中华急诊医学杂志  2018, Vol. 27 Issue (8): 931-933
急性孤立性蝶窦炎三则
林鹏方, 蒋骅, 杨蓓蓓     
310009 杭州, 浙江大学医学院附属第二医院耳鼻咽喉科

蝶窦炎症常常是被邻近鼻窦的感染所累及, 急性孤立性蝶窦炎较少见,占鼻窦炎发病率不足3%。因为临床症状不典型并且缺乏临床体征,孤立性蝶窦炎常常被漏诊,直到患者出现神经系统症状才被确诊。这里报道3例急性孤立性蝶窦炎,均表现为持续的头痛伴有复视症状就诊本院急诊科,现报道如下。

1 资料与方法

病例1,患者男性,66岁,因头痛3周,复视1周入院。患者3周前起右侧太阳穴针刺样疼痛,影响睡眠。2周前出现咽痛鼻塞流涕及双耳听力下降,伴有右侧额部皮肤红疹,上述症状在当地医院治疗后减轻。1周前出现复视,当地医院治疗后症状无好转,诊断:颅内感染,多颅神经麻痹转来本院急诊。查体:神清,面部可见散在淡色丘疹,以右侧前额为主,右眼外展受限,面部痛触觉无殊,四肢肌力5级,病理反射阴性。脑脊液生化常规示:潘氏试验阳性,有核细胞970/μL;血沉28.00 mm/h,C反应蛋白14.1 mg/L。增强头颅MR提示两侧海绵窦增粗增宽,考虑炎症,并见双侧筛窦上颌窦蝶窦炎(图 1)。予头孢曲松钠2.0 g静脉注射抗感染治疗。治疗2周后头痛明显减轻,但复视症状无好转。复查血常规正常,C反应蛋白正常范围,血沉28.00 mm/h,脑脊液生化及常规正常范围。复查头颅增强MR提示病变范围较前无缩小。鼻窦CT提示双侧蝶窦炎症较前加重(图 2)。建议患者行鼻内镜下蝶窦手术。患者自觉症状减轻拒绝手术,要求出院。出院后在外院继续头孢曲松钠抗感染治疗。治疗10 d后因头痛复视症状无改善,并出现面颊部感觉减退再次入院。入院后查血常规,C反应蛋白正常,血沉28.00 mm/h,脑脊液潘氏试验阳性,细胞数量继续减少至60/μL。继续抗感染治疗。再次头颅MR及鼻窦CT复查提示海绵窦及蝶窦内病变较前范围增大(图 3),经多学科讨论,转本科行视频内镜下双侧蝶窦开放术。术后第三天鼻腔填塞物完全抽除后头痛症状明显缓解,术后6 d出院,头痛症状消失,复视仍存,出院后继续抗感染治疗,定期门诊复诊,术后6个月,复视症状消失。

