中华急诊医学杂志  2017, Vol. 26 Issue (11): 1279-1283
乌司他丁对猪心肺复苏后脑组织保护的研究
陈凤英, 廉明     
010050 呼和浩特,内蒙古医科大学附属医院急诊科
摘要: 目的 通过程控刺激心脏骤停法制备猪室颤的心肺复苏(CPR)模型,研究乌司他丁(UTI)对猪CPR后脑组织的病理形态变化及对恢复自主循环(ROSC)后不同时间段血清脑损伤各指标表达的影响。方法 本研究在内蒙古医科大学实验室进行,分次购16头3~4月龄健康雄性北京长白猪室温环境下饲养,随机数字法分为对照组和乌司他丁(UTI)组,诱发室颤后进行除颤和呼吸支持, 存活12头,每组6头。对照组进行CPR即刻缓慢静推5 mL生理盐水;UTI组CPR即刻缓慢静推UTI 100 kU(溶于生理盐水5 mL),每3 h静推1次,直至复苏后12 h(第12小时不给药)。在0、2、4、6、12 h各时间点采血,用ELISA法检测血清中各指标的变化,采用t检验进行统计学分析,并在光镜下观察脑组织的HE染色病理形态学改变。结果 (1) 室颤前两组猪脑血清各指标水平比较差异无统计学意义(P>0.05)。室颤后,两组IL-6、S100B蛋白、Ngb水平随时间延长逐渐升高,对照组明显高于UTI组,差异有统计学意义(P<0.05);血清SOD在两组中均逐渐降低,但UTI组血清SOD降低明显,差异有统计学意义(P<0.05)。(2) HE染色结果示对照组猪脑组织有明显的缺血、变性及坏死表现;UTI组缺血-再灌注损伤(I/R)程度减轻。结论 CPR同时给予UTI可减轻猪脑缺血缺氧造成的损伤,减轻缺血-再灌注(I/R)造成的脑组织损伤程度, 对猪脑I/R造成的损伤有保护作用。
关键词: 乌司他丁     心肺复苏     缺血-再灌注损伤     脑红蛋白     血清白介素-6     S100B蛋白     超氧化物歧化酶    
The protective effects of ulinastatin on brain tissue after CPR in swine
Chen Fengying , Lian Ming     
Emergency Department, the Affiliated Hospital of Inner Mongolia Medical University, Huhhot 010050, China
Abstract: Objective To study the protective effects of ulinastatin on brain tissue from pathomorphism and the changes of serum IL-6, Ngb (neuroglobin of brain), S100B protein and superoxide dismutase(SOD) after cardiopulmonary resuscitation (CPR) in swine. Methods The CPR model of swine was made by a programmed electric stimulation given to myocardium to produce a ventricular fibrillation and then a CPR was given. A flock of 16 male healthy Beijing landraces pigs of 3-4 months old were divided in random number method into control group (n=6) and ulinastatin group (n=6), because there were 12 swine survived from ventricular fibrillation. The t-test was used for the statistical analysis. ELISA was used to detect the changes in levels of those biomarkers in serum at each interval as well as the pathomorphological changes in brain tissues were observed under the light microscope after HE staining. Results (1) Before ventricular fibrillation, there were no distinct differences in levels of various biomarkers in porcine serum between two groups. After ventricular fibrillation, serum IL-6, S100B protein and Ngb levels in both groups gradually increased as time elapsed, and the levels of those biomarkers in the control were significantly higher than those in the ulinastatin group (P < 0.05). Serum SOD in both groups gradually reduced, and more distinct decline of biomarkers was found in the ulinastatin group (P < 0.05). (2) HE staining showed the porcine brain tissues in control group had significant ischemia, degeneration and necrosis and the degree of those pathological changes in the ulinastatin group were significantly moderated. Conclusion The immediate administration of ulinastatin as CPR initiated can alleviate porcine brain tissue damage after ischemia/reperfusion (I/R). This showed a protective effect of ulinastatin against I/R injury on porcine brain.
Key words: Ulinastatin; Cardiopulmonary resuscitation     Ischemic reperfusion injury     Neuroglobin     Interleukin-6     S100B protein     Superoxide dismutase    

心肺复苏(cardiopulmonary resuscitation, CPR)是对心搏骤停患者的一系列抢救措施。尽管CPR技术日趋成熟和普及[1],但心搏骤停患者ROSC后能否存活, 缺血缺氧对脑损伤以及CPR后的脑缺血-再灌注损伤仍然是至关重要的。研究显示,CPR存活者中也有40%~50%伴有不同程度的神经功能障碍[2],脑复苏同样也是CPR成功的关键[3]

