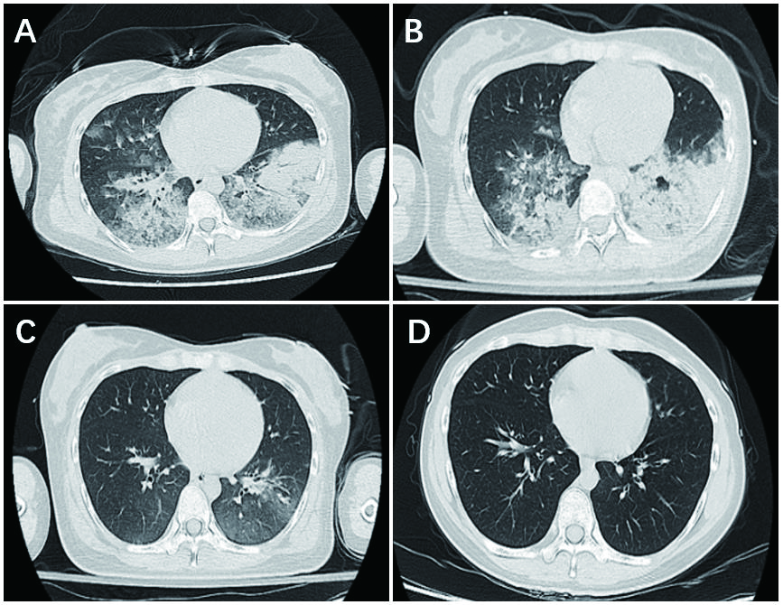
患者女,24岁,因“咳嗽4 d,发热2 d,胸闷气急2 h”于2018年6月14日收入急诊科。患者4天前无明显诱因下出现干咳,2天前出现发热,自测体温39℃,至当地诊所就诊,诊断呼吸道感染,在头孢西丁皮试阴性后予头孢西丁钠2 g加入生理盐水250 mL静滴(滴速50滴/min)及布洛芬混悬液15 mL口服后体温下降至正常。6月14日患者起床后感头晕恶心,再次至当地诊所静滴头孢西丁钠,约5 min后患者出现头晕恶心咳嗽等症状加重,伴冷汗,胸闷心悸,呼吸困难,全身无皮疹,测血压未测出,脉搏细弱,考虑注射头孢西丁钠引起过敏性休克,立即停止输液,予肾上腺素2 mg皮下注射后转至本院。入院查体:T 38.5℃, BP 87/53 mmHg(1 mmHg=0.133 kPa),P 122次/min,R 25次/min,血氧饱和度为85%,神志清,面色苍白,双肺可闻及湿啰音。心律齐,未及病理性杂音。腹软,无压痛和反跳痛。双下肢无水肿。辅助检查:急诊血气分析提示pH 7.314,PO2 126 mmHg,PCO2 30.3 mmHg,BE -9.7 mmol/L,SB 16.8 mmol/L,全血乳酸5.6 mmol/L。血白细胞10.6×109/L,中性粒细胞79.2%,嗜酸性粒细胞0.1%。C反应蛋白56.1 mg/L,降钙素原0.336 ng/mL。肌酐91 μmol/L,肌钙蛋白-I 1.106 ng/mL,NT-proBNP 277.95 pg/mL,总IgE 280.6 U/mL,血钾2.5 mmol/L。胸部CT示两肺弥漫渗出伴小叶间隔增厚,左肺下叶局部实变不张(图 1A)。初步诊断:①过敏性休克;②重症肺炎急性呼吸窘迫综合征。立即予储氧面罩吸氧,亚胺培南西司他丁钠、甲泼尼龙静脉应用,去甲肾上腺素维持以及抗组胺补液等治疗,但患者呼吸仍急促,最快50次/min,为进一步治疗收住综合ICU。
|
| 图 1 患者的胸部高分辨CT检查。A:入院当天;B:入院后1 d;C:入院后4 d;D:出院后14 d |
|
|
入综合ICU后给予患者无创呼吸机辅助通气,继续甲泼尼龙静脉应用,6月15日复查胸部CT示两肺弥漫渗出伴小叶间隔增厚,两肺下叶局部实变不张,较前片(2018-06-14)稍吸收好转。考虑患者肺部感染仍严重,予加用美罗培南及莫西沙星静滴抗感染。但是患者病情无改善,不能平卧,且血肌酸激酶、肌钙蛋白-I和NT-ProBNP均较前升高,心超提示左室节段性运动减弱,左心功能减低,考虑并发急性心肌炎,予气管插管,呼吸机辅助通气。6月18日复查胸部CT示两肺多发炎症,较前片(2018-06-15)明显吸收好转(图 1C)。予停用甲泼尼龙,拔除气管插管,转入感染性疾病科病房继续治疗,予口服莫西沙星治疗1周后出院。出院后2周患者复查胸部CT示右肺中叶少许纤维灶,左下肺少许渗出,较前(2018-06-18)明显吸收(图 1D)。
2 讨论头孢西丁钠作用与第二代头孢相似,其不良反应一般均呈暂时性及可逆性。过敏反应是头孢类药物常见的不良反应,过敏性休克是其所致的最严重事件[4]。原因可能如下:(1)首次使用头孢西丁钠,药物本身也许就是变应原,当首次进入人体,会刺激机体的免疫细胞产生相应抗体,进而与肥大细胞,嗜碱性粒细胞等结合,使机体处于超敏状态,当抗原再次进入机体并与以上两种细胞结合,就会释放出大量组胺,血清素等血管活性物质,引起血管扩张,平滑肌收缩,腺体分泌增加等机体改变。当抗原通过血液循环流至全身就会刺激全身微循环开放,导致血压急剧下降,迅速引起过敏性休克[5]。(2)个体之间对药物敏感性及耐药性的差异,某些患者伴随特异体质,因此也会出现不同个体对同样一种药物的反应不同。(3)药物本身含有杂质或者其降解产物与机体蛋白作用形成抗原性物质,使人体发生I型超敏反应[6]。