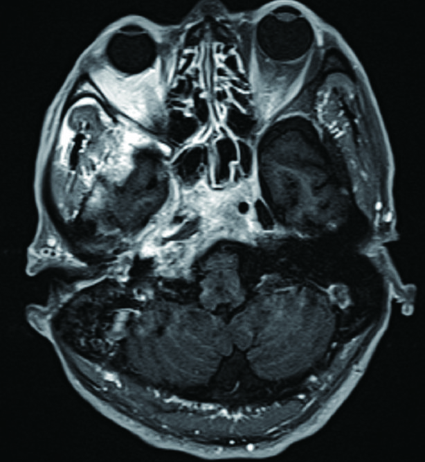
图 1 双侧海绵窦增宽,右侧明显

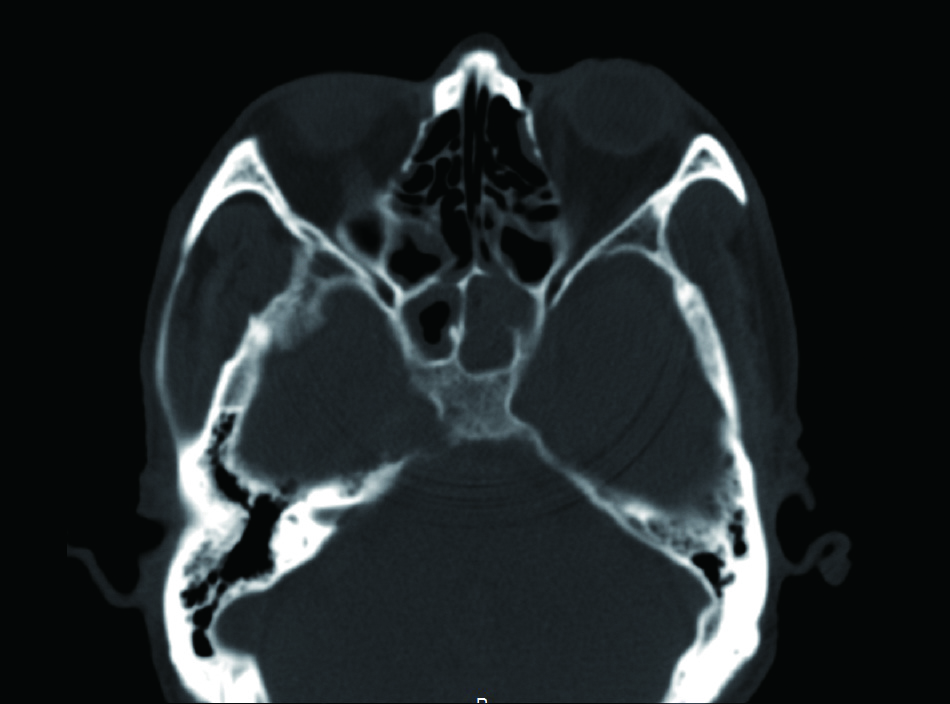
图 2 左侧蝶窦密度增高影,右侧窦内密度增高影,窦内含气

图 3 蝶窦炎症较前加重

病例2,患者,男性,48岁,因反复发热1月,头痛20余天入院。当地医院行腰穿脑脊液检查提示葡萄糖4.46 mmol/L,蛋白定量91 mg/mL, 诊断病毒性脑炎转来本院急诊内科。入院检查:体温;36.8℃,神志清,颈软,双侧瞳孔等大3.0 mm,眼睑无明显下垂,右眼外展受限伴视力下降;左眼活动正常,布氏征、克氏症阴性,双侧颜面部痛觉对称存在,口角无歪斜,伸舌居中,四肢肌力5级,肌张力无殊,双侧巴氏征阴性。外院头颅MR提示双侧海绵窦增宽,蝶窦炎症。入院后腰穿脑脊液常规+三大染色无异常。诊断:海绵窦炎,蝶窦炎。转入神经内科继续治疗。给予头孢曲松针4 g静脉注射抗感染治疗。入院第3天出现体温升高,最高达38.7℃,并出现双侧眼睑水肿,实验室检查提示白细胞及C反应蛋白持续增高。复查鼻窦CT提示右侧后组筛窦蝶窦炎症较前明显加重。遂请耳鼻喉科会诊。会诊鼻内镜检查示双侧后鼻孔有少量黏液性分泌物。头痛与蝶窦炎不一定相关,建议继续使用抗生素严密观察。入院第6天,患者仍有发热头痛,出现左眼内收受限,双侧眼球上下活动受限,炎症指标提示CRP持续增高达52.99 mg/L,予改抗生素为万古霉素1 000 mg,1次/12 h联合头孢哌酮舒巴坦3.0 g,1次/8 h; 复查鼻窦CT及鼻窦增强MR。耳鼻咽喉科会诊,影像学检查均提示蝶窦炎较前加重,鼻内镜检查提示双侧蝶筛隐窝黏膜水肿,右侧嗅裂区有脓性分泌物。鼻窦CT提示双侧上颌窦筛窦蝶窦见软组织密度增高影,以右侧后筛蝶窦为重。急诊全麻下行视频鼻内镜下右侧筛窦蝶窦开放引流术。术后第1天头痛症状明显减轻,继续抗感染治疗同术前,术后第4天头痛症状消失,双侧球结膜水肿消退,双侧眼球上下活动较前灵活,实验室检查CRP下降至17.6 mg/L。术后第9天左眼活动恢复正常,右眼仍有外展受限。术后2个月余复查鼻窦增强MR提示右侧筛窦蝶窦引流通畅。右眼活动正常复视消失

