大动脉炎(takayasu arteritis,TA)是一种累及主动脉及其主要分支的慢性非特异性炎症,病变多见于主动脉弓及其分支,其次为降主动脉、腹主动脉和肾动脉[1]。大动脉炎的心脏损害可达8.6%,可累及瓣膜、心肌、冠状动脉,亦可出现继发于大动脉炎的高血压或肺动脉高压[2]。受累的瓣膜,以主动脉瓣关闭不全最为常见,国外发生率为7%~34%,我国为11.7%,且多继发升主动脉扩张或升主动脉瘤[3-4]。大动脉炎累及冠状动脉的发生率约为10%~30%,常累及冠状动脉开口或主干,较少累及中远端[5]。2013年浙江大学医学院附属第一医院心内科收治1例以胸痛为主要症状的多发性大动脉炎累及主动脉瓣和冠状动脉三支的患者,至2016年3年期间先后进行外科手术治疗和分次经皮冠脉介入治疗,共植入药物涂层支架2枚,术后经过精心的治疗和护理,患者顺利出院。随访至今未出现不适症状,现报道如下。
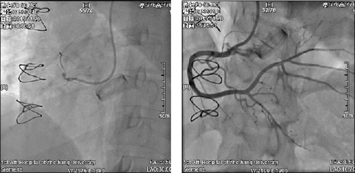
1 资料与方法患者,女,53岁,因反复胸闷、胸痛伴气短3年伴加重11 d,在当地医院治疗过程中突发晕厥,经抢救治疗3 d情况好转后转入我院。入院后完善相关检查,初步诊断:(1) 主动脉瓣关闭不全(中-重度);(2) 冠状动脉粥样硬化性心脏病,陈旧性下壁后壁心肌梗死、心功能Ⅳ级;(3)3级高血压(极高危组)。冠状动脉造影示:右冠开口处完全闭塞,可见来自左冠脉的侧枝循环。左主干正常;前降支中段30%狭窄;回旋支远段20%狭窄。升主动脉造影示:升主动脉明显扩张,主动脉瓣关闭不全。排除手术禁忌后,予2013年6月27日在全麻下行“主动脉瓣置换+右冠状动脉搭桥术(AVR+CABG术)”,手术过程顺利,术中见主动脉壁明显增厚,内膜、中层和外膜均受累,内膜增厚明显。术后予止血、抗感染、强心、利尿等治疗,查抗髓过氧化物酶抗体1.5 U/mL,抗蛋白酶3抗体1.9 U/mL,C反应蛋白(CRP)14.7 mg/L,红细胞沉降率(ESR)62 mm/h。结合患者反复左侧肢体乏力,曾伴双下肢多发痛性红斑,腹部增强CT示左侧髂总及髂内动脉血栓形成,与风湿科共同会诊,诊断为多发性大动脉炎;右冠脉闭塞;主动脉瓣关闭不全;升主动脉扩张,左侧髂总及髂内动脉血栓。治疗同时给予强的松20 mg/d,术后12 d康复出院,定期复查。2015年11月17日行冠脉CTA复查显示:冠脉搭桥术后,左主干、左前降支近端及左回旋支近端中度狭窄伴非钙化斑块形成;升主动脉瘤样扩张;未见明显桥血管。遂再次入院。入院后冠脉造影示:左主干重度狭窄;左前降支开口重度狭窄,中段可见心肌桥,收缩期轻中度狭窄;左回旋支开口及近段中重度狭窄;右冠开口闭塞;主动脉-桥血管吻合口未显影,考虑闭塞。患者拒绝再次CABG术,要求冠脉介入治疗。遂先行右冠状动脉开通(图 1),开口处植入药物涂层支架1枚,建议1个月后处理左冠状动脉,但患者未遵嘱入院再次治疗。2016年4月25日患者因“反复胸痛1月余”再次入院,入院后冠脉CTA示:右冠状动脉开口处支架植入术后改变;左主干、左前降支近端斑块形成伴重度狭窄,左回旋支近端闭塞。冠脉造影示:左主干重度狭窄;左前降支近段重度狭窄,左回旋支闭塞;右冠状动脉原支架内未见明显狭窄,可见左冠状动脉显影。建议外科二次CABG术,患者及家属要求行介入治疗,遂予左主干-左前降支药物涂层支架1枚植入并行血管内超声(IVUS)(图 2),术后3 d顺利出院。9个月后复查心脏超声示主动脉机械瓣未见明显瓣周漏,冠脉造影复查示:左前降支支架内未见明显狭窄,左回旋支闭塞,右冠支架内未见明显狭窄,右冠远端发出侧枝逆供左回旋支。患者定期门诊随访至今,病情稳定无不适症状。
|
| 图 1 患者右冠植入支架前后造影对比 |
|
|
|
| 图 2 患者左主干植入支架前后血管内超声对比 |
|
|
