中华急诊医学杂志  2018, Vol. 27 Issue (6): 631-637
TLR3/NF-κB信号通路在百草枯致急性肺损伤的研究
蒋云飞, 孙昊, 张劲松, 吕梦倩, 张峰, 宋扬, 臧松松, 王军     
210029 南京,南京医科大学第一附属医院急诊医学科(蒋云飞、孙昊、张劲松、张峰、宋扬);211166 南京,南京医科大学公共卫生学院(吕梦倩、臧松松、王军)
摘要: 目的 观察Toll样受体3(Toll-like receptor-3,TLR3)、TLR诱导核转录因子(nuclear factor-κappa B,NF-κB)及下游炎性因子肿瘤坏死因子α(TNF-α)、白细胞介素-1β(IL-1β)、白细胞介素-6(IL-6)的改变,从TLR3/NF-κB信号通路探讨百草枯(paraquat,PQ)致急性肺损伤的发病机制。方法 利用PQ暴露构建小鼠的急性肺损伤模型和拟Ⅱ型肺泡上皮细胞(A549)的急性损伤模型;观察小鼠肺组织病理改变,进行支气管肺泡灌洗液(BALF)细胞计数及细胞分类,酶联免疫吸附试验法(ELISA)检测炎性因子,阐述PQ对小鼠肺组织的损伤作用;利用CCK8检测细胞存活率,观察PQ致A549细胞损伤;并通过Real-time PCR和Western-blotting观察小鼠肺组织和A549细胞的TLR3、Phospho-NF-κBp65及下游炎性因子TNF-α、IL-1β、IL-6的mRNA和蛋白水平表达变化。结果 与对照组小鼠相比,PQ组存在小鼠呼吸困难,活动能力下降,进食减少,体质量下降等症状。与对照组比较,PQ组BALF细胞总数明显升高[NS:(0.018 8±0.102 1)×105 vs. PQ:(0.237 4±0.121 7)×105, t=9.804, P < 0.01],伴有巨噬细胞[NS:(0.162 8±0.086 53)×105 vs. PQ:(1.063 3±0.343 3)×105, t=8.043, P < 0.01],淋巴细胞[NS:(0.006 6±0.005 2)×105 vs. PQ:(0.171 2±0.099 1)×105, t=5.243, P < 0.01]和中性粒细胞[NS:(0.000 04±0.000 1)×105 vs. PQ:(0.901 9 ±0.652 5)×105, t=4.370, P < 0.01]显著升高。PQ组小鼠肺组织充血水肿明显,病理HE染色见炎性细胞浸润和肺间质充血。ELISA结果表明,与对照组相比,PQ组支气管肺泡灌洗液的TNF-α、IL-1β、IL-6表达均明显上升[TNF-α: t=3.030, P < 0.05, NS:(2.782 1±3.521 5)vs. PQ:(7.512 6±3.459 8)pg/mL;IL-1β: t=5.391, P < 0.01, NS:(22.687 5±14.229 3)vs. PQ:(163.100 4±81.118 3)pg/mL;IL-6: t=4.841, P < 0.01, NS:(1.653 3±0.442 7)vs. PQ:(648.565 6±422.606 1)pg/mL]。细胞实验中,CCK8结果示在剂量200~400 μmol/L PQ处理24 h后,A549细胞存活率与对照组相比较分别下降了25.3%和36.4%(均P < 0.05)。Real-time PCR结果提示,PQ组小鼠肺组织和A549细胞TLR3、TNF-α、IL-1β、IL-6在mRNA水平表达均高于对照组(均P < 0.05)。Western-blotting结果发现PQ组的小鼠肺组织和A549细胞的TLR3、Phospho-NF-κBp65蛋白水平表达明显高于对照组(均P < 0.05)。结论 PQ可能通过TLR3/NF-κB信号通路上调炎性因子TNF-α、IL-1β、IL-6的表达而诱导加重急性肺损伤。
关键词: 百草枯     急性肺损伤     Toll样受体3     TLR诱导核转录因子     信号通路     炎性因子     动物模型     A549细胞    
The role of TLR3/NF-kappa B signaling pathway in paraquat-induced acute lung injury
Jiang Yunfei , Sun Hao , Zhang Jinsong , Lv Mengqian , Zhang Feng , Song Yang , Zang Songsong , Wang Jun     
Department of Emergency Medicine, The First Affiliated Hospital of Nanjing Medical University, Nanjing 210029, China(Jiang YF, Sun H, Zhang JS, Zhang F, Song Y); School of Public Health, Nanjing Medical University, Nanjing 211166, China(Lv MQ, Zang SS, Wang J)
Abstract: Objective To investigate the pathogenesis of paraquat (PQ) induced acute lung injury through Toll like receptor 3 (Toll-like receptor-3, TLR3), TLR induced nuclear transcription factors (Nuclear Factor- kappa B, NF-κB) and its downstream pro-inflammatory factors TNF-α, IL-1β, IL-6. Methods The acute lung injury model of mice and the acute injury model of type Ⅱ alveolar epithelial cells (A549) induced by PQ were established. The