缺血-再灌注损伤(ischemia reperfusion injury, I/R)机制涉及复杂级联或链式效应,其中炎症反应、氧化应激等在I/R中占重要位置[4]。白介素-6(IL-6) 作为炎症因子的代表在血清内的表达与缺血缺氧性脑损伤密切相关,是I/R程度的重要指标[5]。S100B蛋白浓度在有确切的脑损伤患者血清中表达显著高于正常人,可作为评价心肺复苏后早期脑组织损伤程度的指标[6]。当脑组织在急性缺血缺氧状态下,因脑血红蛋白(Ngb)能可逆的结合氧,对维持脑组织中神经细胞正常功能起重要作用[7-10]。超氧化物歧化酶(SOD)是生物体内重要的抗氧化酶,是清除自由基的首要物质,对抗与阻断因氧自由基对细胞造成的损害,并及时修复受损细胞。可作为评价脑损伤程度的关键指标[11]。乌司他丁(ulinastatin, UTI)是人工提取的蛋白酶抑制剂,对胰蛋白酶等多种酶有抑制作用,具有稳定溶酶体膜,抑制溶酶体酶的释放,抑制心肌抑制因子产生,清除氧自由基及抑制炎症介质释放的作用,能降低组织损伤[12-14], 对主要脏器和系统发挥保护效用[15-16]。本研究旨在观察乌司他丁对脑组织缺血缺氧造成的损伤和再灌注损伤的影响,观察CPR即刻给予乌司他丁是否对脑组织具有保护作用。

1 材料与方法 1.1 实验动物

健康雄性北京长白猪16头,3~4月龄,体质量(30±2) kg,室温环境下饲养。于内蒙古医科大学实验室进行实验。

1.2 方法 1.2.1 分组

16头造模后存活12头,随机数字法分为对照组、UTI组各6头;A为对照组,开始进行CPR同时缓慢静推5 mL生理盐水;B为UTI组,开始进行CPR同时缓慢静推UTI 100 kU(溶于生理盐水5 mL)。每3 h注射1次,直至复苏后12 h(第12 h不给药)。

1.2.2 模型建立按照参考文献[16]。

实验猪术前12 h禁食、2 h禁水。束缚四肢后经耳缘静脉予戊巴比妥钠30 mg/kg全身麻醉,后以8 mg/(kg·h)维持麻醉。全麻后气管插管,接呼吸机辅助通气,监测肢导心电图。暴露右颈内静脉或右股静脉留置6F鞘管,放置刺激电极(四级电极)至右心室。经右侧股动脉监测动脉压(图 1A)。

A:实验猪制颤前准备;B:实验猪电除颤 图 1 实验动物模型制备和电除颤 Figure 1 Preparation of experimental swine to induce ventricular fibrillation and to treat with electric defibrillation
1.2.3 模型制备和CPR

应用S1S2程控刺激法诱发猪室颤以制作心脏骤停模型:经右颈内静脉置管并插入电极导管,连接程控刺激仪,予S1S1(350 ms/40 V)固频脉冲刺激,每次刺激 < 5 s,当心电监测出现宽大畸形QRS波,说明电极在右心室。给予S1S2(300/200 ms/40 V)比例8:1步长-10 ms程控刺激,每次刺激 < 5 s,直至诱发室颤。结果16头猪应用S1S2程控刺激致颤成功,致颤间期范围在110~180 ms,(158±21) ms。4头猪在应用S1S1(350 ms)固频刺激判断电极位置时就诱发室颤,室颤4 min后复苏未成功,12头猪室颤4 min内除颤均成功。该方法成功率高,操作简单,对心脏刺激较小,是心脏骤停动物模型的常用方法。

CPR:持续室颤4 min,双向波100~150 J除颤至复律,A电极板位于猪心尖部,S电极板位于心底部(间隔距离大于5 cm)(图 1B),以30:2按压/通气比例进行CPR,同时给药。2 min评估一次是否复苏成功,若未成功,重复上述操作,30 min仍未成功,视为实验动物死亡。

1.2.4 采血时间

室颤前(T0)、再灌注2 h(T1)、4 h(T2)、6 h(T3)、12 h(T4)。

1.2.5 切片制作

动物处死前再次麻醉,快速取材、固定24 h,脱水、透明,包埋切片,脱蜡,HE染色。随机挑选切片显微镜下观察缺血区病理形态学改变。

1.3 统计学方法

本实验数据处理采用SPSS 17.0统计软件,分析检验变量是否为正态分布。计量资料以均数±标准差(x±s)表示,组间均数比较采用成组t检验,连续性资料的比较采用重复测量资料的方差分析,以P<0.05为差异有统计学意义。