本例应用纳兰霍药物不良反应的概率规模(Naranjo Adverse Drug Reaction Probability Scale)评分为6分,表明很可能的药物反应。本例既往无药物过敏史,且头孢西丁皮试阴性,但是注射头孢西丁钠后却出现了过敏性休克。国外有文献报道头孢菌素皮试的阳性和阴性预测值尚不确定。Yoon等[7]在需要术前抗生素的1 421例患者中,用四种头孢菌素(每一代头孢菌素选一种)进行皮试。无论皮试结果如何,每位患者接受静脉常规剂量的一种头孢菌素测试,结果发现74例患者(5.2%)对至少一种头孢菌素皮试阳性,但是没有一例患者对测试药物立即表现出超敏反应,而有4例皮试均阴性的患者却发生了速发型超敏反应。这种现象应当引起医生的高度重视。头孢西丁钠可以引起过敏性休克,给患者用药前需明确有无过敏史,同时也不能忽视除过敏性休克以外的其他疾病。本例患者除了发生过敏性休克以外,实验室检查及影像检查均提示重症肺炎。所谓重症肺炎是相对于普通肺炎而言的,在其发作时,严重的肺部病变会导致呼吸,循环、神经和消化多个系统的功能障碍[8]。本例影像学表现为两肺弥漫渗出伴小叶间隔增厚,左肺下叶局部实变不张,并且合并肺外疾病急性心肌炎,而通常头孢西丁钠对肺炎患者是有显著的疗效[3],因此笔者推断患者的肺部病变很可能与过敏性休克有关,而非单纯病原体感染所致。患者在致敏状态下会激活肺炎症细胞,激活的炎症细胞释放各种炎性介质,如组胺、白细胞介素-8、肿瘤坏死因子-α等,从而损失肺组织,造成严重的肺炎。本例提醒临床医师在救治患者时要密切关注头孢西丁钠的过敏反应,一旦发生,应立即停药。特别对过敏性休克患者,必须立刻进行抢救,避免出现急性气道梗阻。
| [1] | Brunetti L, Kagan L, Forrester G, et al. Cefoxitin Plasma and Subcutaneous Adipose Tissue Concentration in Patients Undergoing Sleeve Gastrectomy[J]. Clinical Therapeutics, 2016, 38(1): 204-210. DOI:10.1016/j.clinthera.2015.11.009 |
| [2] | Sanders CV, Greenberg RN, Marier RL. Cefamandole and cefoxitin[J]. Ann Intern Med, 1985, 103(1): 70-78. DOI:10.7326/0003-4819-103-1-70 |
| [3] | Salgado HR, Tozo GC. Microbiological assay for cefoxitin sodium in dosage form[J]. J AOAC INT, 2007, 90(2): 452-455. |
| [4] | Calapai G, Imbesi S, Ventura-Spagnolo E, et al. Fatal Anaphylactic Shock Ceftriaxone-Induced in a 4-Year-Old Child[J]. Pediatr Emerg Care, 2016, 32(1): 32-33. DOI:10.1097/PEC.0000000000000311 |
| [5] | Yoo HS, Kim SH, Kwon HS, et al. Immunologic evaluation of immediate hypersensitivity to cefaclor[J]. Yonsei Med J, 2014, 55(6): 1473-1483. DOI:10.3349/ymj.2014.55.6.1473 |
| [6] | Kim MH, Lee JM. Diagnosis and management of immediate hypersensitivity reactions to cephalosporins[J]. Allergy Asthma Immunol Res, 2014, 6(6): 485-495. DOI:10.4168/aair.2014.6.6.485 |
| [7] | Yoon SY, Park SY, Kim S, et al. Validation of the cephalosporin intradermal skin test for predicting immediate hypersensitivity:a prospective study with drug challenge[J]. Allergy, 2013, 68(7): 938-944. DOI:10.1111/all.12182 |
| [8] | Mizgerd JP. Pathogenesis of severe pneumonia:advances and knowledge gaps[J]. Curr Opin Pulm Med, 2017, 23(3): 193-197. DOI:10.1097/MCP.0000000000000365 |
2019, Vol. 28