病例3,患者男性,41岁。因右侧头痛伴发热半月余,上睑下垂5 d入院。发病前无明显诱因。首先为右侧头痛伴右眼胀痛,呈阵发性,后出现发热,体温最高39.3℃。当地医院就诊,查血常规:白细胞计数9.6×109/L,中性粒细胞绝对值6.41×109/L,超敏C反应蛋白62.72 mg/L;脑脊液生化及常规:葡萄糖5.7 mmol/L, 蛋白质68 mg/L, 头颅CT平扫未见异常。诊断:颅内感染。予罗氏芬抗感染治疗,阿昔洛韦抗病毒治疗。治疗后体温下降,但头痛及眼痛症状无好转,后又出现右眼上睑下垂,复视及右眼轻度突眼。遂转本院急诊。入院后查血常规:白细胞15.8×109/L, 中性粒细胞百分比82.2%, 血沉46.00 mm/h, C反应蛋白46.9 mg/L,脑脊液常规及生化:葡萄糖3.13 mmol/L, 蛋白质:107.2 mg/dL。予头孢曲松钠针4 g静滴每日一次。治疗后头痛在白天明显缓解,夜间仍明显,体温正常,各项炎症指标下降,血常规正常范围,但右侧上睑下垂及右眼外展受限复视症状无改善。查眼眶MR提示右侧海绵窦增大强化,考虑感染,伴见鼻窦炎。鼻窦CT:蝶窦黏膜增厚,窦腔积液,形成气液平面,蝶窦右侧壁局限缺裂,海绵窦右侧肿大,形态不规则,边界模糊。考虑蝶窦炎症累及右侧海绵窦。双眶充血状态,右侧眼上静脉轻度增粗。治疗1周后复查MR提示双侧海绵窦病变,累及双侧Meckel腔及脑膜;双侧筛窦蝶窦炎伴积液。患者头痛无明显加重,右眼上睑下垂伴眼球活动外展及内收受限,又出现左侧上睑较右侧明显下垂,眼球内收受限,复视,突眼加重。耳鼻喉科会诊,视频鼻内镜检查见左侧嗅裂黏膜肿胀伴有脓性分泌物,急诊行视频内镜下左侧蝶窦开放引流术。术中见左侧蝶窦内多量脓性分泌物。术后第1天头痛有缓解,术后第二天突发意识不清,项颈强直,右侧肢体乏力,肌力2级。头颅MR提示海绵窦感染加重伴有脓肿形成,并有左侧尾状头部核壳核苍白球区域脑梗。改用美罗培南及斯沃加强抗感染治疗同时治疗脑梗,各项症状逐渐减轻,1周后患者意识清晰,颈软,右侧肢体肌力5级,右眼上睑轻度下垂,外展受限,轻度突眼复视,左眼正常。目前随诊中。

2 讨论

Van Alyea[1]在1941年就指出蝶窦是最容易被忽视的鼻窦。与其他鼻窦相比较,蝶窦壁黏膜为假复层纤毛柱状上皮,含有黏液分泌细胞较少,所以蝶窦的引流负担较轻,这可能和单独的蝶窦炎发病率低有关[2]

急性蝶窦炎的发生与多种因素有关。重要因素之一是其解剖学上的特殊性。蝶窦窦口细小,易发生狭窄或阻塞使窦腔的通气引流受影响;邻近结构如鼻中隔偏曲,肥大的上鼻甲和中鼻甲,以及急性鼻炎造成的鼻道黏膜肿胀可造成蝶窦的通气引流障碍。游泳及潜水的方法不当,使污水进入鼻窦可引起急性蝶窦炎。外伤或医源性创伤也可因病原体进入导致急性蝶窦炎。另外一些影响因素包括化疗,免疫抑制,原发的或转移的肿瘤等。病例1起病时有急性鼻炎的鼻塞流涕症状伴有病毒感染引起面部的疱疹,另外2例诱因不明。