2 结果 2.1 室颤心电图

两组实验猪诱颤成功时心室波均呈连续大幅度波形,大小不等,形态不同(图 2)、两组实验猪CPR成功后心电图均恢复自主心律(图 3)。

图 2 室颤心电图 Figure 2 Electrocardiogram of ventricular fibrillation

图 3 除颤后心电图 Figure 3 Electrocardiogram after ventricular defibrillation
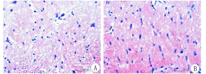
2.2 两组实验猪脑组织病理形态学改变

40×10倍光镜下,对照组脑组织重度缺血改变,细胞数目减少,层次杂乱,细胞染色不均,胞体呈多边形,且变性、坏死、水肿数目多。胞核固缩,核仁不清,细胞间隙增宽(图 4A);UTI组猪脑组织呈轻度缺血改变,细胞数目正常,排列较整齐,胞浆丰富且呈均一蓝染,胞核大,核仁较清晰(图 4B),因细胞数目、染色、水肿变性细胞数、胞核染色等均为评价细胞缺血的指标,且HE染色观察是从形态方面来反映细胞缺血情况, 因此本研究结果显示UTI组缺血较对照组轻。从而评估了UTI对脑组织细胞损伤的减弱作用。

图 4 对照组12 h(A)和UTI组12 h(B)猪脑组织病理形态学改变(HE×400) Figure 4 The histopathological changes of swine brain tissues in control group and UTI group at 12 h after CPR(HE×400)
2.3 两组各时间点血清IL-6水平改变

室颤前,两组猪血清IL-6水平差异无统计学意义(P>0.05)。室颤后两组该指标水平在复苏后2 h开始升高,而后随时间的延长逐渐升高。在2~12 h,对照组血清IL-6水平明显高于UTI组,差异有统计学意义(P<0.05)。见表 1

表 1 两组血清IL-6水平比较(ng/L,x±s) Table 1 Comparison of serum IL-6 level between two groups(ng/L, x±s)
时间对照组(n=5)UTI组(n=6)
T0(0 h)19.84±1.0419.92±3.84a
T1(2 h)27.78±0.6225.62±0.69b
T2(4 h)44.98±7.1029.22±2.32b
T3(6 h)46.58±3.2034.14±3.13b
T4(12 h)54.20±3.5840.23±3.08b
  注:IL-6为白介素-6;UTI为乌司他丁;与对照组比较,aP>0.05,bP<0.05
2.4 两组复苏后各时间点血清S100B蛋白水平改变

室颤前,两组猪血清S100B蛋白水平差异无统计学意义(P>0.05)。室颤后,两组S100B蛋白水平在复苏后2 h开始升高,在2~6 h,两组S100B蛋白水平随时间延长逐渐升高,但对照组该指标明显高于UTI组,差异有统计学意义(P<0.05);在12 h时该指标仍继续升高,但两组差异无统计学意义(P>0.05),见表 2

表 2 两组血清S100B蛋白水平比较(pg/mL,x±s) Table 2 Comparison of serum S100B level between two groups(pg/mL, x±s)
时间对照组(n=5)UTI组(n=6)
T0(0 h)13.73±0.8313.65±0.52a
T1(2 h)15.10±0.4713.86±0.40b
T2(4 h)15.80±1.0214.46±0.42b
T3(6 h)19.10±2.6716.46±0.87b
T4(12 h)20.70±2.0819.72±1.86a
  注:UTI为乌司他丁;与对照组比较,aP>0.05,bP<0.05
2.5 两组复苏后各时间点血清SOD活性水平变化

室颤前,两组SOD活性差异无统计学意义(P>0.05)。室颤后,两组在2 h时该指标无明显改变,两组比较,差异无统计学意义(P>0.05);4~12 h两组中SOD活性均随时间的延长降低,但UTI组SOD活性明显高于对照组,差异有统计学意义(P<0.05),见表 3

