中华急诊医学杂志  2018, Vol. 27 Issue (9): 960-966
不同类型GSK-3β抑制剂对重症急性胰腺炎大鼠肾损伤的作用及量效关系
崔周军, 王卫星, 赵凯亮, 陈辰, 李洪波, 牟玉华, 孙静     
430060 武汉,武汉大学人民医院肝胆腔镜外科(崔周军、王卫星、赵凯亮、陈辰);276800 山东省日照,日照市人民 医院普通外科二病区(李洪波、牟玉华、孙静)
摘要: 目的 观察TDZD-8干预大鼠重症急性胰腺炎(SAP)肾损伤的量效关系,并将三种常用GSK-3β抑制剂TDZD-8、氯化锂(LiCL)、SB216763对该模型的作用效果进行对比,以探讨针对SAP并发肾损伤大鼠模型最有效的GSK-3β抑制剂类别及其有效、安全的最佳剂量。方法 96只SPF级雄性Wistar大鼠,随机(随机数字法)分为8组(n=12):假手术组(SO组)、重症急性胰腺炎组(SAP组)、TDZD-8预处理组0.25、0.5、1.0、2.0 mg/kg(TD组,分别标记为TD1、TD2、TD3、TD4组),LiCL预处理组(L组)和SB216763预处理组(SB组),胰胆管逆行注射5%牛磺胆酸钠制作SAP模型。术后12 h剖杀各组大鼠,测定各组大鼠腹水量、血清AMY、Cr、BUN和ALT水平,并观察胰腺、肾脏组织病理学变化。结果 SAP组腹水量、AMY、Cr、BUN、ALT水平以及胰腺、肾脏病理评分均较SO组显著升高(P < 0.05);TD1组几乎对SAP无缓解作用,TD2、TD3、TD4、L组和SB组均能不同程度地减少SAP大鼠的腹水量,降低血清AMY、Cr、BUN水平,并显著降低胰腺组织病理评分,差异有统计学意义(P < 0.05);TD2、TD3均能不同程度地减少ALT水平(P < 0.05),而TD4组ALT水平较高,与SAP组相似;TD2对各个指标的效果不如TD3组作用显著,两者比较各项指标差异均有统计学意义(P < 0.05)。对SAP大鼠腹水量和ALT水平的改善作用,TD组中最佳剂量组TD3组与L组和SB组比较,差异无统计学意义(P > 0.05);而TD3组的AMY、Cr、BUN水平以及胰腺、肾脏病理评分均较L组和SB组降低更显著,差异有统计学意义(P < 0.05);L组Cr、BUN水平和胰腺、肾脏病理学评分与SB组比较均降低更显著,差异有统计学意义(P < 0.05);Western blot检测发现各组中GSK-3β蛋白表达均处于较一致的水平,差异无统计学意义(P > 0.05);而p-GSK-3β ser9在SAP组表达低于SO组,差异有统计学意义(P < 0.05);TD3、L、SB三组中的p-GSK-3β ser9均较SAP组明显增强,其中以TD3组表达最强,同时L组表达强于SB组,组间比较差异均有统计学意义(P < 0.05)。结论 通过对TDZD-8、LiCL和SB216763对大鼠SAP肾损伤模型的作用比较可知TDZD-8是针对该模型最有效的GSK-3β抑制剂。对于牛磺胆酸钠诱导的SAP并发肾损伤大鼠模型,静脉给予TDZD-8 1 mg/kg预处理对该模型是安全有效的最佳剂量。
关键词: 重症急性胰腺炎     肾损伤     GSK-3β抑制剂     TDZD-8     量效关系    
The effects of different GSK-3β inhibitors and dose-response relationship in severe acute pancreatitis associated kidney injury in rats
Cui Zhoujun , Wang Weixing , Zhao Kailiang , Chen Chen , Li Hongbo , Mou Yuhua , Sun Jing     
Department of Hepatobiliary and Laparoscopic Surgery, Renmin Hospital of Wuhan University, Wuhan 430060,China(Cui ZJ,Wang WX,Zhao KL, Chen C); Department of General Surgery,Ward 2, People's Hospital of Rizhao, Rizhao 276800, China (Li HB, Mou YH, Sun J)
Abstract: Objective To observe the dose-response relationship of the GSK-3β inhibitor TDZD-8 in severe acute pancreatitis (SAP) associated kidney injury in rats. In order to identify the most effective class of GSK-3β inhibitor and its effective and reasonable safe dose in SAP associated kidney injury model in rats by comparing three kinds of frequently-used GSK-3β inhibitor TDZD-8, lithium chloride (LiCL), SB216763 in this model. Methods Totally 96 SPF male Wistar rats were randomly(random number) divided into 8 groups (n=12): sham operation group (SO group), severe acute pancreatitis group (SAP group), TDZD-8 pretreatment groups (TD group, marked TD1, TD2, TD3 and TD4 group, respectively) at different dosage (0.25, 0.5, 1.0 and 2.0 mg/kg), LiCL pretreatment groups (L group, 40 mg/kg), and SB216763 pretreatment group (SB group, 1 mg/kg). SAP model was induced by retrograde infusion of 5% sodium taurocholate into the biliopancreatic duct. Rats in each group were sacrificed at 12 h after operation. Then the mortality, quantity of ascites, serum AMY, Cr, BUN and ALT were recorded, and the pathological changes of pancreatic tissues and kidney tissues were observed. Results Compared with the SO group, the levels of ascites, serum AMY, Cr, BUN, ALT and pancreatic and renal pathologic score in the SAP group were all significantly increased (P < 0.05). Compared with the TD1 group, quantity of ascites, serum AMY, Cr, BUN, ALT and pancreatic tissue pathological grading were reduced in different degrees in the TD2, TD3 and TD4 groups with statistically significant difference (P < 0.05); ALT values were reduce in different degrees in the TD2 and TD3 groups as compared with the SAP group (P < 0.05), while ALT value in the TD4 group was similar to that in the SAP group; compared with the TD2 group, all the indexes in the TD3 group were significant better (P < 0.05); Compared with TD3 group (the best group in TD group), the levels of ascites and serum ALT in the L group and SB group had no significant difference (P > 0.05), but the levels of AMY, Cr, BUN, ALT, pancreatic and renal pathologic score were significantly reduced in the TD3 group than those in the L and SB groups (P < 0.05); compared with the SB group, the values of Cr, BUN, pancreatic and renal pathologic score in the L group were lower (P < 0.05). GSK-3β protein expression in all groups showed no obvious difference (P > 0.05), while p-GSK-3β ser9 protein expression in the SAP group was lower than that in the SO group (P < 0.05), and p-GSK-3β ser9 protein expression in the TD3, L and SB groups were stronger than that in the SAP group. Among them, p-GSK-3β ser9 protein expression was highest in the TD3 group, followed by the L group, finally the SB group, and the differences were statistically significant (P < 0.05). Conclusions Among the three different GSK-3β inhibitors, TDZD-8 is the most effective GSK-3β inhibitor for SAP associated with kidney injury in rats. The GSK-3β inhibitor TDZD-8 1 mg/kg administered intravenously is safe, effective and optimal dosage for attenuating the severity of severe acute pancreatitis associated with kidney injury.
Key words: Severe acute pancreatitis     Kidney injury     Glycogen synthase kinase-3β inhibitor     TDZD-8     Dose-response relationship    