PQ mediated pathological changes of lung tissue, the cell count and cytospin of bronchoalveolar lavage fluid (BALF) were evaluated, and the pro-inflammatory factors in the lung tissue of mice were determined by ELISA the viability of A549 cells mediated by PQ was detected by CCK8 assay, and the mRNA expression and protein level of TLR3, Phospho-NF-kBp65, tumor necrosis factor-alpha (TNF-α), interleukin-1 beta (IL-1β) and interleukin-6 (IL-6) in the lung tissues and A549 cells were observed by Real-time PCR and Western-blotting. In control group, the mice received normal saline (NS) instead of PQ. Results Compared with the control group, the mice in PQ group showed difficulty breathing, decreased activity, reduced food intake, and weight lost. The total number of BALF cells in the PQ group was significantly increased [NS: (0.018 8±0.102 1)×105 vs. PQ: (0.237 4 ± 0.121 7)×105, t=9.804, P < 0.01] with macrophage [NS: (0.162 8±0.086 5)×105 vs. PQ: (1.063 3 ± 0.343 3)×105, t=8.043, P < 0.01], lymphocyte [NS: (0.006 6±0.005 2)×105 vs. PQ: (0.171 2 ± 0.099 1)×105, t=5.243, P < 0.01] and neutrophils [NS: (0.000 04±0.000 1)×105 vs. PQ: (0.901 9 ± 0.652 5)×105, t=4.370, P < 0.01]. In PQ group, the appearance and volume of lung tissue increased with hyperemia and edema. HE slices showed inflammatory cell infiltration and pulmonary interstitial hemorrhage. Moreover, the expressions of TNF-α, IL-1β, IL-6 in BALF of PQ group was significantly higher than those of the control group by the ELISA assay [TNF-α: NS: (2.782 1 ± 3.521 5) vs. PQ: (7.512 6 ± 3.459 8) pg/mL, t=3.030, P < 0.05; IL-1β: NS: (22.687 5 ± 14.229 3) vs. PQ: (163.100 4 ± 81.118 3) pg/mL, t=5.391, P < 0.01; IL-6: NS: (1.653 3±0.442 7) vs. PQ: (648.565 6 ± 422.606 1) pg/mL, t=4.841, P < 0.01]. CCK8 results indicated that the viability of A549 cells decreased by 25.3% and 36.4% at 24h after 200~400 μmol/L PQ treatment (all P < 0.05). The mRNA expressions of TNF-α, IL-1β, IL-6 in the lung tissue and A549 cells in PQ group were higher than those in the control group as well (all P < 0.05). Furthermore, Western-blotting results revealed that the protein levels of TLR3 and Phospho-NF-κBp65 in the lung and A549 cells mediated by PQ were significantly higher than those in the control group (all P < 0.05). Conclusions PQ may induce acute lung injury by up-regulation of the expressions of inflammatory factors TNF-α, IL-1β, IL-6 through the TLR3/NF-κB signaling pathway.
Key words: Paraquat     Acute lung injury     Toll-like receptor-3     Nuclear Factor-κappa B     Signal pathway     Inflammatory factors     Animal model     A549 cell    