表 3 两组血清SOD活性比较(U/mL,x±s) Table 3 Comparison of serum SOD level between two groups(U/mL, x±s)
时间对照组(n=5)UTI组(n=6)
T0(0 h)67.36±10.1869.41±7.13a
T1(2 h)61.97±4.9567.99±6.36a
T2(4 h)51.45±2.9261.13±4.95 b
T3(6 h)43.06±4.1051.65±2.58b
T4(12 h)22.44±4.1935.70±2.90b
  注:SOD为超氧化物歧化酶;UTI为乌司他丁;与对照组比较,aP>0.05,bP<0.05
2.6 两组复苏后各时间点血清Ngb浓度改变

室颤前,两组猪血清Ngb浓度差异无统计学意义(P>0.05)。室颤后,两组在复苏后在2~12 h时其血清Ngb浓度随时间的延长均逐渐升高,且对照组血清Ngb浓度明显高于UTI组,差异有统计学意义(P<0.01),见表 4

表 4 两组血清Ngb浓度比较(U/mL,x±s) Table 4 Comparison of serum Ngb level between two groups(U/mL, x±s)
时间对照组(n=5)UTI组(n=6)
T0(0 h)4.061±0.534.177±0.38a
T1(2 h)5.103±0.344.459±0.47b
T2(4 h)7.340±0.485.819±0.42b
T3(6 h)10.11±1.336.76 ±0.79b
T4(12 h)12.70±1.129.503±0.68b
  注:Ngb为脑红蛋白;UTI为乌司他丁;与对照组比较,aP>0.05,bP<0.05
3 讨论

Ngb对组织的氧代谢、传递及利用起重要作用,当机体发生缺血缺氧性损伤时,细胞的携氧能力降低,Ngb反应性增高,可缓解组织缺氧情况,其高表达可部分拮抗I/R损伤所产生的应激反应,以及反应后继发的神经元创伤,减少对机体的冲击。本实验中ROSC后2~12 h,两组血清Ngb水平均明显升高,也体现了I/R早期脑组织缺氧损伤的程度,而UTI的用药明显降低了Ngb的高表达,说明复苏时应用UTI对组织器官的携氧、储氧功能具有极大的保护作用。

缺血缺氧性损伤后机体的应激反应、炎症反应系统在ROSC早期启动,随着致炎因子增多,损伤逐渐扩大,IL-6刺激机体发生炎症反应同时引起血管活性物质产生,并通过链式扩大效应造成广泛组织损伤。本实验中ROSC后2~12 h,两组血清IL-6水平均明显升高,说明脑组织I/R损伤重,而UTI组在用药后各时间点表达均低于对照组,说明复苏时应用UTI在抑制血管活性物质生成、清除氧自由基及阻碍炎症反应发生等方面也起到重要作用。

S100B蛋白对血脑屏障有保护作用,严重缺血缺氧损伤会破坏血脑屏障,S100B蛋白仅在此时才能通过血脑屏障进入血液。本实验结果显示,ROSC后2~6 h,两组血清S100B蛋白水平均明显升高,说明I/R损伤极严重,而UTI组在复苏2~6 h表达均明显低于对照组,充分说明UTI复苏早期给药对血脑屏障系统具有保护作用。

SOD具有对抗组织内氧化应激反应能力。当机体发生I/R损伤时,脑组织内皮细胞损伤,大量氧自由基产生,进而形成链式扩大效应。本实验中,在ROSC后4~12 h,两组血清SOD表达均显著下降,而UTI组在各时点的表达均明显高于对照组,表明复苏时应用UTI可以提高组织抗氧化应激等能力。

光镜下,ROSC后对照组猪脑组织出现缺血改变。室颤后脑组织出现持续缺血缺氧,在约4 min后脑内储存的能量即消耗殆尽,此时细胞外Na+内流,触发Na+-Ca2+交换体,增加Ca2+内流,细胞内钙超载又激活蛋白酶,直接破坏生物膜的完整性,进一步扩大炎症、氧化应激反应[17]。UTI组药物干预后较对照组猪脑组织病理损伤有明显减轻。

本实验除颤能量选择为双向波100~150 J,系通过预实验期间进行双向波70-100-150 J依次递增试验得出结论,直接选择双向波100-150 J可迅速除颤成功。

综上所述,本研究显示心肺复苏时早期应用UTI能够减轻复苏后实验猪脑组织缺血缺氧造成的损伤,减轻脑缺血-再灌注I/R造成的早期损伤,降低Ngb、IL-6、S100B蛋白的高表达,提高SOD的表达。复苏时早期应用UTI可能与减少ROSC后早期能量消耗、减轻炎症反应和钙超载、减少氧自由基释放等级联效应有关。