糖原合酶激酶-3β (glycogen synthase kinase-3β, GSK-3β)是普遍存在于真核生物内的多功能的丝氨酸苏氨酸蛋白激酶,它可能在多种信号传导过程中发挥着重要的调节作用[1]。近年来研究表明,GSK-3β在脓毒症、缺血-再灌注损伤、关节炎、休克等多种疾病并发多器官功能障碍过程中发挥重要作用[2-6]。GSK-3β作为一个可行有效的治疗靶点已成为研究者们关注的热点话题。

GSK-3β抑制剂干预急性胰腺炎(acute pancreatitis, AP)动物模型已有文献报道[7],但其中采用的实验动物、诱导的实验模型、GSK-3β抑制剂的类别、给药途径和剂量各不相同,导致各研究结果缺乏一致性和可比性。因此,本研究通过牛磺胆酸钠逆行胰胆管注射制备大鼠重症急性胰腺炎(severe acute pancreatitis, SAP)模型,应用GSK-3β的常用抑制剂TDZD- 8 (4-benzyl-2-methyl-1, 2, 4 -thia Diazolidine-3, 5-dione, TDZD-8),观察静脉注射TDZD-8干预大鼠SAP合并急性肾损伤模型的量效关系,并将三种常用GSK-3β抑制剂TDZD-8、氯化锂(lithium chloride, LiCl)、3-(2, 4-dichlorophenyl)-4- (1-methyl-1H-indol-3-yl)-1H-pyrrole-2, 5- dione (SB216763)对该模型的作用效果进行对比,以探讨针对SAP并发肾损伤最有效的GSK-3β抑制剂类别及其最有效、安全的合理剂量,为GSK-3β抑制剂的临床应用提供理论支持和实验依据。