大动脉炎主要累及全身大型肌性血管[6],也可累及冠状动脉导致心绞痛、心肌梗死、心力衰竭甚至猝死,因此在炎症控制后尽早行血运重建治疗对挽救患者生命及改善愈后非常重要[7]。多数研究均认为冠状动脉搭桥术是治疗大动脉炎累及冠状动脉的有效方法,对于冠状动脉开口病变及多支病变的患者应首选外科治疗[8]。手术时机最好以大动脉炎非活动期为宜,可以减少血管再狭窄的风险。如果冠状动脉严重狭窄,患者反复发作严重的心绞痛,甚至血流动力学不稳定,在大动脉炎活动期也应考虑尽早手术,以免发生心脏意外事件。但是静脉桥血管的通畅时间有限,容易发生桥血管闭塞[9]。近年来,经皮冠状动脉内介入治疗成为解决多发性大动脉炎血管狭窄或闭塞的另一种有效方法,常用方法有球囊扩张成形术和支架植入术[10]。介入治疗创伤小,恢复快,而且药物涂层支架的出现使冠状动脉再狭窄风险降低,可能与支架涂层药物的局部抗炎作用以及降低炎症介导的内膜增生有关[11]。本例患者首次就诊时并未诊断大动脉炎,在外科手术中发现大动脉炎性改变,术后确诊为大动脉炎累及主动脉瓣及冠状动脉。主动脉瓣置换+右冠状动脉搭桥术后2年出现静脉桥血管闭塞,左主干、左前降支和左回旋支重度狭窄,分析原因可能与患者手术时正处于炎症活动期,以及患者出院后自行停用激素有关。桥血管再闭塞后选择介入治疗,分次处理右冠状动脉和左主干及前降支。出院后严格遵医嘱服药,随访至今一年余未出现支架内再狭窄。因此可见大动脉炎累及冠状动脉严重狭窄病变,规范使用激素加药物涂层支架植入不失为一种可行的治疗手段。
大动脉炎好发于年轻女性,但有研究发现大动脉炎存在15~29岁及50~74岁两个发病年龄高峰[12]。大动脉炎常使冠脉受累出现心绞痛、心肌梗死等症状,而且冠脉多支受累比例明显增加,在年龄大的患者中其特点与动脉粥样硬化性病变相似[13],容易误诊。本例患者53岁为冠心病高发年龄,以胸痛晕厥入院,因此首先考虑为冠心病心肌梗死。患者超声显示升主动脉扩张,主动脉瓣关闭不全,结合术中发现患者主动脉形态改变及辅助检查,后确诊为多发性大动脉炎。
多发性大动脉炎支架植入术效果并不理想,术后还容易出现感染、出血、穿孔等并发症[14],药物支架可能会提高疗效。本例患者主动脉瓣换瓣术后,二次支架植入术后,术后予氯吡格雷、阿司匹林抗血小板,华法林抗凝,伊诺肝素钠短期使用抗凝。监测INR维持在1.5~2,调整华法林剂量。同时监测CRP、ESR等与大动脉炎炎症活动密切相关的指标,动态观察动脉受累情况[15]。定期进行影像学检查及长期随访。本例患者随访至今,支架内未发现明显狭窄。
| [1] | 房晨鹂, 汪汉. 大动脉炎的心脏损害[J]. 心血管病学进展, 2016, 37(2): 180-184. DOI:10.16806/j.cnki.issn.1004-3934.2016.02.000 |
| [2] | 朱卫国, 林雪, 张文, 等. 大动脉炎患者心脏损害临床分析[J]. 中华临床免疫和变态反应杂志, 2011, 5(3): 217-222. DOI:10.3969/j.issn.1673-8705.2011.03.010 |
| [3] | Matsuura K, Ogino H, Kobayashi J, et al. Surgical treatment of aortic regurgitation due to Takayasu arteritis: long-term morbidity and mortality[J]. Circulation, 2005, 112(24): 3707-3712. DOI:10.1161/CIRCULATIONAHA.105.535724 |
| [4] | 杨丽睿, 张慧敏, 蒋雄京, 等. 566例大动脉炎患者的临床特点及预后[J]. 中国循环杂志, 2015, 3(6): 849-853. DOI:10.3969/j.issn.1000-3614.2015.09.07 |
| [5] | Ravacha M, Plot L, Peled N, et al. Coronary involvement in Takayasu' s arteritis[J]. Autoimmun Rev, 2007, 6(8): 566-571. DOI:10.1016/j.autrev.2007.04.001 |