参考文献
[1] Wang S, Wu JY, Li CS. Load-distributing band improves ventilation and hemodynamics during resuscitation in a porcine model of prolonged cardiac arrest[J]. Scand J Trauma Resusc Emerg Med, 2012, 20: 59. DOI:10.1186/1757-7241-20-59
[2] 夏傲, 刘向荣, 罗玉敏, 等. 低温对脑缺血后血-脑屏障完整性保护机制的研究进展[J]. 中国脑血管病杂志, 2012, 9(8): 445-446. DOI:10.3969/j.issn.1672-5921.2012.08.012
[3] 杨晴, 李新宇, 马传根. 乌司他丁对大鼠心肺复苏后早期脑能量代谢的影响[J]. 山东医药, 2013, 53(46): 29-31. DOI:10.3969/j.issn.1002-266X.2013.46.010
[4] 胡春林, 夏金明, 魏红艳, 等. 乌司他丁对心肺复苏后兔脑损伤和心功能的影响[J]. 中华急诊医学杂志, 2012, 21(1): 12-17. DOI:10.3760/cma.j.issn.1671-0282.2012.01.003
[5] 陆亿, 温汉春. 心肺脑复苏过程中皮质醇水平改变的研究进展[J]. 内科, 2010, 5(2): 50-52.
[6] Sun Y, Jin K, Mao XO, et al. Neuroglobin is up-regulated by and protects neurons from hypoxic-ischemic injury[J]. Proc Natl Acad Sci U S A, 2002, 98(26): 15306-153011. DOI:10.1007/978-0-387-75434-5_13
[7] Herold S, Fago A, Weber RE, et al. Reactivity studies of the Fe(Ⅲ) and Fe(Ⅱ) NO forms of human neuroglobin reveal a potential role against oxidative stress[J]. Biol Chem, 2004, 279(22): 22841-22847. DOI:10.1016/S0162-0134(03)80666-9
[8] 阳生光, 张欣洲, 林少珍, 等. 心肺脑复苏患者血液中脑红蛋白N端脑钠肽前体的表达意义[J]. 临床医学工程, 2015, 22(9): 1155-1157. DOI:10.3969/j.issn.1674-4659.2015-09.1155
[9] 杨晴, 李新宇, 王晓燕, 等. 乌司他丁对大鼠心肺复苏后早期血清S100B蛋白和NSE的影响[J]. 中国急救医学, 2011, 31(12): 1092-1095. DOI:10.3969/j.issn.1002-1949.2011.12.011
[10] Hu CL, Xia JM, Cai J, et al. Ulinastatin attenuates oxidation, inflammation and neural apo-ptosis in the cerebral cortex of adult rats with ventricular fibrillation after cardiopulmonary resuscitation[J]. Clinics(Sao Paulo), 2013, 68(9): 1231-1238. DOI:10.3892/mmr.2014.2323
[11] Zhang Y, Zhang F, Meng C, et al. Inhibition of sevoflurane postconditioning against cerebral ischemia reperfusion-induced oxidative injury in rats[J]. Molecules, 2011, 17(1): 341-354. DOI:10.3390/molecules17010341
[12] 陈鑫, 聂时南. 亚低温治疗对心肺复苏后心功能不全的影响研究[J]. 临床急诊杂志, 2014, 15(12): 768-772.
[13] Ohnisihi H, Suzuki K, Niho T, et al. Protective effects of urinary trypsis inhibitor inexperimental shock[J]. Jpn J Pharmacol, 1985, 39(2): 137-144. DOI:10.1254/jjp.39.137
[14] 温汉春, 朱继金. 心肺复苏过程中的脑保护策略研究进展[J]. 广西医学, 2012, 34(6): 771-772. DOI:10.3969/j.issn.0253-4304.2012.06.041
[15] 孙丽, 郭瑜, 朱利娟. 心肺复苏后脑缺血再灌注损伤治疗理念及相关动物模型研究进展[J]. 现代生物医学进展, 2014, 14(32): 6379-6381. DOI:10.1324/j.cnki.pmb.2014.32.044
[16] 武军元, 李春盛. 应用程控刺激的心脏骤停模型[J]. 中华急诊医学杂志, 2008, 17(10): 1063-1065. DOI:10.3760/j.issn.1671-0282.2008.10.014
[17] 张明月, 季宪飞, 李春盛. 心肺复苏后猪各主要脏器组织和超微结构的变化及对血流动力学的影响[J]. 中华急诊医学杂志, 2010, 19(10): 1019-1026. DOI:10.3760/cma.j.issn.1671-0282.2010.10.003