1 材料与方法 1.1 实验动物与分组

SPF级雄性SD大鼠96只、体质量150~200 g(湖北省疾病预防控制中心提供)。随机(随机数字法)分为8组(n=12):假手术组(sham operation group,SO组)、重症急性胰腺炎组(SAP组)、TDZD-8预处理组0.25、0.5、1.0、2.0 mg/kg(SAP+TDZD-8 pretreatment group,TD组,分别标记为TD1、TD2、TD3、TD4组),LiCL预处理组(L组)和SB216763预处理组(SB组),均以12 h为观察点。实验过程未到观察时间点死亡大鼠弃之不用,直至达到实验目标数。

1.2 动物模型制备及处理

重症急性胰腺炎大鼠模型造模方法:实验前大鼠禁食12 h,自由饮水。采用5%异氟烷对SD大鼠进行诱导和2%异氟烷维持麻醉,无菌操作下行上腹正中切口进腹,采用1 mL注射器针头穿过十二指肠对系膜缘经乳头逆行插入主胰管,以约0.1 mL/min恒速向主胰管注射5%牛磺胆酸钠溶液(1 mL/kg,Sigma公司)制备重症急性胰腺炎大鼠模型[8]

分组及处理具体如下:(1)重症急性胰腺炎组(SAP组),按照上述方法制备重症急性胰腺炎大鼠模型,造模前30 min经股静脉注射无菌处理的10% DMSO溶液(0.1 mL/100 g);(2)假手术组(SO组),假手术组制备同重症急性胰腺炎组,但不向胆胰管注入5%牛磺胆酸钠溶液,而是注射等量生理盐水;术前30 min经股静脉注射与SAP组等体积的溶剂10% DMSO;(3)TDZD-8预处理组(TD组),操作处理同SAP组,于模型制备前30 min由股静脉穿刺给予0.25、0.5、1.0、2.0 mg/kg的TDZD-8溶液,分别标记为TD1、TD2、TD3、TD4组;(4)LiCl预处理组(L组,SAP+LiCl组),操作处理同TDZD-8组,SAP造模前30 min经大鼠股静脉注射GSK-3β抑制剂LiCl(40 mg/kg,溶于10% DMSO溶液,该剂量参考前期文献[9]);(5)SB216763预处理组(SB组,SAP+SB216763组),操作处理同TDZD-8组,SAP造模前30 min经大鼠股静脉注射GSK-3β抑制剂SB216763(1 mg/kg,溶于10% DMSO溶液,该剂量参考前期文献[10])。

1.3 标本采集

所有大鼠均于造模后12 h时处理取材;下腔静脉穿刺采血,离心后分离血清-20℃保存备用;取部分胰腺组织和左侧肾脏组织4%多聚甲醛固定用于光镜组织病理学检查;其余肾脏组织立即经液氮冻存后转入-80℃冰箱保存备用。

1.4 指标检测方法

胰腺、肾脏组织病理学检查。胰腺、肾脏组织4%多聚甲醛固定、石蜡包埋制片,HE染色后光镜下观察,依据Schmidt标准[11]按胰腺水肿、腺泡、腺管坏死程度、出血和脂肪液化坏死、炎症和血管周围炎性浸润四方面对胰腺损伤进行病理学评分,按Paller等[12]对肾脏损伤程度的病理评分方法并改良方法进行评分。

腹水量测定。提前称量干棉球质量(D, g),以干棉球吸附干净各组大鼠腹水后称其湿质量(W, g)。腹水量(ascites)=湿棉球质量(W)-干棉球质量(D)。

血清淀粉酶(AMY)、血脂肪酶(LIPA)、血清肌酐(Cr)、血清尿素氮(BUN)及谷丙转氨酶(ALT)水平在武汉大学人民医院检验中心予以检测。

Western-Blot检测肾脏组织GSK-3β及磷酸化p-GSK-3β (ser9)蛋白的表达。冻存的各组肾脏组织以蛋白裂解液匀浆,冰上孵育30 min后,4℃、13 000 r/min离心30 min,取上清液,得总蛋白;BCA法测定蛋白浓度;取40 μg蛋白样品上样行SDS-PAGE凝胶电泳,蛋白电转至NC膜,10%脱脂奶粉封闭2 h,加入GSK-3β兔抗大鼠多克隆抗体(1:1 000,Cell signalling Technology公司)、p-GSK-3β (ser9)兔抗大鼠多克隆抗体(1:1 000,Cell signalling Technology公司)或β-actin一抗(1:2 000,cell signaling technology公司),置于4℃冰箱振荡孵育过夜后,TBST漂洗,加辣根过氧化酶标记二抗(1:3 000),室温孵育1 h后以ECL化学发光试剂于暗室显影,凝胶图像分析系统检测蛋白质印迹条带。