百草枯(paraquat,PQ,C12H14Cl2N2)为一种快速非选择性有机杂环类脱叶剂及除草剂。由于其价格低廉,广谱高效,对环境影响小等优点,已在130多个国家使用[1]。但PQ缺乏有效的解毒剂,人体意外或故意摄入导致的病死率高达70%~80%[2],已经成为了一个严重的公共社会问题和急诊医学难题。

目前认为PQ肺内浓聚导致急性肺损伤和快速纤维化[3],是PQ中毒死亡的主要原因。有文献表明[4-6],在PQ导致急性肺损伤早期,氧化应激、炎症反应、细胞凋亡均参与其过程。Toll样受体(Toll-like receptors,TLRs)作为一类重要的天然模式识别受体,能识别和结合病原相关分子模式,诱导炎性因子释放导致级联放大瀑布效应,引起炎症及器官功能损害[7]。Toll样受体3(Toll-like receptor-3,TLR3)作为TLRs家族中重要成员之一,能够刺激TLR诱导核转录因子(Nuclear factor-κappa B,NF-κB)的活化,启动机体的固有免疫和获得性免疫,已被众多学者关注和研究。Cassano等[8]用LPS刺激马的间充质干细胞,发现TLR3和TLR4表达均升高;罗苑苑和林新峰[9]发现,TLR3敲除后可以减轻脓毒症小鼠心肌细胞凋亡及炎性反应的影响。但对于TLR3在PQ导致的急性肺损伤中是否发生重要作用,尚无相关文献报道。

因此,本研究通过体内和体外实验,观察TLR3、NF-κB及下游炎性因子(TNF-α、IL-1β、IL-6)在PQ致急性肺损伤早期的炎症反应中的改变,进而为临床PQ中毒致急性肺损伤的干预提供理论依据和潜在治疗靶点。

1 材料与方法 1.1 动物模型建立

雄性C57BL/6J小鼠20只,8~9周龄,22~26 g,购于南京医科大学实验动物中心。小鼠在恒温恒湿通风的动物中心鼠笼中饲养:温度20~26 ℃,相对湿度30%~50 %,明暗交替12 h/12 h,自由进食进水,生长状况良好。本试验获得南京医科大学动物伦理批准(伦理编号:IACUC-14030122)。小鼠随机(随机数字法)分为2组:对照组,即生理盐水(normal saline, NS)组(n=10),处理组,即百草枯组(n=10)。PQ组小鼠单次经气道给予PQ(Sigma,美国)雾化溶剂0.2 mg/50 μL(雾化给药装置:MicroSprayer Aerosolizer, 美国),NS组小鼠单次经气道给予NS 50 μL,72 h后处死小鼠并收获支气管肺泡灌洗液(bronchoalveolar lavage fluid,BALF)和肺组织标本。

1.2 小鼠一般情况

每日观察小鼠饮食、毛色、活动状态、呼吸情况、体质量下降等变化。若发现小鼠死亡,记录其死亡时间。

1.3 支气管肺泡灌洗液(BALF)收集及细胞分类计数

参照本课题组前期研究处理流程[10]:小鼠处死后,立即开胸,暴露气管及双肺,行气管切开,并夹闭左侧主支气管,用0.5 mL灌洗液(50 mL PBS+5 mmol/L EDTA)行BAL 3次。BALF经红细胞裂解液(Sigma,美国)裂解后,予以1 200 r/min,10 min离心,留取上清液做酶联接免疫吸附剂测定(ELISA),细胞沉淀予涂片吉姆萨染色,行细胞总数及分类计数。