| [6] | 申磊, 夏豪, 江洪, 等. 混合型大动脉炎致急性肱动脉、冠状动脉、肺动脉血栓形成一例[J]. 中华急诊医学杂志, 2009, 18(7): 710. DOI:10.3760/cma.j.issn.1671-0282.2009.07.011 |
| [7] | Sun T, Zhang H, Ma W, et al. Coronary artery involvement in takayasu arteritis in 45 Chinese patients[J]. J Rheumatol, 2013, 40(4): 493. DOI:10.3899/jrheum.120813 |
| [8] | 邹玉宝, 蒋雄京. 大动脉炎的研究现状与进展[J]. 中国循环杂志, 2016, 31(8): 882-824. DOI:10.3969/j.issn.1000-3614.2016.08.024 |
| [9] | 杨明, 曾勇, 沈珠军, 等. 大动脉炎累及冠状动脉的临床特点及介入治疗效果分析[J]. 中华医学杂志, 2014, 94(24): 1874-1877. DOI:10.3760/cma.j.issn.0376-2491.2014.24.008 |
| [10] | 王恺皞, 蒋雄京. 新型支架在大动脉炎累及冠状动脉中的应用[J]. 中国介入心脏病学杂志, 2016, 24(10): 592-595. DOI:10.3969/j.issn.1004-8812.2016.10.010 |
| [11] | Furukawa Y, Tamura T, Toma M, et al. Sirolimus-eluting stent for in-stent restenosis of left main coronary artery in takayasu arteritis[J]. Circ J, 2005, 69(6): 752-755. DOI:10.1253/circj.69.752 |
| [12] | Watanabe Y, Miyata T, Tanemoto K. Current clinical features of new patients with takayasu arteritis observed from cross-country research in Japan: age and sex specificity[J]. Circulation, 2015, 132(18): 1701-1709. DOI:10.1161/CIRCULATIONAHA.114.012547 |
| [13] | 王潇, 党爱民, 吕纳强, 等. 大动脉炎冠状动脉受累的危险因素分析[J]. 中国心血管杂志, 2016, 21(6): 447-450. DOI:10.3969/j.issn.1007-5410.2016.06.005 |
| [14] | 李亚丽, 封文媛, 侯秀伟. 血管内支架置入术治疗大动脉炎的围手术期护理[J]. 国际护理学杂志, 2011, 30(9): 1327-1328. DOI:10.3760/cma.j.issn.1673-4351.2011.09.020 |
| [15] | Saadoun D, Lambert M, Mirault T. Retrospective analysis of surgery versus endovascular intervention in Takayasu arteritis:a multicenter experience[J]. Circulation, 2012, 56(1): 813-819. DOI:10.1161/CIRCULATIONAHA.111.058032 |
2017, Vol. 26