头痛是急性蝶窦炎最常见的症状[3]。Cakmak等[4]报道头痛作为孤立性蝶窦炎的首发症状占72.5%。头痛位置最常见是眼球深部的钝痛,其次是前额,头顶,颞部,枕部及耳廓后。它通常是非特异性的,可~能出现在颅面区的任何地方。头痛的一般规律为晨起轻,午后重。随时间推移头痛多会加重,药物治疗效果差并会影响睡眠[5]。少数患者可有耳鸣眩晕及听力下降。面部的疼痛一般认为是影响到三叉神经的第一支及第二支。三例患者的首发症状均为头痛。病例1的头痛位于颞部,并在夜间加重影响睡眠,伴有听力下降。虽经抗感染治疗后头痛症状略有缓解,但出现右侧面颊部感觉减退。病例3经治疗后头痛在白天有缓解,但夜间仍较明显。

视觉上的变化,如视力模糊或失明,构成了第二大最常见的症状。视神经最常受到影响,其次是第六颅神经外展神经[6]。除非出现眶内脓肿或海绵窦血栓,失明非常罕见。本文中仅例2患者主诉有视力下降,1,3例均无明显视力下降。3例患者均出现眼球外展受限及复视。发热也是常见症状[7]。3例患者病程中均有发热,体温达38.5℃以上。手术后感染控制后体温均正常。

任何与蝶窦相关的结构都可能受到蝶窦炎的影响。Proetz[8]列出与蝶窦相邻的13个结构:颅神经Ⅱ,Ⅲ,Ⅳ,Ⅴ-1, Ⅴ-2及Ⅵ,硬脑膜,垂体,海绵窦,颈内动脉,蝶腭神经节,蝶腭动脉,翼管及神经。蝶窦炎可引起眶内蜂窝织炎和脓肿,眶尖综合征,失明,败血症,脑膜炎,硬脑膜外和硬脑膜下脓肿,脑梗死,垂体脓肿,海绵窦血栓,脓毒血症和颈内动脉血栓[9]。文中的3个病例均出现颅内并发症:海绵窦炎及外展神经麻痹。病例3更有脑梗死出现。Siu等[10]报道1例单侧的蝶窦炎引起对侧外展神经麻痹从而出现复视的病例,认为可能由于优势窦腔,即一侧窦腔明显大于并包绕对侧窦腔;海绵窦的交通,以及窦壁的先性骨缝或缺损,这些原因都可能使对侧的颅神经症状首先出现。病例1,3均在早期即出现对侧头痛及眼球外展受限。从本文的三个病例来看,虽然患者都没有明显的鼻部症状,仍不能排除蝶窦炎的存在。蝶窦炎通常没有明确的临床症状及体征,一旦出现神经系统症状则提示发生了颅内并发症。

急性孤立性蝶窦炎的诊断常常非常困难。仅有病史和体格检查不能显示蝶窦疾病的临床特征,增加诊断难度。鼻内镜检查可以见到蝶窦口或鼻咽部的脓性分泌物,对诊断非常有帮助。3例患者均行鼻内镜检查,并见嗅裂及蝶窦口黏膜肿胀,有脓性分泌物。

鼻窦CT可以显示窦内有液平(或浑浊)并提示蝶窦壁完整。蝶窦炎症时通常没有骨质破坏, 恶性肿瘤时会出现窦壁的破坏。当出现颅神经损害症状时需行增强MR检查,MR对海绵窦病变及相邻神经血管结构的显示优于CT。

急性蝶窦炎最常见的病原菌为金黄色葡萄球菌,其次为链球菌。偶尔也会有革兰阴性菌及厌氧菌[11]。在免疫抑制的患者中还会有真菌尤其是曲真菌存在。由于术前广谱抗生素的应用,鼻窦分泌物的细菌培养常常是阴性的。