1.4 肺组织病理学检查

取小鼠左肺组织样本,用10%甲醛液固定24 h后,石蜡包埋、切片、脱蜡后常规行HE染色,并于光镜下观察。

1.5 BALF的ELISA测定

按照ELISA试剂盒(R & D,美国)说明书对BALF进行操作,实验中设置空白对照孔和标准品孔,选择450 nm波长检测吸光度(570 nm校正波长),并根据标准品的吸光度值及相应的浓度值,制作标准曲线。根据标准曲线计算出待测样品的浓度值。

1.6 细胞模型建立

拟Ⅱ型肺泡上皮细胞(A549)购于中国科学院细胞库,A549细胞在培养箱(37 ℃、含5%CO2)中,按2×106/mL的密度接种,培养在含10%胎牛血清(Sciencell,美国)的1640培养基(Gibco,美国),2 d换液一次,细胞长至80%时,予以1:3传代处理。A549细胞分别被不同浓度的PQ(0,25,50,100,200,400 μmol/L)孵育24 h,并且根据Western-blotting的结果,用PQ 400 μmol/L在不同时间点(0,1,3,6,12,24 h)孵育A549细胞。实验中所用细胞均为状态良好的对数生长期细胞。

1.7 细胞存活率检测(CCK8实验)

对数生长期收集A549细胞,将其均匀地接种于96孔板(100 μL/孔)。将96孔板放在培养箱预培养至细胞贴壁后,用含有不同浓度的PQ的培养基(其中0 μmol/L被设为对照组)与细胞培养24 h后,向每孔加入10 μL CCK-8(Dojindo,日本),96孔板继续在培养箱中孵育2 h,测得波长为450 nm的吸光度。

1.8 小鼠肺组织和A549细胞的Real-time PCR

分别按照RNAiso Plus(TaKara,日本),PrimeScriptTM RTMaster Mix(TaKara,日本),SYBR®Premix Ex TaqTM Ⅱ(TaKara,日本)试剂盒说明书,分别对小鼠肺组织和A549细胞行总RNA提取,逆转录,Real-time PCR。Real-time PCR过程中所有引物均由上海捷瑞公司设计和合成见表 1。根据溶解曲线和扩增曲线得知引物特异性和扩增效率。以GAPDH作为内参基因,用2-∆∆CT法对结果进行计算和分析。

表 1 引物序列 Table 1 Primer sequences
种属 检测指标 上游引物序列(5'-3') 下游引物序列(5'-3')
小鼠 TLR3 TCCTTCTCCTATCTCCCAA GTAAATGCTCGCTTCAAACT
小鼠 TNF-α CTCTTCTCATTCCTGCTTGT GTGGTTTGTGAGTGTGAGG
小鼠 IL-1β ATTGTGGCTGTGGAGAAG AAGATGAAGGAAAAGAAGGTG
小鼠 IL-6 ATTTCCTCTGGTCTTCTGG CTGGCTTTGTCTTTCTTGTT
小鼠 GAPDH AAGAAGGTGGTGAAGCAGG GAAGGTGGAAGAGTGGGAGT
TLR3 GCAACAACAACATAGCCAACAT GGAGGTGAGACAGACCCTTTAG
TNF-α CGAAGTGGTGGTCTTGTTGCT CCCGACTATCTCGACTTTGCC
IL-1β GTGGTGGTCGGAGATTCGTAG GAAATGATGGCTTATTACAGTGGC
IL-6 GCTCTGGCTTGTTCCTCACTA AATCATCACTGGTCTTTTGGAG
GAPDH GGACCTGACCTGCCGTCTAG GTAGCCCAGGATGCCCTTGA
1.9 小鼠肺组织和A549细胞的Western-blotting