1.5 统计学方法

采用SPSS 17.0统计软件进行分析,各组数据以均数±标准差(x±s)表示,多组间比较采用单因素方差分析ANOVA检验,组间两两比较用LSD-t检验,方差不齐则进行秩和检验,以P < 0.05为差异有统计学意义。

2 结果 2.1 腹水量测定结果

SO组大鼠腹腔仅可见极少量腹水,为无色透明。SAP组大鼠腹水量较SO组明显增多(P < 0.05),且颜色呈红褐色。TD2、TD3、TD4组均较SAP组大鼠腹水量明显减少(P < 0.05),TD1组较SAP组差异无统计学意义(P > 0.05),TD2、TD3、TD4组腹水减少量差异无统计学意义(P < 0.05),但均较TD1组显著(P < 0.05),L组和SB组大鼠均较SAP组腹水量明显减少(P < 0.05),TD3组、L组和SB组腹水减少量差异无统计学意义(P > 0.05),见图 1

与SO组比较,aP < 0.05;与SAP组比较,bP < 0.05;与TD1组比较,cP < 0.05 图 1 各组大鼠腹水量测定 Figure 1 Determination of the amount of ascites in rats of each group
2.2 大鼠血清指标测定结果

以造模后12 h作为观察点,SAP组大鼠血清淀粉酶(AMY)含量较SO组显著增高(P < 0.05);TD1组大鼠血清AMY水平与SAP组比较,差异无统计学意义(P < 0.05);TD2、TD3、TD4组AMY水平均较TD1组、SAP组显著降低,差异有统计学意义(P < 0.05),TD2、TD3、TD4组三组之间比较,TD3、TD4组之间AMY水平差异无统计学意义(P > 0.05),但均较TD2组降低,且差异有统计学意义(P < 0.05)。L组和SB组AMY水平均较SAP组显著降低,差异有统计学意义(P < 0.05),TD3组、L组和SB组三组之间比较,TD3组明显较L组和SB组AMY含量更低,且差异有统计学意义(P < 0.05)。L组和SB组AMY水平差异无统计学意义(P > 0.05),见图 2A

A:血清淀粉酶(AMY)的变化;B:血清谷丙转氨酶(ALT)的变化;C:血清肌酐(Cr);D:尿素氮(BUN)的变化;与SO组比较,aP < 0.05;与SAP组比较,bP < 0.05;与TD1组比较,cP < 0.05;与TD2组比较,dP < 0.05;与TD3组比较,eP < 0.05;与L组比较,fP < 0.05 图 2 各组大鼠血情指标变化情况 Figure 2 Changes of blood index of rats in each group

SAP组大鼠ALT水平较SO组显著增高(P < 0.05);TD2、TD3、TD4组大鼠血清ALT水平与SAP组相比显著降低(P < 0.05);TD1组ALT水平与SAP组比较差异无统计学意义(P > 0.05)。TD4组大鼠血清ALT水平高于TD3组,差异有统计学意义(P < 0.05)。L组和SB组血清ALT水平均较SAP组显著降低,差异有统计学意义(P < 0.05),TD3组、L组和SB组三组之间比较,血清ALT水平差异无统计学意义(P > 0.05),见图 2B

SAP组大鼠血清肌酐(Cr)和尿素氮(BUN)均较SO组显著增高(P < 0.05);TD2、TD3、TD4组大鼠血清Cr和BUN水平与SAP组相比显著降低(P < 0.05),TD1组与SAP组比较,差异无统计学意义(P > 0.05);TD2、TD3、TD4组三组之间比较,TD3、TD4之间Cr和BUN水平差异无统计学意义(P > 0.05),但均较TD2组降低,且差异有统计学意义(P < 0.05)。L组和SB组Cr和BUN水平均较SAP组显著降低,差异有统计学意义(P < 0.05),TD3组、L组和SB组三组之间比较,TD3组明显较L组和SB组Cr和BUN含量更低,且差异有统计学意义(P < 0.05)。L组Cr和BUN水平较SB组含量低,且差异有统计学意义(P < 0.05),见图 2C, D