如果能够早期诊断和治疗,蝶窦炎可以通过使用合适的广谱抗生素得以控制[9]。必须立即予以治疗,延迟治疗可能导致严重并发症及增加病死率[7]。治疗中可以根据脑脊液,血液或窦腔引流物的细菌培养结果更改敏感抗生素。抗生素治疗疗程至少需要3~4周。如果症状加重或持续超过24 h,或者出现并发症,立即行蝶窦开放引流术。各种到达蝶窦的手术径路均可采用。鼻内镜径路可选择经蝶窦前壁或经筛窦,可以切除中鼻甲后段使蝶窦暴露良好引流通畅[12]。三例病例均采用视频鼻内镜下经筛窦的蝶窦开放引流术。

总之,孤立性蝶窦炎是一种罕见的鼻窦炎。本病患者有部分无任何主诉症状或症状不显著,因此需要高度警惕。鼻内镜检查,鼻窦CT/MR可以帮助早期诊断。由于蝶窦邻近的重要结构,使蝶窦炎的并发症升高。早期诊断的病例可以通过使用敏感广谱抗生素治疗。症状持续并进一步加重出现颅内并发症需立即行手术引流。

参考文献
[1] Van Alyea OE. Sphenoid sinus:anatomic study, with consideration of the clinical significance of the structural characterisitics of the sphenoid sinus[J]. Arch Otolaryngol, 1941, 34(2): 225-53. DOI:10.1001/archotol.1941.00660040251002
[2] Maran AGD, Lund VJ. Clinical rhinology[M]. GTV: 1990.
[3] Lahat E, Danieli J, Cohen H, et al. Acute isolated sphenoid sinusitis in children[J]. Pediatr Infect Dis J, 1997, 16(12): 1180-1182. DOI:10.1097/00006454-199712000-00017
[4] Cakmak O, Shohet MK, Kern EB. Isolated sphenoid sinus lesions[J]. Am J Rhinol, 2000, 14(1): 13-19. DOI:10.2500/105065800781602993
[5] Pearlman SJ, Lawson W, Biller HF, et al. Isolated sphenoid sinus disease[J]. Laryngoscope, 1989, 99(7/1): 716-720. DOI:10.1288/00005537-198907000-00010
[6] Lawson W, Reino AJ. Isolated sphenoid sinus disease:an analysis of 132 cases[J]. Laryngoscope, 1997, 107(12/1): 1590-1595. DOI:10.1097/00005537-199712000-00003
[7] Haimi-Cohen Y, Amir J, Zeharia A, et al. Isolated sphenoid sinusitis in children[J]. Eur J Pediatr, 1999, 158(4): 298-301. DOI:10.1007/s004310051076
[8] Proetz AW. The sphenoid sinus[J]. Br Med J, 1948, 2(4569): 243-245. DOI:10.1136/bmj.2.4569.243
[9] Urquhart AC, Fung G, McIntosh WA. Isolated sphenoiditis:a diagnostic problem[J]. J Laryngol Otol l, 1989, 103(5): 526-527. DOI:10.1017/s0022215100156786
[10] Siu J, Sharma S, Sowerby L. Unilateral isolated sphenoid sinusitis with contralateral abducens nerve palsy-A rare complication treated in a low-resource setting[J]. J Otolaryngol Head Neck Surg, 2015, 44(1): 9. DOI:10.1186/s40463-015-0053-y
[11] Brook I. Bacteriology of acute and chronic sphenoid sinusitis[J]. Ann Otol Rhinol Laryngoll, 2002, 111(11): 1002-1004. DOI:10.1177/000348940211101109
[12] Kieff DA, Busaba N. Treatment of isolated sphenoid sinus inflammatory disease by endoscopic sphenidotomy without ethmoidectomy[J]. Laryngoscope, 2002, 112(12): 2186-2188. DOI:10.1097/00005537-200212000-00011