小鼠肺组织或A549细胞加入适量ripa(sigma,美国)裂解后,12 000 r/min、4 ℃离心10 min,取上清液,用BCA法测定蛋白浓度,加入1/4(v/v)的loading Buffer,100 ℃ 5 min变性蛋白。每条泳道中加入30 μg总蛋白的蛋白样品,进行SDS-PAGE电泳。电泳完成后,在200 mA,120 min条件下转膜至PVDF微孔膜(Millipore,美国),用5%脱脂奶粉或3% BSA的TBST封闭液常温封闭1 h,然后加入相应的一抗封闭液稀释的抗体(TLR3,ab62566,英国;NF-κBp65,CST8242,美国;Phospho-NF-κBp65,CST 3033,美国;GAPDH,杭州贤至生物AB-P-R001,中国),4 ℃过夜孵育,用TBST洗涤膜15 min×3次。二抗HRP Goat Anti-Rabbit IgG(Jacksonimmuno,美国)用封闭液稀释抗体,常温振荡孵育1 h,用TBST洗涤膜15 min×3次。将发光液A、B混合液均匀滴到膜上,置于Bio-rad凝胶成像系统成像,Western-blotting结果经Image J软件进行灰度扫描分析。

1.10 统计学方法

所有数据收集整理后以均数±标准差(x±s)表示,SPSS 17.0软件进行统计分析。两组间比较选择成组t检验,多组计量资料比较选择one-way ANOVA(单因素方差分析)检验(q检验),以P < 0.05为差异具有统计学意义。

2 结果 2.1 动物的一般情况

PQ组小鼠在给药24 h后出现毛发松散、呼吸急促,活动减少等症状;给药后72 h出现进食减少,体质量明显下降(图 1),毛色不光泽,呼吸费力,活动明显减少等症状。NS组一般状况良好,未出现上述症状。

D0,D1,D2,D3为PQ暴露天数(d),(aP < 0.01) 图 1 小鼠体质量变化 Figure 1 Body weight change in mice
2.2 BALF中细胞计数及分类

光镜下观察BALF涂片,行细胞总数及分类计数。发现与NS组比较,PQ组BALF细胞总数明显升高[NS:(0.018 8±0.102 1)×105 vs. PQ:(0.237 4±0.121 7)×105, t=9.804, P < 0.01],伴有巨噬细胞[NS:(0.162 8±0.086 53)×105 vs. PQ:(1.063 3±0.343 3)×105, t=8.043, P < 0.01],淋巴细胞[NS:(0.006 6±0.005 2)×105 vs. PQ:(0.171 2±0.099 1)×105, t=5.243, P < 0.01]和中性粒细胞[NS:(0.000 04±0.000 1)×105 vs. PQ:(0.901 9±0.652 5)×105, t=4.370, P < 0.01]明显升高(图 2)。

与NS组比较,aP < 0.01 图 2 BALF中细胞计数及分类 Figure 2 Cell counting and cytospin in BALF
2.3 肺组织病理学观察

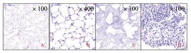
NS组小鼠肺组织标本外观呈粉红色,弹性好;病理切片(图 3A-B)见肺组织结构清晰,间质血管无扩张,无出血点,无炎性浸润,肺泡腔洁净,肺泡壁薄,支气管黏膜上皮完整。PQ组小鼠肺组织标本肿胀变大,局部充血;病理切片(图 3C-D)肺间质及肺泡腔内炎性细胞浸润,伴弥漫性肺出血、肺泡塌陷,肺间质水肿和广泛的肺泡间隔增厚。

A:NS组(放大100倍);B:NS组(放大400倍);C:PQ组(放大100倍);D:PQ组(放大100倍) 图 3 小鼠肺组织病理切片HE染色 Figure 3 Pathological section of lung tissue with HE stain in mice
2.4 BALF的ELISA结果

经ELISA试剂盒检测,与对NS组比较,PQ组支气管肺泡灌洗液的TNF-α、IL-1β、IL-6表达明显上升[TNF-α: NS:(2.782 1±3.521 5)vs. PQ:(7.512 6±3.459 8)pg/mL, t=3.030, P < 0.05;IL-1β: NS:(22.687 5±14.229 3)vs. PQ:(163.1004±81.118 3)pg/mL, t=5.391, P < 0.01;IL-6: NS:(1.653 3±0.442 7)vs. PQ:(648.5656±422.606 1)pg/mL, t=4.841, P < 0.01](图 4)。