2.3 胰腺组织病理学变化

SO组大鼠光镜下可见胰腺小叶结构完整,偶见轻度水肿,无出血及炎症细胞浸润;SAP组光镜下可见胰腺正常结构被严重破坏,小叶间隔增宽,腺泡大量坏死,甚至原有结构消失;胰腺小血管出血明显,扩张的叶间隔之间可见部分红细胞,部分切片可见典型的胰周脂肪坏死;胰腺小叶间可见炎症细胞浸润明显,血管周围也可见大量炎症细胞渗出。给予各梯度剂量TDZD-8及各类GSK-3β抑制剂预处理后,胰腺腺泡水肿、坏死、胰腺小叶间隔内出血及炎症细胞浸润均较SAP组有不同程度减轻。

胰腺组织病理学评分:SAP组病理评分较SO组明显增高,差异有统计学意义(P < 0.05)。TD1组胰腺病理评分与SAP组比较差异无统计学意义(P < 0.05),TD2、TD3、TD4组大鼠胰腺病理评分与SAP组相比显著降低(P < 0.05);TD2、TD3、TD4组随着药物浓度的提高,胰腺病理评分逐渐降低(P < 0.05),但TD3与TD4组差异无统计学意义。L组和SB组胰腺组织病理学评分较SAP组显著降低,差异有统计学意义(P < 0.05),TD3组、L组和SB组三组之间比较,TD3组较L组和SB组胰腺组织病理评分均降低,差异有统计学意义(P < 0.05)。L组较SB组评分稍降低,且差异有统计学意义(P < 0.05),见图 3

与SO组比较,aP < 0.05;与SAP组比较,bP < 0.05;与TD1组比较,cP < 0.05;与TD2组比较,dP < 0.05;与TD3组比较,eP < 0.05;与L组比较,fP < 0.05 图 3 各组大鼠胰腺、肾脏组织病理学评分 Figure 3 Histopathological score of pancreas and kidney in rats of each group
2.4 肾脏组织病理学变化

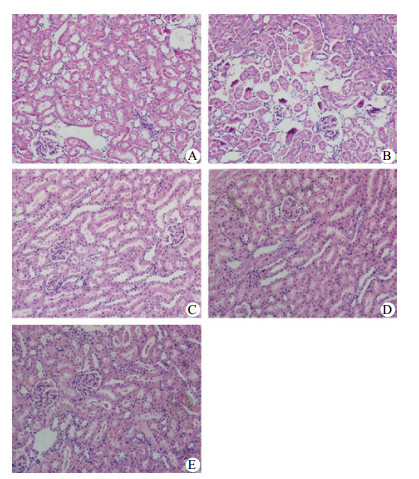
SO组大鼠肾脏结构完整,肾小管上皮无水肿,细胞界限清楚,肾间质无血管充血、无炎症细胞浸润等表现;SAP组可见大量肾小球淤血性改变,细胞界限模糊,肾小管上皮细胞坏死脱落,管腔内可见大量管型形成,肾小管管腔变窄或闭塞,大量炎症细胞浸润。给予各梯度剂量TDZD-8及各类GSK-3β抑制剂预处理后,肾小球淤血,肾小管上皮细胞水肿、坏死及炎细胞浸润程度均较SAP组有不同程度减轻,见图 4

A:SO组大鼠肾脏组织结构完整,肾小管上皮无水肿,细胞界限清楚,肾间质无血管充血、出血样改变,无炎症细胞浸润等表现;B:SAP组可见大量肾小球淤血性改变,细胞界限模糊,肾小管上皮细胞坏死脱落,管腔内可见大量管型形成,肾小管管腔变窄或闭塞,大量炎症细胞浸润;C:TD3组;D:L组;E:SB组;三个药物干预组中肾小球淤血,肾小管上皮细胞水肿、坏死及炎细胞浸润程度均较SAP组有不同程度减轻 图 4 各组大鼠肾脏病理组织学改变(HE×200) Figure 4 Histopathologcial changes of kidney in rats of each group(HE×200)

肾脏组织病理学评分:SAP组病理评分较SO组明显增高,差异有统计学意义(P < 0.05)。TD1组肾脏病理学评分与SAP组比较差异无统计学意义(P < 0.05),TD2、TD3、TD4组大鼠肾脏病理评分与SAP组相比显著降低(P < 0.05);TD2、TD3、TD4组随着药物浓度的提高,肾脏病理评分逐渐降低(P < 0.05),但TD3与TD4组差异无统计学意义。L组和SB组肾脏组织病理学评分较SAP组显著降低,差异有统计学意义(P < 0.05),TD3组、L组和SB组三组之间比较,TD3组较L组和SB组肾脏组织病理评分均降低,差异有统计学意义(P < 0.05)。L组较SB组大鼠肾脏病理学评分稍降低,且差异有统计学意义(P < 0.05),见图 3

