,S-ICD心电感知不同于ICD,其受多重因素影响,除常规因素外还要考虑患者体质量等变化带来ECG图形的变化,此患者植入这1.5年体质量大约增长10 kg,体表脂肪含量增高,这是导致ECG幅度变小,R:T比值降低的主要诱因。所以随访中也需要关注患者体质量等因素变化,短期内体质量变化较大的患者需增加随访次数,及时优化感知向量,早期预防,避免因体质量等变化因素导致患者出现误放电,最大程度减少因误放电带给患者心灵和肉体的创伤。优化后R:P比值明显增大,将优化后的结果观察后,确认更改了设置后遂让患者出院,随访患者出院后一个月再无误放电事件发生。

参考文献
[1] Corzani A, Ziacchi M, Biffi M, et al. Inappropriate shock for myopotential over-sensing in a patient with subcutaneous ICD[J]. Indian Heart J, 2015, 67(1): 56-59. DOI:10.1016/j.ihj.2015.01.001
[2] Lambiase PD, Barr C, Theuns DA, et al. EFFORTLESS Investigators. Worldwide experience with a totally subcutaneous implantable defibrillator: early results from the EFFORTLESS S-ICD Registry[J]. Eur Heart, 2014, 35(25): 1657-1665. DOI:10.1093/eurheartj/ehu112
[3] 李延广, 时向民, 李健, 等. 皮下埋藏式心脏转复除颤器技术研究进展[J]. 中国心脏起搏与心电生理杂志, 2017, 31(2): 95-100. DOI:10.13333/j.cnki.cjcpe.2017.02.001