与NS比较,aP < 0.05, bP < 0.01 图 4 ELISA法检测BALF中TNF-α、IL-1β、IL-6含量变化 Figure 4 Change of TNF-α, IL-1β, IL-6 level in BALF by ELISA assay
2.5 PQ对A549细胞存活率的影响

通过CCK8实验评价PQ对A549细胞损伤。不同剂量PQ对A549细胞存活率影响差异有统计学意义(F=18.07,P < 0.01)。以0 μmol/L作为对照组,进行两两比较,结果示:A549细胞在25~100 μmol/L不同浓度PQ暴露24 h,细胞存活率无明显下降;在200 μmol/L PQ情况下,细胞存活率下降约25.3%,与对照组比较差异有统计学意义(q'=4.751,P < 0.05),在400 μmol/L PQ,细胞存活率下降约36.4%,与对照组比较差异有统计学意义(q'=6.829,P < 0.01)(图 5)。

与0 μmol/L比较,aP < 0.05, bP < 0.01 图 5 CCK8检测不同浓度PQ对A549细胞存活率的影响 Figure 5 The cell viability mediated by PQ in A549 cells by CCK8
2.6 PQ对炎性因子mRNA水平的影响

小鼠肺组织中,PQ组与NS组比较,TNF-α、IL-1β、IL-6、TLR3在mRNA水平表达均上升,差异均具有统计学意义(aP < 0.05,bP < 0.01)。A549细胞暴露在400 μmol/L PQ 1h,TNF-α、IL-1β、IL-6、TLR3在mRNA水平表达均上升,差异有统计学意义(aP < 0.05)(图 6)。

A:小鼠肺组织炎性因子mRNA相对表达量;B:A549细胞在PQ 400 μmol/L暴露1 h炎性因子mRNA相对表达量,与对照组比较, aP < 0.05,bP < 0.01 图 6 TNF-α、IL-1β、IL-6、TLR3在基因水平表达变化 Figure 6 mRNA expression of TNF-α, IL-1β, IL-6 and TLR3
2.7 PQ对炎性因子蛋白水平的影响

图 7A所示,PQ组肺组织的TLR3蛋白和Phospho-NF-κBp65蛋白水平表达均明显高于NS组,差异有统计学意义(P < 0.05)。如图 7C所示,A549细胞与不同浓度的PQ(0,25,50,100,200,400 μmol/L)孵育24 h,TLR3蛋白和Phospho-NF-κBp65蛋白的表达量增加,400 μmol/L达到高峰。如图 7E所示,A549细胞的TLR3蛋白和Phospho-NF-κBp65蛋白随时间表达量而改变,1 h达到高峰。差异有统计学意义(P < 0.05或P < 0.01)。

A-B:小鼠肺组织的Western-blotting结果及统计图;C-F:A549细胞Western-blotting结果及统计图;与对照组比较,aP < 0.05,bP < 0.01 图 7 PQ暴露对TLR3、Phospho-NF-κBp65蛋白表达的影响 Figure 7 TLR3 and Phospho-NF-κBp65 protein expression mediated by PQ
3 讨论

PQ是全世界使用最广泛的除草剂之一,但是PQ中毒的发病机制不明,且缺乏有效的解毒剂,近几年来PQ中毒事件逐年上升,而病死率却居高不下,已为世界性难题[1-2]。由于肺泡上皮细胞可主动将PQ转运到细胞内,使肺组织中PQ浓度提高10~90倍[11]。因此,急性肺损伤和快速纤维化是PQ中毒死亡的最主要原因之一[3]。目前认为PQ中毒损伤主要涉及氧自由基损伤、线粒体损伤、免疫激活及炎性介质作用等[4]