2.5 Western blot检测各组肾脏组织中GSK-3β和p-GSK-3β ser9蛋白的表达结果

应用Western blot法对各组大鼠肾组织GSK-3β表达进行半定量分析发现,各组中GSK-3β蛋白表达均处于较一致的水平,差异无统计学意义(P > 0.05)。而p-GSK-3β ser9表达在SAP组中表达明显低于SO组,差异有统计学意义(P < 0.05);而TD3、L、SB三组中的p-GSK-3β ser9均较SAP组明显增强,其中以TD3组表达最强,强于L组和SB组,L组表达强于SB组,组间比较差异均有统计学意义(P < 0.05),见图 5

与SO组比较,aP < 0.05;与SAP组比较,bP < 0.05;与TD3组比较,cP < 0.05;与L组比较,dP < 0.05 图 5 各组大鼠肾组织GSK-3β及磷酸化p-GSK-3β(ser 9)蛋白表达 Figure 5 The expression of GSK-3 beta and phosphorylated p-GSK-3 beta (SER 9) protein in renal tissues of rats in each group
3 讨论

急性胰腺炎是临床上一种常见的急腹症,发病急、进展快、严重危害患者的生命健康[13-14]。GSK-3β抑制剂在精神紊乱性疾病、糖尿病、阿尔茨海默病以及癌症、缺血-再灌注损伤等多种疾病中的研究已成为国内外研究和关注的热点,有关GSK-3β及其抑制剂在急性胰腺炎及其胰外脏器损伤中的作用的报道少见。本实验观察了GSK-3β的常用抑制剂TDZD-8对SAP的治疗作用,并将三种常用GSK-3β抑制剂TDZD-8、氯化锂(LiCl)、SB216763对该模型的作用效果进行对比,旨在探讨GSK-3β抑制剂在防治SAP及其胰外脏器损伤中合理的类别及剂量-效应关系。

Cuzzocrea等[7]证实,GSK-3β抑制剂TDZD-8能显著降低SAP小鼠模型血浆和胰腺组织中TNF-α、IL-1β水平,减少胰腺组织中炎症细胞的浸润,降低血浆中胰淀粉酶和胰脂肪酶含量,减轻胰腺损伤程度。另外有研究发现,TDZD-8治疗能显著降低细胞的凋亡及星形胶质细胞的增生,改善新生儿缺氧缺血性脑损伤[15]。在其他模型中,GSK-3β抑制剂也被广泛应用,在大鼠小肠缺血-再灌注模型中,给予GSK-3β抑制剂TDZD-8能降低回肠组织中TNF-α、IL-1β含量,减少肠组织中炎症细胞的浸润,表明TDZD-8能缓解肠道缺血-再灌注引起的炎症发应,减轻肠道损伤[16]。在心肌缺血-再灌注损伤模型中,抑制GSK-3β的活性,可明显减少线粒体通透性转换孔的开放,从而改善心肌缺血-再灌注的损伤[17]