有研究表明[12],PQ可以诱导A549细胞炎症的发生,主要表现TNF-α、IL-1β和IL-6表达增高。Yang等[13]证实,PQ暴露可导致小鼠血清的炎性因子如TNF-α,IL-1β和IL-6和肺组织内NF-κBp65表达增高。本研究通过PQ暴露构建小鼠急性肺损伤模型,证实了小鼠肺组织病理切片有炎性细胞浸润,BALF中细胞总数明显升高,伴有中性粒细胞比例升高,炎性因子(TNF-α、IL-1β、IL-6)表达也相应增高。Shen等[14]发现产生炎性因子的上游髓样分化蛋白(Myeloid differentiation primary response factor 88,MyD88)被敲除后,PQ致急性肺损伤被明显逆转。有文献研究表明在Toll样受体家族中TLR4、TLR9通过NF-κB和MyD88途径调节PQ致急性肺损伤过程[15-16]。本课题组应用Western-blotting技术发现,动物模型和细胞模型中NF-κBp65均被激活发生磷酸化改变,导致Phospho-NF-κBp65蛋白水平表达升高,从而诱导炎性因子释放。

TLRs家族是一类重要的模式识别受体,通过识别保守的病原相关分子模式启动先天性免疫应答。TLR3作为TLRs家族中的一个重要成员,主要表达于树突状细胞、巨噬细胞和自然杀伤细胞中介导固有免疫应答[17]。既往认为TLR3通过识别病毒双链RNA,从而起到防御病毒感染的作用。但近期研究发现,TLR3在组织重塑、缺血-再灌注损伤、脓毒性休克等方面同样发挥着重要的作用。Royer等[18]实验证明TLR3可以促进MMP-9表达增高从而引起人类呼吸道上皮结构重塑。Zhang等[19]在肺缺血-再灌注损伤小鼠模型中发现,活化的TLR3可通过TRIF途径诱导的NF-κB的磷酸化导致调节促炎细胞因子(TNF-α、IL-1β、IL-6)的表达以及细胞的增殖和凋亡,从而介导肺缺血-再灌注的炎性损伤。Doughty等[20]实验证实,TLR3配体(聚胞苷酸PIC)在早期的炎症反应中释放炎症介质,引起瀑布样级联反应,从而导致脓毒性休克的发生。Gao等[21]发现TLR3基因敲除的小鼠能明显耐受细菌性脓毒血症。既往发现[15-16]TLR4、TLR9和下游NF-κB参与PQ致急性肺损伤过程。本研究通过动物模型和细胞模型发现Phospho-NF-κBp65蛋白水平表达升高的同时上游TLR3在mRNA水平和蛋白水平表达也相应的升高。