目前开发的GSK-3β抑制剂在化学结构上差异很大,按作用机制可主要分为小分子ATP竞争性抑制剂和非ATP竞争抑制剂。小分子ATP竞争性抑制剂特点是多数为小分子疏水的杂环化合物,相对分子质量一般小于600,多数通过与GSK-3βSer9磷酸化位点ATP竞争性地结合抑制GSK-3β活性,SB216763即为其代表药物。非ATP竞争性抑制剂一般以无机离子抑制剂锂(Li)和TDZD-8作为代表,Li是第一个发现的GSK-3β抑制剂但锂抑制GSK-3β活性的机制目前不完全清楚。TDZD-8是GSK-3β的非ATP竞争小分子抑制剂,它主要磷酸化GSK-3β ser9从而降低GSK-3β的活性。它的特点是不阻断其他一系列的激酶如蛋白激酶A和C,酪蛋白激酶Ⅱ和依赖细胞周期素激酶1等的活性。又有研究发现TDZD-8的结合口袋除了T-loop区外,还可以与ATP竞争催化区域,也可以作为与ATP竞争的小分子抑制剂。因此可以认为TDZD-8是有双重抑制作用。TDZD-8是最广泛应用于实验的GSK-3β抑制剂,因此本研究将其作为主要研究药物,鉴于目前SAP的模型制备未完全统一,参考相关的炎症疾病模型中的剂量使用情况[18],本研究将TDZD-8设立为0.25、0.5、1.0和2.0 mg/kg四个剂量梯度进行量效关系探讨。本实验研究结果显示,静脉给予不同剂量的TDZD-8均能不同程度地减少SAP大鼠的腹水量,降低药物组血清AMY、Cr、BUN及ALT水平,并显著降低胰腺病理评分,表明了TDZD-8对SAP时胰腺及胰外脏器的损伤均具有保护作用。但使用不同剂量TDZD-8,其治疗效果有显著差别,TD1(0.25 mg/kg)组几乎对SAP无缓解作用,TD4 (2.0 mg/kg)组可显著降低血清AMY、Cr、BUN以及胰腺病理评分,但其ALT水平较高,对肝脏功能有一定损坏作用,而TD2(0.5 mg/kg)组对上述各个指标均有效果,但效果不如TD3组(1.0 mg/kg)作用明显,可显著降低上述各指标。综合实验结果可见,TD3组使用1.0 mg/kg TDZD-8均较TD1(0.25 mg/kg)组、TD2(0.5 mg/kg)组和TD4组(2.0 mg/kg)具有明显效果,而且更安全,对药物的代谢器官损伤较小。

本研究将常用的三种不同的GSK-3β抑制剂,TDZD-8、氯化锂(LiCl)、SB216763对该模型的作用效果进行对比,结果发现三种抑制剂均对SAP大鼠肾损伤具有治疗作用,降低血清AMY、Cr、BUN及ALT水平,并能降低胰腺及肾脏的病理评分。通过Western blot法评估各组肾脏组织中GSK-3β和p-GSK-3β ser9蛋白的表达结果发现,各组大鼠肾脏GSK-3β蛋白表达处于较一致的水平,并未发生明显变化,而磷酸化的p-GSK-3β ser9在SO组大鼠肾脏组织中的表达稍弱,在SAP组表达最弱,而TD3和L、SB组中的表达均增强,均强于SO组,其中TD3组表达最强,L组表达稍强于SB组。已有研究证明,GSK-3β在细胞内通常呈活性状态,其通过磷酸化下游底物而发挥其生物学作用。在受到外界刺激后,GSK-3β Ser9磷酸化而使该酶活性降低,从而改变下游成份的活性或功能,本研究证明使用GSK-3β抑制剂可以使p-GSK-3β Ser9表达增强,更加证实了这一点,增强p-GSK-3β ser9的表达,其实是抑制了GSK-3β的活性,从而抑制其损伤作用,本研究结果还可以得出三种抑制剂中以TDZD-8预处理组中TD3组效果最佳的结论。推断可能与其具有非ATP竞争小分子抑制和ATP竞争小分子抑制的双重抑制作用有关,当然其具体机制仍有待进一步证实。

综上所述,对于牛磺胆酸钠诱导的SAP大鼠模型,静脉给予TDZD-8 1.0 mg/kg体质量预处理对该模型具有最佳合理安全的量效关系。然而,TDZD-8等GSK-3β抑制剂的给药途径、给药方式和给药时间,以及其具体作用机制仍有待进一步的研究。