综上所述,TLR3/NF-κB信号通路可能参与了PQ致急性肺损伤的发生发展的过程,这为深入研究其发病机制及临床治疗初步奠定了基础。

参考文献
[1] Gil HW, Hong JR, Jang SH, et al. Diagnostic and therapeutic approach for acute paraquat intoxication[J]. J Kor Med Sci, 2014, 29(11): 1441-1449. DOI:10.3346/jkms.2014.29.11.1441
[2] 乔莉, 张劲松. 我国急性中毒临床救治的现状与思考[J]. 中华急诊医学杂志, 2015, 24(11): 1193-1196. DOI:10.3760/cma.j.issn.1671-0282.2015.11.001
[3] Dinis-Oliveira RJ, Duarte JA, Sanchez-Navarro A, et al. Paraquat poisonings: mechanisms of lung toxicity, clinical features, and treatment[J]. Crit Rev Toxicol, 2008, 38(1): 13-71. DOI:10.1080/10408440701669959
[4] Gawarammana IB, Buckley NA. Medical management of paraquat ingestion[J]. Br J Clin Pharmacol, 2011, 72(5): 745-757. DOI:10.1111/j.1365-2125.2011.04026.x
[5] Li SP, Han JY, Sun P, et al. Effect of SP-A/B in lipoic acid on acute paraquat poisoning[J]. World J Emerg Med, 2014, 5(1): 57-62. DOI:10.5847/wjem.j.1920-8642.2014.01.010
[6] 曹岩, 杨祥明, 信诗宇, 等. 大剂量百草枯致肺泡上皮A549细胞凋亡的研究[J]. 中华急诊医学杂志, 2017, 25(12): 1422-1426. DOI:10.3769/cma.j.issn.1671-0282.2017.12.018
[7] Mielcarska MB, Bossowska-Nowicka M, Toka FN. Functional failure of TLR3 and its signaling components contribute to herpes simplex encephalitis[J]. J Neuroimmunol, 2018, 316: 65-73. DOI:10.1016/j.jneuroim.2017.12.011
[8] Cassano JM, Schnabel LV, Goodale MB, et al. The immunomodulatory function of equine MSCs is enhanced by priming through an inflammatory microenvironment or TLR3 ligand[J]. Vet Immunol Immunopathol, 2018, 195: 33-39. DOI:10.1016/j.vetimm.2017.10.003
[9] 罗苑苑, 林新峰. TLR3对脓毒症小鼠心肌细胞炎症和凋亡的影响[J]. 检验医学与临床, 2015(2): 13-15.
[10] 孙昊, 张劲松, 康健, 等. 不同时段剂量腹腔注射百草枯致小鼠肺损伤及肺纤维化效果评价[J]. 中华急诊医学杂志, 2016, 25(11): 1386-1392. DOI:10.3760/cma.j.issn.1671-0282.2016.11.007
[11] Xu JJ, Zhen JT, Tang L, et al. Intravenous injection of Xuebijing attenuates acute kidney injury in rats with paraquat intoxication[J]. World J Emerg Med, 2017, 8(1): 61-64. DOI:10.5847/wjem.j.1920-8642.2017.01.011
[12] Cai Q, L u, Hong G, et al. Recombinant adenovirus Ad-RUNrf2 reduces paraquat-induced A549 injury[J]. Hum Exp Toxicol, 2012, 31(11): 1102-1112. DOI:10.1177/0960327112450902
[13] Yang C, Song HW, Liu W, et al. Protective effects of chymostatin on paraquat-induced acute lung injury in mice[J]. Inflammation, 2018, 41(1): 122-133. DOI:10.1007/s10753-017-0670-x
[14] Shen H, Wu N, Wang Y, et al. MyD88 gene knockout attenuates paraquat-induced acute lung injury[J]. Toxicol Lett, 2017, 269: 41-46. DOI:10.1016/j.toxlet.2017.01.015
[15] Shen H, Wu N, Wang Y, et al. Toll-like receptor 9 mediates paraquat-induced acute lung injury: an in vitro and in vivo study[J]. Life Sci, 2017, 178: 109-118. DOI:10.1016/j.lfs.2017.03.021
[16] 陆如凤, 黄小民, 吴海波, 等. 急性百草枯中毒大鼠肺组织Toll样受体4和核因子-κB表达的变化[J]. 中华急诊医学杂志, 2014, 23(12): 1344-1347. DOI:10.3760//cma.j.issn.1671-0282.2014.12.010
[17] Matsumoto M, Takeda Y, Tatematsu M, et al. Toll-like receptor 3 signal in dendritic cells benefits cancer immunotherapy[J]. Front Immunol, 2017, 8: 1897. DOI:10.3389/fimmu.2017.01897
[18] Royer PJ, Henrio K, Pain M, et al. TLR3 promotes MMP-9 production in primary human airway epithelial cells through Wnt/beta-catenin signaling[J]. Respir Res, 2017, 18(1): 208. DOI:10.1186/s12931-017-0690-y
[19] Zhang XY, Chen C, Zhang YB, et al. Role of Toll-Like Receptor 3 in Lung Ischemia-Reperfusion Injury[J]. Shock, 2016, 46(4): 405-411. DOI:10.1097/SHK.0000000000000600
[20] Doughty LA, Carlton S, Galen B, et al. Activation of common antiviral pathways can potentiate inflammatory responses to septic shock[J]. Shock, 2006, 26(2): 187-194. DOI:10.1097/01.shk.0000223129.79759.74
[21] Gao M, Ha T, Zhang X, et al. Toll-like receptor 3 plays a central role in cardiac dysfunction during polymicrobial sepsis[J]. Crit Care Med, 2012, 40(8): 2390-2399. DOI:10.1097/CCM.0b013e3182535aeb