参考文献
[1] Hong H, Chen F, Qiao Y, et al. GSK-3β activation index is a potential indicator for recurrent inflammation of chronic rhinosinusitis without nasal polyps[J]. J Cell Mol Med, 2017, 21(12): 3633-3640. DOI:10.1111/jcmm.13274
[2] Dugo L, Collin M, Allen DA, et al. GSK-3beta inhibitors attenuate the organ injury/dysfunction caused by endotoxemia in the rat[J]. Crit Care Med, 2005, 33(9): 1903-1912. DOI:10.1097/01.CCM.0000178350.21839.44
[3] Wang D, Zhang X, Li D, et al. Kaempferide protects against myocardial ischemia/reperfusion injury through activation of the PI3K/Akt/GSK-3β pathway[J]. Mediators Inflamm, 2017, 2017: 5278218. DOI:10.1155/2017/5278218
[4] Cuzzocrea S, Mazzon E, Di Paola R, et al. Glycogen synthase kinase-3beta inhibition attenuates the degree of arthritis caused by type Ⅱ collagen in the mouse[J]. Clin Immunol, 2006, 120(1): 57-67. DOI:10.1016/j.clim.2006.03.005
[5] Jellestad L, Fink T, Pradarutti S, et al. Inhibition of glycogen synthase kinase (GSK)-3-β improves liver microcirculation and hepatocellular function after hemorrhagic shock[J]. Eur J Pharmacol, 2014, 724: 175-184. DOI:10.1016/j.ejphar.2013.12.029
[6] 张浙, 肖盐, 刁孟元, 等. PI3K/AKt/GSK3β信号通路在复苏中颈部降温的脑保护作用[J]. 中华急诊医学杂志, 2017, 26(5): 554-559. DOI:10.3760/cma.j.issn.1671-0282.2017.05.014
[7] Cuzzocrea S, Malleo G, Genovese T, et al. Effects of glycogen synthase kinase-3beta inhibition on the development of cerulein-induced acute pancreatitis in mice[J]. Crit Care Med, 2007, 35(12): 2811-2821. DOI:10.1097/01.CCM.0000295303.62996.9F
[8] Wei M, Gong YJ, Tu L, et al. Expression of phosphatidylinositol-3 kinase and effects of inhibitor Wortmannin on expression of tumor necrosis factor-α in severe acute pancreatitis associated with acute lung injury[J]. World J Emerg Med, 2015, 6(4): 299-304. DOI:10.5847/wjem.j.1920-8642.2015.04.009
[9] Wang Y, Huang WC, Wang CY, et al. Inhibiting glycogen synthase kinase-3 reduces endotoxaemic acute renal failure by down-regulating inflammation and renal cell apoptosis[J]. Br J Pharmacol, 2009, 157(6): 1004-1013. DOI:10.1111/j.1476-5381.2009.00284.x
[10] Gurrieri C, Piazza F, Gnoato M, et al. 3-(2, 4-dichlorophenyl)-4-(1-methyl-1H-indol-3-yl)-1H-pyrrole-2, 5-dione (SB216763), a glycogen synthase kinase-3 inhibitor, displays therapeutic properties in a mouse model of pulmonary inflammation and fibrosis[J]. J Pharmacol Exp Ther, 2010, 332(3): 785-794. DOI:10.1124/jpet.109.153049
[11] Schmidt J, Rattner DW, Lewandrowski K, et al. A better model of acute pancreatitis for evaluating therapy[J]. Ann Surg, 1992, 215(1): 44-56. DOI:10.1097/00000658-199201000-00007
[12] Paller MS, Hoidal JR, Ferris TF. Oxygen free radicals in ischemic acute renal failure in the rat[J]. J Clin Invest, 1984, 74(4): 1156-1164. DOI:10.1172/JCI111524
[13] Zhao XW, Yan L, Xu D, et al. Enterogenous infection of Candida albicans in immunocompromised rats under severe acute pancreatitis[J]. World J Emerg Med, 2016, 7(4): 294-299. DOI:10.5847/wjem.j.1920-8642.2016.04.010
[14] Gülen B, Sonmez E, Yaylaci S, et al. Effect of harmless acute pancreatitis score, red cell distribution width and neutrophil/lymphocyte ratio on the mortality of patients with nontraumatic acute pancreatitis at the emergency department[J]. World J Emerg Med, 2015, 6(1): 29-33. DOI:10.5847/wjem.j.1920-8642.2015.01.005
[15] Wang H, Huang S, Yan K, et al. Tideglusib, a chemical inhibitor of GSK3β, attenuates hypoxic-ischemic brain injury in neonatal mice[J]. Biochim Biophys Acta, 2016, 1860(10): 2076-2085. DOI:10.1016/j.bbagen.2016.06.027
[16] Cuzzocrea S, Mazzon E, Esposito E, et al. Glycogen synthase kinase-3beta inhibition attenuates the development of ischaemia/reperfusion injury of the gut[J]. Intensive Care Med, 2007, 33(5): 880-893. DOI:10.1007/s00134-007-0595-1
[17] Yang S, Li H, Tang L, et al. Apelin-13 protects the heart against ischemia-reperfusion injury through the RISK-GSK-3β-mPTP pathway[J]. Arch Med Sci, 2015, 11(5): 1065-1073. DOI:10.5114/aoms.2015.54863
[18] Gao HK, Yin Z, Zhang RQ, et al. GSK-3beta inhibitor modulates TLR2/NF-kappaB signaling following myocardial ischemia-reperfusion[J]. Inflamm Res, 2009, 58(7): 377-383. DOI:10.1007/s00011-009-0002-1